Sign in
Sign up
home
>
HUABIO
> HUABIO CD4 antibody
CD4
HUABIO
catalog: 0108-6
domestic rabbit polyclonal
reactivity:
human
,
mouse
,
rat
application:
western blot
,
flow cytometry
Western blot analysis of CD4 on different lysates with Rabbit anti-CD4 antibody (0108-6) at 1/1,000 dilution. Lane 1: THP-1-si NT cell lysate Lane 2: THP-1-si CD4 cell lysate Lysates/proteins at 10 µg/Lane. Predicted band size: 51 kDa Observed band size: 51 kDa Exposure time: 43 seconds; 4-20% SDS-PAGE gel. Proteins were transferred to a PVDF membrane and blocked with 5% NFDM/TBST for 1 hour at room temperature. The primary antibody (0108-6) at 1/1,000 dilution was used in 5% NFDM/TBST at 4℃ overnight. Goat Anti-Rabbit IgG - HRP Secondary Antibody (HA1001) at 1/50,000 dilution was used for 1 hour at room temperature.
Western blot analysis of CD4 on mouse brain lysate using anti-CD4 antibody at 1/500 dilution.
ICC staining CD4 in LOVO cells (green). The nuclear counter stain is DAPI (blue). Cells were fixed in paraformaldehyde, permeabilised with 0.25% Triton X100/PBS.
quantity: 100μl
price: 330 USD
to the supplier
CD4
HUABIO
catalog: ER1803-84
domestic rabbit polyclonal
reactivity:
human
application:
western blot
,
flow cytometry
Western blot analysis of CD4 on different lysates. Proteins were transferred to a PVDF membrane and blocked with 5% BSA in PBS for 1 hour at room temperature. The primary antibody was used at a 1:500 dilution in 5% BSA at room temperature for 2 hours. Goat Anti-Rabbit IgG - HRP Secondary Antibody (HA1001) at 1:5,000 dilution was used for 1 hour at room temperature. Positive control: Lane 1: U937 cell lysate Lane 2: Human thymus tissue lysate
Flow cytometric analysis of CD4 was done on Hela cells. The cells were fixed, permeabilized and stained with CD4 antibody at 1/100 dilution (red) compared with an unlabelled control (cells without incubation with primary antibody; black). After incubation of the primary antibody on room temperature for an hour, the cells was stained with a Alexa Fluor™ 488-conjugated goat anti-rabbit IgG Secondary antibody at 1/500 dilution for 30 minutes.
quantity: 100μl
price: 330 USD
to the supplier
CD4
HUABIO
catalog: ET1609-52-50UL
domestic rabbit monoclonal (ST0488)
reactivity:
human
application:
western blot
,
flow cytometry
,
immunohistochemistry - paraffin section
Fluorescence multiplex immunohistochemical analysis of tertiary lymphoid structures in human prostate cancer (Formalin/PFA-fixed paraffin-embedded sections). Panel A: the merged image of anti-CD20 (HA721138, green), anti-CD21 (HA721163, cyan) and anti-CD4 (ET1609-52, yellow) on tertiary lymphoid structures. Panel B: anti- CD20 stained on B cells. Panel C: anti-CD21 stained on naive B-cell, memory B-cell and plasma cells. Panel D: anti-CD4 stained on helper T cells and Treg cells. HRP Conjugated UltraPolymer Goat Polyclonal Antibody HA1119/HA1120 was used as a secondary antibody. The immunostaining was performed with the Sequential Immuno-staining Kit (IRISKit™MH010101, www.luminiris.cn). The section was incubated in three rounds of staining: in the order of HA721138 (1/1,500 dilution), HA721163 (1/1,000 dilution), and ET1609-52 (1/1,000 dilution) for 20 mins at room temperature. Each round was followed by a separate fluorescent tyramide signal amplification system. Heat mediated antigen retrieval with Tris-EDTA buffer (pH 9.0) for 30 mins at 95℃. DAPI (blue) was used as a nuclear counter stain. Image acquisition was performed with Olympus VS200 Slide Scanner.
Fluorescence multiplex immunohistochemical analysis of tertiary lymphoid structures in human cervical cancer (Formalin/PFA-fixed paraffin-embedded sections). Panel A: the merged image of anti-Granzyme B (HA500252, magenta), anti-CD4 (ET1609-52, yellow) on tertiary lymphoid structures. Panel B: anti- Granzyme B stained on cytotoxic NK cells and dendritic cells. Panel C: anti-CD4 stained on helper T cells and Treg cells. HRP Conjugated UltraPolymer Goat Polyclonal Antibody HA1119/HA1120 was used as a secondary antibody. The immunostaining was performed with the Sequential Immuno-staining Kit (IRISKit™MH010101, www.luminiris.cn). The section was incubated in three rounds of staining: in the order of HA500252 (1/200 dilution), ET1609-52 (1/1,000 dilution) for 20 mins at room temperature. Each round was followed by a separate fluorescent tyramide signal amplification system. Heat mediated antigen retrieval with Tris-EDTA buffer (pH 9.0) for 30 mins at 95℃. DAPI (blue) was used as a nuclear counter stain. Image acquisition was performed with Olympus VS200 Slide Scanner.
Fluorescence multiplex immunohistochemical analysis of Human tonsil (Formalin/PFA-fixed paraffin-embedded sections). Panel A: the merged image of anti-CD14 (ET1610-85, Red), anti-CD4 (ET1609-52, Green), anti-CD57 (HA601114, White), anti-CD15 (HA721246, Cyan)and anti-Tryptase (ET1610-64, Magenta) on tonsil. Panel B: anti- CD14 stained on monocytes. Panel C: anti-CD4 stained on helper T cells and Treg cells. Panel D: anti-CD57 stained on NK cells and T cells. Panel E: CD15 stained on granulocytes and monocytes. Panel F: anti-Tryptase stained on Mast cells. HRP Conjugated UltraPolymer Goat Polyclonal Antibody HA1119/HA1120 was used as a secondary antibody. The immunostaining was performed with the Sequential Immuno-staining Kit (IRISKit™MH010101, www.luminiris.cn). The section was incubated in five rounds of staining: in the order of ET1610-85 (1/800 dilution), ET1609-52 (1/800 dilution), HA601114 (1/1,000 dilution), HA721246 (1/500 dilution), and ET1610-64 (1/3,000 dilution) for 20 mins at room temperature. Each round was followed by a separate fluorescent tyramide signal amplification system. Heat mediated antigen retrieval with Tris-EDTA buffer (pH 9.0) for 30 mins at 95℃. DAPI (blue) was used as a nuclear counter stain. Image acquisition was performed with Olympus VS200 Slide Scanner.
quantity: 50μl
price: 205.00 USD
to the supplier
CD4
HUABIO
catalog: ET7110-64
domestic rabbit monoclonal (JE56-36)
reactivity:
human
application:
western blot
,
immunohistochemistry - paraffin section
Western blot analysis of CD4 on different lysates with Rabbit anti-CD4 antibody (ET7110-64) at 1/500 dilution. Lane 1: THP-1 cell lysate Lane 2: HL-60 cell lysate Lysates/proteins at 10 µg/Lane. Predicted band size: 51 kDa Observed band size: 55 kDa Exposure time: 2 minutes; Proteins were transferred to a PVDF membrane and blocked with 5% NFDM/TBST for 1 hour at room temperature. The primary antibody (ET7110-64) at 1/500 dilution was used in 5% NFDM/TBST at room temperature for 2 hours. Goat Anti-Rabbit IgG - HRP Secondary Antibody (HA1001) at 1:5,000 dilution was used for 1 hour at room temperature.
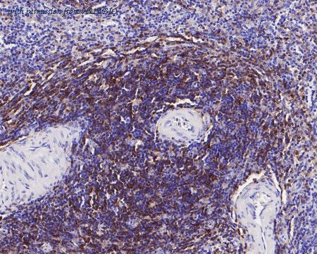
Immunohistochemical analysis of paraffin-embedded human tonsil tissue with Rabbit anti-CD4 antibody (ET7110-64) at 1/200 dilution. The section was pre-treated using heat mediated antigen retrieval with Tris-EDTA buffer (pH 8.0-8.4) for 20 minutes. The tissues were blocked in 1% BSA for 20 minutes at room temperature, washed with ddH2O and PBS, and then probed with the primary antibody (ET7110-64) at 1/200 dilution for 1 hour at room temperature. The detection was performed using an HRP conjugated compact polymer system. DAB was used as the chromogen. Tissues were counterstained with hematoxylin and mounted with DPX.
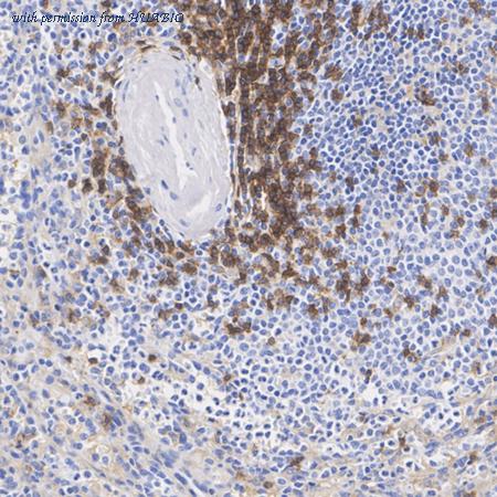
Immunohistochemical analysis of paraffin-embedded human spleen tissue with Rabbit anti-CD4 antibody (ET7110-64) at 1/50 dilution. The section was pre-treated using heat mediated antigen retrieval with Tris-EDTA buffer (pH 8.0-8.4) for 20 minutes. The tissues were blocked in 1% BSA for 20 minutes at room temperature, washed with ddH2O and PBS, and then probed with the primary antibody (ET7110-64) at 1/50 dilution for 1 hour at room temperature. The detection was performed using an HRP conjugated compact polymer system. DAB was used as the chromogen. Tissues were counterstained with hematoxylin and mounted with DPX.
quantity: 100μl
price: 385.00 USD
to the supplier
Human CD4
HUABIO
catalog: HA600119F
mouse monoclonal (PSH04-93)
reactivity:
human
conjugate: FITC
application:
flow cytometry
Flow cytometric analysis of human peripheral blood lymphocytes labelling Human CD4 (HA600119F, FITC) and CD3 (HA600118F, APC).
quantity: 100μl
price: 394.00 USD
to the supplier
Human CD4
HUABIO
catalog: HA600120F
mouse monoclonal (PSH04-93)
reactivity:
human
conjugate: PE
application:
flow cytometry
Flow cytometric analysis of human peripheral blood lymphocytes labelling Human CD4 (HA600120F, PE) and CD3 (HA600116F, FITC).
Flow cytometric analysis of human peripheral blood lymphocytes labelling Human CD4 (HA600120F, PE).
quantity: 100μl
price: 360.00 USD
to the supplier
Human CD4
HUABIO
catalog: HA600121F
mouse monoclonal (PSH04-93)
reactivity:
human
conjugate: APC
application:
flow cytometry
Flow cytometric analysis of human peripheral blood lymphocytes labelling Human CD4 (HA600121F, APC) and CD3 (HA600116F, FITC).
quantity: 100μl
price: 360.00 USD
to the supplier
Human CD4
HUABIO
catalog: HA601338
mouse monoclonal (PSH04-93)
reactivity:
human
application:
flow cytometry
Flow cytometric analysis of human peripheral blood lymphocytes labeling Human CD4. Cells were washed twice with cold PBS and resuspend. Then stained with the primary antibody (HA601338, 1μg/mL) (red). After incubation of the primary antibody at +4℃ for 30 minutes, the cells were stained with a iFluor™ 488 conjugate-Goat anti-Mouse IgG Secondary antibody (HA1125) at 1/1,000 dilution for 30 minutes at +4℃. Unlabelled sample was used as a control (cells without incubation with primary antibody; black).
quantity: 100μl
price: 360.00 USD
to the supplier
CD4
HUABIO
catalog: HA723511
domestic rabbit polyclonal (PSH13-24)
reactivity:
human
,
mouse
application:
western blot
,
immunohistochemistry - paraffin section
Western blot analysis of CD4 on different lysates with Rabbit anti-CD4 antibody (HA723511) at 1/2,000 dilution. Lane 1: HUT 102 cell lysate Lane 2: Ramos cell lysate (negative) Lane 3: THP-1 cell lysate Lane 4: C2C12 cell lysate (negative) Lane 5: Mouse thymus tissue lysate Lane 6: Mouse spleen tissue lysate Lysates/proteins at 20 µg/Lane. Predicted band size: 51 kDa Observed band size: 51 kDa Exposure time: 10 seconds; ECL: K1801; 4-20% SDS-PAGE gel. Proteins were transferred to a PVDF membrane and blocked with 5% NFDM/TBST for 1 hour at room temperature. The primary antibody (HA723511) at 1/2,000 dilution was used in 5% NFDM/TBST at 4℃ overnight. Goat Anti-Rabbit IgG - HRP Secondary Antibody (HA1001) at 1/50,000 dilution was used for 1 hour at room temperature.
Immunocytochemistry analysis of HUT 102 cells labeling CD4 with Rabbit anti-CD4 antibody (HA723511) at 1/500 dilution. Cells were fixed in 4% paraformaldehyde for 15 minutes at room temperature, permeabilized with 0.1% Triton X-100 in PBS for 15 minutes at room temperature, then blocked with 1% BSA in 10% negative goat serum for 1 hour at room temperature. Cells were then incubated with Rabbit anti-CD4 antibody (HA723511) at 1/500 dilution in 1% BSA in PBST overnight at 4 ℃. Goat Anti-Rabbit IgG H&L (iFluor™ 488, HA1121) was used as the secondary antibody at 1/1,000 dilution. PBS instead of the primary antibody was used as the secondary antibody only control. Nuclear DNA was labelled in blue with DAPI. Beta tubulin (HA601187, red) was stained at 1/100 dilution overnight at +4℃. Goat Anti-Mouse IgG H&L (iFluor™ 594, HA1126) was used as the secondary antibody at 1/1,000 dilution.
Immunohistochemical analysis of paraffin-embedded human spleen tissue with Rabbit anti-CD4 antibody (HA723511) at 1/5,000 dilution. The section was pre-treated using heat mediated antigen retrieval with Tris-EDTA buffer (pH 9.0) for 20 minutes. The tissues were blocked in 1% BSA for 20 minutes at room temperature, washed with ddH2O and PBS, and then probed with the primary antibody (HA723511) at 1/5,000 dilution for 1 hour at room temperature. The detection was performed using an HRP conjugated compact polymer system. DAB was used as the chromogen. Tissues were counterstained with hematoxylin and mounted with DPX.
quantity: 100μl
price: 385.00 USD
to the supplier
CD4
HUABIO
catalog: HA751460
domestic rabbit polyclonal (PSH13-24)
reactivity:
human
,
mouse
application:
western blot
,
immunohistochemistry - paraffin section
Western blot analysis of CD4 on different lysates with Rabbit anti-CD4 antibody (HA751460) at 1/2,000 dilution. Lane 1: HUT 102 cell lysate Lane 2: Ramos cell lysate (negative) Lane 3: THP-1 cell lysate Lane 4: C2C12 cell lysate (negative) Lane 5: Mouse thymus tissue lysate Lane 6: Mouse spleen tissue lysate Lysates/proteins at 20 µg/Lane. Predicted band size: 51 kDa Observed band size: 51 kDa Exposure time: 10 seconds; ECL: K1801; 4-20% SDS-PAGE gel. Proteins were transferred to a PVDF membrane and blocked with 5% NFDM/TBST for 1 hour at room temperature. The primary antibody (HA751460) at 1/2,000 dilution was used in 5% NFDM/TBST at 4℃ overnight. Goat Anti-Rabbit IgG - HRP Secondary Antibody (HA1001) at 1/50,000 dilution was used for 1 hour at room temperature.
Immunocytochemistry analysis of HUT 102 cells labeling CD4 with Rabbit anti-CD4 antibody (HA751460) at 1/500 dilution. Cells were fixed in 4% paraformaldehyde for 15 minutes at room temperature, permeabilized with 0.1% Triton X-100 in PBS for 15 minutes at room temperature, then blocked with 1% BSA in 10% negative goat serum for 1 hour at room temperature. Cells were then incubated with Rabbit anti-CD4 antibody (HA751460) at 1/500 dilution in 1% BSA in PBST overnight at 4 ℃. Goat Anti-Rabbit IgG H&L (iFluor™ 488, HA1121) was used as the secondary antibody at 1/1,000 dilution. PBS instead of the primary antibody was used as the secondary antibody only control. Nuclear DNA was labelled in blue with DAPI. Beta tubulin (HA601187, red) was stained at 1/100 dilution overnight at +4℃. Goat Anti-Mouse IgG H&L (iFluor™ 594, HA1126) was used as the secondary antibody at 1/1,000 dilution.
Immunohistochemical analysis of paraffin-embedded human spleen tissue with Rabbit anti-CD4 antibody (HA751460) at 1/5,000 dilution. The section was pre-treated using heat mediated antigen retrieval with Tris-EDTA buffer (pH 9.0) for 20 minutes. The tissues were blocked in 1% BSA for 20 minutes at room temperature, washed with ddH2O and PBS, and then probed with the primary antibody (HA751460) at 1/5,000 dilution for 1 hour at room temperature. The detection was performed using an HRP conjugated compact polymer system. DAB was used as the chromogen. Tissues were counterstained with hematoxylin and mounted with DPX.
quantity: 100μl
price: 649.00 USD
to the supplier
CD4
HUABIO
catalog: IRS005
domestic rabbit monoclonal
reactivity:
human
mIHC analysis of human tonsil tissue (Formalin/PFA-fixed paraffin-embedded sections) with CD8, CD4 (IRS005), FOXP3, CD68 (IRS004), CD38 (IRS006), CD11c (IRS001), PD-L1, CD163 (IRS002) and CD20 (IRS003) antibody at 1/100 dilution. The immunostaining was performed with the IRISKitCmTSA Kit (900802). Heat mediated antigen retrieval with Tris-EDTA buffer (pH 9.0) for 30 mins at 95℃. DAPI (blue) was used as a nuclear counter stain. Image acquisition was performed with Olympus VS200 Slide Scanner.
mIHC analysis of human cervical cancer tissue (Formalin/PFA-fixed paraffin-embedded sections) with CD8, CD20 (IRS003), FOXP3, CK19 (IRS011), PD-L1, CD4 (IRS005), CD163 (IRS002) and CD68 (IRS004) antibody at 1/100 dilution. The immunostaining was performed with the IRISKitCmTSA Kit (900802). Heat mediated antigen retrieval with Tris-EDTA buffer (pH 9.0) for 30 mins at 95℃. DAPI (blue) was used as a nuclear counter stain. Image acquisition was performed with Olympus VS200 Slide Scanner.
mIHC analysis of human colorectal cancer tissue (Formalin/PFA-fixed paraffin-embedded sections) with CD8, CD20 (IRS003), CD68 (IRS004), CD4 (IRS005) and panCK (IRS010) antibody at 1/100 dilution. The immunostaining was performed with the IRISKitCmTSA Kit (900802). Heat mediated antigen retrieval with Tris-EDTA buffer (pH 9.0) for 30 mins at 95℃. DAPI (blue) was used as a nuclear counter stain. Image acquisition was performed with Olympus VS200 Slide Scanner.
quantity: 100μl
price: 385.00 USD
to the supplier
CD4
HUABIO
catalog: R1211-1
domestic rabbit polyclonal
reactivity:
human
application:
western blot
Western blot analysis on K562 (1) and Daudi (2) cell lysates using anti-CD4 polyclonal antibody.
Immunocytochemistry analysis of THP-1 cells labeling CD4 with Rabbit anti-CD4 antibody (R1211-1) at 1/50 dilution. Cells were fixed in 4% paraformaldehyde for 10 minutes at 37 ℃, permeabilized with 0.05% Triton X-100 in PBS for 20 minutes, and then blocked with 2% negative goat serum for 30 minutes at room temperature. Cells were then incubated with Rabbit anti-CD4 antibody (R1211-1) at 1/50 dilution in 2% negative goat serum overnight at 4 ℃. Goat Anti-Rabbit IgG H&L (iFluor™ 488, HA1121) was used as the secondary antibody at 1/1,000 dilution. Nuclear DNA was labelled in blue with DAPI. Beta tubulin (M1305-2, red) was stained at 1/100 dilution overnight at +4℃. Goat Anti-Mouse IgG H&L (iFluor™ 594, HA1126) was used as the secondary antibody at 1/1,000 dilution.
quantity: 100μl
price: 330 USD
to the supplier
CD4
HUABIO
catalog: HA601557
domestic rabbit polyclonal (ST0488)
reactivity:
human
application:
western blot
,
immunohistochemistry - paraffin section
Western blot analysis of CD4 on different lysates with Mouse anti-CD4 antibody (HA601557) at 1/5,000 dilution. Lane 1: THP-1 cell lysate Lane 2: U-937 cell lysate Lane 3: HUT 102 cell lysate Lysates/proteins at 20 µg/Lane. Predicted band size: 51 kDa Observed band size: 55kDa Exposure time: 59 seconds; ECL: K1801; 4-20% SDS-PAGE gel. Proteins were transferred to a PVDF membrane and blocked with 5% NFDM/TBST for 1 hour at room temperature. The primary antibody (HA601557) at 1/5,000 dilution was used in primary antibody dilution (K1803) at 4℃ overnight. Goat Anti-Mouse IgG - HRP Secondary Antibody (HA1006) at 1/50,000 dilution was used for 1 hour at room temperature.
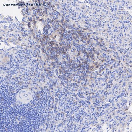
Immunohistochemical analysis of paraffin-embedded human spleen tissue with Mouse anti-CD4 antibody (HA601557) at 1/1,000 dilution. The section was pre-treated using heat mediated antigen retrieval with Tris-EDTA buffer (pH 9.0) for 20 minutes. The tissues were blocked in 1% BSA for 20 minutes at room temperature, washed with ddH2O and PBS, and then probed with the primary antibody (HA601557) at 1/1,000 dilution for 1 hour at room temperature. The detection was performed using an HRP conjugated compact polymer system. DAB was used as the chromogen. Tissues were counterstained with hematoxylin and mounted with DPX.
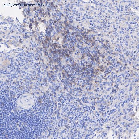
Immunohistochemical analysis of paraffin-embedded human tonsil tissue with Mouse anti-CD4 antibody (HA601557) at 1/1,000 dilution. The section was pre-treated using heat mediated antigen retrieval with Tris-EDTA buffer (pH 9.0) for 20 minutes. The tissues were blocked in 1% BSA for 20 minutes at room temperature, washed with ddH2O and PBS, and then probed with the primary antibody (HA601557) at 1/1,000 dilution for 1 hour at room temperature. The detection was performed using an HRP conjugated compact polymer system. DAB was used as the chromogen. Tissues were counterstained with hematoxylin and mounted with DPX.
quantity: 100μl
price: 385.00 USD
to the supplier