mouse monoclonal (3-G6)
reactivity: human, mouse
application: western blot, immunohistochemistry - paraffin section
reactivity: human, mouse
application: western blot, immunohistochemistry - paraffin section

Western blot analysis of Cardiac Troponin T on human heart tissue lysate using anti- Cardiac Troponin T antibody at 1/1,000 dilution.

ICC staining Cardiac Troponin T (green) in A431 cells. The nuclear counter stain is DAPI (blue). Cells were fixed in paraformaldehyde, permeabilised with 0.25% Triton X100/PBS.

ICC staining Cardiac Troponin T (green) in Hela cells. The nuclear counter stain is DAPI (blue). Cells were fixed in paraformaldehyde, permeabilised with 0.25% Triton X100/PBS.
quantity: 100μl
price: 360.00 USD
to the supplier
domestic rabbit polyclonal
reactivity: human, mouse, rat
application: western blot, immunohistochemistry - paraffin section
reactivity: human, mouse, rat
application: western blot, immunohistochemistry - paraffin section

Western blot analysis of Cardiac Troponin T on different lysates with Rabbit anti-Cardiac Troponin T antibody (ER21102) at 1/1,000 dilution. Lane 1: Mouse heart tissue lysate Lane 2: Rat heart tissue lysate Lysates/proteins at 30 µg/Lane. Predicted band size: 36 kDa Observed band size: 36 kDa Exposure time: 3 minutes; 4-20% SDS-PAGE gel. Proteins were transferred to a PVDF membrane and blocked with 5% NFDM/TBST for 1 hour at room temperature. The primary antibody (ER21102) at 1/1,000 dilution was used in 5% NFDM/TBST at room temperature for 2 hours. Goat Anti-Rabbit IgG - HRP Secondary Antibody (HA1001) at 1:200,000 dilution was used for 1 hour at room temperature.

Immunohistochemical analysis of paraffin-embedded mouse heart tissue using anti-TNNT2 antibody. Counter stained with hematoxylin.
quantity: 100μl
price: 330 USD
to the supplier
domestic rabbit monoclonal (SC64-03)
reactivity: human, mouse, rat
application: western blot, immunohistochemistry - paraffin section
reactivity: human, mouse, rat
application: western blot, immunohistochemistry - paraffin section

Western blot analysis of Cardiac Troponin T on different lysates with Rabbit anti-Cardiac Troponin T antibody (ET1610-51) at 1/2,000 dilution. Lane 1: Mouse heart tissue lysate Lane 2: Rat heart tissue lysate Lysates/proteins at 40 µg/Lane. Predicted band size: 36 kDa Observed band size: 43 kDa Exposure time: 25 seconds; ECL: K1801; 4-20% SDS-PAGE gel. Proteins were transferred to a PVDF membrane and blocked with 5% NFDM/TBST for 1 hour at room temperature. The primary antibody (ET1610-51) at 1/2,000 dilution was used in 5% NFDM/TBST at 4℃ overnight. Goat Anti-Rabbit IgG - HRP Secondary Antibody (HA1001) at 1/50,000 dilution was used for 1 hour at room temperature.

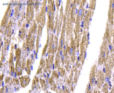
Immunohistochemical analysis of paraffin-embedded human heart tissue with Rabbit anti-Cardiac Troponin T antibody (ET1610-51) at 1/2,000 dilution. The section was pre-treated using heat mediated antigen retrieval with Tris-EDTA buffer (pH 9.0) for 20 minutes. The tissues were blocked in 1% BSA for 20 minutes at room temperature, washed with ddH2O and PBS, and then probed with the primary antibody (ET1610-51) at 1/2,000 dilution for 1 hour at room temperature. The detection was performed using an HRP conjugated compact polymer system. DAB was used as the chromogen. Tissues were counterstained with hematoxylin and mounted with DPX.

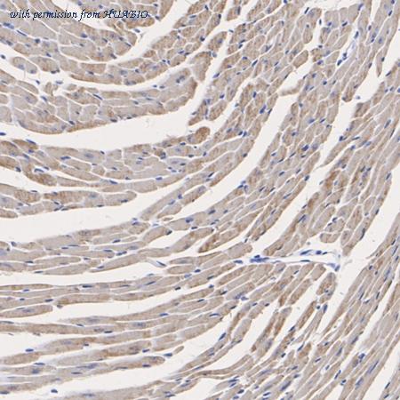
Immunohistochemical analysis of paraffin-embedded mouse heart tissue with Rabbit anti-Cardiac Troponin T antibody (ET1610-51) at 1/2,000 dilution. The section was pre-treated using heat mediated antigen retrieval with Tris-EDTA buffer (pH 9.0) for 20 minutes. The tissues were blocked in 1% BSA for 20 minutes at room temperature, washed with ddH2O and PBS, and then probed with the primary antibody (ET1610-51) at 1/2,000 dilution for 1 hour at room temperature. The detection was performed using an HRP conjugated compact polymer system. DAB was used as the chromogen. Tissues were counterstained with hematoxylin and mounted with DPX.
quantity: 100μl
price: 385.00 USD
to the supplier
domestic rabbit monoclonal (SC64-03)
reactivity: human, mouse, rat
application: western blot, immunohistochemistry - paraffin section
reactivity: human, mouse, rat
application: western blot, immunohistochemistry - paraffin section

Western blot analysis of Cardiac Troponin T on different lysates with Rabbit anti-Cardiac Troponin T antibody (HA750222) at 1/2,000 dilution. Lane 1: Mouse heart tissue lysate Lane 2: Rat heart tissue lysate Lysates/proteins at 40 µg/Lane. Predicted band size: 36 kDa Observed band size: 43 kDa Exposure time: 25 seconds; ECL: K1801; 4-20% SDS-PAGE gel. Proteins were transferred to a PVDF membrane and blocked with 5% NFDM/TBST for 1 hour at room temperature. The primary antibody (HA750222) at 1/2,000 dilution was used in 5% NFDM/TBST at 4℃ overnight. Goat Anti-Rabbit IgG - HRP Secondary Antibody (HA1001) at 1/50,000 dilution was used for 1 hour at room temperature.

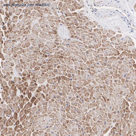
Immunohistochemical analysis of paraffin-embedded human heart tissue with Rabbit anti-Cardiac Troponin T antibody (HA750222) at 1/2,000 dilution. The section was pre-treated using heat mediated antigen retrieval with Tris-EDTA buffer (pH 9.0) for 20 minutes. The tissues were blocked in 1% BSA for 20 minutes at room temperature, washed with ddH2O and PBS, and then probed with the primary antibody (HA750222) at 1/2,000 dilution for 1 hour at room temperature. The detection was performed using an HRP conjugated compact polymer system. DAB was used as the chromogen. Tissues were counterstained with hematoxylin and mounted with DPX.

Immunohistochemical analysis of paraffin-embedded mouse heart tissue with Rabbit anti-Cardiac Troponin T antibody (HA750222) at 1/2,000 dilution. The section was pre-treated using heat mediated antigen retrieval with Tris-EDTA buffer (pH 9.0) for 20 minutes. The tissues were blocked in 1% BSA for 20 minutes at room temperature, washed with ddH2O and PBS, and then probed with the primary antibody (HA750222) at 1/2,000 dilution for 1 hour at room temperature. The detection was performed using an HRP conjugated compact polymer system. DAB was used as the chromogen. Tissues were counterstained with hematoxylin and mounted with DPX.
quantity: 100μl
price: 649.00 USD
to the supplier
mouse monoclonal (5-C7)
reactivity: human, mouse
application: western blot, flow cytometry, immunohistochemistry - paraffin section
reactivity: human, mouse
application: western blot, flow cytometry, immunohistochemistry - paraffin section

Western blot analysis of TNNT2 on human heart tissue lysate using anti-TNNT2 antibody at 1/2,000 dilution.

ICC staining TNNT2 (red) in SK-Br-3 cells. The nuclear counter stain is DAPI (blue). Cells were fixed in paraformaldehyde, permeabilised with 0.25% Triton X100/PBS.

Immunohistochemical analysis of paraffin-embedded mouse heart tissue using anti-TNNT2 antibody. Counter stained with hematoxylin.
quantity: 100μl
price: 360.00 USD
to the supplier
