domestic rabbit polyclonal
reactivity: human, mouse, rat
application: western blot, flow cytometry, immunohistochemistry - paraffin section
reactivity: human, mouse, rat
application: western blot, flow cytometry, immunohistochemistry - paraffin section

All lanes: Western blot analysis of SDHB with anti-SDHB antibody (ER1803-63) at 1/1,000 dilution. Lane 1: Wild-type Hela whole cell lysate. Lane 2: SDHB knockout Hela whole cell lysate. ER1803-63 was shown to specifically react with SDHB in wild-type Hela cells. No band was observed when SDHB knockout sample was tested. Wild-type and SDHB knockout samples were subjected to SDS-PAGE. Proteins were transferred to a PVDF membrane and blocked with 5% NFDM in TBST for 1 hour at room temperature. The primary Anti-SDHB antibody (ER1803-63, 1/1,000) and Anti-GAPDH antibody (ET1601-4, 1/10,000) were used in 5% BSA at room temperature for 2 hours. Goat Anti-Rabbit IgG H&L (HRP) Secondary Antibody (HA1001) at 1:200,000 dilution was used for 1 hour at room temperature. Cell lysate was provided by Ubigene Biosciences (Ubigene Biosciences Co., Ltd., Guangzhou, China).

Western blot analysis of SDHB on different lysates using anti-SDHB antibody at 1/1,000 dilution. Positive control: Lane 1: Human liver tissue lysate Lane 2: Mouse liver tissue lysate Lane 3: Rat liver tissue lysate Lane 4: Rat liver tissue lysate, preincubated with the immunization protein.

ICC staining SDHB in 293T cells (green). The nuclear counter stain is DAPI (blue). Cells were fixed in paraformaldehyde, permeabilised with 0.25% Triton X100/PBS.
quantity: 100μl
price: 330 USD
to the supplier
domestic rabbit monoclonal (JU02-33)
reactivity: human, mouse, rat
application: western blot, immunohistochemistry - paraffin section
reactivity: human, mouse, rat
application: western blot, immunohistochemistry - paraffin section

All lanes: Western blot analysis of SDHB with anti-SDHB antibody [JU02-33] (ET1706-30) at 1:1,000 dilution. Lane 1: Wild-type Hela whole cell lysate. Lane 2: SDHB knockout Hela whole cell lysate. ET1706-30 was shown to specifically react with SDHB in wild-type Hela cells. No band was observed when SDHB knockout samples were tested. Wild-type and SDHB knockout samples were subjected to SDS-PAGE. Proteins were transferred to a PVDF membrane and blocked with 5% NFDM in TBST for 1 hour at room temperature. The primary Anti-SDHB antibody (ET1706-30, 1/1,000) and Anti-GAPDH antibody (ET1601-4, 1/10,000) were used in 5% BSA at room temperature for 2 hours. Goat Anti-Rabbit IgG H&L (HRP) Secondary Antibody (HA1001) at 1:200,000 dilution was used for 1 hour at room temperature. Cell lysate was provided by Ubigene Biosciences (Ubigene Biosciences Co., Ltd., Guangzhou, China).

Western blot analysis of SDHB on different lysates with Rabbit anti-SDHB antibody (ET1706-30) at 1/1,000 dilution. Lane 1: HepG2 cell lysate (20 µg/Lane) Lane 2: Mouse spleen tissue lysate (40 µg/Lane) Lane 3: Rat spleen tissue lysate (40 µg/Lane) Lane 4: Rat liver tissue lysate (40 µg/Lane) Lane 5: Human liver tissue lysate (40 µg/Lane) Predicted band size: 32 kDa Observed band size: 27 kDa Exposure time: 24 seconds; ECL: K1801; 4-20% SDS-PAGE gel. Proteins were transferred to a PVDF membrane and blocked with 5% NFDM/TBST for 1 hour at room temperature. The primary antibody (ET1706-30) at 1/1,000 dilution was used in 5% NFDM/TBST at 4℃ overnight. Goat Anti-Rabbit IgG - HRP Secondary Antibody (HA1001) at 1/50,000 dilution was used for 1 hour at room temperature.

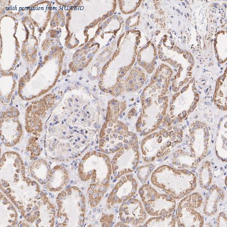
Immunohistochemical analysis of paraffin-embedded human kidney tissue with Rabbit anti-SDHB antibody (ET1706-30) at 1/1,000 dilution. The section was pre-treated using heat mediated antigen retrieval with Tris-EDTA buffer (pH 9.0) for 20 minutes. The tissues were blocked in 1% BSA for 20 minutes at room temperature, washed with ddH2O and PBS, and then probed with the primary antibody (ET1706-30) at 1/1,000 dilution for 1 hour at room temperature. The detection was performed using an HRP conjugated compact polymer system. DAB was used as the chromogen. Tissues were counterstained with hematoxylin and mounted with DPX.
quantity: 100μl
price: 385.00 USD
to the supplier
domestic rabbit monoclonal (JE77-70)
reactivity: human, mouse, rat
application: western blot, immunoprecipitation, immunohistochemistry - paraffin section
reactivity: human, mouse, rat
application: western blot, immunoprecipitation, immunohistochemistry - paraffin section

Western blot analysis of SDHB on different lysates with Rabbit anti-SDHB antibody (HA722901) at 1/2,000 dilution. Lane 1: K-562 cell lysate Lane 2: HEK-293 cell lysate Lane 3: NIH/3T3 cell lysate Lane 4: PC-12 cell lysate Lane 5: Mouse liver tissue lysate Lane 6: Rat liver tissue lysate Lysates/proteins at 20 µg/Lane. Predicted band size: 32 kDa Observed band size: 30 kDa Exposure time: 4 seconds; ECL: K1801; 4-20% SDS-PAGE gel. Proteins were transferred to a PVDF membrane and blocked with 5% NFDM/TBST for 1 hour at room temperature. The primary antibody (HA722901) at 1/2,000 dilution was used in 5% NFDM/TBST at 4℃ overnight. Goat Anti-Rabbit IgG - HRP Secondary Antibody (HA1001) at 1/50,000 dilution was used for 1 hour at room temperature.

Immunocytochemistry analysis of K-562 cells labeling SDHB with Rabbit anti-SDHB antibody (HA722901) at 1/250 dilution. Cells were fixed in 4% paraformaldehyde for 15 minutes at room temperature, permeabilized with 0.1% Triton X-100 in PBS for 15 minutes at room temperature, then blocked with 1% BSA in 10% negative goat serum for 1 hour at room temperature. Cells were then incubated with Rabbit anti-SDHB antibody (HA722901) at 1/250 dilution in 1% BSA in PBST overnight at 4 ℃. Goat Anti-Rabbit IgG H&L (iFluor™ 488, HA1121) was used as the secondary antibody at 1/1,000 dilution. PBS instead of the primary antibody was used as the secondary antibody only control. Nuclear DNA was labelled in blue with DAPI. Beta tubulin (HA601187, red) was stained at 1/100 dilution overnight at +4℃. Goat Anti-Mouse IgG H&L (iFluor™ 594, HA1126) was used as the secondary antibody at 1/1,000 dilution.

Immunocytochemistry analysis of NIH/3T3 cells labeling SDHB with Rabbit anti-SDHB antibody (HA722901) at 1/250 dilution. Cells were fixed in 4% paraformaldehyde for 15 minutes at room temperature, permeabilized with 0.1% Triton X-100 in PBS for 15 minutes at room temperature, then blocked with 1% BSA in 10% negative goat serum for 1 hour at room temperature. Cells were then incubated with Rabbit anti-SDHB antibody (HA722901) at 1/250 dilution in 1% BSA in PBST overnight at 4 ℃. Goat Anti-Rabbit IgG H&L (iFluor™ 488, HA1121) was used as the secondary antibody at 1/1,000 dilution. PBS instead of the primary antibody was used as the secondary antibody only control. Nuclear DNA was labelled in blue with DAPI. Beta tubulin (HA601187, red) was stained at 1/100 dilution overnight at +4℃. Goat Anti-Mouse IgG H&L (iFluor™ 594, HA1126) was used as the secondary antibody at 1/1,000 dilution.
quantity: 100μl
price: 385.00 USD
to the supplier
domestic rabbit polyclonal (PSH15-50)
reactivity: human
application: western blot, immunohistochemistry - paraffin section
reactivity: human
application: western blot, immunohistochemistry - paraffin section

Western blot analysis of Total OXPHOS Antibody Cocktail on different lysates with Rabbit anti-Total OXPHOS Antibody Cocktail antibody (HA723756) at 1/2,000 dilution. Lane 1: HEK-293 cell lysate Lane 2: HeLa cell lysate Lane 3: A549 cell lysate Lane 4: K-562 cell lysate Lane 5: MCF7 cell lysate Lysates/proteins at 20 µg/Lane. Predicted band size: 18/22/29/48/54 kDa Observed band size: 18/22/29/48/54 kDa Exposure time: 15 seconds; ECL: K1801; 4-20% SDS-PAGE gel. Proteins were transferred to a PVDF membrane and blocked with 5% NFDM/TBST for 1 hour at room temperature. The primary antibody (HA723756) at 1/2,000 dilution was used in primary antibody dilution (K1803) at 4℃ overnight. Goat Anti-Rabbit IgG - HRP Secondary Antibody (HA1001) at 1/50,000 dilution was used for 1 hour at room temperature.

Immunohistochemical analysis of paraffin-embedded human breast carcinoma tissue with Rabbit anti-Total OXPHOS Antibody Cocktail antibody (HA723756) at 1/200 dilution. The section was pre-treated using heat mediated antigen retrieval with Tris-EDTA buffer (pH 9.0) for 20 minutes. The tissues were blocked in 1% BSA for 20 minutes at room temperature, washed with ddH2O and PBS, and then probed with the primary antibody (HA723756) at 1/200 dilution for 1 hour at room temperature. The detection was performed using an HRP conjugated compact polymer system. DAB was used as the chromogen. Tissues were counterstained with hematoxylin and mounted with DPX.

Immunohistochemical analysis of paraffin-embedded human liver tissue with Rabbit anti-Total OXPHOS Antibody Cocktail antibody (HA723756) at 1/200 dilution. The section was pre-treated using heat mediated antigen retrieval with Tris-EDTA buffer (pH 9.0) for 20 minutes. The tissues were blocked in 1% BSA for 20 minutes at room temperature, washed with ddH2O and PBS, and then probed with the primary antibody (HA723756) at 1/200 dilution for 1 hour at room temperature. The detection was performed using an HRP conjugated compact polymer system. DAB was used as the chromogen. Tissues were counterstained with hematoxylin and mounted with DPX.
quantity: 100μl
price: 385.00 USD
to the supplier
