IRE1
HUABIO
catalog: ER1902-90
domestic rabbit polyclonal
reactivity: human, mouse, rat
application: western blot, immunohistochemistry - paraffin section

Western blot analysis of IRE1 on different lysates with Rabbit anti-IRE1 antibody (ER1902-90) at 1/2,000 dilution. Lane 1: HEK-293 cell lysate Lane 2: Neuro-2a cell lysate Lane 3: C6 cell lysate Lysates/proteins at 20 µg/Lane. Predicted band size: 110 kDa Observed band size: 110 kDa Exposure time: 59 seconds; ECL: K1801; 4-20% SDS-PAGE gel. Proteins were transferred to a PVDF membrane and blocked with 5% NFDM/TBST for 1 hour at room temperature. The primary antibody (ER1902-90) at 1/2,000 dilution was used in 5% NFDM/TBST at 4℃ overnight. Goat Anti-Rabbit IgG - HRP Secondary Antibody (HA1001) at 1/50,000 dilution was used for 1 hour at room temperature.

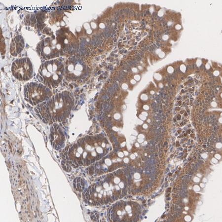
Immunohistochemical analysis of paraffin-embedded mouse small intestine tissue with Rabbit anti-IRE1 antibody (ER1902-90) at 1/100 dilution. The section was pre-treated using heat mediated antigen retrieval with Tris-EDTA buffer (pH 9.0) for 20 minutes. The tissues were blocked in 1% BSA for 20 minutes at room temperature, washed with ddH2O and PBS, and then probed with the primary antibody (ER1902-90) at 1/100 dilution for 1 hour at room temperature. The detection was performed using an HRP conjugated compact polymer system. DAB was used as the chromogen. Tissues were counterstained with hematoxylin and mounted with DPX.

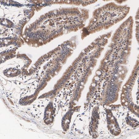
Immunohistochemical analysis of paraffin-embedded rat small intestine tissue with Rabbit anti-IRE1 antibody (ER1902-90) at 1/100 dilution. The section was pre-treated using heat mediated antigen retrieval with Tris-EDTA buffer (pH 9.0) for 20 minutes. The tissues were blocked in 1% BSA for 20 minutes at room temperature, washed with ddH2O and PBS, and then probed with the primary antibody (ER1902-90) at 1/100 dilution for 1 hour at room temperature. The detection was performed using an HRP conjugated compact polymer system. DAB was used as the chromogen. Tissues were counterstained with hematoxylin and mounted with DPX.
quantity: 100μl
price: 330 USD
to the supplier
Phospho-IRE1 (S724)
HUABIO
catalog: HA721980
domestic rabbit monoclonal (PSH03-35)
reactivity: human, mouse
application: western blot, flow cytometry, immunohistochemistry - paraffin section

Western blot analysis of Phospho-IRE1 (S724) on different lysates with Rabbit anti-Phospho-IRE1 (S724) antibody (HA721980) at 1/1,000 dilution. Lane 1: HeLa cell lysate (20 µg/Lane) Lane 2: HeLa starved for 3 hours then treated with 100nM Calyculin A for 30 minutes cell lysate (20 µg/Lane) Lane 3: Jurkat cell lysate (20 µg/Lane) Lane 4: Jurkat treated with 100nM Calyculin A for 30 minutes cell lysate (20 µg/Lane) Predicted band size: 110 kDa Observed band size: 110 kDa Exposure time: 5 minutes 10 seconds; ECL: K1801; 4-20% SDS-PAGE gel. Proteins were transferred to a PVDF membrane and blocked with 5% NFDM/TBST for 1 hour at room temperature. The primary antibody (HA721980) at 1/1,000 dilution was used in 5% NFDM/TBST at 4℃ overnight. Goat Anti-Rabbit IgG - HRP Secondary Antibody (HA1001) at 1/50,000 dilution was used for 1 hour at room temperature.

Western blot analysis of Phospho-IRE1 (S724) on different lysates with Rabbit anti-Phospho-IRE1 (S724) antibody (HA721980) at 1/1,000 dilution. Lane 1: NIH/3T3 cell lysate (20 µg/Lane) Lane 2: NIH/3T3 treated with 100nM Calyculin A for 30 minutes cell lysate (20 µg/Lane) Lane 3: C2C12 cell lysate (20 µg/Lane) Lane 4: C2C12 starved for 3 hours then treated with 100nM Calyculin A for 30 minutes cell lysate (20 µg/Lane) Predicted band size: 110 kDa Observed band size: 110 kDa Exposure time: 24 seconds; ECL: K1801; 4-20% SDS-PAGE gel. Proteins were transferred to a PVDF membrane and blocked with 5% NFDM/TBST for 1 hour at room temperature. The primary antibody (HA721980) at 1/1,000 dilution was used in 5% NFDM/TBST at 4℃ overnight. Goat Anti-Rabbit IgG - HRP Secondary Antibody (HA1001) at 1/50,000 dilution was used for 1 hour at room temperature.

Immunocytochemistry analysis of Jurkat cells treated with 100nM Calyculin A for 30 minutes labeling Phospho-IRE1 (S724) with Rabbit anti-Phospho-IRE1 (S724) antibody (HA721980) at 1/500 dilution. Cells were fixed in 4% paraformaldehyde for 20 minutes at room temperature, permeabilized with 0.1% Triton X-100 in PBS for 5 minutes at room temperature, then blocked with 1% BSA in 10% negative goat serum for 1 hour at room temperature. Cells were then incubated with Rabbit anti-Phospho-IRE1 (S724) antibody (HA721980) at 1/500 dilution in 1% BSA in PBST overnight at 4 ℃. Goat Anti-Rabbit IgG H&L (iFluor™ 488, HA1121) was used as the secondary antibody at 1/1,000 dilution. PBS instead of the primary antibody was used as the secondary antibody only control. Nuclear DNA was labelled in blue with DAPI. Beta tubulin (M1305-2, red) was stained at 1/100 dilution overnight at +4℃. Goat Anti-Mouse IgG H&L (iFluor™ 594, HA1126) was used as the secondary antibody at 1/1,000 dilution.
quantity: 100μl
price: 385.00 USD
to the supplier
Phospho-IRE1 (S724)
HUABIO
catalog: HA750869
domestic rabbit monoclonal (PSH03-35)
reactivity: human, mouse
application: western blot, flow cytometry, immunohistochemistry - paraffin section

Western blot analysis of Phospho-IRE1 (S724) on different lysates with Rabbit anti-Phospho-IRE1 (S724) antibody (HA750869) at 1/1,000 dilution. Lane 1: HeLa cell lysate (20 µg/Lane) Lane 2: HeLa starved for 3 hours then treated with 100nM Calyculin A for 30 minutes cell lysate (20 µg/Lane) Lane 3: Jurkat cell lysate (20 µg/Lane) Lane 4: Jurkat treated with 100nM Calyculin A for 30 minutes cell lysate (20 µg/Lane) Predicted band size: 110 kDa Observed band size: 110 kDa Exposure time: 5 minutes 10 seconds; ECL: K1801; 4-20% SDS-PAGE gel. Proteins were transferred to a PVDF membrane and blocked with 5% NFDM/TBST for 1 hour at room temperature. The primary antibody (HA750869) at 1/1,000 dilution was used in 5% NFDM/TBST at 4℃ overnight. Goat Anti-Rabbit IgG - HRP Secondary Antibody (HA1001) at 1/50,000 dilution was used for 1 hour at room temperature.

Western blot analysis of Phospho-IRE1 (S724) on different lysates with Rabbit anti-Phospho-IRE1 (S724) antibody (HA750869) at 1/1,000 dilution. Lane 1: NIH/3T3 cell lysate (20 µg/Lane) Lane 2: NIH/3T3 treated with 100nM Calyculin A for 30 minutes cell lysate (20 µg/Lane) Lane 3: C2C12 cell lysate (20 µg/Lane) Lane 4: C2C12 starved for 3 hours then treated with 100nM Calyculin A for 30 minutes cell lysate (20 µg/Lane) Predicted band size: 110 kDa Observed band size: 110 kDa Exposure time: 24 seconds; ECL: K1801; 4-20% SDS-PAGE gel. Proteins were transferred to a PVDF membrane and blocked with 5% NFDM/TBST for 1 hour at room temperature. The primary antibody (HA750869) at 1/1,000 dilution was used in 5% NFDM/TBST at 4℃ overnight. Goat Anti-Rabbit IgG - HRP Secondary Antibody (HA1001) at 1/50,000 dilution was used for 1 hour at room temperature.

Immunocytochemistry analysis of Jurkat cells treated with 100nM Calyculin A for 30 minutes labeling Phospho-IRE1 (S724) with Rabbit anti-Phospho-IRE1 (S724) antibody (HA750869) at 1/500 dilution. Cells were fixed in 4% paraformaldehyde for 20 minutes at room temperature, permeabilized with 0.1% Triton X-100 in PBS for 5 minutes at room temperature, then blocked with 1% BSA in 10% negative goat serum for 1 hour at room temperature. Cells were then incubated with Rabbit anti-Phospho-IRE1 (S724) antibody (HA750869) at 1/500 dilution in 1% BSA in PBST overnight at 4 ℃. Goat Anti-Rabbit IgG H&L (iFluor™ 488, HA1121) was used as the secondary antibody at 1/1,000 dilution. PBS instead of the primary antibody was used as the secondary antibody only control. Nuclear DNA was labelled in blue with DAPI. Beta tubulin (M1305-2, red) was stained at 1/100 dilution overnight at +4℃. Goat Anti-Mouse IgG H&L (iFluor™ 594, HA1126) was used as the secondary antibody at 1/1,000 dilution.
quantity: 100μl
price: 649.00 USD
to the supplier