domestic rabbit polyclonal
reactivity: human, mouse, rat
application: western blot, flow cytometry, immunohistochemistry - paraffin section
reactivity: human, mouse, rat
application: western blot, flow cytometry, immunohistochemistry - paraffin section

Western blot analysis of Dopamine Transporter on different lysates with Rabbit anti-Dopamine Transporter antibody (HA500007) at 1/1,000 dilution. Lane 1: Mouse brain tissue lysate Lane 2: Rat brain tissue lysate Lysates/proteins at 30 µg/Lane. Predicted band size: 68 kDa Observed band size: 68 kDa Exposure time: 25 seconds; ECL: K1801; 4-20% SDS-PAGE gel. Proteins were transferred to a PVDF membrane and blocked with 5% NFDM/TBST for 1 hour at room temperature. The primary antibody (HA500007) at 1/1,000 dilution was used in 5% NFDM/TBST at 4℃ overnight. Goat Anti-Rabbit IgG - HRP Secondary Antibody (HA1001) at 1/50,000 dilution was used for 1 hour at room temperature.

Immunohistochemical analysis of paraffin-embedded rat brain tissue using anti-Dopamine Transporter antibody. The section was pre-treated using heat mediated antigen retrieval with Tris-EDTA buffer (pH 8.0-8.4) for 20 minutes.The tissues were blocked in 5% BSA for 30 minutes at room temperature, washed with ddH2O and PBS, and then probed with the primary antibody (HA500007, 1/400) for 30 minutes at room temperature. The detection was performed using an HRP conjugated compact polymer system. DAB was used as the chromogen. Tissues were counterstained with hematoxylin and mounted with DPX.

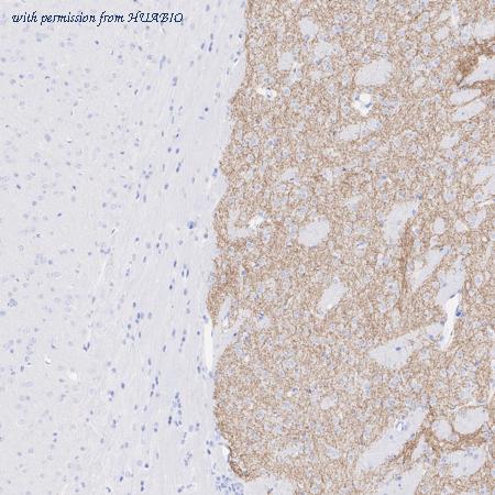
Immunohistochemical analysis of paraffin-embedded mouse brain tissue using anti-Dopamine Transporter antibody. The section was pre-treated using heat mediated antigen retrieval with Tris-EDTA buffer (pH 8.0-8.4) for 20 minutes.The tissues were blocked in 5% BSA for 30 minutes at room temperature, washed with ddH2O and PBS, and then probed with the primary antibody (HA500007, 1/400) for 30 minutes at room temperature. The detection was performed using an HRP conjugated compact polymer system. DAB was used as the chromogen. Tissues were counterstained with hematoxylin and mounted with DPX.
quantity: 100μl
price: 330 USD
to the supplier
domestic rabbit monoclonal (PSH10-49)
reactivity: human, mouse, rat
application: western blot, immunohistochemistry - paraffin section, immunohistochemistry - frozen section
reactivity: human, mouse, rat
application: western blot, immunohistochemistry - paraffin section, immunohistochemistry - frozen section

Application: IHC-Fr Species: Mouse Site: Striatum Sample: Frozen section Antibody concentration: 1:500 Antigen retrieval: Not required

Application: IHC-Fr Species: Rat Site: Striatum Sample: Frozen section Antibody concentration: 1:500 Antigen retrieval: Not required

Immunohistochemical analysis of paraffin-embedded mouse brain tissue with Rabbit anti-Dopamine Transporter antibody (HA723213) at 1/1,000 dilution. The section was pre-treated using heat mediated antigen retrieval with Tris-EDTA buffer (pH 9.0) for 20 minutes. The tissues were blocked in 1% BSA for 20 minutes at room temperature, washed with ddH2O and PBS, and then probed with the primary antibody (HA723213) at 1/1,000 dilution for 1 hour at room temperature. The detection was performed using an HRP conjugated compact polymer system. DAB was used as the chromogen. Tissues were counterstained with hematoxylin and mounted with DPX.
quantity: 100μl
price: 385.00 USD
to the supplier
domestic rabbit monoclonal (PSH10-49)
reactivity: human, mouse, rat
application: western blot, immunohistochemistry - paraffin section, immunohistochemistry - frozen section
reactivity: human, mouse, rat
application: western blot, immunohistochemistry - paraffin section, immunohistochemistry - frozen section

Application: IHC-Fr Species: Mouse Site: Striatum Sample: Frozen section Antibody concentration: 1:500 Antigen retrieval: Not required

Application: IHC-Fr Species: Rat Site: Striatum Sample: Frozen section Antibody concentration: 1:500 Antigen retrieval: Not required

Immunohistochemical analysis of paraffin-embedded mouse brain tissue with Rabbit anti-Dopamine Transporter antibody (HA751352) at 1/1,000 dilution. The section was pre-treated using heat mediated antigen retrieval with Tris-EDTA buffer (pH 9.0) for 20 minutes. The tissues were blocked in 1% BSA for 20 minutes at room temperature, washed with ddH2O and PBS, and then probed with the primary antibody (HA751352) at 1/1,000 dilution for 1 hour at room temperature. The detection was performed using an HRP conjugated compact polymer system. DAB was used as the chromogen. Tissues were counterstained with hematoxylin and mounted with DPX.
quantity: 100μl
price: 649.00 USD
to the supplier
domestic rabbit polyclonal (PSH10-49)
reactivity: human, mouse, rat
application: western blot, immunohistochemistry - paraffin section, immunohistochemistry - frozen section
reactivity: human, mouse, rat
application: western blot, immunohistochemistry - paraffin section, immunohistochemistry - frozen section

Application: IHC-Fr Species: Mouse Site: Striatum Sample: Frozen section Antibody concentration: 1:500 Antigen retrieval: Not required

Application: IHC-Fr Species: Mouse Site: Striatum Sample: Frozen section Antibody concentration: 1:500 Antigen retrieval: The section was pre-treated using 1% SDS buffer (in PBS, pH 7.4) for 5 minutes at room temperature.

Immunohistochemical analysis of paraffin-embedded mouse striatum tissue with Rat anti-Dopamine Transporter antibody (HA601404) at 1/2,000 dilution. The section was pre-treated using heat mediated antigen retrieval with Tris-EDTA buffer (pH 9.0) for 20 minutes. The tissues were blocked in 1% BSA for 20 minutes at room temperature, washed with ddH2O and PBS, and then probed with the primary antibody (HA601404) at 1/2,000 dilution for 1 hour at room temperature. The detection was performed using an HRP conjugated compact polymer system. DAB was used as the chromogen. Tissues were counterstained with hematoxylin and mounted with DPX.
quantity: 100μl
price: 330 USD
to the supplier
domestic rabbit polyclonal (PSH10-49)
reactivity: human, mouse, rat
application: western blot, immunohistochemistry - paraffin section, immunohistochemistry - frozen section
reactivity: human, mouse, rat
application: western blot, immunohistochemistry - paraffin section, immunohistochemistry - frozen section

Application: IHC-Fr Species: Mouse Site: Striatum Sample: Frozen section Antibody concentration: 1:500 Antigen retrieval: Not required

Application: IHC-Fr Species: Mouse Site: Striatum Sample: Frozen section Antibody concentration: 1:500 Antigen retrieval: The section was pre-treated using 1% SDS buffer (in PBS, pH 7.4) for 5 minutes at room temperature.

Immunohistochemical analysis of paraffin-embedded mouse striatum tissue with Rat anti-Dopamine Transporter antibody (HA610244) at 1/2,000 dilution. The section was pre-treated using heat mediated antigen retrieval with Tris-EDTA buffer (pH 9.0) for 20 minutes. The tissues were blocked in 1% BSA for 20 minutes at room temperature, washed with ddH2O and PBS, and then probed with the primary antibody (HA610244) at 1/2,000 dilution for 1 hour at room temperature. The detection was performed using an HRP conjugated compact polymer system. DAB was used as the chromogen. Tissues were counterstained with hematoxylin and mounted with DPX.
quantity: 100μg
price: 649.00 USD
to the supplier
