domestic rabbit monoclonal (PSH05-44)
reactivity: human
application: western blot
reactivity: human
application: western blot

Western blot analysis of NCOA4 on different lysates with Rabbit anti-NCOA4 antibody (HA722282) at 1/1,000 dilution. Lane 1: HeLa cell lysate Lane 2: A-172 cell lysate Lane 3: A549 cell lysate Lane 4: A431 cell lysate Lane 5: HL-60 cell lysate Lane 6: NIH:OVCAR-3 cell lysate Lane 7: A375 cell lysate Lysates/proteins at 20 µg/Lane. Predicted band size: 70 kDa Observed band size: 75 kDa Exposure time: 25 seconds; ECL: K1801; 4-20% SDS-PAGE gel. Proteins were transferred to a PVDF membrane and blocked with 5% NFDM/TBST for 1 hour at room temperature. The primary antibody (HA722282) at 1/1,000 dilution was used in 5% NFDM/TBST at 4℃ overnight. Goat Anti-Rabbit IgG - HRP Secondary Antibody (HA1001) at 1/50,000 dilution was used for 1 hour at room temperature.

Western blot analysis of NCOA4 on different lysates with Rabbit anti-NCOA4 antibody (HA722282) at 1/5,000 dilution. Lane 1: KYSE150-si NT cell lysate Lane 2: KYSE150-si NCOA4 cell lysate Lysates/proteins at 10 µg/Lane. Predicted band size: 70 kDa Observed band size: 75 kDa Exposure time: 3 minutes; ECL: K1801; 4-20% SDS-PAGE gel. Proteins were transferred to a PVDF membrane and blocked with 5% NFDM/TBST for 1 hour at room temperature. The primary antibody (HA722282) at 1/5,000 dilution was used in 5% NFDM/TBST at 4℃ overnight. Goat Anti-Rabbit IgG - HRP Secondary Antibody (HA1001) at 1/50,000 dilution was used for 1 hour at room temperature.
quantity: 100μl
price: 385.00 USD
to the supplier
domestic rabbit monoclonal (PSH05-45)
reactivity: human, mouse, rat
application: immunohistochemistry - paraffin section
reactivity: human, mouse, rat
application: immunohistochemistry - paraffin section

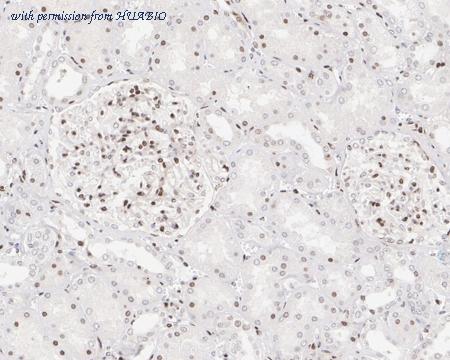
Immunohistochemical analysis of paraffin-embedded human kidney tissue with Rabbit anti-NCOA4 antibody (HA722283) at 1/500 dilution. The section was pre-treated using heat mediated antigen retrieval with sodium citrate buffer (pH 6.0) (high pressure) for 2 minutes. The tissues were blocked in 1% BSA for 20 minutes at room temperature, washed with ddH2O and PBS, and then probed with the primary antibody (HA722283) at 1/500 dilution for 1 hour at room temperature. The detection was performed using an HRP conjugated compact polymer system. DAB was used as the chromogen. Tissues were counterstained with hematoxylin and mounted with DPX.

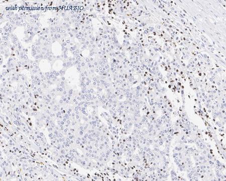
Immunohistochemical analysis of paraffin-embedded human prostate cancer tissue with Rabbit anti-NCOA4 antibody (HA722283) at 1/1,500 dilution. The section was pre-treated using heat mediated antigen retrieval with sodium citrate buffer (pH 6.0) (high pressure) for 2 minutes. The tissues were blocked in 1% BSA for 20 minutes at room temperature, washed with ddH2O and PBS, and then probed with the primary antibody (HA722283) at 1/1,500 dilution for 1 hour at room temperature. The detection was performed using an HRP conjugated compact polymer system. DAB was used as the chromogen. Tissues were counterstained with hematoxylin and mounted with DPX.

Immunohistochemical analysis of paraffin-embedded mouse colon tissue with Rabbit anti-NCOA4 antibody (HA722283) at 1/1,500 dilution. The section was pre-treated using heat mediated antigen retrieval with sodium citrate buffer (pH 6.0) (high pressure) for 2 minutes. The tissues were blocked in 1% BSA for 20 minutes at room temperature, washed with ddH2O and PBS, and then probed with the primary antibody (HA722283) at 1/1,500 dilution for 1 hour at room temperature. The detection was performed using an HRP conjugated compact polymer system. DAB was used as the chromogen. Tissues were counterstained with hematoxylin and mounted with DPX.
quantity: 100μl
price: 385.00 USD
to the supplier
domestic rabbit monoclonal (PSH05-44)
reactivity: human
application: western blot
reactivity: human
application: western blot

Western blot analysis of NCOA4 on different lysates with Rabbit anti-NCOA4 antibody (HA751003) at 1/1,000 dilution. Lane 1: HeLa cell lysate Lane 2: A-172 cell lysate Lane 3: A549 cell lysate Lane 4: A431 cell lysate Lane 5: HL-60 cell lysate Lane 6: NIH:OVCAR-3 cell lysate Lane 7: A375 cell lysate Lysates/proteins at 20 µg/Lane. Predicted band size: 70 kDa Observed band size: 75 kDa Exposure time: 25 seconds; ECL: K1801; 4-20% SDS-PAGE gel. Proteins were transferred to a PVDF membrane and blocked with 5% NFDM/TBST for 1 hour at room temperature. The primary antibody (HA751003) at 1/1,000 dilution was used in 5% NFDM/TBST at 4℃ overnight. Goat Anti-Rabbit IgG - HRP Secondary Antibody (HA1001) at 1/50,000 dilution was used for 1 hour at room temperature.

Western blot analysis of NCOA4 on different lysates with Rabbit anti-NCOA4 antibody (HA751003) at 1/5,000 dilution. Lane 1: KYSE150-si NT cell lysate Lane 2: KYSE150-si NCOA4 cell lysate Lysates/proteins at 10 µg/Lane. Predicted band size: 70 kDa Observed band size: 75 kDa Exposure time: 3 minutes; ECL: K1801; 4-20% SDS-PAGE gel. Proteins were transferred to a PVDF membrane and blocked with 5% NFDM/TBST for 1 hour at room temperature. The primary antibody (HA751003) at 1/5,000 dilution was used in 5% NFDM/TBST at 4℃ overnight. Goat Anti-Rabbit IgG - HRP Secondary Antibody (HA1001) at 1/50,000 dilution was used for 1 hour at room temperature.
quantity: 100μl
price: 649.00 USD
to the supplier
domestic rabbit monoclonal (PSH05-45)
reactivity: human, mouse, rat
application: immunohistochemistry - paraffin section
reactivity: human, mouse, rat
application: immunohistochemistry - paraffin section

Immunohistochemical analysis of paraffin-embedded human kidney tissue with Rabbit anti-NCOA4 antibody (HA751004) at 1/500 dilution. The section was pre-treated using heat mediated antigen retrieval with sodium citrate buffer (pH 6.0) (high pressure) for 2 minutes. The tissues were blocked in 1% BSA for 20 minutes at room temperature, washed with ddH2O and PBS, and then probed with the primary antibody (HA751004) at 1/500 dilution for 1 hour at room temperature. The detection was performed using an HRP conjugated compact polymer system. DAB was used as the chromogen. Tissues were counterstained with hematoxylin and mounted with DPX.

Immunohistochemical analysis of paraffin-embedded human prostate cancer tissue with Rabbit anti-NCOA4 antibody (HA751004) at 1/1,500 dilution. The section was pre-treated using heat mediated antigen retrieval with sodium citrate buffer (pH 6.0) (high pressure) for 2 minutes. The tissues were blocked in 1% BSA for 20 minutes at room temperature, washed with ddH2O and PBS, and then probed with the primary antibody (HA751004) at 1/1,500 dilution for 1 hour at room temperature. The detection was performed using an HRP conjugated compact polymer system. DAB was used as the chromogen. Tissues were counterstained with hematoxylin and mounted with DPX.

Immunohistochemical analysis of paraffin-embedded mouse colon tissue with Rabbit anti-NCOA4 antibody (HA751004) at 1/1,500 dilution. The section was pre-treated using heat mediated antigen retrieval with sodium citrate buffer (pH 6.0) (high pressure) for 2 minutes. The tissues were blocked in 1% BSA for 20 minutes at room temperature, washed with ddH2O and PBS, and then probed with the primary antibody (HA751004) at 1/1,500 dilution for 1 hour at room temperature. The detection was performed using an HRP conjugated compact polymer system. DAB was used as the chromogen. Tissues were counterstained with hematoxylin and mounted with DPX.
quantity: 100μl
price: 649.00 USD
to the supplier
