Sign in
Sign up
home
>
HUABIO
> HUABIO H4C4 antibody
Histone H4 (acetyl K5)
HUABIO
catalog: ET1602-40
domestic rabbit monoclonal (SR31-07)
reactivity:
human
,
mouse
,
rat
application:
western blot
,
immunoprecipitation
,
chromatin immunoprecipitation
,
immunohistochemistry - paraffin section
Western blot analysis of Histone H4 (acetyl K5) on different lysates with Rabbit anti-Histone H4 (acetyl K5) antibody (ET1602-40) at 1/1,000 dilution. Lane 1: HeLa cell lysate Lane 2: NIH/3T3 cell lysate Lane 3: NIH/3T3 treated with 400nM TSA for 18 hours cell lysate Lane 4: C6 cell lysate Lane 5: C6 treated with 1μM TSA for 18 hours cell lysate Lysates/proteins at 10 µg/Lane. Predicted band size: 11 kDa Observed band size: 11 kDa Exposure time: 8 seconds; ECL: K1801; 4-20% SDS-PAGE gel. Proteins were transferred to a PVDF membrane and blocked with 5% NFDM/TBST for 1 hour at room temperature. The primary antibody (ET1602-40) at 1/1,000 dilution was used in 5% NFDM/TBST at 4℃ overnight. Goat Anti-Rabbit IgG - HRP Secondary Antibody (HA1001) at 1/50,000 dilution was used for 1 hour at room temperature.
Immunocytochemistry analysis of HeLa cells labeling Histone H4 (acetyl K5) with Rabbit anti-Histone H4 (acetyl K5) antibody (ET1602-40) at 1/500 dilution. Cells were fixed in 4% paraformaldehyde for 15 minutes at room temperature, permeabilized with 0.1% Triton X-100 in PBS for 15 minutes at room temperature, then blocked with 1% BSA in 10% negative goat serum for 1 hour at room temperature. Cells were then incubated with Rabbit anti-Histone H4 (acetyl K5) antibody (ET1602-40) at 1/500 dilution in 1% BSA in PBST overnight at 4 ℃. Goat Anti-Rabbit IgG H&L (iFluor™ 488, HA1121) was used as the secondary antibody at 1/1,000 dilution. PBS instead of the primary antibody was used as the secondary antibody only control. Nuclear DNA was labelled in blue with DAPI. Beta tubulin (HA601187, red) was stained at 1/100 dilution overnight at +4℃. Goat Anti-Mouse IgG H&L (iFluor™ 594, HA1126) was used as the secondary antibody at 1/1,000 dilution.
Immunocytochemistry analysis of NIH/3T3 cells labeling Histone H4 (acetyl K5) with Rabbit anti-Histone H4 (acetyl K5) antibody (ET1602-40) at 1/500 dilution. Cells were fixed in 4% paraformaldehyde for 15 minutes at room temperature, permeabilized with 0.1% Triton X-100 in PBS for 15 minutes at room temperature, then blocked with 1% BSA in 10% negative goat serum for 1 hour at room temperature. Cells were then incubated with Rabbit anti-Histone H4 (acetyl K5) antibody (ET1602-40) at 1/500 dilution in 1% BSA in PBST overnight at 4 ℃. Goat Anti-Rabbit IgG H&L (iFluor™ 488, HA1121) was used as the secondary antibody at 1/1,000 dilution. PBS instead of the primary antibody was used as the secondary antibody only control. Nuclear DNA was labelled in blue with DAPI. Beta tubulin (HA601187, red) was stained at 1/100 dilution overnight at +4℃. Goat Anti-Mouse IgG H&L (iFluor™ 594, HA1126) was used as the secondary antibody at 1/1,000 dilution.
quantity: 100μl
price: 385.00 USD
to the supplier
Histone H4 (tri methyl K20)
HUABIO
catalog: ET1609-16
domestic rabbit monoclonal (ST044-07)
reactivity:
human
,
mouse
,
rat
application:
immunohistochemistry - paraffin section
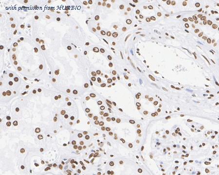
Immunohistochemical analysis of paraffin-embedded human kidney tissue with Rabbit anti-Histone H4 (tri methyl K20) antibody (ET1609-16) at 1/1,000 dilution. The section was pre-treated using heat mediated antigen retrieval with Tris-EDTA buffer (pH 9.0) for 20 minutes. The tissues were blocked in 1% BSA for 20 minutes at room temperature, washed with ddH2O and PBS, and then probed with the primary antibody (ET1609-16) at 1/1,000 dilution for 1 hour at room temperature. The detection was performed using an HRP conjugated compact polymer system. DAB was used as the chromogen. Tissues were counterstained with hematoxylin and mounted with DPX.
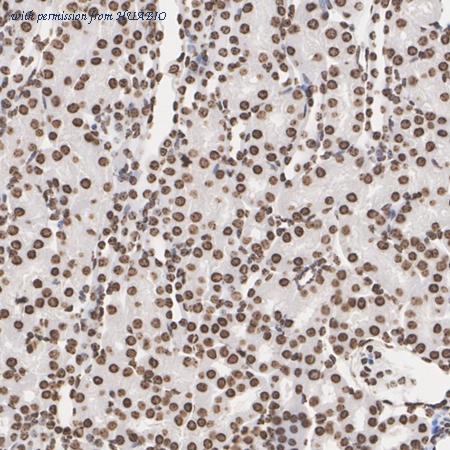
Immunohistochemical analysis of paraffin-embedded mouse kidney tissue with Rabbit anti-Histone H4 (tri methyl K20) antibody (ET1609-16) at 1/1,000 dilution. The section was pre-treated using heat mediated antigen retrieval with Tris-EDTA buffer (pH 9.0) for 20 minutes. The tissues were blocked in 1% BSA for 20 minutes at room temperature, washed with ddH2O and PBS, and then probed with the primary antibody (ET1609-16) at 1/1,000 dilution for 1 hour at room temperature. The detection was performed using an HRP conjugated compact polymer system. DAB was used as the chromogen. Tissues were counterstained with hematoxylin and mounted with DPX.
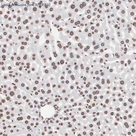
Immunohistochemical analysis of paraffin-embedded mouse liver tissue with Rabbit anti-Histone H4 (tri methyl K20) antibody (ET1609-16) at 1/1,000 dilution. The section was pre-treated using heat mediated antigen retrieval with Tris-EDTA buffer (pH 9.0) for 20 minutes. The tissues were blocked in 1% BSA for 20 minutes at room temperature, washed with ddH2O and PBS, and then probed with the primary antibody (ET1609-16) at 1/1,000 dilution for 1 hour at room temperature. The detection was performed using an HRP conjugated compact polymer system. DAB was used as the chromogen. Tissues were counterstained with hematoxylin and mounted with DPX.
quantity: 100μl
price: 385.00 USD
to the supplier
Histone H4
HUABIO
catalog: ET1612-43
domestic rabbit monoclonal (SD209-04)
reactivity:
human
,
mouse
,
rat
application:
western blot
,
chromatin immunoprecipitation
,
immunohistochemistry - paraffin section
Western blot analysis of Histone H4 on different lysates with Rabbit anti-Histone H4 antibody (ET1612-43) at 1/2,000 dilution. Lane 1: HeLa cell lysate Lane 2: HepG2 cell lysate Lane 3: Jurkat cell lysate Lane 4: C2C12 cell lysate Lane 5: NIH/3T3 cell lysate Lane 6: C6 cell lysate Lane 7: PC-12 cell lysate Lysates/proteins at 20 µg/Lane. Predicted band size: 11 kDa Observed band size: 11 kDa Exposure time: 58 seconds; 4-20% SDS-PAGE gel. Proteins were transferred to a PVDF membrane and blocked with 5% NFDM/TBST for 1 hour at room temperature. The primary antibody (ET1612-43) at 1/2,000 dilution was used in 5% NFDM/TBST at 4℃ overnight. Goat Anti-Rabbit IgG - HRP Secondary Antibody (HA1001) at 1/50,000 dilution was used for 1 hour at room temperature.
Immunohistochemical analysis of paraffin-embedded human kidney tissue with Rabbit anti-Histone H4 antibody (ET1612-43) at 1/20,000 dilution. The section was pre-treated using heat mediated antigen retrieval with sodium citrate buffer (pH 6.0) (high pressure) for 2 minutes. The tissues were blocked in 1% BSA for 20 minutes at room temperature, washed with ddH2O and PBS, and then probed with the primary antibody (ET1612-43) at 1/20,000 dilution for 1 hour at room temperature. The detection was performed using an HRP conjugated compact polymer system. DAB was used as the chromogen. Tissues were counterstained with hematoxylin and mounted with DPX.
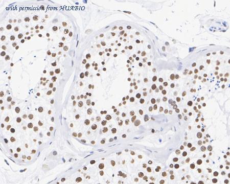
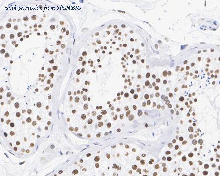
Immunohistochemical analysis of paraffin-embedded human testis tissue with Rabbit anti-Histone H4 antibody (ET1612-43) at 1/20,000 dilution. The section was pre-treated using heat mediated antigen retrieval with sodium citrate buffer (pH 6.0) (high pressure) for 2 minutes. The tissues were blocked in 1% BSA for 20 minutes at room temperature, washed with ddH2O and PBS, and then probed with the primary antibody (ET1612-43) at 1/20,000 dilution for 1 hour at room temperature. The detection was performed using an HRP conjugated compact polymer system. DAB was used as the chromogen. Tissues were counterstained with hematoxylin and mounted with DPX.
quantity: 100μl
price: 385.00 USD
to the supplier
Histone H4 (acetyl K16)
HUABIO
catalog: ET7107-89
domestic rabbit monoclonal (JB21-44)
reactivity:
human
,
mouse
,
rat
application:
western blot
,
flow cytometry
,
chromatin immunoprecipitation
,
immunohistochemistry - paraffin section
Western blot analysis of Histone H4 (acetyl K16) on different lysates with Rabbit anti-Histone H4 (acetyl K16) antibody (ET7107-89) at 1/1,000 dilution. Lane 1: HeLa cell lysate Lane 2: HeLa treated with 1μM TSA for 18 hours cell lysate Lane 3: C6 cell lysate Lane 4: C6 treated with 1μM TSA for 18 hours cell lysate Lane 5: NIH/3T3 cell lysate Lane 6: NIH/3T3 treated with 400nM TSA for 18 hours cell lysate Lysates/proteins at 10 µg/Lane. Predicted band size: 11 kDa Observed band size: 11 kDa Exposure time: 3 minutes; ECL: K1801; 4-20% SDS-PAGE gel. Proteins were transferred to a PVDF membrane and blocked with 5% NFDM/TBST for 1 hour at room temperature. The primary antibody (ET7107-89) at 1/1,000 dilution was used in 5% NFDM/TBST at 4℃ overnight. Goat Anti-Rabbit IgG - HRP Secondary Antibody (HA1001) at 1/50,000 dilution was used for 1 hour at room temperature.
Immunocytochemistry analysis of HeLa cells labeling Histone H4 (acetyl K16) with Rabbit anti-Histone H4 (acetyl K16) antibody (ET7107-89) at 1/100 dilution. Cells were fixed in 4% paraformaldehyde for 15 minutes at room temperature, permeabilized with 0.1% Triton X-100 in PBS for 15 minutes at room temperature, then blocked with 1% BSA in 10% negative goat serum for 1 hour at room temperature. Cells were then incubated with Rabbit anti-Histone H4 (acetyl K16) antibody (ET7107-89) at 1/100 dilution in 1% BSA in PBST overnight at 4 ℃. Goat Anti-Rabbit IgG H&L (iFluor™ 488, HA1121) was used as the secondary antibody at 1/1,000 dilution. PBS instead of the primary antibody was used as the secondary antibody only control. Nuclear DNA was labelled in blue with DAPI. Beta tubulin (HA601187, red) was stained at 1/100 dilution overnight at +4℃. Goat Anti-Mouse IgG H&L (iFluor™ 594, HA1126) was used as the secondary antibody at 1/1,000 dilution.
Immunohistochemical analysis of paraffin-embedded human colon tissue with Rabbit anti-Histone H4 (acetyl K16) antibody (ET7107-89) at 1/200 dilution. The section was pre-treated using heat mediated antigen retrieval with sodium citrate buffer (pH 6.0) (high pressure) for 2 minutes. The tissues were blocked in 1% BSA for 20 minutes at room temperature, washed with ddH2O and PBS, and then probed with the primary antibody (ET7107-89) at 1/200 dilution for 1 hour at room temperature. The detection was performed using an HRP conjugated compact polymer system. DAB was used as the chromogen. Tissues were counterstained with hematoxylin and mounted with DPX.
quantity: 100μl
price: 385.00 USD
to the supplier
Histone H4 (acetyl K8)
HUABIO
catalog: HA721249
domestic rabbit monoclonal (PS01-25)
reactivity:
human
,
mouse
,
rat
application:
western blot
,
chromatin immunoprecipitation
,
immunohistochemistry - paraffin section
Western blot analysis of Histone H4 (acetyl K8) on different lysates with Rabbit anti-Histone H4 (acetyl K8) antibody (HA721249) at 1/500 dilution. Lane 1: Hela cell lysate, 10 µg/Lane Lane 2: NIH/3T3 cell lysate, 10 µg/Lane Lane 3: PC-12 cell lysate, 10 µg/Lane Predicted band size: 11 kDa Observed band size: 14/16 kDa Exposure time: 2 minutes; 15% SDS-PAGE gel. Proteins were transferred to a PVDF membrane and blocked with 5% NFDM/TBST for 1 hour at room temperature. The primary antibody (HA721249) at 1/500 dilution was used in 5% NFDM/TBST at room temperature for 2 hours. Goat Anti-Rabbit IgG - HRP Secondary Antibody (HA1001) at 1:300,000 dilution was used for 1 hour at room temperature.
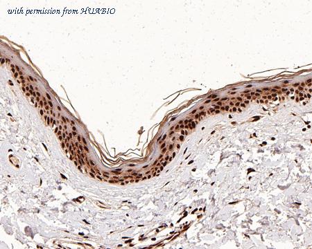
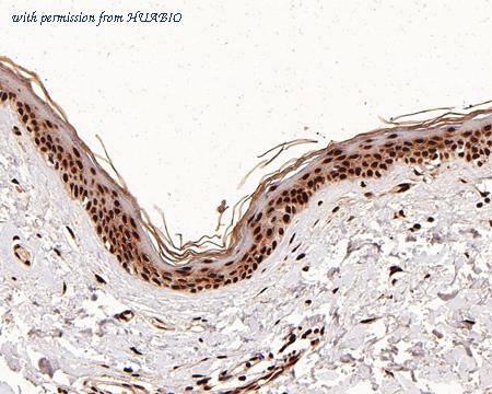
Immunohistochemical analysis of paraffin-embedded human skin tissue with Rabbit anti-Histone H4 (acetyl K8) antibody (HA721249) at 1/1,000 dilution. The section was pre-treated using heat mediated antigen retrieval with sodium citrate buffer (pH 6.0) (high pressure) for 2 minutes. The tissues were blocked in 1% BSA for 20 minutes at room temperature, washed with ddH2O and PBS, and then probed with the primary antibody (HA721249) at 1/1,000 dilution for 1 hour at room temperature. The detection was performed using an HRP conjugated compact polymer system. DAB was used as the chromogen. Tissues were counterstained with hematoxylin and mounted with DPX.
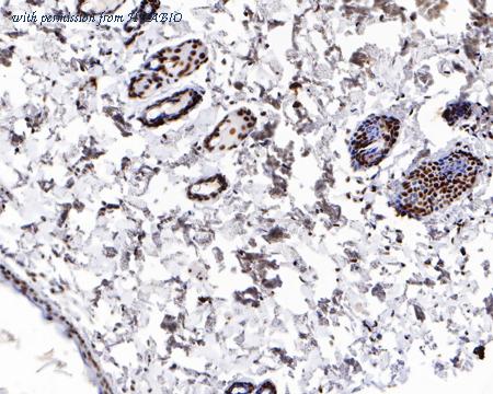
Immunohistochemical analysis of paraffin-embedded rat skin tissue with Rabbit anti-Histone H4 (acetyl K8) antibody (HA721249) at 1/5,000 dilution. The section was pre-treated using heat mediated antigen retrieval with sodium citrate buffer (pH 6.0) (high pressure) for 2 minutes. The tissues were blocked in 1% BSA for 20 minutes at room temperature, washed with ddH2O and PBS, and then probed with the primary antibody (HA721249) at 1/5,000 dilution for 1 hour at room temperature. The detection was performed using an HRP conjugated compact polymer system. DAB was used as the chromogen. Tissues were counterstained with hematoxylin and mounted with DPX.
quantity: 100μl
price: 385.00 USD
to the supplier
Histone H4 (acetyl K5)
HUABIO
catalog: HA750050
domestic rabbit monoclonal (SR31-07)
reactivity:
human
,
mouse
,
rat
application:
western blot
,
immunoprecipitation
,
chromatin immunoprecipitation
,
immunohistochemistry - paraffin section
Western blot analysis of Histone H4 (acetyl K5) on different lysates with Rabbit anti-Histone H4 (acetyl K5) antibody (HA750050) at 1/1,000 dilution. Lane 1: HeLa cell lysate Lane 2: NIH/3T3 cell lysate Lane 3: NIH/3T3 treated with 400nM TSA for 18 hours cell lysate Lane 4: C6 cell lysate Lane 5: C6 treated with 1μM TSA for 18 hours cell lysate Lysates/proteins at 10 µg/Lane. Predicted band size: 11 kDa Observed band size: 11 kDa Exposure time: 8 seconds; ECL: K1801; 4-20% SDS-PAGE gel. Proteins were transferred to a PVDF membrane and blocked with 5% NFDM/TBST for 1 hour at room temperature. The primary antibody (HA750050) at 1/1,000 dilution was used in 5% NFDM/TBST at 4℃ overnight. Goat Anti-Rabbit IgG - HRP Secondary Antibody (HA1001) at 1/50,000 dilution was used for 1 hour at room temperature.
Immunocytochemistry analysis of HeLa cells labeling Histone H4 (acetyl K5) with Rabbit anti-Histone H4 (acetyl K5) antibody (HA750050) at 1/500 dilution. Cells were fixed in 4% paraformaldehyde for 15 minutes at room temperature, permeabilized with 0.1% Triton X-100 in PBS for 15 minutes at room temperature, then blocked with 1% BSA in 10% negative goat serum for 1 hour at room temperature. Cells were then incubated with Rabbit anti-Histone H4 (acetyl K5) antibody (HA750050) at 1/500 dilution in 1% BSA in PBST overnight at 4 ℃. Goat Anti-Rabbit IgG H&L (iFluor™ 488, HA1121) was used as the secondary antibody at 1/1,000 dilution. PBS instead of the primary antibody was used as the secondary antibody only control. Nuclear DNA was labelled in blue with DAPI. Beta tubulin (HA601187, red) was stained at 1/100 dilution overnight at +4℃. Goat Anti-Mouse IgG H&L (iFluor™ 594, HA1126) was used as the secondary antibody at 1/1,000 dilution.
Immunocytochemistry analysis of NIH/3T3 cells labeling Histone H4 (acetyl K5) with Rabbit anti-Histone H4 (acetyl K5) antibody (HA750050) at 1/500 dilution. Cells were fixed in 4% paraformaldehyde for 15 minutes at room temperature, permeabilized with 0.1% Triton X-100 in PBS for 15 minutes at room temperature, then blocked with 1% BSA in 10% negative goat serum for 1 hour at room temperature. Cells were then incubated with Rabbit anti-Histone H4 (acetyl K5) antibody (HA750050) at 1/500 dilution in 1% BSA in PBST overnight at 4 ℃. Goat Anti-Rabbit IgG H&L (iFluor™ 488, HA1121) was used as the secondary antibody at 1/1,000 dilution. PBS instead of the primary antibody was used as the secondary antibody only control. Nuclear DNA was labelled in blue with DAPI. Beta tubulin (HA601187, red) was stained at 1/100 dilution overnight at +4℃. Goat Anti-Mouse IgG H&L (iFluor™ 594, HA1126) was used as the secondary antibody at 1/1,000 dilution.
quantity: 100μl
price: 649.00 USD
to the supplier
Histone H4
HUABIO
catalog: HA750294
domestic rabbit monoclonal (SD209-04)
reactivity:
human
,
mouse
,
rat
application:
western blot
,
chromatin immunoprecipitation
,
immunohistochemistry - paraffin section
Western blot analysis of Histone H4 on different lysates with Rabbit anti-Histone H4 antibody (HA750294) at 1/2,000 dilution. Lane 1: HeLa cell lysate Lane 2: HepG2 cell lysate Lane 3: Jurkat cell lysate Lane 4: C2C12 cell lysate Lane 5: NIH/3T3 cell lysate Lane 6: C6 cell lysate Lane 7: PC-12 cell lysate Lysates/proteins at 20 µg/Lane. Predicted band size: 11 kDa Observed band size: 11 kDa Exposure time: 58 seconds; 4-20% SDS-PAGE gel. Proteins were transferred to a PVDF membrane and blocked with 5% NFDM/TBST for 1 hour at room temperature. The primary antibody (HA750294) at 1/2,000 dilution was used in 5% NFDM/TBST at 4℃ overnight. Goat Anti-Rabbit IgG - HRP Secondary Antibody (HA1001) at 1/50,000 dilution was used for 1 hour at room temperature.
Immunohistochemical analysis of paraffin-embedded human kidney tissue with Rabbit anti-Histone H4 antibody (HA750294) at 1/20,000 dilution. The section was pre-treated using heat mediated antigen retrieval with sodium citrate buffer (pH 6.0) (high pressure) for 2 minutes. The tissues were blocked in 1% BSA for 20 minutes at room temperature, washed with ddH2O and PBS, and then probed with the primary antibody (HA750294) at 1/20,000 dilution for 1 hour at room temperature. The detection was performed using an HRP conjugated compact polymer system. DAB was used as the chromogen. Tissues were counterstained with hematoxylin and mounted with DPX.
Immunohistochemical analysis of paraffin-embedded human testis tissue with Rabbit anti-Histone H4 antibody (HA750294) at 1/20,000 dilution. The section was pre-treated using heat mediated antigen retrieval with sodium citrate buffer (pH 6.0) (high pressure) for 2 minutes. The tissues were blocked in 1% BSA for 20 minutes at room temperature, washed with ddH2O and PBS, and then probed with the primary antibody (HA750294) at 1/20,000 dilution for 1 hour at room temperature. The detection was performed using an HRP conjugated compact polymer system. DAB was used as the chromogen. Tissues were counterstained with hematoxylin and mounted with DPX.
quantity: 100μl
price: 649.00 USD
to the supplier
Histone H4 (acetyl K16)
HUABIO
catalog: HA750464
domestic rabbit monoclonal (JB21-44)
reactivity:
human
,
mouse
,
rat
application:
western blot
,
flow cytometry
,
chromatin immunoprecipitation
,
immunohistochemistry - paraffin section
Western blot analysis of Histone H4 (acetyl K16) on different lysates with Rabbit anti-Histone H4 (acetyl K16) antibody (HA750464) at 1/1,000 dilution. Lane 1: HeLa cell lysate Lane 2: HeLa treated with 1μM TSA for 18 hours cell lysate Lane 3: C6 cell lysate Lane 4: C6 treated with 1μM TSA for 18 hours cell lysate Lane 5: NIH/3T3 cell lysate Lane 6: NIH/3T3 treated with 400nM TSA for 18 hours cell lysate Lysates/proteins at 10 µg/Lane. Predicted band size: 11 kDa Observed band size: 11 kDa Exposure time: 3 minutes; ECL: K1801; 4-20% SDS-PAGE gel. Proteins were transferred to a PVDF membrane and blocked with 5% NFDM/TBST for 1 hour at room temperature. The primary antibody (HA750464) at 1/1,000 dilution was used in 5% NFDM/TBST at 4℃ overnight. Goat Anti-Rabbit IgG - HRP Secondary Antibody (HA1001) at 1/50,000 dilution was used for 1 hour at room temperature.
Immunocytochemistry analysis of HeLa cells labeling Histone H4 (acetyl K16) with Rabbit anti-Histone H4 (acetyl K16) antibody (HA750464) at 1/100 dilution. Cells were fixed in 4% paraformaldehyde for 15 minutes at room temperature, permeabilized with 0.1% Triton X-100 in PBS for 15 minutes at room temperature, then blocked with 1% BSA in 10% negative goat serum for 1 hour at room temperature. Cells were then incubated with Rabbit anti-Histone H4 (acetyl K16) antibody (HA750464) at 1/100 dilution in 1% BSA in PBST overnight at 4 ℃. Goat Anti-Rabbit IgG H&L (iFluor™ 488, HA1121) was used as the secondary antibody at 1/1,000 dilution. PBS instead of the primary antibody was used as the secondary antibody only control. Nuclear DNA was labelled in blue with DAPI. Beta tubulin (HA601187, red) was stained at 1/100 dilution overnight at +4℃. Goat Anti-Mouse IgG H&L (iFluor™ 594, HA1126) was used as the secondary antibody at 1/1,000 dilution.
Immunohistochemical analysis of paraffin-embedded human colon tissue with Rabbit anti-Histone H4 (acetyl K16) antibody (HA750464) at 1/200 dilution. The section was pre-treated using heat mediated antigen retrieval with sodium citrate buffer (pH 6.0) (high pressure) for 2 minutes. The tissues were blocked in 1% BSA for 20 minutes at room temperature, washed with ddH2O and PBS, and then probed with the primary antibody (HA750464) at 1/200 dilution for 1 hour at room temperature. The detection was performed using an HRP conjugated compact polymer system. DAB was used as the chromogen. Tissues were counterstained with hematoxylin and mounted with DPX.
quantity: 100μl
price: 649.00 USD
to the supplier
Histone H4 (acetyl K8)
HUABIO
catalog: HA750568
domestic rabbit monoclonal (PS01-25)
reactivity:
human
,
mouse
,
rat
application:
western blot
,
chromatin immunoprecipitation
,
immunohistochemistry - paraffin section
Western blot analysis of Histone H4 (acetyl K8) on different lysates with Rabbit anti-Histone H4 (acetyl K8) antibody (HA750568) at 1/500 dilution. Lane 1: Hela cell lysate, 10 µg/Lane Lane 2: NIH/3T3 cell lysate, 10 µg/Lane Lane 3: PC-12 cell lysate, 10 µg/Lane Predicted band size: 11 kDa Observed band size: 14/16 kDa Exposure time: 2 minutes; 15% SDS-PAGE gel. Proteins were transferred to a PVDF membrane and blocked with 5% NFDM/TBST for 1 hour at room temperature. The primary antibody (HA750568) at 1/500 dilution was used in 5% NFDM/TBST at room temperature for 2 hours. Goat Anti-Rabbit IgG - HRP Secondary Antibody (HA1001) at 1:300,000 dilution was used for 1 hour at room temperature.
Immunohistochemical analysis of paraffin-embedded human skin tissue with Rabbit anti-Histone H4 (acetyl K8) antibody (HA750568) at 1/1,000 dilution. The section was pre-treated using heat mediated antigen retrieval with sodium citrate buffer (pH 6.0) (high pressure) for 2 minutes. The tissues were blocked in 1% BSA for 20 minutes at room temperature, washed with ddH2O and PBS, and then probed with the primary antibody (HA750568) at 1/1,000 dilution for 1 hour at room temperature. The detection was performed using an HRP conjugated compact polymer system. DAB was used as the chromogen. Tissues were counterstained with hematoxylin and mounted with DPX.
Immunohistochemical analysis of paraffin-embedded rat skin tissue with Rabbit anti-Histone H4 (acetyl K8) antibody (HA750568) at 1/5,000 dilution. The section was pre-treated using heat mediated antigen retrieval with sodium citrate buffer (pH 6.0) (high pressure) for 2 minutes. The tissues were blocked in 1% BSA for 20 minutes at room temperature, washed with ddH2O and PBS, and then probed with the primary antibody (HA750568) at 1/5,000 dilution for 1 hour at room temperature. The detection was performed using an HRP conjugated compact polymer system. DAB was used as the chromogen. Tissues were counterstained with hematoxylin and mounted with DPX.
quantity: 100μl
price: 649.00 USD
to the supplier