Sign in
Sign up
home
>
HUABIO
> HUABIO Bax antibody
BAX
HUABIO
catalog: EM1203
mouse monoclonal (3-D2)
reactivity:
human
,
mouse
application:
western blot
,
flow cytometry
,
immunohistochemistry - paraffin section
Western blot analysis of BAX on different lysates with Mouse anti-BAX antibody (EM1203) at 1/500 dilution. Lane 1: Daudi cell lysate Lane 2: Raji cell lysate Lysates/proteins at 10 µg/Lane. Predicted band size: 21 kDa Observed band size: 21 kDa Exposure time: 2 minutes; 15% SDS-PAGE gel. Proteins were transferred to a PVDF membrane and blocked with 5% NFDM/TBST for 1 hour at room temperature. The primary antibody (EM1203) at 1/500 dilution was used in 5% NFDM/TBST at room temperature for 2 hours. Goat Anti-Mouse IgG - HRP Secondary Antibody (HA1006) at 1:100,000 dilution was used for 1 hour at room temperature.
ICC staining of BAX in HepG2 cells (green). Formalin fixed cells were permeabilized with 0.1% Triton X-100 in TBS for 10 minutes at room temperature and blocked with 10% negative goat serum for 15 minutes at room temperature. Cells were probed with the primary antibody (EM1203, 1/50) for 1 hour at room temperature, washed with PBS. Alexa Fluor®488 conjugate-Goat anti-Mouse IgG was used as the secondary antibody at 1/1,000 dilution. The nuclear counter stain is DAPI (blue).
Flow cytometric analysis of Hela cells with vimentin antibody at 1/50 dilution (blue) compared with an unlabelled control (cells without incubation with primary antibody; red). Goat anti mouse IgA (FITC) was used as the secondary antibody.
quantity: 100μl
price: 360.00 USD
to the supplier
BAX
HUABIO
catalog: ER0907
domestic rabbit polyclonal
reactivity:
human
,
mouse
,
rat
application:
western blot
,
immunohistochemistry - paraffin section
Western blot analysis of BAX on different lysates with Rabbit anti-BAX antibody (ER0907) at 1/5,000 dilution and competitor's antibody at 1/1,000 dilution. Lane 1: HeLa cell lysate Lane 2: MCF7 cell lysate Lane 3: HEK-293 cell lysate Lysates/proteins at 15 µg/Lane. Predicted band size: 21 kDa Observed band size: 21 kDa Exposure time: 1 minute 34 seconds; ECL: K1801; 4-20% SDS-PAGE gel. Proteins were transferred to a PVDF membrane and blocked with 5% NFDM/TBST for 1 hour at room temperature. The primary antibody (ER0907) at 1/5,000 dilution and competitor's antibody at 1/1,000 dilution were used in 5% NFDM/TBST at 4℃ overnight. Goat Anti-Rabbit IgG - HRP Secondary Antibody (HA1001) at 1/50,000 dilution was used for 1 hour at room temperature.
Western blot analysis of BAX on different lysates with Rabbit anti-BAX antibody (ER0907) at 1/5,000 dilution. Lane 1: HeLa cell lysate Lane 2: MCF7 cell lysate Lane 3: Daudi cell lysate Lane 4: Raji cell lysate Lane 5: Jurkat cell lysate Lysates/proteins at 20 µg/Lane. Predicted band size: 21 kDa Observed band size: 21 kDa Exposure time: 29 seconds; ECL: K1801; 4-20% SDS-PAGE gel. Proteins were transferred to a PVDF membrane and blocked with 5% NFDM/TBST for 1 hour at room temperature. The primary antibody (ER0907) at 1/5,000 dilution was used in 5% NFDM/TBST at 4℃ overnight. Goat Anti-Rabbit IgG - HRP Secondary Antibody (HA1001) at 1:50,000 dilution was used for 1 hour at room temperature.
Western blot analysis of BAX on different lysates with Rabbit anti-BAX antibody (ER0907) at 1/20,000 dilution. Lane 1: MCF7-si NT cell lysate Lane 2: MCF7-si BAX cell lysate Lysates/proteins at 10 µg/Lane. Predicted band size: 21 kDa Observed band size: 21 kDa Exposure time: 3 minutes; ECL: K1802; 4-20% SDS-PAGE gel. ER0907 was shown to specifically react with BAX in MCF7-si NT cells. Weakened band was observed when MCF7-si BAX sample was tested. MCF7-si NT and MCF7-si BAX samples were subjected to SDS-PAGE. Proteins were transferred to a PVDF membrane and blocked with 5% NFDM in TBST for 1 hour at room temperature. The primary antibody (ER0907, 1/20,000) and Loading control antibody (Rabbit anti-GAPDH, ET1601-4, 1/10,000) were used in 5% NFDM/TBST at 4℃ overnight. Goat Anti-rabbit IgG-HRP Secondary Antibody (HA1001) at 1:50,000 dilution was used for 1 hour at room temperature.
quantity: 100μl
price: 330 USD
to the supplier
Bax
HUABIO
catalog: ET1603-34
domestic rabbit monoclonal (SZ3-07)
reactivity:
human
,
mouse
,
rat
application:
western blot
,
flow cytometry
Western blot analysis of Bax on different lysates with Rabbit anti-Bax antibody (ET1603-34) at 1/20,000 dilution and competitor's antibody at 1/1,000 dilution. Lane 1: HeLa cell lysate Lane 2: MCF7 cell lysate Lane 3: HEK-293 cell lysate Lane 4: bEnd.3 cell lysate Lane 5: C2C12 cell lysate Lane 6: PC-12 cell lysate Lane 7: C6 cell lysate Lysates/proteins at 15 µg/Lane. Predicted band size: 21 kDa Observed band size: 21 kDa Exposure time: 30 seconds; ECL: K1801; 4-20% SDS-PAGE gel. Proteins were transferred to a PVDF membrane and blocked with 5% NFDM/TBST for 1 hour at room temperature. The primary antibody (ET1603-34) at 1/20,000 dilution and competitor's antibody at 1/1,000 dilution were used in 5% NFDM/TBST at 4℃ overnight. Goat Anti-Rabbit IgG - HRP Secondary Antibody (HA1001) at 1/50,000 dilution was used for 1 hour at room temperature.
All lanes: Western blot analysis of Bax with anti-Bax antibody [SZ3-07] (ET1603-34) at 1/1,000 dilution. Lane 1/2: Wild-type Hela whole cell lysate (20 µg). Lane 3/4: Bax knockout Hela whole cell lysate (20 µg). ET1603-34 was shown to specifically react with Bax in wild-type Hela cells. No band was observed when Bax knockout samples were tested. Wild-type and Bax knockout samples were subjected to SDS-PAGE. Proteins were transferred to a PVDF membrane and blocked with 5% NFDM in TBST for 1 hour at room temperature. The primary antibody (ET1603-34, 1/1,000) and Loading control antibody (Rabbit anti-β-actin, R1207-1, 1/1,000)was used in 5% BSA at room temperature for 2 hours. Goat Anti-Rabbit IgG-HRP Secondary Antibody (HA1001) at 1:200,000 dilution was used for 1 hour at room temperature.
Immunocytochemistry analysis of C2C12 cells labeling Bax with Rabbit anti-Bax antibody (ET1603-34) at 1/100 dilution. Cells were fixed in 4% paraformaldehyde for 20 minutes at room temperature, permeabilized with 0.1% Triton X-100 in PBS for 5 minutes at room temperature, then blocked with 1% BSA in 10% negative goat serum for 1 hour at room temperature. Cells were then incubated with Rabbit anti-Bax antibody (ET1603-34) at 1/100 dilution in 1% BSA in PBST overnight at 4 ℃. Goat Anti-Rabbit IgG H&L (iFluor™ 488, HA1121) was used as the secondary antibody at 1/1,000 dilution. PBS instead of the primary antibody was used as the secondary antibody only control. Nuclear DNA was labelled in blue with DAPI. Beta tubulin (M1305-2, red) was stained at 1/100 dilution overnight at +4℃. Goat Anti-Mouse IgG H&L (iFluor™ 594, HA1126) was used as the secondary antibody at 1/1,000 dilution.
quantity: 100μl
price: 385.00 USD
to the supplier
BAX
HUABIO
catalog: HA601123
mouse monoclonal (PSH0-20)
reactivity:
human
application:
western blot
,
immunohistochemistry - paraffin section
Western blot analysis of BAX on different lysates with Mouse anti-BAX antibody (HA601123) at 1/5,000 dilution. Lane 1: Human kidney tissue lysate (30 µg/Lane) Lane 2: Daudi cell lysate (15 µg/Lane) Lane 3: Raji cell lysate (15 µg/Lane) Lane 4: HepG2 cell lysate (15 µg/Lane) Predicted band size: 21 kDa Observed band size: 21 kDa Exposure time: 30 seconds; 15% SDS-PAGE gel. Proteins were transferred to a PVDF membrane and blocked with 5% NFDM/TBST for 1 hour at room temperature. The primary antibody (HA601123) at 1/5,000 dilution was used in 5% NFDM/TBST at room temperature for 2 hours. Goat Anti-Mouse IgG - HRP Secondary Antibody (HA1006) at 1:150,000 dilution was used for 1 hour at room temperature.
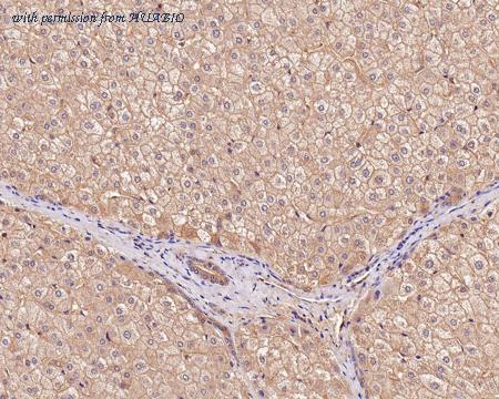
Immunohistochemical analysis of paraffin-embedded human liver carcinoma tissue with Mouse anti-BAX antibody (HA601123) at 1/200 dilution. The section was pre-treated using heat mediated antigen retrieval with Tris-EDTA buffer (pH 9.0) for 20 minutes. The tissues were blocked in 1% BSA for 20 minutes at room temperature, washed with ddH2O and PBS, and then probed with the primary antibody (HA601123) at 1/200 dilution for 1 hour at room temperature. The detection was performed using an HRP conjugated compact polymer system. DAB was used as the chromogen. Tissues were counterstained with hematoxylin and mounted with DPX.
quantity: 100μl
price: 360.00 USD
to the supplier
BAX
HUABIO
catalog: HA610038
mouse monoclonal (PSH0-20)
reactivity:
human
application:
western blot
,
immunohistochemistry - paraffin section
Western blot analysis of BAX on different lysates with Mouse anti-BAX antibody (HA610038) at 1/5,000 dilution. Lane 1: Human kidney tissue lysate (30 µg/Lane) Lane 2: Daudi cell lysate (15 µg/Lane) Lane 3: Raji cell lysate (15 µg/Lane) Lane 4: HepG2 cell lysate (15 µg/Lane) Predicted band size: 21 kDa Observed band size: 21 kDa Exposure time: 30 seconds; 15% SDS-PAGE gel. Proteins were transferred to a PVDF membrane and blocked with 5% NFDM/TBST for 1 hour at room temperature. The primary antibody (HA610038) at 1/5,000 dilution was used in 5% NFDM/TBST at room temperature for 2 hours. Goat Anti-Mouse IgG - HRP Secondary Antibody (HA1006) at 1:150,000 dilution was used for 1 hour at room temperature.
Immunohistochemical analysis of paraffin-embedded human liver carcinoma tissue with Mouse anti-BAX antibody (HA610038) at 1/200 dilution. The section was pre-treated using heat mediated antigen retrieval with Tris-EDTA buffer (pH 9.0) for 20 minutes. The tissues were blocked in 1% BSA for 20 minutes at room temperature, washed with ddH2O and PBS, and then probed with the primary antibody (HA610038) at 1/200 dilution for 1 hour at room temperature. The detection was performed using an HRP conjugated compact polymer system. DAB was used as the chromogen. Tissues were counterstained with hematoxylin and mounted with DPX.
quantity: 100μg
price: 649.00 USD
to the supplier
BAX
HUABIO
catalog: HA721324
domestic rabbit monoclonal (PD01-44)
reactivity:
human
application:
immunohistochemistry - paraffin section
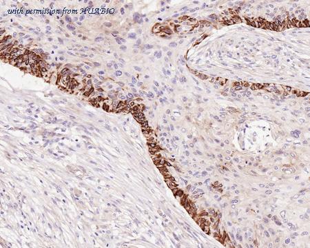
Immunohistochemical analysis of paraffin-embedded human breast tissue with Rabbit anti-BAX antibody (HA721324) at 1/200 dilution. The section was pre-treated using heat mediated antigen retrieval with Tris-EDTA buffer (pH 9.0) for 20 minutes. The tissues were blocked in 1% BSA for 20 minutes at room temperature, washed with ddH2O and PBS, and then probed with the primary antibody (HA721324) at 1/200 dilution for 1 hour at room temperature. The detection was performed using an HRP conjugated compact polymer system. DAB was used as the chromogen. Tissues were counterstained with hematoxylin and mounted with DPX.
Immunohistochemical analysis of paraffin-embedded human cervical carcinoma tissue with Rabbit anti-BAX antibody (HA721324) at 1/200 dilution. The section was pre-treated using heat mediated antigen retrieval with Tris-EDTA buffer (pH 9.0) for 20 minutes. The tissues were blocked in 1% BSA for 20 minutes at room temperature, washed with ddH2O and PBS, and then probed with the primary antibody (HA721324) at 1/200 dilution for 1 hour at room temperature. The detection was performed using an HRP conjugated compact polymer system. DAB was used as the chromogen. Tissues were counterstained with hematoxylin and mounted with DPX.
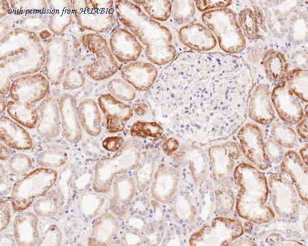
Immunohistochemical analysis of paraffin-embedded human kidney tissue with Rabbit anti-BAX antibody (HA721324) at 1/200 dilution. The section was pre-treated using heat mediated antigen retrieval with Tris-EDTA buffer (pH 9.0) for 20 minutes. The tissues were blocked in 1% BSA for 20 minutes at room temperature, washed with ddH2O and PBS, and then probed with the primary antibody (HA721324) at 1/200 dilution for 1 hour at room temperature. The detection was performed using an HRP conjugated compact polymer system. DAB was used as the chromogen. Tissues were counterstained with hematoxylin and mounted with DPX.
quantity: 100μl
price: 385.00 USD
to the supplier
Bax
HUABIO
catalog: HA750065
domestic rabbit monoclonal (SZ3-07)
reactivity:
human
,
mouse
,
rat
application:
western blot
,
flow cytometry
Western blot analysis of Bax on different lysates with Rabbit anti-Bax antibody (HA750065) at 1/20,000 dilution and competitor's antibody at 1/1,000 dilution. Lane 1: HeLa cell lysate Lane 2: MCF7 cell lysate Lane 3: HEK-293 cell lysate Lane 4: bEnd.3 cell lysate Lane 5: C2C12 cell lysate Lane 6: PC-12 cell lysate Lane 7: C6 cell lysate Lysates/proteins at 15 µg/Lane. Predicted band size: 21 kDa Observed band size: 21 kDa Exposure time: 30 seconds; ECL: K1801; 4-20% SDS-PAGE gel. Proteins were transferred to a PVDF membrane and blocked with 5% NFDM/TBST for 1 hour at room temperature. The primary antibody (HA750065) at 1/20,000 dilution and competitor's antibody at 1/1,000 dilution were used in 5% NFDM/TBST at 4℃ overnight. Goat Anti-Rabbit IgG - HRP Secondary Antibody (HA1001) at 1/50,000 dilution was used for 1 hour at room temperature.
All lanes: Western blot analysis of Bax with anti-Bax antibody [SZ3-07] (HA750065) at 1/1,000 dilution. Lane 1/2: Wild-type Hela whole cell lysate (20 µg). Lane 3/4: Bax knockout Hela whole cell lysate (20 µg). ET1603-34 was shown to specifically react with Bax in wild-type Hela cells. No band was observed when Bax knockout samples were tested. Wild-type and Bax knockout samples were subjected to SDS-PAGE. Proteins were transferred to a PVDF membrane and blocked with 5% NFDM in TBST for 1 hour at room temperature. The primary antibody (ET1603-34, 1/1,000) and Loading control antibody (Rabbit anti-β-actin, R1207-1, 1/1,000)was used in 5% BSA at room temperature for 2 hours. Goat Anti-Rabbit IgG-HRP Secondary Antibody (HA1001) at 1:200,000 dilution was used for 1 hour at room temperature.
Immunocytochemistry analysis of C2C12 cells labeling Bax with Rabbit anti-Bax antibody (HA750065) at 1/100 dilution. Cells were fixed in 4% paraformaldehyde for 20 minutes at room temperature, permeabilized with 0.1% Triton X-100 in PBS for 5 minutes at room temperature, then blocked with 1% BSA in 10% negative goat serum for 1 hour at room temperature. Cells were then incubated with Rabbit anti-Bax antibody (HA750065) at 1/100 dilution in 1% BSA in PBST overnight at 4 ℃. Goat Anti-Rabbit IgG H&L (iFluor™ 488, HA1121) was used as the secondary antibody at 1/1,000 dilution. PBS instead of the primary antibody was used as the secondary antibody only control. Nuclear DNA was labelled in blue with DAPI. Beta tubulin (M1305-2, red) was stained at 1/100 dilution overnight at +4℃. Goat Anti-Mouse IgG H&L (iFluor™ 594, HA1126) was used as the secondary antibody at 1/1,000 dilution.
quantity: 100μl
price: 649.00 USD
to the supplier
Anti-Bax Antibody [SZ3-07]
HUABIO
catalog: ET1603-34TR
domestic rabbit monoclonal (SZ3-07)
reactivity:
human
,
mouse
,
rat
application:
western blot
,
immunoprecipitation
,
flow cytometry
,
immunohistochemistry - paraffin section
quantity: 20 uL
price: 99 USD
to the supplier