Sign in
Sign up
home
>
HUABIO
> HUABIO CD43 antibody
CD43
HUABIO
catalog: EM1901-70
mouse monoclonal (A2F8)
reactivity:
human
application:
western blot
,
flow cytometry
,
immunohistochemistry - paraffin section
Western blot analysis of CD43 on K562 cell lysates. Proteins were transferred to a PVDF membrane and blocked with 5% BSA in PBS for 1 hour at room temperature. The primary antibody (EM1901-70, 1/200) was used in 5% BSA at room temperature for 2 hours. Goat Anti-Mouse IgG - HRP Secondary Antibody (HA1006) at 1:5,000 dilution was used for 1 hour at room temperature.
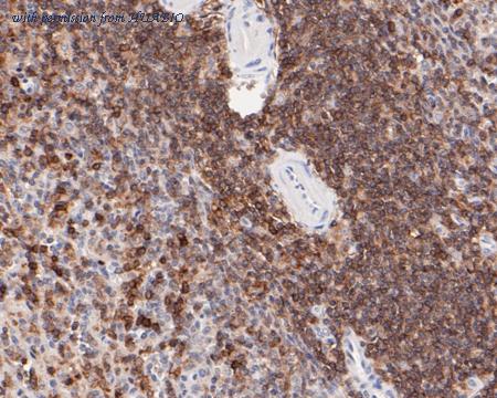
Immunohistochemical analysis of paraffin-embedded human B lymphocyte tumor tissue with Mouse anti-CD43 antibody (EM1901-70) at 1/1,000 dilution. The section was pre-treated using heat mediated antigen retrieval with Tris-EDTA buffer (pH 9.0) for 20 minutes. The tissues were blocked in 1% BSA for 20 minutes at room temperature, washed with ddH2O and PBS, and then probed with the primary antibody (EM1901-70) at 1/1,000 dilution for 1 hour at room temperature. The detection was performed using an HRP conjugated compact polymer system. DAB was used as the chromogen. Tissues were counterstained with hematoxylin and mounted with DPX.
Immunohistochemical analysis of paraffin-embedded human tonsil tissue with Mouse anti-CD43 antibody (EM1901-70) at 1/1,000 dilution. The section was pre-treated using heat mediated antigen retrieval with Tris-EDTA buffer (pH 9.0) for 20 minutes. The tissues were blocked in 1% BSA for 20 minutes at room temperature, washed with ddH2O and PBS, and then probed with the primary antibody (EM1901-70) at 1/1,000 dilution for 1 hour at room temperature. The detection was performed using an HRP conjugated compact polymer system. DAB was used as the chromogen. Tissues were counterstained with hematoxylin and mounted with DPX.
quantity: 100μl
price: 360.00 USD
to the supplier
CD43
HUABIO
catalog: EM1901-71
mouse monoclonal (A2F9)
reactivity:
human
application:
western blot
,
flow cytometry
,
immunohistochemistry - paraffin section
Western blot analysis of CD43 on different lysates with Mouse anti-CD43 antibody (EM1901-71) at 1/1,000 dilution. Lane 1: K-562 cell lysate Lane 2: HL-60 cell lysate Lane 3: THP-1 cell lysate Lane 4: U-937 cell lysate Lane 5: HT-29 cell lysate (negative) Lysates/proteins at 20 µg/Lane. Predicted band size: 40 kDa Observed band size: 100-130 kDa Exposure time: 1 minute 2 seconds; 4-20% SDS-PAGE gel. Proteins were transferred to a PVDF membrane and blocked with 5% NFDM/TBST for 1 hour at room temperature. The primary antibody (EM1901-71) at 1/1,000 dilution was used in 5% NFDM/TBST at 4℃ overnight. Goat Anti-Mouse IgG - HRP Secondary Antibody (HA1006) at 1/50,000 dilution was used for 1 hour at room temperature.
Immunohistochemical analysis of paraffin-embedded human tonsil tissue using anti-CD43 antibody. The section was pre-treated using heat mediated antigen retrieval with sodium citrate buffer (pH 6.0) (high pressure) for 2 minutes. The tissues were blocked in 5% BSA for 30 minutes at room temperature, washed with ddH2O and PBS, and then probed with the primary antibody (EM1901-71, 1/200) for 30 minutes at room temperature. The detection was performed using an HRP conjugated compact polymer system. DAB was used as the chromogen. Tissues were counterstained with hematoxylin and mounted with DPX.
Flow cytometric analysis of CD43 was done on HL-60 cells. The cells were fixed, permeabilized and stained with the primary antibody (EM1901-71, 1/50) (red). After incubation of the primary antibody at room temperature for an hour, the cells were stained with a Alexa Fluor 488-conjugated Goat anti-Mouse IgG Secondary antibody at 1/1,000 dilution for 30 minutes.Unlabelled sample was used as a control (cells without incubation with primary antibody; black).
quantity: 100μl
price: 360.00 USD
to the supplier
CD43
HUABIO
catalog: EM1901-92
mouse monoclonal (A2F7)
reactivity:
human
application:
western blot
,
flow cytometry
,
immunohistochemistry - paraffin section
Western blot analysis of CD43 on K562 cell lysates. Proteins were transferred to a PVDF membrane and blocked with 5% BSA in PBS for 1 hour at room temperature. The primary antibody (EM1901-92, 1/200) was used in 5% BSA at room temperature for 2 hours. Goat Anti-Mouse IgG - HRP Secondary Antibody (HA1006) at 1:5,000 dilution was used for 1 hour at room temperature.
Immunohistochemical analysis of paraffin-embedded human lung tissue with Mouse anti-CD43 antibody (EM1901-92) at 1/1,000 dilution. The section was pre-treated using heat mediated antigen retrieval with Tris-EDTA buffer (pH 9.0) for 20 minutes. The tissues were blocked in 1% BSA for 20 minutes at room temperature, washed with ddH2O and PBS, and then probed with the primary antibody (EM1901-92) at 1/1,000 dilution for 1 hour at room temperature. The detection was performed using an HRP conjugated compact polymer system. DAB was used as the chromogen. Tissues were counterstained with hematoxylin and mounted with DPX.
Immunohistochemical analysis of paraffin-embedded human tonsil tissue with Mouse anti-CD43 antibody (EM1901-92) at 1/1,000 dilution. The section was pre-treated using heat mediated antigen retrieval with Tris-EDTA buffer (pH 9.0) for 20 minutes. The tissues were blocked in 1% BSA for 20 minutes at room temperature, washed with ddH2O and PBS, and then probed with the primary antibody (EM1901-92) at 1/1,000 dilution for 1 hour at room temperature. The detection was performed using an HRP conjugated compact polymer system. DAB was used as the chromogen. Tissues were counterstained with hematoxylin and mounted with DPX.
quantity: 100μl
price: 360.00 USD
to the supplier
CD43
HUABIO
catalog: ER1901-28
domestic rabbit polyclonal
reactivity:
human
application:
western blot
,
flow cytometry
,
immunohistochemistry - paraffin section
Western blot analysis of CD43 on human thymus tissue lysates. Proteins were transferred to a PVDF membrane and blocked with 5% BSA in PBS for 1 hour at room temperature. The primary antibody (ER1901-28, 1/500) was used in 5% BSA at room temperature for 2 hours. Goat Anti-Rabbit IgG - HRP Secondary Antibody (HA1001) at 1:5,000 dilution was used for 1 hour at room temperature.
Immunohistochemical analysis of paraffin-embedded human tonsil tissue using anti-CD43 antibody. The section was pre-treated using heat mediated antigen retrieval with sodium citrate buffer (pH 6.0) (high pressure) for 2 minutes. The tissues were blocked in 5% BSA for 30 minutes at room temperature, washed with ddH2O and PBS, and then probed with the primary antibody (ER1901-28, 1/100) for 30 minutes at room temperature. The detection was performed using an HRP conjugated compact polymer system. DAB was used as the chromogen. Tissues were counterstained with hematoxylin and mounted with DPX.
Immunohistochemical analysis of paraffin-embedded human spleen tissue using anti-CD43 antibody. The section was pre-treated using heat mediated antigen retrieval with sodium citrate buffer (pH 6.0) (high pressure) for 2 minutes. The tissues were blocked in 5% BSA for 30 minutes at room temperature, washed with ddH2O and PBS, and then probed with the primary antibody (ER1901-28, 1/100) for 30 minutes at room temperature. The detection was performed using an HRP conjugated compact polymer system. DAB was used as the chromogen. Tissues were counterstained with hematoxylin and mounted with DPX.
quantity: 100μl
price: 330 USD
to the supplier
CD43
HUABIO
catalog: HA601286
mouse monoclonal (A2F8-R)
reactivity:
human
application:
western blot
,
immunohistochemistry - paraffin section
Western blot analysis of CD43 on different lysates with Mouse anti-CD43 antibody (HA601286) at 1/1,000 dilution. Lane 1: K-562 cell lysate Lane 2: HL-60 cell lysate Lane 3: THP-1 cell lysate Lane 4: U-937 cell lysate Lane 5: HT-29 cell lysate (negative) Lysates/proteins at 20 µg/Lane. Predicted band size: 40 kDa Observed band size: 100-130 kDa Exposure time: 3 minutes; 4-20% SDS-PAGE gel. Proteins were transferred to a PVDF membrane and blocked with 5% NFDM/TBST for 1 hour at room temperature. The primary antibody (HA601286) at 1/1,000 dilution was used in 5% NFDM/TBST at 4℃ overnight. Goat Anti-Mouse IgG - HRP Secondary Antibody (HA1006) at 1/50,000 dilution was used for 1 hour at room temperature.
Immunocytochemistry analysis of U-937 (positive) and HT-29 (negative) labeling CD43 with Mouse anti-CD43 antibody (HA601286) at 1/250 dilution. Cells were fixed in 4% paraformaldehyde for 20 minutes at room temperature, permeabilized with 0.1% Triton X-100 in PBS for 5 minutes at room temperature, then blocked with 1% BSA in 10% negative goat serum for 1 hour at room temperature. Cells were then incubated with Mouse anti-CD43 antibody (HA601286) at 1/250 dilution in 1% BSA in PBST overnight at 4 ℃. Goat Anti-Mouse IgG H&L (iFluor™ 488, HA1125) was used as the secondary antibody at 1/1,000 dilution. PBS instead of the primary antibody was used as the secondary antibody only control. Nuclear DNA was labelled in blue with DAPI. beta Tubulin (ET1602-4, red) was stained at 1/100 dilution overnight at +4℃. Goat Anti-Rabbit IgG H&L (iFluor™ 594, HA1122) were used as the secondary antibody at 1/1,000 dilution.
Immunohistochemical analysis of paraffin-embedded human B lymphocyte tumor tissue with Mouse anti-CD43 antibody (HA601286) at 1/1,000 dilution. The section was pre-treated using heat mediated antigen retrieval with Tris-EDTA buffer (pH 9.0) for 20 minutes. The tissues were blocked in 1% BSA for 20 minutes at room temperature, washed with ddH2O and PBS, and then probed with the primary antibody (HA601286) at 1/1,000 dilution for 1 hour at room temperature. The detection was performed using an HRP conjugated compact polymer system. DAB was used as the chromogen. Tissues were counterstained with hematoxylin and mounted with DPX.
quantity: 100μl
price: 360.00 USD
to the supplier
CD43
HUABIO
catalog: HA721219
domestic rabbit monoclonal (PD01-28)
reactivity:
human
application:
immunohistochemistry - paraffin section
Immunohistochemical analysis of paraffin-embedded human B-cell lymphoma tissue with Rabbit anti-CD43 antibody (HA721219) at 1/5,000 dilution. The section was pre-treated using heat mediated antigen retrieval with Tris-EDTA buffer (pH 9.0) for 20 minutes. The tissues were blocked in 1% BSA for 20 minutes at room temperature, washed with ddH2O and PBS, and then probed with the primary antibody (HA721219) at 1/5,000 dilution for 1 hour at room temperature. The detection was performed using an HRP conjugated compact polymer system. DAB was used as the chromogen. Tissues were counterstained with hematoxylin and mounted with DPX.
Immunohistochemical analysis of paraffin-embedded human tonsil tissue with Rabbit anti-CD43 antibody (HA721219) at 1/5,000 dilution. The section was pre-treated using heat mediated antigen retrieval with Tris-EDTA buffer (pH 9.0) for 20 minutes. The tissues were blocked in 1% BSA for 20 minutes at room temperature, washed with ddH2O and PBS, and then probed with the primary antibody (HA721219) at 1/5,000 dilution for 1 hour at room temperature. The detection was performed using an HRP conjugated compact polymer system. DAB was used as the chromogen. Tissues were counterstained with hematoxylin and mounted with DPX.
Application: IF-Tissue Species: Human Site: tonsil Sample: Paraffin-embedded section Antibody concentration: 1/1,000
quantity: 100μl
price: 385.00 USD
to the supplier