Sign in
Sign up
home
>
HUABIO
> HUABIO Bcl 2 antibody
Bcl-2
HUABIO
catalog: EM1701-82
mouse monoclonal (9F1)
reactivity:
human
application:
western blot
,
immunohistochemistry - paraffin section
Western blot analysis of Bcl-2 on THP-1 cell lysates with Mouse anti-Bcl-2 antibody (EM1701-82) at 1/500 dilution. Lysates/proteins at 10 µg/Lane. Predicted band size: 26 kDa Observed band size: 26 kDa Exposure time: 1 minute; 12% SDS-PAGE gel. Proteins were transferred to a PVDF membrane and blocked with 5% NFDM/TBST for 1 hour at room temperature. The primary antibody (EM1701-82) at 1/500 dilution was used in 5% NFDM/TBST at room temperature for 2 hours. Goat Anti-Mouse IgG - HRP Secondary Antibody (HA1006) at 1:100,000 dilution was used for 1 hour at room temperature.
Immunohistochemical analysis of paraffin-embedded human tonsil tissue using anti-BCL2 antibody. Counter stained with hematoxylin.
quantity: 100μl
price: 360.00 USD
to the supplier
Bcl-2
HUABIO
catalog: EM1701-83
mouse monoclonal (9F3)
reactivity:
human
application:
western blot
,
flow cytometry
,
immunohistochemistry - paraffin section
Western blot analysis of Bcl-2 on different lysates with Mouse anti-Bcl-2 antibody (EM1701-83) at 1/1,000 dilution. Lane 1: THP-1 cell lysate Lane 2: HL-60 cell lysate Lysates/proteins at 20 µg/Lane. Predicted band size: 26 kDa Observed band size: 26 kDa Exposure time: 43 seconds; 4-20% SDS-PAGE gel. Proteins were transferred to a PVDF membrane and blocked with 5% NFDM/TBST for 1 hour at room temperature. The primary antibody (EM1701-83) at 1/1,000 dilution was used in 5% NFDM/TBST at 4℃ overnight. Goat Anti-Mouse IgG - HRP Secondary Antibody (HA1006) at 1/50,000 dilution was used for 1 hour at room temperature.
Immunohistochemical analysis of paraffin-embedded human tonsil tissue with Mouse anti-Bcl-2 antibody (EM1701-83) at 1/500 dilution. The section was pre-treated using heat mediated antigen retrieval with Tris-EDTA buffer (pH 9.0) for 20 minutes. The tissues were blocked in 1% BSA for 20 minutes at room temperature, washed with ddH2O and PBS, and then probed with the primary antibody (EM1701-83) at 1/500 dilution for 1 hour at room temperature. The detection was performed using an HRP conjugated compact polymer system. DAB was used as the chromogen. Tissues were counterstained with hematoxylin and mounted with DPX.
Immunohistochemical analysis of paraffin-embedded human b-cell lymphoma tissue with Mouse anti-Bcl-2 antibody (EM1701-83) at 1/2,000 dilution. The section was pre-treated using heat mediated antigen retrieval with Tris-EDTA buffer (pH 9.0) for 20 minutes. The tissues were blocked in 1% BSA for 20 minutes at room temperature, washed with ddH2O and PBS, and then probed with the primary antibody (EM1701-83) at 1/2,000 dilution for 1 hour at room temperature. The detection was performed using an HRP conjugated compact polymer system. DAB was used as the chromogen. Tissues were counterstained with hematoxylin and mounted with DPX.
quantity: 100μl
price: 360.00 USD
to the supplier
Bcl-2
HUABIO
catalog: ER0602
domestic rabbit polyclonal
reactivity:
human
application:
western blot
,
flow cytometry
,
immunohistochemistry - paraffin section
Western blot analysis of Bcl-2 on different lysates with Rabbit anti-Bcl-2 antibody (ER0602) at 1/5,000 dilution. Lane 1: Jurkat cell lysate Lane 2: HL-60 cell lysate Lane 3: THP-1 cell lysate Lysates/proteins at 20 µg/Lane. Predicted band size: 26 kDa Observed band size: 26 kDa Exposure time: 1 minute 2 seconds; 4-20% SDS-PAGE gel. Proteins were transferred to a PVDF membrane and blocked with 5% NFDM/TBST for 1 hour at room temperature. The primary antibody (ER0602) at 1/5,000 dilution was used in 5% NFDM/TBST at 4℃ overnight. Goat Anti-Rabbit IgG - HRP Secondary Antibody (HA1001) at 1:50,000 dilution was used for 1 hour at room temperature.
ICC staining Bcl-2 in Hela cells (green). Cells were fixed in paraformaldehyde, permeabilised with 0.25% Triton X100/PBS.
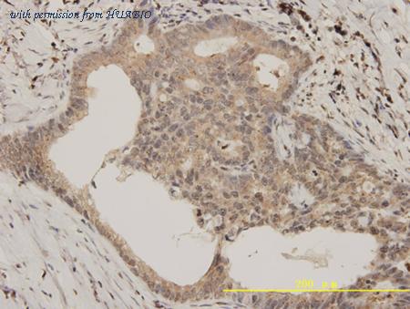
Immunohistochemical analysis of paraffin-embedded human colon carcinoma tissue using anti-Bcl-2 rabbit polyclonal antibody. Counter stained with hematoxylin.
quantity: 100μl
price: 330 USD
to the supplier
Bcl-2
HUABIO
catalog: ER1706-47
domestic rabbit polyclonal
reactivity:
human
application:
western blot
,
flow cytometry
,
immunohistochemistry - paraffin section
Western blot analysis of BCL2 on Hela cell lysate using anti-BCL2 antibody at 1/1,000 dilution.
ICC staining BCL2 in SH-SY5Y cells (green). The nuclear counter stain is DAPI (blue). Cells were fixed in paraformaldehyde, permeabilised with 0.25% Triton X100/PBS.
ICC staining BCL2 in HepG2 cells (green). The nuclear counter stain is DAPI (blue). Cells were fixed in paraformaldehyde, permeabilised with 0.25% Triton X100/PBS.
quantity: 100μl
price: 330 USD
to the supplier
Bcl-2
HUABIO
catalog: ER1802-97
domestic rabbit polyclonal
reactivity:
human
,
mouse
application:
western blot
,
flow cytometry
Western blot analysis of Bcl2 on different lysates using anti-Bcl2 antibody at 1/200 dilution. Positive control: Lane 1: HL-60 Lane 2: Mouse colon
ICC staining Bcl2 in LOVO cells (green). The nuclear counter stain is DAPI (blue). Cells were fixed in paraformaldehyde, permeabilised with 0.25% Triton X100/PBS.
ICC staining Bcl2 in MCF-7 cells (green). The nuclear counter stain is DAPI (blue). Cells were fixed in paraformaldehyde, permeabilised with 0.25% Triton X100/PBS.
quantity: 100μl
price: 330 USD
to the supplier
Bcl-2
HUABIO
catalog: ET1603-11-50UL
domestic rabbit monoclonal (SZ10-03)
reactivity:
human
application:
western blot
,
immunoprecipitation
,
flow cytometry
,
immunohistochemistry - paraffin section
Western blot analysis of Bcl-2 on different lysates with Rabbit anti-Bcl-2 antibody (ET1603-11) at 1/5,000 dilution. Lane 1: HeLa cell lysate (20 µg/Lane) Lane 2: Jurkat cell lysate (20 µg/Lane) Lane 3: MCF7 cell lysate (20 µg/Lane) Lane 4: HL-60 cell lysate (20 µg/Lane) Lane 5: THP-1 cell lysate (20 µg/Lane) Predicted band size: 26 kDa Observed band size: 26 kDa Exposure time: 24 seconds; 4-20% SDS-PAGE gel. Proteins were transferred to a PVDF membrane and blocked with 5% NFDM/TBST for 1 hour at room temperature. The primary antibody (ET1603-11) at 1/5,000 dilution was used in 5% NFDM/TBST at 4℃ overnight. Goat Anti-Rabbit IgG - HRP Secondary Antibody (HA1001) at 1:50,000 dilution was used for 1 hour at room temperature.
Western blot analysis of Bcl-2 on different lysates with Rabbit anti-Bcl-2 antibody (ET1603-11) at 1/1,000 dilution. Lane 1: Hela-si NT cell lysate Lane 2: Hela-si Bcl-2 cell lysate Lysates/proteins at 10 µg/Lane. Predicted band size: 26 kDa Observed band size: 26 kDa Exposure time: 31 seconds; ECL: merk 4-20% SDS-PAGE gel. ET1603-11 was shown to specifically react with Bcl-2 in Hela-si NT cells. Weakened band was observed when Hela-si Bcl-2 sample was tested. Hela-si NT and Hela-si Bcl-2 samples were subjected to SDS-PAGE. Proteins were transferred to a PVDF membrane and blocked with 5% NFDM in TBST for 1 hour at room temperature. The primary antibody (ET1603-11, 1/1,000) and Loading control antibody (Rabbit anti-GAPDH, ET1601-4, 1/10,000) were used in 5% BSA at room temperature for 2 hours. Goat Anti-rabbit IgG-HRP Secondary Antibody (HA1001) at 1:100,000 dilution was used for 1 hour at room temperature.
ICC staining of Bcl-2 in A549 cells (green). Formalin fixed cells were permeabilized with 0.1% Triton X-100 in TBS for 10 minutes at room temperature and blocked with 1% Blocker BSA for 15 minutes at room temperature. Cells were probed with the primary antibody (ET1603-11, 1/50) for 1 hour at room temperature, washed with PBS. Alexa Fluor®488 Goat anti-Rabbit IgG was used as the secondary antibody at 1/1,000 dilution. The nuclear counter stain is DAPI (blue).
quantity: 50μl
price: 205.00 USD
to the supplier
Bcl-2
HUABIO
catalog: ET1702-53
domestic rabbit monoclonal (JF104-8)
reactivity:
human
,
mouse
,
rat
application:
western blot
,
flow cytometry
,
immunohistochemistry - paraffin section
Western blot analysis of Bcl-2 on different lysates with Rabbit anti-Bcl-2 antibody (ET1702-53) at 1/5,000 dilution. Lane 1: HeLa cell lysate Lane 2: Jurkat cell lysate Lane 3: MCF7 cell lysate Lane 4: HL-60 cell lysate Lane 5: THP-1 cell lysate Lysates/proteins at 20 µg/Lane. Predicted band size: 26 kDa Observed band size: 26 kDa Exposure time: 1 minute; 15% SDS-PAGE gel. Proteins were transferred to a PVDF membrane and blocked with 5% NFDM/TBST for 1 hour at room temperature. The primary antibody (ET1702-53) at 1/5,000 dilution was used in 5% NFDM/TBST at room temperature for 2 hours. Goat Anti-Rabbit IgG - HRP Secondary Antibody (HA1001) at 1/50,000 dilution was used for 1 hour at room temperature.
Western blot analysis of Bcl-2 on different lysates with Rabbit anti-Bcl-2 antibody (ET1702-53) at 1/5,000 dilution. Lane 1: Rat spleen tissue lysate Lane 2: Mouse spleen tissue lysate Lysates/proteins at 20 µg/Lane. Predicted band size: 26 kDa Observed band size: 25 kDa Exposure time: 2 minutes; 12% SDS-PAGE gel. Proteins were transferred to a PVDF membrane and blocked with 5% NFDM/TBST for 1 hour at room temperature. The primary antibody (ET1702-53) at 1/5,000 dilution was used in 5% NFDM/TBST at room temperature for 2 hours. Goat Anti-Rabbit IgG - HRP Secondary Antibody (HA1001) at 1/50,000 dilution was used for 1 hour at room temperature.
Western blot analysis of Bcl-2 on different lysates with Rabbit anti-Bcl-2 antibody (ET1702-53) at 1/5,000 dilution. Lane 1: Hela-si NT cell lysate (10 µg/Lane) Lane 2: Hela-si Bcl-2 cell lysate (10 µg/Lane) Predicted band size: 26 kDa Observed band size: 26 kDa Exposure time: 31 seconds; ECL: K1801 4-20% SDS-PAGE gel. ET1702-53 was shown to specifically react with Bcl-2 in Hela-si NT cells. Weakened band was observed when Hela-si Bcl-2 sample was tested. Hela-si NT and Hela-si Bcl-2 samples were subjected to SDS-PAGE. Proteins were transferred to a PVDF membrane and blocked with 5% NFDM in TBST for 1 hour at room temperature. The primary antibody (ET1702-53, 1/5,000) and Loading control antibody (Rabbit anti-GAPDH, ET1601-4, 1/10,000) were used in 5% BSA at room temperature for 2 hours. Goat Anti-rabbit IgG-HRP Secondary Antibody (HA1001) at 1/50,000 dilution was used for 1 hour at room temperature.
quantity: 100μl
price: 385.00 USD
to the supplier
Bcl-2
HUABIO
catalog: HA601256
mouse monoclonal (9F3-R)
reactivity:
human
application:
western blot
,
flow cytometry
,
immunohistochemistry - paraffin section
Western blot analysis of Bcl-2 on different lysates with Mouse anti-Bcl-2 antibody (HA601256) at 1/1,000 dilution. Lane 1: THP-1 cell lysate Lane 2: HL-60 cell lysate Lysates/proteins at 20 µg/Lane. Predicted band size: 26 kDa Observed band size: 26 kDa Exposure time: 1 minute 40 seconds; 4-20% SDS-PAGE gel. Proteins were transferred to a PVDF membrane and blocked with 5% NFDM/TBST for 1 hour at room temperature. The primary antibody (HA601256) at 1/1,000 dilution was used in 5% NFDM/TBST at 4℃ overnight. Goat Anti-Mouse IgG - HRP Secondary Antibody (HA1006) at 1/50,000 dilution was used for 1 hour at room temperature.
Immunohistochemical analysis of paraffin-embedded human tonsil tissue with Mouse anti-Bcl-2 antibody (HA601256) at 1/500 dilution. The section was pre-treated using heat mediated antigen retrieval with Tris-EDTA buffer (pH 9.0) for 20 minutes. The tissues were blocked in 1% BSA for 20 minutes at room temperature, washed with ddH2O and PBS, and then probed with the primary antibody (HA601256) at 1/500 dilution for 1 hour at room temperature. The detection was performed using an HRP conjugated compact polymer system. DAB was used as the chromogen. Tissues were counterstained with hematoxylin and mounted with DPX.
Immunohistochemical analysis of paraffin-embedded human b-cell lymphoma tissue with Mouse anti-Bcl-2 antibody (HA601256) at 1/500 dilution. The section was pre-treated using heat mediated antigen retrieval with Tris-EDTA buffer (pH 9.0) for 20 minutes. The tissues were blocked in 1% BSA for 20 minutes at room temperature, washed with ddH2O and PBS, and then probed with the primary antibody (HA601256) at 1/500 dilution for 1 hour at room temperature. The detection was performed using an HRP conjugated compact polymer system. DAB was used as the chromogen. Tissues were counterstained with hematoxylin and mounted with DPX.
quantity: 100μl
price: 360.00 USD
to the supplier
Bcl-2
HUABIO
catalog: HA610131
mouse monoclonal (9F3-R)
reactivity:
human
application:
western blot
,
flow cytometry
,
immunohistochemistry - paraffin section
Western blot analysis of Bcl-2 on different lysates with Mouse anti-Bcl-2 antibody (HA610131) at 1/1,000 dilution. Lane 1: THP-1 cell lysate Lane 2: HL-60 cell lysate Lysates/proteins at 20 µg/Lane. Predicted band size: 26 kDa Observed band size: 26 kDa Exposure time: 1 minute 40 seconds; 4-20% SDS-PAGE gel. Proteins were transferred to a PVDF membrane and blocked with 5% NFDM/TBST for 1 hour at room temperature. The primary antibody (HA610131) at 1/1,000 dilution was used in 5% NFDM/TBST at 4℃ overnight. Goat Anti-Mouse IgG - HRP Secondary Antibody (HA1006) at 1/50,000 dilution was used for 1 hour at room temperature.
Immunohistochemical analysis of paraffin-embedded human tonsil tissue with Mouse anti-Bcl-2 antibody (HA610131) at 1/500 dilution. The section was pre-treated using heat mediated antigen retrieval with Tris-EDTA buffer (pH 9.0) for 20 minutes. The tissues were blocked in 1% BSA for 20 minutes at room temperature, washed with ddH2O and PBS, and then probed with the primary antibody (HA610131) at 1/500 dilution for 1 hour at room temperature. The detection was performed using an HRP conjugated compact polymer system. DAB was used as the chromogen. Tissues were counterstained with hematoxylin and mounted with DPX.
Immunohistochemical analysis of paraffin-embedded human b-cell lymphoma tissue with Mouse anti-Bcl-2 antibody (HA610131) at 1/500 dilution. The section was pre-treated using heat mediated antigen retrieval with Tris-EDTA buffer (pH 9.0) for 20 minutes. The tissues were blocked in 1% BSA for 20 minutes at room temperature, washed with ddH2O and PBS, and then probed with the primary antibody (HA610131) at 1/500 dilution for 1 hour at room temperature. The detection was performed using an HRP conjugated compact polymer system. DAB was used as the chromogen. Tissues were counterstained with hematoxylin and mounted with DPX.
quantity: 100μg
price: 649.00 USD
to the supplier
Bcl-2
HUABIO
catalog: HA720210F
domestic rabbit monoclonal (JF104-8)
reactivity:
human
,
mouse
conjugate: FITC
application:
flow cytometry
Flow cytometric analysis of mouse granulocytes labeling Bcl-2. Cells were washed twice with cold PBS and resuspend. Then stained with the primary antibody (HA720210F, 1μg/mL) (red). Unlabelled sample was used as a control (cells without incubation with primary antibody; black).
Flow cytometric analysis of mouse lymphocytes labeling Bcl-2. Cells were washed twice with cold PBS and resuspend. Then stained with the primary antibody (HA720210F, 1μg/mL) (red). Unlabelled sample was used as a control (cells without incubation with primary antibody; black).
quantity: 100μl
price: 429.00 USD
to the supplier
Bcl-2
HUABIO
catalog: HA721235
domestic rabbit monoclonal (PD01-41)
reactivity:
human
application:
western blot
,
flow cytometry
,
immunohistochemistry - paraffin section
Western blot analysis of Bcl-2 on different lysates with Rabbit anti-Bcl-2 antibody (HA721235) at 1/2,000 dilution and competitor's antibody at 1/2,000 dilution. Lane 1: MCF7 cell lysate (15 µg/Lane) Lane 2: Jurkat cell lysate (15 µg/Lane) Lane 3: HL-60 cell lysate (15 µg/Lane) Lane 4: THP-1 cell lysate (15 µg/Lane) Predicted band size: 26 kDa Observed band size: 25 kDa Exposure time: 1 minute 30 seconds; ECL: K1801; 4-20% SDS-PAGE gel. Proteins were transferred to a PVDF membrane and blocked with 5% NFDM/TBST for 1 hour at room temperature. The primary antibody (HA721235) at 1/2,000 dilution and competitor's antibody at 1/2,000 dilution were used in 5% NFDM/TBST at 4℃ overnight. Goat Anti-Rabbit IgG - HRP Secondary Antibody (HA1001) at 1/50,000 dilution was used for 1 hour at room temperature.
Western blot analysis of Bcl-2 on different lysates with Rabbit anti-Bcl-2 antibody (HA721235) at 1/1,000 dilution. Lane 1: Hela-si NT cell lysate (10 µg/Lane) Lane 2: Hela-si Bcl-2 cell lysate (10 µg/Lane) Predicted band size: 26 kDa Observed band size: 26 kDa Exposure time: 31 seconds; ECL: merk 4-20% SDS-PAGE gel. HA721235 was shown to specifically react with Bcl-2 in Hela-si NT cells. Weakened band was observed when Hela-si Bcl-2 sample was tested. Hela-si NT and Hela-si Bcl-2 samples were subjected to SDS-PAGE. Proteins were transferred to a PVDF membrane and blocked with 5% NFDM in TBST for 1 hour at room temperature. The primary antibody (HA721235, 1/1,000) and Loading control antibody (Rabbit anti-GAPDH, ET1601-4, 1/10,000) were used in 5% BSA at room temperature for 2 hours. Goat Anti-rabbit IgG-HRP Secondary Antibody (HA1001) at 1:100,000 dilution was used for 1 hour at room temperature.
Immunohistochemical analysis of paraffin-embedded human B-cell lymphoma tissue with Rabbit anti-Bcl-2 antibody (HA721235) at 1/1,000 dilution. The section was pre-treated using heat mediated antigen retrieval with Tris-EDTA buffer (pH 9.0) for 20 minutes. The tissues were blocked in 1% BSA for 20 minutes at room temperature, washed with ddH2O and PBS, and then probed with the primary antibody (HA721235) at 1/1,000 dilution for 1 hour at room temperature. The detection was performed using an HRP conjugated compact polymer system. DAB was used as the chromogen. Tissues were counterstained with hematoxylin and mounted with DPX.
quantity: 100μl
price: 385.00 USD
to the supplier
Bcl-2
HUABIO
catalog: HA723111
domestic rabbit monoclonal (PSH09-49)
reactivity:
human
,
mouse
,
rat
application:
western blot
,
immunoprecipitation
,
flow cytometry
,
immunohistochemistry - paraffin section
Western blot analysis of Bcl-2 on different lysates with Rabbit anti-Bcl-2 antibody (HA723111) at 1/2,000 dilution. Lane 1: HeLa cell lysate (20 µg/Lane) Lane 2: 293T cell lysate (20 µg/Lane) Lane 3: NIH/3T3 cell lysate (20 µg/Lane) Lane 4: RAW264.7 cell lysate (20 µg/Lane) Lane 5: C2C12 cell lysate (20 µg/Lane) Lane 6: Mouse kidney tissue lysate (40 µg/Lane) Lane 7: Rat spleen tissue lysate (40 µg/Lane) Lane 8: Rat kidney tissue lysate (40 µg/Lane) Predicted band size: 26 kDa Observed band size: 25 kDa Exposure time: Lane 1-6: 20 seconds; Lane 7-8: 3 minutes; ECL: K1801; 4-20% SDS-PAGE gel. Proteins were transferred to a PVDF membrane and blocked with 5% NFDM/TBST for 1 hour at room temperature. The primary antibody (HA723111) at 1/2,000 dilution was used in 5% NFDM/TBST at 4℃ overnight. Goat Anti-Rabbit IgG - HRP Secondary Antibody (HA1001) at 1/50,000 dilution was used for 1 hour at room temperature.
Immunohistochemical analysis of paraffin-embedded mouse spleen tissue with Rabbit anti-Bcl-2 antibody (HA723111) at 1/200 dilution. The section was pre-treated using heat mediated antigen retrieval with Tris-EDTA buffer (pH 9.0) for 20 minutes. The tissues were blocked in 1% BSA for 20 minutes at room temperature, washed with ddH2O and PBS, and then probed with the primary antibody (HA723111) at 1/200 dilution for 1 hour at room temperature. The detection was performed using an HRP conjugated compact polymer system. DAB was used as the chromogen. Tissues were counterstained with hematoxylin and mounted with DPX.
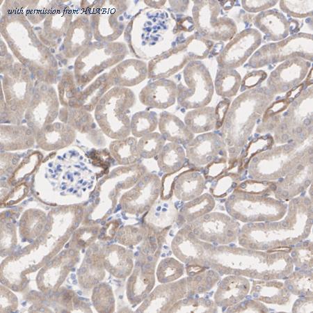
Immunohistochemical analysis of paraffin-embedded mouse kidney tissue with Rabbit anti-Bcl-2 antibody (HA723111) at 1/200 dilution. The section was pre-treated using heat mediated antigen retrieval with Tris-EDTA buffer (pH 9.0) for 20 minutes. The tissues were blocked in 1% BSA for 20 minutes at room temperature, washed with ddH2O and PBS, and then probed with the primary antibody (HA723111) at 1/200 dilution for 1 hour at room temperature. The detection was performed using an HRP conjugated compact polymer system. DAB was used as the chromogen. Tissues were counterstained with hematoxylin and mounted with DPX.
quantity: 100μl
price: 385.00 USD
to the supplier
Phospho-Bcl-2 (S70)
HUABIO
catalog: HA723269
domestic rabbit monoclonal (PSH11-02)
reactivity:
human
application:
western blot
,
flow cytometry
Western blot analysis of Phospho-Bcl-2 (S70) on different lysates with Rabbit anti-Phospho-Bcl-2 (S70) antibody (HA723269) at 1/2,000 dilution. Lane 1: Jurrkat cell lysate Lane 2: Jurrkat treated with 1μM paclitaxel overnight cell lysate Lane 3: Jurrkat treated with 1μM paclitaxel overnight cell lysate, then the membrane treated with λpp for 1 hour Lysates/proteins at 20 µg/Lane. Predicted band size: 26 kDa Observed band size: 26 kDa Exposure time: 1 minute 15 seconds; ECL: K1801; 4-20% SDS-PAGE gel. Proteins were transferred to a PVDF membrane and blocked with 5% NFDM/TBST for 1 hour at room temperature. The primary antibody (HA723269) at 1/2,000 dilution was used in 5% NFDM/TBST at room temperature for 2 hours. Goat Anti-Rabbit IgG - HRP Secondary Antibody (HA1001) at 1/50,000 dilution was used for 1 hour at room temperature.
Immunocytochemistry analysis of Jurkat cells untreated / treated with 1μM paclitaxel overnight labeling Phospho-Bcl-2 (S70) with Rabbit anti-Phospho-Bcl-2 (S70) antibody (HA723269) at 1/500 dilution. Cells were fixed in 4% paraformaldehyde for 15 minutes at room temperature, permeabilized with 0.1% Triton X-100 in PBS for 15 minutes at room temperature, then blocked with 1% BSA in 10% negative goat serum for 1 hour at room temperature. Cells were then incubated with Rabbit anti-Phospho-Bcl-2 (S70) antibody (HA723269) at 1/500 dilution in 1% BSA in PBST overnight at 4 ℃. Goat Anti-Rabbit IgG H&L (iFluor™ 488, HA1121) was used as the secondary antibody at 1/1,000 dilution. PBS instead of the primary antibody was used as the secondary antibody only control. Nuclear DNA was labelled in blue with DAPI. Beta tubulin (HA601187, red) was stained at 1/100 dilution overnight at +4℃. Goat Anti-Mouse IgG H&L (iFluor™ 594, HA1126) was used as the secondary antibody at 1/1,000 dilution.
Flow cytometric analysis of untreated Jurkat cells (top) / Jurkat cells treated with 1μM paclitaxel overnight (bottom) labeling Phospho-Bcl-2 (S70). Cells were fixed and permeabilized. Then stained with the primary antibody (HA723269, 1/10,000) (right) compared with Rabbit IgG Isotype Control (1μg/mL, left). After incubation of the primary antibody at +4℃ for an hour, the cells were stained with a iFluor™ 488 conjugate-Goat anti-Rabbit IgG Secondary antibody (HA1121) at 1/1,000 dilution for 30 minutes at +4℃.
quantity: 100μl
price: 385.00 USD
to the supplier
Bcl-2
HUABIO
catalog: HA750057
domestic rabbit monoclonal (SZ10-03)
reactivity:
human
application:
western blot
,
immunoprecipitation
,
flow cytometry
,
immunohistochemistry - paraffin section
Western blot analysis of Bcl-2 on different lysates with Rabbit anti-Bcl-2 antibody (HA750057) at 1/5,000 dilution. Lane 1: HeLa cell lysate (20 µg/Lane) Lane 2: Jurkat cell lysate (20 µg/Lane) Lane 3: MCF7 cell lysate (20 µg/Lane) Lane 4: HL-60 cell lysate (20 µg/Lane) Lane 5: THP-1 cell lysate (20 µg/Lane) Predicted band size: 26 kDa Observed band size: 26 kDa Exposure time: 24 seconds; 4-20% SDS-PAGE gel. Proteins were transferred to a PVDF membrane and blocked with 5% NFDM/TBST for 1 hour at room temperature. The primary antibody (HA750057) at 1/5,000 dilution was used in 5% NFDM/TBST at 4℃ overnight. Goat Anti-Rabbit IgG - HRP Secondary Antibody (HA1001) at 1:50,000 dilution was used for 1 hour at room temperature.
Western blot analysis of Bcl-2 on different lysates with Rabbit anti-Bcl-2 antibody (HA750057) at 1/1,000 dilution. Lane 1: Hela-si NT cell lysate Lane 2: Hela-si Bcl-2 cell lysate Lysates/proteins at 10 µg/Lane. Predicted band size: 26 kDa Observed band size: 26 kDa Exposure time: 31 seconds; ECL: merk 4-20% SDS-PAGE gel. ET1603-11 was shown to specifically react with Bcl-2 in Hela-si NT cells. Weakened band was observed when Hela-si Bcl-2 sample was tested. Hela-si NT and Hela-si Bcl-2 samples were subjected to SDS-PAGE. Proteins were transferred to a PVDF membrane and blocked with 5% NFDM in TBST for 1 hour at room temperature. The primary antibody (ET1603-11, 1/1,000) and Loading control antibody (Rabbit anti-GAPDH, ET1601-4, 1/10,000) were used in 5% BSA at room temperature for 2 hours. Goat Anti-rabbit IgG-HRP Secondary Antibody (HA1001) at 1:100,000 dilution was used for 1 hour at room temperature.
ICC staining of Bcl-2 in A549 cells (green). Formalin fixed cells were permeabilized with 0.1% Triton X-100 in TBS for 10 minutes at room temperature and blocked with 1% Blocker BSA for 15 minutes at room temperature. Cells were probed with the primary antibody (HA750057, 1/50) for 1 hour at room temperature, washed with PBS. Alexa Fluor®488 Goat anti-Rabbit IgG was used as the secondary antibody at 1/1,000 dilution. The nuclear counter stain is DAPI (blue).
quantity: 100μl
price: 649.00 USD
to the supplier
Bcl-2
HUABIO
catalog: HA750350
domestic rabbit monoclonal (JF104-8)
reactivity:
human
,
mouse
,
rat
application:
western blot
,
flow cytometry
,
immunohistochemistry - paraffin section
Western blot analysis of Bcl-2 on different lysates with Rabbit anti-Bcl-2 antibody (HA750350) at 1/5,000 dilution. Lane 1: HeLa cell lysate Lane 2: Jurkat cell lysate Lane 3: MCF7 cell lysate Lane 4: HL-60 cell lysate Lane 5: THP-1 cell lysate Lysates/proteins at 20 µg/Lane. Predicted band size: 26 kDa Observed band size: 26 kDa Exposure time: 1 minute; 15% SDS-PAGE gel. Proteins were transferred to a PVDF membrane and blocked with 5% NFDM/TBST for 1 hour at room temperature. The primary antibody (HA750350) at 1/5,000 dilution was used in 5% NFDM/TBST at room temperature for 2 hours. Goat Anti-Rabbit IgG - HRP Secondary Antibody (HA1001) at 1/50,000 dilution was used for 1 hour at room temperature.
Western blot analysis of Bcl-2 on different lysates with Rabbit anti-Bcl-2 antibody (HA750350) at 1/5,000 dilution. Lane 1: Rat spleen tissue lysate Lane 2: Mouse spleen tissue lysate Lysates/proteins at 20 µg/Lane. Predicted band size: 26 kDa Observed band size: 25 kDa Exposure time: 2 minutes; 12% SDS-PAGE gel. Proteins were transferred to a PVDF membrane and blocked with 5% NFDM/TBST for 1 hour at room temperature. The primary antibody (HA750350) at 1/5,000 dilution was used in 5% NFDM/TBST at room temperature for 2 hours. Goat Anti-Rabbit IgG - HRP Secondary Antibody (HA1001) at 1/50,000 dilution was used for 1 hour at room temperature.
Western blot analysis of Bcl-2 on different lysates with Rabbit anti-Bcl-2 antibody (HA750350) at 1/5,000 dilution. Lane 1: Hela-si NT cell lysate (10 µg/Lane) Lane 2: Hela-si Bcl-2 cell lysate (10 µg/Lane) Predicted band size: 26 kDa Observed band size: 26 kDa Exposure time: 31 seconds; ECL: K1801 4-20% SDS-PAGE gel. ET1702-53 was shown to specifically react with Bcl-2 in Hela-si NT cells. Weakened band was observed when Hela-si Bcl-2 sample was tested. Hela-si NT and Hela-si Bcl-2 samples were subjected to SDS-PAGE. Proteins were transferred to a PVDF membrane and blocked with 5% NFDM in TBST for 1 hour at room temperature. The primary antibody (ET1702-53, 1/5,000) and Loading control antibody (Rabbit anti-GAPDH, ET1601-4, 1/10,000) were used in 5% BSA at room temperature for 2 hours. Goat Anti-rabbit IgG-HRP Secondary Antibody (HA1001) at 1/50,000 dilution was used for 1 hour at room temperature.
quantity: 100μl
price: 649.00 USD
to the supplier
Bcl-2
HUABIO
catalog: HA751296
domestic rabbit monoclonal (PSH09-49)
reactivity:
human
,
mouse
,
rat
application:
western blot
,
immunoprecipitation
,
flow cytometry
,
immunohistochemistry - paraffin section
Western blot analysis of Bcl-2 on different lysates with Rabbit anti-Bcl-2 antibody (HA751296) at 1/2,000 dilution. Lane 1: HeLa cell lysate (20 µg/Lane) Lane 2: 293T cell lysate (20 µg/Lane) Lane 3: NIH/3T3 cell lysate (20 µg/Lane) Lane 4: RAW264.7 cell lysate (20 µg/Lane) Lane 5: C2C12 cell lysate (20 µg/Lane) Lane 6: Mouse kidney tissue lysate (40 µg/Lane) Lane 7: Rat spleen tissue lysate (40 µg/Lane) Lane 8: Rat kidney tissue lysate (40 µg/Lane) Predicted band size: 26 kDa Observed band size: 25 kDa Exposure time: Lane 1-6: 20 seconds; Lane 7-8: 3 minutes; ECL: K1801; 4-20% SDS-PAGE gel. Proteins were transferred to a PVDF membrane and blocked with 5% NFDM/TBST for 1 hour at room temperature. The primary antibody (HA751296) at 1/2,000 dilution was used in 5% NFDM/TBST at 4℃ overnight. Goat Anti-Rabbit IgG - HRP Secondary Antibody (HA1001) at 1/50,000 dilution was used for 1 hour at room temperature.
Immunohistochemical analysis of paraffin-embedded mouse spleen tissue with Rabbit anti-Bcl-2 antibody (HA751296) at 1/200 dilution. The section was pre-treated using heat mediated antigen retrieval with Tris-EDTA buffer (pH 9.0) for 20 minutes. The tissues were blocked in 1% BSA for 20 minutes at room temperature, washed with ddH2O and PBS, and then probed with the primary antibody (HA751296) at 1/200 dilution for 1 hour at room temperature. The detection was performed using an HRP conjugated compact polymer system. DAB was used as the chromogen. Tissues were counterstained with hematoxylin and mounted with DPX.
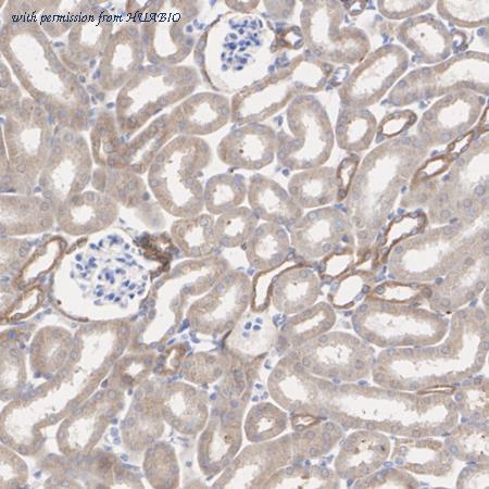
Immunohistochemical analysis of paraffin-embedded mouse kidney tissue with Rabbit anti-Bcl-2 antibody (HA751296) at 1/200 dilution. The section was pre-treated using heat mediated antigen retrieval with Tris-EDTA buffer (pH 9.0) for 20 minutes. The tissues were blocked in 1% BSA for 20 minutes at room temperature, washed with ddH2O and PBS, and then probed with the primary antibody (HA751296) at 1/200 dilution for 1 hour at room temperature. The detection was performed using an HRP conjugated compact polymer system. DAB was used as the chromogen. Tissues were counterstained with hematoxylin and mounted with DPX.
quantity: 100μl
price: 649.00 USD
to the supplier
Phospho-Bcl-2 (S70)
HUABIO
catalog: HA751392
domestic rabbit monoclonal (PSH11-02)
reactivity:
human
application:
western blot
,
flow cytometry
Western blot analysis of Phospho-Bcl-2 (S70) on different lysates with Rabbit anti-Phospho-Bcl-2 (S70) antibody (HA751392) at 1/2,000 dilution. Lane 1: Jurrkat cell lysate Lane 2: Jurrkat treated with 1μM paclitaxel overnight cell lysate Lane 3: Jurrkat treated with 1μM paclitaxel overnight cell lysate, then the membrane treated with λpp for 1 hour Lysates/proteins at 20 µg/Lane. Predicted band size: 26 kDa Observed band size: 26 kDa Exposure time: 1 minute 15 seconds; ECL: K1801; 4-20% SDS-PAGE gel. Proteins were transferred to a PVDF membrane and blocked with 5% NFDM/TBST for 1 hour at room temperature. The primary antibody (HA751392) at 1/2,000 dilution was used in 5% NFDM/TBST at room temperature for 2 hours. Goat Anti-Rabbit IgG - HRP Secondary Antibody (HA1001) at 1/50,000 dilution was used for 1 hour at room temperature.
Immunocytochemistry analysis of Jurkat cells untreated / treated with 1μM paclitaxel overnight labeling Phospho-Bcl-2 (S70) with Rabbit anti-Phospho-Bcl-2 (S70) antibody (HA751392) at 1/500 dilution. Cells were fixed in 4% paraformaldehyde for 15 minutes at room temperature, permeabilized with 0.1% Triton X-100 in PBS for 15 minutes at room temperature, then blocked with 1% BSA in 10% negative goat serum for 1 hour at room temperature. Cells were then incubated with Rabbit anti-Phospho-Bcl-2 (S70) antibody (HA751392) at 1/500 dilution in 1% BSA in PBST overnight at 4 ℃. Goat Anti-Rabbit IgG H&L (iFluor™ 488, HA1121) was used as the secondary antibody at 1/1,000 dilution. PBS instead of the primary antibody was used as the secondary antibody only control. Nuclear DNA was labelled in blue with DAPI. Beta tubulin (HA601187, red) was stained at 1/100 dilution overnight at +4℃. Goat Anti-Mouse IgG H&L (iFluor™ 594, HA1126) was used as the secondary antibody at 1/1,000 dilution.
Flow cytometric analysis of untreated Jurkat cells (top) / Jurkat cells treated with 1μM paclitaxel overnight (bottom) labeling Phospho-Bcl-2 (S70). Cells were fixed and permeabilized. Then stained with the primary antibody (HA751392, 1/10,000) (right) compared with Rabbit IgG Isotype Control (1μg/mL, left). After incubation of the primary antibody at +4℃ for an hour, the cells were stained with a iFluor™ 488 conjugate-Goat anti-Rabbit IgG Secondary antibody (HA1121) at 1/1,000 dilution for 30 minutes at +4℃.
quantity: 100μl
price: 649.00 USD
to the supplier
Bcl-2
HUABIO
catalog: M1206-4
mouse monoclonal (F7-1-A1)
reactivity:
human
,
mouse
,
rat
application:
western blot
,
immunohistochemistry - paraffin section
Western blot analysis of BCL-2 on Jurkat cell lysate using anti-BCL-2 antibody at 1/100 dilution.
Western blot analysis of Bcl-2 on rat spleen tissue lysates with Mouse anti-Bcl-2 antibody (M1206-4) at 1/500 dilution. Lysates/proteins at 10 µg/Lane. Predicted band size: 26 kDa Observed band size: 26 kDa Exposure time: 2 minutes; 12% SDS-PAGE gel. Proteins were transferred to a PVDF membrane and blocked with 5% NFDM/TBST for 1 hour at room temperature. The primary antibody (M1206-4) at 1/500 dilution was used in 5% NFDM/TBST at room temperature for 2 hours. Goat Anti-Mouse IgG - HRP Secondary Antibody (HA1006) at 1:100,000 dilution was used for 1 hour at room temperature.
Immunofluorescent staining of HepG2 cells using anti-Bcl-2 Mouse mAb (Cat. # M1206-4).
quantity: 100μl
price: 360.00 USD
to the supplier