Sign in
Sign up
home
>
HUABIO
> HUABIO Tmed9 antibody
TMED9
HUABIO
catalog: HA601086
mouse monoclonal (A9A7)
reactivity:
human
,
mouse
,
rat
application:
western blot
,
immunohistochemistry - paraffin section
Western blot analysis of TMED9 on different lysates with Mouse anti-TMED9 antibody (HA601086) at 1/5,000 dilution. Lane 1: Hela cell lysate (10 µg/Lane) Lane 2: THP-1 cell lysate (10 µg/Lane) Lane 3: A549 cell lysate (10 µg/Lane) Lane 4: MCF-7 cell lysate (10 µg/Lane) Lane 5: PC-12 cell lysate (10 µg/Lane) Lane 6: NIH/3T3 cell lysate (10 µg/Lane) Lane 7: Mouse liver tissue lysate (20 µg/Lane) Lane 8: Mouse lung tissue lysate (20 µg/Lane) Predicted band size: 27 kDa Observed band size: 27 kDa Exposure time: 1 minute; 12% SDS-PAGE gel. Proteins were transferred to a PVDF membrane and blocked with 5% NFDM/TBST for 1 hour at room temperature. The primary antibody (HA601086) at 1/5,000 dilution was used in 5% NFDM/TBST at room temperature for 2 hours. Goat Anti-Mouse IgG - HRP Secondary Antibody (HA1006) at 1:150,000 dilution was used for 1 hour at room temperature.
Western blot analysis of TMED9 on different lysates with Mouse anti-TMED9 antibody (HA601086) at 1/10,000 dilution. Lane 1: HepG2 cell lysate (10 µg/Lane) Lane 2: LO2 cell lysate (10 µg/Lane) Lane 3: Human liver tissue lysate (20 µg/Lane) Lane 4: Rat liver tissue lysate (20 µg/Lane) Predicted band size: 27 kDa Observed band size: 27 kDa Exposure time: 1 minute; 12% SDS-PAGE gel. Proteins were transferred to a PVDF membrane and blocked with 5% NFDM/TBST for 1 hour at room temperature. The primary antibody (HA601086) at 1/10,000 dilution was used in 5% NFDM/TBST at room temperature for 2 hours. Goat Anti-Mouse IgG - HRP Secondary Antibody (HA1006) at 1:150,000 dilution was used for 1 hour at room temperature.
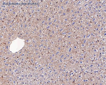
Immunohistochemical analysis of paraffin-embedded mouse liver tissue with Mouse anti-TMED9 antibody (HA601086) at 1/1,000 dilution. The section was pre-treated using heat mediated antigen retrieval with Tris-EDTA buffer (pH 9.0) for 20 minutes. The tissues were blocked in 1% BSA for 20 minutes at room temperature, washed with ddH2O and PBS, and then probed with the primary antibody (HA601086) at 1/1,000 dilution for 1 hour at room temperature. The detection was performed using an HRP conjugated compact polymer system. DAB was used as the chromogen. Tissues were counterstained with hematoxylin and mounted with DPX.
quantity: 100μl
price: 360.00 USD
to the supplier
TMED9
HUABIO
catalog: HA601087
mouse monoclonal (A9A8)
reactivity:
human
,
mouse
,
rat
application:
western blot
,
immunohistochemistry - paraffin section
Western blot analysis of TMED9 on different lysates with Mouse anti-TMED9 antibody (HA601087) at 1/1,000 dilution. Lane 1: HeLa cell lysate (20 µg/Lane) Lane 2: THP-1 cell lysate (20 µg/Lane) Lane 3: A549 cell lysate (20 µg/Lane) Lane 4: MCF7 cell lysate (20 µg/Lane) Lane 5: HepG2 cell lysate (20 µg/Lane) Lane 6: PC-12 cell lysate (20 µg/Lane) Lane 7: NIH/3T3 cell lysate (20 µg/Lane) Lane 8: Mouse liver tissue lysate (40 µg/Lane) Lane 9: Rat liver tissue lysate (40 µg/Lane) Predicted band size: 27 kDa Observed band size: 24 kDa Exposure time: 43 seconds; 4-20% SDS-PAGE gel. Proteins were transferred to a PVDF membrane and blocked with 5% NFDM/TBST for 1 hour at room temperature. The primary antibody (HA601087) at 1/1,000 dilution was used in 5% NFDM/TBST at 4℃ overnight. Anti-Mouse IgG for IP Nano-secondary antibody (NBI02H) at 1/5,000 dilution was used for 1 hour at room temperature.
Immunocytochemistry analysis of HepG2 cells labeling TMED9 with Mouse anti-TMED9 antibody (HA601087) at 1/100 dilution. Cells were fixed in 100% precooled methanol for 5 minutes at room temperature, then blocked with 1% BSA in 10% negative goat serum for 1 hour at room temperature. Cells were then incubated with Mouse anti-TMED9 antibody (HA601087) at 1/100 dilution in 1% BSA in PBST overnight at 4 ℃. Goat Anti-Mouse IgG H&L (iFluor™ 488, HA1125) was used as the secondary antibody at 1/1,000 dilution. PBS instead of the primary antibody was used as the secondary antibody only control. Nuclear DNA was labelled in blue with DAPI.
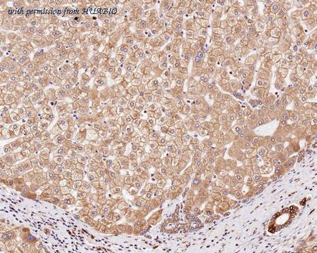
Immunohistochemical analysis of paraffin-embedded human liver tissue with Mouse anti-TMED9 antibody (HA601087) at 1/2,000 dilution. The section was pre-treated using heat mediated antigen retrieval with Tris-EDTA buffer (pH 9.0) for 20 minutes. The tissues were blocked in 1% BSA for 20 minutes at room temperature, washed with ddH2O and PBS, and then probed with the primary antibody (HA601087) at 1/2,000 dilution for 1 hour at room temperature. The detection was performed using an HRP conjugated compact polymer system. DAB was used as the chromogen. Tissues were counterstained with hematoxylin and mounted with DPX.
quantity: 100μl
price: 360.00 USD
to the supplier
TMED9
HUABIO
catalog: HA601129
mouse monoclonal (A9A7-R)
reactivity:
human
,
mouse
,
rat
application:
western blot
,
immunohistochemistry - paraffin section
Western blot analysis of TMED9 on different lysates with Mouse anti-TMED9 antibody (HA601129) at 1/1,000 dilution. Lane 1: Hela cell lysate Lane 2: HepG2 cell lysate Lane 3: LO2 cell lysate Lane 4: THP-1 cell lysate Lane 5: A431 cell lysate Lane 6: A549 cell lysate Lane 7: MCF-7 cell lysate Lane 8: Raji cell lysate Lane 9: PC-12 cell lysate Lane 10: NIH/3T3 cell lysate Lane 11: Human lung tissue lysate Lane 12: Mouse lung tissue lysate Lane 13: Mouse liver tissue lysate Lysates/proteins at 30 µg/Lane. Predicted band size: 27 kDa Observed band size: 27 kDa Exposure time: 10 seconds; 12% SDS-PAGE gel. Proteins were transferred to a PVDF membrane and blocked with 5% NFDM/TBST for 1 hour at room temperature. The primary antibody (HA601129) at 1/1,000 dilution was used in 5% NFDM/TBST at room temperature for 2 hours. Goat Anti-Mouse IgG - HRP Secondary Antibody (HA1006) at 1:150,000 dilution was used for 1 hour at room temperature.
Immunohistochemical analysis of paraffin-embedded human liver tissue with Mouse anti-TMED9 antibody (HA601129) at 1/1,000 dilution. The section was pre-treated using heat mediated antigen retrieval with Tris-EDTA buffer (pH 9.0) for 20 minutes. The tissues were blocked in 1% BSA for 20 minutes at room temperature, washed with ddH2O and PBS, and then probed with the primary antibody (HA601129) at 1/1,000 dilution for 1 hour at room temperature. The detection was performed using an HRP conjugated compact polymer system. DAB was used as the chromogen. Tissues were counterstained with hematoxylin and mounted with DPX.
Immunohistochemical analysis of paraffin-embedded human lung tissue with Mouse anti-TMED9 antibody (HA601129) at 1/200 dilution. The section was pre-treated using heat mediated antigen retrieval with Tris-EDTA buffer (pH 9.0) for 20 minutes. The tissues were blocked in 1% BSA for 20 minutes at room temperature, washed with ddH2O and PBS, and then probed with the primary antibody (HA601129) at 1/200 dilution for 1 hour at room temperature. The detection was performed using an HRP conjugated compact polymer system. DAB was used as the chromogen. Tissues were counterstained with hematoxylin and mounted with DPX.
quantity: 100μl
price: 360.00 USD
to the supplier
TMED9
HUABIO
catalog: HA601268
mouse monoclonal (A9A8-R)
reactivity:
human
,
mouse
,
rat
application:
western blot
,
immunohistochemistry - paraffin section
Western blot analysis of TMED9 on different lysates with Mouse anti-TMED9 antibody (HA601268) at 1/1,000 dilution. Lane 1: HeLa cell lysate (20 µg/Lane) Lane 2: THP-1 cell lysate (20 µg/Lane) Lane 3: A549 cell lysate (20 µg/Lane) Lane 4: MCF7 cell lysate (20 µg/Lane) Lane 5: HepG2 cell lysate (20 µg/Lane) Lane 6: PC-12 cell lysate (20 µg/Lane) Lane 7: NIH/3T3 cell lysate (20 µg/Lane) Lane 8: Mouse liver tissue lysate (40 µg/Lane) Lane 9: Rat liver tissue lysate (40 µg/Lane) Predicted band size: 27 kDa Observed band size: 24 kDa Exposure time: 43 seconds; 4-20% SDS-PAGE gel. Proteins were transferred to a PVDF membrane and blocked with 5% NFDM/TBST for 1 hour at room temperature. The primary antibody (HA601268) at 1/1,000 dilution was used in 5% NFDM/TBST at 4℃ overnight. Anti-Mouse IgG for IP Nano-secondary antibody (NBI02H) at 1/5,000 dilution was used for 1 hour at room temperature.
Immunocytochemistry analysis of HepG2 cells labeling TMED9 with Mouse anti-TMED9 antibody (HA601268) at 1/100 dilution. Cells were fixed in 100% precooled methanol for 5 minutes at room temperature, then blocked with 1% BSA in 10% negative goat serum for 1 hour at room temperature. Cells were then incubated with Mouse anti-TMED9 antibody (HA601268) at 1/100 dilution in 1% BSA in PBST overnight at 4 ℃. Goat Anti-Mouse IgG H&L (iFluor™ 488, HA1125) was used as the secondary antibody at 1/1,000 dilution. PBS instead of the primary antibody was used as the secondary antibody only control. Nuclear DNA was labelled in blue with DAPI.
Immunohistochemical analysis of paraffin-embedded human liver tissue with Mouse anti-TMED9 antibody (HA601268) at 1/2,000 dilution. The section was pre-treated using heat mediated antigen retrieval with Tris-EDTA buffer (pH 9.0) for 20 minutes. The tissues were blocked in 1% BSA for 20 minutes at room temperature, washed with ddH2O and PBS, and then probed with the primary antibody (HA601268) at 1/2,000 dilution for 1 hour at room temperature. The detection was performed using an HRP conjugated compact polymer system. DAB was used as the chromogen. Tissues were counterstained with hematoxylin and mounted with DPX.
quantity: 100μl
price: 360.00 USD
to the supplier
TMED9
HUABIO
catalog: HA610040
mouse monoclonal (A9A7-R)
reactivity:
human
,
mouse
,
rat
application:
western blot
,
immunohistochemistry - paraffin section
Western blot analysis of TMED9 on different lysates with Mouse anti-TMED9 antibody (HA610040) at 1/1,000 dilution. Lane 1: Hela cell lysate Lane 2: HepG2 cell lysate Lane 3: LO2 cell lysate Lane 4: THP-1 cell lysate Lane 5: A431 cell lysate Lane 6: A549 cell lysate Lane 7: MCF-7 cell lysate Lane 8: Raji cell lysate Lane 9: PC-12 cell lysate Lane 10: NIH/3T3 cell lysate Lane 11: Human lung tissue lysate Lane 12: Mouse lung tissue lysate Lane 13: Mouse liver tissue lysate Lysates/proteins at 30 µg/Lane. Predicted band size: 27 kDa Observed band size: 27 kDa Exposure time: 10 seconds; 12% SDS-PAGE gel. Proteins were transferred to a PVDF membrane and blocked with 5% NFDM/TBST for 1 hour at room temperature. The primary antibody (HA610040) at 1/1,000 dilution was used in 5% NFDM/TBST at room temperature for 2 hours. Goat Anti-Mouse IgG - HRP Secondary Antibody (HA1006) at 1:150,000 dilution was used for 1 hour at room temperature.
Immunohistochemical analysis of paraffin-embedded human liver tissue with Mouse anti-TMED9 antibody (HA610040) at 1/1,000 dilution. The section was pre-treated using heat mediated antigen retrieval with Tris-EDTA buffer (pH 9.0) for 20 minutes. The tissues were blocked in 1% BSA for 20 minutes at room temperature, washed with ddH2O and PBS, and then probed with the primary antibody (HA610040) at 1/1,000 dilution for 1 hour at room temperature. The detection was performed using an HRP conjugated compact polymer system. DAB was used as the chromogen. Tissues were counterstained with hematoxylin and mounted with DPX.
Immunohistochemical analysis of paraffin-embedded human lung tissue with Mouse anti-TMED9 antibody (HA610040) at 1/200 dilution. The section was pre-treated using heat mediated antigen retrieval with Tris-EDTA buffer (pH 9.0) for 20 minutes. The tissues were blocked in 1% BSA for 20 minutes at room temperature, washed with ddH2O and PBS, and then probed with the primary antibody (HA610040) at 1/200 dilution for 1 hour at room temperature. The detection was performed using an HRP conjugated compact polymer system. DAB was used as the chromogen. Tissues were counterstained with hematoxylin and mounted with DPX.
quantity: 100μg
price: 649.00 USD
to the supplier
TMED9
HUABIO
catalog: HA610143
mouse monoclonal (A9A8-R)
reactivity:
human
,
mouse
,
rat
application:
western blot
,
immunohistochemistry - paraffin section
Western blot analysis of TMED9 on different lysates with Mouse anti-TMED9 antibody (HA610143) at 1/1,000 dilution. Lane 1: HeLa cell lysate (20 µg/Lane) Lane 2: THP-1 cell lysate (20 µg/Lane) Lane 3: A549 cell lysate (20 µg/Lane) Lane 4: MCF7 cell lysate (20 µg/Lane) Lane 5: HepG2 cell lysate (20 µg/Lane) Lane 6: PC-12 cell lysate (20 µg/Lane) Lane 7: NIH/3T3 cell lysate (20 µg/Lane) Lane 8: Mouse liver tissue lysate (40 µg/Lane) Lane 9: Rat liver tissue lysate (40 µg/Lane) Predicted band size: 27 kDa Observed band size: 24 kDa Exposure time: 43 seconds; 4-20% SDS-PAGE gel. Proteins were transferred to a PVDF membrane and blocked with 5% NFDM/TBST for 1 hour at room temperature. The primary antibody (HA610143) at 1/1,000 dilution was used in 5% NFDM/TBST at 4℃ overnight. Anti-Mouse IgG for IP Nano-secondary antibody (NBI02H) at 1/5,000 dilution was used for 1 hour at room temperature.
Immunocytochemistry analysis of HepG2 cells labeling TMED9 with Mouse anti-TMED9 antibody (HA610143) at 1/100 dilution. Cells were fixed in 100% precooled methanol for 5 minutes at room temperature, then blocked with 1% BSA in 10% negative goat serum for 1 hour at room temperature. Cells were then incubated with Mouse anti-TMED9 antibody (HA610143) at 1/100 dilution in 1% BSA in PBST overnight at 4 ℃. Goat Anti-Mouse IgG H&L (iFluor™ 488, HA1125) was used as the secondary antibody at 1/1,000 dilution. PBS instead of the primary antibody was used as the secondary antibody only control. Nuclear DNA was labelled in blue with DAPI.
Immunohistochemical analysis of paraffin-embedded human liver tissue with Mouse anti-TMED9 antibody (HA610143) at 1/2,000 dilution. The section was pre-treated using heat mediated antigen retrieval with Tris-EDTA buffer (pH 9.0) for 20 minutes. The tissues were blocked in 1% BSA for 20 minutes at room temperature, washed with ddH2O and PBS, and then probed with the primary antibody (HA610143) at 1/2,000 dilution for 1 hour at room temperature. The detection was performed using an HRP conjugated compact polymer system. DAB was used as the chromogen. Tissues were counterstained with hematoxylin and mounted with DPX.
quantity: 100μg
price: 649.00 USD
to the supplier