Sign in
Sign up
home
>
HUABIO
> HUABIO H3C7 antibody
Histone H3
HUABIO
catalog: EM30605
mouse monoclonal (3-C4)
reactivity:
human
,
mouse
,
rat
application:
western blot
,
chromatin immunoprecipitation
,
immunohistochemistry - paraffin section
Western blot analysis of Histone H3 on different lysates with Mouse anti-Histone H3 antibody (EM30605) at 1/10,000 dilution. Lane 1: HeLa cell lysate Lane 2: A549 cell lysate Lane 3: HT-29 cell lysate Lane 4: HEK-293 cell lysate Lane 5: C2C12 cell lysate Lane 6: L-929 cell lysate Lane 7: C6 cell lysate Lysates/proteins at 10 µg/Lane. Predicted band size: 15 kDa Observed band size: 15 kDa Exposure time: 30 seconds; 4-20% SDS-PAGE gel. Proteins were transferred to a PVDF membrane and blocked with 5% NFDM/TBST for 1 hour at room temperature. The primary antibody (EM30605) at 1/10,000 dilution was used in 5% NFDM/TBST at 4℃ overnight. Goat Anti-Mouse IgG - HRP Secondary Antibody (HA1006) at 1/50,000 dilution was used for 1 hour at room temperature.
Fluorescence multiplex immunohistochemical analysis of mouse kidney (Formalin/PFA-fixed paraffin-embedded sections). Panel A: the merged image of anti-NPHS2 (ET7107-34, Red), anti-Laminin beta 1 (ET1703-14, Green), anti-Histone H3 (EM30605, Blue), anti-SLC12A1 / NKCC2 (HA721906, Cyan) and anti-CK18 (ET1603-8, Magenta) on kidney. HRP Conjugated UltraPolymer Goat Polyclonal Antibody HA1119/HA1120 was used as a secondary antibody. The immunostaining was performed with the Sequential Immuno-staining Kit (IRISKit™MH010101, www.luminiris.cn). The section was incubated in five rounds of staining: in the order of ET7107-34 (1/1,000 dilution), ET1703-14 (1/1,000 dilution), EM30605 (1/500 dilution), HA721906 (1/3,000 dilution) and ET1603-8 (1/3,000 dilution) for 20 mins at room temperature. Each round was followed by a separate fluorescent tyramide signal amplification system. Heat mediated antigen retrieval with Tris-EDTA buffer (pH 9.0) for 30 mins at 95℃. Image acquisition was performed with Olympus VS200 Slide Scanner.
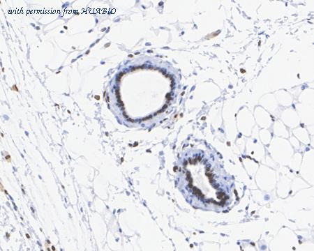
Immunohistochemical analysis of paraffin-embedded human liver tissue with Mouse anti-Histone H3 antibody (EM30605) at 1/2,000 dilution. The section was pre-treated using heat mediated antigen retrieval with sodium citrate buffer (pH 6.0) (high pressure) for 2 minutes. The tissues were blocked in 1% BSA for 20 minutes at room temperature, washed with ddH2O and PBS, and then probed with the primary antibody (EM30605) at 1/2,000 dilution for 1 hour at room temperature. The detection was performed using an HRP conjugated compact polymer system. DAB was used as the chromogen. Tissues were counterstained with hematoxylin and mounted with DPX.
quantity: 100μl
price: 360.00 USD
to the supplier
Histone H3.1
HUABIO
catalog: ER1802-79
domestic rabbit polyclonal
reactivity:
human
,
mouse
application:
western blot
,
immunohistochemistry - paraffin section
Western blot analysis of Histone H3.1 on F9 cell lysate using anti-Histone H3.1 antibody at 1/1,000 dilution.
ICC staining Histone H3.1 in Hela cells (green). The nuclear counter stain is DAPI (blue). Cells were fixed in paraformaldehyde, permeabilised with 0.25% Triton X100/PBS.
ICC staining Histone H3.1 in MCF-7 cells (green). The nuclear counter stain is DAPI (blue). Cells were fixed in paraformaldehyde, permeabilised with 0.25% Triton X100/PBS.
quantity: 100μl
price: 330 USD
to the supplier
Histone H3 (mono methyl K18)
HUABIO
catalog: ET1601-14
domestic rabbit monoclonal (SA42-07)
reactivity:
human
,
mouse
,
rat
application:
western blot
,
immunohistochemistry - paraffin section
Western blot analysis of Histone H3 (mono methyl K18) on HepG2 cell lysates with Rabbit anti-Histone H3 (mono methyl K18) antibody (ET1601-14) at 1/500 dilution. Lysates/proteins at 10 µg/Lane. Predicted band size: 15 kDa Observed band size: 15 kDa Exposure time: 2 minutes; 15% SDS-PAGE gel. Proteins were transferred to a PVDF membrane and blocked with 5% NFDM/TBST for 1 hour at room temperature. The primary antibody (ET1601-14) at 1/500 dilution was used in 5% NFDM/TBST at room temperature for 2 hours. Goat Anti-Rabbit IgG - HRP Secondary Antibody (HA1001) at 1:300,000 dilution was used for 1 hour at room temperature.
Western blot analysis of Histone H3 (mono methyl K18) on mouse testis tissue lysates with Rabbit anti-Histone H3 (mono methyl K18) antibody (ET1601-14) at 1/5,000 dilution. Lysates/proteins at 20 µg/Lane. Predicted band size: 15 kDa Observed band size: 15 kDa Exposure time: 1 minute; 15% SDS-PAGE gel. Proteins were transferred to a PVDF membrane and blocked with 5% NFDM/TBST for 1 hour at room temperature. The primary antibody (ET1601-14) at 1/5,000 dilution was used in 5% NFDM/TBST at room temperature for 2 hours. Goat Anti-Rabbit IgG - HRP Secondary Antibody (HA1001) at 1:300,000 dilution was used for 1 hour at room temperature.
ICC staining Histone H3 (mono methyl K18) in HepG2 cells (green). The nuclear counter stain is DAPI (blue). Cells were fixed in paraformaldehyde, permeabilised with 0.25% Triton X100/PBS.
quantity: 100μl
price: 385.00 USD
to the supplier
Phospho-Histone H3 (S10)
HUABIO
catalog: ET1601-30
domestic rabbit monoclonal (SA31-01)
reactivity:
human
,
mouse
,
rat
application:
western blot
,
immunoprecipitation
,
flow cytometry
,
chromatin immunoprecipitation
,
immunohistochemistry - paraffin section
Western blot analysis of Phospho-Histone H3 (S10) on different lysates with Rabbit anti-Phospho-Histone H3 (S10) antibody (ET1601-30) at 1/5,000 dilution. Lane 1: HeLa whole cell lysate (20 µg/Lane) Lane 2: HeLa treated with 50nM Calyculin A for 30 minutes whole cell lysate (20 µg/Lane) Lane 3: NIH/3T3 whole cell lysate (20 µg/Lane) Lane 4: NIH/3T3 treated with 100nM Calyculin A for 30 minutes whole cell lysate (20 µg/Lane) Lane 5: C6 whole cell lysate (20 µg/Lane) Lane 6: C6 treated with 100nM Calyculin A for 30 minutes whole cell lysate (20 µg/Lane) Predicted band size: 15 kDa Observed band size: 15 kDa Exposure time: 10 seconds; ECL: K1801; 4-20% SDS-PAGE gel. Proteins were transferred to a PVDF membrane and blocked with 5% NFDM/TBST for 1 hour at room temperature. The primary antibody (ET1601-30) at 1/5,000 dilution was used in 5% NFDM/TBST at 4℃ overnight. Goat Anti-Rabbit IgG - HRP Secondary Antibody (HA1001) at 1:50,000 dilution was used for 1 hour at room temperature.
Immunocytochemistry analysis of HeLa cells labeling Phospho-Histone H3 (S10) with Rabbit anti-Phospho-Histone H3 (S10) antibody (ET1601-30) at 1/5,000 dilution and competitor's antibody at 1/3,000 dilution. Cells were fixed in 4% paraformaldehyde for 20 minutes at room temperature, permeabilized with 0.1% Triton X-100 in PBS for 5 minutes at room temperature, then blocked with 1% BSA in 10% negative goat serum for 1 hour at room temperature. Cells were then incubated with Rabbit anti-Phospho-Histone H3 (S10) antibody (ET1601-30) at 1/5,000 dilution and competitor's antibody at 1/3,000 dilution in 1% BSA in PBST overnight at 4 ℃. Goat Anti-Rabbit IgG H&L (iFluor™ 488, HA1121) was used as the secondary antibody at 1/1,000 dilution. PBS instead of the primary antibody was used as the secondary antibody only control. Nuclear DNA was labelled in blue with DAPI. Beta tubulin (M1305-2, red) was stained at 1/100 dilution overnight at +4℃. Goat Anti-Mouse IgG H&L (iFluor™ 594, HA1126) was used as the secondary antibody at 1/1,000 dilution.
Western blot analysis of Phospho-Histone H3 (S10) on different lysates with Rabbit anti-Phospho-Histone H3 (S10) antibody (ET1601-30) at 1/2,000 dilution and competitor's antibody at 1/1,000 dilution. Lane 1: HeLa whole cell lysate Lane 2: HeLa treated with 50nM Calyculin A for 30 minutes whole cell lysate Lane 3: C6 whole cell lysate Lane 4: C6 treated with 100ng/mL Calyculin A for 1 hour whole cell lysate Lane 5: NIH/3T3 whole cell lysate Lane 6: NIH/3T3 starved for 4 hours, then treated with 100nM Calyculin A for 30 minutes whole cell lysate Lysates/proteins at 15 µg/Lane. Predicted band size: 15 kDa Observed band size: 15 kDa Exposure time: 15 seconds; ECL: K1801; 4-20% SDS-PAGE gel. Proteins were transferred to a PVDF membrane and blocked with 5% NFDM/TBST for 1 hour at room temperature. The primary antibody (ET1601-30) at 1/2,000 dilution and competitor's antibody at 1/1,000 dilution were used in 5% NFDM/TBST at 4℃ overnight. Goat Anti-Rabbit IgG - HRP Secondary Antibody (HA1001) at 1/50,000 dilution was used for 1 hour at room temperature.
quantity: 100μl
price: 385.00 USD
to the supplier
Histone H3 (mono+di+tri methyl K79)
HUABIO
catalog: ET1602-41
domestic rabbit monoclonal (SR42-06)
reactivity:
human
,
mouse
,
rat
application:
western blot
,
chromatin immunoprecipitation
,
immunohistochemistry - paraffin section
Western blot analysis of Histone H3 (mono+di+tri methyl K79) on different lysates. Proteins were transferred to a PVDF membrane and blocked with 5% BSA in PBS for 1 hour at room temperature. The primary antibody (ET1602-41, 1/500) was used in 5% BSA at room temperature for 2 hours. Goat Anti-Rabbit IgG - HRP Secondary Antibody (HA1001) at 1:5,000 dilution was used for 1 hour at room temperature. Positive control: Lane 1: mouse testis tissue lysate Lane 2: CRC cell lysate
Immunohistochemical analysis of paraffin-embedded rat muscle tissue with Rabbit anti-Histone H3 (mono+di+tri methyl K79) antibody (ET1602-41) at 1/1,000 dilution. The section was pre-treated using heat mediated antigen retrieval with sodium citrate buffer (pH 6.0) (high pressure) for 2 minutes. The tissues were blocked in 1% BSA for 20 minutes at room temperature, washed with ddH2O and PBS, and then probed with the primary antibody (ET1602-41) at 1/1,000 dilution for 1 hour at room temperature. The detection was performed using an HRP conjugated compact polymer system. DAB was used as the chromogen. Tissues were counterstained with hematoxylin and mounted with DPX.
Immunohistochemical analysis of paraffin-embedded rat skin tissue with Rabbit anti-Histone H3 (mono+di+tri methyl K79) antibody (ET1602-41) at 1/1,000 dilution. The section was pre-treated using heat mediated antigen retrieval with sodium citrate buffer (pH 6.0) (high pressure) for 2 minutes. The tissues were blocked in 1% BSA for 20 minutes at room temperature, washed with ddH2O and PBS, and then probed with the primary antibody (ET1602-41) at 1/1,000 dilution for 1 hour at room temperature. The detection was performed using an HRP conjugated compact polymer system. DAB was used as the chromogen. Tissues were counterstained with hematoxylin and mounted with DPX.
quantity: 100μl
price: 385.00 USD
to the supplier
Histone H3 (mono methyl K36)
HUABIO
catalog: ET1602-48
domestic rabbit monoclonal (SR04-20)
reactivity:
human
,
mouse
application:
western blot
,
chromatin immunoprecipitation
Western blot analysis of Histone H3 (mono methyl K36) on different lysates. Proteins were transferred to a PVDF membrane and blocked with 5% BSA in PBS for 1 hour at room temperature. The primary antibody (ET1602-48, 1/500) was used in 5% BSA at room temperature for 2 hours. Goat Anti-Rabbit IgG - HRP Secondary Antibody (HA1001) at 1:200,000 dilution was used for 1 hour at room temperature. Positive control: Lane 1: Hela cell lysate Lane 2: NIH/3T3 cell lysate
ICC staining Histone H3(mono methyl K36) in MCF-7 cells (green). The nuclear counter stain is DAPI (blue). Cells were fixed in paraformaldehyde, permeabilised with 0.25% Triton X100/PBS.
Chromatin immunoprecipitations were performed with cross-linked chromatin from HeLa cells with Histone H3 (mono methyl K36) (ET1602-48) or Normal Rabbit IgG according to the ChIP protocol. The enriched DNA was quantified by real-time PCR using indicated primers. The amount of immunoprecipitated DNA in each sample is represented as signal relative to the total amount of input chromatin, which is equivalent to one.
quantity: 100μl
price: 385.00 USD
to the supplier
Histone H3 (acetyl K56)
HUABIO
catalog: ET1608-9
domestic rabbit monoclonal (SU30-10)
reactivity:
human
,
mouse
,
rat
application:
western blot
,
chromatin immunoprecipitation
,
immunohistochemistry - paraffin section
Western blot analysis of Histone H3 (acetyl K56) on different lysates with Rabbit anti-Histone H3 (acetyl K56) antibody (ET1608-9) at 1/1,000 dilution. Lane 1: HeLa cell lysate Lane 2: C6 cell lysate Lane 3: C6 treated with 1μM TSA for 18 hours cell lysate Lane 4: NIH/3T3 cell lysate Lane 5: NIH/3T3 treated with 400nM TSA for 18 hours cell lysate Lysates/proteins at 20 µg/Lane. Predicted band size: 15 kDa Observed band size: 15 kDa Exposure time: 14 seconds; ECL: K1801; 4-20% SDS-PAGE gel. Proteins were transferred to a PVDF membrane and blocked with 5% NFDM/TBST for 1 hour at room temperature. The primary antibody (ET1608-9) at 1/1,000 dilution was used in 5% NFDM/TBST at 4℃ overnight. Goat Anti-Rabbit IgG - HRP Secondary Antibody (HA1001) at 1/50,000 dilution was used for 1 hour at room temperature.
Immunocytochemistry analysis of HeLa cells labeling Histone H3 (acetyl K56) with Rabbit anti-Histone H3 (acetyl K56) antibody (ET1608-9) at 1/250 dilution. Cells were fixed in 4% paraformaldehyde for 15 minutes at room temperature, permeabilized with 0.1% Triton X-100 in PBS for 15 minutes at room temperature, then blocked with 1% BSA in 10% negative goat serum for 1 hour at room temperature. Cells were then incubated with Rabbit anti-Histone H3 (acetyl K56) antibody (ET1608-9) at 1/250 dilution in 1% BSA in PBST overnight at 4 ℃. Goat Anti-Rabbit IgG H&L (iFluor™ 488, HA1121) was used as the secondary antibody at 1/1,000 dilution. PBS instead of the primary antibody was used as the secondary antibody only control. Nuclear DNA was labelled in blue with DAPI. Beta tubulin (HA601187, red) was stained at 1/100 dilution overnight at +4℃. Goat Anti-Mouse IgG H&L (iFluor™ 594, HA1126) was used as the secondary antibody at 1/1,000 dilution.
Immunohistochemical analysis of paraffin-embedded human kidney tissue with Rabbit anti-Histone H3 (acetyl K56) antibody (ET1608-9) at 1/5,000 dilution. The section was pre-treated using heat mediated antigen retrieval with sodium citrate buffer (pH 6.0) (high pressure) for 2 minutes. The tissues were blocked in 1% BSA for 20 minutes at room temperature, washed with ddH2O and PBS, and then probed with the primary antibody (ET1608-9) at 1/5,000 dilution for 1 hour at room temperature. The detection was performed using an HRP conjugated compact polymer system. DAB was used as the chromogen. Tissues were counterstained with hematoxylin and mounted with DPX.
quantity: 100μl
price: 385.00 USD
to the supplier
Histone H3 (mono methyl R2)
HUABIO
catalog: ET1609-8
domestic rabbit monoclonal (ST0427)
reactivity:
human
,
mouse
,
rat
application:
western blot
,
chromatin immunoprecipitation
,
immunohistochemistry - paraffin section
ICC staining Histone H3(mono methyl R2) in HepG2 cells (green). The nuclear counter stain is DAPI (blue). Cells were fixed in paraformaldehyde, permeabilised with 0.25% Triton X100/PBS.
ICC staining Histone H3(mono methyl R2) in NIH/3T3 cells (green). The nuclear counter stain is DAPI (blue). Cells were fixed in paraformaldehyde, permeabilised with 0.25% Triton X100/PBS.
ICC staining Histone H3(mono methyl R2) in PC-3M cells (green). The nuclear counter stain is DAPI (blue). Cells were fixed in paraformaldehyde, permeabilised with 0.25% Triton X100/PBS.
quantity: 100μl
price: 385.00 USD
to the supplier
Histone H3 (di methyl K9)
HUABIO
catalog: ET1611-51
domestic rabbit monoclonal (SN07-30)
reactivity:
human
,
mouse
,
rat
application:
western blot
,
immunohistochemistry - paraffin section
Western blot analysis of Histone H3 (di methyl K9) on different lysates with Rabbit anti-Histone H3 (di methyl K9) antibody (ET1611-51) at 1/1,000 dilution. Lane 1: HeLa cell lysate Lane 2: Jurkat cell lysate Lane 3: MCF7 cell lysate Lane 4: C2C12 cell lysate Lane 5: C6 cell lysate Lysates/proteins at 20 µg/Lane. Predicted band size: 15 kDa Observed band size: 15 kDa Exposure time: 4 seconds; ECL: K1801; 4-20% SDS-PAGE gel. Proteins were transferred to a PVDF membrane and blocked with 5% NFDM/TBST for 1 hour at room temperature. The primary antibody (ET1611-51) at 1/1,000 dilution was used in primary antibody dilution (K1803) at 4℃ overnight. Goat Anti-Rabbit IgG - HRP Secondary Antibody (HA1001) at 1/50,000 dilution was used for 1 hour at room temperature.
ICC staining of Histone H3 (di methyl K9) in HepG2 cells (green). Formalin fixed cells were permeabilized with 0.1% Triton X-100 in TBS for 10 minutes at room temperature and blocked with 1% Blocker BSA for 15 minutes at room temperature. Cells were probed with the primary antibody (ET1611-51, 1/50) for 1 hour at room temperature, washed with PBS. Alexa Fluor®488 Goat anti-Rabbit IgG was used as the secondary antibody at 1/1,000 dilution. The nuclear counter stain is DAPI (blue).
ICC staining of Histone H3 (di methyl K9) in Hela cells (green). Formalin fixed cells were permeabilized with 0.1% Triton X-100 in TBS for 10 minutes at room temperature and blocked with 1% Blocker BSA for 15 minutes at room temperature. Cells were probed with the primary antibody (ET1611-51, 1/50) for 1 hour at room temperature, washed with PBS. Alexa Fluor®488 Goat anti-Rabbit IgG was used as the secondary antibody at 1/1,000 dilution. The nuclear counter stain is DAPI (blue).
quantity: 100μl
price: 385.00 USD
to the supplier
Histone H3
HUABIO
catalog: ET1701-64
domestic rabbit monoclonal (JJ090-07)
reactivity:
human
,
mouse
,
rat
application:
western blot
,
immunoprecipitation
,
chromatin immunoprecipitation
,
immunohistochemistry - paraffin section
Western blot analysis of Histone H3 on different lysates with Rabbit anti-Histone H3 antibody (ET1701-64) at 1/20,000 dilution and competitor's antibody at 1/5,000 dilution. Lane 1: HeLa cell lysate Lane 2: A549 cell lysate Lane 3: HT-29 cell lysate Lane 4: HEK-293 cell lysate Lane 5: C2C12 cell lysate Lane 6: L-929 cell lysate Lane 7: C6 cell lysate Lysates/proteins at 10 µg/Lane. Predicted band size: 15 kDa Observed band size: 15 kDa Exposure time: 18 seconds; ECL: K1801; 4-20% SDS-PAGE gel. Proteins were transferred to a PVDF membrane and blocked with 5% NFDM/TBST for 1 hour at room temperature. The primary antibody (ET1701-64) at 1/20,000 dilution and competitor's antibody at 1/5,000 dilution were used in 5% NFDM/TBST at 4℃ overnight. Goat Anti-Rabbit IgG - HRP Secondary Antibody (HA1001) at 1/50,000 dilution was used for 1 hour at room temperature.
Immunocytochemistry analysis of HeLa cells labeling Histone H3 with Rabbit anti-Histone H3 antibody (ET1701-64) at 1/100 dilution. Cells were fixed in 4% paraformaldehyde for 10 minutes at 37 ℃, permeabilized with 0.05% Triton X-100 in PBS for 20 minutes, and then blocked with 2% negative goat serum for 30 minutes at room temperature. Cells were then incubated with Rabbit anti-Histone H3 antibody (ET1701-64) at 1/100 dilution in 2% negative goat serum overnight at 4 ℃. Goat Anti-Rabbit IgG H&L (iFluor™ 488, HA1121) was used as the secondary antibody at 1/1,000 dilution. PBS instead of the primary antibody was used as the secondary antibody only control. Nuclear DNA was labelled in blue with DAPI.
Immunohistochemical analysis of paraffin-embedded human kidney tissue with Rabbit anti-Histone H3 antibody (ET1701-64) at 1/10,000 dilution. The section was pre-treated using heat mediated antigen retrieval with sodium citrate buffer (pH 6.0) (high pressure) for 2 minutes. The tissues were blocked in 1% BSA for 20 minutes at room temperature, washed with ddH2O and PBS, and then probed with the primary antibody (ET1701-64) at 1/10,000 dilution for 1 hour at room temperature. The detection was performed using an HRP conjugated compact polymer system. DAB was used as the chromogen. Tissues were counterstained with hematoxylin and mounted with DPX.
quantity: 100μl
price: 385.00 USD
to the supplier
Histone H3
HUABIO
catalog: ET1701-81
domestic rabbit monoclonal (JJ092-08)
reactivity:
human
,
mouse
,
rat
application:
western blot
,
chromatin immunoprecipitation
,
immunohistochemistry - paraffin section
Western blot analysis of Histone H3 on different lysates with Rabbit anti-Histone H3 antibody (ET1701-81) at 1/5,000 dilution. Lane 1: HeLa cell lysate Lane 2: A549 cell lysate Lane 3: HT-29 cell lysate Lane 4: HEK-293 cell lysate Lane 5: C2C12 cell lysate Lane 6: L-929 cell lysate Lane 7: C6 cell lysate Lysates/proteins at 20 µg/Lane. Predicted band size: 15 kDa Observed band size: 15 kDa Exposure time: 2 minutes 36 seconds; ECL: K1802; 4-20% SDS-PAGE gel. Proteins were transferred to a PVDF membrane and blocked with 5% NFDM/TBST for 1 hour at room temperature. The primary antibody (ET1701-81) at 1/5,000 dilution was used in 5% NFDM/TBST at 4℃ overnight. Goat Anti-Rabbit IgG - HRP Secondary Antibody (HA1001) at 1/50,000 dilution was used for 1 hour at room temperature.
Immunohistochemical analysis of paraffin-embedded human liver tissue with Rabbit anti-Histone H3 antibody (ET1701-81) at 1/2,000 dilution. The section was pre-treated using heat mediated antigen retrieval with Tris-EDTA buffer (pH 9.0) for 20 minutes. The tissues were blocked in 1% BSA for 20 minutes at room temperature, washed with ddH2O and PBS, and then probed with the primary antibody (ET1701-81) at 1/2,000 dilution for 1 hour at room temperature. The detection was performed using an HRP conjugated compact polymer system. DAB was used as the chromogen. Tissues were counterstained with hematoxylin and mounted with DPX.
Immunohistochemical analysis of paraffin-embedded mouse testis tissue with Rabbit anti-Histone H3 antibody (ET1701-81) at 1/2,000 dilution. The section was pre-treated using heat mediated antigen retrieval with Tris-EDTA buffer (pH 9.0) for 20 minutes. The tissues were blocked in 1% BSA for 20 minutes at room temperature, washed with ddH2O and PBS, and then probed with the primary antibody (ET1701-81) at 1/2,000 dilution for 1 hour at room temperature. The detection was performed using an HRP conjugated compact polymer system. DAB was used as the chromogen. Tissues were counterstained with hematoxylin and mounted with DPX.
quantity: 100μl
price: 385.00 USD
to the supplier
Histone H3 (acetyl K14)
HUABIO
catalog: ET1706-28
domestic rabbit monoclonal (JU43-26)
reactivity:
human
,
mouse
,
rat
application:
western blot
,
immunoprecipitation
,
immunohistochemistry - paraffin section
Western blot analysis of Histone H3 (acetyl K14) on different lysates with Rabbit anti-Histone H3 (acetyl K14) antibody (ET1706-28) at 1/500 dilution. Lane 1: Jurkat cell lysate(10 µg/Lane) Lane 2: Rat liver tissue lysate Lane 3: Mouse lung tissue lysate Lysates/proteins at 20 µg/Lane. Predicted band size: 15 kDa Observed band size: 15 kDa Exposure time: 2 minutes; 15% SDS-PAGE gel. Proteins were transferred to a PVDF membrane and blocked with 5% NFDM/TBST for 1 hour at room temperature. The primary antibody (ET1706-28) at 1/500 dilution was used in 5% NFDM/TBST at room temperature for 2 hours. Goat Anti-Rabbit IgG - HRP Secondary Antibody (HA1001) at 5,000 dilution was used for 1 hour at room temperature.
Western blot analysis of Histone H3 (acetyl K14) on different lysates with Rabbit anti-Histone H3 (acetyl K14) antibody (ET1706-28) at 1/1,000 dilution. Lane 1: Hela whole cell lysate Lane 2: Hela treated with 1μM TSA for 18 hours whole cell lysate Lysates/proteins at 20 µg/Lane. Predicted band size: 15 kDa Observed band size: 15 kDa Exposure time: 5 minutes; 10% SDS-PAGE gel. Proteins were transferred to a PVDF membrane and blocked with 5% NFDM/TBST for 1 hour at room temperature. The primary antibody (ET1706-28) at 1/1,000 dilution was used in 5% NFDM/TBST at room temperature for 2 hours. Goat Anti-Rabbit IgG - HRP Secondary Antibody (HA1001) at 1:200,000 dilution was used for 1 hour at room temperature.
Immunocytochemistry analysis of F9 cells labeling Histone H3 (acetyl K14) with Rabbit anti-Histone H3 (acetyl K14) antibody (ET1706-28) at 1/100 dilution. Cells were fixed in 4% paraformaldehyde for 20 minutes at room temperature, permeabilized with 0.1% Triton X-100 in PBS for 5 minutes at room temperature, then blocked with 1% BSA in 10% negative goat serum for 1 hour at room temperature. Cells were then incubated with Rabbit anti-Histone H3 (acetyl K14) antibody (ET1706-28) at 1/100 dilution in 1% BSA in PBST overnight at 4 ℃. Goat Anti-Rabbit IgG H&L (iFluor™ 488, HA1121) was used as the secondary antibody at 1/1,000 dilution. PBS instead of the primary antibody was used as the secondary antibody only control. Nuclear DNA was labelled in blue with DAPI. Beta tubulin (M1305-2, red) was stained at 1/100 dilution overnight at +4℃. Goat Anti-Mouse IgG H&L (iFluor™ 594, HA1126) was used as the secondary antibody at 1/1,000 dilution.
quantity: 100μl
price: 385.00 USD
to the supplier
Histone H3 (acetyl K27)
HUABIO
catalog: HA500046
domestic rabbit polyclonal
reactivity:
human
,
mouse
,
rat
application:
western blot
,
chromatin immunoprecipitation
,
immunohistochemistry - paraffin section
Western blot analysis of Histone H3 (acetyl K27) on different lysates with Rabbit anti-Histone H3 (acetyl K27) antibody (HA500046) at 1/2,000 dilution. Lane 1: HeLa cell lysate Lane 2: HeLa treated with 500ng/mL TSA for 4 hours cell lysate Lane 3: NIH/3T3 cell lysate Lane 4: NIH/3T3 treated with 400nM TSA for 18 hours cell lysate Lane 5: C6 cell lysate Lane 6: C6 treated with 1μM TSA for 18 hours cell lysate Lysates/proteins at 20 µg/Lane. Predicted band size: 15 kDa Observed band size: 15 kDa Exposure time: 4 seconds; ECL: K1801; 4-20% SDS-PAGE gel. Proteins were transferred to a PVDF membrane and blocked with 5% NFDM/TBST for 1 hour at room temperature. The primary antibody (HA500046) at 1/2,000 dilution was used in primary antibody dilution (K1803) at 4℃ overnight. Goat Anti-Rabbit IgG - HRP Secondary Antibody (HA1001) at 1/50,000 dilution was used for 1 hour at room temperature.
Western blot analysis of Histone H3 (acetyl K27) on different lysates with Rabbit anti-Histone H3 (acetyl K27) antibody (HA500046) at 1/1,000 dilution. Lane 1: Mouse brain tissue lysate Lane 2: Mouse hippocampus tissue lysate Lysates/proteins at 40 µg/Lane. Predicted band size: 15 kDa Observed band size: 15 kDa Exposure time: 4 seconds; ECL: K1801; 4-20% SDS-PAGE gel. Proteins were transferred to a PVDF membrane and blocked with 5% NFDM/TBST for 1 hour at room temperature. The primary antibody (HA500046) at 1/1,000 dilution was used in 5% NFDM/TBST at 4℃ overnight. Goat Anti-Rabbit IgG - HRP Secondary Antibody (HA1001) at 1/50,000 dilution was used for 1 hour at room temperature.
Chromatin immunoprecipitations were performed with cross-linked chromatin from HeLa cells treated with 500ng/mL TSA for 4 hours with Histone H3 (acetyl K27) (HA500046) or Normal Rabbit IgG according to the ChIP protocol. The enriched DNA was quantified by real-time PCR using indicated primers. The amount of immunoprecipitated DNA in each sample is represented as signal relative to the total amount of input chromatin, which is equivalent to one.
quantity: 100μl
price: 330 USD
to the supplier
Histone H3 (acetyl K18)
HUABIO
catalog: HA500047
domestic rabbit polyclonal
reactivity:
human
,
mouse
,
rat
application:
western blot
,
immunohistochemistry - paraffin section
Western blot analysis of Histone H3 (acetyl K18) on different lysates. Proteins were transferred to a PVDF membrane and blocked with 5% BSA in PBS for 1 hour at room temperature. The primary antibody (HA500047, 1/500) was used in 5% BSA at room temperature for 2 hours. Goat Anti-Rabbit IgG - HRP Secondary Antibody (HA1001) at 1:5,000 dilution was used for 1 hour at room temperature. Positive control: Lane 1: Hela cell lysate, untreated Lane 2: Hela cell lysate, treated with Sodium Butyrate 0.5mM for 24h
Western blot analysis of Histone H3 (acetyl K18) on different lysates. Proteins were transferred to a PVDF membrane and blocked with 5% BSA in PBS for 1 hour at room temperature. The primary antibody (HA500047, 1/500) was used in 5% BSA at room temperature for 2 hours. Goat Anti-Rabbit IgG - HRP Secondary Antibody (HA1001) at 1:5,000 dilution was used for 1 hour at room temperature. Positive control: Lane 1: Hela cell lysate, untreated Lane 2: Hela cell lysate, treated with trichostatin at 500 ng/ml for 4h
Immunocytochemistry analysis of HeLa cells untreated / treated with 500ng/mL TSA for 4 hours labeling Histone H3 (acetyl K18) with Rabbit anti-Histone H3 (acetyl K18) antibody (HA500047) at 1/2,000 dilution. Cells were fixed in 4% paraformaldehyde for 15 minutes at room temperature, permeabilized with 0.1% Triton X-100 in PBS for 15 minutes at room temperature, then blocked with 1% BSA in 10% negative goat serum for 1 hour at room temperature. Cells were then incubated with Rabbit anti-Histone H3 (acetyl K18) antibody (HA500047) at 1/2,000 dilution in 1% BSA in PBST overnight at 4 ℃. Goat Anti-Rabbit IgG H&L (iFluor™ 488, HA1121) was used as the secondary antibody at 1/1,000 dilution. PBS instead of the primary antibody was used as the secondary antibody only control. Nuclear DNA was labelled in blue with DAPI. Beta tubulin (HA601187, red) was stained at 1/100 dilution overnight at +4℃. Goat Anti-Mouse IgG H&L (iFluor™ 594, HA1126) was used as the secondary antibody at 1/1,000 dilution.
quantity: 100μl
price: 330 USD
to the supplier
Histone H3 (acetyl K27)
HUABIO
catalog: HA600047-50UL
mouse monoclonal (A6D7)
reactivity:
human
,
mouse
,
rat
application:
western blot
,
flow cytometry
,
chromatin immunoprecipitation
,
immunohistochemistry - paraffin section
Western blot analysis of Histone H3 (acetyl K27) on different lysates with Mouse anti-Histone H3 (acetyl K27) antibody (HA600047) at 1/1,000 dilution. Lane 1: NIH/3T3 cell lysate Lane 2: NIH/3T3 treated with 1μM TSA for 18 hours cell lysate Lysates/proteins at 20 µg/Lane. Predicted band size: 15 kDa Observed band size: 15 kDa Exposure time: 10 seconds; ECL: K1801; 4-20% SDS-PAGE gel. Proteins were transferred to a PVDF membrane and blocked with 5% NFDM/TBST for 1 hour at room temperature. The primary antibody (HA600047) at 1/1,000 dilution was used in 5% NFDM/TBST at 4℃ overnight. Goat Anti-Mouse IgG - HRP Secondary Antibody (HA1006) at 1/50,000 dilution was used for 1 hour at room temperature.
Western blot analysis of Histone H3 (acetyl K27) on different lysates. Proteins were transferred to a PVDF membrane and blocked with 5% BSA in PBS for 1 hour at room temperature. The primary antibody (HA600047, 1/500) was used in 5% BSA at room temperature for 2 hours. Goat Anti-Mouse IgG - HRP Secondary Antibody (HA1006) at 1:20,000 dilution was used for 1 hour at room temperature. Positive control: Lane 1: 293 cell lysate Lane 2: MCF-7 cell lysate Lane 3: NIH/3T3 cell lysate Lane 4: PC-12 cell lysate
Western blot analysis of Histone H3 (acetyl K27) on HeLa cell lysates. Proteins were transferred to a PVDF membrane and blocked with 5% BSA in PBS for 1 hour at room temperature. The primary antibody (HA600047, 1/500) was used in 5% BSA at room temperature for 2 hours. Goat Anti-Mouse IgG - HRP Secondary Antibody (HA1006) at 1:20,000 dilution was used for 1 hour at room temperature. Lane 1: Untreated HeLa whole cell lysates Lane 2: HeLa treated with Trichostatin A whole cell lysates
quantity: 50μl
price: 205.00 USD
to the supplier
Histone H3 (acetyl K27)
HUABIO
catalog: HA600048
mouse monoclonal (A6D6)
reactivity:
human
,
mouse
,
rat
application:
western blot
,
flow cytometry
,
chromatin immunoprecipitation
,
immunohistochemistry - paraffin section
Western blot analysis of Histone H3 (acetyl K27) on different lysates with Mouse anti-Histone H3 (acetyl K27) antibody (HA600048) at 1/1,000 dilution. Lane 1: NIH/3T3 cell lysate Lane 2: NIH/3T3 treated with 1μM TSA for 18 hours cell lysate Lysates/proteins at 20 µg/Lane. Predicted band size: 15 kDa Observed band size: 15 kDa Exposure time: 10 seconds; ECL: K1801; 4-20% SDS-PAGE gel. Proteins were transferred to a PVDF membrane and blocked with 5% NFDM/TBST for 1 hour at room temperature. The primary antibody (HA600048) at 1/1,000 dilution was used in 5% NFDM/TBST at 4℃ overnight. Goat Anti-Mouse IgG - HRP Secondary Antibody (HA1006) at 1/50,000 dilution was used for 1 hour at room temperature.
Western blot analysis of Histone H3 (acetyl K27) on different lysates. Proteins were transferred to a PVDF membrane and blocked with 5% BSA in PBS for 1 hour at room temperature. The primary antibody (HA600048, 1/500) was used in 5% BSA at room temperature for 2 hours. Goat Anti-Mouse IgG - HRP Secondary Antibody (HA1006) at 1:20,000 dilution was used for 1 hour at room temperature. Positive control: Lane 1: PC-12 cell lysate Lane 2: 293 cell lysate Lane 3: MCF-7 cell lysate Lane 4: NIH/3T3 cell lysate
Western blot analysis of Histone H3 (acetyl K27) on Hela cell lysates. Proteins were transferred to a PVDF membrane and blocked with 5% BSA in PBS for 1 hour at room temperature. The primary antibody (HA600048, 1/500) was used in 5% BSA at room temperature for 2 hours. Goat Anti-Mouse IgG - HRP Secondary Antibody (HA1006) at 1:20,000 dilution was used for 1 hour at room temperature. Lane 1: Untreated Hela whole cell lysates Lane 2: Hela treated with Trichostatin A whole cell lysates
quantity: 100μl
price: 360.00 USD
to the supplier
Histone H3 (acetyl K18)
HUABIO
catalog: HA600090
mouse monoclonal (A7B5)
reactivity:
human
,
mouse
,
rat
application:
western blot
,
chromatin immunoprecipitation
,
immunohistochemistry - paraffin section
Western blot analysis of Histone H3 (acetyl K18) on different lysates with Mouse anti-Histone H3 (acetyl K18) antibody (HA600090) at 1/2,000 dilution. Lane 1: NIH/3T3 cell lysate Lane 2: NIH/3T3 treated with 400nM Calyculin A for 18 hours cell lysate Lane 3: HeLa cell lysate Lane 4: HeLa treated with 1μM Calyculin A for 18 hours cell lysate Lane 5: C6 cell lysate Lane 6: C6 treated with 1μM Calyculin A for 18 hours cell lysate Lysates/proteins at 20 µg/Lane. Predicted band size: 15 kDa Observed band size: 15 kDa Exposure time: 2 minutes; ECL: K1801; 4-20% SDS-PAGE gel. Proteins were transferred to a PVDF membrane and blocked with 5% NFDM/TBST for 1 hour at room temperature. The primary antibody (HA600090) at 1/2,000 dilution was used in 5% NFDM/TBST at 4℃ overnight. Goat Anti-Mouse IgG - HRP Secondary Antibody (HA1006) at 1/50,000 dilution was used for 1 hour at room temperature.
Immunohistochemical analysis of paraffin-embedded rat liver tissue with Mouse anti-Histone H3 (acetyl K18) antibody (HA600090) at 1/500 dilution. The section was pre-treated using heat mediated antigen retrieval with sodium citrate buffer (pH 6.0) (high pressure) for 2 minutes. The tissues were blocked in 1% BSA for 20 minutes at room temperature, washed with ddH2O and PBS, and then probed with the primary antibody (HA600090) at 1/500 dilution for 1 hour at room temperature. The detection was performed using an HRP conjugated compact polymer system. DAB was used as the chromogen. Tissues were counterstained with hematoxylin and mounted with DPX.
Immunohistochemical analysis of paraffin-embedded rat hippocampus tissue with Mouse anti-Histone H3 (acetyl K18) antibody (HA600090) at 1/500 dilution. The section was pre-treated using heat mediated antigen retrieval with sodium citrate buffer (pH 6.0) (high pressure) for 2 minutes. The tissues were blocked in 1% BSA for 20 minutes at room temperature, washed with ddH2O and PBS, and then probed with the primary antibody (HA600090) at 1/500 dilution for 1 hour at room temperature. The detection was performed using an HRP conjugated compact polymer system. DAB was used as the chromogen. Tissues were counterstained with hematoxylin and mounted with DPX.
quantity: 100μl
price: 360.00 USD
to the supplier
Histone H3 (acetyl K18)
HUABIO
catalog: HA600091
mouse monoclonal (A7B6)
reactivity:
human
application:
western blot
Western blot analysis of Histone H3 (acetyl K18) on different lysates with Mouse anti-Histone H3 (acetyl K18) antibody (HA600091) at 1/2,000 dilution. Lane 1: Hela cell lysate Lane 2: Hela treated with TSA cell lysate Lysates/proteins at 10 µg/Lane. Predicted band size: 15 kDa Observed band size: 14 kDa Exposure time: 30 seconds; 15% SDS-PAGE gel. Proteins were transferred to a PVDF membrane and blocked with 5% NFDM/TBST for 1 hour at room temperature. The primary antibody (HA600091) at 1/2,000 dilution was used in 5% NFDM/TBST at room temperature for 2 hours. Goat Anti-Mouse IgG - HRP Secondary Antibody (HA1006) at 1:100,000 dilution was used for 1 hour at room temperature.
Immunocytochemistry analysis of Hela cells labeling Histone H3 (acetyl K18) with Mouse anti-Histone H3 (acetyl K18) antibody (HA600091) at 1/200 dilution. Cells were fixed in 4% paraformaldehyde for 30 minutes, permeabilized with 0.1% Triton X-100 in PBS for 15 minutes, and then blocked with 2% BSA for 30 minutes at room temperature. Cells were then incubated with Mouse anti-Histone H3 (acetyl K18) antibody (HA600091) at 1/200 dilution in 2% BSA overnight at 4 ℃. Goat Anti-Mouse IgG H&L (iFluor™ 488, HA1125) was used as the secondary antibody at 1/1,000 dilution. PBS instead of the primary antibody was used as the secondary antibody only control. Nuclear DNA was labelled in blue with DAPI.
Immunocytochemistry analysis of TSA treated Hela cells labeling Histone H3 (acetyl K18) with Mouse anti-Histone H3 (acetyl K18) antibody (HA600091) at 1/200 dilution. Cells were fixed in 4% paraformaldehyde for 30 minutes, permeabilized with 0.1% Triton X-100 in PBS for 15 minutes, and then blocked with 2% BSA for 30 minutes at room temperature. Cells were then incubated with Mouse anti-Histone H3 (acetyl K18) antibody (HA600091) at 1/200 dilution in 2% BSA overnight at 4 ℃. Goat Anti-Mouse IgG H&L (iFluor™ 488, HA1125) was used as the secondary antibody at 1/1,000 dilution. PBS instead of the primary antibody was used as the secondary antibody only control. Nuclear DNA was labelled in blue with DAPI.
quantity: 100μl
price: 360.00 USD
to the supplier
Histone H3
HUABIO
catalog: HA601278
mouse monoclonal (A11-D7-R)
reactivity:
human
,
mouse
,
rat
application:
western blot
,
immunohistochemistry - paraffin section
Western blot analysis of Histone H3 on different lysates with Mouse anti-Histone H3 antibody (HA601278) at 1/5,000 dilution. Lane 1: HeLa cell lysate Lane 2: HEK-293 cell lysate Lane 3: A431 cell lysate Lane 4: MCF7 cell lysate Lane 5: NIH/3T3 cell lysate Lane 6: C2C12 cell lysate Lane 7: C6 cell lysate Lane 8: PC-12 cell lysate Lysates/proteins at 20 µg/Lane. Predicted band size: 15 kDa Observed band size: 15 kDa Exposure time: 25 seconds; 4-20% SDS-PAGE gel. Proteins were transferred to a PVDF membrane and blocked with 5% NFDM/TBST for 1 hour at room temperature. The primary antibody (HA601278) at 1/5,000 dilution was used in 5% NFDM/TBST at room temperature for 2 hours. Goat Anti-Mouse IgG - HRP Secondary Antibody (HA1006) at 1/50,000 dilution was used for 1 hour at room temperature.
Immunohistochemical analysis of paraffin-embedded human skin tissue with Mouse anti-Histone H3 antibody (HA601278) at 1/1,000 dilution. The section was pre-treated using heat mediated antigen retrieval with sodium citrate buffer (pH 6.0) (high pressure) for 2 minutes. The tissues were blocked in 1% BSA for 20 minutes at room temperature, washed with ddH2O and PBS, and then probed with the primary antibody (HA601278) at 1/1,000 dilution for 1 hour at room temperature. The detection was performed using an HRP conjugated compact polymer system. DAB was used as the chromogen. Tissues were counterstained with hematoxylin and mounted with DPX.
Immunohistochemical analysis of paraffin-embedded mouse brain tissue with Mouse anti-Histone H3 antibody (HA601278) at 1/1,000 dilution. The section was pre-treated using heat mediated antigen retrieval with sodium citrate buffer (pH 6.0) (high pressure) for 2 minutes. The tissues were blocked in 1% BSA for 20 minutes at room temperature, washed with ddH2O and PBS, and then probed with the primary antibody (HA601278) at 1/1,000 dilution for 1 hour at room temperature. The detection was performed using an HRP conjugated compact polymer system. DAB was used as the chromogen. Tissues were counterstained with hematoxylin and mounted with DPX.
quantity: 100μl
price: 360.00 USD
to the supplier
Histone H3
HUABIO
catalog: HA601335
mouse monoclonal (6-A7-R)
reactivity:
human
,
mouse
,
rat
application:
western blot
,
chromatin immunoprecipitation
,
immunohistochemistry - paraffin section
Western blot analysis of Histone H3 on different lysates with Mouse anti-Histone H3 antibody (HA601335) at 1/5,000 dilution. Lane 1: HeLa cell lysate Lane 2: A549 cell lysate Lane 3: NIH/3T3 cell lysate Lane 4: PC-12 cell lysate Lane 5: C6 cell lysate Lysates/proteins at 20 µg/Lane. Predicted band size: 15 kDa Observed band size: 15 kDa Exposure time: 14 seconds; ECL: K1801; 4-20% SDS-PAGE gel. Proteins were transferred to a PVDF membrane and blocked with 5% NFDM/TBST for 1 hour at room temperature. The primary antibody (HA601335) at 1/5,000 dilution was used in 5% NFDM/TBST at 4℃ overnight. Anti-Mouse IgG for IP Nano-secondary antibody (NBI02H) at 1/5,000 dilution was used for 1 hour at room temperature.
Western blot analysis of Histone H3 on different lysates with Mouse anti-Histone H3 antibody (HA601335) at 1/5,000 dilution. Lane 1: Rat testis tissue lysate Lane 2: Mouse skin tissue lysate Lysates/proteins at 20 µg/Lane. Predicted band size: 15 kDa Observed band size: 15 kDa Exposure time: 15 seconds; ECL: K1801; 4-20% SDS-PAGE gel. Proteins were transferred to a PVDF membrane and blocked with 5% NFDM/TBST for 1 hour at room temperature. The primary antibody (HA601335) at 1/5,000 dilution was used in 5% NFDM/TBST at 4℃ overnight. Anti-Mouse IgG for IP Nano-secondary antibody (NBI02H) at 1/5,000 dilution was used for 1 hour at room temperature.
Immunohistochemical analysis of paraffin-embedded human liver tissue with Mouse anti-Histone H3 antibody (HA601335) at 1/1,000 dilution. The section was pre-treated using heat mediated antigen retrieval with sodium citrate buffer (pH 6.0) (high pressure) for 2 minutes. The tissues were blocked in 1% BSA for 20 minutes at room temperature, washed with ddH2O and PBS, and then probed with the primary antibody (HA601335) at 1/1,000 dilution for 1 hour at room temperature. The detection was performed using an HRP conjugated compact polymer system. DAB was used as the chromogen. Tissues were counterstained with hematoxylin and mounted with DPX.
quantity: 100μl
price: 360.00 USD
to the supplier
Histone H3
HUABIO
catalog: HA610153
mouse monoclonal (A11-D7-R)
reactivity:
human
,
mouse
,
rat
application:
western blot
,
immunohistochemistry - paraffin section
Western blot analysis of Histone H3 on different lysates with Mouse anti-Histone H3 antibody (HA610153) at 1/5,000 dilution. Lane 1: HeLa cell lysate Lane 2: HEK-293 cell lysate Lane 3: A431 cell lysate Lane 4: MCF7 cell lysate Lane 5: NIH/3T3 cell lysate Lane 6: C2C12 cell lysate Lane 7: C6 cell lysate Lane 8: PC-12 cell lysate Lysates/proteins at 20 µg/Lane. Predicted band size: 15 kDa Observed band size: 15 kDa Exposure time: 25 seconds; 4-20% SDS-PAGE gel. Proteins were transferred to a PVDF membrane and blocked with 5% NFDM/TBST for 1 hour at room temperature. The primary antibody (HA610153) at 1/5,000 dilution was used in 5% NFDM/TBST at room temperature for 2 hours. Goat Anti-Mouse IgG - HRP Secondary Antibody (HA1006) at 1/50,000 dilution was used for 1 hour at room temperature.
Immunohistochemical analysis of paraffin-embedded human skin tissue with Mouse anti-Histone H3 antibody (HA610153) at 1/1,000 dilution. The section was pre-treated using heat mediated antigen retrieval with sodium citrate buffer (pH 6.0) (high pressure) for 2 minutes. The tissues were blocked in 1% BSA for 20 minutes at room temperature, washed with ddH2O and PBS, and then probed with the primary antibody (HA610153) at 1/1,000 dilution for 1 hour at room temperature. The detection was performed using an HRP conjugated compact polymer system. DAB was used as the chromogen. Tissues were counterstained with hematoxylin and mounted with DPX.
Immunohistochemical analysis of paraffin-embedded mouse brain tissue with Mouse anti-Histone H3 antibody (HA610153) at 1/1,000 dilution. The section was pre-treated using heat mediated antigen retrieval with sodium citrate buffer (pH 6.0) (high pressure) for 2 minutes. The tissues were blocked in 1% BSA for 20 minutes at room temperature, washed with ddH2O and PBS, and then probed with the primary antibody (HA610153) at 1/1,000 dilution for 1 hour at room temperature. The detection was performed using an HRP conjugated compact polymer system. DAB was used as the chromogen. Tissues were counterstained with hematoxylin and mounted with DPX.
quantity: 100μg
price: 649.00 USD
to the supplier
Histone H3
HUABIO
catalog: HA610203
mouse monoclonal (6-A7-R)
reactivity:
human
,
mouse
,
rat
application:
western blot
,
chromatin immunoprecipitation
,
immunohistochemistry - paraffin section
Western blot analysis of Histone H3 on different lysates with Mouse anti-Histone H3 antibody (HA610203) at 1/5,000 dilution. Lane 1: HeLa cell lysate Lane 2: A549 cell lysate Lane 3: NIH/3T3 cell lysate Lane 4: PC-12 cell lysate Lane 5: C6 cell lysate Lysates/proteins at 20 µg/Lane. Predicted band size: 15 kDa Observed band size: 15 kDa Exposure time: 14 seconds; ECL: K1801; 4-20% SDS-PAGE gel. Proteins were transferred to a PVDF membrane and blocked with 5% NFDM/TBST for 1 hour at room temperature. The primary antibody (HA610203) at 1/5,000 dilution was used in 5% NFDM/TBST at 4℃ overnight. Anti-Mouse IgG for IP Nano-secondary antibody (NBI02H) at 1/5,000 dilution was used for 1 hour at room temperature.
Western blot analysis of Histone H3 on different lysates with Mouse anti-Histone H3 antibody (HA610203) at 1/5,000 dilution. Lane 1: Rat testis tissue lysate Lane 2: Mouse skin tissue lysate Lysates/proteins at 20 µg/Lane. Predicted band size: 15 kDa Observed band size: 15 kDa Exposure time: 15 seconds; ECL: K1801; 4-20% SDS-PAGE gel. Proteins were transferred to a PVDF membrane and blocked with 5% NFDM/TBST for 1 hour at room temperature. The primary antibody (HA610203) at 1/5,000 dilution was used in 5% NFDM/TBST at 4℃ overnight. Anti-Mouse IgG for IP Nano-secondary antibody (NBI02H) at 1/5,000 dilution was used for 1 hour at room temperature.
Immunohistochemical analysis of paraffin-embedded human liver tissue with Mouse anti-Histone H3 antibody (HA610203) at 1/1,000 dilution. The section was pre-treated using heat mediated antigen retrieval with sodium citrate buffer (pH 6.0) (high pressure) for 2 minutes. The tissues were blocked in 1% BSA for 20 minutes at room temperature, washed with ddH2O and PBS, and then probed with the primary antibody (HA610203) at 1/1,000 dilution for 1 hour at room temperature. The detection was performed using an HRP conjugated compact polymer system. DAB was used as the chromogen. Tissues were counterstained with hematoxylin and mounted with DPX.
quantity: 100μg
price: 649.00 USD
to the supplier
Phospho-Histone H3 (S28)
HUABIO
catalog: HA721795
domestic rabbit monoclonal (JE56-06)
reactivity:
human
,
mouse
,
rat
application:
western blot
,
flow cytometry
,
chromatin immunoprecipitation
,
immunohistochemistry - paraffin section
Western blot analysis of Phospho-Histone H3 (S28) on different lysates with Rabbit anti-Phospho-Histone H3 (S28) antibody (HA721795) at 1/1,000 dilution. Lane 1: HeLa cell lysate Lane 2: HeLa treated with 100ng/mL Nocodazole for 18 hours cell lysate Lane 3: HeLa treated with 100ng/mL Nocodazole for 18 hours,then the membrane treated with λpp for 1 hour cell lysate Lysates/proteins at 20 µg/Lane. Predicted band size: 15 kDa Observed band size: 15 kDa Exposure time: 25 seconds; ECL: K1801; 4-20% SDS-PAGE gel. Proteins were transferred to a PVDF membrane and blocked with 5% NFDM/TBST for 1 hour at room temperature. The primary antibody (HA721795) at 1/1,000 dilution was used in 5% NFDM/TBST at 4℃ overnight. Goat Anti-Rabbit IgG - HRP Secondary Antibody (HA1001) at 1/50,000 dilution was used for 1 hour at room temperature.
Western blot analysis of Phospho-Histone H3 (S28) on different lysates with Rabbit anti-Phospho-Histone H3 (S28) antibody (HA721795) at 1/1,000 dilution. Lane 1: PC-12 cell lysate Lane 2: PC-12 treated with 100ng/mL Nocodazole for 18 hours cell lysate Lane 3: PC-12 treated with 100ng/mL Nocodazole for 18 hours,then the membrane treated with λpp for 1 hour cell lysate Lysates/proteins at 20 µg/Lane. Predicted band size: 15 kDa Observed band size: 15 kDa Exposure time: 59 seconds; ECL: K1801; 4-20% SDS-PAGE gel. Proteins were transferred to a PVDF membrane and blocked with 5% NFDM/TBST for 1 hour at room temperature. The primary antibody (HA721795) at 1/1,000 dilution was used in 5% NFDM/TBST at 4℃ overnight. Goat Anti-Rabbit IgG - HRP Secondary Antibody (HA1001) at 1/50,000 dilution was used for 1 hour at room temperature.
Immunocytochemistry analysis of HeLa cells labeling Phospho-Histone H3 (S28) with Rabbit anti-Phospho-Histone H3 (S28) antibody (HA721795) at 1/10,000 dilution. Cells were fixed in 4% paraformaldehyde for 20 minutes at room temperature, permeabilized with 0.1% Triton X-100 in PBS for 5 minutes at room temperature, then blocked with 1% BSA in 10% negative goat serum for 1 hour at room temperature. Cells were then incubated with Rabbit anti-Phospho-Histone H3 (S28) antibody (HA721795) at 1/10,000 dilution in 1% BSA in PBST overnight at 4 ℃. Goat Anti-Rabbit IgG H&L (iFluor™ 488, HA1121) was used as the secondary antibody at 1/1,000 dilution. PBS instead of the primary antibody was used as the secondary antibody only control. Nuclear DNA was labelled in blue with DAPI. Beta tubulin (M1305-2, red) was stained at 1/100 dilution overnight at +4℃. Goat Anti-Mouse IgG H&L (iFluor™ 594, HA1126) was used as the secondary antibody at 1/1,000 dilution.
quantity: 100μl
price: 385.00 USD
to the supplier
Phospho-Histone H3 (T3)
HUABIO
catalog: HA721796
domestic rabbit monoclonal (JE42-48)
reactivity:
human
,
mouse
,
rat
application:
western blot
,
flow cytometry
,
immunohistochemistry - paraffin section
Western blot analysis of Phospho-Histone H3 (T3) on different lysates with Rabbit anti-Phospho-Histone H3 (T3) antibody (HA721796) at 1/1,000 dilution. Lane 1: HeLa cell lysate Lane 2: HeLa treated with 20% FBS and 100nM Calyculin A for 30 minutes cell lysate Lane 3: NIH/3T3 cell lysate Lane 4: NIH/3T3 treated with 20% PBS and 100nM Calyculin A for 30 minutes cell lysate Lysates/proteins at 20 µg/Lane. Predicted band size: 15 kDa Observed band size: 15 kDa Exposure time: 25 seconds; 4-20% SDS-PAGE gel. Proteins were transferred to a PVDF membrane and blocked with 5% NFDM/TBST for 1 hour at room temperature. The primary antibody (HA721796) at 1/1,000 dilution was used in 5% NFDM/TBST at 4℃ overnight. Goat Anti-Rabbit IgG - HRP Secondary Antibody (HA1001) at 1/50,000 dilution was used for 1 hour at room temperature.
Immunohistochemical analysis of paraffin-embedded mouse breast tissue with Rabbit anti-Phospho-Histone H3 (T3) antibody (HA721796) at 1/200 dilution. The section was pre-treated using heat mediated antigen retrieval with sodium citrate buffer (pH 6.0) (high pressure) for 2 minutes. The tissues were blocked in 1% BSA for 20 minutes at room temperature, washed with ddH2O and PBS, and then probed with the primary antibody (HA721796) at 1/200 dilution for 1 hour at room temperature. The detection was performed using an HRP conjugated compact polymer system. DAB was used as the chromogen. Tissues were counterstained with hematoxylin and mounted with DPX.
Immunohistochemical analysis of paraffin-embedded mouse skin tissue with Rabbit anti-Phospho-Histone H3 (T3) antibody (HA721796) at 1/1,000 dilution. The section was pre-treated using heat mediated antigen retrieval with sodium citrate buffer (pH 6.0) (high pressure) for 2 minutes. The tissues were blocked in 1% BSA for 20 minutes at room temperature, washed with ddH2O and PBS, and then probed with the primary antibody (HA721796) at 1/1,000 dilution for 1 hour at room temperature. The detection was performed using an HRP conjugated compact polymer system. DAB was used as the chromogen. Tissues were counterstained with hematoxylin and mounted with DPX.
quantity: 100μl
price: 385.00 USD
to the supplier
Histone H3 (acetyl K23)
HUABIO
catalog: HA721840
domestic rabbit monoclonal (JE46-39)
reactivity:
human
,
mouse
application:
western blot
Western blot analysis of Histone H3 (acetyl K23) on different lysates with Rabbit anti-Histone H3 (acetyl K23) antibody (HA721840) at 1/1,000 dilution. Lane 1: HeLa cell lysate Lane 2: HeLa treated with 500 ng/mL TSA for 4 hours cell lysate Lane 3: NIH/3T3 cell lysate Lane 4: NIH/3T3 treated with 500 ng/mL TSA for 4 hours cell lysate Lysates/proteins at 40 µg/Lane. Predicted band size: 15 kDa Observed band size: 15/14 kDa Exposure time: 1 minute; 4-20% SDS-PAGE gel. Proteins were transferred to a PVDF membrane and blocked with 5% NFDM/TBST for 1 hour at room temperature. The primary antibody (HA721840) at 1/1,000 dilution was used in 5% NFDM/TBST at 4℃ overnight. Goat Anti-Rabbit IgG - HRP Secondary Antibody (HA1001) at 1/50,000 dilution was used for 1 hour at room temperature.
Immunocytochemistry analysis of HeLa cells treated with or without 500 ng/mL TSA for 4 hours labeling Histone H3 (acetyl K23) with Rabbit anti-Histone H3 (acetyl K23) antibody (HA721840) at 1/100 dilution. Cells were fixed in 4% paraformaldehyde for 10 minutes at 37 ℃, permeabilized with 0.05% Triton X-100 in PBS for 20 minutes, and then blocked with 2% negative goat serum for 30 minutes at room temperature. Cells were then incubated with Rabbit anti-Histone H3 (acetyl K23) antibody (HA721840) at 1/100 dilution in 2% negative goat serum overnight at 4 ℃. Goat Anti-Rabbit IgG H&L (iFluor™ 488, HA1121) was used as the secondary antibody at 1/1,000 dilution. Nuclear DNA was labelled in blue with DAPI. Beta tubulin (M1305-2, red) was stained at 1/100 dilution overnight at +4℃. Goat Anti-Mouse IgG H&L (iFluor™ 594, HA1126) was used as the secondary antibody at 1/1,000 dilution.
quantity: 100μl
price: 385.00 USD
to the supplier
Histone H3 (acetyl K4)
HUABIO
catalog: HA722035
domestic rabbit monoclonal (PSH03-71)
reactivity:
human
,
mouse
,
rat
application:
western blot
,
chromatin immunoprecipitation
,
dot blot
Western blot analysis of Histone H3 (acetyl K4) on different lysates with Rabbit anti-Histone H3 (acetyl K4) antibody (HA722035) at 1/1,000 dilution and competitor's antibody at 1/1,000 dilution. Lane 1: HeLa cell lysate Lane 2: HeLa treated with 500ng/mL TSA for 4 hours cell lysate Lane 3: NIH/3T3 cell lysate Lane 4: NIH/3T3 treated with 400nM TSA for 18 hours cell lysate Lysates/proteins at 20 µg/Lane. Predicted band size: 15 kDa Observed band size: 15 kDa Exposure time: 1 minute 22 seconds; ECL: K1801; 4-20% SDS-PAGE gel. Proteins were transferred to a PVDF membrane and blocked with 5% NFDM/TBST for 1 hour at room temperature. The primary antibody (HA722035) at 1/1,000 dilution and competitor's antibody at 1/1,000 dilution were used in 5% NFDM/TBST at 4℃ overnight. Goat Anti-Rabbit IgG - HRP Secondary Antibody (HA1001) at 1/50,000 dilution was used for 1 hour at room temperature.
Immunocytochemistry analysis of HeLa cells treated with or without 500ng/mL TSA for 4 hours labeling Histone H3 (acetyl K4) with Rabbit anti-Histone H3 (acetyl K4) antibody (HA722035) at 1/500 dilution. Cells were fixed in 4% paraformaldehyde for 20 minutes at room temperature, permeabilized with 0.1% Triton X-100 in PBS for 5 minutes at room temperature, then blocked with 1% BSA in 10% negative goat serum for 1 hour at room temperature. Cells were then incubated with Rabbit anti-Histone H3 (acetyl K4) antibody (HA722035) at 1/500 dilution in 1% BSA in PBST overnight at 4 ℃. Goat Anti-Rabbit IgG H&L (iFluor™ 488, HA1121) was used as the secondary antibody at 1/1,000 dilution. PBS instead of the primary antibody was used as the secondary antibody only control. Nuclear DNA was labelled in blue with DAPI. Beta tubulin (M1305-2, red) was stained at 1/100 dilution overnight at +4℃. Goat Anti-Mouse IgG H&L (iFluor™ 594, HA1126) was used as the secondary antibody at 1/1,000 dilution.
Immunocytochemistry analysis of C6 cells treated with or without 500ng/mL TSA for 6 hours labeling Histone H3 (acetyl K4) with Rabbit anti-Histone H3 (acetyl K4) antibody (HA722035) at 1/1,000 dilution. Cells were fixed in 4% paraformaldehyde for 20 minutes at room temperature, permeabilized with 0.1% Triton X-100 in PBS for 5 minutes at room temperature, then blocked with 1% BSA in 10% negative goat serum for 1 hour at room temperature. Cells were then incubated with Rabbit anti-Histone H3 (acetyl K4) antibody (HA722035) at 1/1,000 dilution in 1% BSA in PBST overnight at 4 ℃. Goat Anti-Rabbit IgG H&L (iFluor™ 488, HA1121) was used as the secondary antibody at 1/1,000 dilution. PBS instead of the primary antibody was used as the secondary antibody only control. Nuclear DNA was labelled in blue with DAPI. Beta tubulin (M1305-2, red) was stained at 1/100 dilution overnight at +4℃. Goat Anti-Mouse IgG H&L (iFluor™ 594, HA1126) was used as the secondary antibody at 1/1,000 dilution.
quantity: 100μl
price: 385.00 USD
to the supplier
Histone H3 (acetyl K9)
HUABIO
catalog: HA722132
domestic rabbit monoclonal (PSH04-47)
reactivity:
human
,
mouse
,
rat
application:
western blot
,
immunoprecipitation
,
flow cytometry
,
chromatin immunoprecipitation
,
immunohistochemistry - paraffin section
,
dot blot
Western blot analysis of Histone H3 (acetyl K9) on different lysates with Rabbit anti-Histone H3 (acetyl K9) antibody (HA722132) at 1/1,000 dilution and competitor's antibody at 1/1,000 dilution. Lane 1: HeLa cell lysate Lane 2: HeLa treated with 500ng/mL TSA for 4 hours cell lysate Lane 3: NIH/3T3 cell lysate Lane 4: NIH/3T3 treated with 400nM TSA for 18 hours cell lysate Lane 5: C6 cell lysate Lane 6: C6 treated with 1μM TSA for 18 hours cell lysate Lysates/proteins at 20 µg/Lane. Predicted band size: 15 kDa Observed band size: 15 kDa Exposure time: 6 seconds; ECL: K1801; 4-20% SDS-PAGE gel. Proteins were transferred to a PVDF membrane and blocked with 5% NFDM/TBST for 1 hour at room temperature. The primary antibody (HA722132) at 1/1,000 dilution and competitor's antibody at 1/1,000 dilution were used in 5% NFDM/TBST at 4℃ overnight. Goat Anti-Rabbit IgG - HRP Secondary Antibody (HA1001) at 1/50,000 dilution was used for 1 hour at room temperature.
Immunocytochemistry analysis of C6 cells labeling Histone H3 (acetyl K9) with Rabbit anti-Histone H3 (acetyl K9) antibody (HA722132) at 1/10,000 dilution and competitor's antibody at 1/1,000 dilution. Cells were fixed in 4% paraformaldehyde for 20 minutes at room temperature, permeabilized with 0.1% Triton X-100 in PBS for 5 minutes at room temperature, then blocked with 1% BSA in 10% negative goat serum for 1 hour at room temperature. Cells were then incubated with Rabbit anti-Histone H3 (acetyl K9) antibody (HA722132) at 1/10,000 dilution and competitor's antibody at 1/1,000 dilution in 1% BSA in PBST overnight at 4 ℃. Goat Anti-Rabbit IgG H&L (iFluor™ 488, HA1121) was used as the secondary antibody at 1/1,000 dilution. PBS instead of the primary antibody was used as the secondary antibody only control. Nuclear DNA was labelled in blue with DAPI. Beta tubulin (M1305-2, red) was stained at 1/100 dilution overnight at +4℃. Goat Anti-Mouse IgG H&L (iFluor™ 594, HA1126) was used as the secondary antibody at 1/1,000 dilution.
Immunohistochemical analysis of paraffin-embedded human stomach tissue with Rabbit anti-Histone H3 (acetyl K9) antibody (HA722132) at 1/2,000 dilution and competitor's antibody at 1/1,000 dilution. The section was pre-treated using heat mediated antigen retrieval with sodium citrate buffer (pH 6.0) (high pressure) for 2 minutes. The tissues were blocked in 1% BSA for 20 minutes at room temperature, washed with ddH2O and PBS, and then probed with the primary antibody (HA722132) at 1/2,000 dilution and competitor's antibody at 1/1,000 dilution for 1 hour at room temperature. The detection was performed using an HRP conjugated compact polymer system. DAB was used as the chromogen. Tissues were counterstained with hematoxylin and mounted with DPX.
quantity: 100μl
price: 385.00 USD
to the supplier
Histone H3 (di methyl K4)
HUABIO
catalog: HA722135
domestic rabbit monoclonal (JE00-98)
reactivity:
human
,
mouse
,
rat
application:
western blot
,
chromatin immunoprecipitation
,
immunohistochemistry - paraffin section
,
dot blot
Western blot analysis of Histone H3 (di methyl K4) on different lysates with Rabbit anti-Histone H3 (di methyl K4) antibody (HA722135) at 1/1,000 dilution. Lane 1: HeLa cell lysate Lane 2: MCF7 cell lysate Lane 3: HCT 116 cell lysate Lane 4: COS-1 cell lysate Lane 5: NIH/3T3 cell lysate Lane 6: C6 cell lysate Lysates/proteins at 10 µg/Lane. Predicted band size: 15 kDa Observed band size: 15 kDa Exposure time: 14 seconds; ECL: K1801; 4-20% SDS-PAGE gel. Proteins were transferred to a PVDF membrane and blocked with 5% NFDM/TBST for 1 hour at room temperature. The primary antibody (HA722135) at 1/1,000 dilution was used in 5% NFDM/TBST at 4℃ overnight. Goat Anti-Rabbit IgG - HRP Secondary Antibody (HA1001) at 1/50,000 dilution was used for 1 hour at room temperature.
Immunocytochemistry analysis of HeLa cells labeling Histone H3 (di methyl K4) with Rabbit anti-Histone H3 (di methyl K4) antibody (HA722135) at 1/500 dilution. Cells were fixed in 4% paraformaldehyde for 20 minutes at room temperature, permeabilized with 0.1% Triton X-100 in PBS for 5 minutes at room temperature, then blocked with 1% BSA in 10% negative goat serum for 1 hour at room temperature. Cells were then incubated with Rabbit anti-Histone H3 (di methyl K4) antibody (HA722135) at 1/500 dilution in 1% BSA in PBST overnight at 4 ℃. Goat Anti-Rabbit IgG H&L (iFluor™ 488, HA1121) was used as the secondary antibody at 1/1,000 dilution. PBS instead of the primary antibody was used as the secondary antibody only control. Nuclear DNA was labelled in blue with DAPI. Beta tubulin (M1305-2, red) was stained at 1/100 dilution overnight at +4℃. Goat Anti-Mouse IgG H&L (iFluor™ 594, HA1126) was used as the secondary antibody at 1/1,000 dilution.
Immunocytochemistry analysis of NIH/3T3 cells labeling Histone H3 (di methyl K4) with Rabbit anti-Histone H3 (di methyl K4) antibody (HA722135) at 1/1,000 dilution. Cells were fixed in 4% paraformaldehyde for 20 minutes at room temperature, permeabilized with 0.1% Triton X-100 in PBS for 5 minutes at room temperature, then blocked with 1% BSA in 10% negative goat serum for 1 hour at room temperature. Cells were then incubated with Rabbit anti-Histone H3 (di methyl K4) antibody (HA722135) at 1/1,000 dilution in 1% BSA in PBST overnight at 4 ℃. Goat Anti-Rabbit IgG H&L (iFluor™ 488, HA1121) was used as the secondary antibody at 1/1,000 dilution. PBS instead of the primary antibody was used as the secondary antibody only control. Nuclear DNA was labelled in blue with DAPI. Beta tubulin (M1305-2, red) was stained at 1/100 dilution overnight at +4℃. Goat Anti-Mouse IgG H&L (iFluor™ 594, HA1126) was used as the secondary antibody at 1/1,000 dilution.
quantity: 100μl
price: 385.00 USD
to the supplier
Histone H3 (mutated K27 M)
HUABIO
catalog: HA722200
domestic rabbit monoclonal (JE46-51)
reactivity:
human
,
mouse
application:
western blot
,
chromatin immunoprecipitation
,
immunohistochemistry - paraffin section
Western blot analysis of Histone H3 (mutated K27 M) on different lysates with Rabbit anti-Histone H3 (mutated K27 M) antibody (HA722200) at 1/1,000 dilution. Lane 1: 293T-OE-Histone H3 (mutated K27 M) cell lysate Lane 2: 293T-OE-Histone H3 cell lysate (negative) Lysates/proteins at 10 µg/Lane. Predicted band size: 15 kDa Observed band size: 18 kDa Exposure time: 2 seconds; ECL: K1801; 4-20% SDS-PAGE gel. Proteins were transferred to a PVDF membrane and blocked with 5% NFDM/TBST for 1 hour at room temperature. The primary antibody (HA722200) at 1/1,000 dilution was used in 5% NFDM/TBST at 4℃ overnight. Goat Anti-Rabbit IgG - HRP Secondary Antibody (HA1001) at 1/50,000 dilution was used for 1 hour at room temperature.
Western blot analysis of Histone H3 (mutated K27 M) on different lysates with Rabbit anti-Histone H3 (mutated K27 M) antibody (HA722200) at 1/2,000 dilution. Lane 1: HeLa cell lysate (negative) Lane 2: Raji cell lysate (negative) Lane 3: 293T cell lysate (negative) Lane 4: HT-29 cell lysate (negative) Lane 5: Jurkat cell lysate (negative) Lysates/proteins at 30 µg/Lane. Exposure time: 3 minutes; ECL: K1801; 4-20% SDS-PAGE gel. Proteins were transferred to a PVDF membrane and blocked with 5% NFDM/TBST for 1 hour at room temperature. The primary antibody (HA722200) at 1/2,000 dilution was used in 5% NFDM/TBST at 4℃ overnight. Goat Anti-Rabbit IgG - HRP Secondary Antibody (HA1001) at 1/50,000 dilution was used for 1 hour at room temperature.
Immunocytochemistry analysis of HeLa cells transfected with Histone H3 / Histone H3 (mutated K27 M) labeling Histone H3 (mutated K27 M) with Rabbit anti-Histone H3 (mutated K27 M) antibody (HA722200) at 1/1,000 dilution. Cells were fixed in 4% paraformaldehyde for 20 minutes at room temperature, permeabilized with 0.1% Triton X-100 in PBS for 5 minutes at room temperature, then blocked with 1% BSA in 10% negative goat serum for 1 hour at room temperature. Cells were then incubated with Rabbit anti-Histone H3 (mutated K27 M) antibody (HA722200) at 1/1,000 dilution in 1% BSA in PBST overnight at 4 ℃. Goat Anti-Rabbit IgG H&L (iFluor™ 488, HA1121) was used as the secondary antibody at 1/1,000 dilution. PBS instead of the primary antibody was used as the secondary antibody only control. Nuclear DNA was labelled in blue with DAPI. Beta tubulin (M1305-2, red) was stained at 1/100 dilution overnight at +4℃. Goat Anti-Mouse IgG H&L (iFluor™ 594, HA1126) was used as the secondary antibody at 1/1,000 dilution.
quantity: 100μl
price: 385.00 USD
to the supplier
Histone H3 (tri methyl K27)
HUABIO
catalog: HA722231
domestic rabbit monoclonal (PSH05-15)
reactivity:
human
,
mouse
,
rat
application:
western blot
,
chromatin immunoprecipitation
,
immunohistochemistry - paraffin section
Western blot analysis of Histone H3 (tri methyl K27) on different lysates with Rabbit anti-Histone H3 (tri methyl K27) antibody (HA722231) at 1/1,000 dilution. Lane 1: HeLa cell lysate Lane 2: SH-SY5Y cell lysate Lane 3: HCT 116 cell lysate Lane 4: NIH/3T3 cell lysate Lane 5: C6 cell lysate Lane 6: MCF7 cell lysate Lane 7: MCF7 treated with 10μM EED226 for 72 hours cell lysate Lysates/proteins at 20 µg/Lane. Predicted band size: 15 kDa Observed band size: 15 kDa Exposure time: 25 seconds; ECL: K1801; 4-20% SDS-PAGE gel. Proteins were transferred to a PVDF membrane and blocked with 5% NFDM/TBST for 1 hour at room temperature. The primary antibody (HA722231) at 1/1,000 dilution was used in 5% NFDM/TBST at 4℃ overnight. Goat Anti-Rabbit IgG - HRP Secondary Antibody (HA1001) at 1/50,000 dilution was used for 1 hour at room temperature.
Immunocytochemistry analysis of HeLa cells labeling Histone H3 (tri methyl K27) with Rabbit anti-Histone H3 (tri methyl K27) antibody (HA722231) at 1/100 dilution. Cells were fixed in 4% paraformaldehyde for 20 minutes at room temperature, permeabilized with 0.1% Triton X-100 in PBS for 5 minutes at room temperature, then blocked with 1% BSA in 10% negative goat serum for 1 hour at room temperature. Cells were then incubated with Rabbit anti-Histone H3 (tri methyl K27) antibody (HA722231) at 1/100 dilution in 1% BSA in PBST overnight at 4 ℃. Goat Anti-Rabbit IgG H&L (iFluor™ 488, HA1121) was used as the secondary antibody at 1/1,000 dilution. PBS instead of the primary antibody was used as the secondary antibody only control. Nuclear DNA was labelled in blue with DAPI. Beta tubulin (M1305-2, red) was stained at 1/100 dilution overnight at +4℃. Goat Anti-Mouse IgG H&L (iFluor™ 594, HA1126) was used as the secondary antibody at 1/1,000 dilution.
Immunohistochemical analysis of paraffin-embedded human colon tissue with Rabbit anti-Histone H3 (tri methyl K27) antibody (HA722231) at 1/1,000 dilution. The section was pre-treated using heat mediated antigen retrieval with sodium citrate buffer (pH 6.0) (high pressure) for 2 minutes. The tissues were blocked in 1% BSA for 20 minutes at room temperature, washed with ddH2O and PBS, and then probed with the primary antibody (HA722231) at 1/1,000 dilution for 1 hour at room temperature. The detection was performed using an HRP conjugated compact polymer system. DAB was used as the chromogen. Tissues were counterstained with hematoxylin and mounted with DPX.
quantity: 100μl
price: 385.00 USD
to the supplier
Histone H3 (mono methyl K14)
HUABIO
catalog: HA722232
domestic rabbit monoclonal (JE43-29)
reactivity:
human
,
mouse
,
rat
application:
western blot
,
chromatin immunoprecipitation
,
dot blot
Western blot analysis of Histone H3 (mono methyl K14) on different lysates with Rabbit anti-Histone H3 (mono methyl K14) antibody (HA722232) at 1/1,000 dilution. Lane 1: HeLa cell lysate Lane 2: MCF7 cell lysate Lane 3: HCT 116 cell lysate Lane 4: COS-1 cell lysate Lane 5: NIH/3T3 cell lysate Lane 6: C6 cell lysate Lysates/proteins at 10 µg/Lane. Predicted band size: 15 kDa Observed band size: 15 kDa Exposure time: 14 seconds; ECL: K1801; 4-20% SDS-PAGE gel. Proteins were transferred to a PVDF membrane and blocked with 5% NFDM/TBST for 1 hour at room temperature. The primary antibody (HA722232) at 1/1,000 dilution was used in 5% NFDM/TBST at 4℃ overnight. Goat Anti-Rabbit IgG - HRP Secondary Antibody (HA1001) at 1/50,000 dilution was used for 1 hour at room temperature.
Immunocytochemistry analysis of HeLa cells labeling Histone H3 (mono methyl K14) with Rabbit anti-Histone H3 (mono methyl K14) antibody (HA722232) at 1/100 dilution. Cells were fixed in 4% paraformaldehyde for 20 minutes at room temperature, permeabilized with 0.1% Triton X-100 in PBS for 5 minutes at room temperature, then blocked with 1% BSA in 10% negative goat serum for 1 hour at room temperature. Cells were then incubated with Rabbit anti-Histone H3 (mono methyl K14) antibody (HA722232) at 1/100 dilution in 1% BSA in PBST overnight at 4 ℃. Goat Anti-Rabbit IgG H&L (iFluor™ 488, HA1121) was used as the secondary antibody at 1/1,000 dilution. PBS instead of the primary antibody was used as the secondary antibody only control. Nuclear DNA was labelled in blue with DAPI. Beta tubulin (M1305-2, red) was stained at 1/100 dilution overnight at +4℃. Goat Anti-Mouse IgG H&L (iFluor™ 594, HA1126) was used as the secondary antibody at 1/1,000 dilution.
Immunocytochemistry analysis of NIH/3T3 cells labeling Histone H3 (mono methyl K14) with Rabbit anti-Histone H3 (mono methyl K14) antibody (HA722232) at 1/1,000 dilution. Cells were fixed in 4% paraformaldehyde for 20 minutes at room temperature, permeabilized with 0.1% Triton X-100 in PBS for 5 minutes at room temperature, then blocked with 1% BSA in 10% negative goat serum for 1 hour at room temperature. Cells were then incubated with Rabbit anti-Histone H3 (mono methyl K14) antibody (HA722232) at 1/1,000 dilution in 1% BSA in PBST overnight at 4 ℃. Goat Anti-Rabbit IgG H&L (iFluor™ 488, HA1121) was used as the secondary antibody at 1/1,000 dilution. PBS instead of the primary antibody was used as the secondary antibody only control. Nuclear DNA was labelled in blue with DAPI. Beta tubulin (M1305-2, red) was stained at 1/100 dilution overnight at +4℃. Goat Anti-Mouse IgG H&L (iFluor™ 594, HA1126) was used as the secondary antibody at 1/1,000 dilution.
quantity: 100μl
price: 385.00 USD
to the supplier
Histone H3 (mono methyl K9)
HUABIO
catalog: HA722350
domestic rabbit monoclonal (JE43-27)
reactivity:
human
,
mouse
,
rat
application:
western blot
,
flow cytometry
,
chromatin immunoprecipitation
,
immunohistochemistry - paraffin section
,
dot blot
Western blot analysis of Histone H3 (mono methyl K9) on different lysates with Rabbit anti-Histone H3 (mono methyl K9) antibody (HA722350) at 1/1,000 dilution. Lane 1: HeLa cell lysate Lane 2: U-2 OS cell lysate Lane 3: NIH/3T3 cell lysate Lane 4: C6 cell lysate Lane 5: COS-1 cell lysate Lysates/proteins at 20 µg/Lane. Predicted band size: 15 kDa Observed band size: 15 kDa Exposure time: 2 seconds; ECL: K1801; 4-20% SDS-PAGE gel. Proteins were transferred to a PVDF membrane and blocked with 5% NFDM/TBST for 1 hour at room temperature. The primary antibody (HA722350) at 1/1,000 dilution was used in 5% NFDM/TBST at 4℃ overnight. Goat Anti-Rabbit IgG - HRP Secondary Antibody (HA1001) at 1/50,000 dilution was used for 1 hour at room temperature.
Immunocytochemistry analysis of U-2 OS cells labeling Histone H3 (mono methyl K9) with Rabbit anti-Histone H3 (mono methyl K9) antibody (HA722350) at 1/3,000 dilution. Cells were fixed in 4% paraformaldehyde for 20 minutes at room temperature, permeabilized with 0.1% Triton X-100 in PBS for 5 minutes at room temperature, then blocked with 1% BSA in 10% negative goat serum for 1 hour at room temperature. Cells were then incubated with Rabbit anti-Histone H3 (mono methyl K9) antibody (HA722350) at 1/3,000 dilution in 1% BSA in PBST overnight at 4 ℃. Goat Anti-Rabbit IgG H&L (iFluor™ 488, HA1121) was used as the secondary antibody at 1/1,000 dilution. PBS instead of the primary antibody was used as the secondary antibody only control. Nuclear DNA was labelled in blue with DAPI. Beta tubulin (M1305-2, red) was stained at 1/100 dilution overnight at +4℃. Goat Anti-Mouse IgG H&L (iFluor™ 594, HA1126) was used as the secondary antibody at 1/1,000 dilution.
Immunohistochemical analysis of paraffin-embedded mouse colon tissue with Rabbit anti-Histone H3 (mono methyl K9) antibody (HA722350) at 1/50,000 dilution. The section was pre-treated using heat mediated antigen retrieval with sodium citrate buffer (pH 6.0) (high pressure) for 2 minutes. The tissues were blocked in 1% BSA for 20 minutes at room temperature, washed with ddH2O and PBS, and then probed with the primary antibody (HA722350) at 1/50,000 dilution for 1 hour at room temperature. The detection was performed using an HRP conjugated compact polymer system. DAB was used as the chromogen. Tissues were counterstained with hematoxylin and mounted with DPX.
quantity: 100μl
price: 385.00 USD
to the supplier
Histone H3 (mono methyl K27)
HUABIO
catalog: HA722376
domestic rabbit monoclonal (PSH05-67)
reactivity:
human
,
mouse
,
rat
application:
western blot
,
flow cytometry
,
chromatin immunoprecipitation
Western blot analysis of Histone H3 (mono methyl K27) on different lysates with Rabbit anti-Histone H3 (mono methyl K27) antibody (HA722376) at 1/1,000 dilution. Lane 1: MCF7 cell lysate Lane 2: SH-SY5Y cell lysate Lane 3: HeLa cell lysate Lane 4: A549 cell lysate Lane 5: NIH/3T3 cell lysate Lane 6: PC-12 cell lysate Lysates/proteins at 20 µg/Lane. Predicted band size: 15 kDa Observed band size: 15 kDa Exposure time: 1 minute 50 seconds; ECL: K1801; 4-20% SDS-PAGE gel. Proteins were transferred to a PVDF membrane and blocked with 2% BSA/TBST for 1 hour at room temperature. The primary antibody (HA722376) at 1/1,000 dilution was used in TBST at 4℃ overnight. Goat Anti-Rabbit IgG - HRP Secondary Antibody (HA1001) at 1/50,000 dilution was used for 1 hour at room temperature.
Immunocytochemistry analysis of MCF7 cells labeling Histone H3 (mono methyl K27) with Rabbit anti-Histone H3 (mono methyl K27) antibody (HA722376) at 1/100 dilution. Cells were fixed in 4% paraformaldehyde for 20 minutes at room temperature, permeabilized with 0.1% Triton X-100 in PBS for 5 minutes at room temperature, then blocked with 1% BSA in 10% negative goat serum for 1 hour at room temperature. Cells were then incubated with Rabbit anti-Histone H3 (mono methyl K27) antibody (HA722376) at 1/100 dilution in 1% BSA in PBST overnight at 4 ℃. Goat Anti-Rabbit IgG H&L (iFluor™ 488, HA1121) was used as the secondary antibody at 1/1,000 dilution. PBS instead of the primary antibody was used as the secondary antibody only control. Nuclear DNA was labelled in blue with DAPI. Beta tubulin (M1305-2, red) was stained at 1/100 dilution overnight at +4℃. Goat Anti-Mouse IgG H&L (iFluor™ 594, HA1126) was used as the secondary antibody at 1/1,000 dilution.
Immunocytochemistry analysis of NIH/3T3 cells labeling Histone H3 (mono methyl K27) with Rabbit anti-Histone H3 (mono methyl K27) antibody (HA722376) at 1/500 dilution. Cells were fixed in 4% paraformaldehyde for 20 minutes at room temperature, permeabilized with 0.1% Triton X-100 in PBS for 5 minutes at room temperature, then blocked with 1% BSA in 10% negative goat serum for 1 hour at room temperature. Cells were then incubated with Rabbit anti-Histone H3 (mono methyl K27) antibody (HA722376) at 1/500 dilution in 1% BSA in PBST overnight at 4 ℃. Goat Anti-Rabbit IgG H&L (iFluor™ 488, HA1121) was used as the secondary antibody at 1/1,000 dilution. PBS instead of the primary antibody was used as the secondary antibody only control. Nuclear DNA was labelled in blue with DAPI. Beta tubulin (M1305-2, red) was stained at 1/100 dilution overnight at +4℃. Goat Anti-Mouse IgG H&L (iFluor™ 594, HA1126) was used as the secondary antibody at 1/1,000 dilution.
quantity: 100μl
price: 385.00 USD
to the supplier
Histone H3 (acetyl K36)
HUABIO
catalog: HA722415
domestic rabbit monoclonal (JE77-32)
reactivity:
human
,
mouse
,
rat
application:
western blot
,
chromatin immunoprecipitation
,
immunohistochemistry - paraffin section
Western blot analysis of Histone H3 (acetyl K36) on different lysates with Rabbit anti-Histone H3 (acetyl K36) antibody (HA722415) at 1/1,000 dilution. Lane 1: HeLa cell lysate Lane 2: HeLa treated with 500ng/mL TSA for 4 hours cell lysate Lane 3: NIH/3T3 cell lysate Lane 4: NIH/3T3 treated with 400nM TSA for 18 hours cell lysate Lane 5: C6 cell lysate Lane 6: C6 treated with 1μM TSA for 18 hours cell lysate Lysates/proteins at 20 µg/Lane. Predicted band size: 15 kDa Observed band size: 15 kDa Exposure time: 7 seconds; ECL: K1801; 4-20% SDS-PAGE gel. Proteins were transferred to a PVDF membrane and blocked with 5% NFDM/TBST for 1 hour at room temperature. The primary antibody (HA722415) at 1/1,000 dilution was used in 5% NFDM/TBST at 4℃ overnight. Goat Anti-Rabbit IgG - HRP Secondary Antibody (HA1001) at 1/50,000 dilution was used for 1 hour at room temperature.
Immunohistochemical analysis of paraffin-embedded HeLa cells treated with or without 500ng/mL TSA for 4 hours with Rabbit anti-Histone H3 (acetyl K36) antibody (HA722415) at 1/5,000 dilution. The section was pre-treated using heat mediated antigen retrieval with sodium citrate buffer (pH 6.0) (high pressure) for 2 minutes. The tissues were blocked in 1% BSA for 20 minutes at room temperature, washed with ddH2O and PBS, and then probed with the primary antibody (HA722415) at 1/5,000 dilution for 1 hour at room temperature. The detection was performed using an HRP conjugated compact polymer system. DAB was used as the chromogen. Tissues were counterstained with hematoxylin and mounted with DPX.
Immunocytochemistry analysis of HeLa cells treated with or without 500ng/mL TSA for 4 hours labeling Histone H3 (acetyl K36) with Rabbit anti-Histone H3 (acetyl K36) antibody (HA722415) at 1/500 dilution. Cells were fixed in 4% paraformaldehyde for 20 minutes at room temperature, permeabilized with 0.1% Triton X-100 in PBS for 5 minutes at room temperature, then blocked with 1% BSA in 10% negative goat serum for 1 hour at room temperature. Cells were then incubated with Rabbit anti-Histone H3 (acetyl K36) antibody (HA722415) at 1/500 dilution in 1% BSA in PBST overnight at 4 ℃. Goat Anti-Rabbit IgG H&L (iFluor™ 488, HA1121) was used as the secondary antibody at 1/1,000 dilution. PBS instead of the primary antibody was used as the secondary antibody only control. Nuclear DNA was labelled in blue with DAPI. Beta tubulin (M1305-2, red) was stained at 1/100 dilution overnight at +4℃. Goat Anti-Mouse IgG H&L (iFluor™ 594, HA1126) was used as the secondary antibody at 1/1,000 dilution.
quantity: 100μl
price: 385.00 USD
to the supplier
Histone H3 (di methyl K27)
HUABIO
catalog: HA722486
domestic rabbit monoclonal (PSH05-88)
reactivity:
human
,
mouse
,
rat
application:
western blot
,
chromatin immunoprecipitation
Western blot analysis of Histone H3 (di methyl K27) on different lysates with Rabbit anti-Histone H3 (di methyl K27) antibody (HA722486) at 1/1,000 dilution. Lane 1: HeLa cell lysate Lane 2: SH-SY5Y cell lysate Lane 3: HCT 116 cell lysate Lane 4: C6 cell lysate Lane 5: MCF7 cell lysate Lane 6: MCF7 treated with 10μM EED226 for 72 hours cell lysate Lysates/proteins at 20 µg/Lane. Predicted band size: 15 kDa Observed band size: 15 kDa Exposure time: 30 seconds; ECL: K1801; 4-20% SDS-PAGE gel. Proteins were transferred to a PVDF membrane and blocked with 5% NFDM/TBST for 1 hour at room temperature. The primary antibody (HA722486) at 1/1,000 dilution was used in 5% NFDM/TBST at 4℃ overnight. Goat Anti-Rabbit IgG - HRP Secondary Antibody (HA1001) at 1/50,000 dilution was used for 1 hour at room temperature.
Western blot analysis of Histone H3 (di methyl K27) on different lysates with Rabbit anti-Histone H3 (di methyl K27) antibody (HA722486) at 1/1,000 dilution. Lane 1: RAW264.7 cell lysate (20 µg/Lane) Lane 2: C2C12 cell lysate (20 µg/Lane) Lane 3: NIH/3T3 cell lysate (20 µg/Lane) Predicted band size: 15 kDa Observed band size: 15 kDa Exposure time: 12 seconds; ECL: K1801; 4-20% SDS-PAGE gel. Proteins were transferred to a PVDF membrane and blocked with 5% NFDM/TBST for 1 hour at room temperature. The primary antibody (HA722486) at 1/1,000 dilution was used in 5% NFDM/TBST at 4℃ overnight. Goat Anti-Rabbit IgG - HRP Secondary Antibody (HA1001) at 1/50,000 dilution was used for 1 hour at room temperature.
Chromatin immunoprecipitations were performed with cross-linked chromatin from MCF7 cells with Histone H3 (di methyl K27) (HA722486) or Normal Rabbit IgG according to the ChIP protocol. The enriched DNA was quantified by real-time PCR using indicated primers. The amount of immunoprecipitated DNA in each sample is represented as signal relative to the total amount of input chromatin, which is equivalent to one.
quantity: 100μl
price: 385.00 USD
to the supplier
Histone H3 (mono+di+tri methyl K4)
HUABIO
catalog: HA722662
domestic rabbit monoclonal (PSH06-30)
reactivity:
human
,
mouse
,
rat
application:
western blot
,
flow cytometry
,
chromatin immunoprecipitation
,
immunohistochemistry - paraffin section
Western blot analysis of Histone H3 (mono+di+tri methyl K4) on different lysates with Rabbit anti-Histone H3 (mono+di+tri methyl K4) antibody (HA722662) at 1/1,000 dilution. Lane 1: HeLa cell lysate Lane 2: SH-SY5Y cell lysate Lane 3: U-2 OS cell lysate Lane 4: RAW264.7 cell lysate Lane 5: NIH/3T3 cell lysate Lane 6: C6 cell lysate Lane 7: PC-12 cell lysate Lysates/proteins at 20 µg/Lane. Predicted band size: 15 kDa Observed band size: 15 kDa Exposure time: 2 seconds; ECL: K1801; 4-20% SDS-PAGE gel. Proteins were transferred to a PVDF membrane and blocked with 5% NFDM/TBST for 1 hour at room temperature. The primary antibody (HA722662) at 1/1,000 dilution was used in 5% NFDM/TBST at 4℃ overnight. Goat Anti-Rabbit IgG - HRP Secondary Antibody (HA1001) at 1/50,000 dilution was used for 1 hour at room temperature.
Immunohistochemical analysis of paraffin-embedded human testis tissue with Rabbit anti-Histone H3 (mono+di+tri methyl K4) antibody (HA722662) at 1/10,000 dilution. The section was pre-treated using heat mediated antigen retrieval with sodium citrate buffer (pH 6.0) (high pressure) for 2 minutes. The tissues were blocked in 1% BSA for 20 minutes at room temperature, washed with ddH2O and PBS, and then probed with the primary antibody (HA722662) at 1/10,000 dilution for 1 hour at room temperature. The detection was performed using an HRP conjugated compact polymer system. DAB was used as the chromogen. Tissues were counterstained with hematoxylin and mounted with DPX.
Immunohistochemical analysis of paraffin-embedded mouse testis tissue with Rabbit anti-Histone H3 (mono+di+tri methyl K4) antibody (HA722662) at 1/10,000 dilution. The section was pre-treated using heat mediated antigen retrieval with sodium citrate buffer (pH 6.0) (high pressure) for 2 minutes. The tissues were blocked in 1% BSA for 20 minutes at room temperature, washed with ddH2O and PBS, and then probed with the primary antibody (HA722662) at 1/10,000 dilution for 1 hour at room temperature. The detection was performed using an HRP conjugated compact polymer system. DAB was used as the chromogen. Tissues were counterstained with hematoxylin and mounted with DPX.
quantity: 100μl
price: 385.00 USD
to the supplier
Histone H3 (mono+di+tri methyl K36)
HUABIO
catalog: HA722802
domestic rabbit monoclonal (PSH07-14)
reactivity:
human
,
mouse
,
rat
application:
western blot
,
flow cytometry
,
chromatin immunoprecipitation
,
immunohistochemistry - paraffin section
Western blot analysis of Histone H3 (mono+di+tri methyl K36) on different lysates with Rabbit anti-Histone H3 (mono+di+tri methyl K36) antibody (HA722802) at 1/1,000 dilution. Lane 1: MCF7 cell lysate Lane 2: HeLa cell lysate Lane 3: A549 cell lysate Lane 4: NIH/3T3 cell lysate Lane 5: C6 cell lysate Lysates/proteins at 20 µg/Lane. Predicted band size: 15 kDa Observed band size: 15 kDa Exposure time: 8 seconds; ECL: K1801; 4-20% SDS-PAGE gel. Proteins were transferred to a PVDF membrane and blocked with 5% NFDM/TBST for 1 hour at room temperature. The primary antibody (HA722802) at 1/1,000 dilution was used in 5% NFDM/TBST at 4℃ overnight. Goat Anti-Rabbit IgG - HRP Secondary Antibody (HA1001) at 1/50,000 dilution was used for 1 hour at room temperature.
Immunohistochemical analysis of paraffin-embedded human colon cancer tissue with Rabbit anti-Histone H3 (mono+di+tri methyl K36) antibody (HA722802) at 1/10,000 dilution. The section was pre-treated using heat mediated antigen retrieval with sodium citrate buffer (pH 6.0) (high pressure) for 2 minutes. The tissues were blocked in 1% BSA for 20 minutes at room temperature, washed with ddH2O and PBS, and then probed with the primary antibody (HA722802) at 1/10,000 dilution for 1 hour at room temperature. The detection was performed using an HRP conjugated compact polymer system. DAB was used as the chromogen. Tissues were counterstained with hematoxylin and mounted with DPX.
Immunohistochemical analysis of paraffin-embedded human testis tissue with Rabbit anti-Histone H3 (mono+di+tri methyl K36) antibody (HA722802) at 1/10,000 dilution. The section was pre-treated using heat mediated antigen retrieval with sodium citrate buffer (pH 6.0) (high pressure) for 2 minutes. The tissues were blocked in 1% BSA for 20 minutes at room temperature, washed with ddH2O and PBS, and then probed with the primary antibody (HA722802) at 1/10,000 dilution for 1 hour at room temperature. The detection was performed using an HRP conjugated compact polymer system. DAB was used as the chromogen. Tissues were counterstained with hematoxylin and mounted with DPX.
quantity: 100μl
price: 385.00 USD
to the supplier
Histone H3 (mono methyl K4)
HUABIO
catalog: HA722803
domestic rabbit monoclonal (PSH07-15)
reactivity:
human
,
mouse
,
rat
application:
western blot
,
chromatin immunoprecipitation
,
dot blot
Western blot analysis of Histone H3 (mono methyl K4) on different lysates with Rabbit anti-Histone H3 (mono methyl K4) antibody (HA722803) at 1/1,000 dilution. Lane 1: A549 cell lysate Lane 2: HeLa cell lysate Lane 3: NIH/3T3 cell lysate Lane 4: C2C12 cell lysate Lane 5: PC-12 cell lysate Lane 6: C6 cell lysate Lysates/proteins at 20 µg/Lane. Predicted band size: 15 kDa Observed band size: 15 kDa Exposure time: 10 seconds; ECL: K1801; 4-20% SDS-PAGE gel. Proteins were transferred to a PVDF membrane and blocked with 5% NFDM/TBST for 1 hour at room temperature. The primary antibody (HA722803) at 1/1,000 dilution was used in 5% NFDM/TBST at 4℃ overnight. Goat Anti-Rabbit IgG - HRP Secondary Antibody (HA1001) at 1/50,000 dilution was used for 1 hour at room temperature.
Immunocytochemistry analysis of HeLa cells labeling Histone H3 (mono methyl K4) with Rabbit anti-Histone H3 (mono methyl K4) antibody (HA722803) at 1/100 dilution. Cells were fixed in 4% paraformaldehyde for 20 minutes at room temperature, permeabilized with 0.1% Triton X-100 in PBS for 5 minutes at room temperature, then blocked with 1% BSA in 10% negative goat serum for 1 hour at room temperature. Cells were then incubated with Rabbit anti-Histone H3 (mono methyl K4) antibody (HA722803) at 1/100 dilution in 1% BSA in PBST overnight at 4 ℃. Goat Anti-Rabbit IgG H&L (iFluor™ 488, HA1121) was used as the secondary antibody at 1/1,000 dilution. PBS instead of the primary antibody was used as the secondary antibody only control. Nuclear DNA was labelled in blue with DAPI. Beta tubulin (M1305-2, red) was stained at 1/100 dilution overnight at +4℃. Goat Anti-Mouse IgG H&L (iFluor™ 594, HA1126) was used as the secondary antibody at 1/1,000 dilution.
Immunocytochemistry analysis of C6 cells labeling Histone H3 (mono methyl K4) with Rabbit anti-Histone H3 (mono methyl K4) antibody (HA722803) at 1/100 dilution. Cells were fixed in 4% paraformaldehyde for 20 minutes at room temperature, permeabilized with 0.1% Triton X-100 in PBS for 5 minutes at room temperature, then blocked with 1% BSA in 10% negative goat serum for 1 hour at room temperature. Cells were then incubated with Rabbit anti-Histone H3 (mono methyl K4) antibody (HA722803) at 1/100 dilution in 1% BSA in PBST overnight at 4 ℃. Goat Anti-Rabbit IgG H&L (iFluor™ 488, HA1121) was used as the secondary antibody at 1/1,000 dilution. PBS instead of the primary antibody was used as the secondary antibody only control. Nuclear DNA was labelled in blue with DAPI. Beta tubulin (M1305-2, red) was stained at 1/100 dilution overnight at +4℃. Goat Anti-Mouse IgG H&L (iFluor™ 594, HA1126) was used as the secondary antibody at 1/1,000 dilution.
quantity: 100μl
price: 385.00 USD
to the supplier
Histone H3 (mono methyl K79)
HUABIO
catalog: HA722848
domestic rabbit monoclonal (PSH07-66)
reactivity:
human
,
mouse
,
rat
application:
western blot
,
flow cytometry
,
chromatin immunoprecipitation
,
immunohistochemistry - paraffin section
Western blot analysis of Histone H3 (mono methyl K79) on different lysates with Rabbit anti-Histone H3 (mono methyl K79) antibody (HA722848) at 1/1,000 dilution. Lane 1: NIH/3T3 cell lysate Lane 2: C2C12 cell lysate Lane 3: C6 cell lysate Lane 4: COS-1 cell lysate Lysates/proteins at 20 µg/Lane. Predicted band size: 15 kDa Observed band size: 15 kDa Exposure time: 3 minutes; ECL: K1801; 4-20% SDS-PAGE gel. Proteins were transferred to a PVDF membrane and blocked with 5% NFDM/TBST for 1 hour at room temperature. The primary antibody (HA722848) at 1/1,000 dilution was used in 5% NFDM/TBST at 4℃ overnight. Goat Anti-Rabbit IgG - HRP Secondary Antibody (HA1001) at 1/50,000 dilution was used for 1 hour at room temperature.
Western blot analysis of Histone H3 (mono methyl K79) on different lysates with Rabbit anti-Histone H3 (mono methyl K79) antibody (HA722848) at 1/1,000 dilution. Lane 1: HeLa cell lysate Lane 2: HeLa-si DOT1L cell lysate (Knockdown of DOT1L leads to decreased H3K79me1 expression levels) Lysates/proteins at 20 µg/Lane. Predicted band size: 15 kDa Observed band size: 15 kDa Exposure time: 3 minutes; ECL: K1801; 4-20% SDS-PAGE gel. Proteins were transferred to a PVDF membrane and blocked with 5% NFDM/TBST for 1 hour at room temperature. The primary antibody (HA722848) at 1/1,000 dilution was used in 5% NFDM/TBST at 4℃ overnight. Goat Anti-Rabbit IgG - HRP Secondary Antibody (HA1001) at 1/50,000 dilution was used for 1 hour at room temperature.
Immunocytochemistry analysis of HeLa cells labeling Histone H3 (mono methyl K79) with Rabbit anti-Histone H3 (mono methyl K79) antibody (HA722848) at 1/100 dilution. Cells were fixed in 4% paraformaldehyde for 20 minutes at room temperature, permeabilized with 0.1% Triton X-100 in PBS for 5 minutes at room temperature, then blocked with 1% BSA in 10% negative goat serum for 1 hour at room temperature. Cells were then incubated with Rabbit anti-Histone H3 (mono methyl K79) antibody (HA722848) at 1/100 dilution in 1% BSA in PBST overnight at 4 ℃. Goat Anti-Rabbit IgG H&L (iFluor™ 488, HA1121) was used as the secondary antibody at 1/1,000 dilution. PBS instead of the primary antibody was used as the secondary antibody only control. Nuclear DNA was labelled in blue with DAPI. Beta tubulin (M1305-2, red) was stained at 1/100 dilution overnight at +4℃. Goat Anti-Mouse IgG H&L (iFluor™ 594, HA1126) was used as the secondary antibody at 1/1,000 dilution.
quantity: 100μl
price: 385.00 USD
to the supplier
Histone H3 (mono+di+tri methyl K79)
HUABIO
catalog: HA723068
domestic rabbit monoclonal (PSH09-10)
reactivity:
human
,
mouse
,
rat
application:
western blot
,
chromatin immunoprecipitation
,
immunohistochemistry - paraffin section
Western blot analysis of Histone H3 (mono+di+tri methyl K79) on different lysates with Rabbit anti-Histone H3 (mono+di+tri methyl K79) antibody (HA723068) at 1/2,000 dilution. Lane 1: HeLa cell lysate Lane 2: THP-1 cell lysate Lane 3: NIH/3T3 cell lysate Lane 4: RAW264.7 cell lysate Lane 5: PC-12 cell lysate Lane 6: C6 cell lysate Lane 7: COS-1 cell lysate Lysates/proteins at 20 µg/Lane. Predicted band size: 15 kDa Observed band size: 15 kDa Exposure time: 10 seconds; ECL: K1801; 4-20% SDS-PAGE gel. Proteins were transferred to a PVDF membrane and blocked with 5% NFDM/TBST for 1 hour at room temperature. The primary antibody (HA723068) at 1/2,000 dilution was used in 5% NFDM/TBST at 4℃ overnight. Goat Anti-Rabbit IgG - HRP Secondary Antibody (HA1001) at 1/50,000 dilution was used for 1 hour at room temperature.
Immunohistochemical analysis of paraffin-embedded human colon tissue with Rabbit anti-Histone H3 (mono+di+tri methyl K79) antibody (HA723068) at 1/1,000 dilution. The section was pre-treated using heat mediated antigen retrieval with sodium citrate buffer (pH 6.0) (high pressure) for 2 minutes. The tissues were blocked in 1% BSA for 20 minutes at room temperature, washed with ddH2O and PBS, and then probed with the primary antibody (HA723068) at 1/1,000 dilution for 1 hour at room temperature. The detection was performed using an HRP conjugated compact polymer system. DAB was used as the chromogen. Tissues were counterstained with hematoxylin and mounted with DPX.
Immunohistochemical analysis of paraffin-embedded mouse colon tissue with Rabbit anti-Histone H3 (mono+di+tri methyl K79) antibody (HA723068) at 1/1,000 dilution. The section was pre-treated using heat mediated antigen retrieval with sodium citrate buffer (pH 6.0) (high pressure) for 2 minutes. The tissues were blocked in 1% BSA for 20 minutes at room temperature, washed with ddH2O and PBS, and then probed with the primary antibody (HA723068) at 1/1,000 dilution for 1 hour at room temperature. The detection was performed using an HRP conjugated compact polymer system. DAB was used as the chromogen. Tissues were counterstained with hematoxylin and mounted with DPX.
quantity: 100μl
price: 385.00 USD
to the supplier
Histone H3 (acetyl K27)
HUABIO
catalog: HA723586
domestic rabbit monoclonal (PSH13-93)
reactivity:
human
,
mouse
,
rat
application:
western blot
,
immunohistochemistry - paraffin section
Western blot analysis of Histone H3 (acetyl K27) on different lysates with Rabbit anti-Histone H3 (acetyl K27) antibody (HA723586) at 1/5,000 dilution. Lane 1: HeLa cell lysate Lane 2: HeLa treated with 500ng/mL TSA for 4 hours cell lysate Lane 3: NIH/3T3 cell lysate Lane 4: NIH/3T3 treated with 400nM TSA for 18 hours cell lysate Lane 5: C6 cell lysate Lane 6: C6 treated with 1μM TSA for 18 hours cell lysate Lysates/proteins at 20 µg/Lane. Predicted band size: 15 kDa Observed band size: 15 kDa Exposure time: 25 seconds; ECL: K1801; 4-20% SDS-PAGE gel. Proteins were transferred to a PVDF membrane and blocked with 5% NFDM/TBST for 1 hour at room temperature. The primary antibody (HA723586) at 1/5,000 dilution was used in primary antibody dilution (K1803) at 4℃ overnight. Goat Anti-Rabbit IgG - HRP Secondary Antibody (HA1001) at 1/50,000 dilution was used for 1 hour at room temperature.
Immunohistochemical analysis of paraffin-embedded mouse colon tissue with Rabbit anti-Histone H3 (acetyl K27) antibody (HA723586) at 1/200 dilution. The section was pre-treated using heat mediated antigen retrieval with Tris-EDTA buffer (pH 9.0) for 20 minutes. The tissues were blocked in 1% BSA for 20 minutes at room temperature, washed with ddH2O and PBS, and then probed with the primary antibody (HA723586) at 1/200 dilution for 1 hour at room temperature. The detection was performed using an HRP conjugated compact polymer system. DAB was used as the chromogen. Tissues were counterstained with hematoxylin and mounted with DPX.
Immunohistochemical analysis of paraffin-embedded mouse skin tissue with Rabbit anti-Histone H3 (acetyl K27) antibody (HA723586) at 1/200 dilution. The section was pre-treated using heat mediated antigen retrieval with Tris-EDTA buffer (pH 9.0) for 20 minutes. The tissues were blocked in 1% BSA for 20 minutes at room temperature, washed with ddH2O and PBS, and then probed with the primary antibody (HA723586) at 1/200 dilution for 1 hour at room temperature. The detection was performed using an HRP conjugated compact polymer system. DAB was used as the chromogen. Tissues were counterstained with hematoxylin and mounted with DPX.
quantity: 100μl
price: 385.00 USD
to the supplier
Histone H3 (tri methyl K36)
HUABIO
catalog: HA723701
domestic rabbit monoclonal (PSH15-01)
reactivity:
human
,
mouse
,
rat
application:
western blot
,
immunoprecipitation
,
chromatin immunoprecipitation
,
immunohistochemistry - paraffin section
,
dot blot
Western blot analysis of Histone H3 (tri methyl K36) on different lysates with Rabbit anti-Histone H3 (tri methyl K36) antibody (HA723701) at 1/5,000 dilution. Lane 1: HeLa cell lysate (20 µg/Lane) Lane 2: COS-1 cell lysate (20 µg/Lane) Lane 3: RAW264.7 cell lysate (20 µg/Lane) Lane 4: C6 cell lysate (20 µg/Lane) Lane 5: PC-12 cell lysate (20 µg/Lane) Predicted band size: 15 kDa Observed band size: 15 kDa Exposure time: 1 minute; ECL: K1801; 4-20% SDS-PAGE gel. Proteins were transferred to a PVDF membrane and blocked with 5% NFDM/TBST for 1 hour at room temperature. The primary antibody (HA723701) at 1/5,000 dilution was used in primary antibody dilution (K1803) at 4℃ overnight. Goat Anti-Rabbit IgG - HRP Secondary Antibody (HA1001) at 1/50,000 dilution was used for 1 hour at room temperature.
Immunohistochemical analysis of paraffin-embedded human colon cancer tissue with Rabbit anti-Histone H3 (tri methyl K36) antibody (HA723701) at 1/2,000 dilution. The section was pre-treated using heat mediated antigen retrieval with Tris-EDTA buffer (pH 9.0) for 20 minutes. The tissues were blocked in 1% BSA for 20 minutes at room temperature, washed with ddH2O and PBS, and then probed with the primary antibody (HA723701) at 1/2,000 dilution for 1 hour at room temperature. The detection was performed using an HRP conjugated compact polymer system. DAB was used as the chromogen. Tissues were counterstained with hematoxylin and mounted with DPX.
Immunohistochemical analysis of paraffin-embedded human testis tissue with Rabbit anti-Histone H3 (tri methyl K36) antibody (HA723701) at 1/2,000 dilution. The section was pre-treated using heat mediated antigen retrieval with Tris-EDTA buffer (pH 9.0) for 20 minutes. The tissues were blocked in 1% BSA for 20 minutes at room temperature, washed with ddH2O and PBS, and then probed with the primary antibody (HA723701) at 1/2,000 dilution for 1 hour at room temperature. The detection was performed using an HRP conjugated compact polymer system. DAB was used as the chromogen. Tissues were counterstained with hematoxylin and mounted with DPX.
quantity: 100μl
price: 385.00 USD
to the supplier
Histone H3 (mono methyl K18)
HUABIO
catalog: HA750006
domestic rabbit monoclonal (SA42-07)
reactivity:
human
,
mouse
,
rat
application:
western blot
,
immunohistochemistry - paraffin section
Western blot analysis of Histone H3 (mono methyl K18) on HepG2 cell lysates with Rabbit anti-Histone H3 (mono methyl K18) antibody (HA750006) at 1/500 dilution. Lysates/proteins at 10 µg/Lane. Predicted band size: 15 kDa Observed band size: 15 kDa Exposure time: 2 minutes; 15% SDS-PAGE gel. Proteins were transferred to a PVDF membrane and blocked with 5% NFDM/TBST for 1 hour at room temperature. The primary antibody (HA750006) at 1/500 dilution was used in 5% NFDM/TBST at room temperature for 2 hours. Goat Anti-Rabbit IgG - HRP Secondary Antibody (HA1001) at 1:300,000 dilution was used for 1 hour at room temperature.
Western blot analysis of Histone H3 (mono methyl K18) on mouse testis tissue lysates with Rabbit anti-Histone H3 (mono methyl K18) antibody (HA750006) at 1/5,000 dilution. Lysates/proteins at 20 µg/Lane. Predicted band size: 15 kDa Observed band size: 15 kDa Exposure time: 1 minute; 15% SDS-PAGE gel. Proteins were transferred to a PVDF membrane and blocked with 5% NFDM/TBST for 1 hour at room temperature. The primary antibody (HA750006) at 1/5,000 dilution was used in 5% NFDM/TBST at room temperature for 2 hours. Goat Anti-Rabbit IgG - HRP Secondary Antibody (HA1001) at 1:300,000 dilution was used for 1 hour at room temperature.
ICC staining Histone H3 (mono methyl K18) in HepG2 cells (green). The nuclear counter stain is DAPI (blue). Cells were fixed in paraformaldehyde, permeabilised with 0.25% Triton X100/PBS.
quantity: 100μl
price: 649.00 USD
to the supplier
Phospho-Histone H3 (S10)
HUABIO
catalog: HA750020
domestic rabbit monoclonal (SA31-01)
reactivity:
human
,
mouse
,
rat
application:
western blot
,
immunoprecipitation
,
flow cytometry
,
chromatin immunoprecipitation
,
immunohistochemistry - paraffin section
Western blot analysis of Phospho-Histone H3 (S10) on different lysates with Rabbit anti-Phospho-Histone H3 (S10) antibody (HA750020) at 1/5,000 dilution. Lane 1: HeLa whole cell lysate (20 µg/Lane) Lane 2: HeLa treated with 50nM Calyculin A for 30 minutes whole cell lysate (20 µg/Lane) Lane 3: NIH/3T3 whole cell lysate (20 µg/Lane) Lane 4: NIH/3T3 treated with 100nM Calyculin A for 30 minutes whole cell lysate (20 µg/Lane) Lane 5: C6 whole cell lysate (20 µg/Lane) Lane 6: C6 treated with 100nM Calyculin A for 30 minutes whole cell lysate (20 µg/Lane) Predicted band size: 15 kDa Observed band size: 15 kDa Exposure time: 10 seconds; ECL: K1801; 4-20% SDS-PAGE gel. Proteins were transferred to a PVDF membrane and blocked with 5% NFDM/TBST for 1 hour at room temperature. The primary antibody (HA750020) at 1/5,000 dilution was used in 5% NFDM/TBST at 4℃ overnight. Goat Anti-Rabbit IgG - HRP Secondary Antibody (HA1001) at 1:50,000 dilution was used for 1 hour at room temperature.
Immunocytochemistry analysis of HeLa cells labeling Phospho-Histone H3 (S10) with Rabbit anti-Phospho-Histone H3 (S10) antibody (HA750020) at 1/5,000 dilution and competitor's antibody at 1/3,000 dilution. Cells were fixed in 4% paraformaldehyde for 20 minutes at room temperature, permeabilized with 0.1% Triton X-100 in PBS for 5 minutes at room temperature, then blocked with 1% BSA in 10% negative goat serum for 1 hour at room temperature. Cells were then incubated with Rabbit anti-Phospho-Histone H3 (S10) antibody (HA750020) at 1/5,000 dilution and competitor's antibody at 1/3,000 dilution in 1% BSA in PBST overnight at 4 ℃. Goat Anti-Rabbit IgG H&L (iFluor™ 488, HA1121) was used as the secondary antibody at 1/1,000 dilution. PBS instead of the primary antibody was used as the secondary antibody only control. Nuclear DNA was labelled in blue with DAPI. Beta tubulin (M1305-2, red) was stained at 1/100 dilution overnight at +4℃. Goat Anti-Mouse IgG H&L (iFluor™ 594, HA1126) was used as the secondary antibody at 1/1,000 dilution.
Western blot analysis of Phospho-Histone H3 (S10) on different lysates with Rabbit anti-Phospho-Histone H3 (S10) antibody (HA750020) at 1/2,000 dilution and competitor's antibody at 1/1,000 dilution. Lane 1: HeLa whole cell lysate Lane 2: HeLa treated with 50nM Calyculin A for 30 minutes whole cell lysate Lane 3: C6 whole cell lysate Lane 4: C6 treated with 100ng/mL Calyculin A for 1 hour whole cell lysate Lane 5: NIH/3T3 whole cell lysate Lane 6: NIH/3T3 starved for 4 hours, then treated with 100nM Calyculin A for 30 minutes whole cell lysate Lysates/proteins at 15 µg/Lane. Predicted band size: 15 kDa Observed band size: 15 kDa Exposure time: 15 seconds; ECL: K1801; 4-20% SDS-PAGE gel. Proteins were transferred to a PVDF membrane and blocked with 5% NFDM/TBST for 1 hour at room temperature. The primary antibody (HA750020) at 1/2,000 dilution and competitor's antibody at 1/1,000 dilution were used in 5% NFDM/TBST at 4℃ overnight. Goat Anti-Rabbit IgG - HRP Secondary Antibody (HA1001) at 1/50,000 dilution was used for 1 hour at room temperature.
quantity: 100μl
price: 649.00 USD
to the supplier
Histone H3 (mono+di+tri methyl K79)
HUABIO
catalog: HA750051
domestic rabbit monoclonal (SR42-06)
reactivity:
human
,
mouse
,
rat
application:
western blot
,
chromatin immunoprecipitation
,
immunohistochemistry - paraffin section
Western blot analysis of Histone H3 (mono+di+tri methyl K79) on different lysates. Proteins were transferred to a PVDF membrane and blocked with 5% BSA in PBS for 1 hour at room temperature. The primary antibody (HA750051, 1/500) was used in 5% BSA at room temperature for 2 hours. Goat Anti-Rabbit IgG - HRP Secondary Antibody (HA1001) at 1:5,000 dilution was used for 1 hour at room temperature. Positive control: Lane 1: mouse testis tissue lysate Lane 2: CRC cell lysate
Immunohistochemical analysis of paraffin-embedded rat muscle tissue with Rabbit anti-Histone H3 (mono+di+tri methyl K79) antibody (HA750051) at 1/1,000 dilution. The section was pre-treated using heat mediated antigen retrieval with sodium citrate buffer (pH 6.0) (high pressure) for 2 minutes. The tissues were blocked in 1% BSA for 20 minutes at room temperature, washed with ddH2O and PBS, and then probed with the primary antibody (HA750051) at 1/1,000 dilution for 1 hour at room temperature. The detection was performed using an HRP conjugated compact polymer system. DAB was used as the chromogen. Tissues were counterstained with hematoxylin and mounted with DPX.
Immunohistochemical analysis of paraffin-embedded rat skin tissue with Rabbit anti-Histone H3 (mono+di+tri methyl K79) antibody (HA750051) at 1/1,000 dilution. The section was pre-treated using heat mediated antigen retrieval with sodium citrate buffer (pH 6.0) (high pressure) for 2 minutes. The tissues were blocked in 1% BSA for 20 minutes at room temperature, washed with ddH2O and PBS, and then probed with the primary antibody (HA750051) at 1/1,000 dilution for 1 hour at room temperature. The detection was performed using an HRP conjugated compact polymer system. DAB was used as the chromogen. Tissues were counterstained with hematoxylin and mounted with DPX.
quantity: 100μl
price: 649.00 USD
to the supplier
Histone H3 (acetyl K56)
HUABIO
catalog: HA750163
domestic rabbit monoclonal (SU30-10)
reactivity:
human
,
mouse
,
rat
application:
western blot
,
chromatin immunoprecipitation
,
immunohistochemistry - paraffin section
Western blot analysis of Histone H3 (acetyl K56) on different lysates with Rabbit anti-Histone H3 (acetyl K56) antibody (HA750163) at 1/1,000 dilution. Lane 1: HeLa cell lysate Lane 2: C6 cell lysate Lane 3: C6 treated with 1μM TSA for 18 hours cell lysate Lane 4: NIH/3T3 cell lysate Lane 5: NIH/3T3 treated with 400nM TSA for 18 hours cell lysate Lysates/proteins at 20 µg/Lane. Predicted band size: 15 kDa Observed band size: 15 kDa Exposure time: 14 seconds; ECL: K1801; 4-20% SDS-PAGE gel. Proteins were transferred to a PVDF membrane and blocked with 5% NFDM/TBST for 1 hour at room temperature. The primary antibody (HA750163) at 1/1,000 dilution was used in 5% NFDM/TBST at 4℃ overnight. Goat Anti-Rabbit IgG - HRP Secondary Antibody (HA1001) at 1/50,000 dilution was used for 1 hour at room temperature.
Immunocytochemistry analysis of HeLa cells labeling Histone H3 (acetyl K56) with Rabbit anti-Histone H3 (acetyl K56) antibody (HA750163) at 1/250 dilution. Cells were fixed in 4% paraformaldehyde for 15 minutes at room temperature, permeabilized with 0.1% Triton X-100 in PBS for 15 minutes at room temperature, then blocked with 1% BSA in 10% negative goat serum for 1 hour at room temperature. Cells were then incubated with Rabbit anti-Histone H3 (acetyl K56) antibody (HA750163) at 1/250 dilution in 1% BSA in PBST overnight at 4 ℃. Goat Anti-Rabbit IgG H&L (iFluor™ 488, HA1121) was used as the secondary antibody at 1/1,000 dilution. PBS instead of the primary antibody was used as the secondary antibody only control. Nuclear DNA was labelled in blue with DAPI. Beta tubulin (HA601187, red) was stained at 1/100 dilution overnight at +4℃. Goat Anti-Mouse IgG H&L (iFluor™ 594, HA1126) was used as the secondary antibody at 1/1,000 dilution.
Immunohistochemical analysis of paraffin-embedded human kidney tissue with Rabbit anti-Histone H3 (acetyl K56) antibody (HA750163) at 1/5,000 dilution. The section was pre-treated using heat mediated antigen retrieval with sodium citrate buffer (pH 6.0) (high pressure) for 2 minutes. The tissues were blocked in 1% BSA for 20 minutes at room temperature, washed with ddH2O and PBS, and then probed with the primary antibody (HA750163) at 1/5,000 dilution for 1 hour at room temperature. The detection was performed using an HRP conjugated compact polymer system. DAB was used as the chromogen. Tissues were counterstained with hematoxylin and mounted with DPX.
quantity: 100μl
price: 649.00 USD
to the supplier
Histone H3 (mono methyl R2)
HUABIO
catalog: HA750197
domestic rabbit monoclonal (ST0427)
reactivity:
human
,
mouse
,
rat
application:
western blot
,
chromatin immunoprecipitation
,
immunohistochemistry - paraffin section
ICC staining Histone H3(mono methyl R2) in HepG2 cells (green). The nuclear counter stain is DAPI (blue). Cells were fixed in paraformaldehyde, permeabilised with 0.25% Triton X100/PBS.
ICC staining Histone H3(mono methyl R2) in NIH/3T3 cells (green). The nuclear counter stain is DAPI (blue). Cells were fixed in paraformaldehyde, permeabilised with 0.25% Triton X100/PBS.
ICC staining Histone H3(mono methyl R2) in PC-3M cells (green). The nuclear counter stain is DAPI (blue). Cells were fixed in paraformaldehyde, permeabilised with 0.25% Triton X100/PBS.
quantity: 100μl
price: 649.00 USD
to the supplier
Histone H3 (di methyl K9)
HUABIO
catalog: HA750259
domestic rabbit monoclonal (SN07-30)
reactivity:
human
,
mouse
,
rat
application:
western blot
,
immunohistochemistry - paraffin section
Western blot analysis of Histone H3 (di methyl K9) on different lysates with Rabbit anti-Histone H3 (di methyl K9) antibody (HA750259) at 1/1,000 dilution. Lane 1: HeLa cell lysate Lane 2: Jurkat cell lysate Lane 3: MCF7 cell lysate Lane 4: C2C12 cell lysate Lane 5: C6 cell lysate Lysates/proteins at 20 µg/Lane. Predicted band size: 15 kDa Observed band size: 15 kDa Exposure time: 4 seconds; ECL: K1801; 4-20% SDS-PAGE gel. Proteins were transferred to a PVDF membrane and blocked with 5% NFDM/TBST for 1 hour at room temperature. The primary antibody (HA750259) at 1/1,000 dilution was used in primary antibody dilution (K1803) at 4℃ overnight. Goat Anti-Rabbit IgG - HRP Secondary Antibody (HA1001) at 1/50,000 dilution was used for 1 hour at room temperature.
ICC staining of Histone H3 (di methyl K9) in HepG2 cells (green). Formalin fixed cells were permeabilized with 0.1% Triton X-100 in TBS for 10 minutes at room temperature and blocked with 1% Blocker BSA for 15 minutes at room temperature. Cells were probed with the primary antibody (HA750259, 1/50) for 1 hour at room temperature, washed with PBS. Alexa Fluor®488 Goat anti-Rabbit IgG was used as the secondary antibody at 1/1,000 dilution. The nuclear counter stain is DAPI (blue).
ICC staining of Histone H3 (di methyl K9) in Hela cells (green). Formalin fixed cells were permeabilized with 0.1% Triton X-100 in TBS for 10 minutes at room temperature and blocked with 1% Blocker BSA for 15 minutes at room temperature. Cells were probed with the primary antibody (HA750259, 1/50) for 1 hour at room temperature, washed with PBS. Alexa Fluor®488 Goat anti-Rabbit IgG was used as the secondary antibody at 1/1,000 dilution. The nuclear counter stain is DAPI (blue).
quantity: 100μl
price: 649.00 USD
to the supplier
Histone H3
HUABIO
catalog: HA750318
domestic rabbit monoclonal (JJ090-07)
reactivity:
human
,
mouse
,
rat
application:
western blot
,
immunoprecipitation
,
chromatin immunoprecipitation
,
immunohistochemistry - paraffin section
Western blot analysis of Histone H3 on different lysates with Rabbit anti-Histone H3 antibody (HA750318) at 1/20,000 dilution and competitor's antibody at 1/5,000 dilution. Lane 1: HeLa cell lysate Lane 2: A549 cell lysate Lane 3: HT-29 cell lysate Lane 4: HEK-293 cell lysate Lane 5: C2C12 cell lysate Lane 6: L-929 cell lysate Lane 7: C6 cell lysate Lysates/proteins at 10 µg/Lane. Predicted band size: 15 kDa Observed band size: 15 kDa Exposure time: 18 seconds; ECL: K1801; 4-20% SDS-PAGE gel. Proteins were transferred to a PVDF membrane and blocked with 5% NFDM/TBST for 1 hour at room temperature. The primary antibody (HA750318) at 1/20,000 dilution and competitor's antibody at 1/5,000 dilution were used in 5% NFDM/TBST at 4℃ overnight. Goat Anti-Rabbit IgG - HRP Secondary Antibody (HA1001) at 1/50,000 dilution was used for 1 hour at room temperature.
Immunocytochemistry analysis of HeLa cells labeling Histone H3 with Rabbit anti-Histone H3 antibody (HA750318) at 1/100 dilution. Cells were fixed in 4% paraformaldehyde for 10 minutes at 37 ℃, permeabilized with 0.05% Triton X-100 in PBS for 20 minutes, and then blocked with 2% negative goat serum for 30 minutes at room temperature. Cells were then incubated with Rabbit anti-Histone H3 antibody (HA750318) at 1/100 dilution in 2% negative goat serum overnight at 4 ℃. Goat Anti-Rabbit IgG H&L (iFluor™ 488, HA1121) was used as the secondary antibody at 1/1,000 dilution. PBS instead of the primary antibody was used as the secondary antibody only control. Nuclear DNA was labelled in blue with DAPI.
Immunohistochemical analysis of paraffin-embedded human kidney tissue with Rabbit anti-Histone H3 antibody (HA750318) at 1/10,000 dilution. The section was pre-treated using heat mediated antigen retrieval with sodium citrate buffer (pH 6.0) (high pressure) for 2 minutes. The tissues were blocked in 1% BSA for 20 minutes at room temperature, washed with ddH2O and PBS, and then probed with the primary antibody (HA750318) at 1/10,000 dilution for 1 hour at room temperature. The detection was performed using an HRP conjugated compact polymer system. DAB was used as the chromogen. Tissues were counterstained with hematoxylin and mounted with DPX.
quantity: 100μl
price: 649.00 USD
to the supplier
Histone H3 (acetyl K14)
HUABIO
catalog: HA750454
domestic rabbit monoclonal (JU43-26)
reactivity:
human
,
mouse
,
rat
application:
western blot
,
immunoprecipitation
,
immunohistochemistry - paraffin section
Western blot analysis of Histone H3 (acetyl K14) on different lysates with Rabbit anti-Histone H3 (acetyl K14) antibody (HA750454) at 1/500 dilution. Lane 1: Jurkat cell lysate(10 µg/Lane) Lane 2: Rat liver tissue lysate Lane 3: Mouse lung tissue lysate Lysates/proteins at 20 µg/Lane. Predicted band size: 15 kDa Observed band size: 15 kDa Exposure time: 2 minutes; 15% SDS-PAGE gel. Proteins were transferred to a PVDF membrane and blocked with 5% NFDM/TBST for 1 hour at room temperature. The primary antibody (HA750454) at 1/500 dilution was used in 5% NFDM/TBST at room temperature for 2 hours. Goat Anti-Rabbit IgG - HRP Secondary Antibody (HA1001) at 5,000 dilution was used for 1 hour at room temperature.
Western blot analysis of Histone H3 (acetyl K14) on different lysates with Rabbit anti-Histone H3 (acetyl K14) antibody (HA750454) at 1/1,000 dilution. Lane 1: Hela whole cell lysate Lane 2: Hela treated with 1μM TSA for 18 hours whole cell lysate Lysates/proteins at 20 µg/Lane. Predicted band size: 15 kDa Observed band size: 15 kDa Exposure time: 5 minutes; 10% SDS-PAGE gel. Proteins were transferred to a PVDF membrane and blocked with 5% NFDM/TBST for 1 hour at room temperature. The primary antibody (HA750454) at 1/1,000 dilution was used in 5% NFDM/TBST at room temperature for 2 hours. Goat Anti-Rabbit IgG - HRP Secondary Antibody (HA1001) at 1:200,000 dilution was used for 1 hour at room temperature.
Immunocytochemistry analysis of F9 cells labeling Histone H3 (acetyl K14) with Rabbit anti-Histone H3 (acetyl K14) antibody (HA750454) at 1/100 dilution. Cells were fixed in 4% paraformaldehyde for 20 minutes at room temperature, permeabilized with 0.1% Triton X-100 in PBS for 5 minutes at room temperature, then blocked with 1% BSA in 10% negative goat serum for 1 hour at room temperature. Cells were then incubated with Rabbit anti-Histone H3 (acetyl K14) antibody (HA750454) at 1/100 dilution in 1% BSA in PBST overnight at 4 ℃. Goat Anti-Rabbit IgG H&L (iFluor™ 488, HA1121) was used as the secondary antibody at 1/1,000 dilution. PBS instead of the primary antibody was used as the secondary antibody only control. Nuclear DNA was labelled in blue with DAPI. Beta tubulin (M1305-2, red) was stained at 1/100 dilution overnight at +4℃. Goat Anti-Mouse IgG H&L (iFluor™ 594, HA1126) was used as the secondary antibody at 1/1,000 dilution.
quantity: 100μl
price: 649.00 USD
to the supplier
Histone H3 (acetyl K4)
HUABIO
catalog: HA750905
domestic rabbit monoclonal (PSH03-71)
reactivity:
human
,
mouse
,
rat
application:
western blot
,
chromatin immunoprecipitation
,
dot blot
Western blot analysis of Histone H3 (acetyl K4) on different lysates with Rabbit anti-Histone H3 (acetyl K4) antibody (HA750905) at 1/1,000 dilution and competitor's antibody at 1/1,000 dilution. Lane 1: HeLa cell lysate Lane 2: HeLa treated with 500ng/mL TSA for 4 hours cell lysate Lane 3: NIH/3T3 cell lysate Lane 4: NIH/3T3 treated with 400nM TSA for 18 hours cell lysate Lysates/proteins at 20 µg/Lane. Predicted band size: 15 kDa Observed band size: 15 kDa Exposure time: 1 minute 22 seconds; ECL: K1801; 4-20% SDS-PAGE gel. Proteins were transferred to a PVDF membrane and blocked with 5% NFDM/TBST for 1 hour at room temperature. The primary antibody (HA750905) at 1/1,000 dilution and competitor's antibody at 1/1,000 dilution were used in 5% NFDM/TBST at 4℃ overnight. Goat Anti-Rabbit IgG - HRP Secondary Antibody (HA1001) at 1/50,000 dilution was used for 1 hour at room temperature.
Immunocytochemistry analysis of HeLa cells treated with or without 500ng/mL TSA for 4 hours labeling Histone H3 (acetyl K4) with Rabbit anti-Histone H3 (acetyl K4) antibody (HA750905) at 1/500 dilution. Cells were fixed in 4% paraformaldehyde for 20 minutes at room temperature, permeabilized with 0.1% Triton X-100 in PBS for 5 minutes at room temperature, then blocked with 1% BSA in 10% negative goat serum for 1 hour at room temperature. Cells were then incubated with Rabbit anti-Histone H3 (acetyl K4) antibody (HA750905) at 1/500 dilution in 1% BSA in PBST overnight at 4 ℃. Goat Anti-Rabbit IgG H&L (iFluor™ 488, HA1121) was used as the secondary antibody at 1/1,000 dilution. PBS instead of the primary antibody was used as the secondary antibody only control. Nuclear DNA was labelled in blue with DAPI. Beta tubulin (M1305-2, red) was stained at 1/100 dilution overnight at +4℃. Goat Anti-Mouse IgG H&L (iFluor™ 594, HA1126) was used as the secondary antibody at 1/1,000 dilution.
Immunocytochemistry analysis of C6 cells treated with or without 500ng/mL TSA for 6 hours labeling Histone H3 (acetyl K4) with Rabbit anti-Histone H3 (acetyl K4) antibody (HA750905) at 1/1,000 dilution. Cells were fixed in 4% paraformaldehyde for 20 minutes at room temperature, permeabilized with 0.1% Triton X-100 in PBS for 5 minutes at room temperature, then blocked with 1% BSA in 10% negative goat serum for 1 hour at room temperature. Cells were then incubated with Rabbit anti-Histone H3 (acetyl K4) antibody (HA750905) at 1/1,000 dilution in 1% BSA in PBST overnight at 4 ℃. Goat Anti-Rabbit IgG H&L (iFluor™ 488, HA1121) was used as the secondary antibody at 1/1,000 dilution. PBS instead of the primary antibody was used as the secondary antibody only control. Nuclear DNA was labelled in blue with DAPI. Beta tubulin (M1305-2, red) was stained at 1/100 dilution overnight at +4℃. Goat Anti-Mouse IgG H&L (iFluor™ 594, HA1126) was used as the secondary antibody at 1/1,000 dilution.
quantity: 100μl
price: 649.00 USD
to the supplier
Histone H3 (acetyl K9)
HUABIO
catalog: HA750956
domestic rabbit monoclonal (PSH04-47)
reactivity:
human
,
mouse
,
rat
application:
western blot
,
immunoprecipitation
,
flow cytometry
,
chromatin immunoprecipitation
,
immunohistochemistry - paraffin section
,
dot blot
Western blot analysis of Histone H3 (acetyl K9) on different lysates with Rabbit anti-Histone H3 (acetyl K9) antibody (HA750956) at 1/1,000 dilution and competitor's antibody at 1/1,000 dilution. Lane 1: HeLa cell lysate Lane 2: HeLa treated with 500ng/mL TSA for 4 hours cell lysate Lane 3: NIH/3T3 cell lysate Lane 4: NIH/3T3 treated with 400nM TSA for 18 hours cell lysate Lane 5: C6 cell lysate Lane 6: C6 treated with 1μM TSA for 18 hours cell lysate Lysates/proteins at 20 µg/Lane. Predicted band size: 15 kDa Observed band size: 15 kDa Exposure time: 6 seconds; ECL: K1801; 4-20% SDS-PAGE gel. Proteins were transferred to a PVDF membrane and blocked with 5% NFDM/TBST for 1 hour at room temperature. The primary antibody (HA750956) at 1/1,000 dilution and competitor's antibody at 1/1,000 dilution were used in 5% NFDM/TBST at 4℃ overnight. Goat Anti-Rabbit IgG - HRP Secondary Antibody (HA1001) at 1/50,000 dilution was used for 1 hour at room temperature.
Immunocytochemistry analysis of C6 cells labeling Histone H3 (acetyl K9) with Rabbit anti-Histone H3 (acetyl K9) antibody (HA750956) at 1/10,000 dilution and competitor's antibody at 1/1,000 dilution. Cells were fixed in 4% paraformaldehyde for 20 minutes at room temperature, permeabilized with 0.1% Triton X-100 in PBS for 5 minutes at room temperature, then blocked with 1% BSA in 10% negative goat serum for 1 hour at room temperature. Cells were then incubated with Rabbit anti-Histone H3 (acetyl K9) antibody (HA750956) at 1/10,000 dilution and competitor's antibody at 1/1,000 dilution in 1% BSA in PBST overnight at 4 ℃. Goat Anti-Rabbit IgG H&L (iFluor™ 488, HA1121) was used as the secondary antibody at 1/1,000 dilution. PBS instead of the primary antibody was used as the secondary antibody only control. Nuclear DNA was labelled in blue with DAPI. Beta tubulin (M1305-2, red) was stained at 1/100 dilution overnight at +4℃. Goat Anti-Mouse IgG H&L (iFluor™ 594, HA1126) was used as the secondary antibody at 1/1,000 dilution.
Immunohistochemical analysis of paraffin-embedded human stomach tissue with Rabbit anti-Histone H3 (acetyl K9) antibody (HA750956) at 1/2,000 dilution and competitor's antibody at 1/1,000 dilution. The section was pre-treated using heat mediated antigen retrieval with sodium citrate buffer (pH 6.0) (high pressure) for 2 minutes. The tissues were blocked in 1% BSA for 20 minutes at room temperature, washed with ddH2O and PBS, and then probed with the primary antibody (HA750956) at 1/2,000 dilution and competitor's antibody at 1/1,000 dilution for 1 hour at room temperature. The detection was performed using an HRP conjugated compact polymer system. DAB was used as the chromogen. Tissues were counterstained with hematoxylin and mounted with DPX.
quantity: 100μl
price: 649.00 USD
to the supplier
Histone H3 (tri methyl K27)
HUABIO
catalog: HA750988
domestic rabbit monoclonal (PSH05-15)
reactivity:
human
,
mouse
,
rat
application:
western blot
,
chromatin immunoprecipitation
,
immunohistochemistry - paraffin section
Western blot analysis of Histone H3 (tri methyl K27) on different lysates with Rabbit anti-Histone H3 (tri methyl K27) antibody (HA750988) at 1/1,000 dilution. Lane 1: HeLa cell lysate Lane 2: SH-SY5Y cell lysate Lane 3: HCT 116 cell lysate Lane 4: NIH/3T3 cell lysate Lane 5: C6 cell lysate Lane 6: MCF7 cell lysate Lane 7: MCF7 treated with 10μM EED226 for 72 hours cell lysate Lysates/proteins at 20 µg/Lane. Predicted band size: 15 kDa Observed band size: 15 kDa Exposure time: 25 seconds; ECL: K1801; 4-20% SDS-PAGE gel. Proteins were transferred to a PVDF membrane and blocked with 5% NFDM/TBST for 1 hour at room temperature. The primary antibody (HA750988) at 1/1,000 dilution was used in 5% NFDM/TBST at 4℃ overnight. Goat Anti-Rabbit IgG - HRP Secondary Antibody (HA1001) at 1/50,000 dilution was used for 1 hour at room temperature.
Immunocytochemistry analysis of HeLa cells labeling Histone H3 (tri methyl K27) with Rabbit anti-Histone H3 (tri methyl K27) antibody (HA750988) at 1/100 dilution. Cells were fixed in 4% paraformaldehyde for 20 minutes at room temperature, permeabilized with 0.1% Triton X-100 in PBS for 5 minutes at room temperature, then blocked with 1% BSA in 10% negative goat serum for 1 hour at room temperature. Cells were then incubated with Rabbit anti-Histone H3 (tri methyl K27) antibody (HA750988) at 1/100 dilution in 1% BSA in PBST overnight at 4 ℃. Goat Anti-Rabbit IgG H&L (iFluor™ 488, HA1121) was used as the secondary antibody at 1/1,000 dilution. PBS instead of the primary antibody was used as the secondary antibody only control. Nuclear DNA was labelled in blue with DAPI. Beta tubulin (M1305-2, red) was stained at 1/100 dilution overnight at +4℃. Goat Anti-Mouse IgG H&L (iFluor™ 594, HA1126) was used as the secondary antibody at 1/1,000 dilution.
Immunohistochemical analysis of paraffin-embedded human colon tissue with Rabbit anti-Histone H3 (tri methyl K27) antibody (HA750988) at 1/1,000 dilution. The section was pre-treated using heat mediated antigen retrieval with sodium citrate buffer (pH 6.0) (high pressure) for 2 minutes. The tissues were blocked in 1% BSA for 20 minutes at room temperature, washed with ddH2O and PBS, and then probed with the primary antibody (HA750988) at 1/1,000 dilution for 1 hour at room temperature. The detection was performed using an HRP conjugated compact polymer system. DAB was used as the chromogen. Tissues were counterstained with hematoxylin and mounted with DPX.
quantity: 100μl
price: 649.00 USD
to the supplier
Histone H3 (mono methyl K27)
HUABIO
catalog: HA751019
domestic rabbit monoclonal (PSH05-67)
reactivity:
human
,
mouse
,
rat
application:
western blot
,
flow cytometry
,
chromatin immunoprecipitation
Western blot analysis of Histone H3 (mono methyl K27) on different lysates with Rabbit anti-Histone H3 (mono methyl K27) antibody (HA751019) at 1/1,000 dilution. Lane 1: MCF7 cell lysate Lane 2: SH-SY5Y cell lysate Lane 3: HeLa cell lysate Lane 4: A549 cell lysate Lane 5: NIH/3T3 cell lysate Lane 6: PC-12 cell lysate Lysates/proteins at 20 µg/Lane. Predicted band size: 15 kDa Observed band size: 15 kDa Exposure time: 1 minute 50 seconds; ECL: K1801; 4-20% SDS-PAGE gel. Proteins were transferred to a PVDF membrane and blocked with 2% BSA/TBST for 1 hour at room temperature. The primary antibody (HA751019) at 1/1,000 dilution was used in TBST at 4℃ overnight. Goat Anti-Rabbit IgG - HRP Secondary Antibody (HA1001) at 1/50,000 dilution was used for 1 hour at room temperature.
Immunocytochemistry analysis of MCF7 cells labeling Histone H3 (mono methyl K27) with Rabbit anti-Histone H3 (mono methyl K27) antibody (HA751019) at 1/100 dilution. Cells were fixed in 4% paraformaldehyde for 20 minutes at room temperature, permeabilized with 0.1% Triton X-100 in PBS for 5 minutes at room temperature, then blocked with 1% BSA in 10% negative goat serum for 1 hour at room temperature. Cells were then incubated with Rabbit anti-Histone H3 (mono methyl K27) antibody (HA751019) at 1/100 dilution in 1% BSA in PBST overnight at 4 ℃. Goat Anti-Rabbit IgG H&L (iFluor™ 488, HA1121) was used as the secondary antibody at 1/1,000 dilution. PBS instead of the primary antibody was used as the secondary antibody only control. Nuclear DNA was labelled in blue with DAPI. Beta tubulin (M1305-2, red) was stained at 1/100 dilution overnight at +4℃. Goat Anti-Mouse IgG H&L (iFluor™ 594, HA1126) was used as the secondary antibody at 1/1,000 dilution.
Immunocytochemistry analysis of NIH/3T3 cells labeling Histone H3 (mono methyl K27) with Rabbit anti-Histone H3 (mono methyl K27) antibody (HA751019) at 1/500 dilution. Cells were fixed in 4% paraformaldehyde for 20 minutes at room temperature, permeabilized with 0.1% Triton X-100 in PBS for 5 minutes at room temperature, then blocked with 1% BSA in 10% negative goat serum for 1 hour at room temperature. Cells were then incubated with Rabbit anti-Histone H3 (mono methyl K27) antibody (HA751019) at 1/500 dilution in 1% BSA in PBST overnight at 4 ℃. Goat Anti-Rabbit IgG H&L (iFluor™ 488, HA1121) was used as the secondary antibody at 1/1,000 dilution. PBS instead of the primary antibody was used as the secondary antibody only control. Nuclear DNA was labelled in blue with DAPI. Beta tubulin (M1305-2, red) was stained at 1/100 dilution overnight at +4℃. Goat Anti-Mouse IgG H&L (iFluor™ 594, HA1126) was used as the secondary antibody at 1/1,000 dilution.
quantity: 100μl
price: 649.00 USD
to the supplier
Histone H3 (di methyl K27)
HUABIO
catalog: HA751035
domestic rabbit monoclonal (PSH05-88)
reactivity:
human
,
mouse
,
rat
application:
western blot
,
chromatin immunoprecipitation
Western blot analysis of Histone H3 (di methyl K27) on different lysates with Rabbit anti-Histone H3 (di methyl K27) antibody (HA751035) at 1/1,000 dilution. Lane 1: HeLa cell lysate Lane 2: SH-SY5Y cell lysate Lane 3: HCT 116 cell lysate Lane 4: C6 cell lysate Lane 5: MCF7 cell lysate Lane 6: MCF7 treated with 10μM EED226 for 72 hours cell lysate Lysates/proteins at 20 µg/Lane. Predicted band size: 15 kDa Observed band size: 15 kDa Exposure time: 30 seconds; ECL: K1801; 4-20% SDS-PAGE gel. Proteins were transferred to a PVDF membrane and blocked with 5% NFDM/TBST for 1 hour at room temperature. The primary antibody (HA751035) at 1/1,000 dilution was used in 5% NFDM/TBST at 4℃ overnight. Goat Anti-Rabbit IgG - HRP Secondary Antibody (HA1001) at 1/50,000 dilution was used for 1 hour at room temperature.
Western blot analysis of Histone H3 (di methyl K27) on different lysates with Rabbit anti-Histone H3 (di methyl K27) antibody (HA751035) at 1/1,000 dilution. Lane 1: RAW264.7 cell lysate (20 µg/Lane) Lane 2: C2C12 cell lysate (20 µg/Lane) Lane 3: NIH/3T3 cell lysate (20 µg/Lane) Predicted band size: 15 kDa Observed band size: 15 kDa Exposure time: 12 seconds; ECL: K1801; 4-20% SDS-PAGE gel. Proteins were transferred to a PVDF membrane and blocked with 5% NFDM/TBST for 1 hour at room temperature. The primary antibody (HA751035) at 1/1,000 dilution was used in 5% NFDM/TBST at 4℃ overnight. Goat Anti-Rabbit IgG - HRP Secondary Antibody (HA1001) at 1/50,000 dilution was used for 1 hour at room temperature.
Chromatin immunoprecipitations were performed with cross-linked chromatin from MCF7 cells with Histone H3 (di methyl K27) (HA751035) or Normal Rabbit IgG according to the ChIP protocol. The enriched DNA was quantified by real-time PCR using indicated primers. The amount of immunoprecipitated DNA in each sample is represented as signal relative to the total amount of input chromatin, which is equivalent to one.
quantity: 100μl
price: 649.00 USD
to the supplier
Histone H3 (mono+di+tri methyl K4)
HUABIO
catalog: HA751067
domestic rabbit monoclonal (PSH06-30)
reactivity:
human
,
mouse
,
rat
application:
western blot
,
flow cytometry
,
chromatin immunoprecipitation
,
immunohistochemistry - paraffin section
Western blot analysis of Histone H3 (mono+di+tri methyl K4) on different lysates with Rabbit anti-Histone H3 (mono+di+tri methyl K4) antibody (HA751067) at 1/1,000 dilution. Lane 1: HeLa cell lysate Lane 2: SH-SY5Y cell lysate Lane 3: U-2 OS cell lysate Lane 4: RAW264.7 cell lysate Lane 5: NIH/3T3 cell lysate Lane 6: C6 cell lysate Lane 7: PC-12 cell lysate Lysates/proteins at 20 µg/Lane. Predicted band size: 15 kDa Observed band size: 15 kDa Exposure time: 2 seconds; ECL: K1801; 4-20% SDS-PAGE gel. Proteins were transferred to a PVDF membrane and blocked with 5% NFDM/TBST for 1 hour at room temperature. The primary antibody (HA751067) at 1/1,000 dilution was used in 5% NFDM/TBST at 4℃ overnight. Goat Anti-Rabbit IgG - HRP Secondary Antibody (HA1001) at 1/50,000 dilution was used for 1 hour at room temperature.
Immunohistochemical analysis of paraffin-embedded human testis tissue with Rabbit anti-Histone H3 (mono+di+tri methyl K4) antibody (HA751067) at 1/10,000 dilution. The section was pre-treated using heat mediated antigen retrieval with sodium citrate buffer (pH 6.0) (high pressure) for 2 minutes. The tissues were blocked in 1% BSA for 20 minutes at room temperature, washed with ddH2O and PBS, and then probed with the primary antibody (HA751067) at 1/10,000 dilution for 1 hour at room temperature. The detection was performed using an HRP conjugated compact polymer system. DAB was used as the chromogen. Tissues were counterstained with hematoxylin and mounted with DPX.
Immunohistochemical analysis of paraffin-embedded mouse testis tissue with Rabbit anti-Histone H3 (mono+di+tri methyl K4) antibody (HA751067) at 1/10,000 dilution. The section was pre-treated using heat mediated antigen retrieval with sodium citrate buffer (pH 6.0) (high pressure) for 2 minutes. The tissues were blocked in 1% BSA for 20 minutes at room temperature, washed with ddH2O and PBS, and then probed with the primary antibody (HA751067) at 1/10,000 dilution for 1 hour at room temperature. The detection was performed using an HRP conjugated compact polymer system. DAB was used as the chromogen. Tissues were counterstained with hematoxylin and mounted with DPX.
quantity: 100μl
price: 649.00 USD
to the supplier
Histone H3 (mono+di+tri methyl K36)
HUABIO
catalog: HA751135
domestic rabbit monoclonal (PSH07-14)
reactivity:
human
,
mouse
,
rat
application:
western blot
,
flow cytometry
,
chromatin immunoprecipitation
,
immunohistochemistry - paraffin section
Western blot analysis of Histone H3 (mono+di+tri methyl K36) on different lysates with Rabbit anti-Histone H3 (mono+di+tri methyl K36) antibody (HA751135) at 1/1,000 dilution. Lane 1: MCF7 cell lysate Lane 2: HeLa cell lysate Lane 3: A549 cell lysate Lane 4: NIH/3T3 cell lysate Lane 5: C6 cell lysate Lysates/proteins at 20 µg/Lane. Predicted band size: 15 kDa Observed band size: 15 kDa Exposure time: 8 seconds; ECL: K1801; 4-20% SDS-PAGE gel. Proteins were transferred to a PVDF membrane and blocked with 5% NFDM/TBST for 1 hour at room temperature. The primary antibody (HA751135) at 1/1,000 dilution was used in 5% NFDM/TBST at 4℃ overnight. Goat Anti-Rabbit IgG - HRP Secondary Antibody (HA1001) at 1/50,000 dilution was used for 1 hour at room temperature.
Immunohistochemical analysis of paraffin-embedded human colon cancer tissue with Rabbit anti-Histone H3 (mono+di+tri methyl K36) antibody (HA751135) at 1/10,000 dilution. The section was pre-treated using heat mediated antigen retrieval with sodium citrate buffer (pH 6.0) (high pressure) for 2 minutes. The tissues were blocked in 1% BSA for 20 minutes at room temperature, washed with ddH2O and PBS, and then probed with the primary antibody (HA751135) at 1/10,000 dilution for 1 hour at room temperature. The detection was performed using an HRP conjugated compact polymer system. DAB was used as the chromogen. Tissues were counterstained with hematoxylin and mounted with DPX.
Immunohistochemical analysis of paraffin-embedded human testis tissue with Rabbit anti-Histone H3 (mono+di+tri methyl K36) antibody (HA751135) at 1/10,000 dilution. The section was pre-treated using heat mediated antigen retrieval with sodium citrate buffer (pH 6.0) (high pressure) for 2 minutes. The tissues were blocked in 1% BSA for 20 minutes at room temperature, washed with ddH2O and PBS, and then probed with the primary antibody (HA751135) at 1/10,000 dilution for 1 hour at room temperature. The detection was performed using an HRP conjugated compact polymer system. DAB was used as the chromogen. Tissues were counterstained with hematoxylin and mounted with DPX.
quantity: 100μl
price: 649.00 USD
to the supplier
Histone H3 (mono methyl K4)
HUABIO
catalog: HA751136
domestic rabbit monoclonal (PSH07-15)
reactivity:
human
,
mouse
,
rat
application:
western blot
,
chromatin immunoprecipitation
,
dot blot
Western blot analysis of Histone H3 (mono methyl K4) on different lysates with Rabbit anti-Histone H3 (mono methyl K4) antibody (HA751136) at 1/1,000 dilution. Lane 1: A549 cell lysate Lane 2: HeLa cell lysate Lane 3: NIH/3T3 cell lysate Lane 4: C2C12 cell lysate Lane 5: PC-12 cell lysate Lane 6: C6 cell lysate Lysates/proteins at 20 µg/Lane. Predicted band size: 15 kDa Observed band size: 15 kDa Exposure time: 10 seconds; ECL: K1801; 4-20% SDS-PAGE gel. Proteins were transferred to a PVDF membrane and blocked with 5% NFDM/TBST for 1 hour at room temperature. The primary antibody (HA751136) at 1/1,000 dilution was used in 5% NFDM/TBST at 4℃ overnight. Goat Anti-Rabbit IgG - HRP Secondary Antibody (HA1001) at 1/50,000 dilution was used for 1 hour at room temperature.
Immunocytochemistry analysis of HeLa cells labeling Histone H3 (mono methyl K4) with Rabbit anti-Histone H3 (mono methyl K4) antibody (HA751136) at 1/100 dilution. Cells were fixed in 4% paraformaldehyde for 20 minutes at room temperature, permeabilized with 0.1% Triton X-100 in PBS for 5 minutes at room temperature, then blocked with 1% BSA in 10% negative goat serum for 1 hour at room temperature. Cells were then incubated with Rabbit anti-Histone H3 (mono methyl K4) antibody (HA751136) at 1/100 dilution in 1% BSA in PBST overnight at 4 ℃. Goat Anti-Rabbit IgG H&L (iFluor™ 488, HA1121) was used as the secondary antibody at 1/1,000 dilution. PBS instead of the primary antibody was used as the secondary antibody only control. Nuclear DNA was labelled in blue with DAPI. Beta tubulin (M1305-2, red) was stained at 1/100 dilution overnight at +4℃. Goat Anti-Mouse IgG H&L (iFluor™ 594, HA1126) was used as the secondary antibody at 1/1,000 dilution.
Immunocytochemistry analysis of C6 cells labeling Histone H3 (mono methyl K4) with Rabbit anti-Histone H3 (mono methyl K4) antibody (HA751136) at 1/100 dilution. Cells were fixed in 4% paraformaldehyde for 20 minutes at room temperature, permeabilized with 0.1% Triton X-100 in PBS for 5 minutes at room temperature, then blocked with 1% BSA in 10% negative goat serum for 1 hour at room temperature. Cells were then incubated with Rabbit anti-Histone H3 (mono methyl K4) antibody (HA751136) at 1/100 dilution in 1% BSA in PBST overnight at 4 ℃. Goat Anti-Rabbit IgG H&L (iFluor™ 488, HA1121) was used as the secondary antibody at 1/1,000 dilution. PBS instead of the primary antibody was used as the secondary antibody only control. Nuclear DNA was labelled in blue with DAPI. Beta tubulin (M1305-2, red) was stained at 1/100 dilution overnight at +4℃. Goat Anti-Mouse IgG H&L (iFluor™ 594, HA1126) was used as the secondary antibody at 1/1,000 dilution.
quantity: 100μl
price: 649.00 USD
to the supplier
Histone H3 (mono methyl K79)
HUABIO
catalog: HA751175
domestic rabbit monoclonal (PSH07-66)
reactivity:
human
,
mouse
,
rat
application:
western blot
,
flow cytometry
,
chromatin immunoprecipitation
,
immunohistochemistry - paraffin section
Western blot analysis of Histone H3 (mono methyl K79) on different lysates with Rabbit anti-Histone H3 (mono methyl K79) antibody (HA751175) at 1/1,000 dilution. Lane 1: NIH/3T3 cell lysate Lane 2: C2C12 cell lysate Lane 3: C6 cell lysate Lane 4: COS-1 cell lysate Lysates/proteins at 20 µg/Lane. Predicted band size: 15 kDa Observed band size: 15 kDa Exposure time: 3 minutes; ECL: K1801; 4-20% SDS-PAGE gel. Proteins were transferred to a PVDF membrane and blocked with 5% NFDM/TBST for 1 hour at room temperature. The primary antibody (HA751175) at 1/1,000 dilution was used in 5% NFDM/TBST at 4℃ overnight. Goat Anti-Rabbit IgG - HRP Secondary Antibody (HA1001) at 1/50,000 dilution was used for 1 hour at room temperature.
Western blot analysis of Histone H3 (mono methyl K79) on different lysates with Rabbit anti-Histone H3 (mono methyl K79) antibody (HA751175) at 1/1,000 dilution. Lane 1: HeLa cell lysate Lane 2: HeLa-si DOT1L cell lysate (Knockdown of DOT1L leads to decreased H3K79me1 expression levels) Lysates/proteins at 20 µg/Lane. Predicted band size: 15 kDa Observed band size: 15 kDa Exposure time: 3 minutes; ECL: K1801; 4-20% SDS-PAGE gel. Proteins were transferred to a PVDF membrane and blocked with 5% NFDM/TBST for 1 hour at room temperature. The primary antibody (HA751175) at 1/1,000 dilution was used in 5% NFDM/TBST at 4℃ overnight. Goat Anti-Rabbit IgG - HRP Secondary Antibody (HA1001) at 1/50,000 dilution was used for 1 hour at room temperature.
Immunocytochemistry analysis of HeLa cells labeling Histone H3 (mono methyl K79) with Rabbit anti-Histone H3 (mono methyl K79) antibody (HA751175) at 1/100 dilution. Cells were fixed in 4% paraformaldehyde for 20 minutes at room temperature, permeabilized with 0.1% Triton X-100 in PBS for 5 minutes at room temperature, then blocked with 1% BSA in 10% negative goat serum for 1 hour at room temperature. Cells were then incubated with Rabbit anti-Histone H3 (mono methyl K79) antibody (HA751175) at 1/100 dilution in 1% BSA in PBST overnight at 4 ℃. Goat Anti-Rabbit IgG H&L (iFluor™ 488, HA1121) was used as the secondary antibody at 1/1,000 dilution. PBS instead of the primary antibody was used as the secondary antibody only control. Nuclear DNA was labelled in blue with DAPI. Beta tubulin (M1305-2, red) was stained at 1/100 dilution overnight at +4℃. Goat Anti-Mouse IgG H&L (iFluor™ 594, HA1126) was used as the secondary antibody at 1/1,000 dilution.
quantity: 100μl
price: 649.00 USD
to the supplier
Histone H3 (mono+di+tri methyl K79)
HUABIO
catalog: HA751264
domestic rabbit monoclonal (PSH09-10)
reactivity:
human
,
mouse
,
rat
application:
western blot
,
chromatin immunoprecipitation
,
immunohistochemistry - paraffin section
Western blot analysis of Histone H3 (mono+di+tri methyl K79) on different lysates with Rabbit anti-Histone H3 (mono+di+tri methyl K79) antibody (HA751264) at 1/2,000 dilution. Lane 1: HeLa cell lysate Lane 2: THP-1 cell lysate Lane 3: NIH/3T3 cell lysate Lane 4: RAW264.7 cell lysate Lane 5: PC-12 cell lysate Lane 6: C6 cell lysate Lane 7: COS-1 cell lysate Lysates/proteins at 20 µg/Lane. Predicted band size: 15 kDa Observed band size: 15 kDa Exposure time: 10 seconds; ECL: K1801; 4-20% SDS-PAGE gel. Proteins were transferred to a PVDF membrane and blocked with 5% NFDM/TBST for 1 hour at room temperature. The primary antibody (HA751264) at 1/2,000 dilution was used in 5% NFDM/TBST at 4℃ overnight. Goat Anti-Rabbit IgG - HRP Secondary Antibody (HA1001) at 1/50,000 dilution was used for 1 hour at room temperature.
Immunohistochemical analysis of paraffin-embedded human colon tissue with Rabbit anti-Histone H3 (mono+di+tri methyl K79) antibody (HA751264) at 1/1,000 dilution. The section was pre-treated using heat mediated antigen retrieval with sodium citrate buffer (pH 6.0) (high pressure) for 2 minutes. The tissues were blocked in 1% BSA for 20 minutes at room temperature, washed with ddH2O and PBS, and then probed with the primary antibody (HA751264) at 1/1,000 dilution for 1 hour at room temperature. The detection was performed using an HRP conjugated compact polymer system. DAB was used as the chromogen. Tissues were counterstained with hematoxylin and mounted with DPX.
Immunohistochemical analysis of paraffin-embedded mouse colon tissue with Rabbit anti-Histone H3 (mono+di+tri methyl K79) antibody (HA751264) at 1/1,000 dilution. The section was pre-treated using heat mediated antigen retrieval with sodium citrate buffer (pH 6.0) (high pressure) for 2 minutes. The tissues were blocked in 1% BSA for 20 minutes at room temperature, washed with ddH2O and PBS, and then probed with the primary antibody (HA751264) at 1/1,000 dilution for 1 hour at room temperature. The detection was performed using an HRP conjugated compact polymer system. DAB was used as the chromogen. Tissues were counterstained with hematoxylin and mounted with DPX.
quantity: 100μl
price: 649.00 USD
to the supplier
Histone H3 (acetyl K27)
HUABIO
catalog: HA751495
domestic rabbit monoclonal (PSH13-93)
reactivity:
human
,
mouse
,
rat
application:
western blot
,
immunohistochemistry - paraffin section
Western blot analysis of Histone H3 (acetyl K27) on different lysates with Rabbit anti-Histone H3 (acetyl K27) antibody (HA751495) at 1/5,000 dilution. Lane 1: HeLa cell lysate Lane 2: HeLa treated with 500ng/mL TSA for 4 hours cell lysate Lane 3: NIH/3T3 cell lysate Lane 4: NIH/3T3 treated with 400nM TSA for 18 hours cell lysate Lane 5: C6 cell lysate Lane 6: C6 treated with 1μM TSA for 18 hours cell lysate Lysates/proteins at 20 µg/Lane. Predicted band size: 15 kDa Observed band size: 15 kDa Exposure time: 25 seconds; ECL: K1801; 4-20% SDS-PAGE gel. Proteins were transferred to a PVDF membrane and blocked with 5% NFDM/TBST for 1 hour at room temperature. The primary antibody (HA751495) at 1/5,000 dilution was used in primary antibody dilution (K1803) at 4℃ overnight. Goat Anti-Rabbit IgG - HRP Secondary Antibody (HA1001) at 1/50,000 dilution was used for 1 hour at room temperature.
Immunohistochemical analysis of paraffin-embedded mouse colon tissue with Rabbit anti-Histone H3 (acetyl K27) antibody (HA751495) at 1/200 dilution. The section was pre-treated using heat mediated antigen retrieval with Tris-EDTA buffer (pH 9.0) for 20 minutes. The tissues were blocked in 1% BSA for 20 minutes at room temperature, washed with ddH2O and PBS, and then probed with the primary antibody (HA751495) at 1/200 dilution for 1 hour at room temperature. The detection was performed using an HRP conjugated compact polymer system. DAB was used as the chromogen. Tissues were counterstained with hematoxylin and mounted with DPX.
Immunohistochemical analysis of paraffin-embedded mouse skin tissue with Rabbit anti-Histone H3 (acetyl K27) antibody (HA751495) at 1/200 dilution. The section was pre-treated using heat mediated antigen retrieval with Tris-EDTA buffer (pH 9.0) for 20 minutes. The tissues were blocked in 1% BSA for 20 minutes at room temperature, washed with ddH2O and PBS, and then probed with the primary antibody (HA751495) at 1/200 dilution for 1 hour at room temperature. The detection was performed using an HRP conjugated compact polymer system. DAB was used as the chromogen. Tissues were counterstained with hematoxylin and mounted with DPX.
quantity: 100μl
price: 649.00 USD
to the supplier
Histone H3 (tri methyl K36)
HUABIO
catalog: HA751539
domestic rabbit monoclonal (PSH15-01)
reactivity:
human
,
mouse
,
rat
application:
western blot
,
immunoprecipitation
,
chromatin immunoprecipitation
,
immunohistochemistry - paraffin section
,
dot blot
Western blot analysis of Histone H3 (tri methyl K36) on different lysates with Rabbit anti-Histone H3 (tri methyl K36) antibody (HA751539) at 1/5,000 dilution. Lane 1: HeLa cell lysate (20 µg/Lane) Lane 2: COS-1 cell lysate (20 µg/Lane) Lane 3: RAW264.7 cell lysate (20 µg/Lane) Lane 4: C6 cell lysate (20 µg/Lane) Lane 5: PC-12 cell lysate (20 µg/Lane) Predicted band size: 15 kDa Observed band size: 15 kDa Exposure time: 1 minute; ECL: K1801; 4-20% SDS-PAGE gel. Proteins were transferred to a PVDF membrane and blocked with 5% NFDM/TBST for 1 hour at room temperature. The primary antibody (HA751539) at 1/5,000 dilution was used in primary antibody dilution (K1803) at 4℃ overnight. Goat Anti-Rabbit IgG - HRP Secondary Antibody (HA1001) at 1/50,000 dilution was used for 1 hour at room temperature.
Immunohistochemical analysis of paraffin-embedded human colon cancer tissue with Rabbit anti-Histone H3 (tri methyl K36) antibody (HA751539) at 1/2,000 dilution. The section was pre-treated using heat mediated antigen retrieval with Tris-EDTA buffer (pH 9.0) for 20 minutes. The tissues were blocked in 1% BSA for 20 minutes at room temperature, washed with ddH2O and PBS, and then probed with the primary antibody (HA751539) at 1/2,000 dilution for 1 hour at room temperature. The detection was performed using an HRP conjugated compact polymer system. DAB was used as the chromogen. Tissues were counterstained with hematoxylin and mounted with DPX.
Immunohistochemical analysis of paraffin-embedded human testis tissue with Rabbit anti-Histone H3 (tri methyl K36) antibody (HA751539) at 1/2,000 dilution. The section was pre-treated using heat mediated antigen retrieval with Tris-EDTA buffer (pH 9.0) for 20 minutes. The tissues were blocked in 1% BSA for 20 minutes at room temperature, washed with ddH2O and PBS, and then probed with the primary antibody (HA751539) at 1/2,000 dilution for 1 hour at room temperature. The detection was performed using an HRP conjugated compact polymer system. DAB was used as the chromogen. Tissues were counterstained with hematoxylin and mounted with DPX.
quantity: 100μl
price: 385.00 USD
to the supplier
Histone H3 (tri methyl K9)
HUABIO
catalog: M1112-3-50UL
mouse monoclonal (1-6)
reactivity:
human
,
mouse
,
rat
application:
western blot
,
immunohistochemistry - paraffin section
Western blot analysis of Histone H3 (tri methyl K9) on different lysates with Mouse anti-Histone H3 (tri methyl K9) antibody (M1112-3) at 1/1,000 dilution. Lane 1: F9 cell lysate Lane 2: PC-12 cell lysate Lane 3: NCCIT cell lysate Lysates/proteins at 10 µg/Lane. Predicted band size: 15 kDa Observed band size: 15 kDa Exposure time: minute; 15% SDS-PAGE gel. Proteins were transferred to a PVDF membrane and blocked with 5% NFDM/TBST for 1 hour at room temperature. The primary antibody (M1112-3) at 1/1,000 dilution was used in 5% NFDM/TBST at room temperature for 2 hours. Goat Anti-Mouse IgG - HRP Secondary Antibody (HA1006) at 1:100,000 dilution was used for 1 hour at room temperature.
Western blot analysis of Tri-Methyl-Histone H3 (Lys9) on different lysates. Proteins were transferred to a PVDF membrane and blocked with 5% BSA in PBS for 1 hour at room temperature. The primary antibody (M1112-3, 1/2,000) was used in 5% BSA at room temperature for 2 hours. Goat Anti-Mouse IgG - HRP Secondary Antibody (HA1006) at 1:5,000 dilution was used for 1 hour at room temperature. Positive control: Lane A: F9 cell lysate Lane B: F9+non-methyl peptide Lane C: F9+Tri-methl (lys9) peptide Lane D: PC12 cell lysate Lane E: NCCIT cell lysate
Immunocytochemistry analysis of HeLa cells labeling Histone H3 (tri methyl K9) with Mouse anti-Histone H3 (tri methyl K9) antibody (M1112-3) at 1/250 dilution. Cells were fixed in 4% paraformaldehyde for 20 minutes at room temperature, permeabilized with 0.1% Triton X-100 in PBS for 5 minutes at room temperature, then blocked with 1% BSA in 10% negative goat serum for 1 hour at room temperature. Cells were then incubated with Mouse anti-Histone H3 (tri methyl K9) antibody (M1112-3) at 1/250 dilution in 1% BSA in PBST overnight at 4 ℃. Goat Anti-Mouse IgG H&L (iFluor™ 488, HA1125) was used as the secondary antibody at 1/1,000 dilution. PBS instead of the primary antibody was used as the secondary antibody only control. Nuclear DNA was labelled in blue with DAPI. beta Tubulin (ET1602-4, red) was stained at 1/100 dilution overnight at +4℃. Goat Anti-Rabbit IgG H&L (iFluor™ 594, HA1122) were used as the secondary antibody at 1/1,000 dilution.
quantity: 50μl
price: 205.00 USD
to the supplier
Histone H3
HUABIO
catalog: M1306-4
mouse monoclonal (6-A7)
reactivity:
human
,
mouse
,
rat
application:
western blot
,
chromatin immunoprecipitation
,
immunohistochemistry - paraffin section
Western blot analysis of Histone H3 on different lysates with Mouse anti-Histone H3 antibody (M1306-4) at 1/5,000 dilution. Lane 1: HeLa cell lysate (20 µg/Lane) Lane 2: A549 cell lysate (20 µg/Lane) Lane 3: NIH/3T3 cell lysate (20 µg/Lane) Lane 4: PC-12 cell lysate (20 µg/Lane) Lane 5: C6 cell lysate (20 µg/Lane) Predicted band size: 15 kDa Observed band size: 15 kDa Exposure time: 14 seconds; ECL: K1801; 4-20% SDS-PAGE gel. Proteins were transferred to a PVDF membrane and blocked with 5% NFDM/TBST for 1 hour at room temperature. The primary antibody (M1306-4) at 1/5,000 dilution was used in 5% NFDM/TBST at 4℃ overnight. Anti-Mouse IgG for IP Nano-secondary antibody (NBI02H) at 1/5,000 dilution was used for 1 hour at room temperature.
Immunohistochemical analysis of paraffin-embedded human liver tissue with Mouse anti-Histone H3 antibody (M1306-4) at 1/1,000 dilution. The section was pre-treated using heat mediated antigen retrieval with sodium citrate buffer (pH 6.0) (high pressure) for 2 minutes. The tissues were blocked in 1% BSA for 20 minutes at room temperature, washed with ddH2O and PBS, and then probed with the primary antibody (M1306-4) at 1/1,000 dilution for 1 hour at room temperature. The detection was performed using an HRP conjugated compact polymer system. DAB was used as the chromogen. Tissues were counterstained with hematoxylin and mounted with DPX.
Immunohistochemical analysis of paraffin-embedded mouse epididymis tissue with Mouse anti-Histone H3 antibody (M1306-4) at 1/1,000 dilution. The section was pre-treated using heat mediated antigen retrieval with sodium citrate buffer (pH 6.0) (high pressure) for 2 minutes. The tissues were blocked in 1% BSA for 20 minutes at room temperature, washed with ddH2O and PBS, and then probed with the primary antibody (M1306-4) at 1/1,000 dilution for 1 hour at room temperature. The detection was performed using an HRP conjugated compact polymer system. DAB was used as the chromogen. Tissues were counterstained with hematoxylin and mounted with DPX.
quantity: 100μl
price: 360.00 USD
to the supplier
Histone H3
HUABIO
catalog: M1309-1
mouse monoclonal (A11-D7)
reactivity:
human
,
mouse
,
rat
,
zebrafish
application:
western blot
,
immunohistochemistry - paraffin section
Western blot analysis of Histone H3 on different lysates with Mouse anti-Histone H3 antibody (M1309-1) at 1/10,000 dilution and competitor's antibody at 1/5,000 dilution. Lane 1: HeLa cell lysate Lane 2: A549 cell lysate Lane 3: HT-29 cell lysate Lane 4: HEK-293 cell lysate Lane 5: C2C12 cell lysate Lane 6: L-929 cell lysate Lane 7: C6 cell lysate Lysates/proteins at 10 µg/Lane. Predicted band size: 15 kDa Observed band size: 15 kDa Exposure time: 18 seconds; ECL: K1801; 4-20% SDS-PAGE gel. Proteins were transferred to a PVDF membrane and blocked with 5% NFDM/TBST for 1 hour at room temperature. The primary antibody (M1309-1) at 1/10,000 dilution and competitor's antibody at 1/5,000 dilution were used in 5% NFDM/TBST at 4℃ overnight. Goat Anti-Mouse IgG - HRP Secondary Antibody (HA1006) at 1/50,000 dilution was used for 1 hour at room temperature.
Western blot analysis of Histone H3 on zebrafish tissue lysates with Mouse anti-Histone H3 antibody (M1309-1) at 1/500 dilution. Lysates/proteins at 10 µg/Lane. Predicted band size: 15 kDa Observed band size: 15 kDa Exposure time: 1 minute; 10% SDS-PAGE gel. Proteins were transferred to a PVDF membrane and blocked with 5% NFDM/TBST for 1 hour at room temperature. The primary antibody (M1309-1) at 1/500 dilution was used in 5% NFDM/TBST at room temperature for 2 hours. Goat Anti-mouse IgG - HRP Secondary Antibody (HA1006) at 1:150,000 dilution was used for 1 hour at room temperature.
Western blot analysis of Histone H3 on different lysates with Mouse anti-Histone H3 antibody (M1309-1) at 1/5,000 dilution. Lane 1: HeLa cell lysate (15 µg/Lane) Lane 2: HEK-293 cell lysate (15 µg/Lane) Lane 3: HepG2 cell lysate (15 µg/Lane) Lane 4: A431 cell lysate (15 µg/Lane) Lane 5: MCF7 cell lysate (15 µg/Lane) Lane 6: NIH/3T3 cell lysate (15 µg/Lane) Lane 7: C2C12 cell lysate (15 µg/Lane) Lane 8: C6 cell lysate (15 µg/Lane) Lane 9: PC-12 cell lysate (15 µg/Lane) Predicted band size: 15 kDa Observed band size: 15 kDa Exposure time: 17 seconds; ECL: K1801; 4-20% SDS-PAGE gel. Proteins were transferred to a PVDF membrane and blocked with 5% NFDM/TBST for 1 hour at room temperature. The primary antibody (M1309-1) at 1/5,000 dilution was used in 5% NFDM/TBST at 4℃ overnight. Goat Anti-Mouse IgG - HRP Secondary Antibody (HA1006) at 1:50,000 dilution was used for 1 hour at room temperature.
quantity: 100μl
price: 360.00 USD
to the supplier
Histone H3
HUABIO
catalog: R1105-1
domestic rabbit polyclonal
reactivity:
human
,
mouse
,
rat
application:
western blot
Western blot analysis on A:HepG2 B:NIH/3T3 C:Rat liver cell lysates using anti-Histone H3 polyclonal antibody.
quantity: 100μl
price: 330 USD
to the supplier
Histone H3 (mono methyl K4)
HUABIO
catalog: R1110-1
domestic rabbit polyclonal
reactivity:
human
,
mouse
,
rat
application:
western blot
,
flow cytometry
,
immunohistochemistry - paraffin section
,
dot blot
Western blot analysis of Histone H3 (mono methyl K4) on different lysates. Proteins were transferred to a PVDF membrane and blocked with 5% BSA in PBS for 1 hour at room temperature. The primary antibody (R1110-1, 1/500) was used in 5% BSA at room temperature for 2 hours. Goat Anti-Rabbit IgG - HRP Secondary Antibody (HA1001) at 1:5,000 dilution was used for 1 hour at room temperature. Positive control: A: NCCIT B: purified 293T Histone C: F9 D: F9 with Histone H3 peptide-unmodifed E: F9 with Histone H3 peptide-mono methyl K4 lysates using anti-Histone H3(mono methyl K4) polyclonal antibody.
Western blot analysis of Histone H3 (mono methyl K4) on PC-12 cell lysates with Rabbit anti-Histone H3 (mono methyl K4) antibody (R1110-1) at 1/500 dilution. Lysates/proteins at 10 µg/Lane. Predicted band size: 15 kDa Observed band size: 15 kDa Exposure time: 2 minutes; 10% SDS-PAGE gel. Proteins were transferred to a PVDF membrane and blocked with 5% NFDM/TBST for 1 hour at room temperature. The primary antibody (R1110-1) at 1/500 dilution was used in 5% NFDM/TBST at room temperature for 2 hours. Goat Anti-Rabbit IgG - HRP Secondary Antibody (HA1001) at 1:300,000 dilution was used for 1 hour at room temperature.
ICC staining of Histone H3 (mono methyl K4) in NCCIT cells (green). Formalin fixed cells were permeabilized with 0.1% Triton X-100 in TBS for 10 minutes at room temperature and blocked with 1% Blocker BSA for 15 minutes at room temperature. Cells were probed with the primary antibody (R1110-1, 1/100) for 1 hour at room temperature, washed with PBS. Alexa Fluor®488 Goat anti-Rabbit IgG was used as the secondary antibody at 1/1,000 dilution. The nuclear counter stain is DAPI (blue).
quantity: 100μl
price: 330 USD
to the supplier
Histone H3 (di methyl K4)
HUABIO
catalog: R1110-3
domestic rabbit polyclonal
reactivity:
human
,
mouse
,
rat
application:
western blot
,
flow cytometry
,
immunohistochemistry - paraffin section
,
dot blot
Western blot analysis of Histone H3 (di methyl K4) on different lysates. Proteins were transferred to a PVDF membrane and blocked with 5% BSA in PBS for 1 hour at room temperature. The primary antibody was used at a 1:1,000 dilution in 5% BSA at room temperature for 2 hours. Goat Anti-Rabbit IgG - HRP Secondary Antibody (HA1001) at 1:5,000 dilution was used for 1 hour at room temperature. Positive control: Lane 1: Human liver tissue lysate, untreated Lane 2: Histone lysate, purified from 293T Lane 3: F9 cell lysate, untreated Lane 4: F9 cell lysate, treated with Histone H3 peptide-unmodifed Lane 5: F9 cell lysate, treated with Histone H3 peptide-di-methyl K4
Immunocytochemistry analysis of MCF7 cells labeling Histone H3 (di methyl K4) with Rabbit anti-Histone H3 (di methyl K4) antibody (R1110-3) at 1/5,000 dilution. Cells were fixed in 4% paraformaldehyde for 20 minutes at room temperature, permeabilized with 0.1% Triton X-100 in PBS for 5 minutes at room temperature, then blocked with 1% BSA in 10% negative goat serum for 1 hour at room temperature. Cells were then incubated with Rabbit anti-Histone H3 (di methyl K4) antibody (R1110-3) at 1/5,000 dilution in 1% BSA in PBST overnight at 4 ℃. Goat Anti-Rabbit IgG H&L (iFluor™ 488, HA1121) was used as the secondary antibody at 1/1,000 dilution. PBS instead of the primary antibody was used as the secondary antibody only control. Nuclear DNA was labelled in blue with DAPI. Beta tubulin (M1305-2, red) was stained at 1/100 dilution overnight at +4℃. Goat Anti-Mouse IgG H&L (iFluor™ 594, HA1126) was used as the secondary antibody at 1/1,000 dilution.
Immunocytochemistry analysis of NIH/3T3 cells labeling Histone H3 (di methyl K4) with Rabbit anti-Histone H3 (di methyl K4) antibody (R1110-3) at 1/500 dilution. Cells were fixed in 4% paraformaldehyde for 20 minutes at room temperature, permeabilized with 0.1% Triton X-100 in PBS for 5 minutes at room temperature, then blocked with 1% BSA in 10% negative goat serum for 1 hour at room temperature. Cells were then incubated with Rabbit anti-Histone H3 (di methyl K4) antibody (R1110-3) at 1/500 dilution in 1% BSA in PBST overnight at 4 ℃. Goat Anti-Rabbit IgG H&L (iFluor™ 488, HA1121) was used as the secondary antibody at 1/1,000 dilution. PBS instead of the primary antibody was used as the secondary antibody only control. Nuclear DNA was labelled in blue with DAPI. Beta tubulin (M1305-2, red) was stained at 1/100 dilution overnight at +4℃. Goat Anti-Mouse IgG H&L (iFluor™ 594, HA1126) was used as the secondary antibody at 1/1,000 dilution.
quantity: 100μl
price: 330 USD
to the supplier
Histone H3 (acetyl K27)
HUABIO
catalog: HA600047
mouse monoclonal (A6D7)
reactivity:
human
,
mouse
,
rat
application:
western blot
,
flow cytometry
,
chromatin immunoprecipitation
,
immunohistochemistry - paraffin section
quantity: 100μl
price: 360.00 USD
to the supplier
Histone H3 (tri methyl K9)
HUABIO
catalog: M1112-3
mouse monoclonal (1-6)
reactivity:
human
,
mouse
,
rat
application:
western blot
,
immunohistochemistry - paraffin section
quantity: 100μl
price: 360.00 USD
to the supplier
Histone H3 (acetyl K14)
HUABIO
catalog: ET1706-28-50UL
domestic rabbit monoclonal (JU43-26)
reactivity:
human
,
mouse
,
rat
application:
western blot
,
immunoprecipitation
,
immunohistochemistry - paraffin section
Western blot analysis of Histone H3 (acetyl K14) on different lysates. Proteins were transferred to a PVDF membrane and blocked with 5% BSA in PBS for 1 hour at room temperature. The primary antibody (ET1706-28, 1/500) was used in 5% BSA at room temperature for 2 hours. Goat Anti-Rabbit IgG - HRP Secondary Antibody (HA1001) at 1:200,000 dilution was used for 1 hour at room temperature. Positive control: Lane 1: Jurkat cell lysate Lane 2: Rat liver tissue lysate Lane 3: Mouse lung tissue lysate
quantity: 50 uL
price: 205 USD
to the supplier