Sign in
Sign up
home
>
HUABIO
> HUABIO RBP4 antibody
RBP4
HUABIO
catalog: ET1704-86
domestic rabbit monoclonal (JA33-10)
reactivity:
human
application:
western blot
,
immunohistochemistry - paraffin section
Western blot analysis of RBP4 on HepG2 cell lysates with Rabbit anti-RBP4 antibody (ET1704-86) at 1/5,000 dilution. Lysates/proteins at 20 µg/Lane. Predicted band size: 23 kDa Observed band size: 21 kDa Exposure time: 10 seconds; ECL: K1801; 4-20% SDS-PAGE gel. Proteins were transferred to a PVDF membrane and blocked with 5% NFDM/TBST for 1 hour at room temperature. The primary antibody (ET1704-86) at 1/5,000 dilution was used in primary antibody dilution (K1803) at 4℃ overnight. Goat Anti-Rabbit IgG - HRP Secondary Antibody (HA1001) at 1/50,000 dilution was used for 1 hour at room temperature.
Western blot analysis of RBP4 on human serum. Proteins were transferred to a PVDF membrane and blocked with 5% BSA in PBS for 1 hour at room temperature. The primary antibody (ET1704-86, 1/500) was used in 5% BSA at room temperature for 2 hours. Goat Anti-Rabbit IgG - HRP Secondary Antibody (HA1001) at 1:5,000 dilution was used for 1 hour at room temperature.
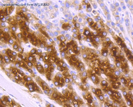
Immunohistochemical analysis of paraffin-embedded human liver carcinoma tissue using anti-RBP4 antibody. The section was pre-treated using heat mediated antigen retrieval with Tris-EDTA buffer (pH 8.0-8.4) for 20 minutes.The tissues were blocked in 5% BSA for 30 minutes at room temperature, washed with ddH2O and PBS, and then probed with the primary antibody (ET1704-86, 1/50) for 30 minutes at room temperature. The detection was performed using an HRP conjugated compact polymer system. DAB was used as the chromogen. Tissues were counterstained with hematoxylin and mounted with DPX.
quantity: 100μl
price: 385.00 USD
to the supplier
Human RBP4
HUABIO
catalog: HA723688
domestic rabbit monoclonal (PSH14-88)
reactivity:
human
application:
ELISA
Sandwich ELISA analysis of Human RBP4 matched pair antibodies Capture: HA723688, Human RBP4 Rabbit mAb [PSH14-88] Detector: HA723689, Human RBP4 Rabbit mAb [PSH14-89] Elisa assay was performed by coating wells of a 96-well plate with 100 µl per well of capture antibody (HA723688) diluted in carbonate/bicarbonate buffer, at a concentration of 2ug/ml overnight at 4℃. Wells of the plate were washed, blocked with 150 µl 0.05% tween-20 1% BSA blocking buffer, and incubated with serial diluted Recombinant Human RBP4 protein (HA210999) starting from 2,000 pg/ml to 0 pg/ml and detect antibody (HA723689, Biotin, 0.2 µg/ml) for 1 hour at 30℃ with shaking. Then the plate was washed and incubated with 100 µl per well of SA-HRP for 0.5 hour at 30℃ with shaking. Detection was performed using an Ultra TMB Substrate for 10 minutes at room temperature in the dark. The reaction was stopped with sulfuric acid and absorbances were read on a spectrophotometer at 450 nm.
Interpolated concentrations of native RBP4 in human samples. Capture: HA723688, Human RBP4 Rabbit mAb [PSH14-88] Detector: HA723689, Human RBP4 Rabbit mAb [PSH14-89] Interpolated concentration of native RBP4 was measured in duplicate at different sample concentrations. The interpolated dilution factor corrected values were plotted (mean +/- SD, n=2). The mean RBP4 concentration was determined to be 208,320 pg/mL in HepG2 cell supernatant. There was no detectable signal in Hela cell culture supernatant.
Interpolated concentrations of spiked RBP4 in cell culture media samples. Capture: HA723688, Human RBP4 Rabbit mAb [PSH14-88] Detector: HA723689, Human RBP4 Rabbit mAb [PSH14-89] The concentrations of RBP4 were measured in duplicates, interpolated from the RBP4 standard curves and corrected for sample dilution. Undiluted samples are as follows: cell culture media 50%. The interpolated dilution factor corrected values are plotted (mean +/- SD, n=2).
quantity: 100μl
price: 649.00 USD
to the supplier
Human RBP4
HUABIO
catalog: HA723689
domestic rabbit monoclonal (PSH14-89)
reactivity:
human
application:
ELISA
Sandwich ELISA analysis of Human RBP4 matched pair antibodies Capture: HA723688, Human RBP4 Rabbit mAb [PSH14-88] Detector: HA723689, Human RBP4 Rabbit mAb [PSH14-89] Elisa assay was performed by coating wells of a 96-well plate with 100 µl per well of capture antibody (HA723688) diluted in carbonate/bicarbonate buffer, at a concentration of 2ug/ml overnight at 4℃. Wells of the plate were washed, blocked with 150 µl 0.05% tween-20 1% BSA blocking buffer, and incubated with serial diluted Recombinant Human RBP4 protein (HA210999) starting from 2,000 pg/ml to 0 pg/ml and detect antibody (HA723689, Biotin, 0.2 µg/ml) for 1 hour at 30℃ with shaking. Then the plate was washed and incubated with 100 µl per well of SA-HRP for 0.5 hour at 30℃ with shaking. Detection was performed using an Ultra TMB Substrate for 10 minutes at room temperature in the dark. The reaction was stopped with sulfuric acid and absorbances were read on a spectrophotometer at 450 nm.
Interpolated concentrations of native RBP4 in human samples. Capture: HA723688, Human RBP4 Rabbit mAb [PSH14-88] Detector: HA723689, Human RBP4 Rabbit mAb [PSH14-89] Interpolated concentration of native RBP4 was measured in duplicate at different sample concentrations. The interpolated dilution factor corrected values were plotted (mean +/- SD, n=2). The mean RBP4 concentration was determined to be 208,320 pg/mL in HepG2 cell supernatant. There was no detectable signal in Hela cell culture supernatant.
Interpolated concentrations of spiked RBP4 in cell culture media samples. Capture: HA723688, Human RBP4 Rabbit mAb [PSH14-88] Detector: HA723689, Human RBP4 Rabbit mAb [PSH14-89] The concentrations of RBP4 were measured in duplicates, interpolated from the RBP4 standard curves and corrected for sample dilution. Undiluted samples are as follows: cell culture media 50%. The interpolated dilution factor corrected values are plotted (mean +/- SD, n=2).
quantity: 100μl
price: 649.00 USD
to the supplier
Human RBP4
HUABIO
catalog: HA723690B
domestic rabbit monoclonal (PSH14-89)
reactivity:
human
conjugate: biotin
application:
ELISA
Sandwich ELISA analysis of Human RBP4 matched pair antibodies Capture: HA723688, Human RBP4 Rabbit mAb [PSH14-88] Detector: HA723689, Human RBP4 Rabbit mAb [PSH14-89] Elisa assay was performed by coating wells of a 96-well plate with 100 µl per well of capture antibody (HA723688) diluted in carbonate/bicarbonate buffer, at a concentration of 2ug/ml overnight at 4℃. Wells of the plate were washed, blocked with 150 µl 0.05% tween-20 1% BSA blocking buffer, and incubated with serial diluted Recombinant Human RBP4 protein (HA210999) starting from 2,000 pg/ml to 0 pg/ml and detect antibody (HA723689, Biotin, 0.2 µg/ml) for 1 hour at 30℃ with shaking. Then the plate was washed and incubated with 100 µl per well of SA-HRP for 0.5 hour at 30℃ with shaking. Detection was performed using an Ultra TMB Substrate for 10 minutes at room temperature in the dark. The reaction was stopped with sulfuric acid and absorbances were read on a spectrophotometer at 450 nm.
Interpolated concentrations of native RBP4 in human samples. Capture: HA723688, Human RBP4 Rabbit mAb [PSH14-88] Detector: HA723689, Human RBP4 Rabbit mAb [PSH14-89] Interpolated concentration of native RBP4 was measured in duplicate at different sample concentrations. The interpolated dilution factor corrected values were plotted (mean +/- SD, n=2). The mean RBP4 concentration was determined to be 208,320 pg/mL in HepG2 cell supernatant. There was no detectable signal in Hela cell culture supernatant.
Interpolated concentrations of spiked RBP4 in cell culture media samples. Capture: HA723688, Human RBP4 Rabbit mAb [PSH14-88] Detector: HA723689, Human RBP4 Rabbit mAb [PSH14-89] The concentrations of RBP4 were measured in duplicates, interpolated from the RBP4 standard curves and corrected for sample dilution. Undiluted samples are as follows: cell culture media 50%. The interpolated dilution factor corrected values are plotted (mean +/- SD, n=2).
quantity: 100μl
price: 409.00 USD
to the supplier
Human RBP4
HUABIO
catalog: HA723690H
domestic rabbit monoclonal (PSH14-89)
reactivity:
human
conjugate: HRP
application:
ELISA
Sandwich ELISA analysis of Human RBP4 matched pair antibodies Capture: HA723688, Human RBP4 Rabbit mAb [PSH14-88] Detector: HA723689, Human RBP4 Rabbit mAb [PSH14-89] Elisa assay was performed by coating wells of a 96-well plate with 100 µl per well of capture antibody (HA723688) diluted in carbonate/bicarbonate buffer, at a concentration of 0.5ug/ml overnight at 4℃. Wells of the plate were washed, blocked with 150 µl 0.05% tween-20 1% BSA blocking buffer, and incubated with serial diluted Recombinant Human RBP4 protein (HA210999) starting from 37,000 pg/ml to 0 pg/ml and detect antibody (HA723689, HRP, 0.5 µg/ml) for 1 hour at 30℃ with shaking. Detection was performed using an Ultra TMB Substrate for 10 minutes at room temperature in the dark. The reaction was stopped with sulfuric acid and absorbances were read on a spectrophotometer at 450 nm.
quantity: 100μl
price: 409.00 USD
to the supplier
RBP4
HUABIO
catalog: HA723893
domestic rabbit monoclonal (PSH16-97)
reactivity:
human
,
mouse
,
rat
application:
western blot
,
immunoprecipitation
,
immunohistochemistry - paraffin section
Western blot analysis of RBP4 on different lysates with Rabbit anti-RBP4 antibody (HA723893) at 1/5,000 dilution. Lane 1: HepG2 cell lysate (20 µg/Lane) Lane 2: Mouse liver tissue lysate (30 µg/Lane) Lane 3: Rat liver tissue lysate (30 µg/Lane) Predicted band size: 23 kDa Observed band size: 21 kDa Exposure time: 59 seconds; ECL: K1801; 4-20% SDS-PAGE gel. Proteins were transferred to a PVDF membrane and blocked with 5% NFDM/TBST for 1 hour at room temperature. The primary antibody (HA723893) at 1/5,000 dilution was used in primary antibody dilution (K1803) at 4℃ overnight. Goat Anti-Rabbit IgG - HRP Secondary Antibody (HA1001) at 1/50,000 dilution was used for 1 hour at room temperature.
Western blot analysis of RBP4 on different lysates with Rabbit anti-RBP4 antibody (HA723893) at 1/5,000 dilution. Lane 1: Human serum lysate Lane 2: Human plasma lysate Lane 3: Mouse plasma lysate Lane 4: Rat plasma lysate Lysates/proteins at 30 µg/Lane. Predicted band size: 23 kDa Observed band size: 21 kDa Exposure time: 59 seconds; ECL: K1801; 4-20% SDS-PAGE gel. Proteins were transferred to a PVDF membrane and blocked with 5% NFDM/TBST for 1 hour at room temperature. The primary antibody (HA723893) at 1/5,000 dilution was used in primary antibody dilution (K1803) at 4℃ overnight. Goat Anti-Rabbit IgG - HRP Secondary Antibody (HA1001) at 1/50,000 dilution was used for 1 hour at room temperature.
Immunocytochemistry analysis of HepG2 cells labeling RBP4 with Rabbit anti-RBP4 antibody (HA723893) at 1/500 dilution. Cells were fixed in 4% paraformaldehyde for 15 minutes at room temperature, permeabilized with 0.1% Triton X-100 in PBS for 15 minutes at room temperature, then blocked with 1% BSA in 10% negative goat serum for 1 hour at room temperature. Cells were then incubated with Rabbit anti-RBP4 antibody (HA723893) at 1/500 dilution in 1% BSA in PBST overnight at 4 ℃. Goat Anti-Rabbit IgG H&L (iFluor™ 488, HA1121) was used as the secondary antibody at 1/1,000 dilution. PBS instead of the primary antibody was used as the secondary antibody only control. Nuclear DNA was labelled in blue with DAPI. Beta tubulin (HA601187, red) was stained at 1/100 dilution overnight at +4℃. Goat Anti-Mouse IgG H&L (iFluor™ 594, HA1126) was used as the secondary antibody at 1/1,000 dilution.
quantity: 100μl
price: 385.00 USD
to the supplier
RBP4
HUABIO
catalog: HA751611
domestic rabbit monoclonal (PSH16-97)
reactivity:
human
,
mouse
,
rat
application:
western blot
,
immunoprecipitation
,
immunohistochemistry - paraffin section
Western blot analysis of RBP4 on different lysates with Rabbit anti-RBP4 antibody (HA751611) at 1/5,000 dilution. Lane 1: HepG2 cell lysate (20 µg/Lane) Lane 2: Mouse liver tissue lysate (30 µg/Lane) Lane 3: Rat liver tissue lysate (30 µg/Lane) Predicted band size: 23 kDa Observed band size: 21 kDa Exposure time: 59 seconds; ECL: K1801; 4-20% SDS-PAGE gel. Proteins were transferred to a PVDF membrane and blocked with 5% NFDM/TBST for 1 hour at room temperature. The primary antibody (HA751611) at 1/5,000 dilution was used in primary antibody dilution (K1803) at 4℃ overnight. Goat Anti-Rabbit IgG - HRP Secondary Antibody (HA1001) at 1/50,000 dilution was used for 1 hour at room temperature.
Western blot analysis of RBP4 on different lysates with Rabbit anti-RBP4 antibody (HA751611) at 1/5,000 dilution. Lane 1: Human serum lysate Lane 2: Human plasma lysate Lane 3: Mouse plasma lysate Lane 4: Rat plasma lysate Lysates/proteins at 30 µg/Lane. Predicted band size: 23 kDa Observed band size: 21 kDa Exposure time: 59 seconds; ECL: K1801; 4-20% SDS-PAGE gel. Proteins were transferred to a PVDF membrane and blocked with 5% NFDM/TBST for 1 hour at room temperature. The primary antibody (HA751611) at 1/5,000 dilution was used in primary antibody dilution (K1803) at 4℃ overnight. Goat Anti-Rabbit IgG - HRP Secondary Antibody (HA1001) at 1/50,000 dilution was used for 1 hour at room temperature.
Immunocytochemistry analysis of HepG2 cells labeling RBP4 with Rabbit anti-RBP4 antibody (HA751611) at 1/500 dilution. Cells were fixed in 4% paraformaldehyde for 15 minutes at room temperature, permeabilized with 0.1% Triton X-100 in PBS for 15 minutes at room temperature, then blocked with 1% BSA in 10% negative goat serum for 1 hour at room temperature. Cells were then incubated with Rabbit anti-RBP4 antibody (HA751611) at 1/500 dilution in 1% BSA in PBST overnight at 4 ℃. Goat Anti-Rabbit IgG H&L (iFluor™ 488, HA1121) was used as the secondary antibody at 1/1,000 dilution. PBS instead of the primary antibody was used as the secondary antibody only control. Nuclear DNA was labelled in blue with DAPI. Beta tubulin (HA601187, red) was stained at 1/100 dilution overnight at +4℃. Goat Anti-Mouse IgG H&L (iFluor™ 594, HA1126) was used as the secondary antibody at 1/1,000 dilution.
quantity: 100μl
price: 385.00 USD
to the supplier