Sign in
Sign up
home
>
HUABIO
> HUABIO Rb antibody
Phospho-Rb (S807)
HUABIO
catalog: ET1602-36
domestic rabbit monoclonal (SR3-82)
reactivity:
human
,
mouse
,
rat
application:
western blot
,
immunohistochemistry - paraffin section
Western blot analysis of Phospho-Rb (S807) on different lysates with Rabbit anti-Phospho-Rb (S807) antibody (ET1602-36) at 1/2,000 dilution. Lane 1: K-562 cell lysate (no heat) Lane 2: K-562 cell lysate Lane 3: K-562 cell lysate (no heat), treated with λpp for 1 hour Lane 4: K-562 cell lysate, treated with λpp for 1 hour Notice: no heat means the lysate is not boiled. Lysates/proteins at 15 µg/Lane. Predicted band size: 106 kDa Observed band size: 106 kDa Exposure time: 2 minutes; 4-20% SDS-PAGE gel. Proteins were transferred to a PVDF membrane and blocked with 5% NFDM/TBST for 1 hour at room temperature. The primary antibody (ET1602-36) at 1/2,000 dilution was used in 5% NFDM/TBST at room temperature for 2 hours. Goat Anti-Rabbit IgG - HRP Secondary Antibody (HA1001) at 1:100,000 dilution was used for 1 hour at room temperature.
Immunocytochemistry analysis of K-562 cells treated with or without λpp labeling Phospho-Rb (S807) with Rabbit anti-Phospho-Rb (S807) antibody (ET1602-36) at 1/100 dilution. Cells were fixed in 4% paraformaldehyde for 15 minutes at room temperature, permeabilized with 0.1% Triton X-100 in PBS for 15 minutes at room temperature, then blocked with 1% BSA in 10% negative goat serum for 1 hour at room temperature. Cells were then incubated with Rabbit anti-Phospho-Rb (S807) antibody (ET1602-36) at 1/100 dilution in 1% BSA in PBST overnight at 4 ℃. Goat Anti-Rabbit IgG H&L (iFluor™ 488, HA1121) was used as the secondary antibody at 1/1,000 dilution. PBS instead of the primary antibody was used as the secondary antibody only control. Nuclear DNA was labelled in blue with DAPI. Beta tubulin (HA601187, red) was stained at 1/100 dilution overnight at +4℃. Goat Anti-Mouse IgG H&L (iFluor™ 594, HA1126) was used as the secondary antibody at 1/1,000 dilution.
Immunocytochemistry analysis of L929 cells labeling Phospho-Rb (S807) with Rabbit anti-Phospho-Rb (S807) antibody (ET1602-36) at 1/100 dilution. Cells were fixed in 4% paraformaldehyde for 15 minutes at room temperature, permeabilized with 0.1% Triton X-100 in PBS for 15 minutes at room temperature, then blocked with 1% BSA in 10% negative goat serum for 1 hour at room temperature. Cells were then incubated with Rabbit anti-Phospho-Rb (S807) antibody (ET1602-36) at 1/100 dilution in 1% BSA in PBST overnight at 4 ℃. Goat Anti-Rabbit IgG H&L (iFluor™ 488, HA1121) was used as the secondary antibody at 1/1,000 dilution. PBS instead of the primary antibody was used as the secondary antibody only control. Nuclear DNA was labelled in blue with DAPI. Beta tubulin (HA601187, red) was stained at 1/100 dilution overnight at +4℃. Goat Anti-Mouse IgG H&L (iFluor™ 594, HA1126) was used as the secondary antibody at 1/1,000 dilution.
quantity: 100μl
price: 385.00 USD
to the supplier
Rb
HUABIO
catalog: ET1607-9-50UL
domestic rabbit monoclonal (SY63-03)
reactivity:
human
,
mouse
application:
western blot
,
immunoprecipitation
,
immunohistochemistry - paraffin section
Western blot analysis of Rb on mouse lung tissue lysates with Rabbit anti-Rb antibody (ET1607-9) at 1/500 dilution. Lysates/proteins at 10 µg/Lane. Predicted band size: 106 kDa Observed band size: 106 kDa Exposure time: 2 minutes; 8% SDS-PAGE gel. Proteins were transferred to a PVDF membrane and blocked with 5% NFDM/TBST for 1 hour at room temperature. The primary antibody (ET1607-9) at 1/500 dilution was used in 5% NFDM/TBST at room temperature for 2 hours. Goat Anti-Rabbit IgG - HRP Secondary Antibody (HA1001) at 1:300,000 dilution was used for 1 hour at room temperature.
ICC staining of Rb in SW480 cells (green). Formalin fixed cells were permeabilized with 0.1% Triton X-100 in TBS for 10 minutes at room temperature and blocked with 1% Blocker BSA for 15 minutes at room temperature. Cells were probed with the primary antibody (ET1607-9, 1/50) for 1 hour at room temperature, washed with PBS. Alexa Fluor®488 Goat anti-Rabbit IgG was used as the secondary antibody at 1/1,000 dilution. The nuclear counter stain is DAPI (blue).
Immunohistochemical analysis of paraffin-embedded human spleen tissue with Rabbit anti-Rb antibody (ET1607-9) at 1/200 dilution. The section was pre-treated using heat mediated antigen retrieval with sodium citrate buffer (pH 6.0) (high pressure) for 2 minutes. The tissues were blocked in 1% BSA for 20 minutes at room temperature, washed with ddH2O and PBS, and then probed with the primary antibody (ET1607-9) at 1/200 dilution for 1 hour at room temperature. The detection was performed using an HRP conjugated compact polymer system. DAB was used as the chromogen. Tissues were counterstained with hematoxylin and mounted with DPX.
quantity: 50μl
price: 205.00 USD
to the supplier
Phospho-Rb (S780)
HUABIO
catalog: HA721513
domestic rabbit monoclonal (JE44-61)
reactivity:
human
,
mouse
,
rat
application:
western blot
Western blot analysis of Phospho-Rb (S780) on different lysates with Rabbit anti-Phospho-Rb (S780) antibody (HA721513) at 1/1,000 dilution. Lane 1: Jurkat serum starved for 44 hours whole cell lysate Lane 2: Jurkat serum starved for 24 hours then 10% FBS incubated for 20 hours whole cell lysate Lane 3: Jurkat serum starved for 44 hours then treated with λpp for 1 hour whole cell lysate Lane 4: Jurkat serum starved for 24 hours then 10% FBS incubated for 20 hours then treated with λpp for 1 hour whole cell lysate Lysates/proteins at 20 µg/Lane. Predicted band size: 106 kDa Observed band size: 106 kDa Exposure time: 1 minute 59 seconds; 4-20% SDS-PAGE gel. Proteins were transferred to a PVDF membrane and blocked with 5% NFDM/TBST for 1 hour at room temperature. The primary antibody (HA721513) at 1/1,000 dilution was used in 5% NFDM/TBST at room temperature for 2 hours. Goat Anti-Rabbit IgG - HRP Secondary Antibody (HA1001) at 1:100,000 dilution was used for 1 hour at room temperature.
Western blot analysis of Phospho-Rb (S780) on NIH/3T3 cell lysates with Rabbit anti-Phospho-Rb (S780) antibody (HA721513) at 1/1,000 dilution. Lysates/proteins at 20 µg/Lane. Predicted band size: 106 kDa Observed band size: 106 kDa Exposure time: 3 minutes; ECL: K1802; 4-20% SDS-PAGE gel. Proteins were transferred to a PVDF membrane and blocked with 5% NFDM/TBST for 1 hour at room temperature. The primary antibody (HA721513) at 1/1,000 dilution was used in 5% NFDM/TBST at 4℃ overnight. Goat Anti-Rabbit IgG - HRP Secondary Antibody (HA1001) at 1/50,000 dilution was used for 1 hour at room temperature.
quantity: 100μl
price: 385.00 USD
to the supplier
Phospho-Rb (S795)
HUABIO
catalog: HA722764
domestic rabbit monoclonal (PSH06-89)
reactivity:
human
application:
western blot
Western blot analysis of Phospho-Rb (S795) on different lysates with Rabbit anti-Phospho-Rb (S795) antibody (HA722764) at 1/2,000 dilution and competitor's antibody at 1/2,000 dilution. Lane 1: HeLa cell lysate Lane 2: HeLa treated with 100ng/mL Nocodazole for 18 hours cell lysate Lane 3: U-2 OS cell lysate Lane 4: U-2 OS treated with 50ng/mL Nocodazole for 8 hours cell lysate Lysates/proteins at 20 µg/Lane. Predicted band size: 106 kDa Observed band size: 106 kDa Exposure time: Lane 1-4 (left): 40 seconds; Lane 1-4 (right): 1 minute; ECL: K1802; 4-20% SDS-PAGE gel. Proteins were transferred to a PVDF membrane and blocked with 5% NFDM/TBST for 1 hour at room temperature. The primary antibody (HA722764) at 1/2,000 dilution and competitor's antibody at 1/2,000 dilution were used in 5% NFDM/TBST at 4℃ overnight. Goat Anti-Rabbit IgG - HRP Secondary Antibody (HA1001) at 1/50,000 dilution was used for 1 hour at room temperature.
Immunocytochemistry analysis of HeLa cells treated with 100ng/mL Nocodazole for 18 hours labeling Phospho-Rb (S795) with Rabbit anti-Phospho-Rb (S795) antibody (HA722764) at 1/500 dilution. Cells were fixed in 4% paraformaldehyde for 20 minutes at room temperature, permeabilized with 0.1% Triton X-100 in PBS for 5 minutes at room temperature, then blocked with 1% BSA in 10% negative goat serum for 1 hour at room temperature. Cells were then incubated with Rabbit anti-Phospho-Rb (S795) antibody (HA722764) at 1/500 dilution in 1% BSA in PBST overnight at 4 ℃. Goat Anti-Rabbit IgG H&L (iFluor™ 488, HA1121) was used as the secondary antibody at 1/1,000 dilution. PBS instead of the primary antibody was used as the secondary antibody only control. Nuclear DNA was labelled in blue with DAPI. Beta tubulin (M1305-2, red) was stained at 1/100 dilution overnight at +4℃. Goat Anti-Mouse IgG H&L (iFluor™ 594, HA1126) was used as the secondary antibody at 1/1,000 dilution.
Western blot analysis of Phospho-Rb (S795) on different lysates with Rabbit anti-Phospho-Rb (S795) antibody (HA722764) at 1/2,000 dilution. Lane 1: HeLa cell lysate Lane 2: HeLa treated with 100ng/mL Nocodazole for 18 hours cell lysate Lane 3: HeLa treated with 100ng/mL Nocodazole for 18 hours cell lysate, then the membrane treated with λpp for 1 hour Lysates/proteins at 20 µg/Lane. Predicted band size: 106 kDa Observed band size: 106 kDa Exposure time: 3 minutes; ECL: K1801; 4-20% SDS-PAGE gel. Proteins were transferred to a PVDF membrane and blocked with 5% NFDM/TBST for 1 hour at room temperature. The primary antibody (HA722764) at 1/2,000 dilution was used in 5% NFDM/TBST at 4℃ overnight. Goat Anti-Rabbit IgG - HRP Secondary Antibody (HA1001) at 1/50,000 dilution was used for 1 hour at room temperature.
quantity: 100μl
price: 385.00 USD
to the supplier
Phospho-Rb (S807/S811)
HUABIO
catalog: HA723268
domestic rabbit monoclonal (PSH11-01)
reactivity:
human
,
mouse
application:
western blot
,
immunoprecipitation
,
flow cytometry
,
immunohistochemistry - paraffin section
Western blot analysis of Phospho-Rb (S807/S811) on different lysates with Rabbit anti-Phospho-Rb (S807/S811) antibody (HA723268) at 1/1,000 dilution. Lane 1: K-562 cell lysate (no heat) (20 µg/Lane) Lane 2: SH-SY5Y cell lysate (no heat) (20 µg/Lane) Lane 3: K-562 cell lysate (no heat), the membrane treated with λpp for 1 hour (20 µg/Lane) Lane 4: SH-SY5Y cell lysate (no heat), the membrane treated with λpp for 1 hour (20 µg/Lane) Notice: no heat means the lysate is not boiled. Predicted band size: 106 kDa Observed band size: 110 kDa Exposure time: 59 seconds; ECL: K1801; 4-20% SDS-PAGE gel. Proteins were transferred to a PVDF membrane and blocked with 5% NFDM/TBST for 1 hour at room temperature. The primary antibody (HA723268) at 1/1,000 dilution was used in 5% NFDM/TBST at 4℃ overnight. Goat Anti-Rabbit IgG - HRP Secondary Antibody (HA1001) at 1/50,000 dilution was used for 1 hour at room temperature.
Western blot analysis of Phospho-Rb (S807/S811) on different lysates with Rabbit anti-Phospho-Rb (S807/S811) antibody (HA723268) at 1/1,000 dilution. Lane 1: NIH/3T3 cell lysate (no heat) (20 µg/Lane) Lane 2: NIH/3T3 treated with 100ng/mL Nocodazole for 18 hours cell lysate (no heat) (20 µg/Lane) Notice: no heat means the lysate is not boiled. Predicted band size: 106 kDa Observed band size: 110 kDa Exposure time: 3 minutes; ECL: K1801; 4-20% SDS-PAGE gel. Proteins were transferred to a PVDF membrane and blocked with 5% NFDM/TBST for 1 hour at room temperature. The primary antibody (HA723268) at 1/1,000 dilution was used in 5% NFDM/TBST at 4℃ overnight. Goat Anti-Rabbit IgG - HRP Secondary Antibody (HA1001) at 1/50,000 dilution was used for 1 hour at room temperature.
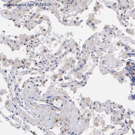
Immunohistochemical analysis of paraffin-embedded human lung tissue with Rabbit anti-Phospho-Rb (S807/S811) antibody (HA723268) at 1/1,000 dilution. The section was pre-treated using heat mediated antigen retrieval with Tris-EDTA buffer (pH 9.0) for 20 minutes. The tissues were blocked in 1% BSA for 20 minutes at room temperature, washed with ddH2O and PBS, and then probed with the primary antibody (HA723268) at 1/1,000 dilution for 1 hour at room temperature. The detection was performed using an HRP conjugated compact polymer system. DAB was used as the chromogen. Tissues were counterstained with hematoxylin and mounted with DPX.
quantity: 100μl
price: 385.00 USD
to the supplier
Phospho-Rb (S608)
HUABIO
catalog: HA723271
domestic rabbit monoclonal (PSH11-04)
reactivity:
human
application:
western blot
Western blot analysis of Phospho-Rb (S608) on different lysates with Rabbit anti-Phospho-Rb (S608) antibody (HA723271) at 1/5,000 dilution. Lane 1: K-562 cell lysate (no heat) Lane 2: SH-SY5Y cell lysate (no heat) Lane 3: MCF7 cell lysate (no heat) Lane 4: COS-1 cell lysate (no heat) Lane 5: K-562 cell lysate (no heat), the membrane treated with λpp for 1 hour Notice: no heat means the lysate is not boiled. Lysates/proteins at 20 µg/Lane. Predicted band size: 106 kDa Observed band size: 110 kDa Exposure time: 12 seconds; ECL: K1801; 4-20% SDS-PAGE gel. Proteins were transferred to a PVDF membrane and blocked with 5% NFDM/TBST for 1 hour at room temperature. The primary antibody (HA723271) at 1/5,000 dilution was used in 5% NFDM/TBST at 4℃ overnight. Goat Anti-Rabbit IgG - HRP Secondary Antibody (HA1001) at 1/50,000 dilution was used for 1 hour at room temperature.
quantity: 100μl
price: 385.00 USD
to the supplier
Phospho-Rb (S807)
HUABIO
catalog: HA750045
domestic rabbit monoclonal (SR3-82)
reactivity:
human
,
mouse
,
rat
application:
western blot
,
immunohistochemistry - paraffin section
Western blot analysis of Phospho-Rb (S807) on different lysates with Rabbit anti-Phospho-Rb (S807) antibody (HA750045) at 1/2,000 dilution. Lane 1: K-562 cell lysate (no heat) Lane 2: K-562 cell lysate Lane 3: K-562 cell lysate (no heat), treated with λpp for 1 hour Lane 4: K-562 cell lysate, treated with λpp for 1 hour Notice: no heat means the lysate is not boiled. Lysates/proteins at 15 µg/Lane. Predicted band size: 106 kDa Observed band size: 106 kDa Exposure time: 2 minutes; 4-20% SDS-PAGE gel. Proteins were transferred to a PVDF membrane and blocked with 5% NFDM/TBST for 1 hour at room temperature. The primary antibody (HA750045) at 1/2,000 dilution was used in 5% NFDM/TBST at room temperature for 2 hours. Goat Anti-Rabbit IgG - HRP Secondary Antibody (HA1001) at 1:100,000 dilution was used for 1 hour at room temperature.
Immunocytochemistry analysis of K-562 cells treated with or without λpp labeling Phospho-Rb (S807) with Rabbit anti-Phospho-Rb (S807) antibody (HA750045) at 1/100 dilution. Cells were fixed in 4% paraformaldehyde for 15 minutes at room temperature, permeabilized with 0.1% Triton X-100 in PBS for 15 minutes at room temperature, then blocked with 1% BSA in 10% negative goat serum for 1 hour at room temperature. Cells were then incubated with Rabbit anti-Phospho-Rb (S807) antibody (HA750045) at 1/100 dilution in 1% BSA in PBST overnight at 4 ℃. Goat Anti-Rabbit IgG H&L (iFluor™ 488, HA1121) was used as the secondary antibody at 1/1,000 dilution. PBS instead of the primary antibody was used as the secondary antibody only control. Nuclear DNA was labelled in blue with DAPI. Beta tubulin (HA601187, red) was stained at 1/100 dilution overnight at +4℃. Goat Anti-Mouse IgG H&L (iFluor™ 594, HA1126) was used as the secondary antibody at 1/1,000 dilution.
Immunocytochemistry analysis of L929 cells labeling Phospho-Rb (S807) with Rabbit anti-Phospho-Rb (S807) antibody (HA750045) at 1/100 dilution. Cells were fixed in 4% paraformaldehyde for 15 minutes at room temperature, permeabilized with 0.1% Triton X-100 in PBS for 15 minutes at room temperature, then blocked with 1% BSA in 10% negative goat serum for 1 hour at room temperature. Cells were then incubated with Rabbit anti-Phospho-Rb (S807) antibody (HA750045) at 1/100 dilution in 1% BSA in PBST overnight at 4 ℃. Goat Anti-Rabbit IgG H&L (iFluor™ 488, HA1121) was used as the secondary antibody at 1/1,000 dilution. PBS instead of the primary antibody was used as the secondary antibody only control. Nuclear DNA was labelled in blue with DAPI. Beta tubulin (HA601187, red) was stained at 1/100 dilution overnight at +4℃. Goat Anti-Mouse IgG H&L (iFluor™ 594, HA1126) was used as the secondary antibody at 1/1,000 dilution.
quantity: 100μl
price: 649.00 USD
to the supplier
Rb
HUABIO
catalog: HA750135
domestic rabbit monoclonal (SY63-03)
reactivity:
human
,
mouse
application:
western blot
,
immunoprecipitation
,
immunohistochemistry - paraffin section
Western blot analysis of Rb on mouse lung tissue lysates with Rabbit anti-Rb antibody (HA750135) at 1/500 dilution. Lysates/proteins at 10 µg/Lane. Predicted band size: 106 kDa Observed band size: 106 kDa Exposure time: 2 minutes; 8% SDS-PAGE gel. Proteins were transferred to a PVDF membrane and blocked with 5% NFDM/TBST for 1 hour at room temperature. The primary antibody (HA750135) at 1/500 dilution was used in 5% NFDM/TBST at room temperature for 2 hours. Goat Anti-Rabbit IgG - HRP Secondary Antibody (HA1001) at 1:300,000 dilution was used for 1 hour at room temperature.
ICC staining of Rb in SW480 cells (green). Formalin fixed cells were permeabilized with 0.1% Triton X-100 in TBS for 10 minutes at room temperature and blocked with 1% Blocker BSA for 15 minutes at room temperature. Cells were probed with the primary antibody (HA750135, 1/50) for 1 hour at room temperature, washed with PBS. Alexa Fluor®488 Goat anti-Rabbit IgG was used as the secondary antibody at 1/1,000 dilution. The nuclear counter stain is DAPI (blue).
Immunohistochemical analysis of paraffin-embedded human spleen tissue with Rabbit anti-Rb antibody (HA750135) at 1/200 dilution. The section was pre-treated using heat mediated antigen retrieval with sodium citrate buffer (pH 6.0) (high pressure) for 2 minutes. The tissues were blocked in 1% BSA for 20 minutes at room temperature, washed with ddH2O and PBS, and then probed with the primary antibody (HA750135) at 1/200 dilution for 1 hour at room temperature. The detection was performed using an HRP conjugated compact polymer system. DAB was used as the chromogen. Tissues were counterstained with hematoxylin and mounted with DPX.
quantity: 100μl
price: 649.00 USD
to the supplier
Phospho-Rb (S795)
HUABIO
catalog: HA751113
domestic rabbit monoclonal (PSH06-89)
reactivity:
human
application:
western blot
Western blot analysis of Phospho-Rb (S795) on different lysates with Rabbit anti-Phospho-Rb (S795) antibody (HA751113) at 1/2,000 dilution and competitor's antibody at 1/2,000 dilution. Lane 1: HeLa cell lysate Lane 2: HeLa treated with 100ng/mL Nocodazole for 18 hours cell lysate Lane 3: U-2 OS cell lysate Lane 4: U-2 OS treated with 50ng/mL Nocodazole for 8 hours cell lysate Lysates/proteins at 20 µg/Lane. Predicted band size: 106 kDa Observed band size: 106 kDa Exposure time: Lane 1-4 (left): 40 seconds; Lane 1-4 (right): 1 minute; ECL: K1802; 4-20% SDS-PAGE gel. Proteins were transferred to a PVDF membrane and blocked with 5% NFDM/TBST for 1 hour at room temperature. The primary antibody (HA751113) at 1/2,000 dilution and competitor's antibody at 1/2,000 dilution were used in 5% NFDM/TBST at 4℃ overnight. Goat Anti-Rabbit IgG - HRP Secondary Antibody (HA1001) at 1/50,000 dilution was used for 1 hour at room temperature.
Immunocytochemistry analysis of HeLa cells treated with 100ng/mL Nocodazole for 18 hours labeling Phospho-Rb (S795) with Rabbit anti-Phospho-Rb (S795) antibody (HA751113) at 1/500 dilution. Cells were fixed in 4% paraformaldehyde for 20 minutes at room temperature, permeabilized with 0.1% Triton X-100 in PBS for 5 minutes at room temperature, then blocked with 1% BSA in 10% negative goat serum for 1 hour at room temperature. Cells were then incubated with Rabbit anti-Phospho-Rb (S795) antibody (HA751113) at 1/500 dilution in 1% BSA in PBST overnight at 4 ℃. Goat Anti-Rabbit IgG H&L (iFluor™ 488, HA1121) was used as the secondary antibody at 1/1,000 dilution. PBS instead of the primary antibody was used as the secondary antibody only control. Nuclear DNA was labelled in blue with DAPI. Beta tubulin (M1305-2, red) was stained at 1/100 dilution overnight at +4℃. Goat Anti-Mouse IgG H&L (iFluor™ 594, HA1126) was used as the secondary antibody at 1/1,000 dilution.
Western blot analysis of Phospho-Rb (S795) on different lysates with Rabbit anti-Phospho-Rb (S795) antibody (HA751113) at 1/2,000 dilution. Lane 1: HeLa cell lysate Lane 2: HeLa treated with 100ng/mL Nocodazole for 18 hours cell lysate Lane 3: HeLa treated with 100ng/mL Nocodazole for 18 hours cell lysate, then the membrane treated with λpp for 1 hour Lysates/proteins at 20 µg/Lane. Predicted band size: 106 kDa Observed band size: 106 kDa Exposure time: 3 minutes; ECL: K1801; 4-20% SDS-PAGE gel. Proteins were transferred to a PVDF membrane and blocked with 5% NFDM/TBST for 1 hour at room temperature. The primary antibody (HA751113) at 1/2,000 dilution was used in 5% NFDM/TBST at 4℃ overnight. Goat Anti-Rabbit IgG - HRP Secondary Antibody (HA1001) at 1/50,000 dilution was used for 1 hour at room temperature.
quantity: 100μl
price: 649.00 USD
to the supplier
Phospho-Rb (S807/S811)
HUABIO
catalog: HA751391
domestic rabbit monoclonal (PSH11-01)
reactivity:
human
,
mouse
application:
western blot
,
immunoprecipitation
,
flow cytometry
,
immunohistochemistry - paraffin section
Western blot analysis of Phospho-Rb (S807/S811) on different lysates with Rabbit anti-Phospho-Rb (S807/S811) antibody (HA751391) at 1/1,000 dilution. Lane 1: K-562 cell lysate (no heat) (20 µg/Lane) Lane 2: SH-SY5Y cell lysate (no heat) (20 µg/Lane) Lane 3: K-562 cell lysate (no heat), the membrane treated with λpp for 1 hour (20 µg/Lane) Lane 4: SH-SY5Y cell lysate (no heat), the membrane treated with λpp for 1 hour (20 µg/Lane) Notice: no heat means the lysate is not boiled. Predicted band size: 106 kDa Observed band size: 110 kDa Exposure time: 59 seconds; ECL: K1801; 4-20% SDS-PAGE gel. Proteins were transferred to a PVDF membrane and blocked with 5% NFDM/TBST for 1 hour at room temperature. The primary antibody (HA751391) at 1/1,000 dilution was used in 5% NFDM/TBST at 4℃ overnight. Goat Anti-Rabbit IgG - HRP Secondary Antibody (HA1001) at 1/50,000 dilution was used for 1 hour at room temperature.
Western blot analysis of Phospho-Rb (S807/S811) on different lysates with Rabbit anti-Phospho-Rb (S807/S811) antibody (HA751391) at 1/1,000 dilution. Lane 1: NIH/3T3 cell lysate (no heat) (20 µg/Lane) Lane 2: NIH/3T3 treated with 100ng/mL Nocodazole for 18 hours cell lysate (no heat) (20 µg/Lane) Notice: no heat means the lysate is not boiled. Predicted band size: 106 kDa Observed band size: 110 kDa Exposure time: 3 minutes; ECL: K1801; 4-20% SDS-PAGE gel. Proteins were transferred to a PVDF membrane and blocked with 5% NFDM/TBST for 1 hour at room temperature. The primary antibody (HA751391) at 1/1,000 dilution was used in 5% NFDM/TBST at 4℃ overnight. Goat Anti-Rabbit IgG - HRP Secondary Antibody (HA1001) at 1/50,000 dilution was used for 1 hour at room temperature.
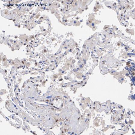
Immunohistochemical analysis of paraffin-embedded human lung tissue with Rabbit anti-Phospho-Rb (S807/S811) antibody (HA751391) at 1/1,000 dilution. The section was pre-treated using heat mediated antigen retrieval with Tris-EDTA buffer (pH 9.0) for 20 minutes. The tissues were blocked in 1% BSA for 20 minutes at room temperature, washed with ddH2O and PBS, and then probed with the primary antibody (HA751391) at 1/1,000 dilution for 1 hour at room temperature. The detection was performed using an HRP conjugated compact polymer system. DAB was used as the chromogen. Tissues were counterstained with hematoxylin and mounted with DPX.
quantity: 100μl
price: 649.00 USD
to the supplier
Phospho-Rb (S608)
HUABIO
catalog: HA751394
domestic rabbit monoclonal (PSH11-04)
reactivity:
human
application:
western blot
Western blot analysis of Phospho-Rb (S608) on different lysates with Rabbit anti-Phospho-Rb (S608) antibody (HA751394) at 1/5,000 dilution. Lane 1: K-562 cell lysate (no heat) Lane 2: SH-SY5Y cell lysate (no heat) Lane 3: MCF7 cell lysate (no heat) Lane 4: COS-1 cell lysate (no heat) Lane 5: K-562 cell lysate (no heat), the membrane treated with λpp for 1 hour Notice: no heat means the lysate is not boiled. Lysates/proteins at 20 µg/Lane. Predicted band size: 106 kDa Observed band size: 110 kDa Exposure time: 12 seconds; ECL: K1801; 4-20% SDS-PAGE gel. Proteins were transferred to a PVDF membrane and blocked with 5% NFDM/TBST for 1 hour at room temperature. The primary antibody (HA751394) at 1/5,000 dilution was used in 5% NFDM/TBST at 4℃ overnight. Goat Anti-Rabbit IgG - HRP Secondary Antibody (HA1001) at 1/50,000 dilution was used for 1 hour at room temperature.
quantity: 100μl
price: 649.00 USD
to the supplier