Sign in
Sign up
home
>
HUABIO
> HUABIO Caspase-9 antibody
Caspase-9
HUABIO
catalog: ET1603-27
domestic rabbit monoclonal (SZ29-01)
reactivity:
human
,
mouse
application:
western blot
,
immunoprecipitation
,
flow cytometry
,
immunohistochemistry - paraffin section
Western blot analysis of Caspase-9 on different lysates. Proteins were transferred to a PVDF membrane and blocked with 5% BSA in PBS for 1 hour at room temperature. The primary antibody (ET1603-27, 1/500) was used in 5% BSA at room temperature for 2 hours. Goat Anti-Rabbit IgG - HRP Secondary Antibody (HA1001) at 1:5,000 dilution was used for 1 hour at room temperature. Positive control: Lane 1: C2C12 cell lysate Lane 2: Hela cell lysate
Immunocytochemistry analysis of NIH/3T3 cells labeling Caspase-9 with Rabbit anti-Caspase-9 antibody (ET1603-27) at 1/100 dilution. Cells were fixed in 4% paraformaldehyde for 20 minutes at room temperature, permeabilized with 0.1% Triton X-100 in PBS for 5 minutes at room temperature, then blocked with 1% BSA in 10% negative goat serum for 1 hour at room temperature. Cells were then incubated with Rabbit anti-Caspase-9 antibody (ET1603-27) at 1/100 dilution in 1% BSA in PBST overnight at 4 ℃. Goat Anti-Rabbit IgG H&L (iFluor™ 488, HA1121) was used as the secondary antibody at 1/1,000 dilution. PBS instead of the primary antibody was used as the secondary antibody only control. Nuclear DNA was labelled in blue with DAPI. Beta tubulin (M1305-2, red) was stained at 1/100 dilution overnight at +4℃. Goat Anti-Mouse IgG H&L (iFluor™ 594, HA1126) was used as the secondary antibody at 1/1,000 dilution.
ICC staining of Caspase-9 in HepG2 cells (green). Formalin fixed cells were permeabilized with 0.1% Triton X-100 in TBS for 10 minutes at room temperature and blocked with 1% Blocker BSA for 15 minutes at room temperature. Cells were probed with the primary antibody (ET1603-27, 1/100) for 1 hour at room temperature, washed with PBS. Alexa Fluor®488 Goat anti-Rabbit IgG was used as the secondary antibody at 1/1,000 dilution. The nuclear counter stain is DAPI (blue).
quantity: 100μl
price: 385.00 USD
to the supplier
Active+Pro Caspase-9
HUABIO
catalog: ET1610-95
domestic rabbit monoclonal (SC65-05)
reactivity:
human
,
mouse
application:
western blot
,
immunoprecipitation
Western blot analysis of Active+Pro Caspase-9 on different lysates with Rabbit anti-Active+Pro Caspase-9 antibody (ET1610-95) at 1/1,000 dilution. Lane 1: HeLa cell lysate Lane 2: HeLa treated with 1μM staurosporine for 4 hours cell lysate Lane 3: HeLa treated with 3μM staurosporine for 4 hours cell lysate Lysates/proteins at 20 µg/Lane. Predicted band size: 46 kDa Observed band size: 46/37/35 kDa Exposure time: 30 seconds; ECL: K1801; 4-20% SDS-PAGE gel. Proteins were transferred to a PVDF membrane and blocked with 5% NFDM/TBST for 1 hour at room temperature. The primary antibody (ET1610-95) at 1/1,000 dilution was used in 5% NFDM/TBST at 4℃ overnight. Goat Anti-Rabbit IgG - HRP Secondary Antibody (HA1001) at 1/50,000 dilution was used for 1 hour at room temperature.
Western blot analysis of Active+Pro Caspase-9 on different lysates with Rabbit anti-Active+Pro Caspase-9 antibody (ET1610-95) at 1/1,000 dilution. Lane 1: C2C12 cell lysate Lane 2: HeLa cell lysate Lane 3: Jurkat cell lysate Lysates/proteins at 10 µg/Lane. Predicted band size: 46 kDa Observed band size: 46 kDa Exposure time: 2 minutes; 12% SDS-PAGE gel. Proteins were transferred to a PVDF membrane and blocked with 5% NFDM/TBST for 1 hour at room temperature. The primary antibody (ET1610-95) at 1/1,000 dilution was used in 5% NFDM/TBST at room temperature for 2 hours. Goat Anti-Rabbit IgG - HRP Secondary Antibody (HA1001) at 1:300,000 dilution was used for 1 hour at room temperature.
Western blot analysis of Caspase-9 on different lysates with Rabbit anti-Caspase-9 antibody (ET1610-95) at 1/1,000 dilution. Lane 1: Hela-si NT cell lysate Lane 2: Hela-si Caspase-9 cell lysate Lysates/proteins at 10 µg/Lane. Predicted band size: 46 kDa Observed band size: 46 kDa Exposure time: 2 minutes; 4-20% SDS-PAGE gel. ET1610-95 was shown to specifically react with Caspase-9 in Hela-si NT cells. Weakened band was observed when Hela-si Caspase-9 sample was tested. Hela-si NT and Hela-si Caspase-9 samples were subjected to SDS-PAGE. Proteins were transferred to a PVDF membrane and blocked with 5% NFDM in TBST for 1 hour at room temperature. The primary antibody (ET1610-95, 1/1,000) and Loading control antibody (Rabbit anti-GAPDH, ET1601-4, 1/10,000) were used in 5% BSA at room temperature for 2 hours. Goat Anti-rabbit IgG-HRP Secondary Antibody (HA1001) at 1:100,000 dilution was used for 1 hour at room temperature.
quantity: 100μl
price: 385.00 USD
to the supplier
Active+Pro Caspase-9
HUABIO
catalog: ET1701-22
domestic rabbit monoclonal (JJ08-05)
reactivity:
human
application:
western blot
,
flow cytometry
,
immunohistochemistry - paraffin section
Western blot analysis of Active+Pro Caspase-9 on different lysates with Rabbit anti-Active+Pro Caspase-9 antibody (ET1701-22) at 1/1,000 dilution. Lane 1: HeLa cell lysate Lane 2: HeLa treated with 1μM staurosporine for 4 hours cell lysate Lane 3: HeLa treated with 3μM staurosporine for 4 hours cell lysate Lysates/proteins at 20 µg/Lane. Predicted band size: 46 kDa Observed band size: 46/37/35 kDa Exposure time: 3 minutes; ECL: K1801; 4-20% SDS-PAGE gel. Proteins were transferred to a PVDF membrane and blocked with 5% NFDM/TBST for 1 hour at room temperature. The primary antibody (ET1701-22) at 1/1,000 dilution was used in 5% NFDM/TBST at 4℃ overnight. Goat Anti-Rabbit IgG - HRP Secondary Antibody (HA1001) at 1/50,000 dilution was used for 1 hour at room temperature.
Western blot analysis of pro Caspase-9 on different lysates with Rabbit anti-pro Caspase-9 antibody (ET1701-22) at 1/1,000 dilution. Lane 1: Hela-si NT cell lysate (10 µg/Lane) Lane 2: Hela-si Caspase-9 cell lysate (10 µg/Lane) Predicted band size: 46 kDa Observed band size: 46 kDa Exposure time: 5 minutes; 4-20% SDS-PAGE gel. ET1701-22 was shown to specifically react with Caspase-9 in Hela-si NT cells. Weakened band was observed when Hela-si Caspase-9 sample was tested. Hela-si NT and Hela-si Caspase-9 samples were subjected to SDS-PAGE. Proteins were transferred to a PVDF membrane and blocked with 5% NFDM in TBST for 1 hour at room temperature. The primary antibody (ET1701-22, 1/1,000) and Loading control antibody (Rabbit anti-GAPDH, ET1601-4, 1/10,000) were used in 5% BSA at room temperature for 2 hours. Goat Anti-rabbit IgG-HRP Secondary Antibody (HA1001) at 1:100,000 dilution was used for 1 hour at room temperature.
Immunohistochemical analysis of paraffin-embedded human placenta tissue using anti-Active+Pro Caspase-9 antibody. The section was pre-treated using heat mediated antigen retrieval with sodium citrate buffer (pH 6.0) (high pressure) for 2 minutes. The tissues were blocked in 5% BSA for 30 minutes at room temperature, washed with ddH2O and PBS, and then probed with the primary antibody (ET1701-22, 1/100) for 30 minutes at room temperature. The detection was performed using an HRP conjugated compact polymer system. DAB was used as the chromogen. Tissues were counterstained with hematoxylin and mounted with DPX.
quantity: 100μl
price: 385.00 USD
to the supplier
Human Caspase-9
HUABIO
catalog: HA723906
domestic rabbit monoclonal (PSH17-19)
reactivity:
human
application:
ELISA
Sandwich ELISA analysis of Human Caspase-9 matched pair antibodies Capture: HA723906, Human Caspase-9 Rabbit mAb [PSH17-19] Detector: HA723907, Human Caspase-9 Rabbit mAb [PSH17-20] Elisa assay was performed by coating wells of a 96-well plate with 100 µl per well of capture antibody (HA723906) diluted in carbonate/bicarbonate buffer, at a concentration of 2ug/ml overnight at 4℃. Wells of the plate were washed, blocked with 150 µl 0.05% tween-20 1% BSA blocking buffer, and incubated with serial diluted Recombinant Human Caspase-9 protein (HA211015) starting from 5,000 pg/ml to 0 pg/ml and detect antibody (HA723907, Biotin, 0.2 µg/ml) for 1 hour at 30℃ with shaking. Then the plate was washed and incubated with 100 µl per well of SA-HRP for 0.5 hour at 30℃ with shaking. Detection was performed using an Ultra TMB Substrate for 10 minutes at room temperature in the dark. The reaction was stopped with sulfuric acid and absorbances were read on a spectrophotometer at 450 nm.
Interpolated concentrations of native caspase-9 in THP-1, Hela and Jurkat cell extract samples based on a 1000 µg/ml extract load. Capture: HA723906, Human Caspase-9 Rabbit mAb [PSH17-19] Detector: HA723907, Human Caspase-9 Rabbit mAb [PSH17-20] Interpolated concentration of native caspase-9 was measured in duplicate at different sample concentrations and interpolated from the caspase-9 standard curves. The interpolated dilution factor corrected values were plotted (mean +/- SD, n=2). The mean caspase-9 concentration was determined to be 6,717 pg/mL in THP-1, 6,267 pg/mL in Hela and 3,257 pg/mL in Jurkat cell extract.
Interpolated concentrations of spiked caspase-9 in cell culture media samples. Capture: HA723906, Human Caspase-9 Rabbit mAb [PSH17-19] Detector: HA723907, Human Caspase-9 Rabbit mAb [PSH17-20] The concentrations of caspase-9 were measured in duplicates, interpolated from the caspase-9 standard curves and corrected for sample dilution. Diluted samples are as follows: 50% cell culture media with FBS. The interpolated dilution factor corrected values are plotted (mean +/- SD, n=2).
quantity: 100μl
price: 649.00 USD
to the supplier
Human Caspase-9
HUABIO
catalog: HA723907
domestic rabbit monoclonal (PSH17-20)
reactivity:
human
application:
ELISA
Sandwich ELISA analysis of Human Caspase-9 matched pair antibodies Capture: HA723906, Human Caspase-9 Rabbit mAb [PSH17-19] Detector: HA723907, Human Caspase-9 Rabbit mAb [PSH17-20] Elisa assay was performed by coating wells of a 96-well plate with 100 µl per well of capture antibody (HA723906) diluted in carbonate/bicarbonate buffer, at a concentration of 2ug/ml overnight at 4℃. Wells of the plate were washed, blocked with 150 µl 0.05% tween-20 1% BSA blocking buffer, and incubated with serial diluted Recombinant Human Caspase-9 protein (HA211015) starting from 5,000 pg/ml to 0 pg/ml and detect antibody (HA723907, Biotin, 0.2 µg/ml) for 1 hour at 30℃ with shaking. Then the plate was washed and incubated with 100 µl per well of SA-HRP for 0.5 hour at 30℃ with shaking. Detection was performed using an Ultra TMB Substrate for 10 minutes at room temperature in the dark. The reaction was stopped with sulfuric acid and absorbances were read on a spectrophotometer at 450 nm.
Interpolated concentrations of native caspase-9 in THP-1, Hela and Jurkat cell extract samples based on a 1000 µg/ml extract load. Capture: HA723906, Human Caspase-9 Rabbit mAb [PSH17-19] Detector: HA723907, Human Caspase-9 Rabbit mAb [PSH17-20] Interpolated concentration of native caspase-9 was measured in duplicate at different sample concentrations and interpolated from the caspase-9 standard curves. The interpolated dilution factor corrected values were plotted (mean +/- SD, n=2). The mean caspase-9 concentration was determined to be 6,717 pg/mL in THP-1, 6,267 pg/mL in Hela and 3,257 pg/mL in Jurkat cell extract.
Interpolated concentrations of spiked caspase-9 in cell culture media samples. Capture: HA723906, Human Caspase-9 Rabbit mAb [PSH17-19] Detector: HA723907, Human Caspase-9 Rabbit mAb [PSH17-20] The concentrations of caspase-9 were measured in duplicates, interpolated from the caspase-9 standard curves and corrected for sample dilution. Diluted samples are as follows: 50% cell culture media with FBS. The interpolated dilution factor corrected values are plotted (mean +/- SD, n=2).
quantity: 100μl
price: 649.00 USD
to the supplier
Human Caspase-9
HUABIO
catalog: HA723907B
domestic rabbit monoclonal (PSH17-20)
reactivity:
human
conjugate: biotin
application:
ELISA
Sandwich ELISA analysis of Human Caspase-9 matched pair antibodies Capture: HA723906, Human Caspase-9 Rabbit mAb [PSH17-19] Detector: HA723907, Human Caspase-9 Rabbit mAb [PSH17-20] Elisa assay was performed by coating wells of a 96-well plate with 100 µl per well of capture antibody (HA723906) diluted in carbonate/bicarbonate buffer, at a concentration of 2ug/ml overnight at 4℃. Wells of the plate were washed, blocked with 150 µl 0.05% tween-20 1% BSA blocking buffer, and incubated with serial diluted Recombinant Human Caspase-9 protein (HA211015) starting from 5,000 pg/ml to 0 pg/ml and detect antibody (HA723907, Biotin, 0.2 µg/ml) for 1 hour at 30℃ with shaking. Then the plate was washed and incubated with 100 µl per well of SA-HRP for 0.5 hour at 30℃ with shaking. Detection was performed using an Ultra TMB Substrate for 10 minutes at room temperature in the dark. The reaction was stopped with sulfuric acid and absorbances were read on a spectrophotometer at 450 nm.
Interpolated concentrations of native caspase-9 in THP-1, Hela and Jurkat cell extract samples based on a 1000 µg/ml extract load. Capture: HA723906, Human Caspase-9 Rabbit mAb [PSH17-19] Detector: HA723907, Human Caspase-9 Rabbit mAb [PSH17-20] Interpolated concentration of native caspase-9 was measured in duplicate at different sample concentrations and interpolated from the caspase-9 standard curves. The interpolated dilution factor corrected values were plotted (mean +/- SD, n=2). The mean caspase-9 concentration was determined to be 6,717 pg/mL in THP-1, 6,267 pg/mL in Hela and 3,257 pg/mL in Jurkat cell extract.
Interpolated concentrations of spiked caspase-9 in cell culture media samples. Capture: HA723906, Human Caspase-9 Rabbit mAb [PSH17-19] Detector: HA723907, Human Caspase-9 Rabbit mAb [PSH17-20] The concentrations of caspase-9 were measured in duplicates, interpolated from the caspase-9 standard curves and corrected for sample dilution. Diluted samples are as follows: 50% cell culture media with FBS. The interpolated dilution factor corrected values are plotted (mean +/- SD, n=2).
quantity: 100μl
price: 409.00 USD
to the supplier
Caspase-9
HUABIO
catalog: HA750062
domestic rabbit monoclonal (SZ29-01)
reactivity:
human
,
mouse
application:
western blot
,
immunoprecipitation
,
flow cytometry
,
immunohistochemistry - paraffin section
Western blot analysis of Caspase-9 on different lysates. Proteins were transferred to a PVDF membrane and blocked with 5% BSA in PBS for 1 hour at room temperature. The primary antibody (HA750062, 1/500) was used in 5% BSA at room temperature for 2 hours. Goat Anti-Rabbit IgG - HRP Secondary Antibody (HA1001) at 1:5,000 dilution was used for 1 hour at room temperature. Positive control: Lane 1: C2C12 cell lysate Lane 2: Hela cell lysate
Immunocytochemistry analysis of NIH/3T3 cells labeling Caspase-9 with Rabbit anti-Caspase-9 antibody (HA750062) at 1/100 dilution. Cells were fixed in 4% paraformaldehyde for 20 minutes at room temperature, permeabilized with 0.1% Triton X-100 in PBS for 5 minutes at room temperature, then blocked with 1% BSA in 10% negative goat serum for 1 hour at room temperature. Cells were then incubated with Rabbit anti-Caspase-9 antibody (HA750062) at 1/100 dilution in 1% BSA in PBST overnight at 4 ℃. Goat Anti-Rabbit IgG H&L (iFluor™ 488, HA1121) was used as the secondary antibody at 1/1,000 dilution. PBS instead of the primary antibody was used as the secondary antibody only control. Nuclear DNA was labelled in blue with DAPI. Beta tubulin (M1305-2, red) was stained at 1/100 dilution overnight at +4℃. Goat Anti-Mouse IgG H&L (iFluor™ 594, HA1126) was used as the secondary antibody at 1/1,000 dilution.
ICC staining of Caspase-9 in HepG2 cells (green). Formalin fixed cells were permeabilized with 0.1% Triton X-100 in TBS for 10 minutes at room temperature and blocked with 1% Blocker BSA for 15 minutes at room temperature. Cells were probed with the primary antibody (HA750062, 1/100) for 1 hour at room temperature, washed with PBS. Alexa Fluor®488 Goat anti-Rabbit IgG was used as the secondary antibody at 1/1,000 dilution. The nuclear counter stain is DAPI (blue).
quantity: 100μl
price: 649.00 USD
to the supplier
Active+Pro Caspase-9
HUABIO
catalog: HA750238
domestic rabbit monoclonal (SC65-05)
reactivity:
human
,
mouse
application:
western blot
,
immunoprecipitation
Western blot analysis of Active+Pro Caspase-9 on different lysates with Rabbit anti-Active+Pro Caspase-9 antibody (HA750238) at 1/1,000 dilution. Lane 1: HeLa cell lysate Lane 2: HeLa treated with 1μM staurosporine for 4 hours cell lysate Lane 3: HeLa treated with 3μM staurosporine for 4 hours cell lysate Lysates/proteins at 20 µg/Lane. Predicted band size: 46 kDa Observed band size: 46/37/35 kDa Exposure time: 30 seconds; ECL: K1801; 4-20% SDS-PAGE gel. Proteins were transferred to a PVDF membrane and blocked with 5% NFDM/TBST for 1 hour at room temperature. The primary antibody (HA750238) at 1/1,000 dilution was used in 5% NFDM/TBST at 4℃ overnight. Goat Anti-Rabbit IgG - HRP Secondary Antibody (HA1001) at 1/50,000 dilution was used for 1 hour at room temperature.
Western blot analysis of Active+Pro Caspase-9 on different lysates with Rabbit anti-Active+Pro Caspase-9 antibody (HA750238) at 1/1,000 dilution. Lane 1: C2C12 cell lysate Lane 2: HeLa cell lysate Lane 3: Jurkat cell lysate Lysates/proteins at 10 µg/Lane. Predicted band size: 46 kDa Observed band size: 46 kDa Exposure time: 2 minutes; 12% SDS-PAGE gel. Proteins were transferred to a PVDF membrane and blocked with 5% NFDM/TBST for 1 hour at room temperature. The primary antibody (HA750238) at 1/1,000 dilution was used in 5% NFDM/TBST at room temperature for 2 hours. Goat Anti-Rabbit IgG - HRP Secondary Antibody (HA1001) at 1:300,000 dilution was used for 1 hour at room temperature.
Western blot analysis of Caspase-9 on different lysates with Rabbit anti-Caspase-9 antibody (HA750238) at 1/1,000 dilution. Lane 1: Hela-si NT cell lysate Lane 2: Hela-si Caspase-9 cell lysate Lysates/proteins at 10 µg/Lane. Predicted band size: 46 kDa Observed band size: 46 kDa Exposure time: 2 minutes; 4-20% SDS-PAGE gel. ET1610-95 was shown to specifically react with Caspase-9 in Hela-si NT cells. Weakened band was observed when Hela-si Caspase-9 sample was tested. Hela-si NT and Hela-si Caspase-9 samples were subjected to SDS-PAGE. Proteins were transferred to a PVDF membrane and blocked with 5% NFDM in TBST for 1 hour at room temperature. The primary antibody (ET1610-95, 1/1,000) and Loading control antibody (Rabbit anti-GAPDH, ET1601-4, 1/10,000) were used in 5% BSA at room temperature for 2 hours. Goat Anti-rabbit IgG-HRP Secondary Antibody (HA1001) at 1:100,000 dilution was used for 1 hour at room temperature.
quantity: 100μl
price: 649.00 USD
to the supplier
Active+Pro Caspase-9
HUABIO
catalog: R1308-12
domestic rabbit polyclonal
reactivity:
human
application:
western blot
,
immunohistochemistry - paraffin section
Western blot analysis of Active+Pro Caspase-9 on different lysates with Rabbit anti-Active+Pro Caspase-9 antibody (R1308-12) at 1/1,000 dilution. Lane 1: HeLa cell lysate (20 µg/Lane) Lane 2: HeLa treated with 1μM staurosporine for 4 hours cell lysate (20 µg/Lane) Lane 3: HeLa treated with 3μM staurosporine for 4 hours cell lysate (20 µg/Lane) Predicted band size: 46 kDa Observed band size: 46/37/35 kDa Exposure time: 1 minute 2 seconds; ECL: K1801; 4-20% SDS-PAGE gel. Proteins were transferred to a PVDF membrane and blocked with 5% NFDM/TBST for 1 hour at room temperature. The primary antibody (R1308-12) at 1/1,000 dilution was used in 5% NFDM/TBST at 4℃ overnight. Goat Anti-Rabbit IgG - HRP Secondary Antibody (HA1001) at 1/50,000 dilution was used for 1 hour at room temperature.
Western blot analysis of Active+Pro Caspase-9 on different lysates with Rabbit anti-Active+Pro Caspase-9 antibody (R1308-12) at 1/1,000 dilution. Lane 1: Hela-si NT cell lysate (10 µg/Lane) Lane 2: Hela-si Caspase-9 cell lysate (10 µg/Lane) Predicted band size: 46 kDa Observed band size: 46 kDa Exposure time: 5 minutes; 4-20% SDS-PAGE gel. R1308-12 was shown to specifically react with Active+Pro Caspase-9 in Hela-si NT cells. Weakened band was observed when Hela-si Active+Pro Caspase-9 sample was tested. Hela-si NT and Hela-si Active+Pro Caspase-9 samples were subjected to SDS-PAGE. Proteins were transferred to a PVDF membrane and blocked with 5% NFDM in TBST for 1 hour at room temperature. The primary antibody (R1308-12, 1/1,000) and Loading control antibody (Rabbit anti-GAPDH, ET1601-4, 1/10,000) were used in 5% BSA at room temperature for 2 hours. Goat Anti-rabbit IgG-HRP Secondary Antibody (HA1001) at 1:100,000 dilution was used for 1 hour at room temperature.
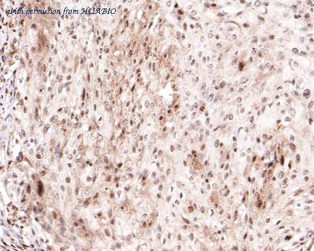
Immunohistochemical analysis of paraffin-embedded human lung carcinoma tissue using anti-Caspase-9 rabbit polyclonal antibody.
quantity: 100μl
price: 330 USD
to the supplier
Anti-Caspase-9 Antibody [SC65-05]
HUABIO
catalog: ET1610-95TR
domestic rabbit monoclonal (SC65-05)
reactivity:
human
,
mouse
application:
western blot
,
immunoprecipitation
quantity: 20 uL
price: 99 USD
to the supplier