domestic rabbit polyclonal
reactivity: human, mouse, rat
application: western blot, flow cytometry
reactivity: human, mouse, rat
application: western blot, flow cytometry

Western blot analysis of HUWE1 on different lysates with Rabbit anti-HUWE1 antibody (ER61660) at 1/10,000 dilution. Lane 1: HeLa cell lysate (20 µg/Lane) Lane 2: 293T cell lysate (20 µg/Lane) Lane 3: A549 cell lysate (low expression) (20 µg/Lane) Lane 4: NIH/3T3 cell lysate (20 µg/Lane) Lane 5: PC-12 cell lysate (20 µg/Lane) Lane 6: Mouse brain tissue lysate (40 µg/Lane) Lane 7: Rat brain tissue lysate (40 µg/Lane) Predicted band size: 482 kDa Observed band size: 482 kDa Exposure time: 25 seconds; ECL: K1801; 3-8% SDS-PAGE gel. Proteins were transferred to a PVDF membrane and blocked with 5% NFDM/TBST for 1 hour at room temperature. The primary antibody (ER61660) at 1/10,000 dilution was used in primary antibody dilution (K1803) at 4℃ overnight. Goat Anti-Rabbit IgG - HRP Secondary Antibody (HA1001) at 1/50,000 dilution was used for 1 hour at room temperature.

Immunocytochemistry analysis of HeLa cells labeling HUWE1 with Rabbit anti-HUWE1 antibody (ER61660) at 1/100 dilution. Cells were fixed in 4% paraformaldehyde for 15 minutes at room temperature, permeabilized with 0.1% Triton X-100 in PBS for 15 minutes at room temperature, then blocked with 1% BSA in 10% negative goat serum for 1 hour at room temperature. Cells were then incubated with Rabbit anti-HUWE1 antibody (ER61660) at 1/100 dilution in 1% BSA in PBST overnight at 4 ℃. Goat Anti-Rabbit IgG H&L (iFluor™ 488, HA1121) was used as the secondary antibody at 1/1,000 dilution. PBS instead of the primary antibody was used as the secondary antibody only control. Nuclear DNA was labelled in blue with DAPI. Beta tubulin (HA601187, red) was stained at 1/100 dilution overnight at +4℃. Goat Anti-Mouse IgG H&L (iFluor™ 594, HA1126) was used as the secondary antibody at 1/1,000 dilution.

Immunocytochemistry analysis of NIH/3T3 cells labeling HUWE1 with Rabbit anti-HUWE1 antibody (ER61660) at 1/200 dilution. Cells were fixed in 4% paraformaldehyde for 15 minutes at room temperature, permeabilized with 0.1% Triton X-100 in PBS for 15 minutes at room temperature, then blocked with 1% BSA in 10% negative goat serum for 1 hour at room temperature. Cells were then incubated with Rabbit anti-HUWE1 antibody (ER61660) at 1/200 dilution in 1% BSA in PBST overnight at 4 ℃. Goat Anti-Rabbit IgG H&L (iFluor™ 488, HA1121) was used as the secondary antibody at 1/1,000 dilution. PBS instead of the primary antibody was used as the secondary antibody only control. Nuclear DNA was labelled in blue with DAPI. Beta tubulin (HA601187, red) was stained at 1/100 dilution overnight at +4℃. Goat Anti-Mouse IgG H&L (iFluor™ 594, HA1126) was used as the secondary antibody at 1/1,000 dilution.
quantity: 100μl
price: 330 USD
to the supplier
domestic rabbit monoclonal (PSH02-38)
reactivity: human, mouse, rat
application: western blot, flow cytometry, immunohistochemistry - paraffin section
reactivity: human, mouse, rat
application: western blot, flow cytometry, immunohistochemistry - paraffin section

Western blot analysis of HUWE1 on PC-12 cell lysates with Rabbit anti-HUWE1 antibody (HA721815) at 1/1,000 dilution. Lysates/proteins at 20 µg/Lane. Predicted band size: 482.7 kDa Observed band size: 482.7 kDa Exposure time: 5 minutes; 4-20% SDS-PAGE gel. Proteins were transferred to a PVDF membrane and blocked with 5% NFDM/TBST for 1 hour at room temperature. The primary antibody (HA721815) at 1/1,000 dilution was used in 5% NFDM/TBST at 4℃ overnight. Goat Anti-Rabbit IgG - HRP Secondary Antibody (HA1001) at 1/50,000 dilution was used for 1 hour at room temperature.

Immunohistochemical analysis of paraffin-embedded human brain tissue with Rabbit anti-HUWE1 antibody (HA721815) at 1/1,000 dilution. The section was pre-treated using heat mediated antigen retrieval with sodium citrate buffer (pH 6.0) (high pressure) for 2 minutes. The tissues were blocked in 1% BSA for 20 minutes at room temperature, washed with ddH2O and PBS, and then probed with the primary antibody (HA721815) at 1/1,000 dilution for 1 hour at room temperature. The detection was performed using an HRP conjugated compact polymer system. DAB was used as the chromogen. Tissues were counterstained with hematoxylin and mounted with DPX.

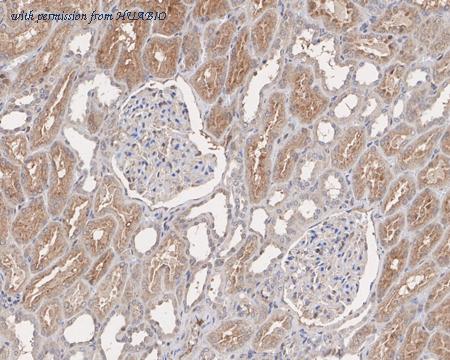
Immunohistochemical analysis of paraffin-embedded human kidney tissue with Rabbit anti-HUWE1 antibody (HA721815) at 1/1,000 dilution. The section was pre-treated using heat mediated antigen retrieval with sodium citrate buffer (pH 6.0) (high pressure) for 2 minutes. The tissues were blocked in 1% BSA for 20 minutes at room temperature, washed with ddH2O and PBS, and then probed with the primary antibody (HA721815) at 1/1,000 dilution for 1 hour at room temperature. The detection was performed using an HRP conjugated compact polymer system. DAB was used as the chromogen. Tissues were counterstained with hematoxylin and mounted with DPX.
quantity: 100μl
price: 385.00 USD
to the supplier
domestic rabbit monoclonal (PSH14-37)
reactivity: human, mouse, rat
application: western blot, immunohistochemistry - paraffin section
reactivity: human, mouse, rat
application: western blot, immunohistochemistry - paraffin section

Western blot analysis of HUWE1 on different lysates with Rabbit anti-HUWE1 antibody (HA723631) at 1/5,000 dilution. Lane 1: HeLa cell lysate (20 µg/Lane) Lane 2: SW480 cell lysate (20 µg/Lane) Lane 3: A549 cell lysate (low expression) (20 µg/Lane) Lane 4: MOLT-4 cell lysate (20 µg/Lane) Lane 5: 293T cell lysate (20 µg/Lane) Lane 6: Jurkat cell lysate (20 µg/Lane) Lane 7: MCF7 cell lysate (20 µg/Lane) Lane 8: F9 cell lysate (20 µg/Lane) Lane 9: NIH/3T3 cell lysate (20 µg/Lane) Lane 10: PC-12 cell lysate (20 µg/Lane) Predicted band size: 482 kDa Observed band size: 482 kDa Exposure time: 25 seconds; ECL: K1801; 3-8% SDS-PAGE gel. Proteins were transferred to a PVDF membrane and blocked with 5% NFDM/TBST for 1 hour at room temperature. The primary antibody (HA723631) at 1/5,000 dilution was used in primary antibody dilution (K1803) at 4℃ overnight. Goat Anti-Rabbit IgG - HRP Secondary Antibody (HA1001) at 1/50,000 dilution was used for 1 hour at room temperature.

Western blot analysis of HUWE1 on different lysates with Rabbit anti-HUWE1 antibody (HA723631) at 1/20,000 dilution. Lane 1: Mouse brain tissue lysate (40 µg/Lane) Lane 2: Rat brain tissue lysate (40 µg/Lane) Predicted band size: 482 kDa Observed band size: 482 kDa Exposure time: 48 seconds; ECL: K1801; 3-8% SDS-PAGE gel. Proteins were transferred to a PVDF membrane and blocked with 5% NFDM/TBST for 1 hour at room temperature. The primary antibody (HA723631) at 1/20,000 dilution was used in primary antibody dilution (K1803) at 4℃ overnight. Goat Anti-Rabbit IgG - HRP Secondary Antibody (HA1001) at 1/50,000 dilution was used for 1 hour at room temperature.

Immunohistochemical analysis of paraffin-embedded human brain tissue with Rabbit anti-HUWE1 antibody (HA723631) at 1/50 dilution. The section was pre-treated using heat mediated antigen retrieval with Tris-EDTA buffer (pH 9.0) for 20 minutes. The tissues were blocked in 1% BSA for 20 minutes at room temperature, washed with ddH2O and PBS, and then probed with the primary antibody (HA723631) at 1/50 dilution for 1 hour at room temperature. The detection was performed using an HRP conjugated compact polymer system. DAB was used as the chromogen. Tissues were counterstained with hematoxylin and mounted with DPX.
quantity: 100μl
price: 385.00 USD
to the supplier
domestic rabbit monoclonal (PSH02-38)
reactivity: human, mouse, rat
application: western blot, flow cytometry, immunohistochemistry - paraffin section
reactivity: human, mouse, rat
application: western blot, flow cytometry, immunohistochemistry - paraffin section

Western blot analysis of HUWE1 on PC-12 cell lysates with Rabbit anti-HUWE1 antibody (HA750803) at 1/1,000 dilution. Lysates/proteins at 20 µg/Lane. Predicted band size: 482.7 kDa Observed band size: 482.7 kDa Exposure time: 5 minutes; 4-20% SDS-PAGE gel. Proteins were transferred to a PVDF membrane and blocked with 5% NFDM/TBST for 1 hour at room temperature. The primary antibody (HA750803) at 1/1,000 dilution was used in 5% NFDM/TBST at 4℃ overnight. Goat Anti-Rabbit IgG - HRP Secondary Antibody (HA1001) at 1/50,000 dilution was used for 1 hour at room temperature.

Immunohistochemical analysis of paraffin-embedded human brain tissue with Rabbit anti-HUWE1 antibody (HA750803) at 1/1,000 dilution. The section was pre-treated using heat mediated antigen retrieval with sodium citrate buffer (pH 6.0) (high pressure) for 2 minutes. The tissues were blocked in 1% BSA for 20 minutes at room temperature, washed with ddH2O and PBS, and then probed with the primary antibody (HA750803) at 1/1,000 dilution for 1 hour at room temperature. The detection was performed using an HRP conjugated compact polymer system. DAB was used as the chromogen. Tissues were counterstained with hematoxylin and mounted with DPX.

Immunohistochemical analysis of paraffin-embedded human kidney tissue with Rabbit anti-HUWE1 antibody (HA750803) at 1/1,000 dilution. The section was pre-treated using heat mediated antigen retrieval with sodium citrate buffer (pH 6.0) (high pressure) for 2 minutes. The tissues were blocked in 1% BSA for 20 minutes at room temperature, washed with ddH2O and PBS, and then probed with the primary antibody (HA750803) at 1/1,000 dilution for 1 hour at room temperature. The detection was performed using an HRP conjugated compact polymer system. DAB was used as the chromogen. Tissues were counterstained with hematoxylin and mounted with DPX.
quantity: 100μl
price: 649.00 USD
to the supplier
domestic rabbit monoclonal (PSH14-37)
reactivity: human, mouse, rat
application: western blot, immunohistochemistry - paraffin section
reactivity: human, mouse, rat
application: western blot, immunohistochemistry - paraffin section

Western blot analysis of HUWE1 on different lysates with Rabbit anti-HUWE1 antibody (HA751519) at 1/5,000 dilution. Lane 1: HeLa cell lysate (20 µg/Lane) Lane 2: SW480 cell lysate (20 µg/Lane) Lane 3: A549 cell lysate (low expression) (20 µg/Lane) Lane 4: MOLT-4 cell lysate (20 µg/Lane) Lane 5: 293T cell lysate (20 µg/Lane) Lane 6: Jurkat cell lysate (20 µg/Lane) Lane 7: MCF7 cell lysate (20 µg/Lane) Lane 8: F9 cell lysate (20 µg/Lane) Lane 9: NIH/3T3 cell lysate (20 µg/Lane) Lane 10: PC-12 cell lysate (20 µg/Lane) Predicted band size: 482 kDa Observed band size: 482 kDa Exposure time: 25 seconds; ECL: K1801; 3-8% SDS-PAGE gel. Proteins were transferred to a PVDF membrane and blocked with 5% NFDM/TBST for 1 hour at room temperature. The primary antibody (HA751519) at 1/5,000 dilution was used in primary antibody dilution (K1803) at 4℃ overnight. Goat Anti-Rabbit IgG - HRP Secondary Antibody (HA1001) at 1/50,000 dilution was used for 1 hour at room temperature.

Western blot analysis of HUWE1 on different lysates with Rabbit anti-HUWE1 antibody (HA751519) at 1/20,000 dilution. Lane 1: Mouse brain tissue lysate (40 µg/Lane) Lane 2: Rat brain tissue lysate (40 µg/Lane) Predicted band size: 482 kDa Observed band size: 482 kDa Exposure time: 48 seconds; ECL: K1801; 3-8% SDS-PAGE gel. Proteins were transferred to a PVDF membrane and blocked with 5% NFDM/TBST for 1 hour at room temperature. The primary antibody (HA751519) at 1/20,000 dilution was used in primary antibody dilution (K1803) at 4℃ overnight. Goat Anti-Rabbit IgG - HRP Secondary Antibody (HA1001) at 1/50,000 dilution was used for 1 hour at room temperature.

Immunohistochemical analysis of paraffin-embedded human brain tissue with Rabbit anti-HUWE1 antibody (HA751519) at 1/50 dilution. The section was pre-treated using heat mediated antigen retrieval with Tris-EDTA buffer (pH 9.0) for 20 minutes. The tissues were blocked in 1% BSA for 20 minutes at room temperature, washed with ddH2O and PBS, and then probed with the primary antibody (HA751519) at 1/50 dilution for 1 hour at room temperature. The detection was performed using an HRP conjugated compact polymer system. DAB was used as the chromogen. Tissues were counterstained with hematoxylin and mounted with DPX.
quantity: 100μl
price: 649.00 USD
to the supplier
