Sign in
Sign up
home
>
HUABIO
> HUABIO TNFR2 antibody
TNF Receptor II
HUABIO
catalog: ET1703-63-50UL
domestic rabbit monoclonal (JM113-01)
reactivity:
human
,
mouse
,
rat
application:
western blot
,
immunoprecipitation
,
flow cytometry
,
immunohistochemistry - paraffin section
,
immunohistochemistry - frozen section
Western blot analysis of TNF Receptor II on different lysates with Rabbit anti-TNF Receptor II antibody (ET1703-63) at 1/2,000 dilution. Lane 1: THP-1 cell lysate (20 µg/Lane) Lane 2: Jurkat cell lysate (20 µg/Lane) Lane 3: K-562 cell lysate (20 µg/Lane) Lane 4: RAW264.7 cell lysate (20 µg/Lane) Lane 5: PC-12 cell lysate (20 µg/Lane) Lane 6: Mouse spleen tissue lysate (40 µg/Lane) Predicted band size: 48 kDa Observed band size: 60 kDa Exposure time: 10 seconds; ECL: K1801; 4-20% SDS-PAGE gel. Proteins were transferred to a PVDF membrane and blocked with 5% NFDM/TBST for 1 hour at room temperature. The primary antibody (ET1703-63) at 1/2,000 dilution was used in 5% NFDM/TBST at 4℃ overnight. Goat Anti-Rabbit IgG - HRP Secondary Antibody (HA1001) at 1/50,000 dilution was used for 1 hour at room temperature.
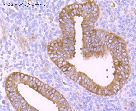
Immunohistochemical analysis of paraffin-embedded human uterus tissue using anti-TNF Receptor II antibody. The section was pre-treated using heat mediated antigen retrieval with Tris-EDTA buffer (pH 8.0-8.4) for 20 minutes.The tissues were blocked in 5% BSA for 30 minutes at room temperature, washed with ddH2O and PBS, and then probed with the primary antibody (ET1703-63, 1/50) for 30 minutes at room temperature. The detection was performed using an HRP conjugated compact polymer system. DAB was used as the chromogen. Tissues were counterstained with hematoxylin and mounted with DPX.
Flow cytometric analysis of TNF Receptor II was done on HL-60 cells. The cells were fixed, permeabilized and stained with the primary antibody (ET1703-63, 1/50) (red). After incubation of the primary antibody at room temperature for an hour, the cells were stained with a Alexa Fluor 488-conjugated Goat anti-Rabbit IgG Secondary antibody at 1/1000 dilution for 30 minutes.Unlabelled sample was used as a control (cells without incubation with primary antibody; black).
quantity: 50μl
price: 205.00 USD
to the supplier
TNF Receptor II
HUABIO
catalog: HA500332
domestic rabbit polyclonal
reactivity:
human
,
mouse
,
rat
application:
flow cytometry
,
immunohistochemistry - paraffin section
Immunohistochemical analysis of paraffin-embedded rat epididymis tissue using anti-TNF Receptor II antibody. The section was pre-treated using heat mediated antigen retrieval with sodium citrate buffer (pH 6.0) (high pressure) for 2 minutes. The tissues were blocked in 5% BSA for 30 minutes at room temperature, washed with ddH2O and PBS, and then probed with the primary antibody (HA500332, 1/50) for 30 minutes at room temperature. The detection was performed using an HRP conjugated compact polymer system. DAB was used as the chromogen. Tissues were counterstained with hematoxylin and mounted with DPX.
Immunohistochemical analysis of paraffin-embedded human uterus tissue using anti-TNF Receptor II antibody. The section was pre-treated using heat mediated antigen retrieval with sodium citrate buffer (pH 6.0) (high pressure) for 2 minutes. The tissues were blocked in 5% BSA for 30 minutes at room temperature, washed with ddH2O and PBS, and then probed with the primary antibody (HA500332, 1/50) for 30 minutes at room temperature. The detection was performed using an HRP conjugated compact polymer system. DAB was used as the chromogen. Tissues were counterstained with hematoxylin and mounted with DPX.
Immunohistochemical analysis of paraffin-embedded mouse testis tissue using anti-TNF Receptor II antibody. The section was pre-treated using heat mediated antigen retrieval with sodium citrate buffer (pH 6.0) (high pressure) for 2 minutes. The tissues were blocked in 5% BSA for 30 minutes at room temperature, washed with ddH2O and PBS, and then probed with the primary antibody (HA500332, 1/50) for 30 minutes at room temperature. The detection was performed using an HRP conjugated compact polymer system. DAB was used as the chromogen. Tissues were counterstained with hematoxylin and mounted with DPX.
quantity: 100μl
price: 330 USD
to the supplier
Human TNF Receptor II
HUABIO
catalog: HA723402
domestic rabbit monoclonal (PSH11-92)
reactivity:
human
application:
ELISA
Sandwich ELISA analysis of human TNF-R2 matched pair antibodies Capture: HA723402, Human TNF Receptor II Rabbit mAb [PSH11-92] Detector: HA723403, Human TNF Receptor II Rabbit mAb [PSH11-93] Elisa assay was performed by coating wells of a 96-well plate with 50 µl per well of capture antibody (HA723402) diluted in carbonate/bicarbonate buffer, at a concentration of 2 µg/mL overnight at 4℃. Wells of the plate were washed, blocked with 150 µl 0.05% tween-20 1% BSA blocking buffer, and incubated with serial diluted Recombinant Human TNF Receptor II protein (HA210950) starting from 2,000 pg/ml to 0 pg/ml and detect antibody (HA723403, Biotin, 0.2 µg/ml) for 1 hour at 30℃ with shaking. Then the plate was washed and incubated with 50 µl per well of SA-HRP for 0.5 hour at 30℃ with shaking. Detection was performed using an Ultra TMB Substrate for 10 minutes at room temperature in the dark. The reaction was stopped with sulfuric acid and absorbances were read on a spectrophotometer at 450 nm.
Interpolated concentrations of native TNF-R2 in U937, SW620 and HeLa cell culture supernatant. Capture: HA723402, Human TNF Receptor II Rabbit mAb [PSH11-92] Detector: HA723403, Human TNF Receptor II Rabbit mAb [PSH11-93] The concentrations of TNF-R2 were measured in duplicates, interpolated from the TNF-R2 standard curve and corrected for sample dilution. Undiluted samples are U937 cell culture supernatant 100%, SW620 cell culture supernatant 100% and HeLa cell culture supernatant. The interpolated dilution factor corrected values are plotted (mean +/- SD, n=2). The mean TNF-R2 concentration was determined to be 392.5 pg/ml in U937 cell culture supernatant, 707.2 pg/ml in SW620 cell culture supernatant and undetectable in HeLa cell culture supernatant.
Interpolated concentrations of native TNF-R2 in human urine samples. Capture: HA723402, Human TNF Receptor II Rabbit mAb [PSH11-92] Detector: HA723403, Human TNF Receptor II Rabbit mAb [PSH11-93] The concentrations of TNF-R2 were measured in duplicates, interpolated from the TNF-R2 standard curve and corrected for sample dilution. Undiluted samples are human urine 20%. The interpolated dilution factor corrected values are plotted (mean +/- SD, n=2). The mean TNF-R2 concentration was determined to be 11,279 pg/ml in human urine.
quantity: 100μl
price: 649.00 USD
to the supplier
Human TNF Receptor II
HUABIO
catalog: HA723403
domestic rabbit monoclonal (PSH11-93)
reactivity:
human
application:
ELISA
Sandwich ELISA analysis of human TNF-R2 matched pair antibodies Capture: HA723402, Human TNF Receptor II Rabbit mAb [PSH11-92] Detector: HA723403, Human TNF Receptor II Rabbit mAb [PSH11-93] Elisa assay was performed by coating wells of a 96-well plate with 50 µl per well of capture antibody (HA723402) diluted in carbonate/bicarbonate buffer, at a concentration of 2 µg/mL overnight at 4℃. Wells of the plate were washed, blocked with 150 µl 0.05% tween-20 1% BSA blocking buffer, and incubated with serial diluted Recombinant Human TNF Receptor II protein (HA210950) starting from 2,000 pg/ml to 0 pg/ml and detect antibody (HA723403, Biotin, 0.2 µg/ml) for 1 hour at 30℃ with shaking. Then the plate was washed and incubated with 50 µl per well of SA-HRP for 0.5 hour at 30℃ with shaking. Detection was performed using an Ultra TMB Substrate for 10 minutes at room temperature in the dark. The reaction was stopped with sulfuric acid and absorbances were read on a spectrophotometer at 450 nm.
Sandwich ELISA analysis of human TNF-R2 matched pair antibodies Capture: HA723405, Human TNF Receptor II Rabbit mAb [PSH11-94] Detector: HA723403, Human TNF Receptor II Rabbit mAb [PSH11-93] Elisa assay was performed by coating wells of a 96-well plate with 50 µl per well of capture antibody (HA723405) diluted in carbonate/bicarbonate buffer, at a concentration of 2 µg/mL overnight at 4℃. Wells of the plate were washed, blocked with 150 µl 0.05% tween-20 1% BSA blocking buffer, and incubated with serial diluted Recombinant Human TNF Receptor II protein (HA210950) starting from 2,000 pg/ml to 0 pg/ml and detect antibody (HA723403, Biotin, 0.2 µg/ml) for 1 hour at 30℃ with shaking. Then the plate was washed and incubated with 50 µl per well of SA-HRP for 0.5 hour at 30℃ with shaking. Detection was performed using an Ultra TMB Substrate for 10 minutes at room temperature in the dark. The reaction was stopped with sulfuric acid and absorbances were read on a spectrophotometer at 450 nm.
Interpolated concentrations of native TNF-R2 in U937, SW620 and HeLa cell culture supernatant. Capture: HA723402, Human TNF Receptor II Rabbit mAb [PSH11-92] Detector: HA723403, Human TNF Receptor II Rabbit mAb [PSH11-93] The concentrations of TNF-R2 were measured in duplicates, interpolated from the TNF-R2 standard curve and corrected for sample dilution. Undiluted samples are U937 cell culture supernatant 100%, SW620 cell culture supernatant 100% and HeLa cell culture supernatant. The interpolated dilution factor corrected values are plotted (mean +/- SD, n=2). The mean TNF-R2 concentration was determined to be 392.5 pg/ml in U937 cell culture supernatant, 707.2 pg/ml in SW620 cell culture supernatant and undetectable in HeLa cell culture supernatant.
quantity: 100μl
price: 649.00 USD
to the supplier
Human TNF Receptor II
HUABIO
catalog: HA723404B
domestic rabbit monoclonal (PSH11-93)
reactivity:
human
conjugate: biotin
application:
ELISA
Sandwich ELISA analysis of human TNF-R2 matched pair antibodies Capture: HA723402, Human TNF Receptor II Rabbit mAb [PSH11-92] Detector: HA723403, Human TNF Receptor II Rabbit mAb [PSH11-93] Elisa assay was performed by coating wells of a 96-well plate with 50 µl per well of capture antibody (HA723402) diluted in carbonate/bicarbonate buffer, at a concentration of 2 µg/mL overnight at 4℃. Wells of the plate were washed, blocked with 150 µl 0.05% tween-20 1% BSA blocking buffer, and incubated with serial diluted Recombinant Human TNF Receptor II protein (HA210950) starting from 2,000 pg/ml to 0 pg/ml and detect antibody (HA723404B, 0.2 µg/ml) for 1 hour at 30℃ with shaking. Then the plate was washed and incubated with 50 µl per well of SA-HRP for 0.5 hour at 30℃ with shaking. Detection was performed using an Ultra TMB Substrate for 10 minutes at room temperature in the dark. The reaction was stopped with sulfuric acid and absorbances were read on a spectrophotometer at 450 nm.
Sandwich ELISA analysis of human TNF-R2 matched pair antibodies Capture: HA723405, Human TNF Receptor II Rabbit mAb [PSH11-94] Detector: HA723403, Human TNF Receptor II Rabbit mAb [PSH11-93] Elisa assay was performed by coating wells of a 96-well plate with 50 µl per well of capture antibody (HA723405) diluted in carbonate/bicarbonate buffer, at a concentration of 2 µg/mL overnight at 4℃. Wells of the plate were washed, blocked with 150 µl 0.05% tween-20 1% BSA blocking buffer, and incubated with serial diluted Recombinant Human TNF Receptor II protein (HA210950) starting from 2,000 pg/ml to 0 pg/ml and detect antibody (HA723404B, 0.2 µg/ml) for 1 hour at 30℃ with shaking. Then the plate was washed and incubated with 50 µl per well of SA-HRP for 0.5 hour at 30℃ with shaking. Detection was performed using an Ultra TMB Substrate for 10 minutes at room temperature in the dark. The reaction was stopped with sulfuric acid and absorbances were read on a spectrophotometer at 450 nm.
Interpolated concentrations of native TNF-R2 in U937, SW620 and HeLa cell culture supernatant. Capture: HA723402, Human TNF Receptor II Rabbit mAb [PSH11-92] Detector: HA723403, Human TNF Receptor II Rabbit mAb [PSH11-93] The concentrations of TNF-R2 were measured in duplicates, interpolated from the TNF-R2 standard curve and corrected for sample dilution. Undiluted samples are U937 cell culture supernatant 100%, SW620 cell culture supernatant 100% and HeLa cell culture supernatant. The interpolated dilution factor corrected values are plotted (mean +/- SD, n=2). The mean TNF-R2 concentration was determined to be 392.5 pg/ml in U937 cell culture supernatant, 707.2 pg/ml in SW620 cell culture supernatant and undetectable in HeLa cell culture supernatant.
quantity: 100μl
price: 409.00 USD
to the supplier
Human TNF Receptor II
HUABIO
catalog: HA723405
domestic rabbit monoclonal (PSH11-94)
reactivity:
human
application:
ELISA
Sandwich ELISA analysis of human TNF-R2 matched pair antibodies Capture: HA723405, Human TNF Receptor II Rabbit mAb [PSH11-94] Detector: HA723403, Human TNF Receptor II Rabbit mAb [PSH11-93] Elisa assay was performed by coating wells of a 96-well plate with 50 µl per well of capture antibody (HA723405) diluted in carbonate/bicarbonate buffer, at a concentration of 2 µg/mL overnight at 4℃. Wells of the plate were washed, blocked with 150 µl 0.05% tween-20 1% BSA blocking buffer, and incubated with serial diluted Recombinant Human TNF Receptor II protein (HA210950) starting from 2,000 pg/ml to 0 pg/ml and detect antibody (HA723403, Biotin, 0.2 µg/ml) for 1 hour at 30℃ with shaking. Then the plate was washed and incubated with 50 µl per well of SA-HRP for 0.5 hour at 30℃ with shaking. Detection was performed using an Ultra TMB Substrate for 10 minutes at room temperature in the dark. The reaction was stopped with sulfuric acid and absorbances were read on a spectrophotometer at 450 nm.
Interpolated concentrations of native TNF-R2 in U937, SW620 and HeLa cell culture supernatant. Capture: HA723405, Human TNF Receptor II Rabbit mAb [PSH11-94] Detector: HA723403, Human TNF Receptor II Rabbit mAb [PSH11-93] The concentrations of TNF-R2 were measured in duplicates, interpolated from the TNF-R2 standard curve and corrected for sample dilution. Undiluted samples are U937 cell culture supernatant 100%, SW620 cell culture supernatant 100% and HeLa cell culture supernatant. The interpolated dilution factor corrected values are plotted (mean +/- SD, n=2). The mean TNF-R2 concentration was determined to be 192.5 pg/ml in U937 cell culture supernatant, 569.2 pg/ml in SW620 cell culture supernatant and undetectable in HeLa cell culture supernatant.
Interpolated concentrations of native TNF-R2 in human urine samples. Capture: HA723405, Human TNF Receptor II Rabbit mAb [PSH11-94] Detector: HA723403, Human TNF Receptor II Rabbit mAb [PSH11-93] The concentrations of TNF-R2 were measured in duplicates, interpolated from the TNF-R2 standard curve and corrected for sample dilution. Undiluted samples are human urine 20%. The interpolated dilution factor corrected values are plotted (mean +/- SD, n=2). The mean TNF-R2 concentration was determined to be 8,928 pg/ml in human urine.
quantity: 100μl
price: 649.00 USD
to the supplier
TNF Receptor II
HUABIO
catalog: HA723428
domestic rabbit monoclonal (PSH12-12)
reactivity:
human
application:
flow cytometry
Flow cytometric analysis of 293T (left, low expression) and K-562 (right, positive) cells labeling TNF Receptor II. Cells were washed twice with cold PBS and resuspend. Then stained with the primary antibody (HA723428, 1/500) (red) compared with Rabbit IgG Isotype Control (green). After incubation of the primary antibody at +4℃ for an hour, the cells were stained with a iFluor™ 488 conjugate-Goat anti-Rabbit IgG Secondary antibody (HA1121) at 1/1,000 dilution for 30 minutes at +4℃. Unlabelled sample was used as a control (cells without incubation with primary antibody; black).
quantity: 100μl
price: 385.00 USD
to the supplier
TNF Receptor II
HUABIO
catalog: HA750386
domestic rabbit monoclonal (JM113-01)
reactivity:
human
,
mouse
,
rat
application:
western blot
,
immunoprecipitation
,
flow cytometry
,
immunohistochemistry - paraffin section
,
immunohistochemistry - frozen section
Western blot analysis of TNF Receptor II on different lysates with Rabbit anti-TNF Receptor II antibody (HA750386) at 1/2,000 dilution. Lane 1: THP-1 cell lysate (20 µg/Lane) Lane 2: Jurkat cell lysate (20 µg/Lane) Lane 3: K-562 cell lysate (20 µg/Lane) Lane 4: RAW264.7 cell lysate (20 µg/Lane) Lane 5: PC-12 cell lysate (20 µg/Lane) Lane 6: Mouse spleen tissue lysate (40 µg/Lane) Predicted band size: 48 kDa Observed band size: 60 kDa Exposure time: 10 seconds; ECL: K1801; 4-20% SDS-PAGE gel. Proteins were transferred to a PVDF membrane and blocked with 5% NFDM/TBST for 1 hour at room temperature. The primary antibody (HA750386) at 1/2,000 dilution was used in 5% NFDM/TBST at 4℃ overnight. Goat Anti-Rabbit IgG - HRP Secondary Antibody (HA1001) at 1/50,000 dilution was used for 1 hour at room temperature.
Immunohistochemical analysis of paraffin-embedded human uterus tissue using anti-TNF Receptor II antibody. The section was pre-treated using heat mediated antigen retrieval with Tris-EDTA buffer (pH 8.0-8.4) for 20 minutes.The tissues were blocked in 5% BSA for 30 minutes at room temperature, washed with ddH2O and PBS, and then probed with the primary antibody (HA750386, 1/50) for 30 minutes at room temperature. The detection was performed using an HRP conjugated compact polymer system. DAB was used as the chromogen. Tissues were counterstained with hematoxylin and mounted with DPX.
Flow cytometric analysis of TNF Receptor II was done on HL-60 cells. The cells were fixed, permeabilized and stained with the primary antibody (HA750386, 1/50) (red). After incubation of the primary antibody at room temperature for an hour, the cells were stained with a Alexa Fluor 488-conjugated Goat anti-Rabbit IgG Secondary antibody at 1/1000 dilution for 30 minutes.Unlabelled sample was used as a control (cells without incubation with primary antibody; black).
quantity: 100μl
price: 649.00 USD
to the supplier
TNF Receptor II
HUABIO
catalog: HA751441
domestic rabbit monoclonal (PSH12-12)
reactivity:
human
application:
flow cytometry
Flow cytometric analysis of 293T (left, low expression) and K-562 (right, positive) cells labeling TNF Receptor II. Cells were washed twice with cold PBS and resuspend. Then stained with the primary antibody (HA751441, 1/500) (red) compared with Rabbit IgG Isotype Control (green). After incubation of the primary antibody at +4℃ for an hour, the cells were stained with a iFluor™ 488 conjugate-Goat anti-Rabbit IgG Secondary antibody (HA1121) at 1/1,000 dilution for 30 minutes at +4℃. Unlabelled sample was used as a control (cells without incubation with primary antibody; black).
quantity: 100μl
price: 649.00 USD
to the supplier