mouse monoclonal (A1C7)
reactivity: human, mouse, rat
application: western blot, immunohistochemistry - paraffin section
reactivity: human, mouse, rat
application: western blot, immunohistochemistry - paraffin section

Western blot analysis of CASK on different lysates with Mouse anti-CASK antibody (EM1902-08) at 1/2,000 dilution. Lane 1: A549-WT cell lysate Lane 2: A549-KD CASK cell lysate Lysates/proteins at 10 µg/Lane. Predicted band size: 105 kDa Observed band size: 105 kDa Exposure time: 3 minutes; ECL: K1801; 4-20% SDS-PAGE gel. Proteins were transferred to a PVDF membrane and blocked with 5% NFDM/TBST for 1 hour at room temperature. The primary antibody (EM1902-08) at 1/2,000 dilution was used in 5% NFDM/TBST at 4℃ overnight. Goat Anti-Mouse IgG - HRP Secondary Antibody (HA1006) at 1/50,000 dilution was used for 1 hour at room temperature.

Western blot analysis of CASK on different lysates with Mouse anti-CASK antibody (EM1902-08) at 1/2,000 dilution. Lane 1: Neuro-2a cell lysate Lane 2: C6 cell lysate Lane 3: Mouse brain tissue lysate Lane 4: Rat brain tissue lysate Lysates/proteins at 20 µg/Lane. Predicted band size: 105 kDa Observed band size: 105 kDa Exposure time: 25 seconds; ECL: K1801; 4-20% SDS-PAGE gel. Proteins were transferred to a PVDF membrane and blocked with 5% NFDM/TBST for 1 hour at room temperature. The primary antibody (EM1902-08) at 1/2,000 dilution was used in 5% NFDM/TBST at 4℃ overnight. Goat Anti-Mouse IgG - HRP Secondary Antibody (HA1006) at 1/50,000 dilution was used for 1 hour at room temperature.

Immunocytochemistry analysis of C6 cells labeling CASK with Mouse anti-CASK antibody (EM1902-08) at 1/100 dilution. Cells were fixed in 4% paraformaldehyde for 15 minutes at room temperature, permeabilized with 0.1% Triton X-100 in PBS for 15 minutes at room temperature, then blocked with 1% BSA in 10% negative goat serum for 1 hour at room temperature. Cells were then incubated with Mouse anti-CASK antibody (EM1902-08) at 1/100 dilution in 1% BSA in PBST overnight at 4 ℃. Goat Anti-Mouse IgG H&L (iFluor™ 488, HA1125) was used as the secondary antibody at 1/1,000 dilution. PBS instead of the primary antibody was used as the secondary antibody only control. Nuclear DNA was labelled in blue with DAPI. beta Tubulin (ET1602-4, red) was stained at 1/100 dilution overnight at +4℃. Goat Anti-Rabbit IgG H&L (iFluor™ 594, HA1122) were used as the secondary antibody at 1/1,000 dilution.
quantity: 100μl
price: 360.00 USD
to the supplier
mouse monoclonal (A1C5)
reactivity: human, mouse, rat
application: western blot, immunohistochemistry - paraffin section
reactivity: human, mouse, rat
application: western blot, immunohistochemistry - paraffin section

Western blot analysis of CASK on different lysates with Mouse anti-CASK antibody (EM1902-09) at 1/2,000 dilution. Lane 1: SiHa cell lysate Lane 2: A549 cell lysate Lane 3: U-87 MG cell lysate Lane 4: Neuro-2a cell lysate Lane 5: Human brain tissue lysate Lane 6: Mouse brain tissue lysate Lane 7: Rat brain tissue lysate Lysates/proteins at 30 µg/Lane. Predicted band size: 105 kDa Observed band size: 105 kDa Exposure time: 1 minute; 4-20% SDS-PAGE gel. Proteins were transferred to a PVDF membrane and blocked with 5% NFDM/TBST for 1 hour at room temperature. The primary antibody (EM1902-09) at 1/2,000 dilution was used in 5% NFDM/TBST at 4℃ overnight. Goat Anti-Mouse IgG - HRP Secondary Antibody (HA1006) at 1/50,000 dilution was used for 1 hour at room temperature.

Western blot analysis of CASK on different lysates with Mouse anti-CASK antibody (EM1902-09) at 1/2,000 dilution. Lane 1: A549-WT cell lysate Lane 2: A549-KD CASK cell lysate Lysates/proteins at 10 µg/Lane. Predicted band size: 105 kDa Observed band size: 105 kDa Exposure time: 3 minutes; ECL: K1801; 4-20% SDS-PAGE gel. Proteins were transferred to a PVDF membrane and blocked with 5% NFDM/TBST for 1 hour at room temperature. The primary antibody (EM1902-09) at 1/2,000 dilution was used in 5% NFDM/TBST at 4℃ overnight. Goat Anti-Mouse IgG - HRP Secondary Antibody (HA1006) at 1/50,000 dilution was used for 1 hour at room temperature.

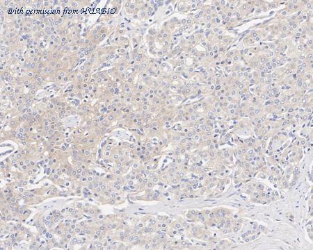
Immunohistochemical analysis of paraffin-embedded human prostate cancer tissue with Mouse anti-CASK antibody (EM1902-09) at 1/2,000 dilution. The section was pre-treated using heat mediated antigen retrieval with Tris-EDTA buffer (pH 9.0) for 20 minutes. The tissues were blocked in 1% BSA for 20 minutes at room temperature, washed with ddH2O and PBS, and then probed with the primary antibody (EM1902-09) at 1/2,000 dilution for 1 hour at room temperature. The detection was performed using an HRP conjugated compact polymer system. DAB was used as the chromogen. Tissues were counterstained with hematoxylin and mounted with DPX.
quantity: 100μl
price: 360.00 USD
to the supplier
domestic rabbit polyclonal
reactivity: human, mouse, rat
application: western blot, flow cytometry
reactivity: human, mouse, rat
application: western blot, flow cytometry

Western blot analysis of CASK on different lysates with Rabbit anti-CASK antibody (ER1803-62) at 1/2,000 dilution. Lane 1: Mouse brain tissue lysate Lane 2: Rat brain tissue lysate Lysates/proteins at 40 µg/Lane. Predicted band size: 105 kDa Observed band size: 105 kDa Exposure time: 6 seconds; ECL: K1801; 4-20% SDS-PAGE gel. Proteins were transferred to a PVDF membrane and blocked with 5% NFDM/TBST for 1 hour at room temperature. The primary antibody (ER1803-62) at 1/2,000 dilution was used in primary antibody dilution (K1803) at 4℃ overnight. Goat Anti-Rabbit IgG - HRP Secondary Antibody (HA1001) at 1/50,000 dilution was used for 1 hour at room temperature.

Western blot analysis of CASK on different cell lysate using anti-CASK antibody at 1/500 dilution. Positive control: Lane 1: SiHa cell lysate Lane 2: A549 cell lysate

ICC staining CASK in SiHa cells (green). The nuclear counter stain is DAPI (blue). Cells were fixed in paraformaldehyde, permeabilised with 0.25% Triton X100/PBS.
quantity: 100μl
price: 330 USD
to the supplier
mouse monoclonal (A1C5-R)
reactivity: human, mouse, rat
application: western blot, immunohistochemistry - paraffin section
reactivity: human, mouse, rat
application: western blot, immunohistochemistry - paraffin section

Western blot analysis of CASK on different lysates with Mouse anti-CASK antibody (HA601257) at 1/2,000 dilution. Lane 1: SiHa cell lysate Lane 2: A549 cell lysate Lane 3: U-87 MG cell lysate Lane 4: Neuro-2a cell lysate Lane 5: Human brain tissue lysate Lane 6: Mouse brain tissue lysate Lane 7: Rat brain tissue lysate Lysates/proteins at 30 µg/Lane. Predicted band size: 105 kDa Observed band size: 105 kDa Exposure time: 1 minute; 4-20% SDS-PAGE gel. Proteins were transferred to a PVDF membrane and blocked with 5% NFDM/TBST for 1 hour at room temperature. The primary antibody (HA601257) at 1/2,000 dilution was used in 5% NFDM/TBST at 4℃ overnight. Goat Anti-Mouse IgG - HRP Secondary Antibody (HA1006) at 1/50,000 dilution was used for 1 hour at room temperature.

Western blot analysis of CASK on different lysates with Mouse anti-CASK antibody (HA601257) at 1/2,000 dilution. Lane 1: A549-WT cell lysate Lane 2: A549-KD CASK cell lysate Lysates/proteins at 10 µg/Lane. Predicted band size: 105 kDa Observed band size: 105 kDa Exposure time: 3 minutes; ECL: K1801; 4-20% SDS-PAGE gel. Proteins were transferred to a PVDF membrane and blocked with 5% NFDM/TBST for 1 hour at room temperature. The primary antibody (HA601257) at 1/2,000 dilution was used in 5% NFDM/TBST at 4℃ overnight. Goat Anti-Mouse IgG - HRP Secondary Antibody (HA1006) at 1/50,000 dilution was used for 1 hour at room temperature.

Immunohistochemical analysis of paraffin-embedded human prostate cancer tissue with Mouse anti-CASK antibody (HA601257) at 1/500 dilution. The section was pre-treated using heat mediated antigen retrieval with Tris-EDTA buffer (pH 9.0) for 20 minutes. The tissues were blocked in 1% BSA for 20 minutes at room temperature, washed with ddH2O and PBS, and then probed with the primary antibody (HA601257) at 1/500 dilution for 1 hour at room temperature. The detection was performed using an HRP conjugated compact polymer system. DAB was used as the chromogen. Tissues were counterstained with hematoxylin and mounted with DPX.
quantity: 100μl
price: 360.00 USD
to the supplier
mouse monoclonal (A1C5-R)
reactivity: human, mouse, rat
application: western blot, immunohistochemistry - paraffin section
reactivity: human, mouse, rat
application: western blot, immunohistochemistry - paraffin section

Western blot analysis of CASK on different lysates with Mouse anti-CASK antibody (HA610132) at 1/2,000 dilution. Lane 1: SiHa cell lysate Lane 2: A549 cell lysate Lane 3: U-87 MG cell lysate Lane 4: Neuro-2a cell lysate Lane 5: Human brain tissue lysate Lane 6: Mouse brain tissue lysate Lane 7: Rat brain tissue lysate Lysates/proteins at 30 µg/Lane. Predicted band size: 105 kDa Observed band size: 105 kDa Exposure time: 1 minute; 4-20% SDS-PAGE gel. Proteins were transferred to a PVDF membrane and blocked with 5% NFDM/TBST for 1 hour at room temperature. The primary antibody (HA610132) at 1/2,000 dilution was used in 5% NFDM/TBST at 4℃ overnight. Goat Anti-Mouse IgG - HRP Secondary Antibody (HA1006) at 1/50,000 dilution was used for 1 hour at room temperature.

Western blot analysis of CASK on different lysates with Mouse anti-CASK antibody (HA610132) at 1/2,000 dilution. Lane 1: A549-WT cell lysate Lane 2: A549-KD CASK cell lysate Lysates/proteins at 10 µg/Lane. Predicted band size: 105 kDa Observed band size: 105 kDa Exposure time: 3 minutes; ECL: K1801; 4-20% SDS-PAGE gel. Proteins were transferred to a PVDF membrane and blocked with 5% NFDM/TBST for 1 hour at room temperature. The primary antibody (HA610132) at 1/2,000 dilution was used in 5% NFDM/TBST at 4℃ overnight. Goat Anti-Mouse IgG - HRP Secondary Antibody (HA1006) at 1/50,000 dilution was used for 1 hour at room temperature.

Immunohistochemical analysis of paraffin-embedded human prostate cancer tissue with Mouse anti-CASK antibody (HA610132) at 1/500 dilution. The section was pre-treated using heat mediated antigen retrieval with Tris-EDTA buffer (pH 9.0) for 20 minutes. The tissues were blocked in 1% BSA for 20 minutes at room temperature, washed with ddH2O and PBS, and then probed with the primary antibody (HA610132) at 1/500 dilution for 1 hour at room temperature. The detection was performed using an HRP conjugated compact polymer system. DAB was used as the chromogen. Tissues were counterstained with hematoxylin and mounted with DPX.
quantity: 100μg
price: 649.00 USD
to the supplier
