domestic rabbit polyclonal
reactivity: human
application: western blot, flow cytometry, immunohistochemistry - paraffin section
reactivity: human
application: western blot, flow cytometry, immunohistochemistry - paraffin section

Western blot analysis of TNF Receptor I on different lysates. Proteins were transferred to a PVDF membrane and blocked with 5% BSA in PBS for 1 hour at room temperature. The primary antibody (HA500140, 1/1,000) was used in 5% BSA at room temperature for 2 hours. Goat Anti-Rabbit IgG - HRP Secondary Antibody (HA1001) at 1:200,000 dilution was used for 1 hour at room temperature. Positive control: Lane 1: A549 cell lysate Lane 2: Hela cell lysate Lane 3: HepG2 cell lysate

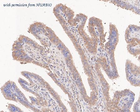
Immunohistochemical analysis of paraffin-embedded human fallopian tube tissue using anti-TNF Receptor I antibody. The section was pre-treated using heat mediated antigen retrieval with Tris-EDTA buffer (pH 8.0-8.4) for 20 minutes.The tissues were blocked in 5% BSA for 30 minutes at room temperature, washed with ddH2O and PBS, and then probed with the primary antibody (HA500140, 1/400) for 30 minutes at room temperature. The detection was performed using an HRP conjugated compact polymer system. DAB was used as the chromogen. Tissues were counterstained with hematoxylin and mounted with DPX.

Flow cytometric analysis of Hela cells labeling TNF Receptor I. Cells were fixed and permeabilized. Then stained with the primary antibody (HA500140, 1ug/ml) (red) compared with Rabbit IgG Isotype Control (green). After incubation of the primary antibody at +4℃ for an hour, the cells were stained with a iFluor™ 488 conjugate-Goat anti-Rabbit IgG Secondary antibody (HA1121) at 1/1,000 dilution for 30 minutes at +4℃. Unlabelled sample was used as a control (cells without incubation with primary antibody; black).
quantity: 100μl
price: 330 USD
to the supplier
domestic rabbit monoclonal (PSH09-89)
reactivity: human
application: ELISA
reactivity: human
application: ELISA

Sandwich ELISA analysis of Human sTNF RI matched pair antibodies Elisa assay was performed by coating wells of a 96-well plate with 100 µl per well of capture antibody (HA723154) diluted in carbonate/bicarbonate buffer, at a concentration of 2ug/ml overnight at 4℃. Wells of the plate were washed, blocked with 150 µl 0.05% tween-20 1% BSA blocking buffer, and incubated with serial diluted Recombinant Human sTNF RI Protein (HA210562) starting from 10000 pg/ml to 0 pg/ml and detect antibody (HA723159, Biotin, 0.2 µg/ml) for 1 hour at 30℃ with shaking. Then the plate was washed and incubated with 100 µl per well of SA-HRP for 0.5 hour at 30℃ with shaking. Detection was performed using an Ultra TMB Substrate for 10 minutes at room temperature in the dark. The reaction was stopped with sulfuric acid and absorbances were read on a spectrophotometer at 450 nm.

Interpolated concentrations of native sTNF R1 in human samples. Interpolated concentration of native sTNF R1 was measured in duplicate at different sample concentrations and interpolated from the sTNF R1 standard curves. The interpolated dilution factor corrected values were plotted (mean +/- SD, n=2). The mean sTNF R1 concentration was determined to be 3,727 pg/mL in human urine and 1,145 pg/ml in A549 cell supernatant. There was no detectable signal in Raji supernatant.

Interpolated concentrations of spiked sTNF RI in cell culture media samples. The concentrations of sTNF RI were measured in duplicates, interpolated from the sTNF RI standard curves and corrected for sample dilution. Undiluted samples are as follows: cell culture media 50%. The interpolated dilution factor corrected values are plotted (mean +/- SD, n=2).
quantity: 100μl
price: 649.00 USD
to the supplier
domestic rabbit monoclonal (PSH09-90)
reactivity: human
application: ELISA
reactivity: human
application: ELISA

Sandwich ELISA analysis of Human sTNF RI matched pair antibodies Elisa assay was performed by coating wells of a 96-well plate with 100 µl per well of capture antibody (HA723154) diluted in carbonate/bicarbonate buffer, at a concentration of 2ug/ml overnight at 4℃. Wells of the plate were washed, blocked with 150 µl 0.05% tween-20 1% BSA blocking buffer, and incubated with serial diluted Recombinant Human sTNF RI Protein (HA210562) starting from 10000 pg/ml to 0 pg/ml and detect antibody (HA723159, Biotin, 0.2 µg/ml) for 1 hour at 30℃ with shaking. Then the plate was washed and incubated with 100 µl per well of SA-HRP for 0.5 hour at 30℃ with shaking. Detection was performed using an Ultra TMB Substrate for 10 minutes at room temperature in the dark. The reaction was stopped with sulfuric acid and absorbances were read on a spectrophotometer at 450 nm.

Interpolated concentrations of native sTNF R1 in human samples. Interpolated concentration of native sTNF R1 was measured in duplicate at different sample concentrations and interpolated from the sTNF R1 standard curves. The interpolated dilution factor corrected values were plotted (mean +/- SD, n=2). The mean sTNF R1 concentration was determined to be 3,727 pg/mL in human urine and 1,145 pg/ml in A549 cell supernatant. There was no detectable signal in Raji supernatant.

Interpolated concentrations of spiked sTNF RI in cell culture media samples. The concentrations of sTNF RI were measured in duplicates, interpolated from the sTNF RI standard curves and corrected for sample dilution. Undiluted samples are as follows: cell culture media 50%. The interpolated dilution factor corrected values are plotted (mean +/- SD, n=2).
quantity: 100μl
price: 649.00 USD
to the supplier
domestic rabbit monoclonal (PSH09-90)
reactivity: human
conjugate: biotin
application: ELISA
reactivity: human
conjugate: biotin
application: ELISA

Sandwich ELISA analysis of Human sTNF RI matched pair antibodies Elisa assay was performed by coating wells of a 96-well plate with 100 µl per well of capture antibody (HA723154) diluted in carbonate/bicarbonate buffer, at a concentration of 2ug/ml overnight at 4℃. Wells of the plate were washed, blocked with 150 µl 0.05% tween-20 1% BSA blocking buffer, and incubated with serial diluted Recombinant Human sTNF RI Protein (HA210562) starting from 10000 pg/ml to 0 pg/ml and detect antibody (HA723160B, 0.2 µg/ml) for 1 hour at 30℃ with shaking. Then the plate was washed and incubated with 100 µl per well of SA-HRP for 0.5 hour at 30℃ with shaking. Detection was performed using an Ultra TMB Substrate for 10 minutes at room temperature in the dark. The reaction was stopped with sulfuric acid and absorbances were read on a spectrophotometer at 450 nm.

Interpolated concentrations of native sTNF R1 in human samples. Interpolated concentration of native sTNF R1 was measured in duplicate at different sample concentrations and interpolated from the sTNF R1 standard curves. The interpolated dilution factor corrected values were plotted (mean +/- SD, n=2). The mean sTNF R1 concentration was determined to be 3,727 pg/mL in human urine and 1,145 pg/ml in A549 cell supernatant. There was no detectable signal in Raji supernatant.

Interpolated concentrations of spiked sTNF RI in cell culture media samples. The concentrations of sTNF RI were measured in duplicates, interpolated from the sTNF RI standard curves and corrected for sample dilution. Undiluted samples are as follows: cell culture media 50%. The interpolated dilution factor corrected values are plotted (mean +/- SD, n=2).
quantity: 100μl
price: 409.00 USD
to the supplier
domestic rabbit monoclonal (PSH09-90)
reactivity: human
conjugate: HRP
application: ELISA
reactivity: human
conjugate: HRP
application: ELISA

Sandwich ELISA analysis of Human sTNF RI matched pair antibodies Elisa assay was performed by coating wells of a 96-well plate with 100 µl per well of capture antibody (HA723154) diluted in carbonate/bicarbonate buffer, at a concentration of 2ug/ml overnight at 4℃. Wells of the plate were washed, blocked with 150 µl 0.05% tween-20 1% BSA blocking buffer, and incubated with serial diluted Recombinant Human sTNF RI Protein (HA210562) starting from 50 ng/ml to 0 pg/ml and detect antibody (HA723374H, HRP, 0.5 µg/ml) for 1 hour at 30℃ with shaking. Detection was performed using an Ultra TMB Substrate for 10 minutes at room temperature in the dark. The reaction was stopped with sulfuric acid and absorbances were read on a spectrophotometer at 450 nm.
quantity: 100μl
price: 409.00 USD
to the supplier
