domestic rabbit monoclonal (JE63-23)
reactivity: human, mouse
application: western blot
reactivity: human, mouse
application: western blot

Western blot analysis of P2Y12 on different lysates with Rabbit anti-P2Y12 antibody (HA721011) at 1/500 dilution. Lane 1: NIH/3T3 cell lysate Lane 2: PC-3 cell lysate Lysates/proteins at 10 µg/Lane. Predicted band size: 39 kDa Observed band size: 37 kDa Exposure time: 2 minutes; 12% SDS-PAGE gel. Proteins were transferred to a PVDF membrane and blocked with 5% NFDM/TBST for 1 hour at room temperature. The primary antibody (HA721011) at 1/500 dilution was used in 5% NFDM/TBST at room temperature for 2 hours. Goat Anti-Rabbit IgG - HRP Secondary Antibody (HA1001) at 1:200,000 dilution was used for 1 hour at room temperature.
quantity: 100μl
price: 385.00 USD
to the supplier
domestic rabbit monoclonal (PSH04-48)
reactivity: human, mouse, rat
application: immunohistochemistry - paraffin section, immunohistochemistry - frozen section
reactivity: human, mouse, rat
application: immunohistochemistry - paraffin section, immunohistochemistry - frozen section

Application: IHC-Fr Species: Mouse Site: Cerebral cortex Sample: Frozen section Antibody concentration: 1:2,000 Antigen retrieval: Not required

Application: IHC-Fr Species: Rat Site: Cerebral cortex Sample: Frozen section Antibody concentration: 1:2,000 Antigen retrieval: Not required

Application: IF-tissue Species: Mouse Site: Cerebral cortex Sample: Paraffin-embedded section Antibody concentration: 1:500
quantity: 100μl
price: 385.00 USD
to the supplier
domestic rabbit monoclonal (PSH04-48)
reactivity: human, mouse, rat
application: immunohistochemistry - paraffin section, immunohistochemistry - frozen section
reactivity: human, mouse, rat
application: immunohistochemistry - paraffin section, immunohistochemistry - frozen section

Application: IHC-Fr Species: Mouse Site: Cerebral cortex Sample: Frozen section Antibody concentration: 1:2,000 Antigen retrieval: Not required

Application: IHC-Fr Species: Rat Site: Cerebral cortex Sample: Frozen section Antibody concentration: 1:2,000 Antigen retrieval: Not required

Application: IF-tissue Species: Mouse Site: Cerebral cortex Sample: Paraffin-embedded section Antibody concentration: 1:500
quantity: 100μl
price: 649.00 USD
to the supplier
domestic rabbit polyclonal (PSH04-48)
reactivity: mouse, rat
application: immunohistochemistry - paraffin section, immunohistochemistry - frozen section
reactivity: mouse, rat
application: immunohistochemistry - paraffin section, immunohistochemistry - frozen section

Application: IHC-Fr Species: Mouse Site: Cerebral cortex Sample: Frozen section Antibody concentration: 1: 2,000 (P2Y12, HA601388, green); 1:2,000 (NeuN, ET1602-12, red) Antigen retrieval: Not required

Application: IHC-Fr Species: Rat Site: Cerebral cortex Sample: Frozen section Antibody concentration: 1: 2,000 (P2Y12, HA601388, green); 1:2,000 (NeuN, ET1602-12, red) Antigen retrieval: Not required

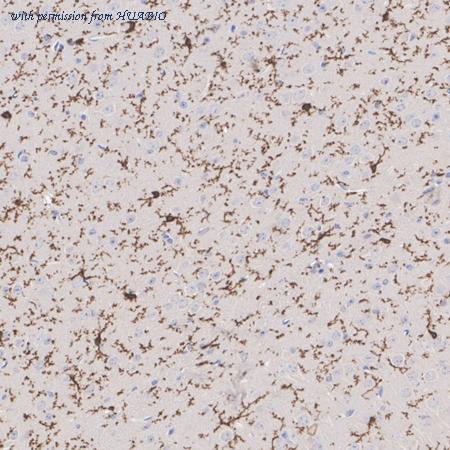
Immunohistochemical analysis of paraffin-embedded mouse brain tissue with Rat anti-P2Y12 antibody (HA601388) at 1/1,000 dilution. The section was pre-treated using heat mediated antigen retrieval with Tris-EDTA buffer (pH 9.0) for 20 minutes. The tissues were blocked in 1% BSA for 20 minutes at room temperature, washed with ddH2O and PBS, and then probed with the primary antibody (HA601388) at 1/1,000 dilution for 1 hour at room temperature. The detection was performed using an HRP conjugated compact polymer system. DAB was used as the chromogen. Tissues were counterstained with hematoxylin and mounted with DPX.
quantity: 100μl
price: 330 USD
to the supplier
domestic rabbit polyclonal (PSH04-48)
reactivity: mouse, rat
application: immunohistochemistry - paraffin section, immunohistochemistry - frozen section
reactivity: mouse, rat
application: immunohistochemistry - paraffin section, immunohistochemistry - frozen section

Application: IHC-Fr Species: Mouse Site: Cerebral cortex Sample: Frozen section Antibody concentration: 1: 2,000 (P2Y12, HA610231, green); 1:2,000 (NeuN, ET1602-12, red) Antigen retrieval: Not required

Application: IHC-Fr Species: Rat Site: Cerebral cortex Sample: Frozen section Antibody concentration: 1: 2,000 (P2Y12, HA610231, green); 1:2,000 (NeuN, ET1602-12, red) Antigen retrieval: Not required

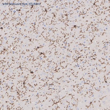
Immunohistochemical analysis of paraffin-embedded mouse brain tissue with Rat anti-P2Y12 antibody (HA610231) at 1/1,000 dilution. The section was pre-treated using heat mediated antigen retrieval with Tris-EDTA buffer (pH 9.0) for 20 minutes. The tissues were blocked in 1% BSA for 20 minutes at room temperature, washed with ddH2O and PBS, and then probed with the primary antibody (HA610231) at 1/1,000 dilution for 1 hour at room temperature. The detection was performed using an HRP conjugated compact polymer system. DAB was used as the chromogen. Tissues were counterstained with hematoxylin and mounted with DPX.
quantity: 100μg
price: 649.00 USD
to the supplier
