Sign in
Sign up
home
>
HUABIO
> HUABIO Rps6kb1 antibody
p70 S6 Kinase beta
HUABIO
catalog: ER31205
domestic rabbit polyclonal
reactivity:
human
,
mouse
,
rat
application:
western blot
,
flow cytometry
,
immunohistochemistry - paraffin section
Western blot analysis of p70 S6 Kinase beta on different lysates with Rabbit anti-p70 S6 Kinase beta antibody (ER31205) at 1/1,000 dilution. Lane 1: HeLa cell lysate Lane 2: NIH/3T3 cell lysate Lane 3: C6 cell lysate Lysates/proteins at 20 µg/Lane. Predicted band size: 59 kDa Observed band size: 59 kDa Exposure time: 1 minute; ECL: K1801; 4-20% SDS-PAGE gel. Proteins were transferred to a PVDF membrane and blocked with 5% NFDM/TBST for 1 hour at room temperature. The primary antibody (ER31205) at 1/1,000 dilution was used in 5% NFDM/TBST at 4℃ overnight. Goat Anti-Rabbit IgG - HRP Secondary Antibody (HA1001) at 1/50,000 dilution was used for 1 hour at room temperature.
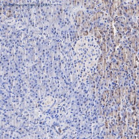
Immunohistochemical analysis of paraffin-embedded human pancreas tissue with Rabbit anti-p70 S6 Kinase beta antibody (ER31205) at 1/5,000 dilution. The section was pre-treated using heat mediated antigen retrieval with Tris-EDTA buffer (pH 9.0) for 20 minutes. The tissues were blocked in 1% BSA for 20 minutes at room temperature, washed with ddH2O and PBS, and then probed with the primary antibody (ER31205) at 1/5,000 dilution for 1 hour at room temperature. The detection was performed using an HRP conjugated compact polymer system. DAB was used as the chromogen. Tissues were counterstained with hematoxylin and mounted with DPX.
ICC staining p70 S6 Kinase beta in Hela cells (green). Cells were fixed in paraformaldehyde, permeabilised with 0.25% Triton X100/PBS.
quantity: 100μl
price: 330 USD
to the supplier
p70 S6 Kinase
HUABIO
catalog: HA500095
domestic rabbit polyclonal
reactivity:
human
,
mouse
,
rat
application:
western blot
,
immunohistochemistry - paraffin section
Western blot analysis of p70 S6 Kinase on different lysates with Rabbit anti-p70 S6 Kinase antibody (HA500095) at 1/1,000 dilution. Lane 1: HeLa cell lysate Lane 2: C6 cell lysate Lane 3: PC-12 cell lysate Lane 4: NIH/3T3 cell lysate Lane 5: Mouse thymus tissue lysate Lysates/proteins at 20 µg/Lane. Predicted band size: 59 kDa Observed band size: 59 kDa Exposure time: 5 seconds; 4-20% SDS-PAGE gel. Proteins were transferred to a PVDF membrane and blocked with 5% NFDM/TBST for 1 hour at room temperature. The primary antibody (HA500095) at 1/1,000 dilution was used in 5% NFDM/TBST at 4℃ overnight. Goat Anti-Rabbit IgG - HRP Secondary Antibody (HA1001) at 1/50,000 dilution was used for 1 hour at room temperature.
Immunohistochemical analysis of paraffin-embedded mouse testis tissue using anti-p70 S6 Kinase antibody. The section was pre-treated using heat mediated antigen retrieval with Tris-EDTA buffer (pH 8.0-8.4) for 20 minutes.The tissues were blocked in 5% BSA for 30 minutes at room temperature, washed with ddH2O and PBS, and then probed with the primary antibody (HA500095, 1/400) for 30 minutes at room temperature. The detection was performed using an HRP conjugated compact polymer system. DAB was used as the chromogen. Tissues were counterstained with hematoxylin and mounted with DPX.
quantity: 100μl
price: 330 USD
to the supplier
Phospho-p70 S6 Kinase (T389)
HUABIO
catalog: HA721803
domestic rabbit monoclonal (PSH02-23)
reactivity:
human
,
mouse
,
rat
application:
western blot
,
immunohistochemistry - paraffin section
Western blot analysis of Phospho-p70 S6 Kinase (T389) on different lysates with Rabbit anti-Phospho-p70 S6 Kinase (T389) antibody (HA721803) at 1/2,000 dilution and competitor's antibody at 1/2,000 dilution. Lane 1: MCF7 cell lysate Lane 2: MCF7 treated with 20% FBS overnight then add 100nM Calyculin A for 30 minutes cell lysate Lane 3: NIH/3T3 cell lysate Lane 4: NIH/3T3 treated with 20% FBS overnight then add 100nM Calyculin A for 30 minutes cell lysate Lysates/proteins at 15 µg/Lane. Predicted band size: 59 kDa Observed band size: 70/85 kDa Exposure time: Lane 1-4 (left): 1 minute 2 seconds; Lane 1-4 (right): 3 minutes; ECL: K1801; 4-20% SDS-PAGE gel. Proteins were transferred to a PVDF membrane and blocked with 5% NFDM/TBST for 1 hour at room temperature. The primary antibody (HA721803) at 1/2,000 dilution and competitor's antibody at 1/2,000 dilution were used in 5% NFDM/TBST at 4℃ overnight. Goat Anti-Rabbit IgG - HRP Secondary Antibody (HA1001) at 1/50,000 dilution was used for 1 hour at room temperature.
Immunohistochemical analysis of paraffin-embedded human breast carcinoma tissue with Rabbit anti-Phospho-p70 S6 Kinase (T389) antibody (HA721803) at 1/1,000 dilution. The section was pre-treated using heat mediated antigen retrieval with sodium citrate buffer (pH 6.0) (high pressure) for 2 minutes. The tissues were blocked in 1% BSA for 20 minutes at room temperature, washed with ddH2O and PBS, and then probed with the primary antibody (HA721803) at 1/1,000 dilution for 1 hour at room temperature. The detection was performed using an HRP conjugated compact polymer system. DAB was used as the chromogen. Tissues were counterstained with hematoxylin and mounted with DPX.
Western blot analysis of Phospho-p70 S6 Kinase (T389) on different lysates with Rabbit anti-Phospho-p70 S6 Kinase (T389) antibody (HA721803) at 1/1,000 dilution. Lane 1: MCF7 cell lysate Lane 2: MCF7 starved for 4 hours then treated with 200ng/mL EGF for 15 minutes cell lysate Lane 3: C6 cell lysate Lane 4: C6 treated with 100nM Calyculin A for 30 minutes cell lysate Lysates/proteins at 20 µg/Lane. Predicted band size: 59 kDa Observed band size: 70/85 kDa Exposure time: 46 seconds; ECL: K1802; 4-20% SDS-PAGE gel. Proteins were transferred to a PVDF membrane and blocked with 5% NFDM/TBST for 1 hour at room temperature. The primary antibody (HA721803) at 1/1,000 dilution was used in 5% NFDM/TBST at 4℃ overnight. Goat Anti-Rabbit IgG - HRP Secondary Antibody (HA1001) at 1/50,000 dilution was used for 1 hour at room temperature.
quantity: 100μl
price: 385.00 USD
to the supplier
p70 S6 Kinase
HUABIO
catalog: HA722520
domestic rabbit monoclonal (JE03-20)
reactivity:
human
,
mouse
,
rat
application:
western blot
,
immunoprecipitation
,
immunohistochemistry - paraffin section
Western blot analysis of p70 S6 Kinase on different lysates with Rabbit anti-p70 S6 Kinase antibody (HA722520) at 1/1,000 dilution. Lane 1: MCF7 cell lysate Lane 2: A549 cell lysate Lane 3: HepG2 cell lysate Lane 4: NIH/3T3 cell lysate Lane 5: C6 cell lysate Lane 6: Mouse brain tissue lysate Lane 7: Rat brain tissue lysate Lysates/proteins at 20 µg/Lane. Predicted band size: 59 kDa Observed band size: 59 kDa Exposure time: 10 seconds; ECL: K1801; 4-20% SDS-PAGE gel. Proteins were transferred to a PVDF membrane and blocked with 5% NFDM/TBST for 1 hour at room temperature. The primary antibody (HA722520) at 1/1,000 dilution was used in 5% NFDM/TBST at 4℃ overnight. Goat Anti-Rabbit IgG - HRP Secondary Antibody (HA1001) at 1/50,000 dilution was used for 1 hour at room temperature.
Immunohistochemical analysis of paraffin-embedded human brain tissue with Rabbit anti-p70 S6 Kinase antibody (HA722520) at 1/200 dilution. The section was pre-treated using heat mediated antigen retrieval with Tris-EDTA buffer (pH 9.0) for 20 minutes. The tissues were blocked in 1% BSA for 20 minutes at room temperature, washed with ddH2O and PBS, and then probed with the primary antibody (HA722520) at 1/200 dilution for 1 hour at room temperature. The detection was performed using an HRP conjugated compact polymer system. DAB was used as the chromogen. Tissues were counterstained with hematoxylin and mounted with DPX.
Immunohistochemical analysis of paraffin-embedded mouse brain tissue with Rabbit anti-p70 S6 Kinase antibody (HA722520) at 1/200 dilution. The section was pre-treated using heat mediated antigen retrieval with Tris-EDTA buffer (pH 9.0) for 20 minutes. The tissues were blocked in 1% BSA for 20 minutes at room temperature, washed with ddH2O and PBS, and then probed with the primary antibody (HA722520) at 1/200 dilution for 1 hour at room temperature. The detection was performed using an HRP conjugated compact polymer system. DAB was used as the chromogen. Tissues were counterstained with hematoxylin and mounted with DPX.
quantity: 100μl
price: 385.00 USD
to the supplier
p70 S6 Kinase
HUABIO
catalog: HA723539
domestic rabbit monoclonal (PSH13-50)
reactivity:
human
,
mouse
,
rat
application:
western blot
,
immunoprecipitation
,
flow cytometry
Western blot analysis of p70 S6 Kinase on different lysates with Rabbit anti-p70 S6 Kinase antibody (HA723539) at 1/2,000 dilution. Lane 1: HeLa cell lysate Lane 2: MCF7 cell lysate Lane 3: 293T cell lysate Lane 4: HL-60 cell lysate Lane 5: Neuro-2a cell lysate Lane 6: PC-12 cell lysate Lane 7: COS-1 cell lysate Lysates/proteins at 20 µg/Lane. Predicted band size: 59 kDa Observed band size: 70 kDa Exposure time: 25 seconds; ECL: K1801; 4-20% SDS-PAGE gel. Proteins were transferred to a PVDF membrane and blocked with 5% NFDM/TBST for 1 hour at room temperature. The primary antibody (HA723539) at 1/2,000 dilution was used in 5% NFDM/TBST at 4℃ overnight. Goat Anti-Rabbit IgG - HRP Secondary Antibody (HA1001) at 1/50,000 dilution was used for 1 hour at room temperature.
Immunocytochemistry analysis of HeLa cells labeling p70 S6 Kinase with Rabbit anti-p70 S6 Kinase antibody (HA723539) at 1/250 dilution. Cells were fixed in 4% paraformaldehyde for 15 minutes at room temperature, permeabilized with 0.1% Triton X-100 in PBS for 15 minutes at room temperature, then blocked with 1% BSA in 10% negative goat serum for 1 hour at room temperature. Cells were then incubated with Rabbit anti-p70 S6 Kinase antibody (HA723539) at 1/250 dilution in 1% BSA in PBST overnight at 4 ℃. Goat Anti-Rabbit IgG H&L (iFluor™ 488, HA1121) was used as the secondary antibody at 1/1,000 dilution. PBS instead of the primary antibody was used as the secondary antibody only control. Nuclear DNA was labelled in blue with DAPI. Beta tubulin (HA601187, red) was stained at 1/100 dilution overnight at +4℃. Goat Anti-Mouse IgG H&L (iFluor™ 594, HA1126) was used as the secondary antibody at 1/1,000 dilution.
Immunocytochemistry analysis of Neuro-2a cells labeling p70 S6 Kinase with Rabbit anti-p70 S6 Kinase antibody (HA723539) at 1/100 dilution. Cells were fixed in 4% paraformaldehyde for 15 minutes at room temperature, permeabilized with 0.1% Triton X-100 in PBS for 15 minutes at room temperature, then blocked with 1% BSA in 10% negative goat serum for 1 hour at room temperature. Cells were then incubated with Rabbit anti-p70 S6 Kinase antibody (HA723539) at 1/100 dilution in 1% BSA in PBST overnight at 4 ℃. Goat Anti-Rabbit IgG H&L (iFluor™ 488, HA1121) was used as the secondary antibody at 1/1,000 dilution. PBS instead of the primary antibody was used as the secondary antibody only control. Nuclear DNA was labelled in blue with DAPI. Beta tubulin (HA601187, red) was stained at 1/100 dilution overnight at +4℃. Goat Anti-Mouse IgG H&L (iFluor™ 594, HA1126) was used as the secondary antibody at 1/1,000 dilution.
quantity: 100μl
price: 385.00 USD
to the supplier
Phospho-p70 S6 Kinase (T389)
HUABIO
catalog: HA750791
domestic rabbit monoclonal (PSH02-23)
reactivity:
human
,
mouse
,
rat
application:
western blot
,
immunohistochemistry - paraffin section
Western blot analysis of Phospho-p70 S6 Kinase (T389) on different lysates with Rabbit anti-Phospho-p70 S6 Kinase (T389) antibody (HA750791) at 1/2,000 dilution and competitor's antibody at 1/2,000 dilution. Lane 1: MCF7 cell lysate Lane 2: MCF7 treated with 20% FBS overnight then add 100nM Calyculin A for 30 minutes cell lysate Lane 3: NIH/3T3 cell lysate Lane 4: NIH/3T3 treated with 20% FBS overnight then add 100nM Calyculin A for 30 minutes cell lysate Lysates/proteins at 15 µg/Lane. Predicted band size: 59 kDa Observed band size: 70/85 kDa Exposure time: Lane 1-4 (left): 1 minute 2 seconds; Lane 1-4 (right): 3 minutes; ECL: K1801; 4-20% SDS-PAGE gel. Proteins were transferred to a PVDF membrane and blocked with 5% NFDM/TBST for 1 hour at room temperature. The primary antibody (HA750791) at 1/2,000 dilution and competitor's antibody at 1/2,000 dilution were used in 5% NFDM/TBST at 4℃ overnight. Goat Anti-Rabbit IgG - HRP Secondary Antibody (HA1001) at 1/50,000 dilution was used for 1 hour at room temperature.
Immunohistochemical analysis of paraffin-embedded human breast carcinoma tissue with Rabbit anti-Phospho-p70 S6 Kinase (T389) antibody (HA750791) at 1/1,000 dilution. The section was pre-treated using heat mediated antigen retrieval with sodium citrate buffer (pH 6.0) (high pressure) for 2 minutes. The tissues were blocked in 1% BSA for 20 minutes at room temperature, washed with ddH2O and PBS, and then probed with the primary antibody (HA750791) at 1/1,000 dilution for 1 hour at room temperature. The detection was performed using an HRP conjugated compact polymer system. DAB was used as the chromogen. Tissues were counterstained with hematoxylin and mounted with DPX.
Western blot analysis of Phospho-p70 S6 Kinase (T389) on different lysates with Rabbit anti-Phospho-p70 S6 Kinase (T389) antibody (HA750791) at 1/1,000 dilution. Lane 1: MCF7 cell lysate Lane 2: MCF7 starved for 4 hours then treated with 200ng/mL EGF for 15 minutes cell lysate Lane 3: C6 cell lysate Lane 4: C6 treated with 100nM Calyculin A for 30 minutes cell lysate Lysates/proteins at 20 µg/Lane. Predicted band size: 59 kDa Observed band size: 70/85 kDa Exposure time: 46 seconds; ECL: K1802; 4-20% SDS-PAGE gel. Proteins were transferred to a PVDF membrane and blocked with 5% NFDM/TBST for 1 hour at room temperature. The primary antibody (HA750791) at 1/1,000 dilution was used in 5% NFDM/TBST at 4℃ overnight. Goat Anti-Rabbit IgG - HRP Secondary Antibody (HA1001) at 1/50,000 dilution was used for 1 hour at room temperature.
quantity: 100μl
price: 649.00 USD
to the supplier
p70 S6 Kinase
HUABIO
catalog: HA751469
domestic rabbit monoclonal (PSH13-50)
reactivity:
human
,
mouse
,
rat
application:
western blot
,
immunoprecipitation
,
flow cytometry
Western blot analysis of p70 S6 Kinase on different lysates with Rabbit anti-p70 S6 Kinase antibody (HA751469) at 1/2,000 dilution. Lane 1: HeLa cell lysate Lane 2: MCF7 cell lysate Lane 3: 293T cell lysate Lane 4: HL-60 cell lysate Lane 5: Neuro-2a cell lysate Lane 6: PC-12 cell lysate Lane 7: COS-1 cell lysate Lysates/proteins at 20 µg/Lane. Predicted band size: 59 kDa Observed band size: 70 kDa Exposure time: 25 seconds; ECL: K1801; 4-20% SDS-PAGE gel. Proteins were transferred to a PVDF membrane and blocked with 5% NFDM/TBST for 1 hour at room temperature. The primary antibody (HA751469) at 1/2,000 dilution was used in 5% NFDM/TBST at 4℃ overnight. Goat Anti-Rabbit IgG - HRP Secondary Antibody (HA1001) at 1/50,000 dilution was used for 1 hour at room temperature.
Immunocytochemistry analysis of HeLa cells labeling p70 S6 Kinase with Rabbit anti-p70 S6 Kinase antibody (HA751469) at 1/250 dilution. Cells were fixed in 4% paraformaldehyde for 15 minutes at room temperature, permeabilized with 0.1% Triton X-100 in PBS for 15 minutes at room temperature, then blocked with 1% BSA in 10% negative goat serum for 1 hour at room temperature. Cells were then incubated with Rabbit anti-p70 S6 Kinase antibody (HA751469) at 1/250 dilution in 1% BSA in PBST overnight at 4 ℃. Goat Anti-Rabbit IgG H&L (iFluor™ 488, HA1121) was used as the secondary antibody at 1/1,000 dilution. PBS instead of the primary antibody was used as the secondary antibody only control. Nuclear DNA was labelled in blue with DAPI. Beta tubulin (HA601187, red) was stained at 1/100 dilution overnight at +4℃. Goat Anti-Mouse IgG H&L (iFluor™ 594, HA1126) was used as the secondary antibody at 1/1,000 dilution.
Immunocytochemistry analysis of Neuro-2a cells labeling p70 S6 Kinase with Rabbit anti-p70 S6 Kinase antibody (HA751469) at 1/100 dilution. Cells were fixed in 4% paraformaldehyde for 15 minutes at room temperature, permeabilized with 0.1% Triton X-100 in PBS for 15 minutes at room temperature, then blocked with 1% BSA in 10% negative goat serum for 1 hour at room temperature. Cells were then incubated with Rabbit anti-p70 S6 Kinase antibody (HA751469) at 1/100 dilution in 1% BSA in PBST overnight at 4 ℃. Goat Anti-Rabbit IgG H&L (iFluor™ 488, HA1121) was used as the secondary antibody at 1/1,000 dilution. PBS instead of the primary antibody was used as the secondary antibody only control. Nuclear DNA was labelled in blue with DAPI. Beta tubulin (HA601187, red) was stained at 1/100 dilution overnight at +4℃. Goat Anti-Mouse IgG H&L (iFluor™ 594, HA1126) was used as the secondary antibody at 1/1,000 dilution.
quantity: 100μl
price: 649.00 USD
to the supplier