CD90 / THY1
HUABIO
catalog: ET1608-46-50UL
domestic rabbit monoclonal (SU35-07)
reactivity: human, rat
application: western blot, immunohistochemistry - paraffin section

Western blot analysis of CD90 / THY1 on different lysates with Rabbit anti-CD90 / THY1 antibody (ET1608-46) at 1/2,000 dilution. Lane 1: Human brain tissue lysate (20 µg/Lane) Lane 2: Rat brain tissue lysate (20 µg/Lane) Predicted band size: 18 kDa Observed band size: 25 kDa Exposure time: 2 minutes 20 seconds; 4-20% SDS-PAGE gel. Proteins were transferred to a PVDF membrane and blocked with 5% NFDM/TBST for 1 hour at room temperature. The primary antibody (ET1608-46) at 1/2,000 dilution was used in 5% NFDM/TBST at 4℃ overnight. Goat Anti-Rabbit IgG - HRP Secondary Antibody (HA1001) at 1/50,000 dilution was used for 1 hour at room temperature.

Immunohistochemical analysis of paraffin-embedded human brain tissue with Rabbit anti-CD90 / THY1 antibody (ET1608-46) at 1/1,000 dilution. The section was pre-treated using heat mediated antigen retrieval with Tris-EDTA buffer (pH 9.0) for 20 minutes. The tissues were blocked in 1% BSA for 20 minutes at room temperature, washed with ddH2O and PBS, and then probed with the primary antibody (ET1608-46) at 1/1,000 dilution for 1 hour at room temperature. The detection was performed using an HRP conjugated compact polymer system. DAB was used as the chromogen. Tissues were counterstained with hematoxylin and mounted with DPX.

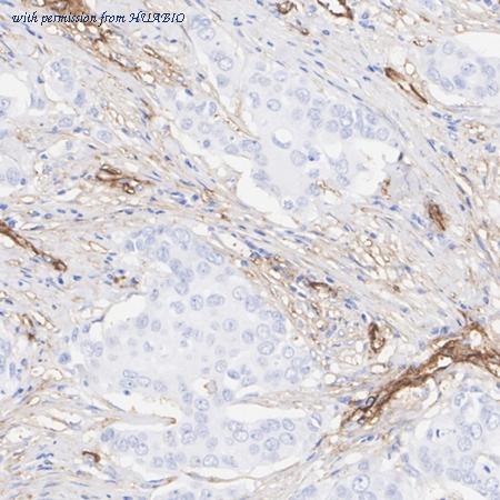
Immunohistochemical analysis of paraffin-embedded human breast cancer tissue with Rabbit anti-CD90 / THY1 antibody (ET1608-46) at 1/1,000 dilution. The section was pre-treated using heat mediated antigen retrieval with Tris-EDTA buffer (pH 9.0) for 20 minutes. The tissues were blocked in 1% BSA for 20 minutes at room temperature, washed with ddH2O and PBS, and then probed with the primary antibody (ET1608-46) at 1/1,000 dilution for 1 hour at room temperature. The detection was performed using an HRP conjugated compact polymer system. DAB was used as the chromogen. Tissues were counterstained with hematoxylin and mounted with DPX.
quantity: 50μl
price: 205.00 USD
to the supplier
CD90 / THY1
HUABIO
catalog: ET1702-92-50UL
domestic rabbit monoclonal (JF10-09)
reactivity: human, mouse, rat
application: western blot, immunohistochemistry - paraffin section, immunohistochemistry - frozen section

Western blot analysis of CD90 / THY1 on different lysates. Proteins were transferred to a PVDF membrane and blocked with 5% BSA in PBS for 1 hour at room temperature. The primary antibody (ET1702-92, 1/500) was used in 5% BSA at room temperature for 2 hours. Goat Anti-Rabbit IgG - HRP Secondary Antibody (HA1001) at 1:200,000 dilution was used for 1 hour at room temperature. Positive control: Lane 1: Hela cell lysate Lane 2: HepG2 cell lysate Lane 3: HUVEC cell lysate

All lanes: Western blot analysis of THY1 with anti-CD90 / THY1 antibody[JF10-09] (ET1702-92) at 1:500 dilution. Lane 1: Wild-type Hela whole cell lysate (10 µg). Lane 2: THY1 knockdown Hela whole cell lysate (10 µg). ET1702-92 was shown to specifically react with THY1 in wild-type Hela cells. Weakened bands were observed when THY1 knockdown samples were tested. Wild-type and THY1 knockdown samples were subjected to SDS-PAGE. Proteins were transferred to a PVDF membrane and blocked with 5% NFDM in TBST for 1 hour at room temperature. The primary antibody (ET1702-92, 1/500) was used in 5% BSA at room temperature for 2 hours. Goat Anti-Rabbit IgG-HRP Secondary Antibody (HA1001) at 1:100,000 dilution was used for 1 hour at room temperature.

Immunocytochemistry analysis of HeLa cells labeling CD90 / THY1 with Rabbit anti-CD90 / THY1 antibody (ET1702-92) at 1/200 dilution. Cells were fixed in 4% paraformaldehyde for 10 minutes at 37 ℃, permeabilized with 0.05% Triton X-100 in PBS for 20 minutes, and then blocked with 2% negative goat serum for 30 minutes at room temperature. Cells were then incubated with Rabbit anti-CD90 / THY1 antibody (ET1702-92) at 1/200 dilution in 2% negative goat serum overnight at 4 ℃. Goat Anti-Rabbit IgG H&L (iFluor™ 488, HA1121) was used as the secondary antibody at 1/1,000 dilution. Nuclear DNA was labelled in blue with DAPI. Beta tubulin (M1305-2, red) was stained at 1/200 dilution overnight at +4℃. Goat Anti-Mouse IgG H&L (iFluor™ 594, HA1126) was used as the secondary antibody at 1/1,000 dilution.
quantity: 50μl
price: 205.00 USD
to the supplier
CD90 / THY1
HUABIO
catalog: HA750149
domestic rabbit monoclonal (SU35-07)
reactivity: human, rat
application: western blot, immunohistochemistry - paraffin section

Western blot analysis of CD90 / THY1 on different lysates with Rabbit anti-CD90 / THY1 antibody (HA750149) at 1/2,000 dilution. Lane 1: Human brain tissue lysate (20 µg/Lane) Lane 2: Rat brain tissue lysate (20 µg/Lane) Predicted band size: 18 kDa Observed band size: 25 kDa Exposure time: 2 minutes 20 seconds; 4-20% SDS-PAGE gel. Proteins were transferred to a PVDF membrane and blocked with 5% NFDM/TBST for 1 hour at room temperature. The primary antibody (HA750149) at 1/2,000 dilution was used in 5% NFDM/TBST at 4℃ overnight. Goat Anti-Rabbit IgG - HRP Secondary Antibody (HA1001) at 1/50,000 dilution was used for 1 hour at room temperature.

Immunohistochemical analysis of paraffin-embedded human brain tissue with Rabbit anti-CD90 / THY1 antibody (HA750149) at 1/1,000 dilution. The section was pre-treated using heat mediated antigen retrieval with Tris-EDTA buffer (pH 9.0) for 20 minutes. The tissues were blocked in 1% BSA for 20 minutes at room temperature, washed with ddH2O and PBS, and then probed with the primary antibody (HA750149) at 1/1,000 dilution for 1 hour at room temperature. The detection was performed using an HRP conjugated compact polymer system. DAB was used as the chromogen. Tissues were counterstained with hematoxylin and mounted with DPX.

Immunohistochemical analysis of paraffin-embedded human breast cancer tissue with Rabbit anti-CD90 / THY1 antibody (HA750149) at 1/1,000 dilution. The section was pre-treated using heat mediated antigen retrieval with Tris-EDTA buffer (pH 9.0) for 20 minutes. The tissues were blocked in 1% BSA for 20 minutes at room temperature, washed with ddH2O and PBS, and then probed with the primary antibody (HA750149) at 1/1,000 dilution for 1 hour at room temperature. The detection was performed using an HRP conjugated compact polymer system. DAB was used as the chromogen. Tissues were counterstained with hematoxylin and mounted with DPX.
quantity: 100μl
price: 649.00 USD
to the supplier
CD90 / THY1
HUABIO
catalog: HA750364
domestic rabbit monoclonal (JF10-09)
reactivity: human, mouse, rat
application: western blot, immunohistochemistry - paraffin section, immunohistochemistry - frozen section

Western blot analysis of CD90 / THY1 on different lysates. Proteins were transferred to a PVDF membrane and blocked with 5% BSA in PBS for 1 hour at room temperature. The primary antibody (HA750364, 1/500) was used in 5% BSA at room temperature for 2 hours. Goat Anti-Rabbit IgG - HRP Secondary Antibody (HA1001) at 1:200,000 dilution was used for 1 hour at room temperature. Positive control: Lane 1: Hela cell lysate Lane 2: HepG2 cell lysate Lane 3: HUVEC cell lysate

All lanes: Western blot analysis of THY1 with anti-CD90 / THY1 antibody[JF10-09] (HA750364) at 1:500 dilution. Lane 1: Wild-type Hela whole cell lysate (10 µg). Lane 2: THY1 knockdown Hela whole cell lysate (10 µg). HA750364 was shown to specifically react with THY1 in wild-type Hela cells. Weakened bands were observed when THY1 knockdown samples were tested. Wild-type and THY1 knockdown samples were subjected to SDS-PAGE. Proteins were transferred to a PVDF membrane and blocked with 5% NFDM in TBST for 1 hour at room temperature. The primary antibody (HA750364, 1/500) was used in 5% BSA at room temperature for 2 hours. Goat Anti-Rabbit IgG-HRP Secondary Antibody (HA1001) at 1:100,000 dilution was used for 1 hour at room temperature.

Immunocytochemistry analysis of HeLa cells labeling CD90 / THY1 with Rabbit anti-CD90 / THY1 antibody (HA750364) at 1/200 dilution. Cells were fixed in 4% paraformaldehyde for 10 minutes at 37 ℃, permeabilized with 0.05% Triton X-100 in PBS for 20 minutes, and then blocked with 2% negative goat serum for 30 minutes at room temperature. Cells were then incubated with Rabbit anti-CD90 / THY1 antibody (HA750364) at 1/200 dilution in 2% negative goat serum overnight at 4 ℃. Goat Anti-Rabbit IgG H&L (iFluor™ 488, HA1121) was used as the secondary antibody at 1/1,000 dilution. Nuclear DNA was labelled in blue with DAPI. Beta tubulin (M1305-2, red) was stained at 1/200 dilution overnight at +4℃. Goat Anti-Mouse IgG H&L (iFluor™ 594, HA1126) was used as the secondary antibody at 1/1,000 dilution.
quantity: 100μl
price: 649.00 USD
to the supplier