Sign in
Sign up
home
>
HUABIO
> HUABIO STAT5 antibody
Phospho-STAT5 (Y694)
HUABIO
catalog: ET1610-48
domestic rabbit monoclonal (SC05-31)
reactivity:
human
,
mouse
,
rat
application:
western blot
,
immunohistochemistry - paraffin section
Western blot analysis of Phospho-STAT5 (Y694) on different lysates with Rabbit anti-Phospho-STAT5 (Y694) antibody (ET1610-48) at 1/1,000 dilution. Lane 1: PC-12 cell lysate Lane 2: PC-12 treated with 1mM Sodium orthovanadate for 30 minutes cell lysate Lane 3: PC-12 treated with 1mM Sodium orthovanadate for 30 minutes cell lysate, then the membrane treated with λpp for 1 hour Lysates/proteins at 20 µg/Lane. Predicted band size: 91 kDa Observed band size: 91 kDa Exposure time: 3 minutes; 4-20% SDS-PAGE gel. Proteins were transferred to a PVDF membrane and blocked with 5% NFDM/TBST for 1 hour at room temperature. The primary antibody (ET1610-48) at 1/1,000 dilution was used in 5% NFDM/TBST at 4℃ overnight. Goat Anti-Rabbit IgG - HRP Secondary Antibody (HA1001) at 1/50,000 dilution was used for 1 hour at room temperature.
Immunocytochemistry analysis of PC-12 cells treated with 1mM Sodium orthovanadate for 30 minutes labeling Phospho-STAT5 (Y694) with Rabbit anti-Phospho-STAT5 (Y694) antibody (ET1610-48) at 1/100 dilution. Cells were fixed in 4% paraformaldehyde for 20 minutes at room temperature, permeabilized with 0.1% Triton X-100 in PBS for 5 minutes at room temperature, then blocked with 1% BSA in 10% negative goat serum for 1 hour at room temperature. Cells were then incubated with Rabbit anti-Phospho-STAT5 (Y694) antibody (ET1610-48) at 1/100 dilution in 1% BSA in PBST overnight at 4 ℃. Goat Anti-Rabbit IgG H&L (iFluor™ 488, HA1121) was used as the secondary antibody at 1/1,000 dilution. PBS instead of the primary antibody was used as the secondary antibody only control. Nuclear DNA was labelled in blue with DAPI. Beta tubulin (M1305-2, red) was stained at 1/100 dilution overnight at +4℃. Goat Anti-Mouse IgG H&L (iFluor™ 594, HA1126) was used as the secondary antibody at 1/1,000 dilution.
Western blot analysis of Phospho-STAT5(Y694) on Hela cell lysates. Lane 1: Hela cells, whole cell lysate, 10ug/lane Lane 2/3: Hela cells treated with 100ng/mL IFN alpha for 60 minutes, whole cell lysates, 10ug/lane Lane 4: Hela cells treated with 100ng/mL IFN alpha for 60 minutes, then treated with 2.8ug/ul lambda-PP for 30 minutes, whole cell lysates, 10ug/lane All lanes : Anti-Phospho-STAT5(Y694) antibody (ET1610-48) at 1:500 dilution. Anti-STAT5 antibody (ET1612-63) at 1:500 dilution. Anti-GAPDH antibody (ET1601-4) at 1:10,000 dilution. Goat Anti-Rabbit IgG H&L (HRP) (HA1001) at 1/200,000 dilution. Predicted band size: 91 kDa Observed band size: 91 kDa Blocking and diluting buffer: 5% BSA. Exposure time: 2 minutes 2 seconds
quantity: 100μl
price: 385.00 USD
to the supplier
STAT5a
HUABIO
catalog: ET1610-58
domestic rabbit monoclonal (SC66-09)
reactivity:
human
,
mouse
,
rat
application:
western blot
,
immunoprecipitation
,
flow cytometry
,
immunohistochemistry - paraffin section
Western blot analysis of STAT5a on different lysates with Rabbit anti-STAT5a antibody (ET1610-58) at 1/1,000 dilution. Lane 1: HeLa cell lysate Lane 2: K-562 cell lysate Lane 3: RAW264.7 cell lysate Lane 4: EL4 cell lysate Lane 5: Rat spleen tissue lysate Lysates/proteins at 20 µg/Lane. Predicted band size: 91 kDa Observed band size: 91 kDa Exposure time: 10 seconds; ECL: K1801; 4-20% SDS-PAGE gel. Proteins were transferred to a PVDF membrane and blocked with 5% NFDM/TBST for 1 hour at room temperature. The primary antibody (ET1610-58) at 1/1,000 dilution was used in 5% NFDM/TBST at 4℃ overnight. Goat Anti-Rabbit IgG - HRP Secondary Antibody (HA1001) at 1/50,000 dilution was used for 1 hour at room temperature.
All lanes: Western blot analysis of STAT5a with anti-STAT5a antibody (ET1610-58) at 1/500 dilution. Lane 1: Wild-type Hela whole cell lysate. Lane 2/3: STAT5a knockdown Hela whole cell lysate. ET1610-58 was shown to specifically react with STAT5a in Wild-type Hela cells. Weakened bands were observed when STAT5a knockdown samples were tested. Wild-type and STAT5a knockdown samples were subjected to SDS-PAGE. Proteins were transferred to a PVDF membrane and blocked with 5% NFDM in TBST for 1 hour at room temperature. The primary Anti-STAT5a antibody (ET1610-58, 1/500) and Anti-HSP90 antibody (ET1605-56, 1/10,000) were used in 5% BSA at room temperature for 2 hours. Goat Anti-Rabbit IgG H&L (HRP) Secondary Antibody (HA1001) at 1:300,000 dilution was used for 1 hour at room temperature.
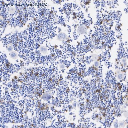
Immunohistochemical analysis of paraffin-embedded mouse bone tissue with Rabbit anti-STAT5a antibody (ET1610-58) at 1/1,000 dilution. The section was pre-treated using heat mediated antigen retrieval with sodium citrate buffer (pH 6.0) (high pressure) for 2 minutes. The tissues were blocked in 1% BSA for 20 minutes at room temperature, washed with ddH2O and PBS, and then probed with the primary antibody (ET1610-58) at 1/1,000 dilution for 1 hour at room temperature. The detection was performed using an HRP conjugated compact polymer system. DAB was used as the chromogen. Tissues were counterstained with hematoxylin and mounted with DPX.
quantity: 100μl
price: 385.00 USD
to the supplier
STAT 5A+B
HUABIO
catalog: ET1701-45
domestic rabbit monoclonal (JJ08-78)
reactivity:
human
,
mouse
,
rat
application:
western blot
,
immunoprecipitation
,
flow cytometry
,
immunohistochemistry - paraffin section
Western blot analysis of STAT 5A+B on different lysates with Rabbit anti-STAT 5A+B antibody (ET1701-45) at 1/1,000 dilution. Lane 1: A549 cell lysate (10 µg/Lane) Lane 2: HeLa cell lysate (10 µg/Lane) Lane 3: NIH/3T3 cell lysate (10 µg/Lane) Lane 4: PC-12 cell lysate (10 µg/Lane) Lane 5: Mouse brain tissue lysate (20 µg/Lane) Lane 6: Mouse testis tissue lysate (20 µg/Lane) Lane 7: Rat ovary tissue lysate (20 µg/Lane) Predicted band size: 90 kDa Observed band size: 90 kDa Exposure time: 4 seconds; ECL: K1801; 4-20% SDS-PAGE gel. Proteins were transferred to a PVDF membrane and blocked with 5% NFDM/TBST for 1 hour at room temperature. The primary antibody (ET1701-45) at 1/1,000 dilution was used in 5% NFDM/TBST at 4℃ overnight. Goat Anti-Rabbit IgG - HRP Secondary Antibody (HA1001) at 1/50,000 dilution was used for 1 hour at room temperature.
Immunocytochemistry analysis of PC-12 cells labeling STAT 5A+B with Rabbit anti-STAT 5A+B antibody (ET1701-45) at 1/100 dilution. Cells were fixed in 4% paraformaldehyde for 15 minutes at room temperature, permeabilized with 0.1% Triton X-100 in PBS for 15 minutes at room temperature, then blocked with 1% BSA in 10% negative goat serum for 1 hour at room temperature. Cells were then incubated with Rabbit anti-STAT 5A+B antibody (ET1701-45) at 1/100 dilution in 1% BSA in PBST overnight at 4 ℃. Goat Anti-Rabbit IgG H&L (iFluor™ 488, HA1121) was used as the secondary antibody at 1/1,000 dilution. PBS instead of the primary antibody was used as the secondary antibody only control. Nuclear DNA was labelled in blue with DAPI. Beta tubulin (HA601187, red) was stained at 1/100 dilution overnight at +4℃. Goat Anti-Mouse IgG H&L (iFluor™ 594, HA1126) was used as the secondary antibody at 1/1,000 dilution.
ICC staining of STAT 5A+B in HepG2 cells (green). Formalin fixed cells were permeabilized with 0.1% Triton X-100 in TBS for 10 minutes at room temperature and blocked with 1% Blocker BSA for 15 minutes at room temperature. Cells were probed with the primary antibody (ET1701-45, 1/50) for 1 hour at room temperature, washed with PBS. Alexa Fluor®488 Goat anti-Rabbit IgG was used as the secondary antibody at 1/1,000 dilution. The nuclear counter stain is DAPI (blue).
quantity: 100μl
price: 385.00 USD
to the supplier
Phospho-STAT5 (Y694)
HUABIO
catalog: HA750220
domestic rabbit monoclonal (SC05-31)
reactivity:
human
,
mouse
,
rat
application:
western blot
,
immunohistochemistry - paraffin section
Western blot analysis of Phospho-STAT5 (Y694) on different lysates with Rabbit anti-Phospho-STAT5 (Y694) antibody (HA750220) at 1/1,000 dilution. Lane 1: PC-12 cell lysate Lane 2: PC-12 treated with 1mM Sodium orthovanadate for 30 minutes cell lysate Lane 3: PC-12 treated with 1mM Sodium orthovanadate for 30 minutes cell lysate, then the membrane treated with λpp for 1 hour Lysates/proteins at 20 µg/Lane. Predicted band size: 91 kDa Observed band size: 91 kDa Exposure time: 3 minutes; 4-20% SDS-PAGE gel. Proteins were transferred to a PVDF membrane and blocked with 5% NFDM/TBST for 1 hour at room temperature. The primary antibody (HA750220) at 1/1,000 dilution was used in 5% NFDM/TBST at 4℃ overnight. Goat Anti-Rabbit IgG - HRP Secondary Antibody (HA1001) at 1/50,000 dilution was used for 1 hour at room temperature.
Immunocytochemistry analysis of PC-12 cells treated with 1mM Sodium orthovanadate for 30 minutes labeling Phospho-STAT5 (Y694) with Rabbit anti-Phospho-STAT5 (Y694) antibody (HA750220) at 1/100 dilution. Cells were fixed in 4% paraformaldehyde for 20 minutes at room temperature, permeabilized with 0.1% Triton X-100 in PBS for 5 minutes at room temperature, then blocked with 1% BSA in 10% negative goat serum for 1 hour at room temperature. Cells were then incubated with Rabbit anti-Phospho-STAT5 (Y694) antibody (HA750220) at 1/100 dilution in 1% BSA in PBST overnight at 4 ℃. Goat Anti-Rabbit IgG H&L (iFluor™ 488, HA1121) was used as the secondary antibody at 1/1,000 dilution. PBS instead of the primary antibody was used as the secondary antibody only control. Nuclear DNA was labelled in blue with DAPI. Beta tubulin (M1305-2, red) was stained at 1/100 dilution overnight at +4℃. Goat Anti-Mouse IgG H&L (iFluor™ 594, HA1126) was used as the secondary antibody at 1/1,000 dilution.
Western blot analysis of Phospho-STAT5(Y694) on Hela cell lysates. Lane 1: Hela cells, whole cell lysate, 10ug/lane Lane 2/3: Hela cells treated with 100ng/mL IFN alpha for 60 minutes, whole cell lysates, 10ug/lane Lane 4: Hela cells treated with 100ng/mL IFN alpha for 60 minutes, then treated with 2.8ug/ul lambda-PP for 30 minutes, whole cell lysates, 10ug/lane All lanes : Anti-Phospho-STAT5(Y694) antibody (HA750220) at 1:500 dilution. Anti-STAT5 antibody (ET1612-63) at 1:500 dilution. Anti-GAPDH antibody (ET1601-4) at 1:10,000 dilution. Goat Anti-Rabbit IgG H&L (HRP) (HA1001) at 1/200,000 dilution. Predicted band size: 91 kDa Observed band size: 91 kDa Blocking and diluting buffer: 5% BSA. Exposure time: 2 minutes 2 seconds
quantity: 100μl
price: 649.00 USD
to the supplier
STAT5a
HUABIO
catalog: HA750225
domestic rabbit monoclonal (SC66-09)
reactivity:
human
,
mouse
,
rat
application:
western blot
,
immunoprecipitation
,
flow cytometry
,
immunohistochemistry - paraffin section
Western blot analysis of STAT5a on different lysates with Rabbit anti-STAT5a antibody (HA750225) at 1/1,000 dilution. Lane 1: HeLa cell lysate Lane 2: K-562 cell lysate Lane 3: RAW264.7 cell lysate Lane 4: EL4 cell lysate Lane 5: Rat spleen tissue lysate Lysates/proteins at 20 µg/Lane. Predicted band size: 91 kDa Observed band size: 91 kDa Exposure time: 10 seconds; ECL: K1801; 4-20% SDS-PAGE gel. Proteins were transferred to a PVDF membrane and blocked with 5% NFDM/TBST for 1 hour at room temperature. The primary antibody (HA750225) at 1/1,000 dilution was used in 5% NFDM/TBST at 4℃ overnight. Goat Anti-Rabbit IgG - HRP Secondary Antibody (HA1001) at 1/50,000 dilution was used for 1 hour at room temperature.
All lanes: Western blot analysis of STAT5a with anti-STAT5a antibody (HA750225) at 1/500 dilution. Lane 1: Wild-type Hela whole cell lysate. Lane 2/3: STAT5a knockdown Hela whole cell lysate. ET1610-58 was shown to specifically react with STAT5a in Wild-type Hela cells. Weakened bands were observed when STAT5a knockdown samples were tested. Wild-type and STAT5a knockdown samples were subjected to SDS-PAGE. Proteins were transferred to a PVDF membrane and blocked with 5% NFDM in TBST for 1 hour at room temperature. The primary Anti-STAT5a antibody (ET1610-58, 1/500) and Anti-HSP90 antibody (ET1605-56, 1/10,000) were used in 5% BSA at room temperature for 2 hours. Goat Anti-Rabbit IgG H&L (HRP) Secondary Antibody (HA1001) at 1:300,000 dilution was used for 1 hour at room temperature.
Immunohistochemical analysis of paraffin-embedded mouse bone tissue with Rabbit anti-STAT5a antibody (HA750225) at 1/1,000 dilution. The section was pre-treated using heat mediated antigen retrieval with sodium citrate buffer (pH 6.0) (high pressure) for 2 minutes. The tissues were blocked in 1% BSA for 20 minutes at room temperature, washed with ddH2O and PBS, and then probed with the primary antibody (HA750225) at 1/1,000 dilution for 1 hour at room temperature. The detection was performed using an HRP conjugated compact polymer system. DAB was used as the chromogen. Tissues were counterstained with hematoxylin and mounted with DPX.
quantity: 100μl
price: 649.00 USD
to the supplier
STAT 5A+B
HUABIO
catalog: HA750310
domestic rabbit monoclonal (JJ08-78)
reactivity:
human
,
mouse
,
rat
application:
western blot
,
immunoprecipitation
,
flow cytometry
,
immunohistochemistry - paraffin section
Western blot analysis of STAT 5A+B on different lysates with Rabbit anti-STAT 5A+B antibody (HA750310) at 1/1,000 dilution. Lane 1: A549 cell lysate (10 µg/Lane) Lane 2: HeLa cell lysate (10 µg/Lane) Lane 3: NIH/3T3 cell lysate (10 µg/Lane) Lane 4: PC-12 cell lysate (10 µg/Lane) Lane 5: Mouse brain tissue lysate (20 µg/Lane) Lane 6: Mouse testis tissue lysate (20 µg/Lane) Lane 7: Rat ovary tissue lysate (20 µg/Lane) Predicted band size: 90 kDa Observed band size: 90 kDa Exposure time: 4 seconds; ECL: K1801; 4-20% SDS-PAGE gel. Proteins were transferred to a PVDF membrane and blocked with 5% NFDM/TBST for 1 hour at room temperature. The primary antibody (HA750310) at 1/1,000 dilution was used in 5% NFDM/TBST at 4℃ overnight. Goat Anti-Rabbit IgG - HRP Secondary Antibody (HA1001) at 1/50,000 dilution was used for 1 hour at room temperature.
Immunocytochemistry analysis of PC-12 cells labeling STAT 5A+B with Rabbit anti-STAT 5A+B antibody (HA750310) at 1/100 dilution. Cells were fixed in 4% paraformaldehyde for 15 minutes at room temperature, permeabilized with 0.1% Triton X-100 in PBS for 15 minutes at room temperature, then blocked with 1% BSA in 10% negative goat serum for 1 hour at room temperature. Cells were then incubated with Rabbit anti-STAT 5A+B antibody (HA750310) at 1/100 dilution in 1% BSA in PBST overnight at 4 ℃. Goat Anti-Rabbit IgG H&L (iFluor™ 488, HA1121) was used as the secondary antibody at 1/1,000 dilution. PBS instead of the primary antibody was used as the secondary antibody only control. Nuclear DNA was labelled in blue with DAPI. Beta tubulin (HA601187, red) was stained at 1/100 dilution overnight at +4℃. Goat Anti-Mouse IgG H&L (iFluor™ 594, HA1126) was used as the secondary antibody at 1/1,000 dilution.
ICC staining of STAT 5A+B in HepG2 cells (green). Formalin fixed cells were permeabilized with 0.1% Triton X-100 in TBS for 10 minutes at room temperature and blocked with 1% Blocker BSA for 15 minutes at room temperature. Cells were probed with the primary antibody (HA750310, 1/50) for 1 hour at room temperature, washed with PBS. Alexa Fluor®488 Goat anti-Rabbit IgG was used as the secondary antibody at 1/1,000 dilution. The nuclear counter stain is DAPI (blue).
quantity: 100μl
price: 649.00 USD
to the supplier