domestic rabbit polyclonal
reactivity: human
application: western blot, flow cytometry
reactivity: human
application: western blot, flow cytometry

Western blot analysis of Vitamin D Receptor on PC-3M cell and human small intestine tissue lysate using anti-Vitamin D Receptor antibody at 1/500 dilution.

Flow cytometric analysis of LOVO cells with Vitamin D Receptor antibody at 1/100 dilution (red) compared with an unlabelled control (cells without incubation with primary antibody; black). Alexa Fluor 488-conjugated goat anti-rabbit IgG was used as the secondary antibody.
quantity: 100μl
price: 330 USD
to the supplier
domestic rabbit polyclonal
reactivity: human, rat
application: western blot, flow cytometry
reactivity: human, rat
application: western blot, flow cytometry

Western blot analysis of Vitamin D Receptor on different cell lysate using anti-Vitamin D Receptor antibody at 1/2,000 dilution. Positive control: Lane 1: U937 Lane 2: SK-Br-3

ICC staining Vitamin D Receptor in LOVO cells (green). The nuclear counter stain is DAPI (blue). Cells were fixed in paraformaldehyde, permeabilised with 0.25% Triton X100/PBS.

ICC staining Vitamin D Receptor in MCF-7 cells (green). The nuclear counter stain is DAPI (blue). Cells were fixed in paraformaldehyde, permeabilised with 0.25% Triton X100/PBS.
quantity: 100μl
price: 330 USD
to the supplier
domestic rabbit monoclonal (JA11-16)
reactivity: human, mouse, rat
application: western blot, flow cytometry, immunohistochemistry - paraffin section
reactivity: human, mouse, rat
application: western blot, flow cytometry, immunohistochemistry - paraffin section

Western blot analysis of Vitamin D Receptor on different lysates with Rabbit anti-Vitamin D Receptor antibody (ET1704-09) at 1/5,000 dilution. Lane 1: HL-60 cell lysate (15 µg/Lane) Lane 2: T-47D cell lysate (15 µg/Lane) Lane 3: NIH/3T3 cell lysate (15 µg/Lane) Lane 4: L-929 cell lysate (15 µg/Lane) Lane 5: Rat kidney tissue lysate (20 µg/Lane) Predicted band size: 48 kDa Observed band size: 48 kDa Exposure time: 30 seconds; 4-20% SDS-PAGE gel. Proteins were transferred to a PVDF membrane and blocked with 5% NFDM/TBST for 1 hour at room temperature. The primary antibody (ET1704-09) at 1/5,000 dilution was used in 5% NFDM/TBST at 4℃ overnight. Goat Anti-Rabbit IgG - HRP Secondary Antibody (HA1001) at 1/50,000 dilution was used for 1 hour at room temperature.

All lanes: Western blot analysis of Vitamin D Receptor with anti-Vitamin D Receptor antibody[JA11-16] (ET1704-09) at 1:500 dilution. Lane 1: Wild-type Hela whole cell lysate (10 µg). Lane 2/3: Vitamin D Receptor knockout Hela whole cell lysate (10 µg). ET1704-09 was shown to specifically react with Vitamin D Receptor in wild-type Hela cells. No bands were observed when Vitamin D Receptor knockout sample were tested. Wild-type and Vitamin D Receptor knockout samples were subjected to SDS-PAGE. Proteins were transferred to a PVDF membrane and blocked with 5% NFDM in TBST for 1 hour at room temperature. The primary antibody (ET1704-09, 1/500) was used in 5% BSA at room temperature for 2 hours. Goat Anti-Rabbit IgG-HRP Secondary Antibody (HA1001) at 1:100,000 dilution was used for 1 hour at room temperature.

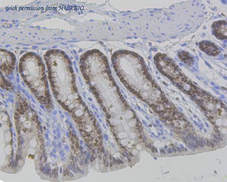
Immunohistochemical analysis of paraffin-embedded rat large intestine tissue using anti-Vitamin D Receptor antibody. The section was pre-treated using heat mediated antigen retrieval with sodium citrate buffer (pH 6.0) (high pressure) for 2 minutes. The tissues were blocked in 5% BSA for 30 minutes at room temperature, washed with ddH2O and PBS, and then probed with the primary antibody (ET1704-09, 1/50) for 30 minutes at room temperature. The detection was performed using an HRP conjugated compact polymer system. DAB was used as the chromogen. Tissues were counterstained with hematoxylin and mounted with DPX.
quantity: 100μl
price: 385.00 USD
to the supplier
domestic rabbit monoclonal (JA11-16)
reactivity: human, mouse, rat
application: western blot, flow cytometry, immunohistochemistry - paraffin section
reactivity: human, mouse, rat
application: western blot, flow cytometry, immunohistochemistry - paraffin section

Western blot analysis of Vitamin D Receptor on different lysates with Rabbit anti-Vitamin D Receptor antibody (HA750402) at 1/5,000 dilution. Lane 1: HL-60 cell lysate (15 µg/Lane) Lane 2: T-47D cell lysate (15 µg/Lane) Lane 3: NIH/3T3 cell lysate (15 µg/Lane) Lane 4: L-929 cell lysate (15 µg/Lane) Lane 5: Rat kidney tissue lysate (20 µg/Lane) Predicted band size: 48 kDa Observed band size: 48 kDa Exposure time: 30 seconds; 4-20% SDS-PAGE gel. Proteins were transferred to a PVDF membrane and blocked with 5% NFDM/TBST for 1 hour at room temperature. The primary antibody (HA750402) at 1/5,000 dilution was used in 5% NFDM/TBST at 4℃ overnight. Goat Anti-Rabbit IgG - HRP Secondary Antibody (HA1001) at 1/50,000 dilution was used for 1 hour at room temperature.

All lanes: Western blot analysis of Vitamin D Receptor with anti-Vitamin D Receptor antibody[JA11-16] (HA750402) at 1:500 dilution. Lane 1: Wild-type Hela whole cell lysate (10 µg). Lane 2/3: Vitamin D Receptor knockout Hela whole cell lysate (10 µg). ET1704-09 was shown to specifically react with Vitamin D Receptor in wild-type Hela cells. No bands were observed when Vitamin D Receptor knockout sample were tested. Wild-type and Vitamin D Receptor knockout samples were subjected to SDS-PAGE. Proteins were transferred to a PVDF membrane and blocked with 5% NFDM in TBST for 1 hour at room temperature. The primary antibody (ET1704-09, 1/500) was used in 5% BSA at room temperature for 2 hours. Goat Anti-Rabbit IgG-HRP Secondary Antibody (HA1001) at 1:100,000 dilution was used for 1 hour at room temperature.

Immunohistochemical analysis of paraffin-embedded rat large intestine tissue using anti-Vitamin D Receptor antibody. The section was pre-treated using heat mediated antigen retrieval with sodium citrate buffer (pH 6.0) (high pressure) for 2 minutes. The tissues were blocked in 5% BSA for 30 minutes at room temperature, washed with ddH2O and PBS, and then probed with the primary antibody (HA750402, 1/50) for 30 minutes at room temperature. The detection was performed using an HRP conjugated compact polymer system. DAB was used as the chromogen. Tissues were counterstained with hematoxylin and mounted with DPX.
quantity: 100μl
price: 649.00 USD
to the supplier
