mouse monoclonal (A1G2)
reactivity: human, rat
application: western blot, flow cytometry, immunohistochemistry - paraffin section
reactivity: human, rat
application: western blot, flow cytometry, immunohistochemistry - paraffin section

Western blot analysis of alpha Actinin on different lysates with Mouse anti-alpha Actinin antibody (EM1901-52) at 1/1,000 dilution. Lane 1: HeLa cell lysate Lane 2: A431 cell lysate Lane 3: A549 cell lysate Lane 4: MCF7 cell lysate Lane 5: PC-12 cell lysate Lane 6: C6 cell lysate Lysates/proteins at 20 µg/Lane. Predicted band size: 103 kDa Observed band size: 103 kDa Exposure time: 1 minute; 4-20% SDS-PAGE gel. Proteins were transferred to a PVDF membrane and blocked with 5% NFDM/TBST for 1 hour at room temperature. The primary antibody (EM1901-52) at 1/1,000 dilution was used in 5% NFDM/TBST at 4℃ overnight. Goat Anti-Mouse IgG - HRP Secondary Antibody (HA1006) at 1/50,000 dilution was used for 1 hour at room temperature.

Immunocytochemistry analysis of A431 cells labeling alpha Actinin with Mouse anti-alpha Actinin antibody (EM1901-52) at 1/50 dilution. Cells were fixed in 4% paraformaldehyde for 30 minutes, permeabilized with 0.1% Triton X-100 in PBS for 15 minutes, and then blocked with 2% BSA for 30 minutes at room temperature. Cells were then incubated with Mouse anti-alpha Actinin antibody (EM1901-52) at 1/50 dilution in 2% BSA overnight at 4 ℃. Goat Anti-Mouse IgG H&L (iFluor™ 488, HA1125) was used as the secondary antibody at 1/1,000 dilution. PBS instead of the primary antibody was used as the secondary antibody only control. Nuclear DNA was labelled in blue with DAPI.

Immunocytochemistry analysis of SiHa cells labeling alpha Actinin with Mouse anti-alpha Actinin antibody (EM1901-52) at 1/50 dilution. Cells were fixed in 4% paraformaldehyde for 30 minutes, permeabilized with 0.1% Triton X-100 in PBS for 15 minutes, and then blocked with 2% BSA for 30 minutes at room temperature. Cells were then incubated with Mouse anti-alpha Actinin antibody (EM1901-52) at 1/50 dilution in 2% BSA overnight at 4 ℃. Goat Anti-Mouse IgG H&L (iFluor™ 488, HA1125) was used as the secondary antibody at 1/1,000 dilution. PBS instead of the primary antibody was used as the secondary antibody only control. Nuclear DNA was labelled in blue with DAPI.
quantity: 100μl
price: 360.00 USD
to the supplier
domestic rabbit polyclonal
reactivity: human, mouse, rat
application: western blot, flow cytometry, immunohistochemistry - paraffin section
reactivity: human, mouse, rat
application: western blot, flow cytometry, immunohistochemistry - paraffin section

Western blot analysis of alpha Actinin on different lysates with Rabbit anti-alpha Actinin antibody (ER1803-60) at 1/5,000 dilution. Lane 1: A431 cell lysate Lane 2: NIH/3T3 cell lysate Lane 3: C6 cell lysate Lane 4: COS-1 cell lysate Lane 5: Mouse heart tissue lysate Lane 6: Rat colon tissue lysate Lysates/proteins at 20 µg/Lane. Predicted band size: 103 kDa Observed band size: 103 kDa Exposure time: 10 seconds; ECL: K1801; 4-20% SDS-PAGE gel. Proteins were transferred to a PVDF membrane and blocked with 5% NFDM/TBST for 1 hour at room temperature. The primary antibody (ER1803-60) at 1/5,000 dilution was used in 5% NFDM/TBST at 4℃ overnight. Goat Anti-Rabbit IgG - HRP Secondary Antibody (HA1001) at 1/50,000 dilution was used for 1 hour at room temperature.

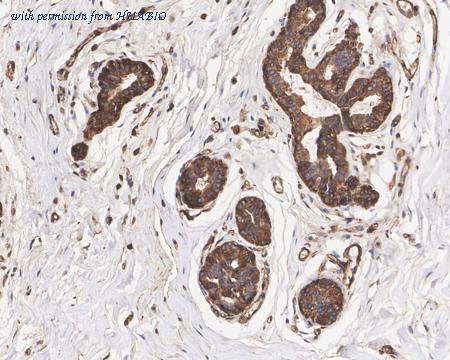
Immunohistochemical analysis of paraffin-embedded human breast cancer tissue with Rabbit anti-alpha Actinin antibody (ER1803-60) at 1/1,000 dilution. The section was pre-treated using heat mediated antigen retrieval with Tris-EDTA buffer (pH 9.0) for 20 minutes. The tissues were blocked in 1% BSA for 20 minutes at room temperature, washed with ddH2O and PBS, and then probed with the primary antibody (ER1803-60) at 1/1,000 dilution for 1 hour at room temperature. The detection was performed using an HRP conjugated compact polymer system. DAB was used as the chromogen. Tissues were counterstained with hematoxylin and mounted with DPX.

Immunohistochemical analysis of paraffin-embedded rat colon tissue with Rabbit anti-alpha Actinin antibody (ER1803-60) at 1/1,000 dilution. The section was pre-treated using heat mediated antigen retrieval with Tris-EDTA buffer (pH 9.0) for 20 minutes. The tissues were blocked in 1% BSA for 20 minutes at room temperature, washed with ddH2O and PBS, and then probed with the primary antibody (ER1803-60) at 1/1,000 dilution for 1 hour at room temperature. The detection was performed using an HRP conjugated compact polymer system. DAB was used as the chromogen. Tissues were counterstained with hematoxylin and mounted with DPX.
quantity: 100μl
price: 330 USD
to the supplier
mouse monoclonal (A1G2-R)
reactivity: human, mouse, rat
application: western blot, immunohistochemistry - paraffin section
reactivity: human, mouse, rat
application: western blot, immunohistochemistry - paraffin section

Western blot analysis of alpha Actinin on different lysates with Mouse anti-alpha Actinin antibody (HA601194) at 1/1,000 dilution. Lane 1: HeLa cell lysate (20 µg/Lane) Lane 2: A431 cell lysate (20 µg/Lane) Lane 3: NIH/3T3 cell lysate (20 µg/Lane) Lane 4: C6 cell lysate (20 µg/Lane) Lane 5: Mouse heart tissue lysate (40 µg/Lane) Lane 6: Rat colon tissue lysate (40 µg/Lane) Predicted band size: 103 kDa Observed band size: 103 kDa Exposure time: 8 seconds; ECL: K1801; 4-20% SDS-PAGE gel. Proteins were transferred to a PVDF membrane and blocked with 5% NFDM/TBST for 1 hour at room temperature. The primary antibody (HA601194) at 1/1,000 dilution was used in 5% NFDM/TBST at 4℃ overnight. Goat Anti-Mouse IgG - HRP Secondary Antibody (HA1006) at 1/50,000 dilution was used for 1 hour at room temperature.

Western blot analysis of alpha Actinin on different lysates with Mouse anti-alpha Actinin antibody (HA601194) at 1/5,000 dilution. Lane 1: HeLa cell lysate (20 µg/Lane) Lane 2: A431 cell lysate (20 µg/Lane) Lane 3: A549 cell lysate (20 µg/Lane) Lane 4: HepG2 cell lysate (20 µg/Lane) Lane 5: MCF7 cell lysate (20 µg/Lane) Lane 6: NIH/3T3 cell lysate (20 µg/Lane) Lane 7: PC-12 cell lysate (20 µg/Lane) Lane 8: C6 cell lysate (20 µg/Lane) Predicted band size: 103 kDa Observed band size: 103 kDa Exposure time: 3 minutes; ECL: K1801; 4-20% SDS-PAGE gel. Proteins were transferred to a PVDF membrane and blocked with 5% NFDM/TBST for 1 hour at room temperature. The primary antibody (HA601194) at 1/5,000 dilution was used in 5% NFDM/TBST at 4℃ overnight. Goat Anti-Mouse IgG - HRP Secondary Antibody (HA1006) at 1/50,000 dilution was used for 1 hour at room temperature.

Immunohistochemical analysis of paraffin-embedded human breast tissue with Mouse anti-alpha Actinin antibody (HA601194) at 1/6,000 dilution. The section was pre-treated using heat mediated antigen retrieval with Tris-EDTA buffer (pH 9.0) for 20 minutes. The tissues were blocked in 1% BSA for 20 minutes at room temperature, washed with ddH2O and PBS, and then probed with the primary antibody (HA601194) at 1/6,000 dilution for 1 hour at room temperature. The detection was performed using an HRP conjugated compact polymer system. DAB was used as the chromogen. Tissues were counterstained with hematoxylin and mounted with DPX.
quantity: 100μl
price: 360.00 USD
to the supplier
mouse monoclonal (A1G2-R)
reactivity: human, mouse, rat
application: western blot, immunohistochemistry - paraffin section
reactivity: human, mouse, rat
application: western blot, immunohistochemistry - paraffin section

Western blot analysis of alpha Actinin on different lysates with Mouse anti-alpha Actinin antibody (HA610074) at 1/1,000 dilution. Lane 1: HeLa cell lysate (20 µg/Lane) Lane 2: A431 cell lysate (20 µg/Lane) Lane 3: NIH/3T3 cell lysate (20 µg/Lane) Lane 4: C6 cell lysate (20 µg/Lane) Lane 5: Mouse heart tissue lysate (40 µg/Lane) Lane 6: Rat colon tissue lysate (40 µg/Lane) Predicted band size: 103 kDa Observed band size: 103 kDa Exposure time: 8 seconds; ECL: K1801; 4-20% SDS-PAGE gel. Proteins were transferred to a PVDF membrane and blocked with 5% NFDM/TBST for 1 hour at room temperature. The primary antibody (HA610074) at 1/1,000 dilution was used in 5% NFDM/TBST at 4℃ overnight. Goat Anti-Mouse IgG - HRP Secondary Antibody (HA1006) at 1/50,000 dilution was used for 1 hour at room temperature.

Western blot analysis of alpha Actinin on different lysates with Mouse anti-alpha Actinin antibody (HA610074) at 1/5,000 dilution. Lane 1: HeLa cell lysate (20 µg/Lane) Lane 2: A431 cell lysate (20 µg/Lane) Lane 3: A549 cell lysate (20 µg/Lane) Lane 4: HepG2 cell lysate (20 µg/Lane) Lane 5: MCF7 cell lysate (20 µg/Lane) Lane 6: NIH/3T3 cell lysate (20 µg/Lane) Lane 7: PC-12 cell lysate (20 µg/Lane) Lane 8: C6 cell lysate (20 µg/Lane) Predicted band size: 103 kDa Observed band size: 103 kDa Exposure time: 3 minutes; ECL: K1801; 4-20% SDS-PAGE gel. Proteins were transferred to a PVDF membrane and blocked with 5% NFDM/TBST for 1 hour at room temperature. The primary antibody (HA610074) at 1/5,000 dilution was used in 5% NFDM/TBST at 4℃ overnight. Goat Anti-Mouse IgG - HRP Secondary Antibody (HA1006) at 1/50,000 dilution was used for 1 hour at room temperature.

Immunohistochemical analysis of paraffin-embedded human breast tissue with Mouse anti-alpha Actinin antibody (HA610074) at 1/6,000 dilution. The section was pre-treated using heat mediated antigen retrieval with Tris-EDTA buffer (pH 9.0) for 20 minutes. The tissues were blocked in 1% BSA for 20 minutes at room temperature, washed with ddH2O and PBS, and then probed with the primary antibody (HA610074) at 1/6,000 dilution for 1 hour at room temperature. The detection was performed using an HRP conjugated compact polymer system. DAB was used as the chromogen. Tissues were counterstained with hematoxylin and mounted with DPX.
quantity: 100μg
price: 649.00 USD
to the supplier
