Sign in
Sign up
home
>
HUABIO
> HUABIO TGF-beta1 antibody
TGF beta 1
HUABIO
catalog: HA500496
domestic rabbit polyclonal
reactivity:
human
application:
western blot
Western blot analysis of TGF beta 1 on different lysates. Proteins were transferred to a PVDF membrane and blocked with 5% BSA in PBS for 1 hour at room temperature. The primary antibody (HA500496, 1/500) was used in 5% BSA at room temperature for 2 hours. Goat Anti-Rabbit IgG - HRP Secondary Antibody (HA1001) at 1:200,000 dilution was used for 1 hour at room temperature. Positive control: Lane 1: PC-3 cell lysate Lane 2: A549 cell lysate Lane 3: U87 cell lysate Lane 4: Hela cell lysate Lane 5: K562 cell lysate
quantity: 100μl
price: 330 USD
to the supplier
TGF beta 1
HUABIO
catalog: HA721143-50UL
domestic rabbit monoclonal (PD00-17)
reactivity:
human
,
mouse
,
rat
application:
western blot
,
immunohistochemistry - paraffin section
Western blot analysis of TGF beta 1 on different lysates with Rabbit anti-TGF beta 1 antibody (HA721143) at 1/5,000 dilution. Lane 1: K-562 cell lysate Lane 2: Raji cell lysate Lane 3: Saos-2 cell lysate Lane 4: 786-0 cell lysate Lane 5: COS-1 cell lysate Lane 6: NIH/3T3 cell lysate Lane 7: RAW264.7 cell lysate Lane 8: L-929 cell lysate Lane 9: C6 cell lysate Lane 10: Mouse spleen tissue lysate Lane 11: Mouse skeletal muscle tissue lysate (negative) Lane 12: Rat spleen tissue lysate Lysates/proteins at 20 µg/Lane. Predicted band size: 44 kDa Observed band size: 48/13 kDa Exposure time: 10 seconds; ECL: K1801; 4-20% SDS-PAGE gel. Proteins were transferred to a PVDF membrane and blocked with 5% NFDM/TBST for 1 hour at room temperature. The primary antibody (HA721143) at 1/5,000 dilution was used in primary antibody dilution (K1803) at 4℃ overnight. Goat Anti-Rabbit IgG - HRP Secondary Antibody (HA1001) at 1/50,000 dilution was used for 1 hour at room temperature.
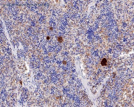
Immunohistochemical analysis of paraffin-embedded rat spleen tissue with Rabbit anti-TGF beta 1 antibody (HA721143) at 1/200 dilution. The section was pre-treated using heat mediated antigen retrieval with Tris-EDTA buffer (pH 9.0) for 20 minutes. The tissues were blocked in 1% BSA for 20 minutes at room temperature, washed with ddH2O and PBS, and then probed with the primary antibody (HA721143) at 1/200 dilution for 1 hour at room temperature. The detection was performed using an HRP conjugated compact polymer system. DAB was used as the chromogen. Tissues were counterstained with hematoxylin and mounted with DPX.
Immunohistochemical analysis of paraffin-embedded mouse spleen tissue with Rabbit anti-TGF beta 1 antibody (HA721143) at 1/200 dilution. The section was pre-treated using heat mediated antigen retrieval with Tris-EDTA buffer (pH 9.0) for 20 minutes. The tissues were blocked in 1% BSA for 20 minutes at room temperature, washed with ddH2O and PBS, and then probed with the primary antibody (HA721143) at 1/200 dilution for 1 hour at room temperature. The detection was performed using an HRP conjugated compact polymer system. DAB was used as the chromogen. Tissues were counterstained with hematoxylin and mounted with DPX.
quantity: 50μl
price: 205.00 USD
to the supplier
TGF beta 1
HUABIO
catalog: HA723725
domestic rabbit monoclonal (PSH15-21)
reactivity:
human
,
mouse
,
rat
application:
ELISA
Sandwich ELISA analysis of Human TGF beta 1 matched pair antibodies Capture: HA723725, TGF beta 1 Rabbit mAb [PSH15-21] Detector: HA723726, TGF beta 1 Rabbit mAb [PSH15-22] Elisa assay was performed by coating wells of a 96-well plate with 100 µl per well of capture antibody (HA723725) diluted in carbonate/bicarbonate buffer, at a concentration of 5ug/ml overnight at 4℃. Wells of the plate were washed, blocked with 150 µl 0.05% tween-20 1% BSA blocking buffer, and incubated with serial diluted Recombinant Human TGF beta 1 protein starting from 20000 pg/ml to 0 pg/ml and detect antibody (HA723726, Biotin, 0.2 µg/ml) for 1 hour at 30℃ with shaking. Then the plate was washed and incubated with 100 µl per well of SA-HRP for 0.5 hour at 30℃ with shaking. Detection was performed using an Ultra TMB Substrate for 10 minutes at room temperature in the dark. The reaction was stopped with sulfuric acid and absorbances were read on a spectrophotometer at 450 nm.
Interpolated concentrations of native TGF beta 1 in mouse samples. Capture: HA723725, TGF beta 1 Rabbit mAb [PSH15-21] Detector: HA723726, TGF beta 1 Rabbit mAb [PSH15-22] Interpolated concentration of native TGF beta 1 was measured in duplicate at different sample concentrations. The interpolated dilution factor corrected values were plotted (mean +/- SD, n=2). The mean TGF beta 1 concentration was determined to be 103 ng/mL in mouse serum.
Interpolated concentrations of spiked TGF beta 1 in cell culture media samples. Capture: HA723725, TGF beta 1 Rabbit mAb [PSH15-21] Detector: HA723726, TGF beta 1 Rabbit mAb [PSH15-22] The concentrations of TGF beta 1 were measured in duplicates, interpolated from the TGF beta 1 standard curves and corrected for sample dilution. Undiluted samples are as follows: cell culture media 50%. The interpolated dilution factor corrected values are plotted (mean +/- SD, n=2).
quantity: 100μl
price: 649.00 USD
to the supplier
TGF beta 1
HUABIO
catalog: HA723726
domestic rabbit monoclonal (PSH15-22)
reactivity:
human
,
mouse
,
rat
application:
ELISA
Sandwich ELISA analysis of Human TGF beta 1 matched pair antibodies Capture: HA723725, TGF beta 1 Rabbit mAb [PSH15-21] Detector: HA723726, TGF beta 1 Rabbit mAb [PSH15-22] Elisa assay was performed by coating wells of a 96-well plate with 100 µl per well of capture antibody (HA723725) diluted in carbonate/bicarbonate buffer, at a concentration of 5ug/ml overnight at 4℃. Wells of the plate were washed, blocked with 150 µl 0.05% tween-20 1% BSA blocking buffer, and incubated with serial diluted Recombinant Human TGF beta 1 protein starting from 20000 pg/ml to 0 pg/ml and detect antibody (HA723726, Biotin, 0.2 µg/ml) for 1 hour at 30℃ with shaking. Then the plate was washed and incubated with 100 µl per well of SA-HRP for 0.5 hour at 30℃ with shaking. Detection was performed using an Ultra TMB Substrate for 10 minutes at room temperature in the dark. The reaction was stopped with sulfuric acid and absorbances were read on a spectrophotometer at 450 nm.
Interpolated concentrations of native TGF beta 1 in mouse samples. Capture: HA723725, TGF beta 1 Rabbit mAb [PSH15-21] Detector: HA723726, TGF beta 1 Rabbit mAb [PSH15-22] Interpolated concentration of native TGF beta 1 was measured in duplicate at different sample concentrations. The interpolated dilution factor corrected values were plotted (mean +/- SD, n=2). The mean TGF beta 1 concentration was determined to be 103 ng/mL in mouse serum.
Interpolated concentrations of spiked TGF beta 1 in cell culture media samples. Capture: HA723725, TGF beta 1 Rabbit mAb [PSH15-21] Detector: HA723726, TGF beta 1 Rabbit mAb [PSH15-22] The concentrations of TGF beta 1 were measured in duplicates, interpolated from the TGF beta 1 standard curves and corrected for sample dilution. Undiluted samples are as follows: cell culture media 50%. The interpolated dilution factor corrected values are plotted (mean +/- SD, n=2).
quantity: 100μl
price: 649.00 USD
to the supplier
TGF beta 1
HUABIO
catalog: HA723727B
domestic rabbit monoclonal (PSH15-22)
reactivity:
human
,
mouse
,
rat
conjugate: biotin
application:
ELISA
Sandwich ELISA analysis of Human TGF beta 1 matched pair antibodies Capture: HA723725, TGF beta 1 Rabbit mAb [PSH15-21] Detector: HA723726, TGF beta 1 Rabbit mAb [PSH15-22] Elisa assay was performed by coating wells of a 96-well plate with 100 µl per well of capture antibody (HA723725) diluted in carbonate/bicarbonate buffer, at a concentration of 5ug/ml overnight at 4℃. Wells of the plate were washed, blocked with 150 µl 0.05% tween-20 1% BSA blocking buffer, and incubated with serial diluted Recombinant Human TGF beta 1 protein starting from 20000 pg/ml to 0 pg/ml and detect antibody (HA723726, Biotin, 0.2 µg/ml) for 1 hour at 30℃ with shaking. Then the plate was washed and incubated with 100 µl per well of SA-HRP for 0.5 hour at 30℃ with shaking. Detection was performed using an Ultra TMB Substrate for 10 minutes at room temperature in the dark. The reaction was stopped with sulfuric acid and absorbances were read on a spectrophotometer at 450 nm.
Interpolated concentrations of native TGF beta 1 in mouse samples. Capture: HA723725, TGF beta 1 Rabbit mAb [PSH15-21] Detector: HA723726, TGF beta 1 Rabbit mAb [PSH15-22] Interpolated concentration of native TGF beta 1 was measured in duplicate at different sample concentrations. The interpolated dilution factor corrected values were plotted (mean +/- SD, n=2). The mean TGF beta 1 concentration was determined to be 103 ng/mL in mouse serum.
Interpolated concentrations of spiked TGF beta 1 in cell culture media samples. Capture: HA723725, TGF beta 1 Rabbit mAb [PSH15-21] Detector: HA723726, TGF beta 1 Rabbit mAb [PSH15-22] The concentrations of TGF beta 1 were measured in duplicates, interpolated from the TGF beta 1 standard curves and corrected for sample dilution. Undiluted samples are as follows: cell culture media 50%. The interpolated dilution factor corrected values are plotted (mean +/- SD, n=2).
quantity: 100μl
price: 409.00 USD
to the supplier
TGF beta 1
HUABIO
catalog: HA750485
domestic rabbit monoclonal (PD00-17)
reactivity:
human
,
mouse
,
rat
application:
western blot
,
immunohistochemistry - paraffin section
Western blot analysis of TGF beta 1 on different lysates with Rabbit anti-TGF beta 1 antibody (HA750485) at 1/5,000 dilution. Lane 1: K-562 cell lysate Lane 2: Raji cell lysate Lane 3: Saos-2 cell lysate Lane 4: 786-0 cell lysate Lane 5: COS-1 cell lysate Lane 6: NIH/3T3 cell lysate Lane 7: RAW264.7 cell lysate Lane 8: L-929 cell lysate Lane 9: C6 cell lysate Lane 10: Mouse spleen tissue lysate Lane 11: Mouse skeletal muscle tissue lysate (negative) Lane 12: Rat spleen tissue lysate Lysates/proteins at 20 µg/Lane. Predicted band size: 44 kDa Observed band size: 48/13 kDa Exposure time: 10 seconds; ECL: K1801; 4-20% SDS-PAGE gel. Proteins were transferred to a PVDF membrane and blocked with 5% NFDM/TBST for 1 hour at room temperature. The primary antibody (HA750485) at 1/5,000 dilution was used in primary antibody dilution (K1803) at 4℃ overnight. Goat Anti-Rabbit IgG - HRP Secondary Antibody (HA1001) at 1/50,000 dilution was used for 1 hour at room temperature.
Immunohistochemical analysis of paraffin-embedded rat spleen tissue with Rabbit anti-TGF beta 1 antibody (HA750485) at 1/200 dilution. The section was pre-treated using heat mediated antigen retrieval with Tris-EDTA buffer (pH 9.0) for 20 minutes. The tissues were blocked in 1% BSA for 20 minutes at room temperature, washed with ddH2O and PBS, and then probed with the primary antibody (HA750485) at 1/200 dilution for 1 hour at room temperature. The detection was performed using an HRP conjugated compact polymer system. DAB was used as the chromogen. Tissues were counterstained with hematoxylin and mounted with DPX.
Immunohistochemical analysis of paraffin-embedded mouse spleen tissue with Rabbit anti-TGF beta 1 antibody (HA750485) at 1/200 dilution. The section was pre-treated using heat mediated antigen retrieval with Tris-EDTA buffer (pH 9.0) for 20 minutes. The tissues were blocked in 1% BSA for 20 minutes at room temperature, washed with ddH2O and PBS, and then probed with the primary antibody (HA750485) at 1/200 dilution for 1 hour at room temperature. The detection was performed using an HRP conjugated compact polymer system. DAB was used as the chromogen. Tissues were counterstained with hematoxylin and mounted with DPX.
quantity: 100μl
price: 649.00 USD
to the supplier