Sign in
Sign up
home
>
HUABIO
> HUABIO CD14 antibody
CD14
HUABIO
catalog: ET1610-85-50UL
domestic rabbit monoclonal (SC69-02)
reactivity:
human
,
mouse
application:
western blot
,
flow cytometry
,
immunohistochemistry - paraffin section
Western blot analysis of CD14 on different lysates with Rabbit anti-CD14 antibody (ET1610-85) at 1/5,000 dilution. Lane 1: THP-1 cell lysate Lane 2: RAW264.7 cell lysate Lysates/proteins at 15 µg/Lane. Predicted band size: 40 kDa Observed band size: 60 kDa Exposure time: 1 minute 40 seconds; 4-20% SDS-PAGE gel. Proteins were transferred to a PVDF membrane and blocked with 5% NFDM/TBST for 1 hour at room temperature. The primary antibody (ET1610-85) at 1/5,000 dilution was used in 5% NFDM/TBST at 4℃ overnight. Goat Anti-Rabbit IgG - HRP Secondary Antibody (HA1001) at 1:50,000 dilution was used for 1 hour at room temperature.
Western blot analysis of CD14 on different lysates with Rabbit anti-CD14 antibody (ET1610-85) at 1/1,000 dilution. Lane 1: SW480-si NT cell lysate Lane 2: SW480-si CD14 cell lysate Lysates/proteins at 10 µg/Lane. Predicted band size: 40 kDa Observed band size: 50-60 kDa Exposure time: 7 seconds; ECL: merk 4-20% SDS-PAGE gel. ET1610-85 was shown to specifically react with CD14 in SW480-si NT cells. Weakened band was observed when SW480-si CD14 sample was tested. SW480-si NT and SW480-si CD14 samples were subjected to SDS-PAGE. Proteins were transferred to a PVDF membrane and blocked with 5% NFDM in TBST for 1 hour at room temperature. The primary antibody (ET1610-85, 1/1,000) and Loading control antibody (Rabbit anti-GAPDH, ET1601-4, 1/10,000) were used in 5% BSA at room temperature for 2 hours. Goat Anti-rabbit IgG-HRP Secondary Antibody (HA1001) at 1:100,000 dilution was used for 1 hour at room temperature.
Fluorescence multiplex immunohistochemical analysis of Human tonsil (Formalin/PFA-fixed paraffin-embedded sections). Panel A: the merged image of anti-CD14 (ET1610-85, Red), anti-CD4 (ET1609-52, Green), anti-CD57 (HA601114, White), anti-CD15 (HA721246, Cyan)and anti-Tryptase (ET1610-64, Magenta) on tonsil. Panel B: anti- CD14 stained on monocytes. Panel C: anti-CD4 stained on helper T cells and Treg cells. Panel D: anti-CD57 stained on NK cells and T cells. Panel E: CD15 stained on granulocytes and monocytes. Panel F: anti-Tryptase stained on Mast cells. HRP Conjugated UltraPolymer Goat Polyclonal Antibody HA1119/HA1120 was used as a secondary antibody. The immunostaining was performed with the Sequential Immuno-staining Kit (IRISKit™MH010101, www.luminiris.cn). The section was incubated in five rounds of staining: in the order of ET1610-85 (1/800 dilution), ET1609-52 (1/800 dilution), HA601114 (1/1,000 dilution), HA721246 (1/500 dilution), and ET1610-64 (1/3,000 dilution) for 20 mins at room temperature. Each round was followed by a separate fluorescent tyramide signal amplification system. Heat mediated antigen retrieval with Tris-EDTA buffer (pH 9.0) for 30 mins at 95℃. DAPI (blue) was used as a nuclear counter stain. Image acquisition was performed with Olympus VS200 Slide Scanner.
quantity: 50μl
price: 205.00 USD
to the supplier
Human CD14
HUABIO
catalog: HA720184F
domestic rabbit monoclonal (SC69-02)
reactivity:
human
application:
flow cytometry
Flow cytometric analysis of human peripheral blood cells labelling Human CD14 with Rabbit anti-Human CD14 antibody (HA720184F) and VISTA with Rabbit anti-VISTA antibody (HA720183F).
Flow cytometric analysis of human peripheral blood labelling Human CD14 (HA720184F, iFluor™ 647).
quantity: 100μl
price: 429.00 USD
to the supplier
Human CD14
HUABIO
catalog: HA720194F
domestic rabbit monoclonal (SC69-02)
reactivity:
human
conjugate: FITC
application:
flow cytometry
Flow cytometric analysis of human peripheral blood labelling Human CD14 (HA720194F, FITC).
quantity: 100μl
price: 429.00 USD
to the supplier
CD14
HUABIO
catalog: HA721321
domestic rabbit monoclonal (PD01-63)
reactivity:
human
,
mouse
application:
western blot
,
immunohistochemistry - paraffin section
Western blot analysis of CD14 on different lysates with Rabbit anti-CD14 antibody (HA721321) at 1/1,000 dilution. Lane 1: NIH/3T3 cell lysate Lane 2: SiHa cell lysate Lysates/proteins at 10 µg/Lane. Predicted band size: 40 kDa Observed band size: 60 kDa Exposure time: 2 minutes; 8% SDS-PAGE gel. Proteins were transferred to a PVDF membrane and blocked with 5% NFDM/TBST for 1 hour at room temperature. The primary antibody (HA721321) at 1/1,000 dilution was used in 5% NFDM/TBST at room temperature for 2 hours. Goat Anti-Rabbit IgG - HRP Secondary Antibody (HA1001) at 1:200,000 dilution was used for 1 hour at room temperature.
Western blot analysis of CD14 on different lysates with Rabbit anti-CD14 antibody (HA721321) at 1/1,000 dilution. Lane 1: SW480-si NT cell lysate Lane 2: SW480-si CD14 cell lysate Lysates/proteins at 10 µg/Lane. Predicted band size: 40 kDa Observed band size: 50-60 kDa Exposure time: 25 seconds; ECL: merk 4-20% SDS-PAGE gel. HA721321 was shown to specifically react with CD14 in SW480-si NT cells. Weakened band was observed when SW480-si CD14 sample was tested. SW480-si NT and SW480-si CD14 samples were subjected to SDS-PAGE. Proteins were transferred to a PVDF membrane and blocked with 5% NFDM in TBST for 1 hour at room temperature. The primary antibody (HA721321, 1/1,000) and Loading control antibody (Rabbit anti-GAPDH, ET1601-4, 1/10,000) were used in 5% BSA at room temperature for 2 hours. Goat Anti-rabbit IgG-HRP Secondary Antibody (HA1001) at 1:100,000 dilution was used for 1 hour at room temperature
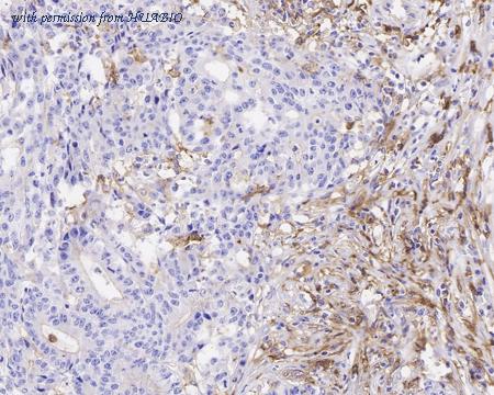
Immunohistochemical analysis of paraffin-embedded human colon carcinoma tissue with Rabbit anti-CD14 antibody (HA721321) at 1/1,000 dilution. The section was pre-treated using heat mediated antigen retrieval with Tris-EDTA buffer (pH 9.0) for 20 minutes. The tissues were blocked in 1% BSA for 20 minutes at room temperature, washed with ddH2O and PBS, and then probed with the primary antibody (HA721321) at 1/1,000 dilution for 1 hour at room temperature. The detection was performed using an HRP conjugated compact polymer system. DAB was used as the chromogen. Tissues were counterstained with hematoxylin and mounted with DPX.
quantity: 100μl
price: 385.00 USD
to the supplier
CD14
HUABIO
catalog: HA750232
domestic rabbit monoclonal (SC69-02)
reactivity:
human
,
mouse
application:
western blot
,
flow cytometry
,
immunohistochemistry - paraffin section
Western blot analysis of CD14 on different lysates with Rabbit anti-CD14 antibody (HA750232) at 1/5,000 dilution. Lane 1: THP-1 cell lysate Lane 2: RAW264.7 cell lysate Lysates/proteins at 15 µg/Lane. Predicted band size: 40 kDa Observed band size: 60 kDa Exposure time: 1 minute 40 seconds; 4-20% SDS-PAGE gel. Proteins were transferred to a PVDF membrane and blocked with 5% NFDM/TBST for 1 hour at room temperature. The primary antibody (HA750232) at 1/5,000 dilution was used in 5% NFDM/TBST at 4℃ overnight. Goat Anti-Rabbit IgG - HRP Secondary Antibody (HA1001) at 1:50,000 dilution was used for 1 hour at room temperature.
Western blot analysis of CD14 on different lysates with Rabbit anti-CD14 antibody (HA750232) at 1/1,000 dilution. Lane 1: SW480-si NT cell lysate Lane 2: SW480-si CD14 cell lysate Lysates/proteins at 10 µg/Lane. Predicted band size: 40 kDa Observed band size: 50-60 kDa Exposure time: 7 seconds; ECL: merk 4-20% SDS-PAGE gel. ET1610-85 was shown to specifically react with CD14 in SW480-si NT cells. Weakened band was observed when SW480-si CD14 sample was tested. SW480-si NT and SW480-si CD14 samples were subjected to SDS-PAGE. Proteins were transferred to a PVDF membrane and blocked with 5% NFDM in TBST for 1 hour at room temperature. The primary antibody (ET1610-85, 1/1,000) and Loading control antibody (Rabbit anti-GAPDH, ET1601-4, 1/10,000) were used in 5% BSA at room temperature for 2 hours. Goat Anti-rabbit IgG-HRP Secondary Antibody (HA1001) at 1:100,000 dilution was used for 1 hour at room temperature.
Immunocytochemistry analysis of THP-1 cells labeling CD14 with Rabbit anti-CD14 antibody (HA750232) at 1/100 dilution. Cells were fixed in 4% paraformaldehyde for 20 minutes at room temperature, permeabilized with 0.1% Triton X-100 in PBS for 5 minutes at room temperature, then blocked with 1% BSA in 10% negative goat serum for 1 hour at room temperature. Cells were then incubated with Rabbit anti-CD14 antibody (HA750232) at 1/100 dilution in 1% BSA in PBST overnight at 4 ℃. Goat Anti-Rabbit IgG H&L (iFluor™ 488, HA1121) was used as the secondary antibody at 1/1,000 dilution. PBS instead of the primary antibody was used as the secondary antibody only control. Nuclear DNA was labelled in blue with DAPI. Beta tubulin (M1305-2, red) was stained at 1/100 dilution overnight at +4℃. Goat Anti-Mouse IgG H&L (iFluor™ 594, HA1126) was used as the secondary antibody at 1/1,000 dilution.
quantity: 100μl
price: 649.00 USD
to the supplier
CD14
HUABIO
catalog: IRS015
domestic rabbit monoclonal
reactivity:
human
mIHC analysis of human gastric cancer tissue (Formalin/PFA-fixed paraffin-embedded sections) with CD21 (IRS019), PD-1, CD14 (IRS015), CD38 (IRS006), aSMA (IRS012) and CK7 (IRS029) antibody at 1/100 dilution. The immunostaining was performed with the IRISKitCmTSA Kit (900802). Heat mediated antigen retrieval with Tris-EDTA buffer (pH 9.0) for 30 mins at 95℃. DAPI (blue) was used as a nuclear counter stain. Image acquisition was performed with Olympus VS200 Slide Scanner.
mIHC analysis of human tonsils tissue (Formalin/PFA-fixed paraffin-embedded sections) with Rabbit anti-CD14 antibody (IRS015) at 1/100 dilution. The immunostaining was performed with the IRISKitCmTSA Kit (900808). Heat mediated antigen retrieval with Tris-EDTA buffer (pH 9.0) for 30 mins at 95℃. DAPI (blue) was used as a nuclear counter stain. Image acquisition was performed with Olympus VS200 Slide Scanner.
mIHC analysis of human tonsils tissue (Formalin/PFA-fixed paraffin-embedded sections) with Rabbit anti-CD14 antibody (IRS015) at 1/100 dilution. The immunostaining was performed with the IRISKitCmTSA Kit (900808). Heat mediated antigen retrieval with Tris-EDTA buffer (pH 9.0) for 30 mins at 95℃. DAPI (blue) was used as a nuclear counter stain. Image acquisition was performed with Olympus VS200 Slide Scanner.
quantity: 100μl
price: 385.00 USD
to the supplier
CD14
HUABIO
catalog: R1107-2
domestic rabbit polyclonal
reactivity:
human
,
mouse
application:
western blot
,
flow cytometry
Western blot analysis on K562 cell lysates using anti-CD14 rabbit polyclonal antibody.
ICC staining CD14 in SW480 cells (green). The nuclear counter stain is DAPI (blue). Cells were fixed in paraformaldehyde, permeabilised with 0.25% Triton X100/PBS.
Flow cytometric analysis of Raji cells with CD14 antibody at 1/100 dilution (blue) compared with an unlabelled control (cells without incubation with primary antibody; red). Alexa Fluor 488-conjugated goat anti-rabbit IgG was used as the secondary antibody.
quantity: 100μl
price: 330 USD
to the supplier
CD14
HUABIO
catalog: HA601420
domestic rabbit polyclonal (SC69-02)
reactivity:
human
,
mouse
quantity: 100μl
price: 385.00 USD
to the supplier
CD14
HUABIO
catalog: HA610260
domestic rabbit polyclonal (SC69-02)
reactivity:
human
,
mouse
quantity: 100μg
price: 649.00 USD
to the supplier
CD14
HUABIO
catalog: IRS106RT
domestic rabbit polyclonal
reactivity:
human
mIHC analysis of human tonsil tissue (Formalin/PFA-fixed paraffin-embedded sections) with Rat anti-CD14 antibody (IRS106RT) at 1/100 dilution. The immunostaining was performed with the IRISKitCmTSA Kit (900810). Heat mediated antigen retrieval with Tris-EDTA buffer (pH 9.0) for 30 mins at 95℃. DAPI (blue) was used as a nuclear counter stain. Image acquisition was performed with Olympus VS200 Slide Scanner.
quantity: 50T
price: 278.00 USD
to the supplier