domestic rabbit monoclonal (SR4-15)
reactivity: human, mouse, rat
application: western blot, chromatin immunoprecipitation, immunohistochemistry - paraffin section
reactivity: human, mouse, rat
application: western blot, chromatin immunoprecipitation, immunohistochemistry - paraffin section

Western blot analysis of Histone H2A(acetyl K9) on different cell lysates using anti-Histone H2A(acetyl K9) antibody at 1/500 dilution. Positive control: Lane 1: HeLa treated with 500 ng/ml Trichostatin A for 4 hours whole cell lysates Lane 2: Untreated HeLa whole cell lysates

Immunohistochemical analysis of paraffin-embedded human tonsil tissue with Rabbit anti-Histone H2A (acetyl K9) antibody (ET1602-34) at 1/1,000 dilution. The section was pre-treated using heat mediated antigen retrieval with sodium citrate buffer (pH 6.0) (high pressure) for 2 minutes. The tissues were blocked in 1% BSA for 20 minutes at room temperature, washed with ddH2O and PBS, and then probed with the primary antibody (ET1602-34) at 1/1,000 dilution for 1 hour at room temperature. The detection was performed using an HRP conjugated compact polymer system. DAB was used as the chromogen. Tissues were counterstained with hematoxylin and mounted with DPX.

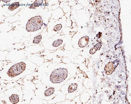
Immunohistochemical analysis of paraffin-embedded human colon tissue with Rabbit anti-Histone H2A (acetyl K9) antibody (ET1602-34) at 1/1,000 dilution. The section was pre-treated using heat mediated antigen retrieval with sodium citrate buffer (pH 6.0) (high pressure) for 2 minutes. The tissues were blocked in 1% BSA for 20 minutes at room temperature, washed with ddH2O and PBS, and then probed with the primary antibody (ET1602-34) at 1/1,000 dilution for 1 hour at room temperature. The detection was performed using an HRP conjugated compact polymer system. DAB was used as the chromogen. Tissues were counterstained with hematoxylin and mounted with DPX.
quantity: 100μl
price: 385.00 USD
to the supplier
domestic rabbit monoclonal (SR4-17)
reactivity: human, mouse, rat, Tetrahymena thermophila SB210
application: western blot, immunohistochemistry - paraffin section
reactivity: human, mouse, rat, Tetrahymena thermophila SB210
application: western blot, immunohistochemistry - paraffin section

Western blot analysis of Histone H2A (hydroxyl Y39) on different lysates with Rabbit anti-Histone H2A (hydroxyl Y39) antibody (ET1602-35) at 1/5,000 dilution. Lane 1: HeLa cell lysate (20 µg/Lane) Lane 2: A549 cell lysate (20 µg/Lane) Lane 3: Mouse thymus tissue lysate (20 µg/Lane) Lane 4: Rat thymus tissue lysate (20 µg/Lane) Predicted band size: 14 kDa Observed band size: 15 kDa Exposure time: 3 minutes; ECL: K1801; 4-20% SDS-PAGE gel. Proteins were transferred to a PVDF membrane and blocked with 5% NFDM/TBST for 1 hour at room temperature. The primary antibody (ET1602-35) at 1/5,000 dilution was used in primary antibody dilution (K1803) at 4℃ overnight. Goat Anti-Rabbit IgG - HRP Secondary Antibody (HA1001) at 1/50,000 dilution was used for 1 hour at room temperature.

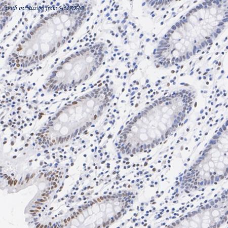
Immunohistochemical analysis of paraffin-embedded human colon tissue with Rabbit anti-Histone H2A (hydroxyl Y39) antibody (ET1602-35) at 1/4,000 dilution. The section was pre-treated using heat mediated antigen retrieval with Tris-EDTA buffer (pH 9.0) for 20 minutes. The tissues were blocked in 1% BSA for 20 minutes at room temperature, washed with ddH2O and PBS, and then probed with the primary antibody (ET1602-35) at 1/4,000 dilution for 1 hour at room temperature. The detection was performed using an HRP conjugated compact polymer system. DAB was used as the chromogen. Tissues were counterstained with hematoxylin and mounted with DPX.

Immunohistochemical analysis of paraffin-embedded mouse colon tissue with Rabbit anti-Histone H2A (hydroxyl Y39) antibody (ET1602-35) at 1/4,000 dilution. The section was pre-treated using heat mediated antigen retrieval with Tris-EDTA buffer (pH 9.0) for 20 minutes. The tissues were blocked in 1% BSA for 20 minutes at room temperature, washed with ddH2O and PBS, and then probed with the primary antibody (ET1602-35) at 1/4,000 dilution for 1 hour at room temperature. The detection was performed using an HRP conjugated compact polymer system. DAB was used as the chromogen. Tissues were counterstained with hematoxylin and mounted with DPX.
quantity: 100μl
price: 385.00 USD
to the supplier
domestic rabbit monoclonal (PS01-45)
reactivity: human, mouse, rat
application: western blot, chromatin immunoprecipitation, immunohistochemistry - paraffin section
reactivity: human, mouse, rat
application: western blot, chromatin immunoprecipitation, immunohistochemistry - paraffin section

Western blot analysis of Histone H2A (acetyl K9) on different lysates with Rabbit anti-Histone H2A (acetyl K9) antibody (HA721284) at 1/1,000 dilution. Lane 1: HeLa whole cell lysate (20 µg/Lane) Lane 2: HeLa treated with 500 ng/mL TSA for 4 hours whole cell lysate (20 µg/Lane) Predicted band size: 14 kDa Observed band size: 14 kDa Exposure time: 3 minutes; 15% SDS-PAGE gel. Proteins were transferred to a PVDF membrane and blocked with 5% NFDM/TBST for 1 hour at room temperature. The primary antibody (HA721284) at 1/1,000 dilution was used in 5% NFDM/TBST at room temperature for 2 hours. Goat Anti-Rabbit IgG - HRP Secondary Antibody (HA1001) at 1/300,000 dilution was used for 1 hour at room temperature.

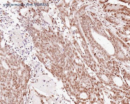
Immunohistochemical analysis of paraffin-embedded human colon carcinoma tissue with Rabbit anti-Histone H2A (acetyl K9) antibody (HA721284) at 1/4,000 dilution. The section was pre-treated using heat mediated antigen retrieval with sodium citrate buffer (pH 6.0) (high pressure) for 2 minutes. The tissues were blocked in 1% BSA for 20 minutes at room temperature, washed with ddH2O and PBS, and then probed with the primary antibody (HA721284) at 1/4,000 dilution for 1 hour at room temperature. The detection was performed using an HRP conjugated compact polymer system. DAB was used as the chromogen. Tissues were counterstained with hematoxylin and mounted with DPX.

Immunohistochemical analysis of paraffin-embedded mouse skin tissue with Rabbit anti-Histone H2A (acetyl K9) antibody (HA721284) at 1/4,000 dilution. The section was pre-treated using heat mediated antigen retrieval with sodium citrate buffer (pH 6.0) (high pressure) for 2 minutes. The tissues were blocked in 1% BSA for 20 minutes at room temperature, washed with ddH2O and PBS, and then probed with the primary antibody (HA721284) at 1/4,000 dilution for 1 hour at room temperature. The detection was performed using an HRP conjugated compact polymer system. DAB was used as the chromogen. Tissues were counterstained with hematoxylin and mounted with DPX.
quantity: 100μl
price: 385.00 USD
to the supplier
domestic rabbit monoclonal (PS01-45)
reactivity: human, mouse, rat
application: western blot, chromatin immunoprecipitation, immunohistochemistry - paraffin section
reactivity: human, mouse, rat
application: western blot, chromatin immunoprecipitation, immunohistochemistry - paraffin section

Western blot analysis of Histone H2A (acetyl K9) on different lysates with Rabbit anti-Histone H2A (acetyl K9) antibody (HA750591) at 1/1,000 dilution. Lane 1: HeLa whole cell lysate (20 µg/Lane) Lane 2: HeLa treated with 500 ng/mL TSA for 4 hours whole cell lysate (20 µg/Lane) Predicted band size: 14 kDa Observed band size: 14 kDa Exposure time: 3 minutes; 15% SDS-PAGE gel. Proteins were transferred to a PVDF membrane and blocked with 5% NFDM/TBST for 1 hour at room temperature. The primary antibody (HA750591) at 1/1,000 dilution was used in 5% NFDM/TBST at room temperature for 2 hours. Goat Anti-Rabbit IgG - HRP Secondary Antibody (HA1001) at 1/300,000 dilution was used for 1 hour at room temperature.

Immunohistochemical analysis of paraffin-embedded human colon carcinoma tissue with Rabbit anti-Histone H2A (acetyl K9) antibody (HA750591) at 1/4,000 dilution. The section was pre-treated using heat mediated antigen retrieval with sodium citrate buffer (pH 6.0) (high pressure) for 2 minutes. The tissues were blocked in 1% BSA for 20 minutes at room temperature, washed with ddH2O and PBS, and then probed with the primary antibody (HA750591) at 1/4,000 dilution for 1 hour at room temperature. The detection was performed using an HRP conjugated compact polymer system. DAB was used as the chromogen. Tissues were counterstained with hematoxylin and mounted with DPX.

Immunohistochemical analysis of paraffin-embedded mouse skin tissue with Rabbit anti-Histone H2A (acetyl K9) antibody (HA750591) at 1/4,000 dilution. The section was pre-treated using heat mediated antigen retrieval with sodium citrate buffer (pH 6.0) (high pressure) for 2 minutes. The tissues were blocked in 1% BSA for 20 minutes at room temperature, washed with ddH2O and PBS, and then probed with the primary antibody (HA750591) at 1/4,000 dilution for 1 hour at room temperature. The detection was performed using an HRP conjugated compact polymer system. DAB was used as the chromogen. Tissues were counterstained with hematoxylin and mounted with DPX.
quantity: 100μl
price: 649.00 USD
to the supplier
