mouse monoclonal (1D6)
reactivity: human
application: western blot, flow cytometry, immunohistochemistry - paraffin section
reactivity: human
application: western blot, flow cytometry, immunohistochemistry - paraffin section

ICC staining NaV1.7 (green) in A549 cells. The nuclear counter stain is DAPI (blue). Cells were fixed in paraformaldehyde, permeabilised with 0.25% Triton X100/PBS.

ICC staining NaV1.7 (green) in Hela cells. The nuclear counter stain is DAPI (blue). Cells were fixed in paraformaldehyde, permeabilised with 0.25% Triton X100/PBS.

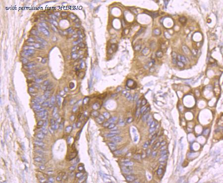
Immunohistochemical analysis of paraffin-embedded human colon cancer tissue using anti-NaV1.7 antibody. Counter stained with hematoxylin.
quantity: 50μl
price: 205.00 USD
to the supplier
domestic rabbit polyclonal
reactivity: human
application: flow cytometry, immunohistochemistry - paraffin section
reactivity: human
application: flow cytometry, immunohistochemistry - paraffin section

Immunocytochemistry analysis of A549 cells labeling NaV1.7 with Rabbit anti-NaV1.7 antibody (ER1706-44) at 1/500 dilution. Cells were fixed in 4% paraformaldehyde for 10 minutes at 37 ℃, permeabilized with 0.05% Triton X-100 in PBS for 20 minutes, and then blocked with 2% negative goat serum for 30 minutes at room temperature. Cells were then incubated with Rabbit anti-NaV1.7 antibody (ER1706-44) at 1/500 dilution in 2% negative goat serum overnight at 4 ℃. Goat Anti-Rabbit IgG H&L (iFluor™ 488, HA1121) was used as the secondary antibody at 1/1,000 dilution. PBS instead of the primary antibody was used as the secondary antibody only control. Nuclear DNA was labelled in blue with DAPI.

Immunocytochemistry analysis of HepG2 cells labeling NaV1.7 with Rabbit anti-NaV1.7 antibody (ER1706-44) at 1/500 dilution. Cells were fixed in 4% paraformaldehyde for 10 minutes at 37 ℃, permeabilized with 0.05% Triton X-100 in PBS for 20 minutes, and then blocked with 2% negative goat serum for 30 minutes at room temperature. Cells were then incubated with Rabbit anti-NaV1.7 antibody (ER1706-44) at 1/500 dilution in 2% negative goat serum overnight at 4 ℃. Goat Anti-Rabbit IgG H&L (iFluor™ 488, HA1121) was used as the secondary antibody at 1/1,000 dilution. PBS instead of the primary antibody was used as the secondary antibody only control. Nuclear DNA was labelled in blue with DAPI.

ICC staining NaV1.7 in Hela cells (green). The nuclear counter stain is DAPI (blue). Cells were fixed in paraformaldehyde, permeabilised with 0.25% Triton X100/PBS.
quantity: 100μl
price: 330 USD
to the supplier
domestic rabbit polyclonal
reactivity: human, rat
application: immunohistochemistry - paraffin section
reactivity: human, rat
application: immunohistochemistry - paraffin section

ICC staining NaV1.7 in SH-SY5Y cells (green). The nuclear counter stain is DAPI (blue). Cells were fixed in paraformaldehyde, permeabilised with 0.25% Triton X100/PBS.

ICC staining NaV1.7 in A549 cells (green). The nuclear counter stain is DAPI (blue). Cells were fixed in paraformaldehyde, permeabilised with 0.25% Triton X100/PBS.

ICC staining NaV1.7 in Hela cells (green). The nuclear counter stain is DAPI (blue). Cells were fixed in paraformaldehyde, permeabilised with 0.25% Triton X100/PBS.
quantity: 100μl
price: 330 USD
to the supplier
mouse monoclonal (1D6)
reactivity: human
application: western blot, flow cytometry, immunohistochemistry - paraffin section
reactivity: human
application: western blot, flow cytometry, immunohistochemistry - paraffin section
