domestic rabbit monoclonal (ST04-72)
reactivity: human, mouse, rat
application: western blot, immunoprecipitation, flow cytometry, immunohistochemistry - paraffin section, immunohistochemistry - frozen section
reactivity: human, mouse, rat
application: western blot, immunoprecipitation, flow cytometry, immunohistochemistry - paraffin section, immunohistochemistry - frozen section

Western blot analysis of TOMM20 on different lysates with Rabbit anti-TOMM20 antibody (ET1609-25) at 1/5,000 dilution and competitor's antibody at 1/1,000 dilution. Lane 1: HeLa cell lysate (15 µg/Lane) Lane 2: Saos-2 cell lysate (low expression) (15 µg/Lane) Lane 3: HepG2 cell lysate (15 µg/Lane) Lane 4: A549 cell lysate (15 µg/Lane) Lane 5: NIH/3T3 cell lysate (15 µg/Lane) Lane 6: C2C12 cell lysate (15 µg/Lane) Lane 7: C6 cell lysate (15 µg/Lane) Lane 8: PC-12 cell lysate (15 µg/Lane) Lane 9: Mouse brain tissue lysate (30 µg/Lane) Lane 10: Rat brain tissue lysate (30 µg/Lane) Predicted band size: 16 kDa Observed band size: 16 kDa Exposure time: 3 minutes; ECL: K1801; 4-20% SDS-PAGE gel. Proteins were transferred to a PVDF membrane and blocked with 5% NFDM/TBST for 1 hour at room temperature. The primary antibody (ET1609-25) at 1/5,000 dilution and competitor's antibody at 1/1,000 dilution were used in 5% NFDM/TBST at 4℃ overnight. Goat Anti-Rabbit IgG - HRP Secondary Antibody (HA1001) at 1/50,000 dilution was used for 1 hour at room temperature.

Western blot analysis of TOMM20 on different lysates with Rabbit anti-TOMM20 antibody (ET1609-25) at 1/5,000 dilution. Lane 1: HeLa-si NT cell lysate (10 µg/Lane) Lane 2: HeLa-si TOMM20 cell lysate (10 µg/Lane) Predicted band size: 16 kDa Observed band size: 16 kDa Exposure time: 21 seconds; ECL: K1801; 4-20% SDS-PAGE gel. Proteins were transferred to a PVDF membrane and blocked with 5% NFDM/TBST for 1 hour at room temperature. The primary antibody (ET1609-25) at 1/5,000 dilution was used in 5% NFDM/TBST at 4℃ overnight. Goat Anti-Rabbit IgG - HRP Secondary Antibody (HA1001) at 1/50,000 dilution was used for 1 hour at room temperature.

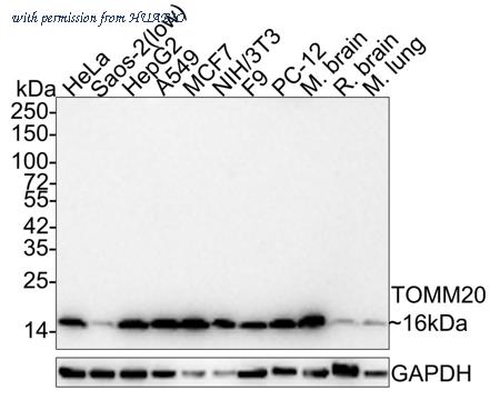
Western blot analysis of TOMM20 on different lysates with Rabbit anti-TOMM20 antibody (ET1609-25) at 1/5,000 dilution. Lane 1: HeLa cell lysate (10 µg/Lane) Lane 2: Saos-2 cell lysate (low expression) (10 µg/Lane) Lane 3: HepG2 cell lysate (10 µg/Lane) Lane 4: A549 cell lysate (10 µg/Lane) Lane 5: MCF7 cell lysate (10 µg/Lane) Lane 6: NIH/3T3 cell lysate (10 µg/Lane) Lane 7: F9 cell lysate (10 µg/Lane) Lane 8: PC-12 cell lysate (10 µg/Lane) Lane 9: Mouse brain tissue lysate (20 µg/Lane) Lane 10: Rat brain tissue lysate (20 µg/Lane) Lane 11: Rat lung tissue lysate (20 µg/Lane) Predicted band size: 16 kDa Observed band size: 16 kDa Exposure time: 1 minute 22 seconds; ECL: K1801; 4-20% SDS-PAGE gel. Proteins were transferred to a PVDF membrane and blocked with 5% NFDM/TBST for 1 hour at room temperature. The primary antibody (ET1609-25) at 1/5,000 dilution was used in 5% NFDM/TBST at room temperature for 2 hours. Goat Anti-Rabbit IgG - HRP Secondary Antibody (HA1001) at 1/100,000 dilution was used for 1 hour at room temperature.
quantity: 50μl
price: 205.00 USD
to the supplier
domestic rabbit monoclonal (ST04-72)
reactivity: human, mouse, rat
application: western blot, immunoprecipitation, flow cytometry, immunohistochemistry - paraffin section, immunohistochemistry - frozen section
reactivity: human, mouse, rat
application: western blot, immunoprecipitation, flow cytometry, immunohistochemistry - paraffin section, immunohistochemistry - frozen section

Western blot analysis of TOMM20 on different lysates with Rabbit anti-TOMM20 antibody (HA750166) at 1/5,000 dilution and competitor's antibody at 1/1,000 dilution. Lane 1: HeLa cell lysate (15 µg/Lane) Lane 2: Saos-2 cell lysate (low expression) (15 µg/Lane) Lane 3: HepG2 cell lysate (15 µg/Lane) Lane 4: A549 cell lysate (15 µg/Lane) Lane 5: NIH/3T3 cell lysate (15 µg/Lane) Lane 6: C2C12 cell lysate (15 µg/Lane) Lane 7: C6 cell lysate (15 µg/Lane) Lane 8: PC-12 cell lysate (15 µg/Lane) Lane 9: Mouse brain tissue lysate (30 µg/Lane) Lane 10: Rat brain tissue lysate (30 µg/Lane) Predicted band size: 16 kDa Observed band size: 16 kDa Exposure time: 3 minutes; ECL: K1801; 4-20% SDS-PAGE gel. Proteins were transferred to a PVDF membrane and blocked with 5% NFDM/TBST for 1 hour at room temperature. The primary antibody (HA750166) at 1/5,000 dilution and competitor's antibody at 1/1,000 dilution were used in 5% NFDM/TBST at 4℃ overnight. Goat Anti-Rabbit IgG - HRP Secondary Antibody (HA1001) at 1/50,000 dilution was used for 1 hour at room temperature.

Western blot analysis of TOMM20 on different lysates with Rabbit anti-TOMM20 antibody (HA750166) at 1/5,000 dilution. Lane 1: HeLa-si NT cell lysate (10 µg/Lane) Lane 2: HeLa-si TOMM20 cell lysate (10 µg/Lane) Predicted band size: 16 kDa Observed band size: 16 kDa Exposure time: 21 seconds; ECL: K1801; 4-20% SDS-PAGE gel. Proteins were transferred to a PVDF membrane and blocked with 5% NFDM/TBST for 1 hour at room temperature. The primary antibody (HA750166) at 1/5,000 dilution was used in 5% NFDM/TBST at 4℃ overnight. Goat Anti-Rabbit IgG - HRP Secondary Antibody (HA1001) at 1/50,000 dilution was used for 1 hour at room temperature.

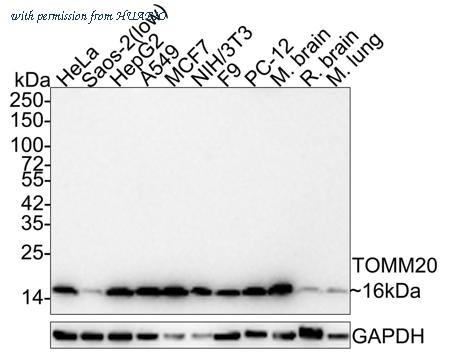
Western blot analysis of TOMM20 on different lysates with Rabbit anti-TOMM20 antibody (HA750166) at 1/5,000 dilution. Lane 1: HeLa cell lysate (10 µg/Lane) Lane 2: Saos-2 cell lysate (low expression) (10 µg/Lane) Lane 3: HepG2 cell lysate (10 µg/Lane) Lane 4: A549 cell lysate (10 µg/Lane) Lane 5: MCF7 cell lysate (10 µg/Lane) Lane 6: NIH/3T3 cell lysate (10 µg/Lane) Lane 7: F9 cell lysate (10 µg/Lane) Lane 8: PC-12 cell lysate (10 µg/Lane) Lane 9: Mouse brain tissue lysate (20 µg/Lane) Lane 10: Rat brain tissue lysate (20 µg/Lane) Lane 11: Rat lung tissue lysate (20 µg/Lane) Predicted band size: 16 kDa Observed band size: 16 kDa Exposure time: 1 minute 22 seconds; ECL: K1801; 4-20% SDS-PAGE gel. Proteins were transferred to a PVDF membrane and blocked with 5% NFDM/TBST for 1 hour at room temperature. The primary antibody (HA750166) at 1/5,000 dilution was used in 5% NFDM/TBST at room temperature for 2 hours. Goat Anti-Rabbit IgG - HRP Secondary Antibody (HA1001) at 1/100,000 dilution was used for 1 hour at room temperature.
quantity: 100μl
price: 649.00 USD
to the supplier
domestic rabbit monoclonal (ST04-72)
reactivity: human, mouse, rat
application: western blot, immunoprecipitation, flow cytometry, immunohistochemistry - paraffin section
reactivity: human, mouse, rat
application: western blot, immunoprecipitation, flow cytometry, immunohistochemistry - paraffin section
domestic rabbit polyclonal (ST04-72)
reactivity: human, mouse, rat
application: western blot, flow cytometry, immunohistochemistry - paraffin section, immunohistochemistry - frozen section
reactivity: human, mouse, rat
application: western blot, flow cytometry, immunohistochemistry - paraffin section, immunohistochemistry - frozen section

Western blot analysis of TOMM20 on different lysates with Mouse anti-TOMM20 antibody (HA601454) at 1/5,000 dilution. Lane 1: HeLa cell lysate (15 µg/Lane) Lane 2: HepG2 cell lysate (15 µg/Lane) Lane 3: NIH/3T3 cell lysate (15 µg/Lane) Lane 4: C2C12 cell lysate (15 µg/Lane) Lane 5: PC-12 cell lysate (15 µg/Lane) Lane 6: Mouse brain tissue lysate (30 µg/Lane) Lane 7: Rat brain tissue lysate (30 µg/Lane) Predicted band size: 16 kDa Observed band size: 16 kDa Exposure time: 25 seconds; ECL: K1801; 4-20% SDS-PAGE gel. Proteins were transferred to a PVDF membrane and blocked with 5% NFDM/TBST for 1 hour at room temperature. The primary antibody (HA601454) at 1/5,000 dilution was used in primary antibody dilution (K1803) at 4℃ overnight. Goat Anti-Mouse IgG - HRP Secondary Antibody (HA1006) at 1/50,000 dilution was used for 1 hour at room temperature.

Immunocytochemistry analysis of HepG2 cells labeling TOMM20 with Mouse anti-TOMM20 antibody (HA601454) at 1/100 dilution. Cells were fixed in 4% paraformaldehyde for 15 minutes at room temperature, permeabilized with 0.1% Triton X-100 in PBS for 15 minutes at room temperature, then blocked with 1% BSA in 10% negative goat serum for 1 hour at room temperature. Cells were then incubated with Mouse anti-TOMM20 antibody (HA601454) at 1/100 dilution in 1% BSA in PBST overnight at 4 ℃. Goat Anti-Mouse IgG H&L (iFluor™ 488, HA1125) was used as the secondary antibody at 1/1,000 dilution. PBS instead of the primary antibody was used as the secondary antibody only control. Nuclear DNA was labelled in blue with DAPI. beta Tubulin (ET1602-4, red) was stained at 1/100 dilution overnight at +4℃. Goat Anti-Rabbit IgG H&L (iFluor™ 594, HA1122) were used as the secondary antibody at 1/1,000 dilution.

Immunocytochemistry analysis of NIH/3T3 cells labeling TOMM20 with Mouse anti-TOMM20 antibody (HA601454) at 1/100 dilution. Cells were fixed in 4% paraformaldehyde for 15 minutes at room temperature, permeabilized with 0.1% Triton X-100 in PBS for 15 minutes at room temperature, then blocked with 1% BSA in 10% negative goat serum for 1 hour at room temperature. Cells were then incubated with Mouse anti-TOMM20 antibody (HA601454) at 1/100 dilution in 1% BSA in PBST overnight at 4 ℃. Goat Anti-Mouse IgG H&L (iFluor™ 488, HA1125) was used as the secondary antibody at 1/1,000 dilution. PBS instead of the primary antibody was used as the secondary antibody only control. Nuclear DNA was labelled in blue with DAPI. beta Tubulin (ET1602-4, red) was stained at 1/100 dilution overnight at +4℃. Goat Anti-Rabbit IgG H&L (iFluor™ 594, HA1122) were used as the secondary antibody at 1/1,000 dilution.
quantity: 100μl
price: 360.00 USD
to the supplier
domestic rabbit polyclonal (ST04-72)
reactivity: human, mouse, rat
application: western blot, flow cytometry, immunohistochemistry - paraffin section, immunohistochemistry - frozen section
reactivity: human, mouse, rat
application: western blot, flow cytometry, immunohistochemistry - paraffin section, immunohistochemistry - frozen section

Western blot analysis of TOMM20 on different lysates with Mouse anti-TOMM20 antibody (HA610288) at 1/5,000 dilution. Lane 1: HeLa cell lysate (15 µg/Lane) Lane 2: HepG2 cell lysate (15 µg/Lane) Lane 3: NIH/3T3 cell lysate (15 µg/Lane) Lane 4: C2C12 cell lysate (15 µg/Lane) Lane 5: PC-12 cell lysate (15 µg/Lane) Lane 6: Mouse brain tissue lysate (30 µg/Lane) Lane 7: Rat brain tissue lysate (30 µg/Lane) Predicted band size: 16 kDa Observed band size: 16 kDa Exposure time: 25 seconds; ECL: K1801; 4-20% SDS-PAGE gel. Proteins were transferred to a PVDF membrane and blocked with 5% NFDM/TBST for 1 hour at room temperature. The primary antibody (HA610288) at 1/5,000 dilution was used in primary antibody dilution (K1803) at 4℃ overnight. Goat Anti-Mouse IgG - HRP Secondary Antibody (HA1006) at 1/50,000 dilution was used for 1 hour at room temperature.

Immunocytochemistry analysis of HepG2 cells labeling TOMM20 with Mouse anti-TOMM20 antibody (HA610288) at 1/100 dilution. Cells were fixed in 4% paraformaldehyde for 15 minutes at room temperature, permeabilized with 0.1% Triton X-100 in PBS for 15 minutes at room temperature, then blocked with 1% BSA in 10% negative goat serum for 1 hour at room temperature. Cells were then incubated with Mouse anti-TOMM20 antibody (HA610288) at 1/100 dilution in 1% BSA in PBST overnight at 4 ℃. Goat Anti-Mouse IgG H&L (iFluor™ 488, HA1125) was used as the secondary antibody at 1/1,000 dilution. PBS instead of the primary antibody was used as the secondary antibody only control. Nuclear DNA was labelled in blue with DAPI. beta Tubulin (ET1602-4, red) was stained at 1/100 dilution overnight at +4℃. Goat Anti-Rabbit IgG H&L (iFluor™ 594, HA1122) were used as the secondary antibody at 1/1,000 dilution.

Immunocytochemistry analysis of NIH/3T3 cells labeling TOMM20 with Mouse anti-TOMM20 antibody (HA610288) at 1/100 dilution. Cells were fixed in 4% paraformaldehyde for 15 minutes at room temperature, permeabilized with 0.1% Triton X-100 in PBS for 15 minutes at room temperature, then blocked with 1% BSA in 10% negative goat serum for 1 hour at room temperature. Cells were then incubated with Mouse anti-TOMM20 antibody (HA610288) at 1/100 dilution in 1% BSA in PBST overnight at 4 ℃. Goat Anti-Mouse IgG H&L (iFluor™ 488, HA1125) was used as the secondary antibody at 1/1,000 dilution. PBS instead of the primary antibody was used as the secondary antibody only control. Nuclear DNA was labelled in blue with DAPI. beta Tubulin (ET1602-4, red) was stained at 1/100 dilution overnight at +4℃. Goat Anti-Rabbit IgG H&L (iFluor™ 594, HA1122) were used as the secondary antibody at 1/1,000 dilution.
quantity: 100μg
price: 649.00 USD
to the supplier
