Sign in
Sign up
home
>
HUABIO
> HUABIO Tim 3 antibody
TIM 3
HUABIO
catalog: EM1701-18
mouse monoclonal (1E6)
reactivity:
human
application:
western blot
,
flow cytometry
,
immunohistochemistry - paraffin section
Western blot analysis of tim3 on 293T cell lysate using anti-Tim3 antibody at 1/100 dilution.
Immunocytochemistry analysis of 293T cells labeling TIM 3 with Mouse anti-TIM 3 antibody (EM1701-18) at 1/50 dilution. Cells were fixed in 4% paraformaldehyde for 30 minutes, permeabilized with 0.1% Triton X-100 in PBS for 15 minutes, and then blocked with 2% BSA for 30 minutes at room temperature. Cells were then incubated with Mouse anti-TIM 3 antibody (EM1701-18) at 1/50 dilution in 2% BSA overnight at 4 ℃. Goat Anti-Mouse IgG H&L (iFluor™ 488, HA1125) was used as the secondary antibody at 1/1,000 dilution. Nuclear DNA was labelled in blue with DAPI.
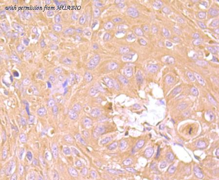
Immunohistochemical analysis of paraffin-embedded human lung cancer tissue using anti-Tim3 antibody. Counter stained with hematoxylin.
quantity: 100μl
price: 360.00 USD
to the supplier
TIM 3
HUABIO
catalog: EM1701-19-50UL
mouse monoclonal (1E3)
reactivity:
human
application:
western blot
,
flow cytometry
,
immunohistochemistry - paraffin section
Western blot analysis of TIM 3 on different lysates with Mouse anti-TIM 3 antibody (EM1701-19) at 1/2,000 dilution. Lane 1: A549 cell lysate (no heat) Lane 2: HepG2 cell lysate (no heat) Lane 3: HDLM-2 cell lysate Notice: no heat means the lysate is not boiled. Lysates/proteins at 30 µg/Lane. Predicted band size: 33 kDa Observed band size: 42 kDa Exposure time: 3 minutes 10 seconds; 4-20% SDS-PAGE gel. Proteins were transferred to a PVDF membrane and blocked with 5% NFDM/TBST for 1 hour at room temperature. The primary antibody (EM1701-19) at 1/2,000 dilution was used in 5% NFDM/TBST at room temperature for 2 hours. Goat Anti-Mouse IgG - HRP Secondary Antibody (HA1006) at 1/50,000 dilution was used for 1 hour at room temperature.
Immunohistochemical analysis of paraffin-embedded human colon cancer tissue with Mouse anti-TIM 3 antibody (EM1701-19) at 1/5,000 dilution. The section was pre-treated using heat mediated antigen retrieval with Tris-EDTA buffer (pH 9.0) for 20 minutes. The tissues were blocked in 1% BSA for 20 minutes at room temperature, washed with ddH2O and PBS, and then probed with the primary antibody (EM1701-19) at 1/5,000 dilution for 1 hour at room temperature. The detection was performed using an HRP conjugated compact polymer system. DAB was used as the chromogen. Tissues were counterstained with hematoxylin and mounted with DPX.
Immunohistochemical analysis of paraffin-embedded human tonsil tissue with Mouse anti-TIM 3 antibody (EM1701-19) at 1/5,000 dilution. The section was pre-treated using heat mediated antigen retrieval with Tris-EDTA buffer (pH 9.0) for 20 minutes. The tissues were blocked in 1% BSA for 20 minutes at room temperature, washed with ddH2O and PBS, and then probed with the primary antibody (EM1701-19) at 1/5,000 dilution for 1 hour at room temperature. The detection was performed using an HRP conjugated compact polymer system. DAB was used as the chromogen. Tissues were counterstained with hematoxylin and mounted with DPX.
quantity: 50μl
price: 205.00 USD
to the supplier
TIM 3
HUABIO
catalog: EM1701-20-50UL
mouse monoclonal (1E5)
reactivity:
human
application:
western blot
,
flow cytometry
,
immunohistochemistry - paraffin section
Western blot analysis of TIM 3 on different lysates with Mouse anti-TIM 3 antibody (EM1701-20) at 1/2,000 dilution. Lane 1: THP-1 cell lysate (no heat) Lane 2: A549 cell lysate (no heat) Lane 3: HepG2 cell lysate (no heat) Notice: no heat means the lysate is not boiled. Lysates/proteins at 30 µg/Lane. Predicted band size: 33 kDa Observed band size: 42 kDa Exposure time: 5 minutes 20 seconds; 4-20% SDS-PAGE gel. Proteins were transferred to a PVDF membrane and blocked with 5% NFDM/TBST for 1 hour at room temperature. The primary antibody (EM1701-20) at 1/2,000 dilution was used in 5% NFDM/TBST at room temperature for 2 hours. Goat Anti-Mouse IgG - HRP Secondary Antibody (HA1006) at 1/50,000 dilution was used for 1 hour at room temperature.
Immunohistochemical analysis of paraffin-embedded human lung cancer tissue using anti-Tim3 antibody. Counter stained with hematoxylin.
Immunohistochemical analysis of paraffin-embedded human spleen tissue using anti-Tim3 antibody. Counter stained with hematoxylin.
quantity: 50μl
price: 205.00 USD
to the supplier
TIM 3
HUABIO
catalog: HA722891
domestic rabbit monoclonal (PSH07-75)
reactivity:
human
application:
western blot
Western blot analysis of TIM 3 on different lysates with Rabbit anti-TIM 3 antibody (HA722891) at 1/4,000 dilution. Lane 1: RPMI 8226 cell lysate (20 µg/Lane) Lane 2: HUT 102 cell lysate (40 µg/Lane) Lane 3: HT-29 cell lysate (negative) (40 µg/Lane) Predicted band size: 33 kDa Observed band size: 55 kDa Exposure time: 42 seconds; ECL: K1801; 4-20% SDS-PAGE gel. Proteins were transferred to a PVDF membrane and blocked with 5% NFDM/TBST for 1 hour at room temperature. The primary antibody (HA722891) at 1/4,000 dilution was used in 5% NFDM/TBST at 4℃ overnight. Goat Anti-Rabbit IgG - HRP Secondary Antibody (HA1001) at 1/50,000 dilution was used for 1 hour at room temperature.
quantity: 100μl
price: 385.00 USD
to the supplier
TIM 3
HUABIO
catalog: HA723169
domestic rabbit monoclonal (PSH10-00)
reactivity:
human
application:
western blot
,
immunoprecipitation
,
flow cytometry
Western blot analysis of TIM 3 on different lysates with Rabbit anti-TIM 3 antibody (HA723169) at 1/2,000 dilution. Lane 1: RPMI 8226 cell lysate (20 µg/Lane) Lane 2: HT-29 cell lysate (negative) (20 µg/Lane) Lane 3: HUT 102 cell lysate (20 µg/Lane) Predicted band size: 33 kDa Observed band size: 55 kDa Exposure time: 40 seconds; ECL: K1802; 4-20% SDS-PAGE gel. Proteins were transferred to a PVDF membrane and blocked with 5% NFDM/TBST for 1 hour at room temperature. The primary antibody (HA723169) at 1/2,000 dilution was used in 5% NFDM/TBST at 4℃ overnight. Goat Anti-Rabbit IgG - HRP Secondary Antibody (HA1001) at 1/50,000 dilution was used for 1 hour at room temperature.
Immunocytochemistry analysis of RPMI 8226 (positive) and HT-29 (negative) labeling TIM 3 with Rabbit anti-TIM 3 antibody (HA723169) at 1/100 dilution. Cells were fixed in 4% paraformaldehyde for 15 minutes at room temperature, permeabilized with 0.1% Triton X-100 in PBS for 15 minutes at room temperature, then blocked with 1% BSA in 10% negative goat serum for 1 hour at room temperature. Cells were then incubated with Rabbit anti-TIM 3 antibody (HA723169) at 1/100 dilution in 1% BSA in PBST overnight at 4 ℃. Goat Anti-Rabbit IgG H&L (iFluor™ 488, HA1121) was used as the secondary antibody at 1/1,000 dilution. PBS instead of the primary antibody was used as the secondary antibody only control. Nuclear DNA was labelled in blue with DAPI. Beta tubulin (HA601187, red) was stained at 1/100 dilution overnight at +4℃. Goat Anti-Mouse IgG H&L (iFluor™ 594, HA1126) was used as the secondary antibody at 1/1,000 dilution.
Flow cytometric analysis of HT-29 (left, negative) and RPMI 8226 (right, positive) cells labeling TIM 3. Cells were fixed and permeabilized. Then stained with the primary antibody (HA723169, 1/1,000) (red) compared with Rabbit IgG Isotype Control (green). After incubation of the primary antibody at +4℃ for an hour, the cells were stained with a iFluor™ 488 conjugate-Goat anti-Rabbit IgG Secondary antibody (HA1121) at 1/1,000 dilution for 30 minutes at +4℃. Unlabelled sample was used as a control (cells without incubation with primary antibody; black).
quantity: 100μl
price: 385.00 USD
to the supplier
TIM 3
HUABIO
catalog: HA723854
domestic rabbit monoclonal (PSH16-50)
reactivity:
human
,
mouse
,
rat
application:
western blot
,
immunoprecipitation
,
immunohistochemistry - paraffin section
Western blot analysis of TIM 3 on different lysates with Rabbit anti-TIM 3 antibody (HA723854) at 1/2,000 dilution. Lane 1: RPMI 8226 cell lysate (20 µg/Lane) Lane 2: HT-29 cell lysate (negative) (20 µg/Lane) Predicted band size: 33 kDa Observed band size: 55 kDa Exposure time: 5 seconds; ECL: K1801; 4-20% SDS-PAGE gel. Proteins were transferred to a PVDF membrane and blocked with 5% NFDM/TBST for 1 hour at room temperature. The primary antibody (HA723854) at 1/2,000 dilution was used in primary antibody dilution (K1803) at 4℃ overnight. Goat Anti-Rabbit IgG - HRP Secondary Antibody (HA1001) at 1/50,000 dilution was used for 1 hour at room temperature.
Western blot analysis of TIM 3 on RAW264.7 cell lysates with Rabbit anti-TIM 3 antibody (HA723854) at 1/2,000 dilution. Lysates/proteins at 20 µg/Lane. Predicted band size: 33 kDa Observed band size: 70 kDa Exposure time: 1 minute; ECL: K1802; 4-20% SDS-PAGE gel. Proteins were transferred to a PVDF membrane and blocked with 5% NFDM/TBST for 1 hour at room temperature. The primary antibody (HA723854) at 1/2,000 dilution was used in 5% NFDM/TBST at 4℃ overnight. Goat Anti-Rabbit IgG - HRP Secondary Antibody (HA1001) at 1/50,000 dilution was used for 1 hour at room temperature.
Immunohistochemical analysis of paraffin-embedded human lung cancer tissue with Rabbit anti-TIM 3 antibody (HA723854) at 1/1,000 dilution. The section was pre-treated using heat mediated antigen retrieval with Tris-EDTA buffer (pH 9.0) for 20 minutes. The tissues were blocked in 1% BSA for 20 minutes at room temperature, washed with ddH2O and PBS, and then probed with the primary antibody (HA723854) at 1/1,000 dilution for 1 hour at room temperature. The detection was performed using an HRP conjugated compact polymer system. DAB was used as the chromogen. Tissues were counterstained with hematoxylin and mounted with DPX.
quantity: 100μl
price: 385.00 USD
to the supplier
TIM 3
HUABIO
catalog: HA751187
domestic rabbit monoclonal (PSH07-75)
reactivity:
human
application:
western blot
Western blot analysis of TIM 3 on different lysates with Rabbit anti-TIM 3 antibody (HA751187) at 1/4,000 dilution. Lane 1: RPMI 8226 cell lysate (20 µg/Lane) Lane 2: HUT 102 cell lysate (40 µg/Lane) Lane 3: HT-29 cell lysate (negative) (40 µg/Lane) Predicted band size: 33 kDa Observed band size: 55 kDa Exposure time: 42 seconds; ECL: K1801; 4-20% SDS-PAGE gel. Proteins were transferred to a PVDF membrane and blocked with 5% NFDM/TBST for 1 hour at room temperature. The primary antibody (HA751187) at 1/4,000 dilution was used in 5% NFDM/TBST at 4℃ overnight. Goat Anti-Rabbit IgG - HRP Secondary Antibody (HA1001) at 1/50,000 dilution was used for 1 hour at room temperature.
quantity: 100μl
price: 649.00 USD
to the supplier
TIM 3
HUABIO
catalog: HA751599
domestic rabbit monoclonal (PSH16-50)
reactivity:
human
,
mouse
,
rat
application:
western blot
,
immunoprecipitation
,
immunohistochemistry - paraffin section
Western blot analysis of TIM 3 on different lysates with Rabbit anti-TIM 3 antibody (HA751599) at 1/2,000 dilution. Lane 1: RPMI 8226 cell lysate (20 µg/Lane) Lane 2: HT-29 cell lysate (negative) (20 µg/Lane) Predicted band size: 33 kDa Observed band size: 55 kDa Exposure time: 5 seconds; ECL: K1801; 4-20% SDS-PAGE gel. Proteins were transferred to a PVDF membrane and blocked with 5% NFDM/TBST for 1 hour at room temperature. The primary antibody (HA751599) at 1/2,000 dilution was used in primary antibody dilution (K1803) at 4℃ overnight. Goat Anti-Rabbit IgG - HRP Secondary Antibody (HA1001) at 1/50,000 dilution was used for 1 hour at room temperature.
Western blot analysis of TIM 3 on RAW264.7 cell lysates with Rabbit anti-TIM 3 antibody (HA751599) at 1/2,000 dilution. Lysates/proteins at 20 µg/Lane. Predicted band size: 33 kDa Observed band size: 70 kDa Exposure time: 1 minute; ECL: K1802; 4-20% SDS-PAGE gel. Proteins were transferred to a PVDF membrane and blocked with 5% NFDM/TBST for 1 hour at room temperature. The primary antibody (HA751599) at 1/2,000 dilution was used in 5% NFDM/TBST at 4℃ overnight. Goat Anti-Rabbit IgG - HRP Secondary Antibody (HA1001) at 1/50,000 dilution was used for 1 hour at room temperature.
Immunohistochemical analysis of paraffin-embedded human lung cancer tissue with Rabbit anti-TIM 3 antibody (HA751599) at 1/1,000 dilution. The section was pre-treated using heat mediated antigen retrieval with Tris-EDTA buffer (pH 9.0) for 20 minutes. The tissues were blocked in 1% BSA for 20 minutes at room temperature, washed with ddH2O and PBS, and then probed with the primary antibody (HA751599) at 1/1,000 dilution for 1 hour at room temperature. The detection was performed using an HRP conjugated compact polymer system. DAB was used as the chromogen. Tissues were counterstained with hematoxylin and mounted with DPX.
quantity: 100μl
price: 385.00 USD
to the supplier
TIM 3
HUABIO
catalog: EM1701-19
mouse monoclonal (1E3)
reactivity:
human
application:
western blot
,
flow cytometry
,
immunohistochemistry - paraffin section
quantity: 100μl
price: 360.00 USD
to the supplier
TIM 3
HUABIO
catalog: EM1701-20
mouse monoclonal (1E5)
reactivity:
human
application:
western blot
,
flow cytometry
,
immunohistochemistry - paraffin section
quantity: 100μl
price: 360.00 USD
to the supplier
TIM 3
HUABIO
catalog: HA601442
domestic rabbit polyclonal (PSH13-95)
reactivity:
human
application:
western blot
,
flow cytometry
Western blot analysis of TIM 3 on different lysates with Mouse anti-TIM 3 antibody (HA601442) at 1/2,000 dilution. Lane 1: RPMI 8226 cell lysate (20 µg/Lane) Lane 2: HT-29 cell lysate (negative) (20 µg/Lane) Predicted band size: 33 kDa Observed band size: 55 kDa Exposure time: 59 seconds; ECL: K1802; 4-20% SDS-PAGE gel. Proteins were transferred to a PVDF membrane and blocked with 5% NFDM/TBST for 1 hour at room temperature. The primary antibody (HA601442) at 1/2,000 dilution was used in 5% NFDM/TBST at 4℃ overnight. Goat Anti-Mouse IgG - HRP Secondary Antibody (HA1006) at 1/50,000 dilution was used for 1 hour at room temperature.
Immunocytochemistry analysis of RPMI 8226 (positive) and HT-29 (negative) labeling TIM 3 with Mouse anti-TIM 3 antibody (HA601442) at 1/100 dilution. Cells were fixed in 4% paraformaldehyde for 15 minutes at room temperature, permeabilized with 0.1% Triton X-100 in PBS for 15 minutes at room temperature, then blocked with 1% BSA in 10% negative goat serum for 1 hour at room temperature. Cells were then incubated with Mouse anti-TIM 3 antibody (HA601442) at 1/100 dilution in 1% BSA in PBST overnight at 4 ℃. Goat Anti-Mouse IgG H&L (iFluor™ 488, HA1125) was used as the secondary antibody at 1/1,000 dilution. PBS instead of the primary antibody was used as the secondary antibody only control. Nuclear DNA was labelled in blue with DAPI. beta Tubulin (ET1602-4, red) was stained at 1/100 dilution overnight at +4℃. Goat Anti-Rabbit IgG H&L (iFluor™ 594, HA1122) were used as the secondary antibody at 1/1,000 dilution.
Flow cytometric analysis of HT-29 (left, negative) and RPMI 8226 (right, positive) cells labeling TIM 3. Cells were washed twice with cold PBS and resuspend. Then stained with the primary antibody (HA601442, 1/1,000) (red) compared with Mouse IgG Isotype Control (green). After incubation of the primary antibody at +4℃ for an hour, the cells were stained with a iFluor™ 488 conjugate-Goat anti-Mouse IgG Secondary antibody (HA1125) at 1/1,000 dilution for 30 minutes at +4℃. Unlabelled sample was used as a control (cells without incubation with primary antibody; black).
quantity: 100μl
price: 360.00 USD
to the supplier
TIM 3
HUABIO
catalog: HA610277
domestic rabbit polyclonal (PSH13-95)
reactivity:
human
application:
western blot
,
flow cytometry
Western blot analysis of TIM 3 on different lysates with Mouse anti-TIM 3 antibody (HA610277) at 1/2,000 dilution. Lane 1: RPMI 8226 cell lysate (20 µg/Lane) Lane 2: HT-29 cell lysate (negative) (20 µg/Lane) Predicted band size: 33 kDa Observed band size: 55 kDa Exposure time: 59 seconds; ECL: K1802; 4-20% SDS-PAGE gel. Proteins were transferred to a PVDF membrane and blocked with 5% NFDM/TBST for 1 hour at room temperature. The primary antibody (HA610277) at 1/2,000 dilution was used in 5% NFDM/TBST at 4℃ overnight. Goat Anti-Mouse IgG - HRP Secondary Antibody (HA1006) at 1/50,000 dilution was used for 1 hour at room temperature.
Immunocytochemistry analysis of RPMI 8226 (positive) and HT-29 (negative) labeling TIM 3 with Mouse anti-TIM 3 antibody (HA610277) at 1/100 dilution. Cells were fixed in 4% paraformaldehyde for 15 minutes at room temperature, permeabilized with 0.1% Triton X-100 in PBS for 15 minutes at room temperature, then blocked with 1% BSA in 10% negative goat serum for 1 hour at room temperature. Cells were then incubated with Mouse anti-TIM 3 antibody (HA610277) at 1/100 dilution in 1% BSA in PBST overnight at 4 ℃. Goat Anti-Mouse IgG H&L (iFluor™ 488, HA1125) was used as the secondary antibody at 1/1,000 dilution. PBS instead of the primary antibody was used as the secondary antibody only control. Nuclear DNA was labelled in blue with DAPI. beta Tubulin (ET1602-4, red) was stained at 1/100 dilution overnight at +4℃. Goat Anti-Rabbit IgG H&L (iFluor™ 594, HA1122) were used as the secondary antibody at 1/1,000 dilution.
Flow cytometric analysis of HT-29 (left, negative) and RPMI 8226 (right, positive) cells labeling TIM 3. Cells were washed twice with cold PBS and resuspend. Then stained with the primary antibody (HA610277, 1/1,000) (red) compared with Mouse IgG Isotype Control (green). After incubation of the primary antibody at +4℃ for an hour, the cells were stained with a iFluor™ 488 conjugate-Goat anti-Mouse IgG Secondary antibody (HA1125) at 1/1,000 dilution for 30 minutes at +4℃. Unlabelled sample was used as a control (cells without incubation with primary antibody; black).
quantity: 100μg
price: 649.00 USD
to the supplier