domestic rabbit monoclonal (SA40-04)
reactivity: human, mouse
application: western blot, flow cytometry, immunohistochemistry - paraffin section
reactivity: human, mouse
application: western blot, flow cytometry, immunohistochemistry - paraffin section

Western blot analysis of MLKL on different lysates with Rabbit anti-MLKL antibody (ET1601-25) at 1/5,000 dilution and competitor's antibody at 1/1,000 dilution. Lane 1: HUVEC cell lysate (20 µg/Lane) Lane 2: HT-29 cell lysate (20 µg/Lane) Lane 3: HeLa cell lysate (20 µg/Lane) Lane 4: THP-1 cell lysate (20 µg/Lane) Lane 5: U-937 cell lysate (20 µg/Lane) Lane 6: K-562 cell lysate (low expression) (20 µg/Lane) Lane 7: NIH/3T3 cell lysate (20 µg/Lane) Predicted band size: 54 kDa Observed band size: 54 kDa Exposure time: 1 minute 2 seconds; ECL: K1801; 4-20% SDS-PAGE gel. Proteins were transferred to a PVDF membrane and blocked with 5% NFDM/TBST for 1 hour at room temperature. The primary antibody (ET1601-25) at 1/5,000 dilution and competitor's antibody at 1/1,000 dilution were used in 5% NFDM/TBST at 4℃ overnight. Goat Anti-Rabbit IgG - HRP Secondary Antibody (HA1001) at 1/50,000 dilution was used for 1 hour at room temperature.

Western blot analysis of MLKL on different lysates with Rabbit anti-MLKL antibody (ET1601-25) at 1/5,000 dilution. Lane 1: Hela-si NT cell lysate (10 µg/Lane) Lane 2: Hela-si MLKL cell lysate (10 µg/Lane) Predicted band size: 54 kDa Observed band size: 54 kDa Exposure time: 3 minutes 20 seconds; ECL: K1801; 4-20% SDS-PAGE gel. ET1601-25 was shown to specifically react with MLKL in Hela-si NT cells. No band was observed when Hela-si MLKL samples were tested. Hela-si NT and Hela-si MLKL samples were subjected to SDS-PAGE. Proteins were transferred to a PVDF membrane and blocked with 5% NFDM in TBST for 1 hour at room temperature. The primary antibody (ET1601-25, 1/5,000) and Loading control antibody (Rabbit anti-GAPDH, ET1601-4, 1/10,000) were used in 5% BSA at 4 ℃ overnight. Goat Anti-rabbit IgG-HRP Secondary Antibody (HA1001) at 1:50,000 dilution was used for 1 hour at room temperature.

Immunocytochemistry analysis of HeLa cells labeling MLKL with Rabbit anti-MLKL antibody (ET1601-25) at 1/100 dilution. Cells were fixed in 4% paraformaldehyde for 20 minutes at room temperature, permeabilized with 0.1% Triton X-100 in PBS for 5 minutes at room temperature, then blocked with 1% BSA in 10% negative goat serum for 1 hour at room temperature. Cells were then incubated with Rabbit anti-MLKL antibody (ET1601-25) at 1/100 dilution in 1% BSA in PBST overnight at 4 ℃. Goat Anti-Rabbit IgG H&L (iFluor™ 488, HA1121) was used as the secondary antibody at 1/1,000 dilution. PBS instead of the primary antibody was used as the secondary antibody only control. Nuclear DNA was labelled in blue with DAPI. Beta tubulin (M1305-2, red) was stained at 1/100 dilution overnight at +4℃. Goat Anti-Mouse IgG H&L (iFluor™ 594, HA1126) was used as the secondary antibody at 1/1,000 dilution.
quantity: 100μl
price: 385.00 USD
to the supplier
domestic rabbit monoclonal (JM92-37)
reactivity: mouse
application: western blot, immunohistochemistry - paraffin section, immunohistochemistry - frozen section
reactivity: mouse
application: western blot, immunohistochemistry - paraffin section, immunohistochemistry - frozen section

Western blot analysis of Phospho-MLKL (S345) on different lysates with Rabbit anti-Phospho-MLKL (S345) antibody (ET1705-51) at 1/1,000 dilution and competitor's antibody at 1/1,000 dilution. Lane 1: L-929 cell lysate Lane 2: L929 treated with 20μM Z-VAD for 3.5 hours, then added 100nM SM-164 and 20ng/ml TNF-α for 3 hours cell lysate Lysates/proteins at 20 µg/Lane. Predicted band size: 54 kDa Observed band size: 54 kDa Exposure time: 1 minute 10 seconds; ECL: K1802; 4-20% SDS-PAGE gel. Proteins were transferred to a PVDF membrane and blocked with 5% NFDM/TBST for 1 hour at room temperature. The primary antibody (ET1705-51) at 1/1,000 dilution and competitor's antibody at 1/1,000 dilution were used in 5% NFDM/TBST at 4℃ overnight. Goat Anti-Rabbit IgG - HRP Secondary Antibody (HA1001) at 1/50,000 dilution was used for 1 hour at room temperature.

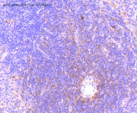
Immunohistochemical analysis of paraffin-embedded mouse spleen tissue using anti-Phospho-MLKL (S345) antibody. The section was pre-treated using heat mediated antigen retrieval with Tris-EDTA buffer (pH 9.0) for 20 minutes.The tissues were blocked in 5% BSA for 30 minutes at room temperature, washed with ddH2O and PBS, and then probed with the primary antibody (ET1705-51, 1/50) for 30 minutes at room temperature. The detection was performed using an HRP conjugated compact polymer system. DAB was used as the chromogen. Tissues were counterstained with hematoxylin and mounted with DPX.

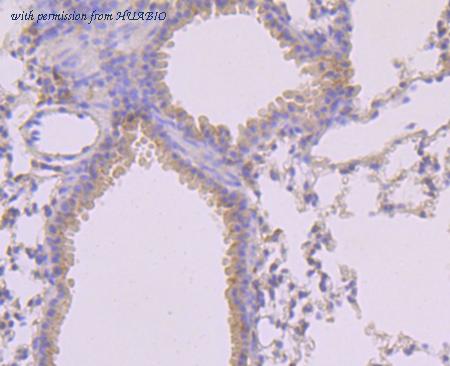
Immunohistochemical analysis of paraffin-embedded mouse lung tissue using anti-Phospho-MLKL (S345) antibody. The section was pre-treated using heat mediated antigen retrieval with Tris-EDTA buffer (pH 9.0) for 20 minutes.The tissues were blocked in 5% BSA for 30 minutes at room temperature, washed with ddH2O and PBS, and then probed with the primary antibody (ET1705-51, 1/50) for 30 minutes at room temperature. The detection was performed using an HRP conjugated compact polymer system. DAB was used as the chromogen. Tissues were counterstained with hematoxylin and mounted with DPX.
quantity: 50μl
price: 205.00 USD
to the supplier
domestic rabbit monoclonal (SA40-04)
reactivity: human, mouse
application: western blot, flow cytometry, immunohistochemistry - paraffin section
reactivity: human, mouse
application: western blot, flow cytometry, immunohistochemistry - paraffin section

Western blot analysis of MLKL on different lysates with Rabbit anti-MLKL antibody (HA750017) at 1/5,000 dilution and competitor's antibody at 1/1,000 dilution. Lane 1: HUVEC cell lysate (20 µg/Lane) Lane 2: HT-29 cell lysate (20 µg/Lane) Lane 3: HeLa cell lysate (20 µg/Lane) Lane 4: THP-1 cell lysate (20 µg/Lane) Lane 5: U-937 cell lysate (20 µg/Lane) Lane 6: K-562 cell lysate (low expression) (20 µg/Lane) Lane 7: NIH/3T3 cell lysate (20 µg/Lane) Predicted band size: 54 kDa Observed band size: 54 kDa Exposure time: 1 minute 2 seconds; ECL: K1801; 4-20% SDS-PAGE gel. Proteins were transferred to a PVDF membrane and blocked with 5% NFDM/TBST for 1 hour at room temperature. The primary antibody (HA750017) at 1/5,000 dilution and competitor's antibody at 1/1,000 dilution were used in 5% NFDM/TBST at 4℃ overnight. Goat Anti-Rabbit IgG - HRP Secondary Antibody (HA1001) at 1/50,000 dilution was used for 1 hour at room temperature.

Western blot analysis of MLKL on different lysates with Rabbit anti-MLKL antibody (HA750017) at 1/5,000 dilution. Lane 1: Hela-si NT cell lysate (10 µg/Lane) Lane 2: Hela-si MLKL cell lysate (10 µg/Lane) Predicted band size: 54 kDa Observed band size: 54 kDa Exposure time: 3 minutes 20 seconds; ECL: K1801; 4-20% SDS-PAGE gel. ET1601-25 was shown to specifically react with MLKL in Hela-si NT cells. No band was observed when Hela-si MLKL samples were tested. Hela-si NT and Hela-si MLKL samples were subjected to SDS-PAGE. Proteins were transferred to a PVDF membrane and blocked with 5% NFDM in TBST for 1 hour at room temperature. The primary antibody (ET1601-25, 1/5,000) and Loading control antibody (Rabbit anti-GAPDH, ET1601-4, 1/10,000) were used in 5% BSA at 4 ℃ overnight. Goat Anti-rabbit IgG-HRP Secondary Antibody (HA1001) at 1:50,000 dilution was used for 1 hour at room temperature.

Immunocytochemistry analysis of HeLa cells labeling MLKL with Rabbit anti-MLKL antibody (HA750017) at 1/100 dilution. Cells were fixed in 4% paraformaldehyde for 20 minutes at room temperature, permeabilized with 0.1% Triton X-100 in PBS for 5 minutes at room temperature, then blocked with 1% BSA in 10% negative goat serum for 1 hour at room temperature. Cells were then incubated with Rabbit anti-MLKL antibody (HA750017) at 1/100 dilution in 1% BSA in PBST overnight at 4 ℃. Goat Anti-Rabbit IgG H&L (iFluor™ 488, HA1121) was used as the secondary antibody at 1/1,000 dilution. PBS instead of the primary antibody was used as the secondary antibody only control. Nuclear DNA was labelled in blue with DAPI. Beta tubulin (M1305-2, red) was stained at 1/100 dilution overnight at +4℃. Goat Anti-Mouse IgG H&L (iFluor™ 594, HA1126) was used as the secondary antibody at 1/1,000 dilution.
quantity: 100μl
price: 649.00 USD
to the supplier
domestic rabbit monoclonal (JM92-37)
reactivity: mouse
application: western blot, immunohistochemistry - paraffin section, immunohistochemistry - frozen section
reactivity: mouse
application: western blot, immunohistochemistry - paraffin section, immunohistochemistry - frozen section

Western blot analysis of Phospho-MLKL (S345) on different lysates with Rabbit anti-Phospho-MLKL (S345) antibody (HA750433) at 1/1,000 dilution and competitor's antibody at 1/1,000 dilution. Lane 1: L-929 cell lysate Lane 2: L929 treated with 20μM Z-VAD for 3.5 hours, then added 100nM SM-164 and 20ng/ml TNF-α for 3 hours cell lysate Lysates/proteins at 20 µg/Lane. Predicted band size: 54 kDa Observed band size: 54 kDa Exposure time: 1 minute 10 seconds; ECL: K1802; 4-20% SDS-PAGE gel. Proteins were transferred to a PVDF membrane and blocked with 5% NFDM/TBST for 1 hour at room temperature. The primary antibody (HA750433) at 1/1,000 dilution and competitor's antibody at 1/1,000 dilution were used in 5% NFDM/TBST at 4℃ overnight. Goat Anti-Rabbit IgG - HRP Secondary Antibody (HA1001) at 1/50,000 dilution was used for 1 hour at room temperature.

Immunohistochemical analysis of paraffin-embedded mouse spleen tissue using anti-Phospho-MLKL (S345) antibody. The section was pre-treated using heat mediated antigen retrieval with Tris-EDTA buffer (pH 9.0) for 20 minutes.The tissues were blocked in 5% BSA for 30 minutes at room temperature, washed with ddH2O and PBS, and then probed with the primary antibody (HA750433, 1/50) for 30 minutes at room temperature. The detection was performed using an HRP conjugated compact polymer system. DAB was used as the chromogen. Tissues were counterstained with hematoxylin and mounted with DPX.

Immunohistochemical analysis of paraffin-embedded mouse lung tissue using anti-Phospho-MLKL (S345) antibody. The section was pre-treated using heat mediated antigen retrieval with Tris-EDTA buffer (pH 9.0) for 20 minutes.The tissues were blocked in 5% BSA for 30 minutes at room temperature, washed with ddH2O and PBS, and then probed with the primary antibody (HA750433, 1/50) for 30 minutes at room temperature. The detection was performed using an HRP conjugated compact polymer system. DAB was used as the chromogen. Tissues were counterstained with hematoxylin and mounted with DPX.
quantity: 100μl
price: 649.00 USD
to the supplier
domestic rabbit monoclonal (JM92-37)
reactivity: mouse
application: western blot, immunohistochemistry - paraffin section
reactivity: mouse
application: western blot, immunohistochemistry - paraffin section
