Sign in
Sign up
home
>
HUABIO
> HUABIO MAP1LC3B antibody
ATG4B
HUABIO
catalog: ER62759
domestic rabbit polyclonal
reactivity:
human
,
mouse
,
rat
application:
western blot
,
immunohistochemistry - paraffin section
Western blot analysis of ATG4B on different lysates with Rabbit anti-ATG4B antibody (ER62759) at 1/2,000 dilution. Lane 1: 293T cell lysate (20 µg/Lane) Lane 2: MCF7 cell lysate (20 µg/Lane) Lane 3: COS-1 cell lysate (20 µg/Lane) Lane 4: PC-12 cell lysate (20 µg/Lane) Lane 5: Mouse brain tissue lysate (40 µg/Lane) Lane 6: Rat brain tissue lysate (40 µg/Lane) Predicted band size: 44 kDa Observed band size: 47 kDa Exposure time: 20 seconds; ECL: K1801; 4-20% SDS-PAGE gel. Proteins were transferred to a PVDF membrane and blocked with 5% NFDM/TBST for 1 hour at room temperature. The primary antibody (ER62759) at 1/2,000 dilution was used in 5% NFDM/TBST at 4℃ overnight. Goat Anti-Rabbit IgG - HRP Secondary Antibody (HA1001) at 1/50,000 dilution was used for 1 hour at room temperature.
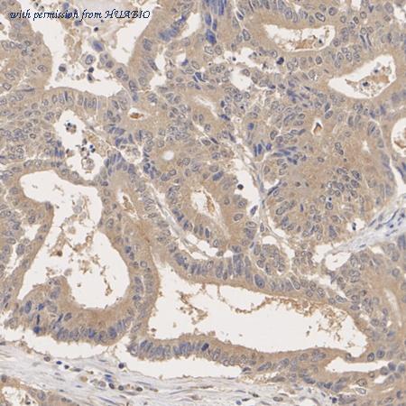
Immunohistochemical analysis of paraffin-embedded human colon cancer tissue with Rabbit anti-ATG4B antibody (ER62759) at 1/1,000 dilution. The section was pre-treated using heat mediated antigen retrieval with Tris-EDTA buffer (pH 9.0) for 20 minutes. The tissues were blocked in 1% BSA for 20 minutes at room temperature, washed with ddH2O and PBS, and then probed with the primary antibody (ER62759) at 1/1,000 dilution for 1 hour at room temperature. The detection was performed using an HRP conjugated compact polymer system. DAB was used as the chromogen. Tissues were counterstained with hematoxylin and mounted with DPX.
quantity: 100μl
price: 330 USD
to the supplier
LC3B
HUABIO
catalog: ET1701-65
domestic rabbit monoclonal (JJ090-6)
reactivity:
human
,
mouse
,
rat
application:
western blot
,
immunoprecipitation
,
immunohistochemistry - paraffin section
Western blot analysis of LC3B on different lysates with Rabbit anti-LC3B antibody (ET1701-65) at 1/2,000 dilution and competitor's antibody at 1/1,000 dilution. Lane 1: HeLa cell lysate (20 µg/Lane) Lane 2: HeLa treated with 50μM Chloroquine for 18 hours cell lysate (20 µg/Lane) Lane 3: C2C12 cell lysate (20 µg/Lane) Lane 4: C2C12 treated with 50μM Chloroquine for 18 hours cell lysate (20 µg/Lane) Lane 5: C6 cell lysate (20 µg/Lane) Lane 6: C6 treated with 50μM Chloroquine for 18 hours cell lysate (20 µg/Lane) Lane 7: mouse brain tissue lysate (20 µg/Lane) Lane 8: rat brain tissue lysate (20 µg/Lane) Predicted band size: 14/16 kDa Observed band size: 14/16 kDa Exposure time: 3 minutes; 4-20% SDS-PAGE gel. Proteins were transferred to a PVDF membrane and blocked with 5% NFDM/TBST for 1 hour at room temperature. The primary antibody (ET1701-65) at 1/2,000 dilution and competitor's antibody at 1/1,000 dilution were used in 5% NFDM/TBST at 4℃ overnight. Goat Anti-Rabbit IgG - HRP Secondary Antibody (HA1001) at 1/50,000 dilution was used for 1 hour at room temperature.
Western blot analysis of LC3B on different lysates with Rabbit anti-LC3B antibody (ET1701-65) at 1/2,000 dilution. Lane 1: HeLa-si NT cell lysate (10 µg/Lane) Lane 2: HeLa-si LC3B cell lysate (10 µg/Lane) Predicted band size: 14/16 kDa Observed band size: 14/16 kDa Exposure time: 1 minute; ECL: K1801; 4-20% SDS-PAGE gel. Proteins were transferred to a PVDF membrane and blocked with 5% NFDM/TBST for 1 hour at room temperature. The primary antibody (ET1701-65) at 1/2,000 dilution was used in 5% NFDM/TBST at 4℃ overnight. Goat Anti-Rabbit IgG - HRP Secondary Antibody (HA1001) at 1/50,000 dilution was used for 1 hour at room temperature.
Western blot analysis of LC3B on different lysates with Rabbit anti-LC3B antibody (ET1701-65) at 1/2,000 dilution. Lane 1: HCT 116 cell lysate Lane 2: HCT 116 treated with 50μM Chloroquine for 18 hours cell lysate Lane 3: U-87 MG cell lysate Lane 4: C6 cell lysate Lane 5: Mouse brain tissue lysate Lane 6: Rat brain tissue lysate Lysates/proteins at 20 µg/Lane. Predicted band size: 14/16 kDa Observed band size: 14/16 kDa Exposure time: 26 seconds; ECL: K1801; 4-20% SDS-PAGE gel. Proteins were transferred to a PVDF membrane and blocked with 5% NFDM/TBST for 1 hour at room temperature. The primary antibody (ET1701-65) at 1/2,000 dilution was used in 5% NFDM/TBST at 4℃ overnight. Goat Anti-Rabbit IgG - HRP Secondary Antibody (HA1001) at 1/50,000 dilution was used for 1 hour at room temperature.
quantity: 100μl
price: 385.00 USD
to the supplier
ATG4B
HUABIO
catalog: HA721334
domestic rabbit monoclonal (JE59-97)
reactivity:
human
,
mouse
,
rat
application:
western blot
Western blot analysis of ATG4B on different lysates with Rabbit anti-ATG4B antibody (HA721334) at 1/5,000 dilution. Lane 1: 293T cell lysate Lane 2: MCF7 cell lysate Lane 3: COS-1 cell lysate Lane 4: NIH/3T3 cell lysate Lane 5: PC-12 cell lysate Lane 6: Mouse brain tissue lysate Lane 7: Rat brain tissue lysate Lysates/proteins at 20 µg/Lane. Predicted band size: 44 kDa Observed band size: 47 kDa Exposure time: 20 seconds; ECL: K1801; 4-20% SDS-PAGE gel. Proteins were transferred to a PVDF membrane and blocked with 5% NFDM/TBST for 1 hour at room temperature. The primary antibody (HA721334) at 1/5,000 dilution was used in primary antibody dilution (K1803) at 4℃ overnight. Goat Anti-Rabbit IgG - HRP Secondary Antibody (HA1001) at 1/50,000 dilution was used for 1 hour at room temperature.
quantity: 100μl
price: 385.00 USD
to the supplier
ATG4B
HUABIO
catalog: HA721829
domestic rabbit monoclonal (PSH02-53)
reactivity:
human
,
mouse
,
rat
application:
western blot
Western blot analysis of ATG4B on different lysates with Rabbit anti-ATG4B antibody (HA721829) at 1/2,000 dilution and competitor's antibody at 1/2,000 dilution. Lane 1: HeLa cell lysate Lane 2: Jurkat cell lysate Lane 3: 293T cell lysate Lane 4: MCF7 cell lysate Lane 5: K-562 cell lysate Lane 6: COS-1 cell lysate Lane 7: NIH/3T3 cell lysate Lane 8: C2C12 cell lysate Lane 9: PC-12 cell lysate Lane 10: Mouse brain tissue lysate Lane 11: Rat brain tissue lysate Lane 12: Mouse kidney tissue lysate Lane 13: Mouse colon tissue lysate Lysates/proteins at 30 µg/Lane. Predicted band size: 44 kDa Observed band size: 47 kDa Exposure time: 42 seconds; ECL: K1802; 4-20% SDS-PAGE gel. Proteins were transferred to a PVDF membrane and blocked with 5% NFDM/TBST for 1 hour at room temperature. The primary antibody (HA721829) at 1/2,000 dilution and competitor's antibody at 1/2,000 dilution were used in 5% NFDM/TBST at 4℃ overnight. Goat Anti-Rabbit IgG - HRP Secondary Antibody (HA1001) at 1/50,000 dilution was used for 1 hour at room temperature.
Western blot analysis of ATG4B on different lysates with Rabbit anti-ATG4B antibody (HA721829) at 1/2,000 dilution. Lane 1: 293T cell lysate (20 µg/Lane) Lane 2: MCF7 cell lysate (20 µg/Lane) Lane 3: COS-1 cell lysate (20 µg/Lane) Lane 4: NIH/3T3 cell lysate (20 µg/Lane) Lane 5: PC-12 cell lysate (20 µg/Lane) Lane 6: Mouse brain tissue lysate (40 µg/Lane) Lane 7: Rat brain tissue lysate (40 µg/Lane) Predicted band size: 44 kDa Observed band size: 47 kDa Exposure time: 20 seconds; ECL: K1801; 4-20% SDS-PAGE gel. Proteins were transferred to a PVDF membrane and blocked with 5% NFDM/TBST for 1 hour at room temperature. The primary antibody (HA721829) at 1/2,000 dilution was used in 5% NFDM/TBST at 4℃ overnight. Goat Anti-Rabbit IgG - HRP Secondary Antibody (HA1001) at 1/50,000 dilution was used for 1 hour at room temperature.
Western blot analysis of ATG4B on different lysates with Rabbit anti-ATG4B antibody (HA721829) at 1/1,000 dilution. Lane 1: 293T-si NT cell lysate Lane 2: 293T-si ATG4B cell lysate Lysates/proteins at 10 µg/Lane. Predicted band size: 44 kDa Observed band size: 47 kDa Exposure time: 51 seconds; ECL: K1801; 4-20% SDS-PAGE gel. Proteins were transferred to a PVDF membrane and blocked with 5% NFDM/TBST for 1 hour at room temperature. The primary antibody (HA721829) at 1/1,000 dilution was used in 5% NFDM/TBST at 4℃ overnight. Goat Anti-Rabbit IgG - HRP Secondary Antibody (HA1001) at 1/50,000 dilution was used for 1 hour at room temperature.
quantity: 100μl
price: 385.00 USD
to the supplier
LC3B
HUABIO
catalog: HA750319
domestic rabbit monoclonal (JJ090-6)
reactivity:
human
,
mouse
,
rat
application:
western blot
,
immunoprecipitation
,
immunohistochemistry - paraffin section
Western blot analysis of LC3B on different lysates with Rabbit anti-LC3B antibody (HA750319) at 1/2,000 dilution and competitor's antibody at 1/1,000 dilution. Lane 1: HeLa cell lysate (20 µg/Lane) Lane 2: HeLa treated with 50μM Chloroquine for 18 hours cell lysate (20 µg/Lane) Lane 3: C2C12 cell lysate (20 µg/Lane) Lane 4: C2C12 treated with 50μM Chloroquine for 18 hours cell lysate (20 µg/Lane) Lane 5: C6 cell lysate (20 µg/Lane) Lane 6: C6 treated with 50μM Chloroquine for 18 hours cell lysate (20 µg/Lane) Lane 7: mouse brain tissue lysate (20 µg/Lane) Lane 8: rat brain tissue lysate (20 µg/Lane) Predicted band size: 14/16 kDa Observed band size: 14/16 kDa Exposure time: 3 minutes; 4-20% SDS-PAGE gel. Proteins were transferred to a PVDF membrane and blocked with 5% NFDM/TBST for 1 hour at room temperature. The primary antibody (HA750319) at 1/2,000 dilution and competitor's antibody at 1/1,000 dilution were used in 5% NFDM/TBST at 4℃ overnight. Goat Anti-Rabbit IgG - HRP Secondary Antibody (HA1001) at 1/50,000 dilution was used for 1 hour at room temperature.
Western blot analysis of LC3B on different lysates with Rabbit anti-LC3B antibody (HA750319) at 1/2,000 dilution. Lane 1: HeLa-si NT cell lysate (10 µg/Lane) Lane 2: HeLa-si LC3B cell lysate (10 µg/Lane) Predicted band size: 14/16 kDa Observed band size: 14/16 kDa Exposure time: 1 minute; ECL: K1801; 4-20% SDS-PAGE gel. Proteins were transferred to a PVDF membrane and blocked with 5% NFDM/TBST for 1 hour at room temperature. The primary antibody (HA750319) at 1/2,000 dilution was used in 5% NFDM/TBST at 4℃ overnight. Goat Anti-Rabbit IgG - HRP Secondary Antibody (HA1001) at 1/50,000 dilution was used for 1 hour at room temperature.
Western blot analysis of LC3B on different lysates with Rabbit anti-LC3B antibody (HA750319) at 1/2,000 dilution. Lane 1: HCT 116 cell lysate Lane 2: HCT 116 treated with 50μM Chloroquine for 18 hours cell lysate Lane 3: U-87 MG cell lysate Lane 4: C6 cell lysate Lane 5: Mouse brain tissue lysate Lane 6: Rat brain tissue lysate Lysates/proteins at 20 µg/Lane. Predicted band size: 14/16 kDa Observed band size: 14/16 kDa Exposure time: 26 seconds; ECL: K1801; 4-20% SDS-PAGE gel. Proteins were transferred to a PVDF membrane and blocked with 5% NFDM/TBST for 1 hour at room temperature. The primary antibody (HA750319) at 1/2,000 dilution was used in 5% NFDM/TBST at 4℃ overnight. Goat Anti-Rabbit IgG - HRP Secondary Antibody (HA1001) at 1/50,000 dilution was used for 1 hour at room temperature.
quantity: 100μl
price: 649.00 USD
to the supplier
ATG4B
HUABIO
catalog: HA750816
domestic rabbit monoclonal (PSH02-53)
reactivity:
human
,
mouse
,
rat
application:
western blot
Western blot analysis of ATG4B on different lysates with Rabbit anti-ATG4B antibody (HA750816) at 1/2,000 dilution and competitor's antibody at 1/2,000 dilution. Lane 1: HeLa cell lysate Lane 2: Jurkat cell lysate Lane 3: 293T cell lysate Lane 4: MCF7 cell lysate Lane 5: K-562 cell lysate Lane 6: COS-1 cell lysate Lane 7: NIH/3T3 cell lysate Lane 8: C2C12 cell lysate Lane 9: PC-12 cell lysate Lane 10: Mouse brain tissue lysate Lane 11: Rat brain tissue lysate Lane 12: Mouse kidney tissue lysate Lane 13: Mouse colon tissue lysate Lysates/proteins at 30 µg/Lane. Predicted band size: 44 kDa Observed band size: 47 kDa Exposure time: 42 seconds; ECL: K1802; 4-20% SDS-PAGE gel. Proteins were transferred to a PVDF membrane and blocked with 5% NFDM/TBST for 1 hour at room temperature. The primary antibody (HA750816) at 1/2,000 dilution and competitor's antibody at 1/2,000 dilution were used in 5% NFDM/TBST at 4℃ overnight. Goat Anti-Rabbit IgG - HRP Secondary Antibody (HA1001) at 1/50,000 dilution was used for 1 hour at room temperature.
Western blot analysis of ATG4B on different lysates with Rabbit anti-ATG4B antibody (HA750816) at 1/2,000 dilution. Lane 1: 293T cell lysate (20 µg/Lane) Lane 2: MCF7 cell lysate (20 µg/Lane) Lane 3: COS-1 cell lysate (20 µg/Lane) Lane 4: NIH/3T3 cell lysate (20 µg/Lane) Lane 5: PC-12 cell lysate (20 µg/Lane) Lane 6: Mouse brain tissue lysate (40 µg/Lane) Lane 7: Rat brain tissue lysate (40 µg/Lane) Predicted band size: 44 kDa Observed band size: 47 kDa Exposure time: 20 seconds; ECL: K1801; 4-20% SDS-PAGE gel. Proteins were transferred to a PVDF membrane and blocked with 5% NFDM/TBST for 1 hour at room temperature. The primary antibody (HA750816) at 1/2,000 dilution was used in 5% NFDM/TBST at 4℃ overnight. Goat Anti-Rabbit IgG - HRP Secondary Antibody (HA1001) at 1/50,000 dilution was used for 1 hour at room temperature.
Western blot analysis of ATG4B on different lysates with Rabbit anti-ATG4B antibody (HA750816) at 1/1,000 dilution. Lane 1: 293T-si NT cell lysate Lane 2: 293T-si ATG4B cell lysate Lysates/proteins at 10 µg/Lane. Predicted band size: 44 kDa Observed band size: 47 kDa Exposure time: 51 seconds; ECL: K1801; 4-20% SDS-PAGE gel. Proteins were transferred to a PVDF membrane and blocked with 5% NFDM/TBST for 1 hour at room temperature. The primary antibody (HA750816) at 1/1,000 dilution was used in 5% NFDM/TBST at 4℃ overnight. Goat Anti-Rabbit IgG - HRP Secondary Antibody (HA1001) at 1/50,000 dilution was used for 1 hour at room temperature.
quantity: 100μl
price: 649.00 USD
to the supplier
Anti-LC3B Antibody [JJ090-6]
HUABIO
catalog: ET1701-65TR
domestic rabbit monoclonal (JJ090-6)
reactivity:
human
,
mouse
,
rat
application:
western blot
,
immunoprecipitation
quantity: 20 uL
price: 99 USD
to the supplier
LC3B
HUABIO
catalog: HA601532
domestic rabbit polyclonal (JJ090-6)
reactivity:
human
,
mouse
,
rat
application:
western blot
,
immunohistochemistry - paraffin section
Western blot analysis of LC3B on different lysates with Mouse anti-LC3B antibody (HA601532) at 1/5,000 dilution. Lane 1: HeLa cell lysate Lane 2: HeLa treated with 50μM Chloroquine for 18 hours cell lysate Lane 3: Mouse brain tissue lysate Lane 4: Rat brain tissue lysate Lysates/proteins at 10 µg/Lane. Predicted band size: 14/16 kDa Observed band size: 14/16 kDa Exposure time: 42 seconds; ECL: K1801; 4-20% SDS-PAGE gel. Proteins were transferred to a PVDF membrane and blocked with 5% NFDM/TBST for 1 hour at room temperature. The primary antibody (HA601532) at 1/5,000 dilution was used in primary antibody dilution (K1803) at 4℃ overnight. Goat Anti-Mouse IgG - HRP Secondary Antibody (HA1006) at 1/50,000 dilution was used for 1 hour at room temperature.
Immunocytochemistry analysis of HeLa cells untreated / treated with 50μM Chloroquine for 18 hours labeling LC3B with Mouse anti-LC3B antibody (HA601532) at 1/200 dilution. Cells were fixed in 4% paraformaldehyde for 15 minutes at room temperature, permeabilized with 0.1% Triton X-100 in PBS for 15 minutes at room temperature, then blocked with 1% BSA in 10% negative goat serum for 1 hour at room temperature. Cells were then incubated with Mouse anti-LC3B antibody (HA601532) at 1/200 dilution in 1% BSA in PBST overnight at 4 ℃. Goat Anti-Mouse IgG H&L (iFluor™ 488, HA1125) was used as the secondary antibody at 1/1,000 dilution. PBS instead of the primary antibody was used as the secondary antibody only control. Nuclear DNA was labelled in blue with DAPI. beta Tubulin (ET1602-4, red) was stained at 1/100 dilution overnight at +4℃. Goat Anti-Rabbit IgG H&L (iFluor™ 594, HA1122) were used as the secondary antibody at 1/1,000 dilution.
Immunohistochemical analysis of paraffin-embedded mouse brain tissue with Mouse anti-LC3B antibody (HA601532) at 1/2,000 dilution. The section was pre-treated using heat mediated antigen retrieval with Tris-EDTA buffer (pH 9.0) for 20 minutes. The tissues were blocked in 1% BSA for 20 minutes at room temperature, washed with ddH2O and PBS, and then probed with the primary antibody (HA601532) at 1/2,000 dilution for 1 hour at room temperature. The detection was performed using an HRP conjugated compact polymer system. DAB was used as the chromogen. Tissues were counterstained with hematoxylin and mounted with DPX.
quantity: 100μl
price: 360.00 USD
to the supplier
LC3B
HUABIO
catalog: HA610352
domestic rabbit polyclonal (JJ090-6)
reactivity:
human
,
mouse
,
rat
application:
western blot
,
immunohistochemistry - paraffin section
Western blot analysis of LC3B on different lysates with Mouse anti-LC3B antibody (HA610352) at 1/5,000 dilution. Lane 1: HeLa cell lysate Lane 2: HeLa treated with 50μM Chloroquine for 18 hours cell lysate Lane 3: Mouse brain tissue lysate Lane 4: Rat brain tissue lysate Lysates/proteins at 10 µg/Lane. Predicted band size: 14/16 kDa Observed band size: 14/16 kDa Exposure time: 42 seconds; ECL: K1801; 4-20% SDS-PAGE gel. Proteins were transferred to a PVDF membrane and blocked with 5% NFDM/TBST for 1 hour at room temperature. The primary antibody (HA610352) at 1/5,000 dilution was used in primary antibody dilution (K1803) at 4℃ overnight. Goat Anti-Mouse IgG - HRP Secondary Antibody (HA1006) at 1/50,000 dilution was used for 1 hour at room temperature.
Immunocytochemistry analysis of HeLa cells untreated / treated with 50μM Chloroquine for 18 hours labeling LC3B with Mouse anti-LC3B antibody (HA610352) at 1/200 dilution. Cells were fixed in 4% paraformaldehyde for 15 minutes at room temperature, permeabilized with 0.1% Triton X-100 in PBS for 15 minutes at room temperature, then blocked with 1% BSA in 10% negative goat serum for 1 hour at room temperature. Cells were then incubated with Mouse anti-LC3B antibody (HA610352) at 1/200 dilution in 1% BSA in PBST overnight at 4 ℃. Goat Anti-Mouse IgG H&L (iFluor™ 488, HA1125) was used as the secondary antibody at 1/1,000 dilution. PBS instead of the primary antibody was used as the secondary antibody only control. Nuclear DNA was labelled in blue with DAPI. beta Tubulin (ET1602-4, red) was stained at 1/100 dilution overnight at +4℃. Goat Anti-Rabbit IgG H&L (iFluor™ 594, HA1122) were used as the secondary antibody at 1/1,000 dilution.
Immunohistochemical analysis of paraffin-embedded mouse brain tissue with Mouse anti-LC3B antibody (HA610352) at 1/2,000 dilution. The section was pre-treated using heat mediated antigen retrieval with Tris-EDTA buffer (pH 9.0) for 20 minutes. The tissues were blocked in 1% BSA for 20 minutes at room temperature, washed with ddH2O and PBS, and then probed with the primary antibody (HA610352) at 1/2,000 dilution for 1 hour at room temperature. The detection was performed using an HRP conjugated compact polymer system. DAB was used as the chromogen. Tissues were counterstained with hematoxylin and mounted with DPX.
quantity: 100μl
price: 385.00 USD
to the supplier