Sign in
Sign up
home
>
HUABIO
> HUABIO PRDX2 antibody
Peroxiredoxin 2
HUABIO
catalog: EM1701-70
mouse monoclonal (7F2)
reactivity:
human
application:
western blot
,
flow cytometry
,
immunohistochemistry - paraffin section
Western blot analysis of Peroxiredoxin 2 on different lysates with Mouse anti-Peroxiredoxin 2 antibody (EM1701-70) at 1/5,000 dilution. Lane 1: PC-3M cell lysate Lane 2: MCF-7 cell lysate Lysates/proteins at 10 µg/Lane. Predicted band size: 22 kDa Observed band size: 22 kDa Exposure time: 30 seconds; 15% SDS-PAGE gel. Proteins were transferred to a PVDF membrane and blocked with 5% NFDM/TBST for 1 hour at room temperature. The primary antibody (EM1701-70) at 1/5,000 dilution was used in 5% NFDM/TBST at room temperature for 2 hours. Goat Anti-Mouse IgG - HRP Secondary Antibody (HA1006) at 1:100,000 dilution was used for 1 hour at room temperature.
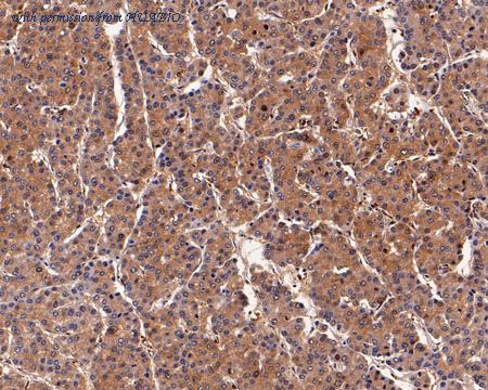
Immunohistochemical analysis of paraffin-embedded human liver carcinoma tissue with Mouse anti-Peroxiredoxin 2 antibody (EM1701-70) at 1/1,000 dilution. The section was pre-treated using heat mediated antigen retrieval with Tris-EDTA buffer (pH 9.0) for 20 minutes. The tissues were blocked in 1% BSA for 20 minutes at room temperature, washed with ddH2O and PBS, and then probed with the primary antibody (EM1701-70) at 1/1,000 dilution for 1 hour at room temperature. The detection was performed using an HRP conjugated compact polymer system. DAB was used as the chromogen. Tissues were counterstained with hematoxylin and mounted with DPX.
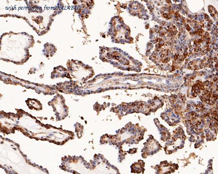
Immunohistochemical analysis of paraffin-embedded human thyroid carcinoma tissue with Mouse anti-Peroxiredoxin 2 antibody (EM1701-70) at 1/200 dilution. The section was pre-treated using heat mediated antigen retrieval with Tris-EDTA buffer (pH 9.0) for 20 minutes. The tissues were blocked in 1% BSA for 20 minutes at room temperature, washed with ddH2O and PBS, and then probed with the primary antibody (EM1701-70) at 1/200 dilution for 1 hour at room temperature. The detection was performed using an HRP conjugated compact polymer system. DAB was used as the chromogen. Tissues were counterstained with hematoxylin and mounted with DPX.
quantity: 100μl
price: 360.00 USD
to the supplier
Peroxiredoxin 2
HUABIO
catalog: EM1701-71
mouse monoclonal (7F4)
reactivity:
human
application:
western blot
,
flow cytometry
,
immunohistochemistry - paraffin section
Western blot analysis of Peroxiredoxin 2 on different lysates with Mouse anti-Peroxiredoxin 2 antibody (EM1701-71) at 1/5,000 dilution. Lane 1: PC-3M cell lysate Lane 2: MCF-7 cell lysate Lysates/proteins at 10 µg/Lane. Predicted band size: 22 kDa Observed band size: 22 kDa Exposure time: 5 minutes; 15% SDS-PAGE gel. Proteins were transferred to a PVDF membrane and blocked with 5% NFDM/TBST for 1 hour at room temperature. The primary antibody (EM1701-71) at 1/5,000 dilution was used in 5% NFDM/TBST at room temperature for 2 hours. Goat Anti-Mouse IgG - HRP Secondary Antibody (HA1006) at 1:100,000 dilution was used for 1 hour at room temperature.
Immunocytochemistry analysis of PC-3 cells labeling Peroxiredoxin 2 with Mouse anti-Peroxiredoxin 2 antibody (EM1701-71) at 1/50 dilution. Cells were fixed in 4% paraformaldehyde for 30 minutes, permeabilized with 0.1% Triton X-100 in PBS for 15 minutes, and then blocked with 2% BSA for 30 minutes at room temperature. Cells were then incubated with Mouse anti-Peroxiredoxin 2 antibody (EM1701-71) at 1/100 dilution in 2% BSA overnight at 4 ℃. Goat Anti-Mouse IgG H&L (iFluor™ 488, HA1125) was used as the secondary antibody at 1/1,000 dilution. PBS instead of the primary antibody was used as the secondary antibody only control. Nuclear DNA was labelled in blue with DAPI.
Immunocytochemistry analysis of HepG2 cells labeling Peroxiredoxin 2 with Mouse anti-Peroxiredoxin 2 antibody (EM1701-71) at 1/50 dilution. Cells were fixed in 4% paraformaldehyde for 30 minutes, permeabilized with 0.1% Triton X-100 in PBS for 15 minutes, and then blocked with 2% BSA for 30 minutes at room temperature. Cells were then incubated with Mouse anti-Peroxiredoxin 2 antibody (EM1701-71) at 1/100 dilution in 2% BSA overnight at 4 ℃. Goat Anti-Mouse IgG H&L (iFluor™ 488, HA1125) was used as the secondary antibody at 1/1,000 dilution. PBS instead of the primary antibody was used as the secondary antibody only control. Nuclear DNA was labelled in blue with DAPI.
quantity: 100μl
price: 360.00 USD
to the supplier
Peroxiredoxin 2
HUABIO
catalog: EM1701-72
mouse monoclonal (7F5)
reactivity:
human
,
mouse
,
rat
application:
western blot
,
flow cytometry
,
immunohistochemistry - paraffin section
Western blot analysis of Peroxiredoxin 2 on different lysates with Mouse anti-Peroxiredoxin 2 antibody (EM1701-72) at 1/1,000 dilution. Lane 1: HEK-293 cell lysate Lane 2: LNCAP cell lysate Lane 3: HeLa cell lysate Lane 4: SH-SY5Y cell lysate Lane 5: MCF7 cell lysate Lane 6: HepG2 cell lysate Lysates/proteins at 20 µg/Lane. Predicted band size: 22 kDa Observed band size: 22 kDa Exposure time: 1 minute 59 seconds; 4-20% SDS-PAGE gel. Proteins were transferred to a PVDF membrane and blocked with 5% NFDM/TBST for 1 hour at room temperature. The primary antibody (EM1701-72) at 1/1,000 dilution was used in 5% NFDM/TBST at room temperature for 2 hours. Goat Anti-Mouse IgG - HRP Secondary Antibody (HA1006) at 1/50,000 dilution was used for 1 hour at room temperature.
Western blot analysis of Peroxiredoxin 2 on different lysates with Mouse anti-Peroxiredoxin 2 antibody (EM1701-72) at 1/5,000 dilution. Lane 1: HeLa-si NT cell lysate Lane 2: HeLa-si Peroxiredoxin 2 cell lysate Lysates/proteins at 10 µg/Lane. Predicted band size: 22 kDa Observed band size: 22 kDa Exposure time: 34 seconds; 4-20% SDS-PAGE gel. Proteins were transferred to a PVDF membrane and blocked with 5% NFDM/TBST for 1 hour at room temperature. The primary antibody (EM1701-72) at 1/5,000 dilution was used in 5% NFDM/TBST at 4℃ overnight. Goat Anti-Mouse IgG - HRP Secondary Antibody (HA1006) at 1/50,000 dilution was used for 1 hour at room temperature.
Immunohistochemical analysis of paraffin-embedded rat kidney tissue with Mouse anti-Peroxiredoxin 2 antibody (EM1701-72) at 1/200 dilution. The section was pre-treated using heat mediated antigen retrieval with Tris-EDTA buffer (pH 9.0) for 20 minutes. The tissues were blocked in 1% BSA for 20 minutes at room temperature, washed with ddH2O and PBS, and then probed with the primary antibody (EM1701-72) at 1/200 dilution for 1 hour at room temperature. The detection was performed using an HRP conjugated compact polymer system. DAB was used as the chromogen. Tissues were counterstained with hematoxylin and mounted with DPX.
quantity: 100μl
price: 360.00 USD
to the supplier
Peroxiredoxin 2
HUABIO
catalog: ET1701-61
domestic rabbit monoclonal (JJ090-3)
reactivity:
human
,
mouse
,
rat
application:
western blot
,
immunohistochemistry - paraffin section
Western blot analysis of Peroxiredoxin 2 on different lysates with Rabbit anti-Peroxiredoxin 2 antibody (ET1701-61) at 1/1,000 dilution. Lane 1: HeLa cell lysate Lane 2: PC-12 cell lysate Lane 3: 293T cell lysate Lysates/proteins at 20 µg/Lane. Predicted band size: 22 kDa Observed band size: 22 kDa Exposure time: 2 minutes; ECL: K1801; 4-20% SDS-PAGE gel. Proteins were transferred to a PVDF membrane and blocked with 5% NFDM/TBST for 1 hour at room temperature. The primary antibody (ET1701-61) at 1/1,000 dilution was used in 5% NFDM/TBST at 4℃ overnight. Goat Anti-Rabbit IgG - HRP Secondary Antibody (HA1001) at 1/100,000 dilution was used for 1 hour at room temperature.
Western blot analysis of Peroxiredoxin 2 on different lysates with Rabbit anti-Peroxiredoxin 2 antibody (ET1701-61) at 1/1,000 dilution. Lane 1: HeLa cell lysate Lane 2: Mouse brain tissue lysate Lane 3: Mouse kidney tissue lysate Lane 4: Rat brain tissue lysate Lane 5: Rat heart tissue lysate Lysates/proteins at 30 µg/Lane. Predicted band size: 22 kDa Observed band size: 22 kDa Exposure time: 4 seconds; ECL: K1801; 4-20% SDS-PAGE gel. Proteins were transferred to a PVDF membrane and blocked with 5% NFDM/TBST for 1 hour at room temperature. The primary antibody (ET1701-61) at 1/1,000 dilution was used in 5% NFDM/TBST at 4℃ overnight. Goat Anti-Rabbit IgG - HRP Secondary Antibody (HA1001) at 1/50,000 dilution was used for 1 hour at room temperature.
Western blot analysis of Peroxiredoxin 2 on different lysates with Rabbit anti-Peroxiredoxin 2 antibody (ET1701-61) at 1/5,000 dilution. Lane 1: HeLa-si NT cell lysate Lane 2: HeLa-si Peroxiredoxin 2 cell lysate Lysates/proteins at 10 µg/Lane. Predicted band size: 22 kDa Observed band size: 22 kDa Exposure time: 30 seconds; ECL: K1801; 4-20% SDS-PAGE gel. Proteins were transferred to a PVDF membrane and blocked with 5% NFDM/TBST for 1 hour at room temperature. The primary antibody (ET1701-61) at 1/5,000 dilution was used in 5% NFDM/TBST at 4℃ overnight. Goat Anti-Rabbit IgG - HRP Secondary Antibody (HA1001) at 1/50,000 dilution was used for 1 hour at room temperature.
quantity: 100μl
price: 385.00 USD
to the supplier
Peroxiredoxin 2
HUABIO
catalog: HA601204
mouse monoclonal (7F5-R)
reactivity:
human
application:
western blot
,
immunohistochemistry - paraffin section
Western blot analysis of Peroxiredoxin 2 on different lysates with Mouse anti-Peroxiredoxin 2 antibody (HA601204) at 1/1,000 dilution. Lane 1: HEK-293 cell lysate Lane 2: LNCaP cell lysate Lane 3: HeLa cell lysate Lane 4: SH-SY5Y cell lysate Lane 5: MCF7 cell lysate Lane 6: HepG2 cell lysate Lysates/proteins at 20 µg/Lane. Predicted band size: 22 kDa Observed band size: 22 kDa Exposure time: 5 seconds; 4-20% SDS-PAGE gel. Proteins were transferred to a PVDF membrane and blocked with 5% NFDM/TBST for 1 hour at room temperature. The primary antibody (HA601204) at 1/1,000 dilution was used in 5% NFDM/TBST at room temperature for 2 hours. Goat Anti-Mouse IgG - HRP Secondary Antibody (HA1006) at 1/50,000 dilution was used for 1 hour at room temperature.
Immunocytochemistry analysis of HeLa cells labeling Peroxiredoxin 2 with Mouse anti-Peroxiredoxin 2 antibody (HA601204) at 1/100 dilution. Cells were fixed in 100% precooled methanol for 5 minutes at room temperature, then blocked with 1% BSA in 10% negative goat serum for 1 hour at room temperature. Cells were then incubated with Mouse anti-Peroxiredoxin 2 antibody (HA601204) at 1/100 dilution in 1% BSA in PBST overnight at 4 ℃. Goat Anti-Mouse IgG H&L (iFluor™ 488, HA1125) was used as the secondary antibody at 1/1,000 dilution. PBS instead of the primary antibody was used as the secondary antibody only control. Nuclear DNA was labelled in blue with DAPI. beta Tubulin (ET1602-4, red) was stained at 1/100 dilution overnight at +4℃. Goat Anti-Rabbit IgG H&L (iFluor™ 594, HA1122) were used as the secondary antibody at 1/1,000 dilution.
Immunohistochemical analysis of paraffin-embedded human breast carcinoma tissue with Mouse anti-Peroxiredoxin 2 antibody (HA601204) at 1/1,000 dilution. The section was pre-treated using heat mediated antigen retrieval with Tris-EDTA buffer (pH 9.0) for 20 minutes. The tissues were blocked in 1% BSA for 20 minutes at room temperature, washed with ddH2O and PBS, and then probed with the primary antibody (HA601204) at 1/1,000 dilution for 1 hour at room temperature. The detection was performed using an HRP conjugated compact polymer system. DAB was used as the chromogen. Tissues were counterstained with hematoxylin and mounted with DPX.
quantity: 100μl
price: 360.00 USD
to the supplier
Peroxiredoxin 2
HUABIO
catalog: HA601248
mouse monoclonal (7F2-R)
reactivity:
human
application:
western blot
Western blot analysis of Peroxiredoxin 2 on different lysates with Mouse anti-Peroxiredoxin 2 antibody (HA601248) at 1/1,000 dilution. Lane 1: HEK-293 cell lysate Lane 2: LNCaP cell lysate Lane 3: HeLa cell lysate Lane 4: SH-SY5Y cell lysate Lane 5: MCF7 cell lysate Lane 6: HepG2 cell lysate Lysates/proteins at 20 µg/Lane. Predicted band size: 22 kDa Observed band size: 22 kDa Exposure time: 5 seconds; 4-20% SDS-PAGE gel. Proteins were transferred to a PVDF membrane and blocked with 5% NFDM/TBST for 1 hour at room temperature. The primary antibody (HA601248) at 1/1,000 dilution was used in 5% NFDM/TBST at room temperature for 2 hours. Goat Anti-Mouse IgG - HRP Secondary Antibody (HA1006) at 1/50,000 dilution was used for 1 hour at room temperature.
Western blot analysis of Peroxiredoxin 2 on different lysates with Mouse anti-Peroxiredoxin 2 antibody (HA601248) at 1/20,000 dilution. Lane 1: HeLa-si NT cell lysate Lane 2: HeLa-si Peroxiredoxin 2 cell lysate Lysates/proteins at 10 µg/Lane. Predicted band size: 22 kDa Observed band size: 22 kDa Exposure time: 14 seconds; 4-20% SDS-PAGE gel. Proteins were transferred to a PVDF membrane and blocked with 5% NFDM/TBST for 1 hour at room temperature. The primary antibody (HA601248) at 1/20,000 dilution was used in 5% NFDM/TBST at 4℃ overnight. Goat Anti-Mouse IgG - HRP Secondary Antibody (HA1006) at 1/50,000 dilution was used for 1 hour at room temperature.
quantity: 100μl
price: 360.00 USD
to the supplier
Peroxiredoxin 2
HUABIO
catalog: HA610082
mouse monoclonal (7F5-R)
reactivity:
human
application:
western blot
,
immunohistochemistry - paraffin section
Western blot analysis of Peroxiredoxin 2 on different lysates with Mouse anti-Peroxiredoxin 2 antibody (HA610082) at 1/1,000 dilution. Lane 1: HEK-293 cell lysate Lane 2: LNCaP cell lysate Lane 3: HeLa cell lysate Lane 4: SH-SY5Y cell lysate Lane 5: MCF7 cell lysate Lane 6: HepG2 cell lysate Lysates/proteins at 20 µg/Lane. Predicted band size: 22 kDa Observed band size: 22 kDa Exposure time: 5 seconds; 4-20% SDS-PAGE gel. Proteins were transferred to a PVDF membrane and blocked with 5% NFDM/TBST for 1 hour at room temperature. The primary antibody (HA610082) at 1/1,000 dilution was used in 5% NFDM/TBST at room temperature for 2 hours. Goat Anti-Mouse IgG - HRP Secondary Antibody (HA1006) at 1/50,000 dilution was used for 1 hour at room temperature.
Immunocytochemistry analysis of HeLa cells labeling Peroxiredoxin 2 with Mouse anti-Peroxiredoxin 2 antibody (HA610082) at 1/100 dilution. Cells were fixed in 100% precooled methanol for 5 minutes at room temperature, then blocked with 1% BSA in 10% negative goat serum for 1 hour at room temperature. Cells were then incubated with Mouse anti-Peroxiredoxin 2 antibody (HA610082) at 1/100 dilution in 1% BSA in PBST overnight at 4 ℃. Goat Anti-Mouse IgG H&L (iFluor™ 488, HA1125) was used as the secondary antibody at 1/1,000 dilution. PBS instead of the primary antibody was used as the secondary antibody only control. Nuclear DNA was labelled in blue with DAPI. beta Tubulin (ET1602-4, red) was stained at 1/100 dilution overnight at +4℃. Goat Anti-Rabbit IgG H&L (iFluor™ 594, HA1122) were used as the secondary antibody at 1/1,000 dilution.
Immunohistochemical analysis of paraffin-embedded human breast carcinoma tissue with Mouse anti-Peroxiredoxin 2 antibody (HA610082) at 1/1,000 dilution. The section was pre-treated using heat mediated antigen retrieval with Tris-EDTA buffer (pH 9.0) for 20 minutes. The tissues were blocked in 1% BSA for 20 minutes at room temperature, washed with ddH2O and PBS, and then probed with the primary antibody (HA610082) at 1/1,000 dilution for 1 hour at room temperature. The detection was performed using an HRP conjugated compact polymer system. DAB was used as the chromogen. Tissues were counterstained with hematoxylin and mounted with DPX.
quantity: 100μg
price: 649.00 USD
to the supplier
Peroxiredoxin 2
HUABIO
catalog: HA610123
mouse monoclonal (7F2-R)
reactivity:
human
application:
western blot
Western blot analysis of Peroxiredoxin 2 on different lysates with Mouse anti-Peroxiredoxin 2 antibody (HA610123) at 1/1,000 dilution. Lane 1: HEK-293 cell lysate Lane 2: LNCaP cell lysate Lane 3: HeLa cell lysate Lane 4: SH-SY5Y cell lysate Lane 5: MCF7 cell lysate Lane 6: HepG2 cell lysate Lysates/proteins at 20 µg/Lane. Predicted band size: 22 kDa Observed band size: 22 kDa Exposure time: 5 seconds; 4-20% SDS-PAGE gel. Proteins were transferred to a PVDF membrane and blocked with 5% NFDM/TBST for 1 hour at room temperature. The primary antibody (HA610123) at 1/1,000 dilution was used in 5% NFDM/TBST at room temperature for 2 hours. Goat Anti-Mouse IgG - HRP Secondary Antibody (HA1006) at 1/50,000 dilution was used for 1 hour at room temperature.
Western blot analysis of Peroxiredoxin 2 on different lysates with Mouse anti-Peroxiredoxin 2 antibody (HA610123) at 1/20,000 dilution. Lane 1: HeLa-si NT cell lysate Lane 2: HeLa-si Peroxiredoxin 2 cell lysate Lysates/proteins at 10 µg/Lane. Predicted band size: 22 kDa Observed band size: 22 kDa Exposure time: 14 seconds; 4-20% SDS-PAGE gel. Proteins were transferred to a PVDF membrane and blocked with 5% NFDM/TBST for 1 hour at room temperature. The primary antibody (HA610123) at 1/20,000 dilution was used in 5% NFDM/TBST at 4℃ overnight. Goat Anti-Mouse IgG - HRP Secondary Antibody (HA1006) at 1/50,000 dilution was used for 1 hour at room temperature.
quantity: 100μg
price: 649.00 USD
to the supplier
Peroxiredoxin 2
HUABIO
catalog: R1510-37
domestic rabbit polyclonal
reactivity:
human
,
mouse
,
rat
application:
western blot
,
immunohistochemistry - paraffin section
Western blot analysis of Peroxiredoxin 2 on different lysates with Rabbit anti-Peroxiredoxin 2 antibody (R1510-37) at 1/1,000 dilution. Lane 1: HeLa cell lysate Lane 2: PC-12 cell lysate Lane 3: A549 cell lysate Lane 4: 293T cell lysate Lysates/proteins at 20 µg/Lane. Predicted band size: 22 kDa Observed band size: 22 kDa Exposure time: 15 seconds; 4-20% SDS-PAGE gel. Proteins were transferred to a PVDF membrane and blocked with 5% NFDM/TBST for 1 hour at room temperature. The primary antibody (R1510-37) at 1/1,000 dilution was used in 5% NFDM/TBST at 4℃ overnight. Goat Anti-Rabbit IgG - HRP Secondary Antibody (HA1001) at 1/100,000 dilution was used for 1 hour at room temperature.
Western blot analysis of Peroxiredoxin 2 on different lysates with Rabbit anti-Peroxiredoxin 2 antibody (R1510-37) at 1/1,000 dilution. Lane 1: PC-12 cell lysate (10 µg/Lane) Lane 2: HeLa cell lysate (10 µg/Lane) Lane 3: Mouse heart tissue lysate (20 µg/Lane) Predicted band size: 22 kDa Observed band size: 22 kDa Exposure time: 2 minutes; 15% SDS-PAGE gel. Proteins were transferred to a PVDF membrane and blocked with 5% NFDM/TBST for 1 hour at room temperature. The primary antibody (R1510-37) at 1/1,000 dilution was used in 5% NFDM/TBST at room temperature for 2 hours. Goat Anti-Rabbit IgG - HRP Secondary Antibody (HA1001) at 1/300,000 dilution was used for 1 hour at room temperature.
Western blot analysis of Peroxiredoxin 2 on different lysates with Rabbit anti-Peroxiredoxin 2 antibody (R1510-37) at 1/5,000 dilution. Lane 1: HeLa-si NT cell lysate Lane 2: HeLa-si Peroxiredoxin 2 cell lysate Lysates/proteins at 10 µg/Lane. Predicted band size: 22 kDa Observed band size: 22 kDa Exposure time: 3 seconds; ECL: K1801; 4-20% SDS-PAGE gel. Proteins were transferred to a PVDF membrane and blocked with 5% NFDM/TBST for 1 hour at room temperature. The primary antibody (R1510-37) at 1/5,000 dilution was used in 5% NFDM/TBST at 4℃ overnight. Goat Anti-Rabbit IgG - HRP Secondary Antibody (HA1001) at 1/50,000 dilution was used for 1 hour at room temperature.
quantity: 100μl
price: 330 USD
to the supplier