Sign in
Sign up
home
>
HUABIO
> HUABIO Creb1 antibody
CREB
HUABIO
catalog: ET1601-15
domestic rabbit monoclonal (SA04-04)
reactivity:
human
,
mouse
,
rat
,
zebrafish
application:
western blot
,
flow cytometry
,
immunohistochemistry - paraffin section
Western blot analysis of CREB on different lysates with Rabbit anti-CREB antibody (ET1601-15) at 1/2,000 dilution. Lane 1: HeLa cell lysate (20 µg/Lane) Lane 2: A431 cell lysate (20 µg/Lane) Lane 3: U-2 OS cell lysate (20 µg/Lane) Lane 4: HEK-293 cell lysate (20 µg/Lane) Lane 5: COS-1 cell lysate (20 µg/Lane) Lane 6: NIH/3T3 cell lysate (20 µg/Lane) Lane 7: C2C12 cell lysate (20 µg/Lane) Lane 8: C6 cell lysate (20 µg/Lane) Lane 9: PC-12 cell lysate (20 µg/Lane) Lane 10: Rat testis tissue lysate (40 µg/Lane) Lane 11: Mouse brain tissue lysate (40 µg/Lane) Lane 12: Rat brain tissue lysate (40 µg/Lane) Predicted band size: 35 kDa Observed band size: 42 kDa Exposure time: 6 seconds; ECL: K1801; 4-20% SDS-PAGE gel. Proteins were transferred to a PVDF membrane and blocked with 5% NFDM/TBST for 1 hour at room temperature. The primary antibody (ET1601-15) at 1/2,000 dilution was used in 5% NFDM/TBST at 4℃ overnight. Goat Anti-Rabbit IgG - HRP Secondary Antibody (HA1001) at 1/50,000 dilution was used for 1 hour at room temperature.
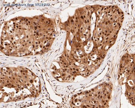
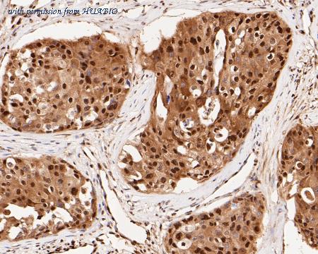
Immunohistochemical analysis of paraffin-embedded human breast carcinoma tissue using anti-CREB antibody. The section was pre-treated using heat mediated antigen retrieval with sodium citrate buffer (pH 6.0) (high pressure) for 2 minutes. The tissues were blocked in 5% BSA for 30 minutes at room temperature, washed with ddH2O and PBS, and then probed with the primary antibody (ET1601-15, 1/500) for 30 minutes at room temperature. The detection was performed using an HRP conjugated compact polymer system. DAB was used as the chromogen. Tissues were counterstained with hematoxylin and mounted with DPX.
Immunohistochemical analysis of paraffin-embedded human thyroid tissue using anti-CREB antibody. The section was pre-treated using heat mediated antigen retrieval with sodium citrate buffer (pH 6.0) (high pressure) for 2 minutes. The tissues were blocked in 5% BSA for 30 minutes at room temperature, washed with ddH2O and PBS, and then probed with the primary antibody (ET1601-15, 1/500) for 30 minutes at room temperature. The detection was performed using an HRP conjugated compact polymer system. DAB was used as the chromogen. Tissues were counterstained with hematoxylin and mounted with DPX.
quantity: 100μl
price: 385.00 USD
to the supplier
Phospho-Creb (S133)
HUABIO
catalog: ET7107-93
domestic rabbit monoclonal (JB25-40)
reactivity:
human
,
mouse
,
rat
application:
western blot
,
immunoprecipitation
,
flow cytometry
,
immunohistochemistry - paraffin section
Western blot analysis of Phospho-Creb (S133) on different lysates with Rabbit anti-Phospho-Creb (S133) antibody (ET7107-93) at 1/1,000 dilution. Lane 1: HeLa whole cell lysate Lane 2: HeLa treated with 25μg/mL anisomycin for 30 minutes whole cell lysate Lysates/proteins at 20 µg/Lane. Predicted band size: 35 kDa Observed band size: 40 kDa Exposure time: 3 minutes; 4-20% SDS-PAGE gel. Proteins were transferred to a PVDF membrane and blocked with 5% NFDM/TBST for 1 hour at room temperature. The primary antibody (ET7107-93) at 1/1,000 dilution was used in 5% NFDM/TBST at room temperature for 2 hours. Goat Anti-Rabbit IgG - HRP Secondary Antibody (HA1001) at 1/100,000 dilution was used for 1 hour at room temperature.
Immunocytochemistry analysis of HeLa cells treated with or without Lambda Protein Phosphatase for 1 hour labeling Phospho-Creb (S133) with Rabbit anti-Phospho-Creb (S133) antibody (ET7107-93) at 1/100 dilution. Cells were fixed in 4% paraformaldehyde for 10 minutes at 37 ℃, permeabilized with 0.05% Triton X-100 in PBS for 20 minutes, and then blocked with 2% negative goat serum for 30 minutes at room temperature. Cells were then incubated with Rabbit anti-Phospho-Creb (S133) antibody (ET7107-93) at 1/100 dilution in 2% negative goat serum overnight at 4 ℃. Goat Anti-Rabbit IgG H&L (iFluor™ 488, HA1121) was used as the secondary antibody at 1/1,000 dilution. Nuclear DNA was labelled in blue with DAPI. Beta tubulin (M1305-2, red) was stained at 1/100 dilution overnight at +4℃. Goat Anti-Mouse IgG H&L (iFluor™ 594, HA1126) was used as the secondary antibody at 1/1,000 dilution.
Immunocytochemistry analysis of THP-1 cells labeling Phospho-Creb (S133) with Rabbit anti-Phospho-Creb (S133) antibody (ET7107-93) at 1/100 dilution. Cells were fixed in 4% paraformaldehyde for 15 minutes at room temperature, permeabilized with 0.1% Triton X-100 in PBS for 15 minutes at room temperature, then blocked with 1% BSA in 10% negative goat serum for 1 hour at room temperature. Cells were then incubated with Rabbit anti-Phospho-Creb (S133) antibody (ET7107-93) at 1/100 dilution in 1% BSA in PBST overnight at 4 ℃. Goat Anti-Rabbit IgG H&L (iFluor™ 488, HA1121) was used as the secondary antibody at 1/1,000 dilution. PBS instead of the primary antibody was used as the secondary antibody only control. Nuclear DNA was labelled in blue with DAPI. Beta tubulin (HA601187, red) was stained at 1/100 dilution overnight at +4℃. Goat Anti-Mouse IgG H&L (iFluor™ 594, HA1126) was used as the secondary antibody at 1/1,000 dilution.
quantity: 100μl
price: 385.00 USD
to the supplier
CREB
HUABIO
catalog: HA723754
domestic rabbit monoclonal (PSH15-48)
reactivity:
human
,
mouse
,
rat
application:
western blot
,
flow cytometry
,
immunohistochemistry - paraffin section
,
immunohistochemistry - frozen section
Western blot analysis of CREB on different lysates with Rabbit anti-CREB antibody (HA723754) at 1/50,000 dilution. Lane 1: SH-SY5Y cell lysate (20 µg/Lane) Lane 2: Jurkat cell lysate (20 µg/Lane) Lane 3: Neuro-2a cell lysate (20 µg/Lane) Lane 4: PC-12 cell lysate (20 µg/Lane) Lane 5: COS-1 cell lysate (20 µg/Lane) Lane 6: Mouse brain tissue lysate (40 µg/Lane) Predicted band size: 35 kDa Observed band size: 42 kDa Exposure time: 10 seconds; ECL: K1801; 4-20% SDS-PAGE gel. Proteins were transferred to a PVDF membrane and blocked with 5% NFDM/TBST for 1 hour at room temperature. The primary antibody (HA723754) at 1/50,000 dilution was used in primary antibody dilution (K1803) at 4℃ overnight. Goat Anti-Rabbit IgG - HRP Secondary Antibody (HA1001) at 1/50,000 dilution was used for 1 hour at room temperature.
Western blot analysis of CREB on different lysates with Rabbit anti-CREB antibody (HA723754) at 1/20,000 dilution. Lane 1: HeLa-parental cell lysate Lane 2: HeLa-CREB KD cell lysate Lysates/proteins at 10 µg/Lane. Predicted band size: 35 kDa Observed band size: 42 kDa Exposure time: 1 minute; ECL: K1801; 4-20% SDS-PAGE gel. Proteins were transferred to a PVDF membrane and blocked with 5% NFDM/TBST for 1 hour at room temperature. The primary antibody (HA723754) at 1/20,000 dilution was used in primary antibody dilution (K1803) at 4℃ overnight. Goat Anti-Rabbit IgG - HRP Secondary Antibody (HA1001) at 1/50,000 dilution was used for 1 hour at room temperature.
Application: IHC-Fr Species: Mouse Site: brain Sample: Frozen section Antibody concentration: 1/500 Antigen retrieval: Not required
quantity: 100μl
price: 385.00 USD
to the supplier
CREB
HUABIO
catalog: HA750007
domestic rabbit monoclonal (SA04-04)
reactivity:
human
,
mouse
,
rat
,
zebrafish
application:
western blot
,
flow cytometry
,
immunohistochemistry - paraffin section
Western blot analysis of CREB on different lysates with Rabbit anti-CREB antibody (HA750007) at 1/2,000 dilution. Lane 1: HeLa cell lysate (20 µg/Lane) Lane 2: A431 cell lysate (20 µg/Lane) Lane 3: U-2 OS cell lysate (20 µg/Lane) Lane 4: HEK-293 cell lysate (20 µg/Lane) Lane 5: COS-1 cell lysate (20 µg/Lane) Lane 6: NIH/3T3 cell lysate (20 µg/Lane) Lane 7: C2C12 cell lysate (20 µg/Lane) Lane 8: C6 cell lysate (20 µg/Lane) Lane 9: PC-12 cell lysate (20 µg/Lane) Lane 10: Rat testis tissue lysate (40 µg/Lane) Lane 11: Mouse brain tissue lysate (40 µg/Lane) Lane 12: Rat brain tissue lysate (40 µg/Lane) Predicted band size: 35 kDa Observed band size: 42 kDa Exposure time: 6 seconds; ECL: K1801; 4-20% SDS-PAGE gel. Proteins were transferred to a PVDF membrane and blocked with 5% NFDM/TBST for 1 hour at room temperature. The primary antibody (HA750007) at 1/2,000 dilution was used in 5% NFDM/TBST at 4℃ overnight. Goat Anti-Rabbit IgG - HRP Secondary Antibody (HA1001) at 1/50,000 dilution was used for 1 hour at room temperature.
Immunohistochemical analysis of paraffin-embedded human breast carcinoma tissue using anti-CREB antibody. The section was pre-treated using heat mediated antigen retrieval with sodium citrate buffer (pH 6.0) (high pressure) for 2 minutes. The tissues were blocked in 5% BSA for 30 minutes at room temperature, washed with ddH2O and PBS, and then probed with the primary antibody (HA750007, 1/500) for 30 minutes at room temperature. The detection was performed using an HRP conjugated compact polymer system. DAB was used as the chromogen. Tissues were counterstained with hematoxylin and mounted with DPX.
Immunohistochemical analysis of paraffin-embedded human thyroid tissue using anti-CREB antibody. The section was pre-treated using heat mediated antigen retrieval with sodium citrate buffer (pH 6.0) (high pressure) for 2 minutes. The tissues were blocked in 5% BSA for 30 minutes at room temperature, washed with ddH2O and PBS, and then probed with the primary antibody (HA750007, 1/500) for 30 minutes at room temperature. The detection was performed using an HRP conjugated compact polymer system. DAB was used as the chromogen. Tissues were counterstained with hematoxylin and mounted with DPX.
quantity: 100μl
price: 649.00 USD
to the supplier
Phospho-Creb (S133)
HUABIO
catalog: HA750465
domestic rabbit monoclonal (JB25-40)
reactivity:
human
,
mouse
,
rat
application:
western blot
,
immunoprecipitation
,
flow cytometry
,
immunohistochemistry - paraffin section
Western blot analysis of Phospho-Creb (S133) on different lysates with Rabbit anti-Phospho-Creb (S133) antibody (HA750465) at 1/1,000 dilution. Lane 1: HeLa whole cell lysate Lane 2: HeLa treated with 25μg/mL anisomycin for 30 minutes whole cell lysate Lysates/proteins at 20 µg/Lane. Predicted band size: 35 kDa Observed band size: 40 kDa Exposure time: 3 minutes; 4-20% SDS-PAGE gel. Proteins were transferred to a PVDF membrane and blocked with 5% NFDM/TBST for 1 hour at room temperature. The primary antibody (HA750465) at 1/1,000 dilution was used in 5% NFDM/TBST at room temperature for 2 hours. Goat Anti-Rabbit IgG - HRP Secondary Antibody (HA1001) at 1/100,000 dilution was used for 1 hour at room temperature.
Immunocytochemistry analysis of HeLa cells treated with or without Lambda Protein Phosphatase for 1 hour labeling Phospho-Creb (S133) with Rabbit anti-Phospho-Creb (S133) antibody (HA750465) at 1/100 dilution. Cells were fixed in 4% paraformaldehyde for 10 minutes at 37 ℃, permeabilized with 0.05% Triton X-100 in PBS for 20 minutes, and then blocked with 2% negative goat serum for 30 minutes at room temperature. Cells were then incubated with Rabbit anti-Phospho-Creb (S133) antibody (HA750465) at 1/100 dilution in 2% negative goat serum overnight at 4 ℃. Goat Anti-Rabbit IgG H&L (iFluor™ 488, HA1121) was used as the secondary antibody at 1/1,000 dilution. Nuclear DNA was labelled in blue with DAPI. Beta tubulin (M1305-2, red) was stained at 1/100 dilution overnight at +4℃. Goat Anti-Mouse IgG H&L (iFluor™ 594, HA1126) was used as the secondary antibody at 1/1,000 dilution.
Immunocytochemistry analysis of THP-1 cells labeling Phospho-Creb (S133) with Rabbit anti-Phospho-Creb (S133) antibody (HA750465) at 1/100 dilution. Cells were fixed in 4% paraformaldehyde for 15 minutes at room temperature, permeabilized with 0.1% Triton X-100 in PBS for 15 minutes at room temperature, then blocked with 1% BSA in 10% negative goat serum for 1 hour at room temperature. Cells were then incubated with Rabbit anti-Phospho-Creb (S133) antibody (HA750465) at 1/100 dilution in 1% BSA in PBST overnight at 4 ℃. Goat Anti-Rabbit IgG H&L (iFluor™ 488, HA1121) was used as the secondary antibody at 1/1,000 dilution. PBS instead of the primary antibody was used as the secondary antibody only control. Nuclear DNA was labelled in blue with DAPI. Beta tubulin (HA601187, red) was stained at 1/100 dilution overnight at +4℃. Goat Anti-Mouse IgG H&L (iFluor™ 594, HA1126) was used as the secondary antibody at 1/1,000 dilution.
quantity: 100μl
price: 649.00 USD
to the supplier
CREB
HUABIO
catalog: HA751563
domestic rabbit monoclonal (PSH15-48)
reactivity:
human
,
mouse
,
rat
application:
western blot
,
flow cytometry
,
immunohistochemistry - paraffin section
,
immunohistochemistry - frozen section
Western blot analysis of CREB on different lysates with Rabbit anti-CREB antibody (HA751563) at 1/50,000 dilution. Lane 1: SH-SY5Y cell lysate (20 µg/Lane) Lane 2: Jurkat cell lysate (20 µg/Lane) Lane 3: Neuro-2a cell lysate (20 µg/Lane) Lane 4: PC-12 cell lysate (20 µg/Lane) Lane 5: COS-1 cell lysate (20 µg/Lane) Lane 6: Mouse brain tissue lysate (40 µg/Lane) Predicted band size: 35 kDa Observed band size: 42 kDa Exposure time: 10 seconds; ECL: K1801; 4-20% SDS-PAGE gel. Proteins were transferred to a PVDF membrane and blocked with 5% NFDM/TBST for 1 hour at room temperature. The primary antibody (HA751563) at 1/50,000 dilution was used in primary antibody dilution (K1803) at 4℃ overnight. Goat Anti-Rabbit IgG - HRP Secondary Antibody (HA1001) at 1/50,000 dilution was used for 1 hour at room temperature.
Western blot analysis of CREB on different lysates with Rabbit anti-CREB antibody (HA751563) at 1/20,000 dilution. Lane 1: HeLa-parental cell lysate Lane 2: HeLa-CREB KD cell lysate Lysates/proteins at 10 µg/Lane. Predicted band size: 35 kDa Observed band size: 42 kDa Exposure time: 1 minute; ECL: K1801; 4-20% SDS-PAGE gel. Proteins were transferred to a PVDF membrane and blocked with 5% NFDM/TBST for 1 hour at room temperature. The primary antibody (HA751563) at 1/20,000 dilution was used in primary antibody dilution (K1803) at 4℃ overnight. Goat Anti-Rabbit IgG - HRP Secondary Antibody (HA1001) at 1/50,000 dilution was used for 1 hour at room temperature.
Application: IHC-Fr Species: Mouse Site: brain Sample: Frozen section Antibody concentration: 1/500 Antigen retrieval: Not required
quantity: 100μl
price: 385.00 USD
to the supplier
CREB1
HUABIO
catalog: R1309-14
domestic rabbit polyclonal
reactivity:
human
,
mouse
,
rat
application:
western blot
,
immunohistochemistry - paraffin section
Western blot analysis on A431 (1) and PC12 (2) cell lysates using anti-CREB1 rabbit polyclonal antibodies.
Western blot analysis of CREB1 on different lysates with Rabbit anti-CREB1 (R1309-14) at 1/1,000 dilution. Lane 1: Hela-si NT cell lysate Lane 2: Hela-si CREB1 cell lysate Lysates/proteins at 10 µg/Lane. Predicted band size: 35 kDa Observed band size: 42 kDa Exposure time: 3 minutes; 4-20% SDS-PAGE gel. R1309-14 was shown to specifically react with CREB1 in Hela-si NT cells. Weakened band was observed when Hela-si CREB1 sample was tested. Hela-si NT and Hela-si CREB1 samples were subjected to SDS-PAGE. Proteins were transferred to a PVDF membrane and blocked with 5% NFDM in TBST for 1 hour at room temperature. The primary antibody (R1309-14, 1/1,000) and Loading control antibody (Rabbit anti-GAPDH, ET1601-4, 1/10,000) were used in 5% BSA at room temperature for 2 hours. Goat Anti-rabbit IgG-HRP Secondary Antibody (HA1001) at 1:100,000 dilution was used for 1 hour at room temperature.
Immunofluorescent staining of Hela cells using anti- CREB1 rabbit polyclonal antibody.
quantity: 100μl
price: 330 USD
to the supplier