Sign in
Sign up
home
>
HUABIO
> HUABIO STAT1 antibody
STAT1 alpha/beta
HUABIO
catalog: ER31221
domestic rabbit polyclonal
reactivity:
human
,
mouse
,
rat
application:
western blot
,
immunohistochemistry - paraffin section
Western blot analysis of STAT1 alpha/beta on different lysates with Rabbit anti-STAT1 alpha/beta antibody (ER31221) at 1/20,000 dilution. Lane 1: Jurkat cell lysate Lane 2: A431 cell lysate Lane 3: SK-Br-3 cell lysate Lane 4: RAW264.7 cell lysate Lane 5: L6 cell lysate Lane 6: PC-12 cell lysate Lysates/proteins at 15 µg/Lane. Predicted band size: 87/83 kDa Observed band size: 87/83 kDa Exposure time: 25 seconds; ECL: K1801; 4-20% SDS-PAGE gel. Proteins were transferred to a PVDF membrane and blocked with 5% NFDM/TBST for 1 hour at room temperature. The primary antibody (ER31221) at 1/20,000 dilution was used in primary antibody dilution (K1803) at 4℃ overnight. Goat Anti-Rabbit IgG - HRP Secondary Antibody (HA1001) at 1/50,000 dilution was used for 1 hour at room temperature.
ICC staining Stat-1α/β in HepG2 cells (green). Cells were fixed in paraformaldehyde, permeabilised with 0.25% Triton X100/PBS.
ICC staining Stat-1α/β in MCF-7 cells (green). Cells were fixed in paraformaldehyde, permeabilised with 0.25% Triton X100/PBS.
quantity: 100μl
price: 330 USD
to the supplier
STAT1 alpha
HUABIO
catalog: ET1606-39
domestic rabbit monoclonal (SJ01-89)
reactivity:
human
,
mouse
application:
western blot
,
immunoprecipitation
,
flow cytometry
,
immunohistochemistry - paraffin section
Western blot analysis of STAT1 alpha on different lysates with Rabbit anti-STAT1 alpha antibody (ET1606-39) at 1/1,000 dilution. Lane 1: Jurkat cell lysate Lane 2: A431 cell lysate Lane 3: HeLa cell lysate Lane 4: A549 cell lysate Lane 5: SK-Br-3 cell lysate Lane 6: SK-MEL-28 cell lysate Lane 7: HT-29 cell lysate Lane 8: RAW264.7 cell lysate Lane 9: C2C12 cell lysate Lysates/proteins at 15 µg/Lane. Predicted band size: 87 kDa Observed band size: 87 kDa Exposure time: 14 seconds; ECL: K1801; 4-20% SDS-PAGE gel. Proteins were transferred to a PVDF membrane and blocked with 5% NFDM/TBST for 1 hour at room temperature. The primary antibody (ET1606-39) at 1/1,000 dilution was used in 5% NFDM/TBST at 4℃ overnight. Goat Anti-Rabbit IgG - HRP Secondary Antibody (HA1001) at 1/50,000 dilution was used for 1 hour at room temperature.
Western blot analysis of STAT1 alpha on different lysates with Rabbit anti-STAT1 alpha antibody (ET1606-39) at 1/5,000 dilution. Lane 1: HAP1-parental cell lysate, 10 µg/Lane Lane 2: HAP1-STAT1 alpha KD cell lysate, 10 µg/Lane Predicted band size: 87 kDa Observed band size: 87 kDa Exposure time: 60 seconds; ECL: K1801; 4-20% SDS-PAGE gel. Proteins were transferred to a PVDF membrane and blocked with 5% NFDM/TBST for 1 hour at room temperature. The primary antibody (ET1606-39) at 1/5,000 dilution was used in K1803 at 4℃ overnight. Goat Anti-Rabbit IgG - HRP Secondary Antibody (HA1001) at 1/50,000 dilution was used for 1 hour at room temperature.
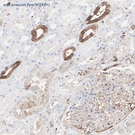
Immunohistochemical analysis of paraffin-embedded human kidney tissue with Rabbit anti-STAT1 alpha antibody (ET1606-39) at 1/5,000 dilution. The section was pre-treated using heat mediated antigen retrieval with sodium citrate buffer (pH 6.0) (high pressure) for 2 minutes. The tissues were blocked in 1% BSA for 20 minutes at room temperature, washed with ddH2O and PBS, and then probed with the primary antibody (ET1606-39) at 1/5,000 dilution for 1 hour at room temperature. The detection was performed using an HRP conjugated compact polymer system. DAB was used as the chromogen. Tissues were counterstained with hematoxylin and mounted with DPX.
quantity: 100μl
price: 385.00 USD
to the supplier
Phospho-STAT1 (S727)
HUABIO
catalog: ET1611-20
domestic rabbit monoclonal (SN67-04)
reactivity:
human
,
mouse
,
rat
application:
western blot
,
flow cytometry
,
immunohistochemistry - paraffin section
Western blot analysis of Phospho-STAT1 (S727) on different lysates with Rabbit anti-Phospho-STAT1 (S727) antibody (ET1611-20) at 1/5,000 dilution. Lane 1: HeLa cell lysate (15 µg/Lane) Lane 2: Mouse brain tissue lysate (20 µg/Lane) Lane 3: Rat brain tissue lysate (20 µg/Lane) Lane 4: Mouse brain treated with λpp for 1 hour tissue lysate (20 µg/Lane) Predicted band size: 87 kDa Observed band size: 87 kDa Exposure time: 3 minutes 10 seconds; 4-20% SDS-PAGE gel. Proteins were transferred to a PVDF membrane and blocked with 5% NFDM/TBST for 1 hour at room temperature. The primary antibody (ET1611-20) at 1/5,000 dilution was used in 5% NFDM/TBST at 4℃ overnight. Goat Anti-Rabbit IgG - HRP Secondary Antibody (HA1001) at 1/50,000 dilution was used for 1 hour at room temperature.
Immunocytochemistry analysis of HeLa cells treated with or without λpp labeling Phospho-STAT1 (S727) with Rabbit anti-Phospho-STAT1 (S727) antibody (ET1611-20) at 1/2,000 dilution. Cells were fixed in 4% paraformaldehyde for 20 minutes at room temperature, permeabilized with 0.1% Triton X-100 in PBS for 5 minutes at room temperature, then blocked with 1% BSA in 10% negative goat serum for 1 hour at room temperature. Cells were then incubated with Rabbit anti-Phospho-STAT1 (S727) antibody (ET1611-20) at 1/2,000 dilution in 1% BSA in PBST overnight at 4 ℃. Goat Anti-Rabbit IgG H&L (iFluor™ 488, HA1121) was used as the secondary antibody at 1/1,000 dilution. PBS instead of the primary antibody was used as the secondary antibody only control. Nuclear DNA was labelled in blue with DAPI. Beta tubulin (M1305-2, red) was stained at 1/100 dilution overnight at +4℃. Goat Anti-Mouse IgG H&L (iFluor™ 594, HA1126) was used as the secondary antibody at 1/1,000 dilution.
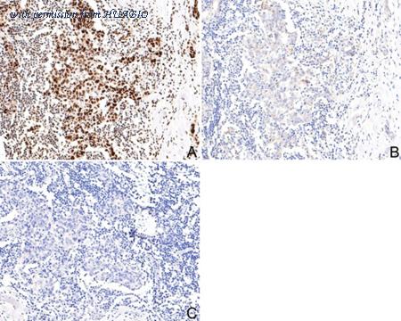
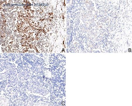
Immunohistochemical analysis of paraffin-embedded human breast invasive ductal tumor tissue with Rabbit anti-Phospho-STAT1 (S727) antibody (ET1611-20) at 1/200 dilution. A: Untreated human breast invasive ductal tumor tissue B: λ-PPase treated human breast invasive ductal tumor tissue C: Negative control The section was pre-treated using heat mediated antigen retrieval with Tris-EDTA buffer (pH 9.0) for 20 minutes. The tissues were blocked in 1% BSA for 20 minutes at room temperature, washed with ddH2O and PBS, and then probed with the primary antibody (ET1611-20) at 1/200 dilution for 1 hour at room temperature. The detection was performed using an HRP conjugated compact polymer system. DAB was used as the chromogen. Tissues were counterstained with hematoxylin and mounted with DPX.
quantity: 100μl
price: 385.00 USD
to the supplier
STAT1
HUABIO
catalog: ET1612-22
domestic rabbit monoclonal (SD20-75)
reactivity:
human
,
mouse
,
rat
application:
western blot
,
immunoprecipitation
,
flow cytometry
,
immunohistochemistry - paraffin section
Western blot analysis of STAT1 on different lysates with Rabbit anti-STAT1 antibody (ET1612-22) at 1/1,000 dilution. Lane 1: Jurkat cell lysate (15 µg/Lane) Lane 2: A431 cell lysate (15 µg/Lane) Lane 3: HeLa cell lysate (15 µg/Lane) Lane 4: A549 cell lysate (15 µg/Lane) Lane 5: SK-Br-3 cell lysate (15 µg/Lane) Lane 6: SK-MEL-28 cell lysate (15 µg/Lane) Lane 7: MCF7 cell lysate (15 µg/Lane) Lane 8: HT-29 cell lysate (15 µg/Lane) Lane 9: NIH/3T3 cell lysate (15 µg/Lane) Lane 10: RAW264.7 cell lysate (15 µg/Lane) Lane 11: C2C12 cell lysate (15 µg/Lane) Lane 12: L6 cell lysate (15 µg/Lane) Predicted band size: 87/83 kDa Observed band size: 87/83 kDa Exposure time: 10 seconds; ECL: K1801; 4-20% SDS-PAGE gel. Proteins were transferred to a PVDF membrane and blocked with 5% NFDM/TBST for 1 hour at room temperature. The primary antibody (ET1612-22) at 1/1,000 dilution was used in 5% NFDM/TBST at 4℃ overnight. Goat Anti-Rabbit IgG - HRP Secondary Antibody (HA1001) at 1/50,000 dilution was used for 1 hour at room temperature.
Western blot analysis of STAT1 on different lysates with Mouse anti-STAT1 antibody (ET1612-22) at 1/5,000 dilution. Lane 1: PATU8988-parental cell lysate (10 µg/Lane) Lane 2: PATU8988-STAT1 KD cell lysate (10 µg/Lane) Predicted band size: 87/83 kDa Observed band size: 83 kDa Exposure time: 15 seconds; ECL: K1801; 4-20% SDS-PAGE gel. Proteins were transferred to a PVDF membrane and blocked with 5% NFDM/TBST for 1 hour at room temperature. The primary antibody (ET1612-22)) at 1/5,000 dilution was used in primary antibody dilution (K1803) at 4℃ overnight. Goat Anti-Rabbit IgG - HRP Secondary Antibody (HA1001) at 1/50,000 dilution was used for 1 hour at room temperature.
ICC staining of STAT1 in SKOV-3 cells (green). Formalin fixed cells were permeabilized with 0.1% Triton X-100 in TBS for 10 minutes at room temperature and blocked with 10% negative goat serum for 15 minutes at room temperature. Cells were probed with the primary antibody (ET1612-22, 1/50) for 1 hour at room temperature, washed with PBS. Alexa Fluor®488 conjugate-Goat anti-Rabbit IgG was used as the secondary antibody at 1/1,000 dilution. The nuclear counter stain is DAPI (blue).
quantity: 100μl
price: 385.00 USD
to the supplier
STAT1
HUABIO
catalog: HA601309
mouse monoclonal (G3-B11-R)
reactivity:
human
application:
western blot
,
immunohistochemistry - paraffin section
Western blot analysis of STAT1 on different lysates with Mouse anti-STAT1 antibody (HA601309) at 1/1,000 dilution. Lane 1: Jurkat cell lysate Lane 2: A431 cell lysate Lane 3: HeLa cell lysate Lane 4: A549 cell lysate Lane 5: SK-Br-3 cell lysate Lane 6: SK-MEL-28 cell lysate Lane 7: MCF7 cell lysate Lane 8: HT-29 cell lysate Lysates/proteins at 15 µg/Lane. Predicted band size: 87/83 kDa Observed band size: 87/83 kDa Exposure time: 30 seconds; ECL: K1802; 4-20% SDS-PAGE gel. Proteins were transferred to a PVDF membrane and blocked with 5% NFDM/TBST for 1 hour at room temperature. The primary antibody (HA601309) at 1/1,000 dilution was used in 5% NFDM/TBST at 4℃ overnight. Goat Anti-Mouse IgG - HRP Secondary Antibody (HA1006) at 1/50,000 dilution was used for 1 hour at room temperature.
Western blot analysis of STAT1 on different lysates with Mouse anti-APE1 antibody (HA601309) at 1/1,000 dilution. Lane 1: PATU8988-parental cell lysate Lane 2: PATU8988-STAT1 KD cell lysate Lysates/proteins at 10 µg/Lane. Predicted band size: 87/83 kDa Observed band size: 83 kDa Exposure time: 15 seconds; ECL: K1801; 4-20% SDS-PAGE gel. Proteins were transferred to a PVDF membrane and blocked with 5% NFDM/TBST for 1 hour at room temperature. The primary antibody (HA601309)) at 1/1,000 dilution was used in primary antibody dilution (K1803) at 4℃ overnight. Goat Anti-Rabbit IgG - HRP Secondary Antibody (HA1001) at 1/50,000 dilution was used for 1 hour at room temperature.
Immunohistochemical analysis of paraffin-embedded human breast cancer tissue with Mouse anti-STAT1 antibody (HA601309) at 1/1,000 dilution. The section was pre-treated using heat mediated antigen retrieval with sodium citrate buffer (pH 6.0) (high pressure) for 2 minutes. The tissues were blocked in 1% BSA for 20 minutes at room temperature, washed with ddH2O and PBS, and then probed with the primary antibody (HA601309) at 1/1,000 dilution for 1 hour at room temperature. The detection was performed using an HRP conjugated compact polymer system. DAB was used as the chromogen. Tissues were counterstained with hematoxylin and mounted with DPX.
quantity: 100μl
price: 360.00 USD
to the supplier
STAT1
HUABIO
catalog: HA610181
mouse monoclonal (G3-B11-R)
reactivity:
human
application:
western blot
,
immunohistochemistry - paraffin section
Western blot analysis of STAT1 on different lysates with Mouse anti-STAT1 antibody (HA610181) at 1/1,000 dilution. Lane 1: Jurkat cell lysate Lane 2: A431 cell lysate Lane 3: HeLa cell lysate Lane 4: A549 cell lysate Lane 5: SK-Br-3 cell lysate Lane 6: SK-MEL-28 cell lysate Lane 7: MCF7 cell lysate Lane 8: HT-29 cell lysate Lysates/proteins at 15 µg/Lane. Predicted band size: 87/83 kDa Observed band size: 87/83 kDa Exposure time: 30 seconds; ECL: K1802; 4-20% SDS-PAGE gel. Proteins were transferred to a PVDF membrane and blocked with 5% NFDM/TBST for 1 hour at room temperature. The primary antibody (HA610181) at 1/1,000 dilution was used in 5% NFDM/TBST at 4℃ overnight. Goat Anti-Mouse IgG - HRP Secondary Antibody (HA1006) at 1/50,000 dilution was used for 1 hour at room temperature.
Western blot analysis of STAT1 on different lysates with Mouse anti-APE1 antibody (HA610181) at 1/1,000 dilution. Lane 1: PATU8988-parental cell lysate Lane 2: PATU8988-STAT1 KD cell lysate Lysates/proteins at 10 µg/Lane. Predicted band size: 87/83 kDa Observed band size: 83 kDa Exposure time: 15 seconds; ECL: K1801; 4-20% SDS-PAGE gel. Proteins were transferred to a PVDF membrane and blocked with 5% NFDM/TBST for 1 hour at room temperature. The primary antibody (HA610181)) at 1/1,000 dilution was used in primary antibody dilution (K1803) at 4℃ overnight. Goat Anti-Rabbit IgG - HRP Secondary Antibody (HA1001) at 1/50,000 dilution was used for 1 hour at room temperature.
Immunohistochemical analysis of paraffin-embedded human breast cancer tissue with Mouse anti-STAT1 antibody (HA610181) at 1/1,000 dilution. The section was pre-treated using heat mediated antigen retrieval with sodium citrate buffer (pH 6.0) (high pressure) for 2 minutes. The tissues were blocked in 1% BSA for 20 minutes at room temperature, washed with ddH2O and PBS, and then probed with the primary antibody (HA610181) at 1/1,000 dilution for 1 hour at room temperature. The detection was performed using an HRP conjugated compact polymer system. DAB was used as the chromogen. Tissues were counterstained with hematoxylin and mounted with DPX.
quantity: 100μg
price: 649.00 USD
to the supplier
Phospho-STAT1 (Y701)
HUABIO
catalog: HA722083
domestic rabbit monoclonal (PSH04-02)
reactivity:
human
application:
western blot
Western blot analysis of Phospho-STAT1 (Y701) on different lysates with Rabbit anti-Phospho-STAT1 (Y701) antibody (HA722083) at 1/1,000 dilution. Lane 1: HeLa cell lysate Lane 2: HeLa treated with 100ng/mL IFNγ for 30 minutes cell lysate Lane 3: HeLa cell lysate Lane 4: HeLa treated with 50ng/mL IFNα1 for 30 minutes cell lysate Lane 5: A431 cell lysate Lane 6: A431 treated with 100ng/mL EGF for 30 minutes cell lysate Lysates/proteins at 20 µg/Lane. Predicted band size: 87 kDa Observed band size: 91/84 kDa (STAT1α/β) Exposure time: 3 minutes; 4-20% SDS-PAGE gel. Proteins were transferred to a PVDF membrane and blocked with 5% NFDM/TBST for 1 hour at room temperature. The primary antibody (HA722083) at 1/1,000 dilution was used in 5% NFDM/TBST at 4℃ overnight. Goat Anti-Rabbit IgG - HRP Secondary Antibody (HA1001) at 1/50,000 dilution was used for 1 hour at room temperature.
Immunocytochemistry analysis of HeLa cells treated with 100ng/mL IFNα1 for 5 minutes labeling Phospho-STAT1 (Y701) with Rabbit anti-Phospho-STAT1 (Y701) antibody (HA722083) at 1/100 dilution. Cells were fixed in 4% paraformaldehyde for 20 minutes at room temperature, permeabilized with 0.1% Triton X-100 in PBS for 5 minutes at room temperature, then blocked with 1% BSA in 10% negative goat serum for 1 hour at room temperature. Cells were then incubated with Rabbit anti-Phospho-STAT1 (Y701) antibody (HA722083) at 1/100 dilution in 1% BSA in PBST overnight at 4 ℃. Goat Anti-Rabbit IgG H&L (iFluor™ 488, HA1121) was used as the secondary antibody at 1/1,000 dilution. PBS instead of the primary antibody was used as the secondary antibody only control. Nuclear DNA was labelled in blue with DAPI. Beta tubulin (M1305-2, red) was stained at 1/100 dilution overnight at +4℃. Goat Anti-Mouse IgG H&L (iFluor™ 594, HA1126) was used as the secondary antibody at 1/1,000 dilution.
quantity: 100μl
price: 385.00 USD
to the supplier
STAT1 alpha
HUABIO
catalog: HA750102
domestic rabbit monoclonal (SJ01-89)
reactivity:
human
,
mouse
application:
western blot
,
immunoprecipitation
,
flow cytometry
,
immunohistochemistry - paraffin section
Western blot analysis of STAT1 alpha on different lysates with Rabbit anti-STAT1 alpha antibody (HA750102) at 1/1,000 dilution. Lane 1: Jurkat cell lysate Lane 2: A431 cell lysate Lane 3: HeLa cell lysate Lane 4: A549 cell lysate Lane 5: SK-Br-3 cell lysate Lane 6: SK-MEL-28 cell lysate Lane 7: HT-29 cell lysate Lane 8: RAW264.7 cell lysate Lane 9: C2C12 cell lysate Lysates/proteins at 15 µg/Lane. Predicted band size: 87 kDa Observed band size: 87 kDa Exposure time: 14 seconds; ECL: K1801; 4-20% SDS-PAGE gel. Proteins were transferred to a PVDF membrane and blocked with 5% NFDM/TBST for 1 hour at room temperature. The primary antibody (HA750102) at 1/1,000 dilution was used in 5% NFDM/TBST at 4℃ overnight. Goat Anti-Rabbit IgG - HRP Secondary Antibody (HA1001) at 1/50,000 dilution was used for 1 hour at room temperature.
Western blot analysis of STAT1 alpha on different lysates with Rabbit anti-STAT1 alpha antibody (HA750102) at 1/5,000 dilution. Lane 1: HAP1-parental cell lysate, 10 µg/Lane Lane 2: HAP1-STAT1 alpha KD cell lysate, 10 µg/Lane Predicted band size: 87 kDa Observed band size: 87 kDa Exposure time: 60 seconds; ECL: K1801; 4-20% SDS-PAGE gel. Proteins were transferred to a PVDF membrane and blocked with 5% NFDM/TBST for 1 hour at room temperature. The primary antibody (HA750102) at 1/5,000 dilution was used in K1803 at 4℃ overnight. Goat Anti-Rabbit IgG - HRP Secondary Antibody (HA1001) at 1/50,000 dilution was used for 1 hour at room temperature.
Immunohistochemical analysis of paraffin-embedded human kidney tissue with Rabbit anti-STAT1 alpha antibody (HA750102) at 1/5,000 dilution. The section was pre-treated using heat mediated antigen retrieval with sodium citrate buffer (pH 6.0) (high pressure) for 2 minutes. The tissues were blocked in 1% BSA for 20 minutes at room temperature, washed with ddH2O and PBS, and then probed with the primary antibody (HA750102) at 1/5,000 dilution for 1 hour at room temperature. The detection was performed using an HRP conjugated compact polymer system. DAB was used as the chromogen. Tissues were counterstained with hematoxylin and mounted with DPX.
quantity: 100μl
price: 649.00 USD
to the supplier
Phospho-STAT1 (S727)
HUABIO
catalog: HA750247
domestic rabbit monoclonal (SN67-04)
reactivity:
human
,
mouse
,
rat
application:
western blot
,
flow cytometry
,
immunohistochemistry - paraffin section
Western blot analysis of Phospho-STAT1 (S727) on different lysates with Rabbit anti-Phospho-STAT1 (S727) antibody (HA750247) at 1/5,000 dilution. Lane 1: HeLa cell lysate (15 µg/Lane) Lane 2: Mouse brain tissue lysate (20 µg/Lane) Lane 3: Rat brain tissue lysate (20 µg/Lane) Lane 4: Mouse brain treated with λpp for 1 hour tissue lysate (20 µg/Lane) Predicted band size: 87 kDa Observed band size: 87 kDa Exposure time: 3 minutes 10 seconds; 4-20% SDS-PAGE gel. Proteins were transferred to a PVDF membrane and blocked with 5% NFDM/TBST for 1 hour at room temperature. The primary antibody (HA750247) at 1/5,000 dilution was used in 5% NFDM/TBST at 4℃ overnight. Goat Anti-Rabbit IgG - HRP Secondary Antibody (HA1001) at 1/50,000 dilution was used for 1 hour at room temperature.
Immunocytochemistry analysis of HeLa cells treated with or without λpp labeling Phospho-STAT1 (S727) with Rabbit anti-Phospho-STAT1 (S727) antibody (HA750247) at 1/2,000 dilution. Cells were fixed in 4% paraformaldehyde for 20 minutes at room temperature, permeabilized with 0.1% Triton X-100 in PBS for 5 minutes at room temperature, then blocked with 1% BSA in 10% negative goat serum for 1 hour at room temperature. Cells were then incubated with Rabbit anti-Phospho-STAT1 (S727) antibody (HA750247) at 1/2,000 dilution in 1% BSA in PBST overnight at 4 ℃. Goat Anti-Rabbit IgG H&L (iFluor™ 488, HA1121) was used as the secondary antibody at 1/1,000 dilution. PBS instead of the primary antibody was used as the secondary antibody only control. Nuclear DNA was labelled in blue with DAPI. Beta tubulin (M1305-2, red) was stained at 1/100 dilution overnight at +4℃. Goat Anti-Mouse IgG H&L (iFluor™ 594, HA1126) was used as the secondary antibody at 1/1,000 dilution.
Immunohistochemical analysis of paraffin-embedded human breast invasive ductal tumor tissue with Rabbit anti-Phospho-STAT1 (S727) antibody (HA750247) at 1/200 dilution. A: Untreated human breast invasive ductal tumor tissue B: λ-PPase treated human breast invasive ductal tumor tissue C: Negative control The section was pre-treated using heat mediated antigen retrieval with Tris-EDTA buffer (pH 9.0) for 20 minutes. The tissues were blocked in 1% BSA for 20 minutes at room temperature, washed with ddH2O and PBS, and then probed with the primary antibody (HA750247) at 1/200 dilution for 1 hour at room temperature. The detection was performed using an HRP conjugated compact polymer system. DAB was used as the chromogen. Tissues were counterstained with hematoxylin and mounted with DPX.
quantity: 100μl
price: 649.00 USD
to the supplier
Phospho-STAT1 (Y701)
HUABIO
catalog: HA750925
domestic rabbit monoclonal (PSH04-02)
reactivity:
human
application:
western blot
Western blot analysis of Phospho-STAT1 (Y701) on different lysates with Rabbit anti-Phospho-STAT1 (Y701) antibody (HA750925) at 1/1,000 dilution. Lane 1: HeLa cell lysate Lane 2: HeLa treated with 100ng/mL IFNγ for 30 minutes cell lysate Lane 3: HeLa cell lysate Lane 4: HeLa treated with 50ng/mL IFNα1 for 30 minutes cell lysate Lane 5: A431 cell lysate Lane 6: A431 treated with 100ng/mL EGF for 30 minutes cell lysate Lysates/proteins at 20 µg/Lane. Predicted band size: 87 kDa Observed band size: 91/84 kDa (STAT1α/β) Exposure time: 3 minutes; 4-20% SDS-PAGE gel. Proteins were transferred to a PVDF membrane and blocked with 5% NFDM/TBST for 1 hour at room temperature. The primary antibody (HA750925) at 1/1,000 dilution was used in 5% NFDM/TBST at 4℃ overnight. Goat Anti-Rabbit IgG - HRP Secondary Antibody (HA1001) at 1/50,000 dilution was used for 1 hour at room temperature.
Immunocytochemistry analysis of HeLa cells treated with 100ng/mL IFNα1 for 5 minutes labeling Phospho-STAT1 (Y701) with Rabbit anti-Phospho-STAT1 (Y701) antibody (HA750925) at 1/100 dilution. Cells were fixed in 4% paraformaldehyde for 20 minutes at room temperature, permeabilized with 0.1% Triton X-100 in PBS for 5 minutes at room temperature, then blocked with 1% BSA in 10% negative goat serum for 1 hour at room temperature. Cells were then incubated with Rabbit anti-Phospho-STAT1 (Y701) antibody (HA750925) at 1/100 dilution in 1% BSA in PBST overnight at 4 ℃. Goat Anti-Rabbit IgG H&L (iFluor™ 488, HA1121) was used as the secondary antibody at 1/1,000 dilution. PBS instead of the primary antibody was used as the secondary antibody only control. Nuclear DNA was labelled in blue with DAPI. Beta tubulin (M1305-2, red) was stained at 1/100 dilution overnight at +4℃. Goat Anti-Mouse IgG H&L (iFluor™ 594, HA1126) was used as the secondary antibody at 1/1,000 dilution.
quantity: 100μl
price: 649.00 USD
to the supplier
STAT1
HUABIO
catalog: M1407-1
mouse monoclonal (G3-B11)
reactivity:
human
application:
western blot
,
immunohistochemistry - paraffin section
Western blot analysis of STAT1 on different lysates with Mouse anti-STAT1 antibody (M1407-1) at 1/1,000 dilution. Lane 1: Jurkat cell lysate Lane 2: A431 cell lysate Lane 3: HeLa cell lysate Lane 4: A549 cell lysate Lane 5: SK-Br-3 cell lysate Lane 6: SK-MEL-28 cell lysate Lane 7: MCF7 cell lysate Lane 8: HT-29 cell lysate Lysates/proteins at 15 µg/Lane. Predicted band size: 87/83 kDa Observed band size: 87/83 kDa Exposure time: 1 minute 2 seconds; ECL: K1801; 4-20% SDS-PAGE gel. Proteins were transferred to a PVDF membrane and blocked with 5% NFDM/TBST for 1 hour at room temperature. The primary antibody (M1407-1) at 1/1,000 dilution was used in 5% NFDM/TBST at 4℃ overnight. Goat Anti-Mouse IgG - HRP Secondary Antibody (HA1006) at 1/50,000 dilution was used for 1 hour at room temperature.
Immunocytochemistry analysis of HT-29 cells labeling STAT1 with Mouse anti-STAT1 antibody (M1407-1) at 1/100 dilution. Cells were fixed in 4% paraformaldehyde for 20 minutes at room temperature, permeabilized with 0.1% Triton X-100 in PBS for 5 minutes at room temperature, then blocked with 1% BSA in 10% negative goat serum for 1 hour at room temperature. Cells were then incubated with Mouse anti-STAT1 antibody (M1407-1) at 1/100 dilution in 1% BSA in PBST overnight at 4 ℃. Goat Anti-Mouse IgG H&L (iFluor™ 488, HA1125) was used as the secondary antibody at 1/1,000 dilution. PBS instead of the primary antibody was used as the secondary antibody only control. Nuclear DNA was labelled in blue with DAPI. beta Tubulin (ET1602-4, red) was stained at 1/100 dilution overnight at +4℃. Goat Anti-Rabbit IgG H&L (iFluor™ 594, HA1122) were used as the secondary antibody at 1/1,000 dilution.
Immunohistochemical analysis of paraffin-embedded human breast cancer tissue with Mouse anti-STAT1 antibody (M1407-1) at 1/1,000 dilution. The section was pre-treated using heat mediated antigen retrieval with sodium citrate buffer (pH 6.0) (high pressure) for 2 minutes. The tissues were blocked in 1% BSA for 20 minutes at room temperature, washed with ddH2O and PBS, and then probed with the primary antibody (M1407-1) at 1/1,000 dilution for 1 hour at room temperature. The detection was performed using an HRP conjugated compact polymer system. DAB was used as the chromogen. Tissues were counterstained with hematoxylin and mounted with DPX.
quantity: 100μl
price: 360.00 USD
to the supplier
STAT1
HUABIO
catalog: R1408-2
domestic rabbit polyclonal
reactivity:
human
,
mouse
,
rat
,
zebrafish
application:
western blot
Western blot analysis on cell lysates using anti- STAT1 rabbit polyclonal antibodies.
ICC staining STAT1 in Hela cells (green). Cells were fixed in paraformaldehyde, permeabilised with 0.25% Triton X100/PBS.
quantity: 100μl
price: 330 USD
to the supplier