domestic rabbit monoclonal (PSH0-65)
reactivity: human
application: flow cytometry
reactivity: human
application: flow cytometry
domestic rabbit monoclonal (PSH0-64)
reactivity: human
application: western blot, immunohistochemistry - paraffin section
reactivity: human
application: western blot, immunohistochemistry - paraffin section

Western blot analysis of VISTA on different lysates with Rabbit anti-VISTA antibody (HA721452) at 1/1,000 dilution and competitor's antibody at 1/1,000 dilution. Lane 1: A431 cell lysate (20 µg/Lane) Lane 2: A375 cell lysate (20 µg/Lane) Lane 3: K-562 cell lysate (20 µg/Lane) Lane 4: TF-1 cell lysate (20 µg/Lane) Lane 5: MCF7 cell lysate (low expression) (20 µg/Lane) Lane 6: HEK-293 cell lysate (low expression) (20 µg/Lane) Lane 7: Human lung tissue lysate (30 µg/Lane) Predicted band size: 34 kDa Observed band size: 45-60 kDa (Glycosylated) Exposure time: 30 seconds; ECL: K1801; 4-20% SDS-PAGE gel. Proteins were transferred to a PVDF membrane and blocked with 5% NFDM/TBST for 1 hour at room temperature. The primary antibody (HA721452) at 1/1,000 dilution and competitor's antibody at 1/1,000 dilution were used in 5% NFDM/TBST at 4℃ overnight. Goat Anti-Rabbit IgG - HRP Secondary Antibody (HA1001) at 1/50,000 dilution was used for 1 hour at room temperature.

Western blot analysis of VISTA on different lysates with Rabbit anti-VISTA antibody (HA721452) at 1/1,000 dilution. Lane 1: A431-si NT cell lysate Lane 2: A431-si VISTA cell lysate Lysates/proteins at 10 µg/Lane. Predicted band size: 34 kDa Observed band size: 45-60 kDa (Glycosylated) Exposure time: 28 seconds; ECL: K1801; 4-20% SDS-PAGE gel. Proteins were transferred to a PVDF membrane and blocked with 5% NFDM/TBST for 1 hour at room temperature. The primary antibody (HA721452) at 1/1,000 dilution was used in 5% NFDM/TBST at 4℃ overnight. Goat Anti-Rabbit IgG - HRP Secondary Antibody (HA1001) at 1/50,000 dilution was used for 1 hour at room temperature.

Western blot analysis of VISTA on different lysates with Rabbit anti-VISTA antibody (HA721452) at 1/1,000 dilution. Lane 1: THP-1 cell lysate Lane 2: THP-1 cell lysate treated with deglycosylation Lysates/proteins at 20 µg/Lane. Predicted band size: 34 kDa Observed band size: 34/45-60 kDa (Glycosylated) Exposure time: 40 seconds; ECL: K1801; 4-20% SDS-PAGE gel. Proteins were transferred to a PVDF membrane and blocked with 5% NFDM/TBST for 1 hour at room temperature. The primary antibody (HA721452) at 1/1,000 dilution was used in 5% NFDM/TBST at 4℃ overnight. Goat Anti-Rabbit IgG - HRP Secondary Antibody (HA1001) at 1/50,000 dilution was used for 1 hour at room temperature.
quantity: 100μl
price: 385.00 USD
to the supplier
domestic rabbit monoclonal (PSH0-65)
reactivity: human
application: western blot, flow cytometry, immunohistochemistry - paraffin section
reactivity: human
application: western blot, flow cytometry, immunohistochemistry - paraffin section

Western blot analysis of VISTA on human lung tissue lysates with Rabbit anti-VISTA antibody (HA721453) at 1/1,000 dilution. Lysates/proteins at 40 µg/Lane. Predicted band size: 34 kDa Observed band size: 55 kDa Exposure time: 30 seconds; 10% SDS-PAGE gel. Proteins were transferred to a PVDF membrane and blocked with 5% NFDM/TBST for 1 hour at room temperature. The primary antibody (HA721453) at 1/1,000 dilution was used in 5% NFDM/TBST at room temperature for 2 hours. Goat Anti-Rabbit IgG - HRP Secondary Antibody (HA1001) at 1:100,000 dilution was used for 1 hour at room temperature.

Immunohistochemical analysis of paraffin-embedded human brain tissue with Rabbit anti-VISTA antibody (HA721453) at 1/200 dilution. The section was pre-treated using heat mediated antigen retrieval with Tris-EDTA buffer (pH 9.0) for 20 minutes. The tissues were blocked in 1% BSA for 20 minutes at room temperature, washed with ddH2O and PBS, and then probed with the primary antibody (HA721453) at 1/200 dilution for 1 hour at room temperature. The detection was performed using an HRP conjugated compact polymer system. DAB was used as the chromogen. Tissues were counterstained with hematoxylin and mounted with DPX.

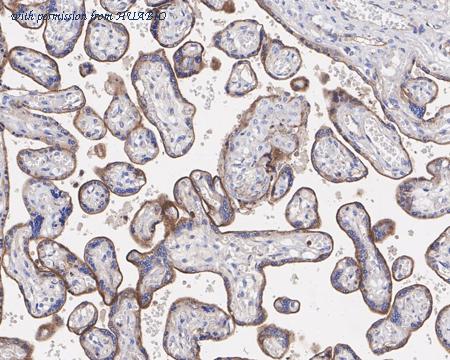
Immunohistochemical analysis of paraffin-embedded human placenta tissue with Rabbit anti-VISTA antibody (HA721453) at 1/200 dilution. The section was pre-treated using heat mediated antigen retrieval with Tris-EDTA buffer (pH 9.0) for 20 minutes. The tissues were blocked in 1% BSA for 20 minutes at room temperature, washed with ddH2O and PBS, and then probed with the primary antibody (HA721453) at 1/200 dilution for 1 hour at room temperature. The detection was performed using an HRP conjugated compact polymer system. DAB was used as the chromogen. Tissues were counterstained with hematoxylin and mounted with DPX.
quantity: 100μl
price: 385.00 USD
to the supplier
domestic rabbit monoclonal (PSH0-64)
reactivity: human
application: western blot, immunohistochemistry - paraffin section
reactivity: human
application: western blot, immunohistochemistry - paraffin section

Western blot analysis of VISTA on different lysates with Rabbit anti-VISTA antibody (HA750641) at 1/1,000 dilution and competitor's antibody at 1/1,000 dilution. Lane 1: A431 cell lysate (20 µg/Lane) Lane 2: A375 cell lysate (20 µg/Lane) Lane 3: K-562 cell lysate (20 µg/Lane) Lane 4: TF-1 cell lysate (20 µg/Lane) Lane 5: MCF7 cell lysate (low expression) (20 µg/Lane) Lane 6: HEK-293 cell lysate (low expression) (20 µg/Lane) Lane 7: Human lung tissue lysate (30 µg/Lane) Predicted band size: 34 kDa Observed band size: 45-60 kDa (Glycosylated) Exposure time: 30 seconds; ECL: K1801; 4-20% SDS-PAGE gel. Proteins were transferred to a PVDF membrane and blocked with 5% NFDM/TBST for 1 hour at room temperature. The primary antibody (HA750641) at 1/1,000 dilution and competitor's antibody at 1/1,000 dilution were used in 5% NFDM/TBST at 4℃ overnight. Goat Anti-Rabbit IgG - HRP Secondary Antibody (HA1001) at 1/50,000 dilution was used for 1 hour at room temperature.

Western blot analysis of VISTA on different lysates with Rabbit anti-VISTA antibody (HA750641) at 1/1,000 dilution. Lane 1: A431-si NT cell lysate Lane 2: A431-si VISTA cell lysate Lysates/proteins at 10 µg/Lane. Predicted band size: 34 kDa Observed band size: 45-60 kDa (Glycosylated) Exposure time: 28 seconds; ECL: K1801; 4-20% SDS-PAGE gel. Proteins were transferred to a PVDF membrane and blocked with 5% NFDM/TBST for 1 hour at room temperature. The primary antibody (HA750641) at 1/1,000 dilution was used in 5% NFDM/TBST at 4℃ overnight. Goat Anti-Rabbit IgG - HRP Secondary Antibody (HA1001) at 1/50,000 dilution was used for 1 hour at room temperature.

Western blot analysis of VISTA on different lysates with Rabbit anti-VISTA antibody (HA750641) at 1/1,000 dilution. Lane 1: THP-1 cell lysate Lane 2: THP-1 cell lysate treated with deglycosylation Lysates/proteins at 20 µg/Lane. Predicted band size: 34 kDa Observed band size: 34/45-60 kDa (Glycosylated) Exposure time: 40 seconds; ECL: K1801; 4-20% SDS-PAGE gel. Proteins were transferred to a PVDF membrane and blocked with 5% NFDM/TBST for 1 hour at room temperature. The primary antibody (HA750641) at 1/1,000 dilution was used in 5% NFDM/TBST at 4℃ overnight. Goat Anti-Rabbit IgG - HRP Secondary Antibody (HA1001) at 1/50,000 dilution was used for 1 hour at room temperature.
quantity: 100μl
price: 649.00 USD
to the supplier
domestic rabbit monoclonal (PSH0-65)
reactivity: human
application: western blot, flow cytometry, immunohistochemistry - paraffin section
reactivity: human
application: western blot, flow cytometry, immunohistochemistry - paraffin section

Western blot analysis of VISTA on human lung tissue lysates with Rabbit anti-VISTA antibody (HA750642) at 1/1,000 dilution. Lysates/proteins at 40 µg/Lane. Predicted band size: 34 kDa Observed band size: 55 kDa Exposure time: 30 seconds; 10% SDS-PAGE gel. Proteins were transferred to a PVDF membrane and blocked with 5% NFDM/TBST for 1 hour at room temperature. The primary antibody (HA750642) at 1/1,000 dilution was used in 5% NFDM/TBST at room temperature for 2 hours. Goat Anti-Rabbit IgG - HRP Secondary Antibody (HA1001) at 1:100,000 dilution was used for 1 hour at room temperature.

Immunohistochemical analysis of paraffin-embedded human brain tissue with Rabbit anti-VISTA antibody (HA750642) at 1/200 dilution. The section was pre-treated using heat mediated antigen retrieval with Tris-EDTA buffer (pH 9.0) for 20 minutes. The tissues were blocked in 1% BSA for 20 minutes at room temperature, washed with ddH2O and PBS, and then probed with the primary antibody (HA750642) at 1/200 dilution for 1 hour at room temperature. The detection was performed using an HRP conjugated compact polymer system. DAB was used as the chromogen. Tissues were counterstained with hematoxylin and mounted with DPX.

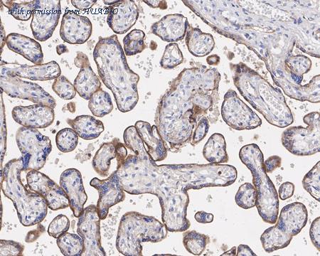
Immunohistochemical analysis of paraffin-embedded human placenta tissue with Rabbit anti-VISTA antibody (HA750642) at 1/200 dilution. The section was pre-treated using heat mediated antigen retrieval with Tris-EDTA buffer (pH 9.0) for 20 minutes. The tissues were blocked in 1% BSA for 20 minutes at room temperature, washed with ddH2O and PBS, and then probed with the primary antibody (HA750642) at 1/200 dilution for 1 hour at room temperature. The detection was performed using an HRP conjugated compact polymer system. DAB was used as the chromogen. Tissues were counterstained with hematoxylin and mounted with DPX.
quantity: 100μl
price: 649.00 USD
to the supplier

