Sign in
Sign up
home
>
HUABIO
> HUABIO Actb antibody
beta Actin
HUABIO
catalog: EM21002
mouse monoclonal (A2-F6)
reactivity:
human
,
mouse
,
rat
application:
western blot
,
flow cytometry
,
immunohistochemistry - paraffin section
Western blot analysis of beta Actin on Hela cell lysates with Mouse anti-beta Actin antibody (EM21002). Hela cell lysates at 10 µg/Lane. Predicted band size: 42 kDa Observed band size: 42 kDa 12% SDS-PAGE gel. Proteins were transferred to a PVDF membrane and blocked with 5% NFDM/TBST for 1 hour at room temperature. The primary antibody (EM21002) at serial dilution was used in 5% NFDM/TBST at room temperature for 2 hours. Goat Anti-Mouse IgG - HRP Secondary Antibody (HA1006) at 1:100,000 dilution was used for 1 hour at room temperature.
Western blot analysis of beta Actin on different lysates with Mouse anti-beta Actin antibody (EM21002) at 1/40,000 dilution. Cell lysates at 10 µg/Lane, tissue lysates at 20 µg/Lane. Predicted band size: 42 kDa Observed band size: 42 kDa Exposure time: 1 minute; 12% SDS-PAGE gel. Proteins were transferred to a PVDF membrane and blocked with 5% NFDM/TBST for 1 hour at room temperature. The primary antibody (EM21002) at 1/40,000 dilution was used in 5% NFDM/TBST at room temperature for 2 hours. Goat Anti-Mouse IgG - HRP Secondary Antibody (HA1006) at 1:100,000 dilution was used for 1 hour at room temperature.
Western blot analysis of beta Actin on different lysates with Mouse anti-beta Actin antibody (EM21002) at 1/40,000 dilution. Lane 1: THP-1 cell lysate Lane 2: HepG2 cell lysate Lane 3: PMVEC cell lysate Lane 4: NIH/3T3 cell lysate Lane 5: L929 cell lysate Lysates/proteins at 10 µg/Lane. Predicted band size: 42 kDa Observed band size: 42 kDa Exposure time: 2 minutes; 12% SDS-PAGE gel. Proteins were transferred to a PVDF membrane and blocked with 5% NFDM/TBST for 1 hour at room temperature. The primary antibody (EM21002) at 1/40,000 dilution was used in 5% NFDM/TBST at room temperature for 2 hours. Goat Anti-Mouse IgG - HRP Secondary Antibody (HA1006) at 1/50,000 dilution was used for 1 hour at room temperature.
quantity: 100μl
price: 360.00 USD
to the supplier
beta Actin
HUABIO
catalog: ET1702-67
domestic rabbit monoclonal (JF53-10)
reactivity:
human
,
mouse
,
rat
conjugate: HRP
application:
western blot
Western blot analysis of beta Actin on different lysates with Rabbit anti-beta Actin antibody (ET1702-67) at 1/20,000 dilution. Lane 1: HeLa cell lysate Lane 2: HepG2 cell lysate Lane 3: MCF7 cell lysate Lane 4: A431 cell lysate Lane 5: Jurkat cell lysate Lane 6: HEK-293 cell lysate Lane 7: RAW264.7 cell lysate Lane 8: C2C12 cell lysate Lane 9: PC-12 cell lysate Lane 10: Mouse testis tissue lysate Lane 11: Mouse spleen tissue lysate Lane 12: Rat testis tissue lysate Lane 13: Rat spleen tissue lysate Lysates/proteins at 10 µg/Lane. Predicted band size: 42 kDa Observed band size: 42 kDa Exposure time: 10 seconds; ECL: K1801; 4-20% SDS-PAGE gel. Proteins were transferred to a PVDF membrane and blocked with 5% NFDM/TBST for 1 hour at room temperature. The primary antibody (ET1702-67) at 1/20,000 dilution was used in 5% NFDM/TBST at room temperature for 2 hours.
quantity: 100μl
price: 409.00 USD
to the supplier
beta Actin
HUABIO
catalog: HA601037
mouse monoclonal (A2-F6-R)
reactivity:
human
,
mouse
,
rat
conjugate: HRP
application:
western blot
Western blot analysis of beta Actin on HepG2 cell lysates with Mouse anti-beta Actin antibody (HA601037) at different dilutions. Lysates/proteins at 10 µg/Lane. Predicted band size: 42 kDa Observed band size: 42 kDa Exposure time: 30 seconds; 12% SDS-PAGE gel. Proteins were transferred to a PVDF membrane and blocked with 5% NFDM/TBST for 1 hour at room temperature. The primary antibody (HA601037) at different dilutions were used in 5% NFDM/TBST at room temperature for 2 hours.
Western blot analysis of beta Actin on NIH/3T3 cell lysates with Mouse anti-beta Actin antibody (HA601037) at different dilutions. Lysates/proteins at 10 µg/Lane. Predicted band size: 42 kDa Observed band size: 42 kDa Exposure time: 30 seconds; 10% SDS-PAGE gel. Proteins were transferred to a PVDF membrane and blocked with 5% NFDM/TBST for 1 hour at room temperature. The primary antibody (HA601037) at different dilutions were used in 5% NFDM/TBST at room temperature for 2 hours.
Western blot analysis of beta Actin on PC-12 cell lysates with Mouse anti-beta Actin antibody (HA601037) at different dilutions. Lysates/proteins at 10 µg/Lane. Predicted band size: 42 kDa Observed band size: 42 kDa Exposure time: 30 seconds; 10% SDS-PAGE gel. Proteins were transferred to a PVDF membrane and blocked with 5% NFDM/TBST for 1 hour at room temperature. The primary antibody (HA601037) at different dilutions were used in 5% NFDM/TBST at room temperature for 2 hours.
quantity: 100μl
price: 384.00 USD
to the supplier
beta Actin
HUABIO
catalog: HA601082-50UL
mouse monoclonal (A2-F6-R)
reactivity:
human
,
mouse
,
rat
application:
western blot
Western blot analysis of beta Actin on different lysates with Mouse anti-beta Actin antibody (HA601082) at 1/40,000 dilution. Lane 1: MCF-7 cell lysate (10 µg/Lane) Lane 2: HepG2 cell lysate (10 µg/Lane) Lane 3: THP-1 cell lysate (10 µg/Lane) Lane 4: PMVEC cell lysate (10 µg/Lane) Lane 5: RH-35 cell lysate (10 µg/Lane) Lane 6: NIH/3T3 cell lysate (10 µg/Lane) Lane 7: RAW264.7 cell lysate (10 µg/Lane) Lane 8: B16F1 cell lysate (10 µg/Lane) Lane 9: MEF cell lysate (10 µg/Lane) Lane 10: Hela cell lysate (10 µg/Lane) Lane 11: F9 cell lysate (10 µg/Lane) Lane 12: PC-12 cell lysate (10 µg/Lane) Lane 13: Mouse lung cell lysate (20 µg/Lane) Lane 14: L6 cell lysate (10 µg/Lane) Predicted band size: 42 kDa Observed band size: 42 kDa Exposure time: 30 seconds; 10% SDS-PAGE gel. Proteins were transferred to a PVDF membrane and blocked with 5% NFDM/TBST for 1 hour at room temperature. The primary antibody (HA601082) at 1/40,000 dilution was used in 5% NFDM/TBST at room temperature for 2 hours. Goat Anti-Mouse IgG - HRP Secondary Antibody (HA1006) at 1/100,000 dilution was used for 1 hour at room temperature.
Western blot analysis of beta Actin on HepG2 cell lysates with Mouse anti-beta Actin antibody (HA601082) at different dilutions. Lysates/proteins at 10 µg/Lane. Predicted band size: 42 kDa Observed band size: 42 kDa Exposure time: 5 minutes; 10% SDS-PAGE gel. Proteins were transferred to a PVDF membrane and blocked with 5% NFDM/TBST for 1 hour at room temperature. The primary antibody (HA601082) at different dilutions was used in 5% NFDM/TBST at room temperature for 2 hours. Goat Anti-Mouse IgG - HRP Secondary Antibody (HA1006) at 1/100,000 dilution was used for 1 hour at room temperature.
Western blot analysis of beta Actin on NIH/3T3 cell lysates with Mouse anti-beta Actin antibody (HA601082) at different dilutions. Lysates/proteins at 10 µg/Lane. Predicted band size: 42 kDa Observed band size: 42 kDa Exposure time: 5 minutes; 10% SDS-PAGE gel. Proteins were transferred to a PVDF membrane and blocked with 5% NFDM/TBST for 1 hour at room temperature. The primary antibody (HA601082) at different dilutions was used in 5% NFDM/TBST at room temperature for 2 hours. Goat Anti-Mouse IgG - HRP Secondary Antibody (HA1006) at 1:100,000 dilution was used for 1 hour at room temperature.
quantity: 50μl
price: 205.00 USD
to the supplier
beta Actin
HUABIO
catalog: HA610019
mouse monoclonal (A2-F6-R)
reactivity:
human
,
mouse
,
rat
application:
western blot
Western blot analysis of beta Actin on different lysates with Mouse anti-beta Actin antibody (HA610019) at 1/40,000 dilution. Lane 1: MCF-7 cell lysate (10 µg/Lane) Lane 2: HepG2 cell lysate (10 µg/Lane) Lane 3: THP-1 cell lysate (10 µg/Lane) Lane 4: PMVEC cell lysate (10 µg/Lane) Lane 5: RH-35 cell lysate (10 µg/Lane) Lane 6: NIH/3T3 cell lysate (10 µg/Lane) Lane 7: RAW264.7 cell lysate (10 µg/Lane) Lane 8: B16F1 cell lysate (10 µg/Lane) Lane 9: MEF cell lysate (10 µg/Lane) Lane 10: Hela cell lysate (10 µg/Lane) Lane 11: F9 cell lysate (10 µg/Lane) Lane 12: PC-12 cell lysate (10 µg/Lane) Lane 13: Mouse lung cell lysate (20 µg/Lane) Lane 14: L6 cell lysate (10 µg/Lane) Predicted band size: 42 kDa Observed band size: 42 kDa Exposure time: 30 seconds; 10% SDS-PAGE gel. Proteins were transferred to a PVDF membrane and blocked with 5% NFDM/TBST for 1 hour at room temperature. The primary antibody (HA610019) at 1/40,000 dilution was used in 5% NFDM/TBST at room temperature for 2 hours. Goat Anti-Mouse IgG - HRP Secondary Antibody (HA1006) at 1/100,000 dilution was used for 1 hour at room temperature.
Western blot analysis of beta Actin on HepG2 cell lysates with Mouse anti-beta Actin antibody (HA610019) at different dilutions. Lysates/proteins at 10 µg/Lane. Predicted band size: 42 kDa Observed band size: 42 kDa Exposure time: 5 minutes; 10% SDS-PAGE gel. Proteins were transferred to a PVDF membrane and blocked with 5% NFDM/TBST for 1 hour at room temperature. The primary antibody (HA610019) at different dilutions was used in 5% NFDM/TBST at room temperature for 2 hours. Goat Anti-Mouse IgG - HRP Secondary Antibody (HA1006) at 1/100,000 dilution was used for 1 hour at room temperature.
Western blot analysis of beta Actin on NIH/3T3 cell lysates with Mouse anti-beta Actin antibody (HA610019) at different dilutions. Lysates/proteins at 10 µg/Lane. Predicted band size: 42 kDa Observed band size: 42 kDa Exposure time: 5 minutes; 10% SDS-PAGE gel. Proteins were transferred to a PVDF membrane and blocked with 5% NFDM/TBST for 1 hour at room temperature. The primary antibody (HA610019) at different dilutions was used in 5% NFDM/TBST at room temperature for 2 hours. Goat Anti-Mouse IgG - HRP Secondary Antibody (HA1006) at 1:100,000 dilution was used for 1 hour at room temperature.
quantity: 100μg
price: 649.00 USD
to the supplier
beta Actin
HUABIO
catalog: HA722023-50UL
domestic rabbit monoclonal (PSH03-63)
reactivity:
human
,
mouse
,
rat
,
dogs
,
chicken
,
bovine
application:
western blot
,
immunoprecipitation
,
flow cytometry
Western blot analysis of beta Actin on different lysates with Rabbit anti-beta Actin antibody (HA722023) at 1/20,000 dilution. Lane 1: HeLa cell lysate (10 µg/Lane) Lane 2: HepG2 cell lysate (10 µg/Lane) Lane 3: MCF7 cell lysate (10 µg/Lane) Lane 4: A431 cell lysate (10 µg/Lane) Lane 5: Jurkat cell lysate (10 µg/Lane) Lane 6: HEK-293 cell lysate (10 µg/Lane) Lane 7: RAW264.7 cell lysate (10 µg/Lane) Lane 8: C2C12 cell lysate (10 µg/Lane) Lane 9: PC-12 cell lysate (10 µg/Lane) Lane 10: Mouse testis tissue lysate (10 µg/Lane) Lane 11: Mouse spleen tissue lysate (10 µg/Lane) Lane 12: Rat testis tissue lysate (10 µg/Lane) Lane 13: Rat kidney tissue lysate (10 µg/Lane) Predicted band size: 42 kDa Observed band size: 42 kDa Exposure time: 3 seconds; 4-20% SDS-PAGE gel. Proteins were transferred to a PVDF membrane and blocked with 5% NFDM/TBST for 1 hour at room temperature. The primary antibody (HA722023) at 1/20,000 dilution was used in 5% NFDM/TBST at 4℃ overnight. Goat Anti-Rabbit IgG - HRP Secondary Antibody (HA1001) at 1/50,000 dilution was used for 1 hour at room temperature.
Western blot analysis of beta Actin on HepG2 cell lysates with Rabbit anti-beta Actin antibody (HA722023) at different dilutions. Lysates/proteins at 20 µg/Lane. Predicted band size: 42 kDa Observed band size: 42 kDa Exposure time: 30 seconds; 4-20% SDS-PAGE gel. Proteins were transferred to a PVDF membrane and blocked with 5% NFDM/TBST for 1 hour at room temperature. The primary antibody (HA722023) at different dilutions was used in 5% NFDM/TBST at 4℃ overnight. Goat Anti-Rabbit IgG - HRP Secondary Antibody (HA1001) at 1/50,000 dilution was used for 1 hour at room temperature.
Immunocytochemistry analysis of HeLa cells labeling beta Actin with Rabbit anti-beta Actin antibody (HA722023) at 1/250 dilution. Cells were fixed in 4% paraformaldehyde for 20 minutes at room temperature, permeabilized with 0.1% Triton X-100 in PBS for 5 minutes at room temperature, then blocked with 1% BSA in 10% negative goat serum for 1 hour at room temperature. Cells were then incubated with Rabbit anti-beta Actin antibody (HA722023) at 1/250 dilution in 1% BSA in PBST overnight at 4 ℃. Goat Anti-Rabbit IgG H&L (iFluor™ 488, HA1121) was used as the secondary antibody at 1/1,000 dilution. PBS instead of the primary antibody was used as the secondary antibody only control. Nuclear DNA was labelled in blue with DAPI. Beta tubulin (M1305-2, red) was stained at 1/100 dilution overnight at +4℃. Goat Anti-Mouse IgG H&L (iFluor™ 594, HA1126) was used as the secondary antibody at 1/1,000 dilution.
quantity: 50μl
price: 205.00 USD
to the supplier
beta Actin
HUABIO
catalog: HA750898
domestic rabbit monoclonal (PSH03-63)
reactivity:
human
,
mouse
,
rat
,
dogs
,
chicken
,
bovine
application:
western blot
,
immunoprecipitation
,
flow cytometry
Western blot analysis of beta Actin on different lysates with Rabbit anti-beta Actin antibody (HA750898) at 1/20,000 dilution. Lane 1: HeLa cell lysate (10 µg/Lane) Lane 2: HepG2 cell lysate (10 µg/Lane) Lane 3: MCF7 cell lysate (10 µg/Lane) Lane 4: A431 cell lysate (10 µg/Lane) Lane 5: Jurkat cell lysate (10 µg/Lane) Lane 6: HEK-293 cell lysate (10 µg/Lane) Lane 7: RAW264.7 cell lysate (10 µg/Lane) Lane 8: C2C12 cell lysate (10 µg/Lane) Lane 9: PC-12 cell lysate (10 µg/Lane) Lane 10: Mouse testis tissue lysate (10 µg/Lane) Lane 11: Mouse spleen tissue lysate (10 µg/Lane) Lane 12: Rat testis tissue lysate (10 µg/Lane) Lane 13: Rat kidney tissue lysate (10 µg/Lane) Predicted band size: 42 kDa Observed band size: 42 kDa Exposure time: 3 seconds; 4-20% SDS-PAGE gel. Proteins were transferred to a PVDF membrane and blocked with 5% NFDM/TBST for 1 hour at room temperature. The primary antibody (HA750898) at 1/20,000 dilution was used in 5% NFDM/TBST at 4℃ overnight. Goat Anti-Rabbit IgG - HRP Secondary Antibody (HA1001) at 1/50,000 dilution was used for 1 hour at room temperature.
Western blot analysis of beta Actin on HepG2 cell lysates with Rabbit anti-beta Actin antibody (HA750898) at different dilutions. Lysates/proteins at 20 µg/Lane. Predicted band size: 42 kDa Observed band size: 42 kDa Exposure time: 30 seconds; 4-20% SDS-PAGE gel. Proteins were transferred to a PVDF membrane and blocked with 5% NFDM/TBST for 1 hour at room temperature. The primary antibody (HA750898) at different dilutions was used in 5% NFDM/TBST at 4℃ overnight. Goat Anti-Rabbit IgG - HRP Secondary Antibody (HA1001) at 1/50,000 dilution was used for 1 hour at room temperature.
Immunocytochemistry analysis of HeLa cells labeling beta Actin with Rabbit anti-beta Actin antibody (HA750898) at 1/250 dilution. Cells were fixed in 4% paraformaldehyde for 20 minutes at room temperature, permeabilized with 0.1% Triton X-100 in PBS for 5 minutes at room temperature, then blocked with 1% BSA in 10% negative goat serum for 1 hour at room temperature. Cells were then incubated with Rabbit anti-beta Actin antibody (HA750898) at 1/250 dilution in 1% BSA in PBST overnight at 4 ℃. Goat Anti-Rabbit IgG H&L (iFluor™ 488, HA1121) was used as the secondary antibody at 1/1,000 dilution. PBS instead of the primary antibody was used as the secondary antibody only control. Nuclear DNA was labelled in blue with DAPI. Beta tubulin (M1305-2, red) was stained at 1/100 dilution overnight at +4℃. Goat Anti-Mouse IgG H&L (iFluor™ 594, HA1126) was used as the secondary antibody at 1/1,000 dilution.
quantity: 100μl
price: 649.00 USD
to the supplier
beta Actin
HUABIO
catalog: M1210-2
mouse monoclonal (B4-B2)
reactivity:
human
,
mouse
,
rat
application:
western blot
,
flow cytometry
,
immunohistochemistry - paraffin section
Western blot analysis of beta Actin on different lysates with Mouse anti-beta Actin antibody (M1210-2) at 1/20,000 dilution. Lane 1: HeLa cell lysate Lane 2: HepG2 cell lysate Lane 3: MCF7 cell lysate Lane 4: A431 cell lysate Lane 5: Jurkat cell lysate Lane 6: HEK-293 cell lysate Lane 7: RAW264.7 cell lysate Lane 8: C2C12 cell lysate Lane 9: PC-12 cell lysate Lane 10: Mouse testis tissue lysate Lane 11: Mouse spleen tissue lysate Lane 12: Rat testis tissue lysate Lane 13: Rat kidney tissue lysate Lysates/proteins at 10 µg/Lane. Predicted band size: 42 kDa Observed band size: 42 kDa Exposure time: 10 seconds; 4-20% SDS-PAGE gel. Proteins were transferred to a PVDF membrane and blocked with 5% NFDM/TBST for 1 hour at room temperature. The primary antibody (M1210-2) at 1/20,000 dilution was used in 5% NFDM/TBST at 4℃ overnight. Goat Anti-Mouse IgG - HRP Secondary Antibody (HA1006) at 1/50,000 dilution was used for 1 hour at room temperature.
ICC staining of beta Actin in NIH/3T3 cells (red). Formalin fixed cells were permeabilized with 0.1% Triton X-100 in TBS for 10 minutes at room temperature and blocked with 10% negative goat serum for 15 minutes at room temperature. Cells were probed with the primary antibody (M1210-2, 1/50) for 1 hour at room temperature, washed with PBS. Alexa Fluor®594 conjugate-Goat anti-Mouse IgG was used as the secondary antibody at 1/1,000 dilution. The nuclear counter stain is DAPI (blue).
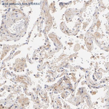
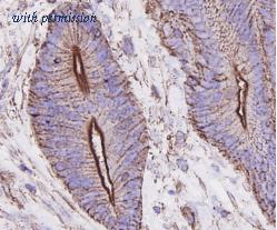
Immunohistochemical analysis of paraffin-embedded human colon carcinoma tissue using anti-beta Actin antibody. The section was pre-treated using heat mediated antigen retrieval with Tris-EDTA buffer (pH 9.0) for 20 minutes.The tissues were blocked in 1% BSA for 30 minutes at room temperature, washed with ddH2O and PBS, and then probed with the primary antibody (M1210-2, 1/50) for 30 minutes at room temperature. The detection was performed using an HRP conjugated compact polymer system. DAB was used as the chromogen. Tissues were counterstained with hematoxylin and mounted with DPX.
quantity: 100μl
price: 360.00 USD
to the supplier
beta Actin
HUABIO
catalog: M1210-5
mouse monoclonal (A2-F6)
reactivity:
human
,
mouse
,
rat
conjugate: HRP
application:
western blot
Western blot analysis of beta Actin on different lysates. Proteins were transferred to a PVDF membrane and blocked with 5% BSA in PBS for 1 hour at room temperature. The primary antibody (M1210-5, 1/1,000) was used in 5% BSA at room temperature for 2 hours. Positive control: Lane 1: PC12 cell lysate Lane 2: Hela cell lysate Lane 3: NIH/3T3 cell lysate
quantity: 100μl
price: 384.00 USD
to the supplier
beta Actin
HUABIO
catalog: R1102-1
domestic rabbit polyclonal
reactivity:
human
,
mouse
,
rat
application:
western blot
,
immunohistochemistry - paraffin section
Western blot analysis of beta Actin on different lysates with Rabbit anti-beta Actin antibody (R1102-1) at 1/50,000 dilution. Lane 1: HeLa cell lysate Lane 2: RAW264.7 cell lysate Lane 3: PC-12 cell lysate Lysates/proteins at 10 µg/Lane. Predicted band size: 42 kDa Observed band size: 42 kDa Exposure time: 3 minutes; ECL: K1801; 4-20% SDS-PAGE gel. Proteins were transferred to a PVDF membrane and blocked with 5% NFDM/TBST for 1 hour at room temperature. The primary antibody (R1102-1) at 1/50,000 dilution was used in 5% NFDM/TBST at 4℃ overnight. Goat Anti-Rabbit IgG - HRP Secondary Antibody (HA1001) at 1/50,000 dilution was used for 1 hour at room temperature.
Immunohistochemical analysis of paraffin-embedded human lung tissue with Rabbit anti-beta Actin antibody (R1102-1) at 1/1,000 dilution. The section was pre-treated using heat mediated antigen retrieval with Tris-EDTA buffer (pH 9.0) for 20 minutes. The tissues were blocked in 1% BSA for 20 minutes at room temperature, washed with ddH2O and PBS, and then probed with the primary antibody (R1102-1) at 1/1,000 dilution for 1 hour at room temperature. The detection was performed using an HRP conjugated compact polymer system. DAB was used as the chromogen. Tissues were counterstained with hematoxylin and mounted with DPX.
quantity: 100μl
price: 330 USD
to the supplier
beta Actin
HUABIO
catalog: R1207-1
domestic rabbit polyclonal
reactivity:
human
,
mouse
,
rat
,
zebrafish
application:
western blot
,
flow cytometry
,
immunohistochemistry - paraffin section
Western blot analysis of beta Actin on different lysates with Rabbit anti-beta Actin antibody (R1207-1) at 1/20,000 dilution. Lane 1: HeLa cell lysate Lane 2: A549 cell lysate Lane 3: Jurkat cell lysate Lane 4: NIH/3T3 cell lysate Lane 5: PC-12 cell lysate Lane 6: Mouse brain tissue lysate Lane 7: Rat brain tissue lysate Lane 8: Mouse lung tissue lysate Lane 9: Rat lung tissue lysate Lysates/proteins at 20 µg/Lane. Predicted band size: 42 kDa Observed band size: 42 kDa Exposure time: 30 seconds; 4-20% SDS-PAGE gel. Proteins were transferred to a PVDF membrane and blocked with 5% NFDM/TBST for 1 hour at room temperature. The primary antibody (R1207-1) at 1/20,000 dilution was used in 5% NFDM/TBST at 4℃ overnight. Goat Anti-Rabbit IgG - HRP Secondary Antibody (HA1001) at 1/50,000 dilution was used for 1 hour at room temperature.
Immunocytochemistry analysis of HeLa cells labeling beta Actin with Rabbit anti-beta Actin antibody (R1207-1) at 1/100 dilution. Cells were fixed in 4% paraformaldehyde for 20 minutes at room temperature, permeabilized with 0.1% Triton X-100 in PBS for 5 minutes at room temperature, then blocked with 1% BSA in 10% negative goat serum for 1 hour at room temperature. Cells were then incubated with Rabbit anti-beta Actin antibody (R1207-1) at 1/100 dilution in 1% BSA in PBST overnight at 4 ℃. Goat Anti-Rabbit IgG H&L (iFluor™ 488, HA1121) was used as the secondary antibody at 1/1,000 dilution. PBS instead of the primary antibody was used as the secondary antibody only control. Nuclear DNA was labelled in blue with DAPI. Beta tubulin (M1305-2, red) was stained at 1/100 dilution overnight at +4℃. Goat Anti-Mouse IgG H&L (iFluor™ 594, HA1126) was used as the secondary antibody at 1/1,000 dilution.
Immunocytochemistry analysis of NIH/3T3 cells labeling beta Actin with Rabbit anti-beta Actin antibody (R1207-1) at 1/100 dilution. Cells were fixed in 4% paraformaldehyde for 20 minutes at room temperature, permeabilized with 0.1% Triton X-100 in PBS for 5 minutes at room temperature, then blocked with 1% BSA in 10% negative goat serum for 1 hour at room temperature. Cells were then incubated with Rabbit anti-beta Actin antibody (R1207-1) at 1/100 dilution in 1% BSA in PBST overnight at 4 ℃. Goat Anti-Rabbit IgG H&L (iFluor™ 488, HA1121) was used as the secondary antibody at 1/1,000 dilution. PBS instead of the primary antibody was used as the secondary antibody only control. Nuclear DNA was labelled in blue with DAPI. Beta tubulin (M1305-2, red) was stained at 1/100 dilution overnight at +4℃. Goat Anti-Mouse IgG H&L (iFluor™ 594, HA1126) was used as the secondary antibody at 1/1,000 dilution.
quantity: 100μl
price: 330 USD
to the supplier
Anti-Beta actin Antibody [B4-B2]
HUABIO
catalog: M1210-2TR
mouse monoclonal (B4-B2)
reactivity:
human
,
mouse
,
rat
application:
western blot
,
flow cytometry
,
immunohistochemistry - paraffin section
quantity: 20 uL
price: 99 USD
to the supplier