Sign in
Sign up
home
>
HUABIO
> HUABIO FXR1 antibody
FXR1
HUABIO
catalog: ER1909-14
domestic rabbit polyclonal
reactivity:
human
,
mouse
,
rat
application:
western blot
,
flow cytometry
,
immunohistochemistry - paraffin section
Western blot analysis of FXR1 on different lysates with Rabbit anti-FXR1 antibody (ER1909-14) at 1/2,000 dilution. Lane 1: HeLa cell lysate Lane 2: COS-1 cell lysate Lane 3: C2C12 cell lysate Lane 4: PC-12 cell lysate Lysates/proteins at 20 µg/Lane. Predicted band size: 70 kDa Observed band size: 70/75/80 kDa Exposure time: 4 seconds; ECL: K1801; 4-20% SDS-PAGE gel. Proteins were transferred to a PVDF membrane and blocked with 5% NFDM/TBST for 1 hour at room temperature. The primary antibody (ER1909-14) at 1/2,000 dilution was used in 5% NFDM/TBST at 4℃ overnight. Goat Anti-Rabbit IgG - HRP Secondary Antibody (HA1001) at 1/50,000 dilution was used for 1 hour at room temperature.
Immunocytochemistry analysis of C2C12 cells labeling FXR1 with Rabbit anti-FXR1 antibody (ER1909-14) at 1/1,000 dilution. Cells were fixed in 4% paraformaldehyde for 15 minutes at room temperature, permeabilized with 0.1% Triton X-100 in PBS for 15 minutes at room temperature, then blocked with 1% BSA in 10% negative goat serum for 1 hour at room temperature. Cells were then incubated with Rabbit anti-FXR1 antibody (ER1909-14) at 1/1,000 dilution in 1% BSA in PBST overnight at 4 ℃. Goat Anti-Rabbit IgG H&L (iFluor™ 488, HA1121) was used as the secondary antibody at 1/1,000 dilution. PBS instead of the primary antibody was used as the secondary antibody only control. Nuclear DNA was labelled in blue with DAPI. Beta tubulin (HA601187, red) was stained at 1/100 dilution overnight at +4℃. Goat Anti-Mouse IgG H&L (iFluor™ 594, HA1126) was used as the secondary antibody at 1/1,000 dilution.
Immunocytochemistry analysis of PC-12 cells labeling FXR1 with Rabbit anti-FXR1 antibody (ER1909-14) at 1/1,000 dilution. Cells were fixed in 4% paraformaldehyde for 15 minutes at room temperature, permeabilized with 0.1% Triton X-100 in PBS for 15 minutes at room temperature, then blocked with 1% BSA in 10% negative goat serum for 1 hour at room temperature. Cells were then incubated with Rabbit anti-FXR1 antibody (ER1909-14) at 1/1,000 dilution in 1% BSA in PBST overnight at 4 ℃. Goat Anti-Rabbit IgG H&L (iFluor™ 488, HA1121) was used as the secondary antibody at 1/1,000 dilution. PBS instead of the primary antibody was used as the secondary antibody only control. Nuclear DNA was labelled in blue with DAPI. Beta tubulin (HA601187, red) was stained at 1/100 dilution overnight at +4℃. Goat Anti-Mouse IgG H&L (iFluor™ 594, HA1126) was used as the secondary antibody at 1/1,000 dilution.
quantity: 100μl
price: 330 USD
to the supplier
FXR1
HUABIO
catalog: HA721499
domestic rabbit monoclonal (JE40-57)
reactivity:
human
,
mouse
,
rat
application:
western blot
,
immunoprecipitation
,
flow cytometry
,
immunohistochemistry - paraffin section
Western blot analysis of FXR1 on different lysates with Rabbit anti-FXR1 antibody (HA721499) at 1/1,000 dilution. Lane 1: HEK-293 cell lysate Lane 2: A549 cell lysate Lane 3: K-562 cell lysate Lane 4: Jurkat cell lysate Lane 5: HepG2 cell lysate Lane 6: HeLa cell lysate Lane 7: C2C12 cell lysate Lane 8: NIH/3T3 cell lysate Lane 9: PC-12 cell lysate Lysates/proteins at 20 µg/Lane. Predicted band size: 70 kDa Observed band size: 70/75 kDa Exposure time: 1 minute 55 seconds; 4-20% SDS-PAGE gel. Proteins were transferred to a PVDF membrane and blocked with 5% NFDM/TBST for 1 hour at room temperature. The primary antibody (HA721499) at 1/1,000 dilution was used in 5% NFDM/TBST at 4℃ overnight. Goat Anti-Rabbit IgG - HRP Secondary Antibody (HA1001) at 1:100,000 dilution was used for 1 hour at room temperature.
Immunohistochemical analysis of paraffin-embedded human brain tissue with Rabbit anti-FXR1 antibody (HA721499) at 1/1,000 dilution. The section was pre-treated using heat mediated antigen retrieval with Tris-EDTA buffer (pH 9.0) for 20 minutes. The tissues were blocked in 1% BSA for 20 minutes at room temperature, washed with ddH2O and PBS, and then probed with the primary antibody (HA721499) at 1/1,000 dilution for 1 hour at room temperature. The detection was performed using an HRP conjugated compact polymer system. DAB was used as the chromogen. Tissues were counterstained with hematoxylin and mounted with DPX.
Immunohistochemical analysis of paraffin-embedded mouse brain tissue with Rabbit anti-FXR1 antibody (HA721499) at 1/1,000 dilution. The section was pre-treated using heat mediated antigen retrieval with Tris-EDTA buffer (pH 9.0) for 20 minutes. The tissues were blocked in 1% BSA for 20 minutes at room temperature, washed with ddH2O and PBS, and then probed with the primary antibody (HA721499) at 1/1,000 dilution for 1 hour at room temperature. The detection was performed using an HRP conjugated compact polymer system. DAB was used as the chromogen. Tissues were counterstained with hematoxylin and mounted with DPX.
quantity: 100μl
price: 385.00 USD
to the supplier
FXR1
HUABIO
catalog: HA721669
domestic rabbit monoclonal (PSH01-35)
reactivity:
human
,
mouse
,
rat
application:
western blot
,
immunoprecipitation
,
immunohistochemistry - paraffin section
Western blot analysis of FXR1 on different lysates with Rabbit anti-FXR1 antibody (HA721669) at 1/1,000 dilution. Lane 1: HeLa cell lysate Lane 2: 293T cell lysate Lane 3: HepG2 cell lysate Lane 4: A549 cell lysate Lane 5: K-562 cell lysate Lane 6: COS-1 cell lysate Lane 7: NIH/3T3 cell lysate Lane 8: C2C12 cell lysate Lane 9: PC-12 cell lysate Lysates/proteins at 30 µg/Lane. Predicted band size: 70 kDa Observed band size: 70/75 kDa Exposure time: 3 minutes 10 seconds; 4-20% SDS-PAGE gel. Proteins were transferred to a PVDF membrane and blocked with 5% NFDM/TBST for 1 hour at room temperature. The primary antibody (HA721669) at 1/1,000 dilution was used in 5% NFDM/TBST at room temperature for 2 hours. Goat Anti-Rabbit IgG - HRP Secondary Antibody (HA1001) at 1/100,000 dilution was used for 1 hour at room temperature.
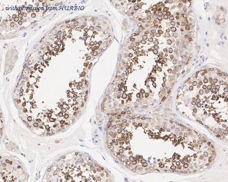
Immunohistochemical analysis of paraffin-embedded human testis tissue with Rabbit anti-FXR1 antibody (HA721669) at 1/200 dilution. The section was pre-treated using heat mediated antigen retrieval with Tris-EDTA buffer (pH 9.0) for 20 minutes. The tissues were blocked in 1% BSA for 20 minutes at room temperature, washed with ddH2O and PBS, and then probed with the primary antibody (HA721669) at 1/200 dilution for 1 hour at room temperature. The detection was performed using an HRP conjugated compact polymer system. DAB was used as the chromogen. Tissues were counterstained with hematoxylin and mounted with DPX.
Immunohistochemical analysis of paraffin-embedded mouse brain tissue with Rabbit anti-FXR1 antibody (HA721669) at 1/200 dilution. The section was pre-treated using heat mediated antigen retrieval with Tris-EDTA buffer (pH 9.0) for 20 minutes. The tissues were blocked in 1% BSA for 20 minutes at room temperature, washed with ddH2O and PBS, and then probed with the primary antibody (HA721669) at 1/200 dilution for 1 hour at room temperature. The detection was performed using an HRP conjugated compact polymer system. DAB was used as the chromogen. Tissues were counterstained with hematoxylin and mounted with DPX.
quantity: 100μl
price: 385.00 USD
to the supplier
FXR1
HUABIO
catalog: HA721710
domestic rabbit monoclonal (PSH01-67)
reactivity:
human
,
mouse
,
rat
application:
western blot
,
immunoprecipitation
,
flow cytometry
,
immunohistochemistry - paraffin section
Western blot analysis of FXR1 on different lysates with Rabbit anti-FXR1 antibody (HA721710) at 1/1,000 dilution. Lane 1: HeLa cell lysate Lane 2: 293T cell lysate Lane 3: HepG2 cell lysate Lane 4: A549 cell lysate Lane 5: K-562 cell lysate Lane 6: COS-1 cell lysate Lane 7: NIH/3T3 cell lysate Lane 8: C2C12 cell lysate Lane 9: PC-12 cell lysate Lane 10: Mouse skeletal muscle tissue lysate Lane 11: Rat skeletal muscle tissue lysate Lysates/proteins at 30 µg/Lane. Predicted band size: 70 kDa Observed band size: 70/75 kDa Exposure time: 1 minute 2 seconds; 4-20% SDS-PAGE gel. Proteins were transferred to a PVDF membrane and blocked with 5% NFDM/TBST for 1 hour at room temperature. The primary antibody (HA721710) at 1/1,000 dilution was used in 5% NFDM/TBST at room temperature for 2 hours. Goat Anti-Rabbit IgG - HRP Secondary Antibody (HA1001) at 1/10,000 dilution was used for 1 hour at room temperature.
Immunohistochemical analysis of paraffin-embedded human brain tissue with Rabbit anti-FXR1 antibody (HA721710) at 1/1,000 dilution. The section was pre-treated using heat mediated antigen retrieval with Tris-EDTA buffer (pH 9.0) for 20 minutes. The tissues were blocked in 1% BSA for 20 minutes at room temperature, washed with ddH2O and PBS, and then probed with the primary antibody (HA721710) at 1/1,000 dilution for 1 hour at room temperature. The detection was performed using an HRP conjugated compact polymer system. DAB was used as the chromogen. Tissues were counterstained with hematoxylin and mounted with DPX.
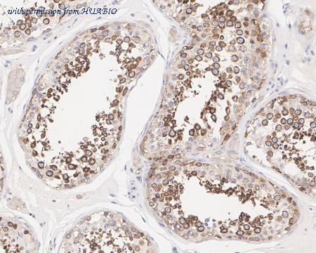
Immunohistochemical analysis of paraffin-embedded human testis tissue with Rabbit anti-FXR1 antibody (HA721710) at 1/3,000 dilution. The section was pre-treated using heat mediated antigen retrieval with Tris-EDTA buffer (pH 9.0) for 20 minutes. The tissues were blocked in 1% BSA for 20 minutes at room temperature, washed with ddH2O and PBS, and then probed with the primary antibody (HA721710) at 1/3,000 dilution for 1 hour at room temperature. The detection was performed using an HRP conjugated compact polymer system. DAB was used as the chromogen. Tissues were counterstained with hematoxylin and mounted with DPX.
quantity: 100μl
price: 385.00 USD
to the supplier
FXR1
HUABIO
catalog: HA750713
domestic rabbit monoclonal (PSH01-35)
reactivity:
human
,
mouse
,
rat
application:
western blot
,
immunoprecipitation
,
immunohistochemistry - paraffin section
Western blot analysis of FXR1 on different lysates with Rabbit anti-FXR1 antibody (HA750713) at 1/1,000 dilution. Lane 1: HeLa cell lysate Lane 2: 293T cell lysate Lane 3: HepG2 cell lysate Lane 4: A549 cell lysate Lane 5: K-562 cell lysate Lane 6: COS-1 cell lysate Lane 7: NIH/3T3 cell lysate Lane 8: C2C12 cell lysate Lane 9: PC-12 cell lysate Lysates/proteins at 30 µg/Lane. Predicted band size: 70 kDa Observed band size: 70/75 kDa Exposure time: 3 minutes 10 seconds; 4-20% SDS-PAGE gel. Proteins were transferred to a PVDF membrane and blocked with 5% NFDM/TBST for 1 hour at room temperature. The primary antibody (HA750713) at 1/1,000 dilution was used in 5% NFDM/TBST at room temperature for 2 hours. Goat Anti-Rabbit IgG - HRP Secondary Antibody (HA1001) at 1/100,000 dilution was used for 1 hour at room temperature.
Immunohistochemical analysis of paraffin-embedded human testis tissue with Rabbit anti-FXR1 antibody (HA750713) at 1/200 dilution. The section was pre-treated using heat mediated antigen retrieval with Tris-EDTA buffer (pH 9.0) for 20 minutes. The tissues were blocked in 1% BSA for 20 minutes at room temperature, washed with ddH2O and PBS, and then probed with the primary antibody (HA750713) at 1/200 dilution for 1 hour at room temperature. The detection was performed using an HRP conjugated compact polymer system. DAB was used as the chromogen. Tissues were counterstained with hematoxylin and mounted with DPX.
Immunohistochemical analysis of paraffin-embedded mouse brain tissue with Rabbit anti-FXR1 antibody (HA750713) at 1/200 dilution. The section was pre-treated using heat mediated antigen retrieval with Tris-EDTA buffer (pH 9.0) for 20 minutes. The tissues were blocked in 1% BSA for 20 minutes at room temperature, washed with ddH2O and PBS, and then probed with the primary antibody (HA750713) at 1/200 dilution for 1 hour at room temperature. The detection was performed using an HRP conjugated compact polymer system. DAB was used as the chromogen. Tissues were counterstained with hematoxylin and mounted with DPX.
quantity: 100μl
price: 649.00 USD
to the supplier
FXR1
HUABIO
catalog: HA750743
domestic rabbit monoclonal (PSH01-67)
reactivity:
human
,
mouse
,
rat
application:
western blot
,
immunoprecipitation
,
flow cytometry
,
immunohistochemistry - paraffin section
Western blot analysis of FXR1 on different lysates with Rabbit anti-FXR1 antibody (HA750743) at 1/1,000 dilution. Lane 1: HeLa cell lysate Lane 2: 293T cell lysate Lane 3: HepG2 cell lysate Lane 4: A549 cell lysate Lane 5: K-562 cell lysate Lane 6: COS-1 cell lysate Lane 7: NIH/3T3 cell lysate Lane 8: C2C12 cell lysate Lane 9: PC-12 cell lysate Lane 10: Mouse skeletal muscle tissue lysate Lane 11: Rat skeletal muscle tissue lysate Lysates/proteins at 30 µg/Lane. Predicted band size: 70 kDa Observed band size: 70/75 kDa Exposure time: 1 minute 2 seconds; 4-20% SDS-PAGE gel. Proteins were transferred to a PVDF membrane and blocked with 5% NFDM/TBST for 1 hour at room temperature. The primary antibody (HA750743) at 1/1,000 dilution was used in 5% NFDM/TBST at room temperature for 2 hours. Goat Anti-Rabbit IgG - HRP Secondary Antibody (HA1001) at 1/10,000 dilution was used for 1 hour at room temperature.
Immunohistochemical analysis of paraffin-embedded human brain tissue with Rabbit anti-FXR1 antibody (HA750743) at 1/1,000 dilution. The section was pre-treated using heat mediated antigen retrieval with Tris-EDTA buffer (pH 9.0) for 20 minutes. The tissues were blocked in 1% BSA for 20 minutes at room temperature, washed with ddH2O and PBS, and then probed with the primary antibody (HA750743) at 1/1,000 dilution for 1 hour at room temperature. The detection was performed using an HRP conjugated compact polymer system. DAB was used as the chromogen. Tissues were counterstained with hematoxylin and mounted with DPX.
Immunohistochemical analysis of paraffin-embedded human testis tissue with Rabbit anti-FXR1 antibody (HA750743) at 1/3,000 dilution. The section was pre-treated using heat mediated antigen retrieval with Tris-EDTA buffer (pH 9.0) for 20 minutes. The tissues were blocked in 1% BSA for 20 minutes at room temperature, washed with ddH2O and PBS, and then probed with the primary antibody (HA750743) at 1/3,000 dilution for 1 hour at room temperature. The detection was performed using an HRP conjugated compact polymer system. DAB was used as the chromogen. Tissues were counterstained with hematoxylin and mounted with DPX.
quantity: 100μl
price: 649.00 USD
to the supplier