Sign in
Sign up
home
>
HUABIO
> HUABIO ZAP 70 antibody
ZAP70
HUABIO
catalog: EM1901-27
mouse monoclonal (A1B5)
reactivity:
human
,
mouse
,
rat
application:
western blot
,
flow cytometry
,
immunohistochemistry - paraffin section
Western blot analysis of ZAP70 on different lysates with Mouse anti-ZAP70 antibody (EM1901-27) at 1/1,000 dilution. Lane 1: Jurkat cell lysate Lane 2: Ramos cell lysate (negative) Lane 3: Mouse spleen tissue lysate Lane 4: Mouse thymus tissue lysate Lane 5: Rat spleen tissue lysate Lane 6: Rat thymus tissue lysate Lysates/proteins at 20 µg/Lane. Predicted band size: 70 kDa Observed band size: 70 kDa Exposure time: 43 seconds; 4-20% SDS-PAGE gel. Proteins were transferred to a PVDF membrane and blocked with 5% NFDM/TBST for 1 hour at room temperature. The primary antibody (EM1901-27) at 1/1,000 dilution was used in 5% NFDM/TBST at 4℃ overnight. Goat Anti-Mouse IgG - HRP Secondary Antibody (HA1006) at 1/50,000 dilution was used for 1 hour at room temperature.
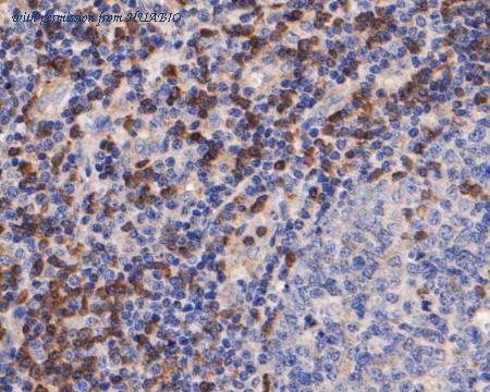
Immunohistochemical analysis of paraffin-embedded human tonsil tissue using anti-ZAP70 antibody. The section was pre-treated using heat mediated antigen retrieval with Tris-EDTA buffer (pH 8.0-8.4) for 20 minutes.The tissues were blocked in 5% BSA for 30 minutes at room temperature, washed with ddH2O and PBS, and then probed with the primary antibody (EM1901-27, 1/50) for 30 minutes at room temperature. The detection was performed using an HRP conjugated compact polymer system. DAB was used as the chromogen. Tissues were counterstained with hematoxylin and mounted with DPX.
Flow cytometric analysis of ZAP70 was done on Jurakt cells. The cells were fixed, permeabilized and stained with the primary antibody (EM1901-27, 1/50) (red). After incubation of the primary antibody at room temperature for an hour, the cells were stained with a Alexa Fluor 488-conjugated Goat anti-Mouse IgG Secondary antibody at 1/1000 dilution for 30 minutes.Unlabelled sample was used as a control (cells without incubation with primary antibody; black).
quantity: 100μl
price: 360.00 USD
to the supplier
ZAP70
HUABIO
catalog: EM1902-28
mouse monoclonal (A1B7)
reactivity:
human
,
mouse
,
rat
application:
western blot
,
flow cytometry
Western blot analysis of ZAP70 on different lysates with Mouse anti-ZAP70 antibody (EM1902-28) at 1/1,000 dilution. Lane 1: Jurkat cell lysate Lane 2: Ramos cell lysate (negative) Lane 3: Mouse spleen tissue lysate Lane 4: Mouse thymus tissue lysate Lane 5: Rat spleen tissue lysate Lane 6: Rat thymus tissue lysate Lysates/proteins at 20 µg/Lane. Predicted band size: 70 kDa Observed band size: 70 kDa Exposure time: 1 minute 21 seconds; 4-20% SDS-PAGE gel. Proteins were transferred to a PVDF membrane and blocked with 5% NFDM/TBST for 1 hour at room temperature. The primary antibody (EM1902-28) at 1/1,000 dilution was used in 5% NFDM/TBST at 4℃ overnight. Goat Anti-Mouse IgG - HRP Secondary Antibody (HA1006) at 1/50,000 dilution was used for 1 hour at room temperature.
ICC staining of ZAP70 in LOVO cells (green). Formalin fixed cells were permeabilized with 0.1% Triton X-100 in TBS for 10 minutes at room temperature and blocked with 1% Blocker BSA for 15 minutes at room temperature. Cells were probed with the primary antibody (EM1902-28, 1/50) for 1 hour at room temperature, washed with PBS. Alexa Fluor®488 Goat anti-Mouse IgG was used as the secondary antibody at 1/100 dilution. The nuclear counter stain is DAPI (blue).
Flow cytometric analysis of ZAP70 was done on Jurkat cells. The cells were fixed, permeabilized and stained with the primary antibody (EM1902-28, 1/100) (red). After incubation of the primary antibody at room temperature for an hour, the cells were stained with a Alexa Fluor 488-conjugated goat anti-mouse IgG Secondary antibody at 1/500 dilution for 30 minutes.Unlabelled sample was used as a control (cells without incubation with primary antibody; black).
quantity: 100μl
price: 360.00 USD
to the supplier
ZAP70
HUABIO
catalog: ET1706-42
domestic rabbit monoclonal (JU08-39)
reactivity:
human
application:
western blot
,
immunoprecipitation
,
flow cytometry
,
immunohistochemistry - paraffin section
Western blot analysis of ZAP70 on different lysates with Rabbit anti-ZAP70 antibody (ET1706-42) at 1/2,000 dilution. Lane 1: Jurkat cell lysate (20 µg/Lane) Lane 2: Ramos cell lysate (negative) (20 µg/Lane) Lane 3: MOLT-4 cell lysate (20 µg/Lane) Lane 4: Raji cell lysate (negative) (20 µg/Lane) Lane 5: HUT 102 cell lysate (20 µg/Lane) Predicted band size: 70 kDa Observed band size: 70 kDa Exposure time: 40 seconds; ECL: K1801; 4-20% SDS-PAGE gel. Proteins were transferred to a PVDF membrane and blocked with 5% NFDM/TBST for 1 hour at room temperature. The primary antibody (ET1706-42) at 1/2,000 dilution was used in 5% NFDM/TBST at 4℃ overnight. Goat Anti-Rabbit IgG - HRP Secondary Antibody (HA1001) at 1/50,000 dilution was used for 1 hour at room temperature.
Immunohistochemical analysis of paraffin-embedded human lymph node tissue with Rabbit anti-ZAP70 antibody (ET1706-42) at 1/200 dilution. The section was pre-treated using heat mediated antigen retrieval with Tris-EDTA buffer (pH 9.0) for 20 minutes. The tissues were blocked in 1% BSA for 20 minutes at room temperature, washed with ddH2O and PBS, and then probed with the primary antibody (ET1706-42) at 1/200 dilution for 1 hour at room temperature. The detection was performed using an HRP conjugated compact polymer system. DAB was used as the chromogen. Tissues were counterstained with hematoxylin and mounted with DPX.
Immunohistochemical analysis of paraffin-embedded human spleen tissue with Rabbit anti-ZAP70 antibody (ET1706-42) at 1/200 dilution. The section was pre-treated using heat mediated antigen retrieval with Tris-EDTA buffer (pH 9.0) for 20 minutes. The tissues were blocked in 1% BSA for 20 minutes at room temperature, washed with ddH2O and PBS, and then probed with the primary antibody (ET1706-42) at 1/200 dilution for 1 hour at room temperature. The detection was performed using an HRP conjugated compact polymer system. DAB was used as the chromogen. Tissues were counterstained with hematoxylin and mounted with DPX.
quantity: 100μl
price: 385.00 USD
to the supplier
ZAP70
HUABIO
catalog: HA601218
mouse monoclonal (A1B5-R)
reactivity:
human
,
mouse
,
rat
application:
western blot
,
immunohistochemistry - paraffin section
Western blot analysis of ZAP70 on different lysates with Mouse anti-ZAP70 antibody (HA601218) at 1/1,000 dilution. Lane 1: Jurkat cell lysate Lane 2: Ramos cell lysate (negative) Lane 3: Mouse spleen tissue lysate Lane 4: Mouse thymus tissue lysate Lane 5: Rat spleen tissue lysate Lane 6: Rat thymus tissue lysate Lysates/proteins at 20 µg/Lane. Predicted band size: 70 kDa Observed band size: 70 kDa Exposure time: 1 minute 21 seconds; 4-20% SDS-PAGE gel. Proteins were transferred to a PVDF membrane and blocked with 5% NFDM/TBST for 1 hour at room temperature. The primary antibody (HA601218) at 1/1,000 dilution was used in 5% NFDM/TBST at 4℃ overnight. Goat Anti-Mouse IgG - HRP Secondary Antibody (HA1006) at 1/50,000 dilution was used for 1 hour at room temperature.
Immunohistochemical analysis of paraffin-embedded human tonsil tissue with Mouse anti-ZAP70 antibody (HA601218) at 1/2,000 dilution. The section was pre-treated using heat mediated antigen retrieval with Tris-EDTA buffer (pH 9.0) for 20 minutes. The tissues were blocked in 1% BSA for 20 minutes at room temperature, washed with ddH2O and PBS, and then probed with the primary antibody (HA601218) at 1/2,000 dilution for 1 hour at room temperature. The detection was performed using an HRP conjugated compact polymer system. DAB was used as the chromogen. Tissues were counterstained with hematoxylin and mounted with DPX.
quantity: 100μl
price: 360.00 USD
to the supplier
ZAP70
HUABIO
catalog: HA610096
mouse monoclonal (A1B5-R)
reactivity:
human
,
mouse
,
rat
application:
western blot
,
immunohistochemistry - paraffin section
Western blot analysis of ZAP70 on different lysates with Mouse anti-ZAP70 antibody (HA610096) at 1/1,000 dilution. Lane 1: Jurkat cell lysate Lane 2: Ramos cell lysate (negative) Lane 3: Mouse spleen tissue lysate Lane 4: Mouse thymus tissue lysate Lane 5: Rat spleen tissue lysate Lane 6: Rat thymus tissue lysate Lysates/proteins at 20 µg/Lane. Predicted band size: 70 kDa Observed band size: 70 kDa Exposure time: 1 minute 21 seconds; 4-20% SDS-PAGE gel. Proteins were transferred to a PVDF membrane and blocked with 5% NFDM/TBST for 1 hour at room temperature. The primary antibody (HA610096) at 1/1,000 dilution was used in 5% NFDM/TBST at 4℃ overnight. Goat Anti-Mouse IgG - HRP Secondary Antibody (HA1006) at 1/50,000 dilution was used for 1 hour at room temperature.
Immunohistochemical analysis of paraffin-embedded human tonsil tissue with Mouse anti-ZAP70 antibody (HA610096) at 1/2,000 dilution. The section was pre-treated using heat mediated antigen retrieval with Tris-EDTA buffer (pH 9.0) for 20 minutes. The tissues were blocked in 1% BSA for 20 minutes at room temperature, washed with ddH2O and PBS, and then probed with the primary antibody (HA610096) at 1/2,000 dilution for 1 hour at room temperature. The detection was performed using an HRP conjugated compact polymer system. DAB was used as the chromogen. Tissues were counterstained with hematoxylin and mounted with DPX.
quantity: 100μg
price: 649.00 USD
to the supplier
ZAP70
HUABIO
catalog: HA723344
domestic rabbit monoclonal (PSH11-52)
reactivity:
human
,
mouse
,
rat
application:
western blot
,
flow cytometry
,
immunohistochemistry - paraffin section
Western blot analysis of ZAP70 on different lysates with Rabbit anti-ZAP70 antibody (HA723344) at 1/2,000 dilution. Lane 1: Jurkat cell lysate Lane 2: Ramos cell lysate (negative) Lane 3: MOLT-4 cell lysate Lane 4: Raji cell lysate (negative) Lane 5: HUT 102 cell lysate Lysates/proteins at 20 µg/Lane. Predicted band size: 70 kDa Observed band size: 70 kDa Exposure time: 6 seconds; ECL: K1801; 4-20% SDS-PAGE gel. Proteins were transferred to a PVDF membrane and blocked with 5% NFDM/TBST for 1 hour at room temperature. The primary antibody (HA723344) at 1/2,000 dilution was used in 5% NFDM/TBST at 4℃ overnight. Goat Anti-Rabbit IgG - HRP Secondary Antibody (HA1001) at 1/50,000 dilution was used for 1 hour at room temperature.
Immunocytochemistry analysis of Jurkat (positive) and Ramos (negative) labeling ZAP70 with Rabbit anti-ZAP70 antibody (HA723344) at 1/500 dilution. Cells were fixed in 4% paraformaldehyde for 15 minutes at room temperature, permeabilized with 0.1% Triton X-100 in PBS for 15 minutes at room temperature, then blocked with 1% BSA in 10% negative goat serum for 1 hour at room temperature. Cells were then incubated with Rabbit anti-ZAP70 antibody (HA723344) at 1/500 dilution in 1% BSA in PBST overnight at 4 ℃. Goat Anti-Rabbit IgG H&L (iFluor™ 488, HA1121) was used as the secondary antibody at 1/1,000 dilution. PBS instead of the primary antibody was used as the secondary antibody only control. Nuclear DNA was labelled in blue with DAPI. Beta tubulin (HA601187, red) was stained at 1/100 dilution overnight at +4℃. Goat Anti-Mouse IgG H&L (iFluor™ 594, HA1126) was used as the secondary antibody at 1/1,000 dilution.
Immunohistochemical analysis of paraffin-embedded human lymph node tissue with Rabbit anti-ZAP70 antibody (HA723344) at 1/1,000 dilution. The section was pre-treated using heat mediated antigen retrieval with Tris-EDTA buffer (pH 9.0) for 20 minutes. The tissues were blocked in 1% BSA for 20 minutes at room temperature, washed with ddH2O and PBS, and then probed with the primary antibody (HA723344) at 1/1,000 dilution for 1 hour at room temperature. The detection was performed using an HRP conjugated compact polymer system. DAB was used as the chromogen. Tissues were counterstained with hematoxylin and mounted with DPX.
quantity: 100μl
price: 385.00 USD
to the supplier