domestic rabbit polyclonal
reactivity: human
application: immunohistochemistry - paraffin section
reactivity: human
application: immunohistochemistry - paraffin section

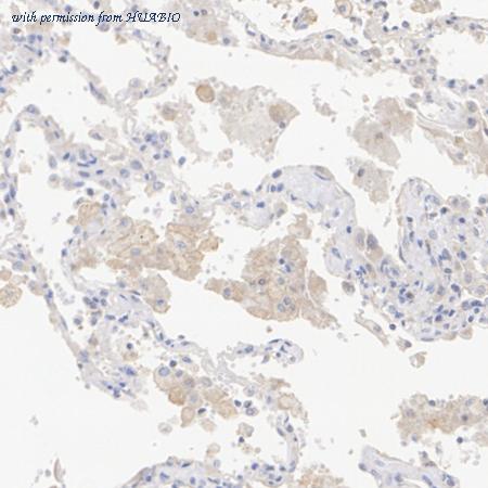
Immunohistochemical analysis of paraffin-embedded human lung cancer tissue with Rabbit anti-Transferrin Receptor (CD71) antibody (ER1706-35) at 1/1,000 dilution. The section was pre-treated using heat mediated antigen retrieval with Tris-EDTA buffer (pH 9.0) for 20 minutes. The tissues were blocked in 1% BSA for 20 minutes at room temperature, washed with ddH2O and PBS, and then probed with the primary antibody (ER1706-35) at 1/1,000 dilution for 1 hour at room temperature. The detection was performed using an HRP conjugated compact polymer system. DAB was used as the chromogen. Tissues were counterstained with hematoxylin and mounted with DPX.

Immunohistochemical analysis of paraffin-embedded human placenta tissue with Rabbit anti-Transferrin Receptor (CD71) antibody (ER1706-35) at 1/1,000 dilution. The section was pre-treated using heat mediated antigen retrieval with Tris-EDTA buffer (pH 9.0) for 20 minutes. The tissues were blocked in 1% BSA for 20 minutes at room temperature, washed with ddH2O and PBS, and then probed with the primary antibody (ER1706-35) at 1/1,000 dilution for 1 hour at room temperature. The detection was performed using an HRP conjugated compact polymer system. DAB was used as the chromogen. Tissues were counterstained with hematoxylin and mounted with DPX.
quantity: 100μl
price: 330 USD
to the supplier
domestic rabbit monoclonal (JF0956)
reactivity: human, mouse, rat
application: western blot, immunoprecipitation, flow cytometry
reactivity: human, mouse, rat
application: western blot, immunoprecipitation, flow cytometry

Western blot analysis of Transferrin Receptor (CD71) on different lysates with Rabbit anti-Transferrin Receptor (CD71) antibody (ET1702-06) at 1/2,000 dilution. Lane 1: HeLa cell lysate Lane 2: K-562 cell lysate Lane 3: SW480 cell lysate Lane 4: U-87 MG cell lysate Lane 5: RAW264.7 cell lysate Lane 6: Mouse spleen tissue lysate Lane 7: Rat spleen tissue lysate Lysates/proteins at 20 µg/Lane. Predicted band size: 85 kDa Observed band size: 100 kDa Exposure time: 5 minutes; 4-20% SDS-PAGE gel. Proteins were transferred to a PVDF membrane and blocked with 5% NFDM/TBST for 1 hour at room temperature. The primary antibody (ET1702-06) at 1/2,000 dilution was used in 5% NFDM/TBST at 4℃ overnight. Goat Anti-Rabbit IgG - HRP Secondary Antibody (HA1001) at 1:50,000 dilution was used for 1 hour at room temperature.

Western blot analysis of Transferrin Receptor (CD71) on different lysates with Rabbit anti-Transferrin Receptor (CD71) antibody (ET1702-06) at 1/1,000 dilution. Lane 1: HeLa-si NT cell lysate Lane 2: HeLa-si Transferrin Receptor cell lysate Lysates/proteins at 15 µg/Lane. Predicted band size: 85 kDa Observed band size: 100 kDa Exposure time: 1 minute 20 seconds; 4-20% SDS-PAGE gel. Proteins were transferred to a PVDF membrane and blocked with 5% NFDM/TBST for 1 hour at room temperature. The primary antibody (ET1702-06) at 1/1,000 dilution was used in 5% NFDM/TBST at room temperature for 2 hours. Goat Anti-Rabbit IgG - HRP Secondary Antibody (HA1001) at 1/50,000 dilution was used for 1 hour at room temperature.

Western blot analysis of Transferrin Receptor (CD71) on different lysates with Rabbit anti-Transferrin Receptor (CD71) antibody (ET1702-06) at 1/5,000 dilution. Lane 1: HAP1 WT cell lysate Lane 2: HAP1 Transferrin Receptor KD cell lysate Lysates/proteins at 10 µg/Lane. Predicted band size: 85 kDa Observed band size: 90 kDa Exposure time: 1 minute 48 seconds; ECL: K1802; 4-20% SDS-PAGE gel. Proteins were transferred to a PVDF membrane and blocked with 5% NFDM/TBST for 1 hour at room temperature. The primary antibody (ET1702-06) at 1/5,000 dilution was used in TBST at 4℃ overnight. Goat Anti-Rabbit IgG - HRP Secondary Antibody (HA1001) at 1/50,000 dilution was used for 1 hour at room temperature.
quantity: 50μl
price: 205.00 USD
to the supplier
domestic rabbit monoclonal (PSH13-56)
reactivity: human, mouse, rat
application: western blot, immunoprecipitation, flow cytometry, immunohistochemistry - paraffin section
reactivity: human, mouse, rat
application: western blot, immunoprecipitation, flow cytometry, immunohistochemistry - paraffin section

Western blot analysis of Transferrin Receptor (CD71) on different lysates with Rabbit anti-Transferrin Receptor (CD71) antibody (HA723545) at 1/5,000 dilution. Lane 1: K-562 cell lysate Lane 2: Jurkat cell lysate (low expression) Lane 3: HeLa cell lysate Lane 4: 293T cell lysate (low expression) Lysates/proteins at 20 µg/Lane. Predicted band size: 85 kDa Observed band size: 90 kDa Exposure time: 14 seconds; ECL: K1801; 4-20% SDS-PAGE gel. Proteins were transferred to a PVDF membrane and blocked with 5% NFDM/TBST for 1 hour at room temperature. The primary antibody (HA723545) at 1/5,000 dilution was used in primary antibody dilution (K1803) at 4℃ overnight. Goat Anti-Rabbit IgG - HRP Secondary Antibody (HA1001) at 1/50,000 dilution was used for 1 hour at room temperature.

Immunocytochemistry analysis of K-562 cells labeling Transferrin Receptor (CD71) with Rabbit anti-Transferrin Receptor (CD71) antibody (HA723545) at 1/250 dilution. Cells were fixed in 4% paraformaldehyde for 15 minutes at room temperature, permeabilized with 0.1% Triton X-100 in PBS for 15 minutes at room temperature, then blocked with 1% BSA in 10% negative goat serum for 1 hour at room temperature. Cells were then incubated with Rabbit anti-Transferrin Receptor (CD71) antibody (HA723545) at 1/250 dilution in 1% BSA in PBST overnight at 4 ℃. Goat Anti-Rabbit IgG H&L (iFluor™ 488, HA1121) was used as the secondary antibody at 1/1,000 dilution. PBS instead of the primary antibody was used as the secondary antibody only control. Nuclear DNA was labelled in blue with DAPI. Beta tubulin (HA601187, red) was stained at 1/100 dilution overnight at +4℃. Goat Anti-Mouse IgG H&L (iFluor™ 594, HA1126) was used as the secondary antibody at 1/1,000 dilution.

Immunohistochemical analysis of paraffin-embedded human bone marrow tissue with Rabbit anti-Transferrin Receptor (CD71) antibody (HA723545) at 1/10,000 dilution. The section was pre-treated using heat mediated antigen retrieval with Tris-EDTA buffer (pH 9.0) for 20 minutes. The tissues were blocked in 1% BSA for 20 minutes at room temperature, washed with ddH2O and PBS, and then probed with the primary antibody (HA723545) at 1/10,000 dilution for 1 hour at room temperature. The detection was performed using an HRP conjugated compact polymer system. DAB was used as the chromogen. Tissues were counterstained with hematoxylin and mounted with DPX.
quantity: 100μl
price: 385.00 USD
to the supplier
domestic rabbit monoclonal (JF0956)
reactivity: human, mouse, rat
application: western blot, immunoprecipitation, flow cytometry
reactivity: human, mouse, rat
application: western blot, immunoprecipitation, flow cytometry

Western blot analysis of Transferrin Receptor (CD71) on different lysates with Rabbit anti-Transferrin Receptor (CD71) antibody (HA750333) at 1/2,000 dilution. Lane 1: HeLa cell lysate Lane 2: K-562 cell lysate Lane 3: SW480 cell lysate Lane 4: U-87 MG cell lysate Lane 5: RAW264.7 cell lysate Lane 6: Mouse spleen tissue lysate Lane 7: Rat spleen tissue lysate Lysates/proteins at 20 µg/Lane. Predicted band size: 85 kDa Observed band size: 100 kDa Exposure time: 5 minutes; 4-20% SDS-PAGE gel. Proteins were transferred to a PVDF membrane and blocked with 5% NFDM/TBST for 1 hour at room temperature. The primary antibody (HA750333) at 1/2,000 dilution was used in 5% NFDM/TBST at 4℃ overnight. Goat Anti-Rabbit IgG - HRP Secondary Antibody (HA1001) at 1:50,000 dilution was used for 1 hour at room temperature.

Western blot analysis of Transferrin Receptor (CD71) on different lysates with Rabbit anti-Transferrin Receptor (CD71) antibody (HA750333) at 1/1,000 dilution. Lane 1: HeLa-si NT cell lysate Lane 2: HeLa-si Transferrin Receptor cell lysate Lysates/proteins at 15 µg/Lane. Predicted band size: 85 kDa Observed band size: 100 kDa Exposure time: 1 minute 20 seconds; 4-20% SDS-PAGE gel. Proteins were transferred to a PVDF membrane and blocked with 5% NFDM/TBST for 1 hour at room temperature. The primary antibody (HA750333) at 1/1,000 dilution was used in 5% NFDM/TBST at room temperature for 2 hours. Goat Anti-Rabbit IgG - HRP Secondary Antibody (HA1001) at 1/50,000 dilution was used for 1 hour at room temperature.

Western blot analysis of Transferrin Receptor (CD71) on different lysates with Rabbit anti-Transferrin Receptor (CD71) antibody (HA750333) at 1/5,000 dilution. Lane 1: HAP1 WT cell lysate Lane 2: HAP1 Transferrin Receptor KD cell lysate Lysates/proteins at 10 µg/Lane. Predicted band size: 85 kDa Observed band size: 90 kDa Exposure time: 1 minute 48 seconds; ECL: K1802; 4-20% SDS-PAGE gel. Proteins were transferred to a PVDF membrane and blocked with 5% NFDM/TBST for 1 hour at room temperature. The primary antibody (HA750333) at 1/5,000 dilution was used in TBST at 4℃ overnight. Goat Anti-Rabbit IgG - HRP Secondary Antibody (HA1001) at 1/50,000 dilution was used for 1 hour at room temperature.
quantity: 100μl
price: 649.00 USD
to the supplier
