domestic rabbit monoclonal (SU03-57)
reactivity: human, mouse, rat
application: western blot, flow cytometry, immunohistochemistry - paraffin section, immunohistochemistry - frozen section
reactivity: human, mouse, rat
application: western blot, flow cytometry, immunohistochemistry - paraffin section, immunohistochemistry - frozen section

Western blot analysis of CaMKII on different lysates with Rabbit anti-CaMKII antibody (ET1608-47) at 1/1,000 dilution. Lane 1: SHG-44 cell lysate Lane 2: PC-12 cell lysate Lane 3: Neuro-2a cell lysate Lysates/proteins at 30 µg/Lane. Predicted band size: 54 kDa Observed band size: 50 kDa Exposure time: 14 seconds; ECL: K1801; 4-20% SDS-PAGE gel. Proteins were transferred to a PVDF membrane and blocked with 5% NFDM/TBST for 1 hour at room temperature. The primary antibody (ET1608-47) at 1/1,000 dilution was used in 5% NFDM/TBST at 4℃ overnight. Goat Anti-Rabbit IgG - HRP Secondary Antibody (HA1001) at 1/50,000 dilution was used for 1 hour at room temperature.

Immunocytochemistry analysis of PC-12 cells labeling CaMKII with Rabbit anti-CaMKII antibody (ET1608-47) at 1/100 dilution. Cells were fixed in 4% paraformaldehyde for 15 minutes at room temperature, permeabilized with 0.1% Triton X-100 in PBS for 15 minutes at room temperature, then blocked with 1% BSA in 10% negative goat serum for 1 hour at room temperature. Cells were then incubated with Rabbit anti-CaMKII antibody (ET1608-47) at 1/100 dilution in 1% BSA in PBST overnight at 4 ℃. Goat Anti-Rabbit IgG H&L (iFluor™ 488, HA1121) was used as the secondary antibody at 1/1,000 dilution. PBS instead of the primary antibody was used as the secondary antibody only control. Nuclear DNA was labelled in blue with DAPI. Beta tubulin (M1305-2, red) was stained at 1/100 dilution overnight at +4℃. Goat Anti-Mouse IgG H&L (iFluor™ 594, HA1126) was used as the secondary antibody at 1/1,000 dilution.

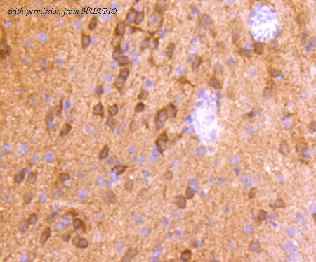
Immunohistochemical analysis of paraffin-embedded rat brain tissue using anti-CaMKII antibody. The section was pre-treated using heat mediated antigen retrieval with Tris-EDTA buffer (pH 8.0-8.4) for 20 minutes.The tissues were blocked in 5% BSA for 30 minutes at room temperature, washed with ddH2O and PBS, and then probed with the primary antibody (ET1608-47, 1/50) for 30 minutes at room temperature. The detection was performed using an HRP conjugated compact polymer system. DAB was used as the chromogen. Tissues were counterstained with hematoxylin and mounted with DPX.
quantity: 100μl
price: 385.00 USD
to the supplier
domestic rabbit monoclonal (JM11-07)
reactivity: human, mouse, rat
application: western blot, immunoprecipitation, flow cytometry, immunohistochemistry - paraffin section, immunohistochemistry - frozen section
reactivity: human, mouse, rat
application: western blot, immunoprecipitation, flow cytometry, immunohistochemistry - paraffin section, immunohistochemistry - frozen section

Application: IHC-Fr Species: Mouse Site: Cerebral cortex Sample: Frozen section Antibody concentration: 1: 200 Antigen retrieval: The section was pre-treated using heat mediated antigen retrieval with sodium citrate buffer (pH 6.0) for about 2 minutes in microwave oven.

Application: IF-tissue Species: Mouse Site: Cerebral cortex Sample: Paraffin-embedded section Antibody concentration: 1: 500

Application: IF-tissue Species: Rat Site: Cerebral cortex Sample: Paraffin-embedded section Antibody concentration: 1: 500
quantity: 100μl
price: 385.00 USD
to the supplier
domestic rabbit monoclonal (JE51-81)
reactivity: human, mouse, rat
application: western blot
reactivity: human, mouse, rat
application: western blot

Western blot analysis of Phospho-CaMKII (T286) on different lysates with Rabbit anti-Phospho-CaMKII (T286) antibody (HA721794) at 1/1,000 dilution. Lane 1: Human brain tissue lysate Lane 2: Mouse brain tissue lysate Lane 3: Rat brain tissue lysate Lane 4: Mouse brain tissue lysate, the membrane treated with λpp for 1 hour Lysates/proteins at 30 µg/Lane. Predicted band size: 54~73 kDa Observed band size: 50~60 kDa Exposure time: 53 seconds; 4-20% SDS-PAGE gel. Proteins were transferred to a PVDF membrane and blocked with 5% NFDM/TBST for 1 hour at room temperature. The primary antibody (HA721794) at 1/1,000 dilution was used in 5% NFDM/TBST at 4℃ overnight. Goat Anti-Rabbit IgG - HRP Secondary Antibody (HA1001) at 1/50,000 dilution was used for 1 hour at room temperature.
quantity: 100μl
price: 385.00 USD
to the supplier
domestic rabbit monoclonal (SU03-57)
reactivity: human, mouse, rat
application: western blot, flow cytometry, immunohistochemistry - paraffin section, immunohistochemistry - frozen section
reactivity: human, mouse, rat
application: western blot, flow cytometry, immunohistochemistry - paraffin section, immunohistochemistry - frozen section

Western blot analysis of CaMKII on different lysates with Rabbit anti-CaMKII antibody (HA750150) at 1/1,000 dilution. Lane 1: SHG-44 cell lysate Lane 2: PC-12 cell lysate Lane 3: Neuro-2a cell lysate Lysates/proteins at 30 µg/Lane. Predicted band size: 54 kDa Observed band size: 50 kDa Exposure time: 14 seconds; ECL: K1801; 4-20% SDS-PAGE gel. Proteins were transferred to a PVDF membrane and blocked with 5% NFDM/TBST for 1 hour at room temperature. The primary antibody (HA750150) at 1/1,000 dilution was used in 5% NFDM/TBST at 4℃ overnight. Goat Anti-Rabbit IgG - HRP Secondary Antibody (HA1001) at 1/50,000 dilution was used for 1 hour at room temperature.

Immunocytochemistry analysis of PC-12 cells labeling CaMKII with Rabbit anti-CaMKII antibody (HA750150) at 1/100 dilution. Cells were fixed in 4% paraformaldehyde for 15 minutes at room temperature, permeabilized with 0.1% Triton X-100 in PBS for 15 minutes at room temperature, then blocked with 1% BSA in 10% negative goat serum for 1 hour at room temperature. Cells were then incubated with Rabbit anti-CaMKII antibody (HA750150) at 1/100 dilution in 1% BSA in PBST overnight at 4 ℃. Goat Anti-Rabbit IgG H&L (iFluor™ 488, HA1121) was used as the secondary antibody at 1/1,000 dilution. PBS instead of the primary antibody was used as the secondary antibody only control. Nuclear DNA was labelled in blue with DAPI. Beta tubulin (M1305-2, red) was stained at 1/100 dilution overnight at +4℃. Goat Anti-Mouse IgG H&L (iFluor™ 594, HA1126) was used as the secondary antibody at 1/1,000 dilution.

Immunohistochemical analysis of paraffin-embedded rat brain tissue using anti-CaMKII antibody. The section was pre-treated using heat mediated antigen retrieval with Tris-EDTA buffer (pH 8.0-8.4) for 20 minutes.The tissues were blocked in 5% BSA for 30 minutes at room temperature, washed with ddH2O and PBS, and then probed with the primary antibody (HA750150, 1/50) for 30 minutes at room temperature. The detection was performed using an HRP conjugated compact polymer system. DAB was used as the chromogen. Tissues were counterstained with hematoxylin and mounted with DPX.
quantity: 100μl
price: 649.00 USD
to the supplier
