Sign in
Sign up
home
>
HUABIO
> HUABIO transthyretin antibody
Prealbumin
HUABIO
catalog: 0809-10
domestic rabbit polyclonal
reactivity:
human
application:
western blot
Western blot analysis on human serum using anti- Prealbumin PA polyclonal antibody.
quantity: 100μl
price: 330 USD
to the supplier
Prealbumin
HUABIO
catalog: ET1702-42
domestic rabbit monoclonal (JF1016)
reactivity:
human
application:
western blot
,
immunoprecipitation
,
immunohistochemistry - paraffin section
Western blot analysis of Prealbumin on human lung tissue lysates. Proteins were transferred to a PVDF membrane and blocked with 5% BSA in PBS for 1 hour at room temperature. The primary antibody (ET1702-42, 1/500) was used in 5% BSA at room temperature for 2 hours. Goat Anti-Rabbit IgG - HRP Secondary Antibody (HA1001) at 1:40,000 dilution was used for 1 hour at room temperature.
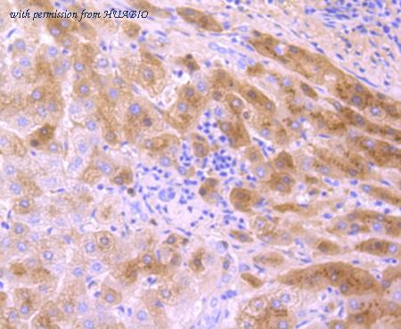
Immunohistochemical analysis of paraffin-embedded human liver tissue using anti-Prealbumin antibody. The section was pre-treated using heat mediated antigen retrieval with Tris-EDTA buffer (pH 8.0-8.4) for 20 minutes.The tissues were blocked in 5% BSA for 30 minutes at room temperature, washed with ddH2O and PBS, and then probed with the primary antibody (ET1702-42, 1/50) for 30 minutes at room temperature. The detection was performed using an HRP conjugated compact polymer system. DAB was used as the chromogen. Tissues were counterstained with hematoxylin and mounted with DPX.
Immunohistochemical analysis of paraffin-embedded human pancreas tissue using anti-Prealbumin antibody. The section was pre-treated using heat mediated antigen retrieval with Tris-EDTA buffer (pH 8.0-8.4) for 20 minutes.The tissues were blocked in 5% BSA for 30 minutes at room temperature, washed with ddH2O and PBS, and then probed with the primary antibody (ET1702-42, 1/200) for 30 minutes at room temperature. The detection was performed using an HRP conjugated compact polymer system. DAB was used as the chromogen. Tissues were counterstained with hematoxylin and mounted with DPX.
quantity: 100μl
price: 385.00 USD
to the supplier
Prealbumin
HUABIO
catalog: ET1703-83-50UL
domestic rabbit monoclonal (JM11-43)
reactivity:
human
application:
western blot
,
immunoprecipitation
,
flow cytometry
,
immunohistochemistry - paraffin section
Western blot analysis of Prealbumin on different lysates with Rabbit anti-Prealbumin antibody (ET1703-83) at 1/2,000 dilution. Lane 1: Human liver tissue lysate Lane 2: Human lung tissue lysate Lysates/proteins at 20 µg/Lane. Predicted band size: 16 kDa Observed band size: 15 kDa Exposure time: 1 minute 22 seconds; 4-20% SDS-PAGE gel. Proteins were transferred to a PVDF membrane and blocked with 5% NFDM/TBST for 1 hour at room temperature. The primary antibody (ET1703-83) at 1/2,000 dilution was used in 5% NFDM/TBST at 4℃ overnight. Goat Anti-Rabbit IgG - HRP Secondary Antibody (HA1001) at 1/50,000 dilution was used for 1 hour at room temperature.
ICC staining of Prealbumin in A549 cells (red). Formalin fixed cells were permeabilized with 0.1% Triton X-100 in TBS for 10 minutes at room temperature and blocked with 1% Blocker BSA for 15 minutes at room temperature. Cells were probed with the primary antibody (ET1703-83, 1/50) for 1 hour at room temperature, washed with PBS. Alexa Fluor®594 Goat anti-Rabbit IgG was used as the secondary antibody at 1/1,000 dilution. The nuclear counter stain is DAPI (blue).
ICC staining of Prealbumin in MCF-7 cells (red). Formalin fixed cells were permeabilized with 0.1% Triton X-100 in TBS for 10 minutes at room temperature and blocked with 1% Blocker BSA for 15 minutes at room temperature. Cells were probed with the primary antibody (ET1703-83, 1/50) for 1 hour at room temperature, washed with PBS. Alexa Fluor®594 Goat anti-Rabbit IgG was used as the secondary antibody at 1/1,000 dilution. The nuclear counter stain is DAPI (blue).
quantity: 50μl
price: 205.00 USD
to the supplier
Human Prealbumin
HUABIO
catalog: HA725259
domestic rabbit monoclonal (PSH17-42)
reactivity:
human
application:
ELISA
Sandwich ELISA analysis of Human Prealbumin matched pair antibodies Capture: HA725259, Human Prealbumin Rabbit mAb [PSH17-42] Detector: HA725260, Human Prealbumin Rabbit mAb [PSH17-43] Elisa assay was performed by coating wells of a 96-well plate with 50 µl per well of capture antibody (HA725259) diluted in carbonate/bicarbonate buffer, at a concentration of 2 µg/ml overnight at 4℃. Wells of the plate were washed, blocked with 150 µl 0.05% tween-20 1% BSA blocking buffer, and incubated with serial diluted Recombinant Human Prealbumin protein (HA211085) starting from 5,000 pg/ml to 0 pg/ml and detect antibody (HA725260, Biotin, 0.2 µg/ml) for 1 hour at 30℃ with shaking. Then the plate was washed and incubated with 50 µl per well of SA-HRP for 0.5 hour at 30℃ with shaking. Detection was performed using an Ultra TMB Substrate for 12 minutes at room temperature in the dark. The reaction was stopped with sulfuric acid and absorbances were read on a spectrophotometer at 450 nm.
Interpolated concentrations of native Prealbumin in human plasma. Capture: HA725259, Human Prealbumin Rabbit mAb [PSH17-42] Detector: HA725260, Human Prealbumin Rabbit mAb [PSH17-43] The concentrations of Prealbumin were measured in duplicates, interpolated from the Prealbumin standard curve and corrected for sample dilution. Undiluted samples are human plasma 1:800000. The interpolated dilution factor corrected values are plotted (mean +/- SD, n=3). The mean Prealbumin concentration was determined to be 357 ug/ml in human plasma.
quantity: 100μl
price: 649.00 USD
to the supplier
Human Prealbumin
HUABIO
catalog: HA725260
domestic rabbit monoclonal (PSH17-43)
reactivity:
human
application:
ELISA
Sandwich ELISA analysis of Human Prealbumin matched pair antibodies Capture: HA725259, Human Prealbumin Rabbit mAb [PSH17-42] Detector: HA725260, Human Prealbumin Rabbit mAb [PSH17-43] Elisa assay was performed by coating wells of a 96-well plate with 50 µl per well of capture antibody (HA725259) diluted in carbonate/bicarbonate buffer, at a concentration of 2 µg/ml overnight at 4℃. Wells of the plate were washed, blocked with 150 µl 0.05% tween-20 1% BSA blocking buffer, and incubated with serial diluted Recombinant Human Prealbumin protein (HA211085) starting from 5,000 pg/ml to 0 pg/ml and detect antibody (HA725260, Biotin, 0.2 µg/ml) for 1 hour at 30℃ with shaking. Then the plate was washed and incubated with 50 µl per well of SA-HRP for 0.5 hour at 30℃ with shaking. Detection was performed using an Ultra TMB Substrate for 12 minutes at room temperature in the dark. The reaction was stopped with sulfuric acid and absorbances were read on a spectrophotometer at 450 nm.
Interpolated concentrations of native Prealbumin in human plasma. Capture: HA725259, Human Prealbumin Rabbit mAb [PSH17-42] Detector: HA725260, Human Prealbumin Rabbit mAb [PSH17-43] The concentrations of Prealbumin were measured in duplicates, interpolated from the Prealbumin standard curve and corrected for sample dilution. Undiluted samples are human plasma 1:800000. The interpolated dilution factor corrected values are plotted (mean +/- SD, n=3). The mean Prealbumin concentration was determined to be 357 ug/ml in human plasma.
quantity: 100μl
price: 649.00 USD
to the supplier
Human Prealbumin
HUABIO
catalog: HA725260B
domestic rabbit monoclonal (PSH17-43)
reactivity:
human
conjugate: biotin
application:
ELISA
Sandwich ELISA analysis of Human Prealbumin matched pair antibodies Capture: HA725259, Human Prealbumin Rabbit mAb [PSH17-42] Detector: HA725260, Human Prealbumin Rabbit mAb [PSH17-43] Elisa assay was performed by coating wells of a 96-well plate with 50 µl per well of capture antibody (HA725259) diluted in carbonate/bicarbonate buffer, at a concentration of 2 µg/ml overnight at 4℃. Wells of the plate were washed, blocked with 150 µl 0.05% tween-20 1% BSA blocking buffer, and incubated with serial diluted Recombinant Human Prealbumin protein (HA211085) starting from 5,000 pg/ml to 0 pg/ml and detect antibody (HA725260, Biotin, 0.2 µg/ml) for 1 hour at 30℃ with shaking. Then the plate was washed and incubated with 50 µl per well of SA-HRP for 0.5 hour at 30℃ with shaking. Detection was performed using an Ultra TMB Substrate for 12 minutes at room temperature in the dark. The reaction was stopped with sulfuric acid and absorbances were read on a spectrophotometer at 450 nm.
Interpolated concentrations of native Prealbumin in human plasma. Capture: HA725259, Human Prealbumin Rabbit mAb [PSH17-42] Detector: HA725260, Human Prealbumin Rabbit mAb [PSH17-43] The concentrations of Prealbumin were measured in duplicates, interpolated from the Prealbumin standard curve and corrected for sample dilution. Undiluted samples are human plasma 1:800000. The interpolated dilution factor corrected values are plotted (mean +/- SD, n=3). The mean Prealbumin concentration was determined to be 357 ug/ml in human plasma.
quantity: 100μl
price: 409.00 USD
to the supplier
Human Prealbumin
HUABIO
catalog: HA725260H
domestic rabbit monoclonal (PSH17-43)
reactivity:
human
conjugate: HRP
application:
ELISA
Sandwich ELISA analysis of Human Prealbumin matched pair antibodies Capture: HA725259, Human Prealbumin Rabbit mAb [PSH17-42] Detector: HA725260, Human Prealbumin Rabbit mAb [PSH17-43] Elisa assay was performed by coating wells of a 96-well plate with 50 µl per well of capture antibody (HA725259) diluted in carbonate/bicarbonate buffer, at a concentration of 2 µg/ml overnight at 4℃. Wells of the plate were washed, blocked with 150 µl 0.05% tween-20 1% BSA blocking buffer, and incubated with serial diluted Recombinant Human Prealbumin protein (HA211085) starting from 200,000 pg/ml to 0 pg/ml and detect antibody (HA725260, HRP, 0.2 µg/ml) for 1 hour at 30℃ with shaking. Detection was performed using an Ultra TMB Substrate for 12 minutes at room temperature in the dark. The reaction was stopped with sulfuric acid and absorbances were read on a spectrophotometer at 450 nm.
quantity: 100μl
price: 385.00 USD
to the supplier
Prealbumin
HUABIO
catalog: HA750392
domestic rabbit monoclonal (JM11-43)
reactivity:
human
application:
western blot
,
immunoprecipitation
,
flow cytometry
,
immunohistochemistry - paraffin section
Western blot analysis of Prealbumin on different lysates with Rabbit anti-Prealbumin antibody (HA750392) at 1/2,000 dilution. Lane 1: Human liver tissue lysate Lane 2: Human lung tissue lysate Lysates/proteins at 20 µg/Lane. Predicted band size: 16 kDa Observed band size: 15 kDa Exposure time: 1 minute 22 seconds; 4-20% SDS-PAGE gel. Proteins were transferred to a PVDF membrane and blocked with 5% NFDM/TBST for 1 hour at room temperature. The primary antibody (HA750392) at 1/2,000 dilution was used in 5% NFDM/TBST at 4℃ overnight. Goat Anti-Rabbit IgG - HRP Secondary Antibody (HA1001) at 1/50,000 dilution was used for 1 hour at room temperature.
ICC staining of Prealbumin in A549 cells (red). Formalin fixed cells were permeabilized with 0.1% Triton X-100 in TBS for 10 minutes at room temperature and blocked with 1% Blocker BSA for 15 minutes at room temperature. Cells were probed with the primary antibody (HA750392, 1/50) for 1 hour at room temperature, washed with PBS. Alexa Fluor®594 Goat anti-Rabbit IgG was used as the secondary antibody at 1/1,000 dilution. The nuclear counter stain is DAPI (blue).
ICC staining of Prealbumin in MCF-7 cells (red). Formalin fixed cells were permeabilized with 0.1% Triton X-100 in TBS for 10 minutes at room temperature and blocked with 1% Blocker BSA for 15 minutes at room temperature. Cells were probed with the primary antibody (HA750392, 1/50) for 1 hour at room temperature, washed with PBS. Alexa Fluor®594 Goat anti-Rabbit IgG was used as the secondary antibody at 1/1,000 dilution. The nuclear counter stain is DAPI (blue).
quantity: 100μl
price: 649.00 USD
to the supplier
Prealbumin
HUABIO
catalog: M0809-12
mouse monoclonal (3-E11)
reactivity:
human
application:
western blot
Western blot analysis on human plasma using anti-Transthyretin Mouse mAb (Cat. # M0809-12).
quantity: 100μl
price: 360.00 USD
to the supplier