Sign in
Sign up
home
>
HUABIO
> HUABIO MAPK12 antibody
p38 gamma/MAPK12
HUABIO
catalog: HA722017
domestic rabbit monoclonal (PSH03-58)
reactivity:
human
,
mouse
,
rat
application:
western blot
,
flow cytometry
,
immunohistochemistry - paraffin section
Western blot analysis of p38 gamma/MAPK12 on different lysates with Rabbit anti-p38 gamma/MAPK12 antibody (HA722017) at 1/2,000 dilution and competitor's antibody at 1/2,000 dilution. Lane 1: 293T cell lysate Lane 2: HeLa cell lysate Lane 3: K-562 cell lysate Lane 4: Neuro-2a cell lysate Lane 5: PC-12 cell lysate Lane 6: Mouse heart tissue lysate Lane 7: Mouse skeletal muscle tissue lysate Lane 8: Rat skeletal muscle tissue lysate Lane 9: Rat heart tissue lysate Lysates/proteins at 30 µg/Lane. Predicted band size: 42 kDa Observed band size: 42 kDa Exposure time: 40 seconds; 4-20% SDS-PAGE gel. Proteins were transferred to a PVDF membrane and blocked with 5% NFDM/TBST for 1 hour at room temperature. The primary antibody (HA722017) at 1/2,000 dilution and competitor's antibody at 1/2,000 dilution were used in 5% NFDM/TBST at 4℃ overnight. Goat Anti-Rabbit IgG - HRP Secondary Antibody (HA1001) at 1/50,000 dilution was used for 1 hour at room temperature.
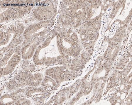
Immunohistochemical analysis of paraffin-embedded human colon cancer tissue with Rabbit anti-p38 gamma/MAPK12 antibody (HA722017) at 1/1,000 dilution. The section was pre-treated using heat mediated antigen retrieval with sodium citrate buffer (pH 6.0) (high pressure) for 2 minutes. The tissues were blocked in 1% BSA for 20 minutes at room temperature, washed with ddH2O and PBS, and then probed with the primary antibody (HA722017) at 1/1,000 dilution for 1 hour at room temperature. The detection was performed using an HRP conjugated compact polymer system. DAB was used as the chromogen. Tissues were counterstained with hematoxylin and mounted with DPX.
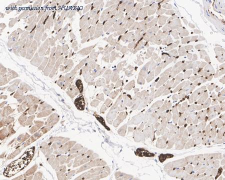
Immunohistochemical analysis of paraffin-embedded human heart tissue with Rabbit anti-p38 gamma/MAPK12 antibody (HA722017) at 1/1,000 dilution. The section was pre-treated using heat mediated antigen retrieval with sodium citrate buffer (pH 6.0) (high pressure) for 2 minutes. The tissues were blocked in 1% BSA for 20 minutes at room temperature, washed with ddH2O and PBS, and then probed with the primary antibody (HA722017) at 1/1,000 dilution for 1 hour at room temperature. The detection was performed using an HRP conjugated compact polymer system. DAB was used as the chromogen. Tissues were counterstained with hematoxylin and mounted with DPX.
quantity: 100μl
price: 385.00 USD
to the supplier
p38 beta/MAPK11 + p38 gamma/MAPK12 + p38 delta/MAPK13
HUABIO
catalog: HA722018
domestic rabbit monoclonal (PSH03-59)
reactivity:
human
,
mouse
,
rat
application:
western blot
Western blot analysis of p38 beta/MAPK11 + p38 gamma/MAPK12 + p38 delta/MAPK13 on different lysates with Rabbit anti-p38 beta/MAPK11 + p38 gamma/MAPK12 + p38 delta/MAPK13 antibody (HA722018) at 1/2,000 dilution. Lane 1: 293T cell lysate (30 µg/Lane) Lane 2: HeLa cell lysate (30 µg/Lane) Lane 3: MCF7 cell lysate (30 µg/Lane) Lane 4: K-562 cell lysate (30 µg/Lane) Lane 5: MDA-MB-231 cell lysate (30 µg/Lane) Lane 6: COS-1 cell lysate (30 µg/Lane) Lane 7: RAW264.7 cell lysate (30 µg/Lane) Lane 8: Neuro-2a cell lysate (30 µg/Lane) Lane 9: PC-12 cell lysate (30 µg/Lane) Predicted band size: 42 kDa Observed band size: 42 kDa Exposure time: 1 minute 2 seconds; ECL: K1802; 4-20% SDS-PAGE gel. Proteins were transferred to a PVDF membrane and blocked with 5% NFDM/TBST for 1 hour at room temperature. The primary antibody (HA722018) at 1/2,000 dilution was used in 5% NFDM/TBST at 4℃ overnight. Goat Anti-Rabbit IgG - HRP Secondary Antibody (HA1001) at 1/50,000 dilution was used for 1 hour at room temperature.
Western blot analysis of p38 beta/MAPK11 + p38 gamma/MAPK12 + p38 delta/MAPK13 with Rabbit anti-p38 beta/MAPK11 + p38 gamma/MAPK12 + p38 delta/MAPK13 antibody (HA722018) at 1/2,000 dilution. Lane 1: Human p38 gamma recombinant protein, 30ng/Lane Lane 2: Human p38 alpha recombinant protein, 50ng/Lane Lane 3: Human p38 delta recombinant protein, 50ng/Lane Lane 4: Human p38 beta recombinant protein, 50ng/Lane Exposure time: 5 seconds; ECL: K1801; 4-20% SDS-PAGE gel. Proteins were transferred to a PVDF membrane and blocked with 5% NFDM/TBST for 1 hour at room temperature. The primary antibody (HA722018) at 1/2,000 dilution was used in 5% NFDM/TBST at room temperature for 2 hours. Goat Anti-Rabbit IgG - HRP Secondary Antibody (HA1001) at 1/50,000 dilution was used for 1 hour at room temperature.
quantity: 100μl
price: 385.00 USD
to the supplier
p38 alpha/MAPK14 + p38 beta/MAPK11 + p38 gamma/MAPK12
HUABIO
catalog: HA722019
domestic rabbit monoclonal (PSH03-60)
reactivity:
human
,
mouse
,
rat
application:
western blot
Western blot analysis of p38 alpha/MAPK14 + p38 beta/MAPK11 + p38 gamma/MAPK12 on different lysates with Rabbit anti-p38 alpha/MAPK14 + p38 beta/MAPK11 + p38 gamma/MAPK12 antibody (HA722019) at 1/2,000 dilution. Lane 1: 293T cell lysate (30 µg/Lane) Lane 2: HeLa cell lysate (30 µg/Lane) Lane 3: K-562 cell lysate (30 µg/Lane) Lane 4: MDA-MB-231 cell lysate (30 µg/Lane) Lane 5: COS-1 cell lysate (30 µg/Lane) Lane 6: Neuro-2a cell lysate (30 µg/Lane) Lane 7: PC-12 cell lysate (30 µg/Lane) Lane 8: Mouse skeletal muscle tissue lysate (30 µg/Lane) Lane 9: Rat skeletal muscle tissue lysate (30 µg/Lane) Lane 10: Rat heart tissue lysate (30 µg/Lane) Predicted band size: 42 kDa Observed band size: 42 kDa Exposure time: 40 seconds; ECL: K1802; 4-20% SDS-PAGE gel. Proteins were transferred to a PVDF membrane and blocked with 5% NFDM/TBST for 1 hour at room temperature. The primary antibody (HA722019) at 1/2,000 dilution was used in 5% NFDM/TBST at 4℃ overnight. Goat Anti-Rabbit IgG - HRP Secondary Antibody (HA1001) at 1/50,000 dilution was used for 1 hour at room temperature.
Western blot analysis of p38 alpha/MAPK14 + p38 beta/MAPK11 + p38 gamma/MAPK12 with Rabbit anti-p38 alpha/MAPK14 + p38 beta/MAPK11 + p38 gamma/MAPK12 antibody (HA722019) at 1/2,000 dilution. Lane 1: Human p38 gamma recombinant protein, 30ng/Lane Lane 2: Human p38 alpha recombinant protein, 50ng/Lane Lane 3: Human p38 delta recombinant protein, 50ng/Lane Lane 4: Human p38 beta recombinant protein, 50ng/Lane Exposure time: 43 seconds; ECL: K1801; 4-20% SDS-PAGE gel. Proteins were transferred to a PVDF membrane and blocked with 5% NFDM/TBST for 1 hour at room temperature. The primary antibody (HA722019) at 1/2,000 dilution was used in 5% NFDM/TBST at room temperature for 2 hours. Goat Anti-Rabbit IgG - HRP Secondary Antibody (HA1001) at 1/50,000 dilution was used for 1 hour at room temperature.
quantity: 100μl
price: 385.00 USD
to the supplier
p38 MAPK
HUABIO
catalog: HA722036
domestic rabbit polyclonal (PSH03-72)
reactivity:
human
,
mouse
,
rat
application:
western blot
Western blot analysis of p38 MAPK on different lysates with Rabbit anti-p38 MAPK antibody (HA722036) at 1/1,000 dilution. Lane 1: 293T cell lysate Lane 2: HeLa cell lysate Lane 3: K-562 cell lysate Lane 4: COS-1 cell lysate Lane 5: Neuro-2a cell lysate Lane 6: PC-12 cell lysate Lysates/proteins at 30 µg/Lane. Predicted band size: 42 kDa Observed band size: 42 kDa Exposure time: 4 seconds; 4-20% SDS-PAGE gel. Proteins were transferred to a PVDF membrane and blocked with 5% NFDM/TBST for 1 hour at room temperature. The primary antibody (HA722036) at 1/1,000 dilution was used in 5% NFDM/TBST at 4℃ overnight. Goat Anti-Rabbit IgG - HRP Secondary Antibody (HA1001) at 1/50,000 dilution was used for 1 hour at room temperature.
quantity: 100μl
price: 385.00 USD
to the supplier
p38 gamma/MAPK12
HUABIO
catalog: HA750892
domestic rabbit monoclonal (PSH03-58)
reactivity:
human
,
mouse
,
rat
application:
western blot
,
flow cytometry
,
immunohistochemistry - paraffin section
Western blot analysis of p38 gamma/MAPK12 on different lysates with Rabbit anti-p38 gamma/MAPK12 antibody (HA750892) at 1/2,000 dilution and competitor's antibody at 1/2,000 dilution. Lane 1: 293T cell lysate Lane 2: HeLa cell lysate Lane 3: K-562 cell lysate Lane 4: Neuro-2a cell lysate Lane 5: PC-12 cell lysate Lane 6: Mouse heart tissue lysate Lane 7: Mouse skeletal muscle tissue lysate Lane 8: Rat skeletal muscle tissue lysate Lane 9: Rat heart tissue lysate Lysates/proteins at 30 µg/Lane. Predicted band size: 42 kDa Observed band size: 42 kDa Exposure time: 40 seconds; 4-20% SDS-PAGE gel. Proteins were transferred to a PVDF membrane and blocked with 5% NFDM/TBST for 1 hour at room temperature. The primary antibody (HA750892) at 1/2,000 dilution and competitor's antibody at 1/2,000 dilution were used in 5% NFDM/TBST at 4℃ overnight. Goat Anti-Rabbit IgG - HRP Secondary Antibody (HA1001) at 1/50,000 dilution was used for 1 hour at room temperature.
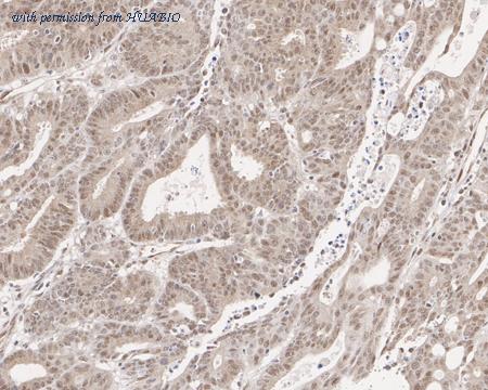
Immunohistochemical analysis of paraffin-embedded human colon cancer tissue with Rabbit anti-p38 gamma/MAPK12 antibody (HA750892) at 1/1,000 dilution. The section was pre-treated using heat mediated antigen retrieval with sodium citrate buffer (pH 6.0) (high pressure) for 2 minutes. The tissues were blocked in 1% BSA for 20 minutes at room temperature, washed with ddH2O and PBS, and then probed with the primary antibody (HA750892) at 1/1,000 dilution for 1 hour at room temperature. The detection was performed using an HRP conjugated compact polymer system. DAB was used as the chromogen. Tissues were counterstained with hematoxylin and mounted with DPX.
Immunohistochemical analysis of paraffin-embedded human heart tissue with Rabbit anti-p38 gamma/MAPK12 antibody (HA750892) at 1/1,000 dilution. The section was pre-treated using heat mediated antigen retrieval with sodium citrate buffer (pH 6.0) (high pressure) for 2 minutes. The tissues were blocked in 1% BSA for 20 minutes at room temperature, washed with ddH2O and PBS, and then probed with the primary antibody (HA750892) at 1/1,000 dilution for 1 hour at room temperature. The detection was performed using an HRP conjugated compact polymer system. DAB was used as the chromogen. Tissues were counterstained with hematoxylin and mounted with DPX.
quantity: 100μl
price: 649.00 USD
to the supplier
p38 beta/MAPK11 + p38 gamma/MAPK12 + p38 delta/MAPK13
HUABIO
catalog: HA750893
domestic rabbit monoclonal (PSH03-59)
reactivity:
human
,
mouse
,
rat
application:
western blot
Western blot analysis of p38 beta/MAPK11 + p38 gamma/MAPK12 + p38 delta/MAPK13 on different lysates with Rabbit anti-p38 beta/MAPK11 + p38 gamma/MAPK12 + p38 delta/MAPK13 antibody (HA750893) at 1/2,000 dilution. Lane 1: 293T cell lysate (30 µg/Lane) Lane 2: HeLa cell lysate (30 µg/Lane) Lane 3: MCF7 cell lysate (30 µg/Lane) Lane 4: K-562 cell lysate (30 µg/Lane) Lane 5: MDA-MB-231 cell lysate (30 µg/Lane) Lane 6: COS-1 cell lysate (30 µg/Lane) Lane 7: RAW264.7 cell lysate (30 µg/Lane) Lane 8: Neuro-2a cell lysate (30 µg/Lane) Lane 9: PC-12 cell lysate (30 µg/Lane) Predicted band size: 42 kDa Observed band size: 42 kDa Exposure time: 1 minute 2 seconds; ECL: K1802; 4-20% SDS-PAGE gel. Proteins were transferred to a PVDF membrane and blocked with 5% NFDM/TBST for 1 hour at room temperature. The primary antibody (HA750893) at 1/2,000 dilution was used in 5% NFDM/TBST at 4℃ overnight. Goat Anti-Rabbit IgG - HRP Secondary Antibody (HA1001) at 1/50,000 dilution was used for 1 hour at room temperature.
Western blot analysis of p38 beta/MAPK11 + p38 gamma/MAPK12 + p38 delta/MAPK13 with Rabbit anti-p38 beta/MAPK11 + p38 gamma/MAPK12 + p38 delta/MAPK13 antibody (HA750893) at 1/2,000 dilution. Lane 1: Human p38 gamma recombinant protein, 30ng/Lane Lane 2: Human p38 alpha recombinant protein, 50ng/Lane Lane 3: Human p38 delta recombinant protein, 50ng/Lane Lane 4: Human p38 beta recombinant protein, 50ng/Lane Exposure time: 5 seconds; ECL: K1801; 4-20% SDS-PAGE gel. Proteins were transferred to a PVDF membrane and blocked with 5% NFDM/TBST for 1 hour at room temperature. The primary antibody (HA750893) at 1/2,000 dilution was used in 5% NFDM/TBST at room temperature for 2 hours. Goat Anti-Rabbit IgG - HRP Secondary Antibody (HA1001) at 1/50,000 dilution was used for 1 hour at room temperature.
quantity: 100μl
price: 649.00 USD
to the supplier
p38 alpha/MAPK14 + p38 beta/MAPK11 + p38 gamma/MAPK12
HUABIO
catalog: HA750894
domestic rabbit monoclonal (PSH03-60)
reactivity:
human
,
mouse
,
rat
application:
western blot
Western blot analysis of p38 alpha/MAPK14 + p38 beta/MAPK11 + p38 gamma/MAPK12 on different lysates with Rabbit anti-p38 alpha/MAPK14 + p38 beta/MAPK11 + p38 gamma/MAPK12 antibody (HA750894) at 1/2,000 dilution. Lane 1: 293T cell lysate (30 µg/Lane) Lane 2: HeLa cell lysate (30 µg/Lane) Lane 3: K-562 cell lysate (30 µg/Lane) Lane 4: MDA-MB-231 cell lysate (30 µg/Lane) Lane 5: COS-1 cell lysate (30 µg/Lane) Lane 6: Neuro-2a cell lysate (30 µg/Lane) Lane 7: PC-12 cell lysate (30 µg/Lane) Lane 8: Mouse skeletal muscle tissue lysate (30 µg/Lane) Lane 9: Rat skeletal muscle tissue lysate (30 µg/Lane) Lane 10: Rat heart tissue lysate (30 µg/Lane) Predicted band size: 42 kDa Observed band size: 42 kDa Exposure time: 40 seconds; ECL: K1802; 4-20% SDS-PAGE gel. Proteins were transferred to a PVDF membrane and blocked with 5% NFDM/TBST for 1 hour at room temperature. The primary antibody (HA750894) at 1/2,000 dilution was used in 5% NFDM/TBST at 4℃ overnight. Goat Anti-Rabbit IgG - HRP Secondary Antibody (HA1001) at 1/50,000 dilution was used for 1 hour at room temperature.
Western blot analysis of p38 alpha/MAPK14 + p38 beta/MAPK11 + p38 gamma/MAPK12 with Rabbit anti-p38 alpha/MAPK14 + p38 beta/MAPK11 + p38 gamma/MAPK12 antibody (HA750894) at 1/2,000 dilution. Lane 1: Human p38 gamma recombinant protein, 30ng/Lane Lane 2: Human p38 alpha recombinant protein, 50ng/Lane Lane 3: Human p38 delta recombinant protein, 50ng/Lane Lane 4: Human p38 beta recombinant protein, 50ng/Lane Exposure time: 43 seconds; ECL: K1801; 4-20% SDS-PAGE gel. Proteins were transferred to a PVDF membrane and blocked with 5% NFDM/TBST for 1 hour at room temperature. The primary antibody (HA750894) at 1/2,000 dilution was used in 5% NFDM/TBST at room temperature for 2 hours. Goat Anti-Rabbit IgG - HRP Secondary Antibody (HA1001) at 1/50,000 dilution was used for 1 hour at room temperature.
quantity: 100μl
price: 649.00 USD
to the supplier
p38 MAPK
HUABIO
catalog: HA750906
domestic rabbit polyclonal (PSH03-72)
reactivity:
human
,
mouse
,
rat
application:
western blot
Western blot analysis of p38 MAPK on different lysates with Rabbit anti-p38 MAPK antibody (HA750906) at 1/1,000 dilution. Lane 1: 293T cell lysate Lane 2: HeLa cell lysate Lane 3: K-562 cell lysate Lane 4: COS-1 cell lysate Lane 5: Neuro-2a cell lysate Lane 6: PC-12 cell lysate Lysates/proteins at 30 µg/Lane. Predicted band size: 42 kDa Observed band size: 42 kDa Exposure time: 4 seconds; 4-20% SDS-PAGE gel. Proteins were transferred to a PVDF membrane and blocked with 5% NFDM/TBST for 1 hour at room temperature. The primary antibody (HA750906) at 1/1,000 dilution was used in 5% NFDM/TBST at 4℃ overnight. Goat Anti-Rabbit IgG - HRP Secondary Antibody (HA1001) at 1/50,000 dilution was used for 1 hour at room temperature.
quantity: 100μl
price: 649.00 USD
to the supplier