Sign in
Sign up
home
>
HUABIO
> HUABIO villin antibody
Villin1
HUABIO
catalog: ER1901-31
domestic rabbit polyclonal
reactivity:
human
,
mouse
application:
western blot
,
flow cytometry
Western blot analysis of Villin1 on mouse colon tissue lysates. Proteins were transferred to a PVDF membrane and blocked with 5% BSA in PBS for 1 hour at room temperature. The primary antibody (ER1901-31, 1/500) was used in 5% BSA at room temperature for 2 hours. Goat Anti-Rabbit IgG - HRP Secondary Antibody (HA1001) at 1:5,000 dilution was used for 1 hour at room temperature.
Flow cytometric analysis of Villin1 was done on HCT116 cells. The cells were fixed, permeabilized and stained with the primary antibody (ER1901-31, 1/50) (red). After incubation of the primary antibody at room temperature for an hour, the cells were stained with a Alexa Fluor 488-conjugated Goat anti-Rabbit IgG Secondary antibody at 1/1000 dilution for 30 minutes.Unlabelled sample was used as a control (cells without incubation with primary antibody; black).
quantity: 100μl
price: 330 USD
to the supplier
Villin1
HUABIO
catalog: ET7106-62
domestic rabbit monoclonal (JU34-75)
reactivity:
human
,
mouse
,
rat
application:
western blot
,
flow cytometry
,
immunohistochemistry - paraffin section
Western blot analysis of Villin1 on different lysates with Rabbit anti-Villin1 antibody (ET7106-62) at 1/5,000 dilution. Lane 1: Caco-2 cell lysate (20 µg/Lane) Lane 2: COLO205 cell lysate (20 µg/Lane) Lane 3: AGS cell lysate (20 µg/Lane) Lane 4: PANC-1 cell lysate (negative) (20 µg/Lane) Predicted band size: 93 kDa Observed band size: 93 kDa Exposure time: Lane 1-2: 16 seconds; Lane 3-4: 3 minutes; ECL: K1801; 4-20% SDS-PAGE gel. Proteins were transferred to a PVDF membrane and blocked with 5% NFDM/TBST for 1 hour at room temperature. The primary antibody (ET7106-62) at 1/5,000 dilution was used in 5% NFDM/TBST at 4℃ overnight. Goat Anti-Rabbit IgG - HRP Secondary Antibody (HA1001) at 1/50,000 dilution was used for 1 hour at room temperature.
Western blot analysis of Villin1 on different lysates with Rabbit anti-Villin1 antibody (ET7106-62) at 1/2,000 dilution. Lane 1: Mouse kidney tissue lysate Lane 2: Mouse colon tissue lysate Lane 3: Rat kidney tissue lysate Lane 4: Rat colon tissue lysate Lysates/proteins at 20 µg/Lane. Predicted band size: 93 kDa Observed band size: 93 kDa Exposure time: 25 seconds; ECL: K1801; 4-20% SDS-PAGE gel. Proteins were transferred to a PVDF membrane and blocked with 5% NFDM/TBST for 1 hour at room temperature. The primary antibody (ET7106-62) at 1/2,000 dilution was used in 5% NFDM/TBST at 4℃ overnight. Goat Anti-Rabbit IgG - HRP Secondary Antibody (HA1001) at 1/50,000 dilution was used for 1 hour at room temperature.
Fluorescence multiplex immunohistochemical analysis of mouse small intestine (Formalin/PFA-fixed paraffin-embedded sections). Panel A: the merged image of anti-Lysozyme (ET1609-35, Green), anti-villin1 (ET7106-62, Magenta) and anti-aSMA (ET1607-53, Yellow) on mouse small intestine. HRP Conjugated UltraPolymer Goat Polyclonal Antibody HA1119/HA1120 was used as a secondary antibody. The immunostaining was performed with the Sequential Immuno-staining Kit (IRISKit™MH010101, www.luminiris.cn). The section was incubated in three rounds of staining: in the order of ET1609-35 (1/2,000 dilution), ET7106-62 (1/5,000 dilution) and ET1607-53 (1/10,000 dilution) for 20 mins at room temperature. Each round was followed by a separate fluorescent tyramide signal amplification system. Heat mediated antigen retrieval with Tris-EDTA buffer (pH 9.0) for 30 mins at 95℃. DAPI (blue) was used as a nuclear counter stain. Image acquisition was performed with Olympus VS200 Slide Scanner.
quantity: 100μl
price: 385.00 USD
to the supplier
Villin1
HUABIO
catalog: ET7110-55
domestic rabbit monoclonal (JE39-08)
reactivity:
human
application:
western blot
,
immunoprecipitation
,
immunohistochemistry - paraffin section
Western blot analysis of Villin1 on different lysates with Rabbit anti-Villin1 antibody (ET7110-55) at 1/5,000 dilution. Lane 1: Caco-2 cell lysate (20 µg/Lane) Lane 2: COLO205 cell lysate (20 µg/Lane) Lane 3: HepG2 cell lysate (20 µg/Lane) Lane 4: AGS cell lysate (20 µg/Lane) Lane 5: PANC-1 cell lysate (negative) (20 µg/Lane) Predicted band size: 93 kDa Observed band size: 93 kDa Exposure time: 10 seconds; ECL: K1801; 4-20% SDS-PAGE gel. Proteins were transferred to a PVDF membrane and blocked with 5% NFDM/TBST for 1 hour at room temperature. The primary antibody (ET7110-55) at 1/5,000 dilution was used in 5% NFDM/TBST at 4℃ overnight. Goat Anti-Rabbit IgG - HRP Secondary Antibody (HA1001) at 1/50,000 dilution was used for 1 hour at room temperature.
Immunohistochemical analysis of paraffin-embedded human colon tissue with Rabbit anti-Villin1 antibody (ET7110-55) at 1/1,000 dilution. The section was pre-treated using heat mediated antigen retrieval with Tris-EDTA buffer (pH 9.0) for 20 minutes. The tissues were blocked in 1% BSA for 20 minutes at room temperature, washed with ddH2O and PBS, and then probed with the primary antibody (ET7110-55) at 1/1,000 dilution for 1 hour at room temperature. The detection was performed using an HRP conjugated compact polymer system. DAB was used as the chromogen. Tissues were counterstained with hematoxylin and mounted with DPX.
Immunohistochemical analysis of paraffin-embedded human colon cancer tissue with Rabbit anti-Villin1 antibody (ET7110-55) at 1/1,000 dilution. The section was pre-treated using heat mediated antigen retrieval with Tris-EDTA buffer (pH 9.0) for 20 minutes. The tissues were blocked in 1% BSA for 20 minutes at room temperature, washed with ddH2O and PBS, and then probed with the primary antibody (ET7110-55) at 1/1,000 dilution for 1 hour at room temperature. The detection was performed using an HRP conjugated compact polymer system. DAB was used as the chromogen. Tissues were counterstained with hematoxylin and mounted with DPX.
quantity: 100μl
price: 385.00 USD
to the supplier
Villin1
HUABIO
catalog: HA500509
domestic rabbit polyclonal
reactivity:
human
,
mouse
,
rat
application:
western blot
,
immunohistochemistry - paraffin section
Western blot analysis of Villin1 on different lysates. Proteins were transferred to a PVDF membrane and blocked with 5% BSA in PBS for 1 hour at room temperature. The primary antibody (HA500509, 1/1,000) was used in 5% BSA at room temperature for 2 hours. Goat Anti-Rabbit IgG - HRP Secondary Antibody (HA1001) at 1:200,000 dilution was used for 1 hour at room temperature. Positive control: Lane 1: Human kidney tissue lysate Lane 2: 293 cell lysate
Western blot analysis of Villin1 on different lysates. Proteins were transferred to a PVDF membrane and blocked with 5% BSA in PBS for 1 hour at room temperature. The primary antibody (HA500509, 1/2,000) was used in 5% BSA at room temperature for 2 hours. Goat Anti-Rabbit IgG - HRP Secondary Antibody (HA1001) at 1:200,000 dilution was used for 1 hour at room temperature. Positive control: Lane 1: Mouse colon tissue lysate Lane 2: Rat kidney tissue lysate Lane 2: Rat colon tissue lysate
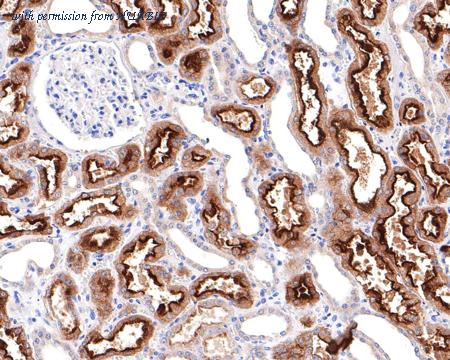
Immunohistochemical analysis of paraffin-embedded human kidney tissue using anti-Villin1 antibody. The section was pre-treated using heat mediated antigen retrieval with Tris-EDTA buffer (pH 9.0) for 20 minutes.The tissues were blocked in 1% BSA for 30 minutes at room temperature, washed with ddH2O and PBS, and then probed with the primary antibody (HA500509, 1/600) for 30 minutes at room temperature. The detection was performed using an HRP conjugated compact polymer system. DAB was used as the chromogen. Tissues were counterstained with hematoxylin and mounted with DPX.
quantity: 100μl
price: 330 USD
to the supplier
Villin1
HUABIO
catalog: HA721129
domestic rabbit monoclonal (C4)
reactivity:
human
application:
western blot
,
immunohistochemistry - paraffin section
Western blot analysis of Villin1 on HT-29 cell lysates with Rabbit anti-Villin1 antibody (HA721129) at 1/2,000 dilution. Lysates/proteins at 10 µg/Lane. Predicted band size: 93 kDa Observed band size: 85 kDa Exposure time: 15 seconds; 8% SDS-PAGE gel. Proteins were transferred to a PVDF membrane and blocked with 5% NFDM/TBST for 1 hour at room temperature. The primary antibody (HA721129) at 1/2,000 dilution was used in 5% NFDM/TBST at room temperature for 2 hours. Goat Anti-Rabbit IgG - HRP Secondary Antibody (HA1001) at 1:300,000 dilution was used for 1 hour at room temperature.
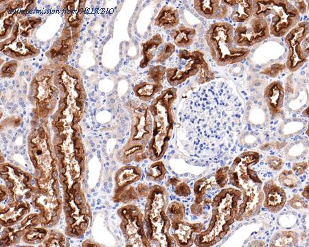
Immunohistochemical analysis of paraffin-embedded human kidney tissue with Rabbit anti-Villin1 antibody (HA721129) at 1/3,500 dilution. The section was pre-treated using heat mediated antigen retrieval with Tris-EDTA buffer (pH 9.0) for 20 minutes. The tissues were blocked in 1% BSA for 20 minutes at room temperature, washed with ddH2O and PBS, and then probed with the primary antibody (HA721129) at 1/3,500 dilution for 1 hour at room temperature. The detection was performed using an HRP conjugated compact polymer system. DAB was used as the chromogen. Tissues were counterstained with hematoxylin and mounted with DPX.
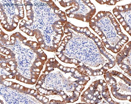
Immunohistochemical analysis of paraffin-embedded human small intestine tissue with Rabbit anti-Villin1 antibody (HA721129) at 1/3,500 dilution. The section was pre-treated using heat mediated antigen retrieval with Tris-EDTA buffer (pH 9.0) for 20 minutes. The tissues were blocked in 1% BSA for 20 minutes at room temperature, washed with ddH2O and PBS, and then probed with the primary antibody (HA721129) at 1/3,500 dilution for 1 hour at room temperature. The detection was performed using an HRP conjugated compact polymer system. DAB was used as the chromogen. Tissues were counterstained with hematoxylin and mounted with DPX.
quantity: 100μl
price: 385.00 USD
to the supplier
Villin1
HUABIO
catalog: HA721134
domestic rabbit monoclonal (A2)
reactivity:
human
application:
western blot
,
immunohistochemistry - paraffin section
Western blot analysis of Villin1 on HT-29 cell lysates with Rabbit anti-Villin1 antibody (HA721134) at 1/2,000 dilution. Lysates/proteins at 10 µg/Lane. Predicted band size: 93 kDa Observed band size: 85 kDa Exposure time: 15 seconds; 8% SDS-PAGE gel. Proteins were transferred to a PVDF membrane and blocked with 5% NFDM/TBST for 1 hour at room temperature. The primary antibody (HA721134) at 1/2,000 dilution was used in 5% NFDM/TBST at room temperature for 2 hours. Goat Anti-Rabbit IgG - HRP Secondary Antibody (HA1001) at 1:300,000 dilution was used for 1 hour at room temperature.
Immunohistochemical analysis of paraffin-embedded human kidney tissue with Rabbit anti-Villin1 antibody (HA721134) at 1/3,000 dilution. The section was pre-treated using heat mediated antigen retrieval with Tris-EDTA buffer (pH 9.0) for 20 minutes. The tissues were blocked in 1% BSA for 20 minutes at room temperature, washed with ddH2O and PBS, and then probed with the primary antibody (HA721134) at 1/3,000 dilution for 1 hour at room temperature. The detection was performed using an HRP conjugated compact polymer system. DAB was used as the chromogen. Tissues were counterstained with hematoxylin and mounted with DPX.
Immunohistochemical analysis of paraffin-embedded human small intestine tissue with Rabbit anti-Villin1 antibody (HA721134) at 1/3,000 dilution. The section was pre-treated using heat mediated antigen retrieval with Tris-EDTA buffer (pH 9.0) for 20 minutes. The tissues were blocked in 1% BSA for 20 minutes at room temperature, washed with ddH2O and PBS, and then probed with the primary antibody (HA721134) at 1/3,000 dilution for 1 hour at room temperature. The detection was performed using an HRP conjugated compact polymer system. DAB was used as the chromogen. Tissues were counterstained with hematoxylin and mounted with DPX.
quantity: 100μl
price: 385.00 USD
to the supplier
Villin1
HUABIO
catalog: HA750476
domestic rabbit monoclonal (C4)
reactivity:
human
application:
western blot
,
immunohistochemistry - paraffin section
Western blot analysis of Villin1 on HT-29 cell lysates with Rabbit anti-Villin1 antibody (HA750476) at 1/2,000 dilution. Lysates/proteins at 10 µg/Lane. Predicted band size: 93 kDa Observed band size: 85 kDa Exposure time: 15 seconds; 8% SDS-PAGE gel. Proteins were transferred to a PVDF membrane and blocked with 5% NFDM/TBST for 1 hour at room temperature. The primary antibody (HA750476) at 1/2,000 dilution was used in 5% NFDM/TBST at room temperature for 2 hours. Goat Anti-Rabbit IgG - HRP Secondary Antibody (HA1001) at 1:300,000 dilution was used for 1 hour at room temperature.
Immunohistochemical analysis of paraffin-embedded human kidney tissue with Rabbit anti-Villin1 antibody (HA750476) at 1/3,500 dilution. The section was pre-treated using heat mediated antigen retrieval with Tris-EDTA buffer (pH 9.0) for 20 minutes. The tissues were blocked in 1% BSA for 20 minutes at room temperature, washed with ddH2O and PBS, and then probed with the primary antibody (HA750476) at 1/3,500 dilution for 1 hour at room temperature. The detection was performed using an HRP conjugated compact polymer system. DAB was used as the chromogen. Tissues were counterstained with hematoxylin and mounted with DPX.
Immunohistochemical analysis of paraffin-embedded human small intestine tissue with Rabbit anti-Villin1 antibody (HA750476) at 1/3,500 dilution. The section was pre-treated using heat mediated antigen retrieval with Tris-EDTA buffer (pH 9.0) for 20 minutes. The tissues were blocked in 1% BSA for 20 minutes at room temperature, washed with ddH2O and PBS, and then probed with the primary antibody (HA750476) at 1/3,500 dilution for 1 hour at room temperature. The detection was performed using an HRP conjugated compact polymer system. DAB was used as the chromogen. Tissues were counterstained with hematoxylin and mounted with DPX.
quantity: 100μl
price: 649.00 USD
to the supplier
Villin1
HUABIO
catalog: HA750477
domestic rabbit monoclonal (A2)
reactivity:
human
application:
western blot
,
immunohistochemistry - paraffin section
Western blot analysis of Villin1 on HT-29 cell lysates with Rabbit anti-Villin1 antibody (HA750477) at 1/2,000 dilution. Lysates/proteins at 10 µg/Lane. Predicted band size: 93 kDa Observed band size: 85 kDa Exposure time: 15 seconds; 8% SDS-PAGE gel. Proteins were transferred to a PVDF membrane and blocked with 5% NFDM/TBST for 1 hour at room temperature. The primary antibody (HA750477) at 1/2,000 dilution was used in 5% NFDM/TBST at room temperature for 2 hours. Goat Anti-Rabbit IgG - HRP Secondary Antibody (HA1001) at 1:300,000 dilution was used for 1 hour at room temperature.
Immunohistochemical analysis of paraffin-embedded human kidney tissue with Rabbit anti-Villin1 antibody (HA750477) at 1/3,000 dilution. The section was pre-treated using heat mediated antigen retrieval with Tris-EDTA buffer (pH 9.0) for 20 minutes. The tissues were blocked in 1% BSA for 20 minutes at room temperature, washed with ddH2O and PBS, and then probed with the primary antibody (HA750477) at 1/3,000 dilution for 1 hour at room temperature. The detection was performed using an HRP conjugated compact polymer system. DAB was used as the chromogen. Tissues were counterstained with hematoxylin and mounted with DPX.
Immunohistochemical analysis of paraffin-embedded human small intestine tissue with Rabbit anti-Villin1 antibody (HA750477) at 1/3,000 dilution. The section was pre-treated using heat mediated antigen retrieval with Tris-EDTA buffer (pH 9.0) for 20 minutes. The tissues were blocked in 1% BSA for 20 minutes at room temperature, washed with ddH2O and PBS, and then probed with the primary antibody (HA750477) at 1/3,000 dilution for 1 hour at room temperature. The detection was performed using an HRP conjugated compact polymer system. DAB was used as the chromogen. Tissues were counterstained with hematoxylin and mounted with DPX.
quantity: 100μl
price: 649.00 USD
to the supplier
Villin1
HUABIO
catalog: IRS213RB
domestic rabbit monoclonal
reactivity:
human
mIHC analysis of human colon tissue (Formalin/PFA-fixed paraffin-embedded sections) with Rabbit anti-Villin1 antibody (IRS213RB) at 1/100 dilution. The immunostaining was performed with the IRISKitCmTSA Kit (900808). Heat mediated antigen retrieval with Tris-EDTA buffer (pH 9.0) for 30 mins at 95℃. DAPI (blue) was used as a nuclear counter stain. Image acquisition was performed with Olympus VS200 Slide Scanner.
mIHC analysis of human colon tissue (Formalin/PFA-fixed paraffin-embedded sections) with Rabbit anti-Villin1 antibody (IRS213RB) at 1/100 dilution. The immunostaining was performed with the IRISKitCmTSA Kit (900808). Heat mediated antigen retrieval with Tris-EDTA buffer (pH 9.0) for 30 mins at 95℃. DAPI (blue) was used as a nuclear counter stain. Image acquisition was performed with Olympus VS200 Slide Scanner.
mIHC analysis of human kidney tissue (Formalin/PFA-fixed paraffin-embedded sections) with Rabbit anti-Villin1 antibody (IRS213RB) at 1/100 dilution. The immunostaining was performed with the IRISKitCmTSA Kit (900808). Heat mediated antigen retrieval with Tris-EDTA buffer (pH 9.0) for 30 mins at 95℃. DAPI (blue) was used as a nuclear counter stain. Image acquisition was performed with Olympus VS200 Slide Scanner.
quantity: 50T
price: 278.00 USD
to the supplier