Sign in
Sign up
home
>
HUABIO
> HUABIO caspase-1 antibody
Caspase-1
HUABIO
catalog: ET1608-69-50UL
domestic rabbit monoclonal (SU40-07)
reactivity:
human
,
mouse
,
rat
application:
western blot
,
flow cytometry
Western blot analysis of Caspase-1 on different lysates with Rabbit anti-Caspase-1 antibody (ET1608-69) at 1/100,000 dilution. Lane 1: THP-1 cell lysate Lane 2: HCT 116 cell lysate Lane 3: HL-60 cell lysate Lane 4: RAW264.7 cell lysate Lane 5: Mouse spleen lysate Lane 6: Rat spleen lysate Lysates/proteins at 10 µg/Lane. Predicted band size: 45 kDa Observed band size: 45 kDa Exposure time: 3 minutes; 4-20% SDS-PAGE gel. Proteins were transferred to a PVDF membrane and blocked with 5% NFDM/TBST for 1 hour at room temperature. The primary antibody (ET1608-69) at 1/100,000 dilution was used in 5% NFDM/TBST at 4℃ overnight. Goat Anti-Rabbit IgG - HRP Secondary Antibody (HA1001) at 1/50,000 dilution was used for 1 hour at room temperature.
Western blot analysis of Caspase-1 on U937 cell lysates with Rabbit anti-Caspase-1 antibody (ET1608-69) at 1/50,000 dilution. Lysates/proteins at 10 µg/Lane. Predicted band size: 45 kDa Observed band size: 45 kDa Exposure time: 1 minute; 10% SDS-PAGE gel. Proteins were transferred to a PVDF membrane and blocked with 5% NFDM/TBST for 1 hour at room temperature. The primary antibody (ET1608-69) at 1/50,000 dilution was used in 5% NFDM/TBST at room temperature for 2 hours. Goat Anti-Rabbit IgG - HRP Secondary Antibody (HA1001) at 1/100,000 dilution was used for 1 hour at room temperature.
Immunocytochemistry analysis of HL-60 cells labeling Caspase-1 with Rabbit anti-Caspase-1 antibody (ET1608-69) at 1/100 dilution. Cells were fixed in 80% precooled methanol for 5 minutes at room temperature, then blocked with 1% BSA in 10% negative goat serum for 1 hour at room temperature. Cells were then incubated with Rabbit anti-Caspase-1 antibody (ET1608-69) at 1/100 dilution in 1% BSA in PBST overnight at 4 ℃. Goat Anti-Rabbit IgG H&L (iFluor™ 488, HA1121) was used as the secondary antibody at 1/1,000 dilution. PBS instead of the primary antibody was used as the secondary antibody only control. Nuclear DNA was labelled in blue with DAPI. Beta tubulin (M1305-2, red) was stained at 1/100 dilution overnight at +4℃. Goat Anti-Mouse IgG H&L (iFluor™ 594, HA1126) was used as the secondary antibody at 1/1,000 dilution.
quantity: 50μl
price: 205.00 USD
to the supplier
Caspase-1 + p10 + p12
HUABIO
catalog: HA722222
domestic rabbit monoclonal (JE56-35)
reactivity:
human
,
mouse
,
rat
application:
western blot
,
immunohistochemistry - paraffin section
Western blot analysis of Caspase-1 + p10 + p12 on different lysates with Rabbit anti-Caspase-1 + p10 + p12 antibody (HA722222) at 1/5,000 dilution. Lane 1: Raji cell lysate Lane 2: THP-1 cell lysate Lane 3: U-937 cell lysate Lane 4: A549 cell lysate (low expression) Lane 5: RAW264.7 cell lysate Lane 6: Mouse spleen tissue lysate Lysates/proteins at 20 µg/Lane. Predicted band size: 45 kDa Observed band size: 45/42/35/12/10 kDa Exposure time: 10 seconds; ECL: K1801; 4-20% SDS-PAGE gel. Proteins were transferred to a PVDF membrane and blocked with 5% NFDM/TBST for 1 hour at room temperature. The primary antibody (HA722222) at 1/5,000 dilution was used in primary antibody dilution (K1803) at 4℃ overnight. Goat Anti-Rabbit IgG - HRP Secondary Antibody (HA1001) at 1/50,000 dilution was used for 1 hour at room temperature.
Western blot analysis of Caspase-1 + p10 + p12 on rat spleen tissue lysates with Rabbit anti-Caspase-1 + p10 + p12 antibody (HA722222) at 1/5,000 dilution. Lysates/proteins at 10 µg/Lane. Predicted band size: 45 kDa Observed band size: 45/12/10 kDa Exposure time: 3 minute 30 seconds; ECL: K1801; 4-20% SDS-PAGE gel. Proteins were transferred to a PVDF membrane and blocked with 5% NFDM/TBST for 1 hour at room temperature. The primary antibody (HA722222) at 1/5,000 dilution was used in 5% BSA at 4℃ overnight. Goat Anti-Rabbit IgG - HRP Secondary Antibody (HA1001) at 1/50,000 dilution was used for 1 hour at room temperature.
Immunocytochemistry analysis of THP-1 cells labeling Caspase-1 + p10 + p12 with Rabbit anti-Caspase-1 + p10 + p12 antibody (HA722222) at 1/100 dilution. Cells were fixed in 4% paraformaldehyde for 20 minutes at room temperature, permeabilized with 0.1% Triton X-100 in PBS for 5 minutes at room temperature, then blocked with 1% BSA in 10% negative goat serum for 1 hour at room temperature. Cells were then incubated with Rabbit anti-Caspase-1 + p10 + p12 antibody (HA722222) at 1/100 dilution in 1% BSA in PBST overnight at 4 ℃. Goat Anti-Rabbit IgG H&L (iFluor™ 488, HA1121) was used as the secondary antibody at 1/1,000 dilution. PBS instead of the primary antibody was used as the secondary antibody only control. Nuclear DNA was labelled in blue with DAPI. Beta tubulin (M1305-2, red) was stained at 1/100 dilution overnight at +4℃. Goat Anti-Mouse IgG H&L (iFluor™ 594, HA1126) was used as the secondary antibody at 1/1,000 dilution.
quantity: 100μl
price: 385.00 USD
to the supplier
Caspase-1
HUABIO
catalog: HA750161
domestic rabbit monoclonal (SU40-07)
reactivity:
human
,
mouse
,
rat
application:
western blot
,
flow cytometry
Western blot analysis of Caspase-1 on different lysates with Rabbit anti-Caspase-1 antibody (HA750161) at 1/100,000 dilution. Lane 1: THP-1 cell lysate Lane 2: HCT 116 cell lysate Lane 3: HL-60 cell lysate Lane 4: RAW264.7 cell lysate Lane 5: Mouse spleen lysate Lane 6: Rat spleen lysate Lysates/proteins at 10 µg/Lane. Predicted band size: 45 kDa Observed band size: 45 kDa Exposure time: 3 minutes; 4-20% SDS-PAGE gel. Proteins were transferred to a PVDF membrane and blocked with 5% NFDM/TBST for 1 hour at room temperature. The primary antibody (HA750161) at 1/100,000 dilution was used in 5% NFDM/TBST at 4℃ overnight. Goat Anti-Rabbit IgG - HRP Secondary Antibody (HA1001) at 1/50,000 dilution was used for 1 hour at room temperature.
Western blot analysis of Caspase-1 on U937 cell lysates with Rabbit anti-Caspase-1 antibody (HA750161) at 1/50,000 dilution. Lysates/proteins at 10 µg/Lane. Predicted band size: 45 kDa Observed band size: 45 kDa Exposure time: 1 minute; 10% SDS-PAGE gel. Proteins were transferred to a PVDF membrane and blocked with 5% NFDM/TBST for 1 hour at room temperature. The primary antibody (HA750161) at 1/50,000 dilution was used in 5% NFDM/TBST at room temperature for 2 hours. Goat Anti-Rabbit IgG - HRP Secondary Antibody (HA1001) at 1/100,000 dilution was used for 1 hour at room temperature.
Immunocytochemistry analysis of HL-60 cells labeling Caspase-1 with Rabbit anti-Caspase-1 antibody (HA750161) at 1/100 dilution. Cells were fixed in 80% precooled methanol for 5 minutes at room temperature, then blocked with 1% BSA in 10% negative goat serum for 1 hour at room temperature. Cells were then incubated with Rabbit anti-Caspase-1 antibody (HA750161) at 1/100 dilution in 1% BSA in PBST overnight at 4 ℃. Goat Anti-Rabbit IgG H&L (iFluor™ 488, HA1121) was used as the secondary antibody at 1/1,000 dilution. PBS instead of the primary antibody was used as the secondary antibody only control. Nuclear DNA was labelled in blue with DAPI. Beta tubulin (M1305-2, red) was stained at 1/100 dilution overnight at +4℃. Goat Anti-Mouse IgG H&L (iFluor™ 594, HA1126) was used as the secondary antibody at 1/1,000 dilution.
quantity: 100μl
price: 649.00 USD
to the supplier
Caspase-1
HUABIO
catalog: R1510-22
domestic rabbit polyclonal
reactivity:
human
application:
flow cytometry
,
immunohistochemistry - paraffin section
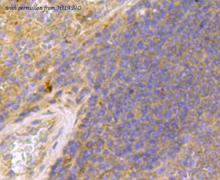
Immunohistochemical analysis of paraffin-embedded human spleen tissue using anti-Caspase-1 antibody. Counter stained with hematoxylin.
Immunohistochemical analysis of paraffin-embedded human lung tissue using anti-Caspase-1 antibody. Counter stained with hematoxylin.
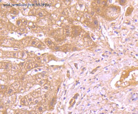
Immunohistochemical analysis of paraffin-embedded human liver cancer tissue using anti-Caspase-1 antibody. Counter stained with hematoxylin.
quantity: 100μl
price: 330 USD
to the supplier
Caspase-1
HUABIO
catalog: R1510-23
domestic rabbit polyclonal
reactivity:
human
application:
flow cytometry
,
immunohistochemistry - paraffin section
Immunocytochemistry analysis of Jurkat cells labeling Caspase-1 with Rabbit anti-Caspase-1 antibody (R1510-23) at 1/100 dilution. Cells were fixed in 4% paraformaldehyde for 15 minutes at room temperature, permeabilized with 0.1% Triton X-100 in PBS for 15 minutes at room temperature, then blocked with 1% BSA in 10% negative goat serum for 1 hour at room temperature. Cells were then incubated with Rabbit anti-Caspase-1 antibody (R1510-23) at 1/100 dilution in 1% BSA in PBST overnight at 4 ℃. Goat Anti-Rabbit IgG H&L (iFluor™ 488, HA1121) was used as the secondary antibody at 1/1,000 dilution. PBS instead of the primary antibody was used as the secondary antibody only control. Nuclear DNA was labelled in blue with DAPI. Beta tubulin (HA601187, red) was stained at 1/100 dilution overnight at +4℃. Goat Anti-Mouse IgG H&L (iFluor™ 594, HA1126) was used as the secondary antibody at 1/1,000 dilution.
Immunohistochemical analysis of paraffin-embedded human lung tissue using anti- Caspase-1 antibody. Counter stained with hematoxylin.
Immunohistochemical analysis of paraffin-embedded human liver tissue using anti- Caspase-1 antibody. Counter stained with hematoxylin.
quantity: 100μl
price: 330 USD
to the supplier
Anti-Caspase-1 Antibody [SU40-07]
HUABIO
catalog: ET1608-69TR
domestic rabbit monoclonal (SU40-07)
reactivity:
human
,
mouse
,
rat
application:
western blot
,
flow cytometry
quantity: 20 uL
price: 99 USD
to the supplier