domestic rabbit monoclonal (PSH09-73)
reactivity: human
application: western blot, immunohistochemistry - paraffin section
reactivity: human
application: western blot, immunohistochemistry - paraffin section

Western blot analysis of Nectin-4 on different lysates with Rabbit anti-Nectin-4 antibody (HA723138) at 1/2,000 dilution. Lane 1: MCF7 cell lysate (15 µg/Lane) Lane 2: A549 cell lysate (negative) (15 µg/Lane) Lane 3: MDA-MB-231 cell lysate (negative) (15 µg/Lane) Lane 4: T-47D cell lysate (15 µg/Lane) Predicted band size: 55 kDa Observed band size: 45-70 kDa Exposure time: 42 seconds; ECL: K1801; 4-20% SDS-PAGE gel. Proteins were transferred to a PVDF membrane and blocked with 5% NFDM/TBST for 1 hour at room temperature. The primary antibody (HA723138) at 1/2,000 dilution was used in 5% NFDM/TBST at 4℃ overnight. Goat Anti-Rabbit IgG - HRP Secondary Antibody (HA1001) at 1/50,000 dilution was used for 1 hour at room temperature.

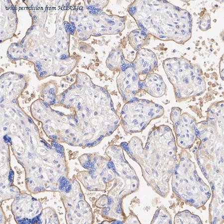
Immunohistochemical analysis of paraffin-embedded human placenta tissue with Rabbit anti-Nectin-4 antibody (HA723138) at 1/1,000 dilution. The section was pre-treated using heat mediated antigen retrieval with Tris-EDTA buffer (pH 9.0) for 20 minutes. The tissues were blocked in 1% BSA for 20 minutes at room temperature, washed with ddH2O and PBS, and then probed with the primary antibody (HA723138) at 1/1,000 dilution for 1 hour at room temperature. The detection was performed using an HRP conjugated compact polymer system. DAB was used as the chromogen. Tissues were counterstained with hematoxylin and mounted with DPX.

Immunohistochemical analysis of paraffin-embedded human skin tissue with Rabbit anti-Nectin-4 antibody (HA723138) at 1/200 dilution. The section was pre-treated using heat mediated antigen retrieval with Tris-EDTA buffer (pH 9.0) for 20 minutes. The tissues were blocked in 1% BSA for 20 minutes at room temperature, washed with ddH2O and PBS, and then probed with the primary antibody (HA723138) at 1/200 dilution for 1 hour at room temperature. The detection was performed using an HRP conjugated compact polymer system. DAB was used as the chromogen. Tissues were counterstained with hematoxylin and mounted with DPX.
quantity: 100μl
price: 385.00 USD
to the supplier
domestic rabbit monoclonal (PSH12-57)
reactivity: human
application: ELISA
reactivity: human
application: ELISA

Sandwich ELISA analysis of human Nectin-4 matched pair antibodies Capture: HA723470, Human Nectin-4 Rabbit mAb [PSH12-57] Detector: HA723471, Human Nectin-4 Rabbit mAb [PSH12-58] Elisa assay was performed by coating wells of a 96-well plate with 50 µl per well of capture antibody (HA723470) diluted in carbonate/bicarbonate buffer, at a concentration of 2 µg/ml overnight at 4℃. Wells of the plate were washed, blocked with 150 µl 0.05% tween-20 1% BSA blocking buffer, and incubated with serial diluted Recombinant Human Nectin-4 protein (HA210883) starting from 5,000 pg/ml to 0 pg/ml and detect antibody (HA723471, Biotin, 0.2 µg/ml) for 1 hour at 30℃ with shaking. Then the plate was washed and incubated with 50 µl per well of SA-HRP for 0.5 hour at 30℃ with shaking. Detection was performed using an Ultra TMB Substrate for 10 minutes at room temperature in the dark. The reaction was stopped with sulfuric acid and absorbances were read on a spectrophotometer at 450 nm.

Interpolated concentrations of native Nectin-4 in MCF7 and MDA-MB-231 extract samples based on a 1,000 µg/ml extract load. Capture: HA723470, Human Nectin-4 Rabbit mAb [PSH12-57] Detector: HA723471, Human Nectin-4 Rabbit mAb [PSH12-58] The concentrations of Nectin-4 were measured in triplicates, interpolated from the Nectin-4 standard curve and corrected for sample dilution. Undiluted samples are MCF7 extract 100% and MDA-MB-231 extract 50%. The interpolated dilution factor corrected values are plotted (mean +/- SD, n=3). The mean Nectin-4 concentration was determined to be 1,829 pg/ml in MCF7 extract and undetectable in MDA-MB-231 extract.

Interpolated concentrations of native Nectin-4 in human urine samples. Capture: HA723470, Human Nectin-4 Rabbit mAb [PSH12-57] Detector: HA723471, Human Nectin-4 Rabbit mAb [PSH12-58] The concentrations of Nectin-4 were interpolated from the Nectin-4 standard curve and corrected for sample dilution. Undiluted samples are human urine 50%. The mean Nectin-4 concentration was determined to be 3,260 pg/ml in human urine.
quantity: 100μl
price: 649.00 USD
to the supplier
domestic rabbit monoclonal (PSH12-58)
reactivity: human
application: ELISA
reactivity: human
application: ELISA

Sandwich ELISA analysis of human Nectin-4 matched pair antibodies Capture: HA723470, Human Nectin-4 Rabbit mAb [PSH12-57] Detector: HA723471, Human Nectin-4 Rabbit mAb [PSH12-58] Elisa assay was performed by coating wells of a 96-well plate with 50 µl per well of capture antibody (HA723470) diluted in carbonate/bicarbonate buffer, at a concentration of 2 µg/ml overnight at 4℃. Wells of the plate were washed, blocked with 150 µl 0.05% tween-20 1% BSA blocking buffer, and incubated with serial diluted Recombinant Human Nectin-4 protein (HA210883) starting from 5,000 pg/ml to 0 pg/ml and detect antibody (HA723471, Biotin, 0.2 µg/ml) for 1 hour at 30℃ with shaking. Then the plate was washed and incubated with 50 µl per well of SA-HRP for 0.5 hour at 30℃ with shaking. Detection was performed using an Ultra TMB Substrate for 10 minutes at room temperature in the dark. The reaction was stopped with sulfuric acid and absorbances were read on a spectrophotometer at 450 nm.

Interpolated concentrations of native Nectin-4 in MCF7 and MDA-MB-231 extract samples based on a 1,000 µg/ml extract load. Capture: HA723470, Human Nectin-4 Rabbit mAb [PSH12-57] Detector: HA723471, Human Nectin-4 Rabbit mAb [PSH12-58] The concentrations of Nectin-4 were measured in triplicates, interpolated from the Nectin-4 standard curve and corrected for sample dilution. Undiluted samples are MCF7 extract 100% and MDA-MB-231 extract 50%. The interpolated dilution factor corrected values are plotted (mean +/- SD, n=3). The mean Nectin-4 concentration was determined to be 1,829 pg/ml in MCF7 extract and undetectable in MDA-MB-231 extract.

Interpolated concentrations of native Nectin-4 in human urine samples. Capture: HA723470, Human Nectin-4 Rabbit mAb [PSH12-57] Detector: HA723471, Human Nectin-4 Rabbit mAb [PSH12-58] The concentrations of Nectin-4 were interpolated from the Nectin-4 standard curve and corrected for sample dilution. Undiluted samples are human urine 50%. The mean Nectin-4 concentration was determined to be 3,260 pg/ml in human urine.
quantity: 100μl
price: 649.00 USD
to the supplier
domestic rabbit monoclonal (PSH12-58)
reactivity: human
conjugate: biotin
application: ELISA
reactivity: human
conjugate: biotin
application: ELISA

Sandwich ELISA analysis of human Nectin-4 matched pair antibodies Capture: HA723470, Human Nectin-4 Rabbit mAb [PSH12-57] Detector: HA723471, Human Nectin-4 Rabbit mAb [PSH12-58] Elisa assay was performed by coating wells of a 96-well plate with 50 µl per well of capture antibody (HA723470) diluted in carbonate/bicarbonate buffer, at a concentration of 2 µg/ml overnight at 4℃. Wells of the plate were washed, blocked with 150 µl 0.05% tween-20 1% BSA blocking buffer, and incubated with serial diluted Recombinant Human Nectin-4 protein (HA210883) starting from 5,000 pg/ml to 0 pg/ml and detect antibody (HA723471, Biotin, 0.2 µg/ml) for 1 hour at 30℃ with shaking. Then the plate was washed and incubated with 50 µl per well of SA-HRP for 0.5 hour at 30℃ with shaking. Detection was performed using an Ultra TMB Substrate for 10 minutes at room temperature in the dark. The reaction was stopped with sulfuric acid and absorbances were read on a spectrophotometer at 450 nm.

Interpolated concentrations of native Nectin-4 in MCF7 and MDA-MB-231 extract samples based on a 1,000 µg/ml extract load. Capture: HA723470, Human Nectin-4 Rabbit mAb [PSH12-57] Detector: HA723471, Human Nectin-4 Rabbit mAb [PSH12-58] The concentrations of Nectin-4 were measured in triplicates, interpolated from the Nectin-4 standard curve and corrected for sample dilution. Undiluted samples are MCF7 extract 100% and MDA-MB-231 extract 50%. The interpolated dilution factor corrected values are plotted (mean +/- SD, n=3). The mean Nectin-4 concentration was determined to be 1,829 pg/ml in MCF7 extract and undetectable in MDA-MB-231 extract.

Interpolated concentrations of native Nectin-4 in human urine samples. Capture: HA723470, Human Nectin-4 Rabbit mAb [PSH12-57] Detector: HA723471, Human Nectin-4 Rabbit mAb [PSH12-58] The concentrations of Nectin-4 were interpolated from the Nectin-4 standard curve and corrected for sample dilution. Undiluted samples are human urine 50%. The mean Nectin-4 concentration was determined to be 3,260 pg/ml in human urine.
quantity: 100μl
price: 409.00 USD
to the supplier
domestic rabbit monoclonal (PSH09-73)
reactivity: human
application: western blot, immunohistochemistry - paraffin section
reactivity: human
application: western blot, immunohistochemistry - paraffin section

Western blot analysis of Nectin-4 on different lysates with Rabbit anti-Nectin-4 antibody (HA751315) at 1/2,000 dilution. Lane 1: MCF7 cell lysate (15 µg/Lane) Lane 2: A549 cell lysate (negative) (15 µg/Lane) Lane 3: MDA-MB-231 cell lysate (negative) (15 µg/Lane) Lane 4: T-47D cell lysate (15 µg/Lane) Predicted band size: 55 kDa Observed band size: 45-70 kDa Exposure time: 42 seconds; ECL: K1801; 4-20% SDS-PAGE gel. Proteins were transferred to a PVDF membrane and blocked with 5% NFDM/TBST for 1 hour at room temperature. The primary antibody (HA751315) at 1/2,000 dilution was used in 5% NFDM/TBST at 4℃ overnight. Goat Anti-Rabbit IgG - HRP Secondary Antibody (HA1001) at 1/50,000 dilution was used for 1 hour at room temperature.

Immunohistochemical analysis of paraffin-embedded human placenta tissue with Rabbit anti-Nectin-4 antibody (HA751315) at 1/1,000 dilution. The section was pre-treated using heat mediated antigen retrieval with Tris-EDTA buffer (pH 9.0) for 20 minutes. The tissues were blocked in 1% BSA for 20 minutes at room temperature, washed with ddH2O and PBS, and then probed with the primary antibody (HA751315) at 1/1,000 dilution for 1 hour at room temperature. The detection was performed using an HRP conjugated compact polymer system. DAB was used as the chromogen. Tissues were counterstained with hematoxylin and mounted with DPX.

Immunohistochemical analysis of paraffin-embedded human skin tissue with Rabbit anti-Nectin-4 antibody (HA751315) at 1/200 dilution. The section was pre-treated using heat mediated antigen retrieval with Tris-EDTA buffer (pH 9.0) for 20 minutes. The tissues were blocked in 1% BSA for 20 minutes at room temperature, washed with ddH2O and PBS, and then probed with the primary antibody (HA751315) at 1/200 dilution for 1 hour at room temperature. The detection was performed using an HRP conjugated compact polymer system. DAB was used as the chromogen. Tissues were counterstained with hematoxylin and mounted with DPX.
quantity: 100μl
price: 649.00 USD
to the supplier
