domestic rabbit polyclonal
reactivity: human, rat
application: western blot, flow cytometry, immunohistochemistry - paraffin section
reactivity: human, rat
application: western blot, flow cytometry, immunohistochemistry - paraffin section

Western blot analysis of B7-H4(VTCN1) on SKBR3 cell and human colon tissue lysates using anti-B7-H4(VTCN1) antibody at 1/500 dilution.

ICC staining B7-H4(VTCN1) in MCF-7 cells (green). The nuclear counter stain is DAPI (blue). Cells were fixed in paraformaldehyde, permeabilised with 0.25% Triton X100/PBS.

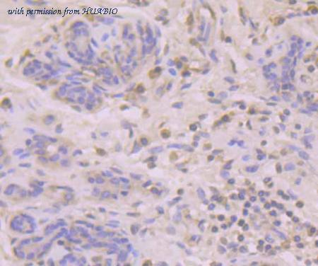
Immunohistochemical analysis of paraffin-embedded human breast tissue using anti-B7-H4(VTCN1) antibody. Counter stained with hematoxylin.
quantity: 100μl
price: 330 USD
to the supplier
domestic rabbit monoclonal (PSH03-65)
reactivity: human, mouse, rat
application: western blot
reactivity: human, mouse, rat
application: western blot

Western blot analysis of B7H4 on different lysates with Rabbit anti-B7H4 antibody (HA722024) at 1/1,000 dilution. Lane 1: MDA-MB-468 cell lysate (no heat) (15 µg/Lane) Lane 2: HeLa cell lysate (negative) (30 µg/Lane) Lane 3: NIH:OVCAR-3 cell lysate (30 µg/Lane) Lane 4: Mouse uterus tissue lysate (30 µg/Lane) Lane 5: Rat ovary tissue lysate (15 µg/Lane) Notice: no heat means the lysate is not boiled. Predicted band size: 31 kDa Observed band size: 60-75 kDa Exposure time: 35 seconds; 4-20% SDS-PAGE gel. Proteins were transferred to a PVDF membrane and blocked with 5% NFDM/TBST for 1 hour at room temperature. The primary antibody (HA722024) at 1/1,000 dilution was used in 5% NFDM/TBST at 4℃ overnight. Goat Anti-Rabbit IgG - HRP Secondary Antibody (HA1001) at 1/50,000 dilution was used for 1 hour at room temperature.

Immunocytochemistry analysis of SK-Br-3 (positive) and HeLa (negative) labeling B7H4 with Rabbit anti-B7H4 antibody (HA722024) at 1/1,000 dilution. Cells were fixed in 4% paraformaldehyde for 20 minutes at room temperature, permeabilized with 0.1% Triton X-100 in PBS for 5 minutes at room temperature, then blocked with 1% BSA in 10% negative goat serum for 1 hour at room temperature. Cells were then incubated with Rabbit anti-B7H4 antibody (HA722024) at 1/1,000 dilution in 1% BSA in PBST overnight at 4 ℃. Goat Anti-Rabbit IgG H&L (iFluor™ 488, HA1121) was used as the secondary antibody at 1/1,000 dilution. PBS instead of the primary antibody was used as the secondary antibody only control. Nuclear DNA was labelled in blue with DAPI. Beta tubulin (M1305-2, red) was stained at 1/100 dilution overnight at +4℃. Goat Anti-Mouse IgG H&L (iFluor™ 594, HA1126) was used as the secondary antibody at 1/1,000 dilution.
quantity: 100μl
price: 385.00 USD
to the supplier
domestic rabbit monoclonal (PSH03-65)
reactivity: human, mouse, rat
application: western blot
reactivity: human, mouse, rat
application: western blot

Western blot analysis of B7H4 on different lysates with Rabbit anti-B7H4 antibody (HA750899) at 1/1,000 dilution. Lane 1: MDA-MB-468 cell lysate (no heat) (15 µg/Lane) Lane 2: HeLa cell lysate (negative) (30 µg/Lane) Lane 3: NIH:OVCAR-3 cell lysate (30 µg/Lane) Lane 4: Mouse uterus tissue lysate (30 µg/Lane) Lane 5: Rat ovary tissue lysate (15 µg/Lane) Notice: no heat means the lysate is not boiled. Predicted band size: 31 kDa Observed band size: 60-75 kDa Exposure time: 35 seconds; 4-20% SDS-PAGE gel. Proteins were transferred to a PVDF membrane and blocked with 5% NFDM/TBST for 1 hour at room temperature. The primary antibody (HA750899) at 1/1,000 dilution was used in 5% NFDM/TBST at 4℃ overnight. Goat Anti-Rabbit IgG - HRP Secondary Antibody (HA1001) at 1/50,000 dilution was used for 1 hour at room temperature.

Immunocytochemistry analysis of SK-Br-3 (positive) and HeLa (negative) labeling B7H4 with Rabbit anti-B7H4 antibody (HA750899) at 1/1,000 dilution. Cells were fixed in 4% paraformaldehyde for 20 minutes at room temperature, permeabilized with 0.1% Triton X-100 in PBS for 5 minutes at room temperature, then blocked with 1% BSA in 10% negative goat serum for 1 hour at room temperature. Cells were then incubated with Rabbit anti-B7H4 antibody (HA750899) at 1/1,000 dilution in 1% BSA in PBST overnight at 4 ℃. Goat Anti-Rabbit IgG H&L (iFluor™ 488, HA1121) was used as the secondary antibody at 1/1,000 dilution. PBS instead of the primary antibody was used as the secondary antibody only control. Nuclear DNA was labelled in blue with DAPI. Beta tubulin (M1305-2, red) was stained at 1/100 dilution overnight at +4℃. Goat Anti-Mouse IgG H&L (iFluor™ 594, HA1126) was used as the secondary antibody at 1/1,000 dilution.
quantity: 100μl
price: 649.00 USD
to the supplier
domestic rabbit polyclonal
reactivity: human, mouse
application: western blot, flow cytometry, immunohistochemistry - paraffin section
reactivity: human, mouse
application: western blot, flow cytometry, immunohistochemistry - paraffin section

Western blot analysis of B7-H4 on different lysate using anti-B7-H4 antibody at 1/1,000 dilution. Positive control: Lane 1: SK-Br-3 cell lysate Lane 2: Human liver tissue lysate Lane 3: Mouse testis tissue lysate Lane 4: Mouse spleen tissue lysate

ICC staining B7-H4 in Hela cells (green). The nuclear counter stain is DAPI (blue). Cells were fixed in paraformaldehyde, permeabilised with 0.25% Triton X100/PBS.

ICC staining B7-H4 in MCF-7 cells (green). The nuclear counter stain is DAPI (blue). Cells were fixed in paraformaldehyde, permeabilised with 0.25% Triton X100/PBS.
quantity: 100μl
price: 330 USD
to the supplier
