Sign in
Sign up
home
>
HUABIO
> HUABIO Cd274 antibody
Mouse PD-L1
HUABIO
catalog: HA720213F
domestic rabbit monoclonal (PSH05-04)
reactivity:
mouse
conjugate: FITC
application:
flow cytometry
Flow cytometric analysis of RAW264.7 cells treated with or without 10μg/mL LPS for 8 hours labeling Mouse PD-L1. Cells were washed twice with cold PBS and resuspend. Then incubated for 1 hour at +4℃ with Mouse PD-L1 (HA720213F, red, 1μg/mL) and Rabbit IgG Isotype Control (FITC, green, 1μg/mL). Unlabelled sample was used as a control (cells without incubation with primary antibody; black).
quantity: 100μl
price: 429.00 USD
to the supplier
PD-L1
HUABIO
catalog: HA722184
domestic rabbit monoclonal (PSH04-80)
reactivity:
mouse
application:
western blot
,
immunohistochemistry - paraffin section
Western blot analysis of PD-L1 on different lysates with Rabbit anti-PD-L1 antibody (HA722184) at 1/2,000 dilution. Lane 1: RAW264.7 cell lysate Lane 2: RAW264.7 treated with 10μg/mL LPS for 8 hours cell lysate Lane 3: J774A.1 cell lysate Lane 4: J774A.1 treated with 1μg/mL LPS for 24 hours cell lysate Lane 5: Mouse spleen tissue lysate Lysates/proteins at 30 µg/Lane. Predicted band size: 33 kDa Observed band size: 45-60 kDa Exposure time: 46 seconds; ECL: K1802; 4-20% SDS-PAGE gel. Proteins were transferred to a PVDF membrane and blocked with 5% NFDM/TBST for 1 hour at room temperature. The primary antibody (HA722184) at 1/2,000 dilution was used in 5% NFDM/TBST at 4℃ overnight. Goat Anti-Rabbit IgG - HRP Secondary Antibody (HA1001) at 1/50,000 dilution was used for 1 hour at room temperature.
Fluorescence multiplex immunohistochemical analysis of mouse spleen (Formalin/PFA-fixed paraffin-embedded sections). Panel A: the merged image of anti-PD-L1 (HA722184, Green) and anti-Ki67 (HA721115, Violet) on spleen. HRP Conjugated UltraPolymer Goat Polyclonal Antibody HA1119/HA1120 was used as a secondary antibody. The immunostaining was performed with the Sequential Immuno-staining Kit (IRISKit™MH010101, www.luminiris.cn). The section was incubated in two rounds of staining: in the order of HA722184 (1/500 dilution) and HA721115 (1/2,000 dilution) for 20 mins at room temperature. Each round was followed by a separate fluorescent tyramide signal amplification system. Heat mediated antigen retrieval with Tris-EDTA buffer (pH 9.0) for 30 mins at 95℃. DAPI (blue) was used as a nuclear counter stain. Image acquisition was performed with Olympus VS200 Slide Scanner.
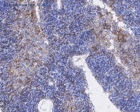
Immunohistochemical analysis of paraffin-embedded mouse thymus tissue with Rabbit anti-PD-L1 antibody (HA722184) at 1/200 dilution. The section was pre-treated using heat mediated antigen retrieval with Tris-EDTA buffer (pH 9.0) for 20 minutes. The tissues were blocked in 1% BSA for 20 minutes at room temperature, washed with ddH2O and PBS, and then probed with the primary antibody (HA722184) at 1/200 dilution for 1 hour at room temperature. The detection was performed using an HRP conjugated compact polymer system. DAB was used as the chromogen. Tissues were counterstained with hematoxylin and mounted with DPX.
quantity: 100μl
price: 385.00 USD
to the supplier
Mouse PD-L1
HUABIO
catalog: HA722189
domestic rabbit monoclonal (PSH04-83)
reactivity:
mouse
application:
ELISA
Sandwich ELISA analysis of Mouse PD-L1 matched pair antibodies Elisa assay was performed by coating wells of a 96-well plate with 50 µl per well of capture antibody (HA722189) diluted in carbonate/bicarbonate buffer, at a concentration of 2 µg/mL overnight at 4℃. Wells of the plate were washed, blocked with 150 µl 0.05% tween-20 1%BSA blocking buffer, and incubated with serial diluted Recombinant Mouse PD-L1 protein (HA210689) starting from 5000 pg/ml to 0 pg/ml and detect antibody (HA722190, Biotin, 0.2 µg/ml) for 1 hour at 30℃ with shaking. Then the plate was washed and incubated with 50 µl per well of SA-HRP for 0.5 hour at 30℃ with shaking. Detection was performed using an Ultra TMB Substrate for 10 minutes at room temperature in the dark. The reaction was stopped with sulfuric acid and absorbances were read on a spectrophotometer at 450 nm.
bEnd.3 cells were stimulated with 100 ng/ml mouse IFN-γ or vehicle control in 90%DMEM-H+10%FBS medium and incubated for 48 hours.The concentrations of PD-L1 were interpolated from the PD-L1 standard curves and corrected for sample dilution.Undiluted samples are mouse IFN-γ stimulated bEnd.3 cell extract 10% and unstimulated bEnd.3 cell extract 10%. The mean PD-L1 concentration was determined to be 26,524 pg/ml in mouse IFN-γ stimulated bEnd.3 cell extract and 1,337 pg/ml in the unstimulated bEnd.3 cell extract control.
Raw264.7 cells were stimulated with 100 ng/ml mouse IFN-γ or vehicle control in DMEM-H+10%FBS medium and incubated for 48 hours.The concentrations of PD-L1 were interpolated from the PD-L1 standard curves and corrected for sample dilution.Undiluted samples are mouse IFN-γ stimulated Raw264.7 cell extract 10% and unstimulated Raw264.7 cell extract 10%. The mean PD-L1 concentration was determined to be 11,723 pg/ml in mouse IFN-γ stimulated Raw264.7 cell extract and 471 pg/ml in the unstimulated Raw264.7 cell extract control.
quantity: 100μl
price: 649.00 USD
to the supplier
Mouse PD-L1
HUABIO
catalog: HA722190
domestic rabbit monoclonal (PSH04-84)
reactivity:
mouse
application:
ELISA
Sandwich ELISA analysis of Mouse PD-L1 matched pair antibodies Elisa assay was performed by coating wells of a 96-well plate with 50 µl per well of capture antibody (HA722189) diluted in carbonate/bicarbonate buffer, at a concentration of 2 µg/mL overnight at 4℃. Wells of the plate were washed, blocked with 150 µl 0.05% tween-20 1%BSA blocking buffer, and incubated with serial diluted Recombinant Mouse PD-L1 protein (HA210689) starting from 5000 pg/ml to 0 pg/ml and detect antibody (HA722190, Biotin, 0.2 µg/ml) for 1 hour at 30℃ with shaking. Then the plate was washed and incubated with 50 µl per well of SA-HRP for 0.5 hour at 30℃ with shaking. Detection was performed using an Ultra TMB Substrate for 10 minutes at room temperature in the dark. The reaction was stopped with sulfuric acid and absorbances were read on a spectrophotometer at 450 nm.
bEnd.3 cells were stimulated with 100 ng/ml mouse IFN-γ or vehicle control in 90%DMEM-H+10%FBS medium and incubated for 48 hours.The concentrations of PD-L1 were interpolated from the PD-L1 standard curves and corrected for sample dilution.Undiluted samples are mouse IFN-γ stimulated bEnd.3 cell extract 10% and unstimulated bEnd.3 cell extract 10%. The mean PD-L1 concentration was determined to be 26,524 pg/ml in mouse IFN-γ stimulated bEnd.3 cell extract and 1,337 pg/ml in the unstimulated bEnd.3 cell extract control.
Raw264.7 cells were stimulated with 100 ng/ml mouse IFN-γ or vehicle control in DMEM-H+10%FBS medium and incubated for 48 hours.The concentrations of PD-L1 were interpolated from the PD-L1 standard curves and corrected for sample dilution.Undiluted samples are mouse IFN-γ stimulated Raw264.7 cell extract 10% and unstimulated Raw264.7 cell extract 10%. The mean PD-L1 concentration was determined to be 11,723 pg/ml in mouse IFN-γ stimulated Raw264.7 cell extract and 471 pg/ml in the unstimulated Raw264.7 cell extract control.
quantity: 100μl
price: 649.00 USD
to the supplier
Mouse PD-L1
HUABIO
catalog: HA722208
domestic rabbit monoclonal (PSH05-03)
reactivity:
mouse
application:
flow cytometry
Flow cytometric analysis of RAW264.7 cells treated with 10μg/mL LPS for 8 hours labeling Mouse PD-L1. Cells were washed twice with cold PBS and resuspend. Then stained with the primary antibody (HA722208, 1μg/mL) (red) compared with Rabbit IgG Isotype Control (green). After incubation of the primary antibody at +4℃ for an hour, the cells were stained with a iFluor™ 488 conjugate-Goat anti-Rabbit IgG Secondary antibody (HA1121) at 1/1,000 dilution for 30 minutes at +4℃. Unlabelled sample was used as a control (cells without incubation with primary antibody; black).
quantity: 100μl
price: 385.00 USD
to the supplier
Mouse PD-L1
HUABIO
catalog: HA722209
domestic rabbit monoclonal (PSH05-04)
reactivity:
mouse
application:
flow cytometry
Flow cytometric analysis of RAW264.7 cells treated with 10μg/mL LPS for 8 hours labeling Mouse PD-L1. Cells were washed twice with cold PBS and resuspend. Then stained with the primary antibody (HA722209, 1μg/mL) (red) compared with Rabbit IgG Isotype Control (green). After incubation of the primary antibody at +4℃ for an hour, the cells were stained with a iFluor™ 488 conjugate-Goat anti-Rabbit IgG Secondary antibody (HA1121) at 1/1,000 dilution for 30 minutes at +4℃. Unlabelled sample was used as a control (cells without incubation with primary antibody; black).
quantity: 100μl
price: 385.00 USD
to the supplier
Mouse PD-L1
HUABIO
catalog: HA722602B
domestic rabbit monoclonal (PSH04-84)
reactivity:
mouse
conjugate: biotin
application:
ELISA
quantity: 100μl
price: 409.00 USD
to the supplier
PD-L1
HUABIO
catalog: HA723510
domestic rabbit polyclonal (PSH13-23)
reactivity:
human
,
mouse
application:
western blot
Western blot analysis of PD-L1 on different lysates with Rabbit anti-PD-L1 antibody (HA723510) at 1/2,000 dilution. Lane 1: MDA-MB-231 cell lysate Lane 2: MCF7 cell lysate (negative) Lane 3: U-87 MG cell lysate Lane 4: HepG2 cell lysate (negative) Lysates/proteins at 20 µg/Lane. Predicted band size: 33 kDa Observed band size: 45-55 kDa Exposure time: 20 seconds; ECL: K1801; 4-20% SDS-PAGE gel. Proteins were transferred to a PVDF membrane and blocked with 5% NFDM/TBST for 1 hour at room temperature. The primary antibody (HA723510) at 1/2,000 dilution was used in 5% NFDM/TBST at 4℃ overnight. Goat Anti-Rabbit IgG - HRP Secondary Antibody (HA1001) at 1/50,000 dilution was used for 1 hour at room temperature.
Western blot analysis of PD-L1 on different lysates with Rabbit anti-PD-L1 antibody (HA723510) at 1/2,000 dilution. Lane 1: RAW264.7 cell lysate Lane 2: RAW264.7 treated with 10μg/mL LPS for 8 hours cell lysate Lane 3: J774A.1 cell lysate Lane 4: J774A.1 treated with 1μg/mL LPS for 24 hours cell lysate Lane 5: Mouse spleen tissue lysate Lane 6: Mouse lung tissue lysate Lysates/proteins at 20 µg/Lane. Predicted band size: 33 kDa Observed band size: 45-55 kDa Exposure time: 59 seconds; ECL: K1802; 4-20% SDS-PAGE gel. Proteins were transferred to a PVDF membrane and blocked with 5% NFDM/TBST for 1 hour at room temperature. The primary antibody (HA723510) at 1/2,000 dilution was used in 5% NFDM/TBST at 4℃ overnight. Goat Anti-Rabbit IgG - HRP Secondary Antibody (HA1001) at 1/50,000 dilution was used for 1 hour at room temperature.
quantity: 100μl
price: 385.00 USD
to the supplier
PD-L1
HUABIO
catalog: HA750974
domestic rabbit monoclonal (PSH04-80)
reactivity:
mouse
application:
western blot
,
immunohistochemistry - paraffin section
Western blot analysis of PD-L1 on different lysates with Rabbit anti-PD-L1 antibody (HA750974) at 1/2,000 dilution. Lane 1: RAW264.7 cell lysate Lane 2: RAW264.7 treated with 10μg/mL LPS for 8 hours cell lysate Lane 3: J774A.1 cell lysate Lane 4: J774A.1 treated with 1μg/mL LPS for 24 hours cell lysate Lane 5: Mouse spleen tissue lysate Lysates/proteins at 30 µg/Lane. Predicted band size: 33 kDa Observed band size: 45-60 kDa Exposure time: 46 seconds; ECL: K1802; 4-20% SDS-PAGE gel. Proteins were transferred to a PVDF membrane and blocked with 5% NFDM/TBST for 1 hour at room temperature. The primary antibody (HA750974) at 1/2,000 dilution was used in 5% NFDM/TBST at 4℃ overnight. Goat Anti-Rabbit IgG - HRP Secondary Antibody (HA1001) at 1/50,000 dilution was used for 1 hour at room temperature.
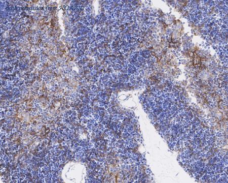
Immunohistochemical analysis of paraffin-embedded mouse thymus tissue with Rabbit anti-PD-L1 antibody (HA750974) at 1/200 dilution. The section was pre-treated using heat mediated antigen retrieval with Tris-EDTA buffer (pH 9.0) for 20 minutes. The tissues were blocked in 1% BSA for 20 minutes at room temperature, washed with ddH2O and PBS, and then probed with the primary antibody (HA750974) at 1/200 dilution for 1 hour at room temperature. The detection was performed using an HRP conjugated compact polymer system. DAB was used as the chromogen. Tissues were counterstained with hematoxylin and mounted with DPX.
Immunohistochemical analysis of paraffin-embedded mouse lung tissue with Rabbit anti-PD-L1 antibody (HA750974) at 1/200 dilution. The section was pre-treated using heat mediated antigen retrieval with Tris-EDTA buffer (pH 9.0) for 20 minutes. The tissues were blocked in 1% BSA for 20 minutes at room temperature, washed with ddH2O and PBS, and then probed with the primary antibody (HA750974) at 1/200 dilution for 1 hour at room temperature. The detection was performed using an HRP conjugated compact polymer system. DAB was used as the chromogen. Tissues were counterstained with hematoxylin and mounted with DPX.
quantity: 100μl
price: 649.00 USD
to the supplier
PD-L1
HUABIO
catalog: HA751459
domestic rabbit polyclonal (PSH13-23)
reactivity:
human
,
mouse
application:
western blot
Western blot analysis of PD-L1 on different lysates with Rabbit anti-PD-L1 antibody (HA751459) at 1/2,000 dilution. Lane 1: MDA-MB-231 cell lysate Lane 2: MCF7 cell lysate (negative) Lane 3: U-87 MG cell lysate Lane 4: HepG2 cell lysate (negative) Lysates/proteins at 20 µg/Lane. Predicted band size: 33 kDa Observed band size: 45-55 kDa Exposure time: 20 seconds; ECL: K1801; 4-20% SDS-PAGE gel. Proteins were transferred to a PVDF membrane and blocked with 5% NFDM/TBST for 1 hour at room temperature. The primary antibody (HA751459) at 1/2,000 dilution was used in 5% NFDM/TBST at 4℃ overnight. Goat Anti-Rabbit IgG - HRP Secondary Antibody (HA1001) at 1/50,000 dilution was used for 1 hour at room temperature.
Western blot analysis of PD-L1 on different lysates with Rabbit anti-PD-L1 antibody (HA751459) at 1/2,000 dilution. Lane 1: RAW264.7 cell lysate Lane 2: RAW264.7 treated with 10μg/mL LPS for 8 hours cell lysate Lane 3: J774A.1 cell lysate Lane 4: J774A.1 treated with 1μg/mL LPS for 24 hours cell lysate Lane 5: Mouse spleen tissue lysate Lane 6: Mouse lung tissue lysate Lysates/proteins at 20 µg/Lane. Predicted band size: 33 kDa Observed band size: 45-55 kDa Exposure time: 59 seconds; ECL: K1802; 4-20% SDS-PAGE gel. Proteins were transferred to a PVDF membrane and blocked with 5% NFDM/TBST for 1 hour at room temperature. The primary antibody (HA751459) at 1/2,000 dilution was used in 5% NFDM/TBST at 4℃ overnight. Goat Anti-Rabbit IgG - HRP Secondary Antibody (HA1001) at 1/50,000 dilution was used for 1 hour at room temperature.
quantity: 100μl
price: 649.00 USD
to the supplier
PD-L1
HUABIO
catalog: IRS059
domestic rabbit monoclonal
reactivity:
mouse
mIHC analysis of mouse spleen tissue (Formalin/PFA-fixed paraffin-embedded sections) with PD-L1 (IRS059), HLA-DR (IRS062), Ly6G and aSMA (IRS048) antibody at 1/100 dilution. The immunostaining was performed with the IRISKitCmTSA Kit (900802). Heat mediated antigen retrieval with Tris-EDTA buffer (pH 9.0) for 30 mins at 95℃. DAPI (blue) was used as a nuclear counter stain. Image acquisition was performed with Olympus VS200 Slide Scanner.
mIHC analysis of mouse spleen tissue (Formalin/PFA-fixed paraffin-embedded sections) with PD-L1 (IRS059), F4/80 (IRS052), FOXP3 (IRS053), CD11c and CD4 (IRS051) antibody at 1/100 dilution. The immunostaining was performed with the IRISKitCmTSA Kit (900802). Heat mediated antigen retrieval with Tris-EDTA buffer (pH 9.0) for 30 mins at 95℃. DAPI (blue) was used as a nuclear counter stain. Image acquisition was performed with Olympus VS200 Slide Scanner.
mIHC analysis of mouse osteosarcoma subcutaneous tumor tissue (Formalin/PFA-fixed paraffin-embedded sections) with Rabbit anti-PD-L1 antibody (IRS059) at 1/100 dilution. The immunostaining was performed with the IRISKitCmTSA Kit (900808). Heat mediated antigen retrieval with Tris-EDTA buffer (pH 9.0) for 30 mins at 95℃. DAPI (blue) was used as a nuclear counter stain. Image acquisition was performed with Olympus VS200 Slide Scanner.
quantity: 100μl
price: 385.00 USD
to the supplier