mouse monoclonal (7-3)
reactivity: human, mouse, rat
application: immunohistochemistry - paraffin section
reactivity: human, mouse, rat
application: immunohistochemistry - paraffin section

ICC staining LNP (green) in SHG-44 cells. The nuclear counter stain is DAPI (blue). Cells were fixed in paraformaldehyde, permeabilised with 0.25% Triton X100/PBS.

Immunohistochemical analysis of paraffin-embedded rat spinal cord tissue using anti-LNP antibody. Counter stained with hematoxylin.

Immunohistochemical analysis of paraffin-embedded rat brain tissue using anti-LNP antibody. Counter stained with hematoxylin.
quantity: 100μl
price: 360.00 USD
to the supplier
mouse monoclonal (11-1)
reactivity: human, mouse, rat
application: western blot, immunohistochemistry - paraffin section
reactivity: human, mouse, rat
application: western blot, immunohistochemistry - paraffin section

Western blot analysis of LNP on different lysates with Mouse anti-LNP antibody (EM1701-57) at 1/1,000 dilution. Lane 1: K-562 cell lysate Lane 2: SH-SY5Y cell lysate Lane 3: SiHa cell lysate Lane 4: Mouse brain tissue lysate Lane 5: Mouse testis tissue lysate Lane 6: Rat brain tissue lysate Lane 7: Rat testis tissue lysate Lysates/proteins at 20 µg/Lane. Predicted band size: 48 kDa Observed band size: 55 kDa Exposure time: 59 seconds; ECL: K1801; 4-20% SDS-PAGE gel. Proteins were transferred to a PVDF membrane and blocked with 5% NFDM/TBST for 1 hour at room temperature. The primary antibody (EM1701-57) at 1/1,000 dilution was used in 5% NFDM/TBST at 4℃ overnight. Goat Anti-Mouse IgG - HRP Secondary Antibody (HA1006) at 1/50,000 dilution was used for 1 hour at room temperature.

Immunohistochemical analysis of paraffin-embedded human brain tissue with Mouse anti-LNP antibody (EM1701-57) at 1/500 dilution. The section was pre-treated using heat mediated antigen retrieval with Tris-EDTA buffer (pH 9.0) for 20 minutes. The tissues were blocked in 1% BSA for 20 minutes at room temperature, washed with ddH2O and PBS, and then probed with the primary antibody (EM1701-57) at 1/500 dilution for 1 hour at room temperature. The detection was performed using an HRP conjugated compact polymer system. DAB was used as the chromogen. Tissues were counterstained with hematoxylin and mounted with DPX.

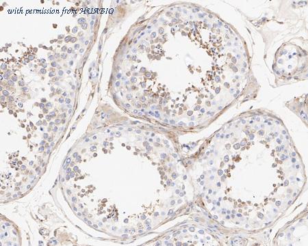
Immunohistochemical analysis of paraffin-embedded human testis tissue with Mouse anti-LNP antibody (EM1701-57) at 1/2,000 dilution. The section was pre-treated using heat mediated antigen retrieval with Tris-EDTA buffer (pH 9.0) for 20 minutes. The tissues were blocked in 1% BSA for 20 minutes at room temperature, washed with ddH2O and PBS, and then probed with the primary antibody (EM1701-57) at 1/2,000 dilution for 1 hour at room temperature. The detection was performed using an HRP conjugated compact polymer system. DAB was used as the chromogen. Tissues were counterstained with hematoxylin and mounted with DPX.
quantity: 100μl
price: 360.00 USD
to the supplier
mouse monoclonal (11-1-R)
reactivity: human, mouse, rat
application: western blot, immunohistochemistry - paraffin section
reactivity: human, mouse, rat
application: western blot, immunohistochemistry - paraffin section

Western blot analysis of LNP on different lysates with Mouse anti-LNP antibody (HA601316) at 1/1,000 dilution. Lane 1: K-562 cell lysate (20 µg/Lane) Lane 2: SH-SY5Y cell lysate (20 µg/Lane) Lane 3: SiHa cell lysate (20 µg/Lane) Lane 4: Human brain tissue lysate (40 µg/Lane) Lane 5: Mouse brain tissue lysate (40 µg/Lane) Lane 6: Mouse testis tissue lysate (40 µg/Lane) Lane 7: Rat brain tissue lysate (40 µg/Lane) Lane 8: Rat testis tissue lysate (40 µg/Lane) Predicted band size: 48 kDa Observed band size: 55 kDa Exposure time: 3 minutes; ECL: K1801; 4-20% SDS-PAGE gel. Proteins were transferred to a PVDF membrane and blocked with 5% NFDM/TBST for 1 hour at room temperature. The primary antibody (HA601316) at 1/1,000 dilution was used in 5% NFDM/TBST at 4℃ overnight. Goat Anti-Mouse IgG - HRP Secondary Antibody (HA1006) at 1/50,000 dilution was used for 1 hour at room temperature.

Immunohistochemical analysis of paraffin-embedded human brain tissue with Mouse anti-LNP antibody (HA601316) at 1/500 dilution. The section was pre-treated using heat mediated antigen retrieval with Tris-EDTA buffer (pH 9.0) for 20 minutes. The tissues were blocked in 1% BSA for 20 minutes at room temperature, washed with ddH2O and PBS, and then probed with the primary antibody (HA601316) at 1/500 dilution for 1 hour at room temperature. The detection was performed using an HRP conjugated compact polymer system. DAB was used as the chromogen. Tissues were counterstained with hematoxylin and mounted with DPX.

Immunohistochemical analysis of paraffin-embedded human testis tissue with Mouse anti-LNP antibody (HA601316) at 1/2,000 dilution. The section was pre-treated using heat mediated antigen retrieval with Tris-EDTA buffer (pH 9.0) for 20 minutes. The tissues were blocked in 1% BSA for 20 minutes at room temperature, washed with ddH2O and PBS, and then probed with the primary antibody (HA601316) at 1/2,000 dilution for 1 hour at room temperature. The detection was performed using an HRP conjugated compact polymer system. DAB was used as the chromogen. Tissues were counterstained with hematoxylin and mounted with DPX.
quantity: 100μl
price: 360.00 USD
to the supplier
mouse monoclonal (11-1-R)
reactivity: human, mouse, rat
application: western blot, immunohistochemistry - paraffin section
reactivity: human, mouse, rat
application: western blot, immunohistochemistry - paraffin section

Western blot analysis of LNP on different lysates with Mouse anti-LNP antibody (HA610188) at 1/1,000 dilution. Lane 1: K-562 cell lysate (20 µg/Lane) Lane 2: SH-SY5Y cell lysate (20 µg/Lane) Lane 3: SiHa cell lysate (20 µg/Lane) Lane 4: Human brain tissue lysate (40 µg/Lane) Lane 5: Mouse brain tissue lysate (40 µg/Lane) Lane 6: Mouse testis tissue lysate (40 µg/Lane) Lane 7: Rat brain tissue lysate (40 µg/Lane) Lane 8: Rat testis tissue lysate (40 µg/Lane) Predicted band size: 48 kDa Observed band size: 55 kDa Exposure time: 3 minutes; ECL: K1801; 4-20% SDS-PAGE gel. Proteins were transferred to a PVDF membrane and blocked with 5% NFDM/TBST for 1 hour at room temperature. The primary antibody (HA610188) at 1/1,000 dilution was used in 5% NFDM/TBST at 4℃ overnight. Goat Anti-Mouse IgG - HRP Secondary Antibody (HA1006) at 1/50,000 dilution was used for 1 hour at room temperature.

Immunohistochemical analysis of paraffin-embedded human brain tissue with Mouse anti-LNP antibody (HA610188) at 1/500 dilution. The section was pre-treated using heat mediated antigen retrieval with Tris-EDTA buffer (pH 9.0) for 20 minutes. The tissues were blocked in 1% BSA for 20 minutes at room temperature, washed with ddH2O and PBS, and then probed with the primary antibody (HA610188) at 1/500 dilution for 1 hour at room temperature. The detection was performed using an HRP conjugated compact polymer system. DAB was used as the chromogen. Tissues were counterstained with hematoxylin and mounted with DPX.

Immunohistochemical analysis of paraffin-embedded human testis tissue with Mouse anti-LNP antibody (HA610188) at 1/2,000 dilution. The section was pre-treated using heat mediated antigen retrieval with Tris-EDTA buffer (pH 9.0) for 20 minutes. The tissues were blocked in 1% BSA for 20 minutes at room temperature, washed with ddH2O and PBS, and then probed with the primary antibody (HA610188) at 1/2,000 dilution for 1 hour at room temperature. The detection was performed using an HRP conjugated compact polymer system. DAB was used as the chromogen. Tissues were counterstained with hematoxylin and mounted with DPX.
quantity: 100μg
price: 649.00 USD
to the supplier
